Revisão
Estudo das características histológicas das diferentes regiões anatômicas corporais e sua importância na cirurgia micrográfica de Mohs
Estudo das características histológicas das diferentes regiões anatômicas corporais e sua importância na cirurgia micrográfica de Mohs
Surgical & Cosmetic Dermatology, vol. 12, núm. 2, pp. 101-108, 2020
Sociedade Brasileira de Dermatologia
Recepção: 16 Abril 2020
Aprovação: 29 Maio 2020
RESUMO: Para a interpretação precisa dos achados intraoperatórios na cirurgia micrográfica de Mohs, é fundamental conhecer a histologia normal dos tecidos nas diferentes regiões anatômicas. Os cortes de congelamento avaliados pela técnica são obtidos na horizontal, diferentemente dos cortes verticais da análise anatomopatológica convencional. A partir do acervo de casos de um serviço de formação em Dermatologia, os cortes de congelamento de interesse em histologia topográfica foram digitalizados e detalhados, conforme revisão da literatura.
Palavras-chave: Cirurgia de Mohs, Histologia, Neoplasias Cutâneas.
INTRODUÇÃO
A cirurgia micrográfica de Mohs (CMM) exige, por parte do cirurgião dermatológico, extenso conhecimento da histologia normal dos tecidos e anatomia patológica. A interpretação acurada dos cortes de congelamento, geralmente realizados de forma horizontal (em contraste com os cortes verticais da análise anatomopatológica convencional), e o conhecimento de peculiaridades histológicas das diferentes regiões anatômicas são essenciais para a diferenciação entre estruturas normais e achados tumorais intraoperatórios.1 O acervo de casos de um serviço de referência de formação em CMM foi revisado, e os cortes de congelamento de interesse em histologia topográfica foram digitalizados com o uso de um microscópio Leica DM-1000 e câmera Leica ICC-50 (Leica Microsystems, Wetzlar, Alemanha).
HISTOLOGIA TOPOGRÁFICA
Couro cabeludo
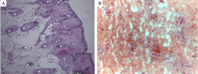
O couro cabeludo apresenta grande densidade de unidades foliculares, com folículos terminais anágenos implantados profundamente no subcutâneo (Figura 1a).2 Em cortes horizontais, a secção transversal do folículo resulta em estruturas basofílicas arredondadas ou ovaladas, que podem assemelhar-se a ninhos do carcinoma basocelular (CBC). Conhecer as características das diferentes porções do folículo piloso auxilia nessa diferenciação.1

O folículo piloso é formado por uma série de camadas a partir do bulbo, frequentemente sendo visualizada uma haste capilar central, e, diferentemente do CBC, não costuma apresentar fenda entre sua estrutura e a derme adjacente. A camada epitelial externa é composta por células monomórficas, com moderada quantidade de citoplasma eosinofílico, cercada por estroma fibroso. Na altura da derme reticular, glândulas sebáceas estão associadas à unidade folicular e seu ducto demarca a divisão do segmento superior (infundíbulo) e médio (istmo) do pelo. Já a conexão da unidade folicular com o músculo eretor do pelo delimita a divisão entre os segmentos médio e inferior do pelo (ou bulbo, que irá conter a papila) e é chamada de bulge. Ainda na transição entre o infundíbulo e o istmo, cordões epiteliais arciformes projetam-se lateralmente em relação ao folículo e são chamados de manto.2,3
Em casos de acometimento tumoral mais profundo, é possível identificar, abaixo do subcutâneo e da gálea aponeurótica, tecido conjuntivo denso, com fibras colágenas e fibroblastos, representando o periósteo (Figura 1b).4
Pavilhão auricular
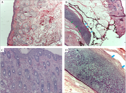
O pavilhão auricular tem seu formato determinado pela estrutura de cartilagem elástica (Figuras 2b e 2d) e é recoberto por pele fina, com folículos pilosos, glândulas sebáceas e glândulas sudoríparas écrinas, sendo estas últimas substituídas por glândulas de cerúmen ao nível do meato auditivo externo.5,6 A densidade de anexos é heterogênea nas diferentes porções do pavilhão, sendo mais proeminente na área da concha (Figuras 2a e 2c).

Região parotídea
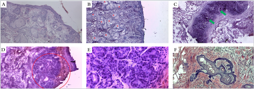
A pele sobre a região parotídea também é local frequente de tumores tratados por CMM. Em caso de acometimento tumoral nas margens profundas, tecidos parotídeo e linfonodal podem ser identificados nos cortes de congelamento.
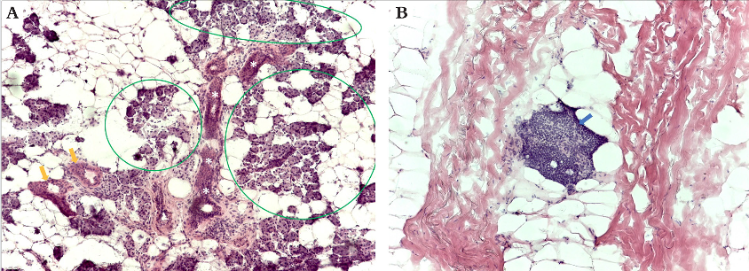
A parótida é a maior glândula salivar do corpo. É considerada uma glândula composta, túbulo-acinar, merócrina e exócrina. No adulto, é inteiramente formada por ácinos serosos (Figura 3a). A porção superficial da glândula está intimamente relacionada ao sistema músculo-aponeurótico superficial da face (SMAS), que se forma a partir de um prolongamento aponeurótico do músculo platisma. Alguns ramos terminais do nervo auricular magno também estão localizados sobre a mesma.7

A região também é local de grande concentração de linfonodos; pequenos fragmentos linfonodais podem simular ninhos tumorais basaloides (Figura 3b) ou infiltrado inflamatório peritumoral. Isso ocorre principalmente se os cortes de congelamento estiverem espessos, causando sobreposição de células, situação comum em espécimes com alto teor de tecido adiposo.
Pálpebra
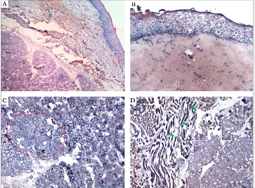
A pálpebra é dividida em lamelas anterior e posterior. A lamela anterior consiste em pele (a mais fina do corpo, com 0,4mm de espessura) e músculo orbicular, enquanto a lamela posterior é formada pelo tarso e pela conjuntiva (Figura 4a).8,9

O tarso, um tecido fibroelástico denso, é responsável por fornecer sustentação estrutural, essencial à função da pálpebra. No seu interior encontramos glândulas sebáceas modificadas, chamadas de glândulas de Meibomiam, produtoras de secreção lipídica. Seu conteúdo desemboca diretamente por aberturas palpebrais para formar a camada externa do filme lacrimal. São conhecidas como local mais frequente de origem do carcinoma sebáceo.9
As glândulas sebáceas de Zeiss, presentes na derme, por sua vez, encontram-se associadas aos folículos pilosos dos cílios no bordo palpebral. Também na derme são encontradas as glândulas de Moll (glândulas sudoríparas apócrinas), que possuem aberturas tanto para os folículos pilosos ciliares quanto diretamente na margem palpebral anterior, sendo mais numerosas na pálpebra inferior (Figura 4b). As glândulas sudoríparas écrinas, diferentemente das glândulas de Moll, não estão confinadas às margens palpebrais, podendo ser encontradas em toda a região palpebral.9
O epitélio conjuntival é não queratinizado e apresenta cerca de cinco camadas de células em espessura (Figura 4c). Células caliciformes de Goblet, produtoras de muco, podem ser encontradas no interior do epitélio, sendo mais frequentes na região dos fórnices.9
Os canalículos lacrimais superiores e inferiores, frequentemente visualizados em cortes histológicos de CMM em tumores da porção medial das pálpebras, são revestidos por epitélio escamoso estratificado (Figura 4d). Na região de canalículo comum, formado pela união dos dois canalículos, o epitélio torna-se pseudoestratificado, não ciliar e colunar.10
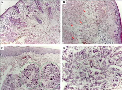
Nariz
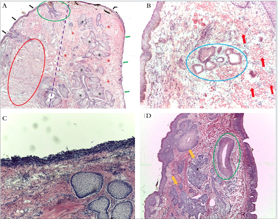
A superfície nasal é rica em estruturas glandulares e foliculares, e a densidade dessas varia conforme a subunidade avaliada (Figuras 5a e 5d). Boa parte do formato do nariz - principalmente as asas nasais, e com isso a patência do vestíbulo nasal - depende da sustentação cartilaginosa (Figura 5c). Em cortes de espessura total, o revestimento mucoso com epitélio pseudoestratificado cilíndrico ciliado pode ser identificado bem como as glândulas mucosas nasais (Figuras 5d e 5e).

A diferenciação histológica entre CBC e folículos pilosos é uma constante na rotina do cirurgião micrográfico. A proliferação basaloide foliculocêntrica (PBF), achado histológico benigno que pode ocorrer nesta topografia, é caracterizada por crescimento multicêntrico de epitélio basaloide adjacente ao folículo piloso, podendo ser confundida com o CBC (Figura 5f). Se não reconhecida, esta entidade pode levar à excisão desnecessária de estágios adicionais pelo cirurgião de Mohs. Critérios como a disposição foliculocêntrica e radial, além da presença de membrana basal hialina proeminente e estroma adjacente normal na PBF, auxiliam na diferenciação das duas entidades.11,12
Lábio
Os lábios consistem em duas pregas musculomembranosas móveis, recobertas por mucosa, na superfície interior, e tegumento cutâneo, na exterior (Figura 6a). A área de união mucocutânea constitui o vermelhão (Figura 6b). A porção cutânea é revestida por epitélio estratificado pavimentoso queratinizado e preserva os anexos cutâneos. Já a porção mucosa não é queratinizada, e sua coloração rosada, ausência de fâneros e presença de glândulas salivares a diferenciam da pele (Figuras 6c e 6d). Eventualmente, glândulas sebáceas ectópicas podem ser identificadas, e são denominadas grânulos de Fordyce.6

Língua
A língua é composta predominantemente por fibras musculares estriadas esqueléticas, além de tecido adiposo, vasos sanguíneos, glândulas salivares e revestimento mucoso (Figura 7). A mucosa que recobre o dorso da língua possui epitélio queratinizado e, devido à presença das papilas gustativas, torna a língua uma estrutura sensorial e especializada. Os dois terços anteriores do dorso da língua são recobertos pelas papilas linguais (filiformes, fungiformes e caliciformes) e a base da língua é recoberta por mucosa lisa, rica em agregados linfoides (tecido tonsilar lingual).6,13

Aparelho ungueal
Em um corte longitudinal do aparelho ungueal, são visualizados a prega ungueal proximal, a lâmina ungueal, a matriz, o leito e o hiponíquio.14 Na abordagem de tumores localizados na falange distal, é possível identificar uma ou mais dessas estruturas nas margens cirúrgicas.
A prega ungueal proximal possui epitélio dorsal (com glândulas sudoríparas e sem unidades pilossebáceas) e ventral (sem anexos cutâneos, cornificado e que originará a cutícula). A matriz é composta de epitélio germinativo espesso sem camada granulosa, com melanócitos pouco numerosos. Conforme as células matriciais progridem para as camadas superiores, seu citoplasma se torna mais eosinofílico e o núcleo, picnótico, até formar a lâmina ungueal, constituída por células cornificadas de arranjo lamelar (Figura 8).

Abaixo da lâmina encontra-se o leito ungueal, delimitado distalmente pelo hiponíquio e proximalmente pela matriz. Seu epitélio é fino, sem granulosa e aderido à derme subjacente por longos e estreitos cones epidérmicos. O hiponíquio, assim como a pele volar, apresenta granulosa e camada córnea compacta e espessa. A derme repousa diretamente sobre a falange distal, sem interposição de tecido celular subcutâneo.15
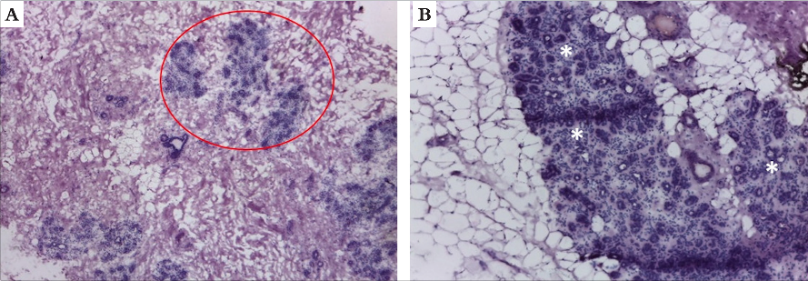
Mama
Eventualmente, na abordagem de lesões cutâneas na topografia mamária, é possível identificar tecido glandular mamário nas margens profundas do espécime. A porção secretora da glândula mamária inclui lóbulos e ductos, entremeados pelo estroma interlobular (tecido conjuntivo denso, células adiposas e vasos sanguíneos) (Figura 9).

Os lóbulos são estruturas circulares constituídas por ácinos (formados por uma camada interna de células epiteliais e uma camada externa de células mioepiteliais) e tecido conjuntivo frouxo - o estroma intralobular. Neste, a presença de células inflamatórias crônicas, principalmente linfócitos, é fisiológica e variável conforme o período do ciclo menstrual. Os ductos mamários drenam os lóbulos e também são formados por uma camada de células epiteliais e outra de células mioepiteliais.6
Dependendo da incidência de corte, tais estruturas podem formar grupamentos basofílicos que devem ser diferenciados de infiltração tumoral ao nível subcutâneo.
Genitália masculina
O envoltório cutâneo do pênis e da bolsa escrotal é formado por epiderme delgada, derme rica em glândulas sebáceas e vasos sanguíneos, e está intimamente relacionada à túnica dartos, composta por fibras musculares lisas (Figura 10). Ao nível da glande, ocorre uma transição do epitélio queratinizado para epitélio mucoso.5,13

CONSIDERAÇÕES
A diferenciação histológica entre entidades benignas e malignas é fundamental na CMM, objetivando precisa remoção do tumor e preservação de tecido normal. Inflamação densa, tecido cicatricial, folículos pilosos e outras estruturas normais da pele podem assemelhar-se a agregados tumorais. Conhecer as particularidades histológicas das diferentes áreas do corpo, através dos cortes de congelamento, contribui para correta interpretação das lâminas.
REFERÊNCIAS
Gross K, Steinman HK. Mohs surgery and histopathology. New York: Cambridge University Press; 2009.
Aasi SZ, Leffell DJ, Lazova RZ. Atlas of practical Mohs histopathology. New York: Springer; 2013. p. 3-9.
Elder DE. Lever's histopathology of the skin. Philadelphia: Lippincott Williams & Wilkins; 2008.
Morgan BM, Hamill JR, Spencer JM, Thornhill R. Atlas of Mohs and frozen section cutaneous pathology. 2nd ed. New York: Springer; 2018. p. 17-43.
Junqueira LC, Carneiro J. Histologia Básica. 10th ed. Rio de Janeiro: Guanabara Koogan; 2004.
Gartner LP, Hiatt JL. Tratado de histologia em cores. 2nd ed. Rio de Janeiro: Guanabara Koogan; 2003.
Carlson E, Ord R. Textbook and color atlas of salivary gland pathology: diagnosis and management. New Jersey: Wiley-Blackwell; 2008.
McCord CD, Codner MA. Eyelid and periorbital surgery. St. Louis: Quality Medical Pub; 2008. p. 784.
Kanski JJ. Clinical ophthalmology: a systematic approach. 6th ed. New York: Butterworth-Heinemann/Elsevier; 2007. p. 931.
Guthoff RF, Katowitz JA. Oculoplastics and Orbit: Aesthetic and Functional Oculofacial Plastic Problem-Solving in the 21st Century: Springer; 2009.
Leshin B, White WL. Folliculocentric basaloid proliferation. The bulge (der Wulst) revisited. Arch Dermatol. 1990;126(7):900-6.
Patel NS, Johnston RB, Messina JL, Cherpelis BS. A unique basaloid proliferation encountered during Mohs surgery: potential pitfall for overdiagnosis of basal cell carcinoma. Dermatol Surg. 2011;37(8):1180-8.
Netter FH. Atlas de anatomia humana. 4th ed. Rio de Janeiro: Elsevier; 2008. p. 51-62.
Belda Junior N, Di Chiacchio N, Criado PR. Tratado de Dermatologia. 2nd ed. São Paulo: Atheneu; 2014. p. 47-82.
Magalhães GM, Succi ICB, Sousa MAJ. Subsídios para o estudo histopatológico das lesões ungueais. An Bras Dermatol. 2003;78(1):49-61.
Notas
Autor notes
Raíssa Rigo Garbin Aprovação da versão final do manuscrito; concepção e planejamento do estudo; elaboração e redação do manuscrito; revisão crítica da literatura; revisão crítica do manuscrito.
Gerson Dellatorre Aprovação da versão final do manuscrito; concepção e planejamento do estudo; elaboração e redação do manuscrito; participação efetiva na orientação da pesquisa; revisão crítica da literatura; revisão crítica do manuscrito.
Roberto Gomes Tarlé Aprovação da versão final do manuscrito; concepção e planejamento do estudo; revisão crítica do manuscrito.
Guilherme Augusto Gadens Aprovação da versão final do manuscrito; concepção e planejamento do estudo; revisão crítica do manuscrito.
Alexandre Luiz Weber Aprovação da versão final do manuscrito; concepção e planejamento do estudo; revisão crítica do manuscrito.
Lismary de Forville Mesquita Aprovação da versão final do manuscrito; concepção e planejamento do estudo; elaboração e redação do manuscrito; revisão crítica do manuscrito.
Correspondência: Raíssa Rigo Garbin Santa Casa de Curitiba Praça Rui Barbosa, 694 Centro Curitiba (PR), Brasil. 80010-030. E-mail: raissagarbin@hotmail.com
Declaração de interesses