Relato de caso
Nevo azul no aparato ungueal: relato de um caso###Blue nevus of the nail apparatus: a case report
Blue nevus of the nail apparatus: a case report
Nevo azul no aparato ungueal: relato de um caso###Blue nevus of the nail apparatus: a case report
Surgical & Cosmetic Dermatology, vol. 12, núm. 4, pp. 376-379, 2020
Sociedade Brasileira de Dermatologia
Recepção: 30 Agosto 2020
Aprovação: 06 Dezembro 2020
RESUMO: A discromia azul das unhas possui vários diagnósticos diferenciais. Crescimento da lesão, distrofia ungueal associada e extensão periungueal requerem avaliação para excisão cirúrgica. Mulher, 27 anos, apresentava mancha azulada, semicircular, ocupando cerca de 50% da lúnula, sem alteração da lâmina suprajacente, com pequena alteração da porção distal da unha, com camadas do tipo "onicosquizia localizada", sem história prévia de trauma ou sangramento. Realizada avulsão parcial da placa e biópsia excisional por saucerização da lesão fortemente pigmentada. O exame histopatológico foi compatível com nevo azul. Sugere-se que, neste caso, o nevo se situasse em posição submatricial, não interferindo, portanto, na coloração da lâmina ungueal.
Palavras-chave: Nevo azul, Nevo pigmentado, Nevos e melanomas, Unhas, Procedimentos cirúrgicos ambulatoriais.
ABSTRACT: Blue nail dyschromia has several differential diagnoses. Lesion growth, associated nail dystrophy, and nail extension require evaluation for surgical excision. We report the case of a 27-year-old woman presenting a bluish, semicircular stain, occupying about 50% of the lunula. The patient presented no changes in the overlying lamina, small alteration of the distal nail portion, localized onychoschizia-type layers, and no previous trauma or bleeding history. We performed partial avulsion of the plaque and shave biopsy, evidencing an intensely pigmented lesion. Histopathological examination was compatible with blue nevus. In this case, the nevus should be located in the sub-matricial position, thus not interfering with the nail plate color.
Keywords: Nevus, Blue, Nail diseases, Surgical procedures, Minor, Ambulatory surgical procedures, Nevus, pigmented, Skin neoplasms.
INTRODUÇÃO
A discromia azul da unha tem uma ampla variedade de diagnósticos diferenciais, que incluem principalmente lesões vasculares e melanocíticas, malignas e benignas. Apesar de a maioria dessas lesões serem benignas e terem um bom prognóstico, a presença de crescimento, distrofia ungueal associada e extensão periungueal requerem avaliação histopatológica, ou seja, se possível, biópsia excisional.1
O nevo azul no aparato ungueal é raro, com 11 casos descritos na literatura até o momento. Foi relatado primeiramente em 1984, em uma criança de quatro anos, com síndrome de Klippel-Trenaunay, que apresentava um nódulo periungueal com lesões- satélites no dorso do hálux correspondente e linfadenopatia inguinal, o qual demonstrou, posteriormente, tratar-se de nevo azul composto com extensão linfonodal benigna do componente névico. A apresentação submatricial (sem melanoníquia estriada) é ainda mais rara.
RELATO DO CASO
Paciente do sexo feminino, 27 anos, com queixa de mancha escura na região da lúnula do primeiro quirodáctilo direito há sete anos, assintomática. Inicialmente, a paciente relatava que percebia a mancha apenas quando afastava a cutícula. Notou crescimento progressivo da lesão, tornando-se mais evidente mesmo sem o afastamento da cutícula. Relatava ainda pequena alteração da porção distal da unha, com descamação do tipo onicosquizia localizada. Negava história prévia de trauma ou sangramento. Ao exame, apresentava mácula azulada de formato semicircular, ocupando aproximadamente 50% da lúnula, sem alteração da lâmina suprajacente. À dermatoscopia, a lesão apresentava um padrão de fundo azulado homogêneo, sem linhas longitudinais (Figura 1). Não apresentava alterações periungueais ou sinais de trauma. Não havia linfadenopatia axilar nem história prévia pessoal ou familiar de melanoma.
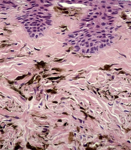
Diante do relato de crescimento da lesão e de sua extensão ser imprecisa, foi realizada remoção cirúrgica da placa ungueal na sua porção proximal até a metade do leito ungueal no sentido longitudinal da unha. Foi evidenciada lesão fortemente pigmentada, enegrecida, de formato semicircular, bem delimitada, com aproximadamente 7mm no seu maior diâmetro (Figura 2). Optou-se pela biópsia por saucerização (shaving) englobando toda a lesão pigmentada (Figura 3). Ao exame histopatológico, observou-se a proliferação de melanócitos fusiformes e dentríticos hiperpigmentados, formando feixes em meio a fibras colágenas e, por vezes, permeando filetes neurais, e alguns melanófagos; achados compatíveis com nevo azul (Figuras 4 e 5). Não havia sinais de malignidade no tecido estudado.




DISCUSSÃO
O nevo azul representa uma proliferação benigna de melanócitos dentríticos dérmicos com produção ativa de melanina, ao contrário dos nevos intradérmicos e compostos comuns, que não produzem ou produzem pouca melanina. Sugere-se que sua patogênese decorra da interrupção na derme da migração de células da crista neural a caminho da epiderme durante a embriogênese. A coloração azulada da lesão ocorre pela absorção preferencial de comprimentos longos de onda de luz pela melanina na derme, enquanto a pele reflete comprimentos de onda curtos do espectro do azul, fenômeno esse chamado efeito Tyndall.2 Nevos azuis podem ser adquiridos ou congênitos, acometendo preferencialmente mulheres jovens. Ocorrem habitualmente na pele, sendo também raramente relatados em sítios extracutâneos, como região orbital e conjuntiva, cavidade oral, esôfago, linfonodos, vagina, pênis e próstata.3 O nevo azul do aparelho ungueal pode ter origem na matriz, no leito ou na derme profunda periungueal. Por ser estrutura dérmica, apresenta-se usualmente como melanoníquia longitudinal, uma vez que as células névicas produtoras de pigmento podem incorporar a melanina na matriz ungueal, levando à formação de uma lâmina ungueal com estrias amarronzadas.
Sugere-se que, no caso relatado, o nevo estaria situado em posição submatricial, não interferindo, portanto, na coloração da lâmina e apresentando-se apenas como uma mancha subungueal, sem melanoníquia longitudinal. A cor azulada da lesão se deve ao efeito Tyndall observado sobre a lâmina ungueal translúcida.

A abordagem cirúrgica de uma lesão pigmentada no aparato subungueal é importante para afastar possíveis diagnósticos diferenciais malignos, destacando-se o melanoma ou sua metástase. Além disso, há relatos de transformação maligna do nevo azul celular. No entanto, a escolha pela conduta operatória precisa ser cautelosa, pois pode levar à distrofia permanente e à limitação funcional do dígito acometido. Nesse sentido, deve-se considerar a história pessoal, a clínica da lesão bem como sua dermatoscopia. Recomenda-se também a avaliação de lesões periungueais eventualmente presentes.
A definição de uma conduta não conservadora também se fundamenta na observação de aspectos que sugerem um comportamento maligno. Entre eles, salientam-se a presença de melanoníquia longitudinal maior que 5mm de espessura, irregularidades na cor, aumento de espessura da faixa no sentido distal ao proximal, acometimento do primeiro dedo, distrofia da lâmina e pigmentação periungueal. Outro indício de malignidade a ser destacado é o relato de crescimento recente da lesão.4
Em relação à técnica de biópsia, deve-se evitar a retirada da lesão apenas em sua periferia, uma vez que a concentração de células atípicas no melanoma é predominante na porção central da neoplasia. Sendo realizada a excisão completa da lesão, é incomum ela recorrer. Desse modo, quando a recorrência clínica é observada, é preciso considerar a possibilidade de transformação maligna, que é um evento raro.5
CONCLUSÃO
A propedêutica diante da presença de uma lesão pigmentada no aparato subungueal, muitas vezes, fundamenta-se em uma correlação clínico-patológica. No entanto, existem fatores a serem considerados a fim de se evitar uma intervenção desnecessária, com comprometimento cosmético e funcional.
REFERÊNCIAS
Gershtenson PC, Krunic A, Chen H, Konanahallj M, Worobec S. Subungual and periungual congenital blue naevus. Australas J Dermatol. 2009;50:144-7.
Zembowicz A, Mihm MC. Dermal dendritic melanocytic proliferations: an update. Histopathology. 2004;45:433-51.
Murali R, McCarthy SW, Scolyer RA. Blue nevi and related lesions: a review highlighting atypical and newly described variants, distinguishing features and diagnostic pitfalls. Adv Anat Pathol. 2009;16:365-82.
Ronger S, Touzet S, Ligeron C, et al. Dermoscopic examination of nail pigmentation. Arch Dermatol. 2002;138:1327-33.
Murali R, McCarthy SW, Scolyer RA. Blue nevi and related lesions: a review highlighting atypical and newly described variants, distinguishing features and diagnostic pitfalls. Adv Anat Pathol. 2009;16(6):365-82.
Notas
Autor notes
Gustavo Vieira Gualberto Aprovação da versão final do manuscrito; concepção e planejamento do estudo; elaboração e redação do manuscrito; obtenção, análise e interpretação dos dados; participação efetiva na orientação da pesquisa; participação intelectual em conduta propedêutica e/ou terapêutica de casos estudados; revisão crítica da literatura; revisão crítica do manuscrito.
Cassio Ferreira Guimarães Elaboração e redação do manuscrito; obtenção, análise e interpretação dos dados; revisão crítica da literatura.
Luisa Coutinho Teixeira Aprovação da versão final do manuscrito; elaboração e redação do manuscrito; revisão crítica da literatura; revisão crítica do manuscrito.
Marina Rodrigues Costa Lages Elaboração e redação do manuscrito.
Guilherme Henrique Silveira Teixeira Elaboração e redação do manuscrito.
Correspondência: Luisa Coutinho Teixeira R. Aníbal Benévolo, 92 - Apto 601 Santa Efigênia 30260-250 Belo Horizonte (MG) E-mail: luisacoutinhodermato@gmail.com
Declaração de interesses