Relato de caso
Fasciite nodular na fronte: uma rara apresentação
Nodular fasciitis in the forehead: a rare presentation
Fasciite nodular na fronte: uma rara apresentação
Surgical & Cosmetic Dermatology, vol. 12, núm. 1, Supl., pp. 43-45, 2020
Sociedade Brasileira de Dermatologia
Recepção: 30 Novembro 2018
Aprovação: 18 Agosto 2020
RESUMO: A fasciite nodular é um tumor benigno, decorrente da proliferação reativa de células fibroblásticas ou miofibroblásticas de rápido crescimento e rica celularidade. Em adultos, o acometimento das extremidades é mais frequente; entretanto, outras regiões podem ser acometidas. Neste relato, é apresentada paciente feminina de 40 anos, com lesão nodular na fronte, com diagnóstico de fasciite nodular confirmado à histopatologia. O caso relatado procura destacar sua rara localização e alertar o dermatologista clínico para a sua inclusão entre os diagnósticos diferenciais das lesões tumorais na face.
Palavras-chave: Fasciite, Face, Testa.
ABSTRACT: Nodular fasciitis is a benign tumor resulting from the reactive proliferation of fibroblastic or myofibroblastic cells presenting rapid growth and rich cellularity. In adults, the extremities’ involvement is more frequent; however, other regions can be affected. In this report, we present the case of a 40-year-old woman with a nodular lesion on the forehead. The histopathology confirmed the diagnosis of nodular fasciitis. The reported case highlights its rare location and alerts the clinical dermatologist in its inclusion among the differential diagnoses of tumor lesions on the face.
Keywords: Facial Dermatoses, Fasciitis, Forehead.
INTRODUÇÃO
Fasciite nodular (FN) é um tumor benigno derivado da proliferação de fibroblastos e miofibroblastos, que pode acometer hipoderme, músculo e fáscia. Foi descrita em 1955 por Konwaler, como fasciite pseudossarcomatosa ou fasciite infiltrativa, devido à sua grande semelhança com sarcoma.1 Sua etiologia é ainda incerta, porém existem relatos de trauma prévio em cerca de 10 a 15% dos casos.2 Clinicamente, a lesão apresenta-se como um nódulo solitário, de crescimento rápido, medindo até 5cm e acometendo mais frequentemente as extremidades dos membros superiores, porém de evolução indolente após o crescimento inicial. Algumas apresentações podem ser confundidas com sarcoma devido ao seu rápido crescimento, celularidade rica e alta atividade mitótica, sendo de fundamental importância a distinção entre esta afecção e as doenças neoplásicas malignas.
RELATO DO CASO
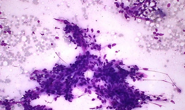
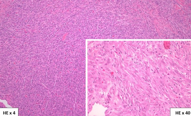
Paciente feminina, 40 anos, hipertensa, com história de surgimento de tumoração na fronte há quatro anos, com aumento lentamente progressivo e leve dor local. Ao exame físico, apresentava nódulo de 2cm de diâmetro, móvel, de consistência fibroelástica, bem delimitado e não aderido a planos profundos na fronte à esquerda (Figura 1). Com as hipóteses diagnósticas de schwannoma, lipoma e cisto epidermoide e na indisponibilidade de ultrassonografia (USG), foi realizada punção aspirativa por agulha fina (PAAF), que evidenciou lesão proliferativa mesenquimal fusocelular, sugestiva de FN (Figura 2). Optou-se pela realização de exérese cirúrgica, com a retirada de tumoração de 2cm de diâmetro, de cor amarelo-clara, bem delimitada e de consistência parenquimatosa (Figura 3). No exame histopatológico, notou-se a presença de proliferação mesenquimal fusocelular com atipias discretas (Figura 4). Não foram realizadas colorações para actina, vimentina e imuno-histoquímica. Entretanto, o exame anatomopatológico, associado a PAAF e apresentação clínica indolente, tornou compatível o diagnóstico de FN. Após um ano da exérese, paciente mantém-se em acompanhamento sem recidiva da lesão.




DISCUSSÃO
A FN é uma doença fibroproliferativa benigna, de etiologia desconhecida, que acomete homens e mulheres entre 20 e 40 anos. Relatos de remissão espontânea e localização frequente sobre proeminências ósseas sugerem a hipótese etiológica de trauma prévio no local de surgimento da lesão.2 Em adultos, o acometimento é mais frequente nas extremidades superiores (43%), seguidas do tronco (25%) e extremidades inferiores (22%), enquanto apenas 10% da FN acometem face e pescoço3,4, sendo que a maioria dos casos de FN em face e pescoço ocorre em crianças.5
Clinicamente, manifesta-se como lesão tumoral, bem delimitada, de cerca de 2 a 5cm de tamanho, com crescimento nodular subcutâneo rápido, porém autolimitado, podendo apresentar sensibilidade dolorosa no local. Os principais diagnósticos diferenciais incluem granuloma piogênico, cistos, lipoma, dermatofibroma, neurofibroma e sarcoma.6,7 Por ser pouco frequente, costuma ser entidade negligenciada na avaliação de lesões tumorais benignas, com outras hipóteses diagnósticas levantadas previamente à FN. Muitos casos costumam ser confirmados por meio do exame histopatológico.8
A USG pode ser realizada e evidenciar lesões nodulares dérmicas bem delimitadas, hipoecoicas, com presença ou não de centro heterogêneo hiperecoico, podendo, portanto, fazer diagnóstico diferencial com lesões nodulares malignas. Consequentemente, o exame anatomopatológico faz-se necessário nesses casos.9
A histopatologia demonstra um nódulo subcutâneo bem circunscrito, fascial ou intramuscular, com aparência estrelada. É vista uma proliferação de fibroblastos estrelados e fusiformes arredondados e miofibroblastos de núcleo oval, com cromatina fina e nucleolo proeminente. Nas lesões de início recente, as células são arranjadas frouxamente em um estroma edematoso e mixomatoso, enquanto as lesões mais antigas demonstram feixes de colágeno hialinizados.10 Os fibroblastos e miofibroblastos reagem positivamente para vimentina e actina muscular específica, e algumas células são positivas para CD68 na imuno-histoquímica, podendo auxiliar no diagnóstico quando tais exames são disponíveis.11 O diagnóstico diferencial histológico inclui fibrossarcoma e histiocitoma fibroso maligno.
O tratamento consiste na exérese cirúrgica completa da lesão, com taxa de recorrência variável de acordo com a literatura, provavelmente devido à excisão incompleta da mesma. Outros tipos de tratamento podem ser considerados de acordo com a localização da lesão, como laser ablativo de CO2 e infiltração intralesional com triancinolona.12
O objetivo principal deste trabalho foi destacar a localização incomum do caso, alertando o dermatologista para o diagnóstico e a inclusão da FN como diagnóstico diferencial de outros tumores faciais, a fim de definir a melhor abordagem terapêutica da lesão, evitando-se erros diagnósticos e possíveis recorrências locais.
Agradecimentos:
Gostaríamos de agradecer ao Dr. Cleverson Teixeira Soares, médico patologista do Instituto Lauro de Souza Lima, por fornecer a documentação fotográfica da PAAF e do exame anatomopatológico.
REFERÊNCIAS
Konwaler BE, Keasbey L, Kaplan L. Subcutaneous pseudosarcomatous? bromatosis (fasciitis). Am J Clin Pathol. 1955;25(3):241-52.
Botton A, Bière A, Galakhoff C. Rôle inducteur du piercing dans une fasciite nodulaire faciale. Presse Med. 2006;35(2 Pt 1):237-8.
Shibata Y, Yanaba K, Ito K, Nishimura R, Miyawaki T, Nakagawa H. Nodular fasciitis on the face. J Dermatol. 2016;43(10):1235-6.
Gelfand JM, Mirza N, Kantor J. Nodular fasciitis. Arch Dermatol. 2001;137:719-721.
Morales DV, Cabrales ES. Nodular fasciitis present in facial area in children. Rev Cuba Estomatol. 2009;46:78-87.
Chemmanam JJ. Nodular fasciitis in the tongue- a mimicker of malignancy: case report and review of literature. Indian J Surg Oncol. 2017;8:214-6.
Almeida F, Picón M, Pezzi M, Sánchez-Jaúregui E, Carrillo R, Martínez-Lage JL. Nodular fascitis of the maxillofacial region. Two case reports and a review of the literature. Rev Esp Cir Oral y Maxilofac. 2007;29:43-7.
Luna A, Molinari L, Bollea Garlatti LA, Ferrario D, Volonteri V, Roitman P, et al. Nodular fasciitis, a forgotten entity. Int J Dermatol. 2019;58(2):190-3.
Fujioka K, Fujioka A, Oishi M, Eto H, Tajima S, Nakayama T. Ultrasonography findings of intradermal nodular fasciitis: a rare case report and review of the literature. Clin Experiment Dermatol 2017;42(3):335-6.
Weinreb I, Shaw AJ, Perez-Ordoñez B, Goldblum JR, Rubin BP. Nodular fasciitis of the head and neck region: a clinicopathologic description in a series of 30 cases. J Cutan Pathol. 2009;36:1168-73.
Souza IS, Vieira BB, Rochael MC, Vieira JST, Farias RE, Schimidt NC. Nodular fasciitis on the zygomatic region: a rare presentation. An Bras Dermatol. 2013;88(6):89-92.
Oh BH, Kim J, Zheng Z, Roh MR, Chung KY. Treatment of nodular fasciitis occurring on the face. Ann Dermatol. 2015;27:694-701.
Notas
Autor notes
Patrícia Pinheiro Montalvão Aprovação da versão final do manuscrito; concepção e planejamento do estudo; elaboração e redação do manuscrito; revisão crítica da literatura; revisão crítica do manuscrito.
Isadora Barreto Michels Aprovação da versão final do manuscrito; elaboração e redação do manuscrito; revisão crítica do manuscrito.
Amanda Soares Teixeira Aprovação da versão final do manuscrito; revisão crítica da literatura; revisão crítica do manuscrito.
Ingrid Stresser Gioppo Aprovação da versão final do manuscrito; elaboração e redação do manuscrito; revisão crítica da literatura.
Anna Carolina Miola Contribuição no artigo: Aprovação da versão final do manuscrito; revisão crítica da literatura; revisão crítica do manuscrito.
Correspondência: Anna Carolina Miola Departamento de Dermatologia do Instituto Lauro de Souza Lima Rodovia Comandante João Ribeiro de Barros, km 225/226 Distrito Industrial - 17034-971 Bauru (SP) E-mail: anna_fmrp@yahoo.com.br
Declaração de interesses