Relato de Caso
Melanoma primário de mucosa oral: relato de caso
Primary oral mucosal melanoma: case report
Melanoma primário de mucosa oral: relato de caso
Surgical & Cosmetic Dermatology, vol. 13, e20210029, 2021
Sociedade Brasileira de Dermatologia
Recepção: 13 Abril 2021
Aprovação: 15 Julho 2021
RESUMO: O melanoma de mucosa oral (MMO) representa de 0,2 a 8% dos casos de melanoma. Acomete, principalmente, palato e gengiva de pacientes entre 40 e 70 anos. Inicialmente é assintomático, contribuindo para o diagnóstico tardio e prognóstico reservado. O tratamento de escolha consiste na ressecção cirúrgica, podendo ser utilizadas radioterapia e quimioterapia adjuvantes. Relatamos um caso em paciente de 80 anos do sexo masculino, com melanoma primário na gengiva e palato duro, que foi submetido à ressecção tumoral seguida de reconstrução de palato. Ressaltamos a importância do exame físico completo e da busca ativa por lesões na mucosa oral para diagnóstico precoce.
Palavras-chave: Melanoma, Mucosa bucal, Palato.
ABSTRACT: Oral mucosa melanoma (OMM) represents 0.2% to 8% of melanoma cases. It mainly affects the palate and gums of patients between 40 and 70 years old. It is initially asymptomatic, contributing to late diagnosis and poor prognosis. The treatment of choice consists of surgical resection, and adjuvant radiotherapy and chemotherapy may be used. We report a case in an 80-year-old male patient with primary gingival and hard palate melanoma who underwent tumor resection followed by palate reconstruction. We emphasize the importance of a complete physical examination and active search for lesions in the oral mucosa for early diagnosis.
Keywords: Melanoma, Mouth mucosa, Palate.
INTRODUÇÃO
O melanoma é o terceiro tipo de câncer mais frequente na pele, porém é incomum na mucosa oral.1,2 Acomete, principalmente, indivíduos acima dos 40 anos de idade,3,4 com discreto predomínio no sexo masculino.5,6 Localiza-se, preferencialmente, no palato e na gengiva, com morfologia variada, incialmente sem sintomas, resultando na diagnóstico tardio e prognóstico reservado.7,8 O tratamento de escolha é a ressecção cirúrgica, seguida ou não de dissecção do pescoço, com opção de quimioterapia ou radioterapia adjuvantes.9,10
Apresentamos um caso de melanoma na mucosa oral e discutimos a respeito do diagnóstico diferencial, tratamento e prognóstico dessas lesões.
RELATO DO CASO
Paciente do sexo masculino, 80 anos de idade, pardo, foi encaminhado pelo dentista para avaliação de lesão pigmentada assintomática, com quatro meses de evolução, no palato duro e região superior da gengiva, à direita. Não fazia uso de próteses dentárias, negou etilismo e tabagismo.
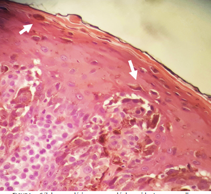
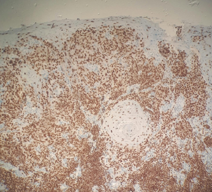
A oroscopia revelou placa enegrecida no palato duro direito, medindo cerca de 1cm, com área ulcerada, acompanhada por lesões-satélites, e placa enegrecida na gengiva superior direita, com aproximadamente 2,5cm (Figuras 1 e 2). O exame clínico não apresentou outras lesões suspeitas nem linfonodos cervicais palpáveis. A tomografia computadorizada de crânio, pescoço, tórax, ultrassonografia de abdome e exames laboratoriais não mostraram achados significativos. Procedeu-se à biópsia incisional que apresentou neoplasia de crescimento infiltrativo, constituída por células anaplásicas, contendo grande quantidade de melanina nos citoplasmas, com intenso grau de pleomorfismo e atipias nucleares (Figura 3). O perfil imuno-histoquímico foi compatível com melanoma melanótico maligno infiltrativo com coloração positiva de HMB-45 e melan A (Figura 4).


O paciente foi submetido à ressecção de palato duro, fragmento de gengiva superior medial, dentes e processo alveolar superior à direita, seguida de reconstrução de palato, utilizando-se retalho de mucosa jugal direita (Figuras 5 e 6). O exame histopatológico da peça cirúrgica confirmou o diagnóstico prévio de melanoma maligno invasivo, com componente in situ presente e extenso na periferia da lesão, ulceração presente, invasão perineural e angiolinfática ausentes e margens cirúrgicas livres de neoplasia. Optou-se por não realizar ressecção de linfonodos cervicais e tratamento adjuvante. O paciente não apresentou sinais de recidiva nem disfunções associadas ao procedimento cirúrgico durante seguimento de 12 meses (Figura 7).
DISCUSSÃO
O melanoma de mucosa oral (MMO) resulta do crescimento descontrolado de melanócitos encontrados na camada basal da membrana mucosa oral.123 É um tumor raro, representando apenas 0,2 a 8,0% de todos os melanomas e apenas 0,5% de malignidades orais,456 com relatos de prevalência em negros e japoneses.7,8 A maior incidência ocorre após os 40 anos, entre a quinta e sexta décadas de vida, com ligeira preponderância masculina.9,10 Estão localizados, em 80% dos casos, na mucosa do palato e gengiva, e, em 20% dos casos, em mucosa bucal, lábios, língua, base da boca e úvula.7,9,10 Sua etiologia é desconhecida, pois não está associado à exposição solar.1,7,8 Alguns fatores de risco foram relacionados, como traumas, lesões por próteses mal ajustadas e exposição ao álcool, formaldeído e tabaco por longos períodos.3,4,6,10 Embora a maioria dos MMOs surja de novo, mais de um terço desenvolve-se de lesões melanocíticas benignas.1,5,8




Inicialmente, apresenta-se como uma mácula ou placa assintomática que evolui com edema, ulceração, sangramento, dor, mobilidade dentária e surgimento de lesões-satélites.78910 Sua coloração varia em tons de preto, marrom, cinza, roxo e vermelho, porém um terço não possui pigmento.3 Possui tendência de recorrer localmente e desenvolver metástase para linfonodos (33%), enquanto o envolvimento de pulmões, cérebro, ossos e fígado afeta até 85% dos pacientes.4,5 O diagnóstico diferencial inclui tatuagem de amálgama, melanoacantoma, melanose associada ao tabagismo, pigmentação pós-inflamatória, nevo melanocítico, melanose induzida por medicamentos (como minociclina e antimaláricos), síndrome de Peutz-Jeghers, síndrome de Cushing, doença de Addison, sarcoma de Kaposi e outras diversas condições que causam pigmentação na mucosa oral.1,2,8,9
Histologicamente, as células tumorais são caracterizadas pela proliferação de melanócitos atípicos, e os parâmetros avaliados incluem presença ou ausência de melanócitos no tumor; morfologia celular (epitelioide, fusocelular, plasmocitoide ou mista); organização celular (sólido, alveolar, organoide ou pagetoide); presença de necrose, invasão perineural e perivascular e profundidade da invasão tumoral.7,10 Devido à falta de marcos histológicos análogos entre a pele e mucosa oral, o diagnóstico da profundidade ou espessura dos tumores, conforme definido por Clark e Breslow, não é aceito na prática cotidiana do MMO.4,7 Portanto, tem sido implicada uma classificação com base no padrão histopatológico do tumor: melanoma in situ, limitado à epiderme e sua junção com o tecido conjuntivo (15%); melanomas invasivos, que se estendem para o tecido conjuntivo (30%); e melanomas com um padrão combinado entre invasivo e in situ (55%).1,5,8,10 O uso de coloração imuno-histoquímica é útil para ajudar na confirmação diagnóstica.9 Os marcadores envolvidos no diagnóstico de melanoma são S-100, HMB-45, melan-A e tirosinase.7,8 O S-100 é sensível (97%-100%), mas não específico (75%-87%); HMB-45 e melan-A são considerados marcadores mais específicos.8

O sistema TNM (tumor, linfonodo e metástase) reconhece três estágios para o MMO1,8:
- Estágio I: Presença apenas de tumor primário (N0M0)
Nível I: Melanoma in situ sem evidência de invasão ou com “microinvasão” Nível II: Invasão até a lâmina própria Nível III: Invasão musculoesquelética, de osso ou cartilagem
- Estágio II: Tumor com metástase para linfonodos regionais (N1M0)
- Estágio III: Tumor com metástase à distância (M1) Atualmente, a melhor opção para o tratamento é a ressecção cirúrgica completa da lesão com 1,5cm de tecido saudável circundante, com ou sem dissecção linfonodal do pescoço.7,8,10 Alguns autores recomendam radioterapia adjuvante para maximizar o controle regional;3,4,6 a quimioterapia e a imunoterapia podem prevenir metástases à distância.1 É essencial o monitoramento cuidadoso do paciente para verificar recorrências.2
O prognóstico é reservado, relacionado com idade avançada, extensão do tumor, baixa ressecabilidade, lesões amelanóticas, envolvimento linfonodal, alta taxa mitótica de melanócitos atípicos e invasão vascular ou neural. A sobrevida em cinco anos para MMO é em torno de 15 a 30%.1,6,10
CONCLUSÃO
Relatamos um caso de melanoma de cavidade oral em paciente masculino, que obteve sucesso terapêutico após ressecção tumoral e continua o seguimento em nosso Serviço para avaliação de recorrência ou surgimento de novas lesões suspeitas. Os autores enfatizam a importância do exame clínico cuidadoso para detecção precoce de lesões suspeitas, visto que, frequentemente, os casos de MMO são inicialmente assintomáticos e que a biópsia precoce tem papel fundamental no prognóstico. l
REFERÊNCIAS:
Munde A, Juvekar MV, Karle RR, Wankhede P. Malignant melanoma of the oral cavity: Report of two cases. Contemp Clin Dent. 2014;5(2):227-30.
Manigandan T, Sagar GV, Amudhan A, Hemalatha VT, Babu NA. Oral malignant melanoma: A case report with review of literature. Contemp Clin Dent. 2014;5(3):415-8.
Oranges CM, Sisti G, Nasioudis D, Tremp M, DI Summa PG, Kalbermatten DF, et al. Hard Palate Melanoma: A Population-based Analysis of Epidemiology and Survival Outcomes. Anticancer Res. 2018;38(10):5811-7.
Malinoski H, Reddy R, Cohen DM, Bhattacharyya I, Islam MN, Bowers TL 4th. Oral Melanomas: A Case Series of a Deadly Neoplasm. J Oral Maxillofac Surg. 2019;77(9):1832-6.
Tchernev G, Lotti T, Wollina U. Palatal Melanoma: The Silent Killer. Open Access Maced J Med Sci. 2018;6(2):364-6.
Kumar V, Vishnoi JR, Kori CG, Gupta S, Misra S, Akhtar N. Primary malignant melanoma of oral cavity: A tertiary care center experience. Natl J Maxillofac Surg. 2015;6(2):167-71.
Topić B, Mašić T, Radović S, Lincender I, Muhić E. Primary Oral Mucosal Melanomas - Two Case Reports and Comprehensive Literature Review. Acta Clin Croat. 2017;56(2):323- 30.
Deyhimi P, Razavi SM, Shahnaseri S, Khalesi S, Homayoni S, Tavakoli P. Rare and Extensive Malignant Melanoma of the Oral Cavity: Report of Two Cases. J Dent (Shiraz). 2017;18(3):227-33.
Martinelli-Kläy C P, Laporte ML, Martinelli CR, Martinelli C, Lombardi T. Oral Malignant Melanoma Initially Misdiagnosed as a Racial Pigmentation: A Case Report. Dermatopathology (Basel). 2016;3(1):1-7.
Guevara-Canales JO, Gutiérrez-Morales MM, Sacsaquispe-Contreras SJ, Sánchez-Lihón J, Morales-Vadillo R. Malignant melanoma of the oral cavity. Review of the literature and experience in a Peruvian Population. Med Oral Patol Oral Cir Bucal. 2012;17(2):206-11.
Notas
Autor notes
Carla Aguiar Andrade 0000-0002-9348-5304
Elaboração e redação do manuscrito; revisão crítica da literatura.
Cláudia Cardoso de Macedo Oliveira 0000-0002-2367-1662
Aprovação da versão final do manuscrito; concepção e planejamento do estudo; participação efetiva na orientação da pesquisa; participação intelectual em conduta propedêutica e/ou terapêutica de casos estudados; revisão crítica do manuscrito.
Eduardo Vinícius Mendes Roncada 0000-0002-2149-2388
Approval of the final version of the manuscript; study design and planning; active participation in research orientation; critical revision of the manuscript.
Diogo Gonçalves Ribeiro 0000-0003-2024-1162
Aprovação da versão final do manuscrito; concepção e planejamento do estudo; participação efetiva na orientação da pesquisa; revisão crítica do manuscrito.
Correspondência: Carla Aguiar Andrade1 Email: carlaaguiarandrade@ hotmail.com
Declaração de interesses