Relato de caso
Neurotecoma de pálpebra superior esquerda: raro relato de caso
Neurothekeoma of the left upper eyelid: rare case report
Neurotecoma de pálpebra superior esquerda: raro relato de caso
Surgical & Cosmetic Dermatology, vol. 14, e20220124, 2022
Sociedade Brasileira de Dermatologia
Recepção: 13 Janeiro 2022
Aprovação: 21 Fevereiro 2022
RESUMO: Neurotecomas são neoplasias raras, benignas, de presumida linhagem fibro-histiocítica. Ao exame dermatológico e ao anatomopatológico, apresentam múltiplos diagnósticos diferenciais, o que torna sua identificação desafiadora. Relatamos o caso de paciente do sexo masculino, de 28 anos de idade, que apresentou crescimento de pápula endurecida na pálpebra superior direita, com histopatológico e imuno-histoquímica sugestivos de neurotecoma.
Palavras-chave: Neoplasias palpebrais, Neurotecoma, Relatos de casos.
ABSTRACT: Neurothekeomas are rare, benign dermal tumors of presumed fibrohistiocytic lineage. They present multiple differential diagnoses, making their identification challenging at the dermatological and anatomopathological examination. We report the case of a 28-year-old man who presented a hardened papule growth on the left upper eyelid with histopathology and immunohistochemistry suggestive of neurothekeoma.
Keywords: Eyelid neoplasms, Neurothekeoma, Case reports.
INTRODUÇÃO
Neurotecomas (NTs) são neoplasias de tecidos moles superficiais, benignas, raras, de presumida linhagem fibro-histiocítica. Geralmente, acometem mulheres (F:M, 2:1) nas segunda e terceira décadas e se apresentam como pápulas ou nódulos róseo-eritematosos, solitários, bem definidos, de lento crescimento, com diâmetro menor de 2cm e assintomáticos.1,2
Apesar de descritos em 1969, os NTs apresentam patogênese incerta e diversos padrões histológicos. Sua multiplicidade de diagnósticos diferenciais, inclusive ao anatomopatológico, torna sua identificação desafiadora.1-3
RELATO DO CASO
Paciente masculino, 28 anos, fototipo V, notou, há seis meses, surgimento e crescimento de pápula endurecida na pálpebra superior esquerda (Figura 1). Negava dor, prurido ou secreção e referia frequente manipulação e exposição ao sol. Não possuía antecedentes pessoais dermatológicos relevantes. Nos antecedentes familiares, referiu “câncer de pele” (sic) em avó materna. Optou-se pela exérese e houve encaminhamento do material ao anatomopatológico.
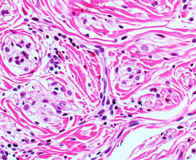
O anatomopatológico apresentou lesão dérmica composta por células fusiformes/ovaladas dispostas aleatoriamente com estroma colagenizado, áreas de aprisionamento de colágeno na periferia, proliferação capilar de permeio e raras figuras de mitose (Figura 2).
O estudo imuno-histoquímico revelou expressão para CD68 e para MiTF e negatividade para HMB-45, p16, BCL2 e proteína S-100 (Figura 3). Baixo índice proliferativo (1%) foi relatado. Os achados de lesão se enquadravam dentro do espectro de tumor fibro-histiocítico plexiforme/neurotecoma. Entretanto, a imunoexpressão de MiTF favoreceu a diagnose de neurotecoma.



Ao seguimento, o paciente apresentou recidiva da lesão, com os mesmos aspectos da anterior, dois meses após a exérese.
DISCUSSÃO
Neurotecomas são neoplasias dermais benignas, raras, de patogênese incerta e frequente dificuldade diagnóstica.1,2 Até 2019, apenas 10 relatos de caso de neurotecomas palpebrais foram reportados.4
O diagnóstico diferencial dos NTs é diverso e inclui neoplasias benignas, malignas e inflamatórias. A histologia é padrão-ouro para diagnóstico e é caracterizada pela presença de lesão dérmica circunscrita e lobular. Predominam ninhos de células epitelioides ou células tumorais em sutil padrão espiralado. Abundantes citoplasmas granulares eosinofílicos, com núcleos redondos ou ovais, são observados.1,3
NTs são classificados conforme a quantidade de matriz mixoide ao anatomopatológico. Seu perfil imuno-histoquímico não é específico, contudo, tipicamente, são reagentes ao NK1-C3 e CD10 e negativos ao S-100, HMB-45, Melan-A e CD56.3
Recentes estudos em histogenética avaliaram a estreita relação entre os NTs e os tumores fibro-histiocíticos plexiformes. Mesmo com histogêneses comuns, a expressão do fator de transcrição associada à microftalmia (MiTF) pode ser utilizada como marcador confiável para a diferenciação entre os tumores.2,5
A chance de recorrência do NT após a excisão cirúrgica é de aproximadamente 3%3, e suas complicações se restringem à cicatriz estética deixada.1
Frente à apresentação incomum dos NTs e suas similaridades clínico-histológicas com tumores benignos e malignos, cirurgiões de cabeça e pescoço, dermatologistas e patologistas devem estar cientes do espectro morfobiológico da neoplasia em prol da realização de diagnóstico preciso e dos adequados tratamento e seguimento do paciente.1
REFERÊNCIAS:
Kao EY, Kernig ML. Neurothekeoma [Internet]. Treasure Island (FL): StatPearls Publishing; c2020 [citado em 20 Mar 2021]. Disponível em: https://www.ncbi.nlm.nih.gov/books/NBK519525/.
Stratton J, Billings SD. Cellular neurothekeoma: analysis of 37 cases emphasizing atypical histologic features. Mod Pathol. 2014;27(5):701-10.
Navarrete-Dechent C, Curi-Tuma M, Marín C, González S, Sandoval-Osses M. Cellular neurothekeoma: case report and its (un) relation with nerve sheath myxoma. An Bras Dermatol. 2015; 90(3 Suppl 1):156-9.
Choe S, Lee KS, Khwarg SI, Kim N. Rare case of nerve sheath myxoma of the eyelid misdiagnosed as mucocele. Korean J Ophthalmol. 2019;33(2):202-3.
Fox MD, Billings SD, Gleason BC, Moore J, Thomas AB, Shea CR, et al. Expression of MiTF may be helpful in differentiating cellular neurothekeoma from plexiform fibrohistiocytic tumor (histiocytoid predominant) in a partial biopsy specimen. Am J Dermatopathol. 2012;34(2):157-60.
Notas
Autor notes
Luisa Homem de Mello Maciel Campilongo 0000-0002-1555-807X
Aprovação da versão final do manuscrito; concepção e planejamento do estudo; elaboração e redação do manuscrito; obtenção, análise e interpretação dos dados; revisão crítica da literatura; revisão crítica do manuscrito.
João Gabriel Rodrigues Alberti 0000-0001-6495-8419
Aprovação da versão final do manuscrito; concepção e planejamento do estudo; participação intelectual em conduta propedêutica e/ou terapêutica de casos estudados; revisão crítica da literatura; revisão crítica do manuscrito.
Francisco Macedo Paschoal 0000-0002-6264-1538
Aprovação da versão final do manuscrito; concepção e planejamento do estudo; obtenção, análise e interpretação dos dados; participação efetiva na orientação da pesquisa; revisão crítica da literatura; revisão crítica do manuscrito.
Marisa Homem de Mello Maciel Campilongo 0000-0001-7584-3748
Aprovação da versão final do manuscrito; concepção e planejamento do estudo; obtenção, análise e interpretação dos dados; participação efetiva na orientação da pesquisa; participação intelectual em conduta propedêutica e/ou terapêutica de casos estudados; revisão crítica da literatura; revisão crítica do manuscrito.
Fernanda Modolo de Paula Moura Campos 0000-0001-7471-4717
Aprovação da versão final do manuscrito; concepção e planejamento do estudo; elaboração e redação do manuscrito; participação intelectual em conduta propedêutica e/ou terapêutica de casos estudados; revisão crítica da literatura; revisão crítica do manuscrito.
Correspondência: Luisa Homem de Mello Maciel Campilongo, luisacampi98@gmail.com
Declaração de interesses