Relato de caso
Tratamento cirúrgico exclusivo de linfoma B primário cutâneo da zona marginal: relato de caso
Exclusive surgical treatment of a primary cutaneous marginal zone lymphoma: a case report
Tratamento cirúrgico exclusivo de linfoma B primário cutâneo da zona marginal: relato de caso
Surgical & Cosmetic Dermatology, vol. 14, e20220120, 2022
Sociedade Brasileira de Dermatologia
Recepção: 21 Dezembro 2021
Aprovação: 27 Janeiro 2022
RESUMO: Os linfomas B primários cutâneos (LBPCs) são linfomas não Hodgkin, de acometimento exclusivamente cutâneo, e representam 25% dos linfomas primários cutâneos. São divididos, conforme comportamento clínico, em indolentes e intermediários. O tratamento das formas indolentes inclui a cirurgia, a radioterapia e, em casos extensos, o rituximabe. Relata-se o caso de mulher de 57 anos, com placa única no braço esquerdo, com diagnóstico de LBPC da zona marginal, tratado com excisão com margens de segurança de 5mm, sem recidiva após 36 meses de seguimento. A cirurgia é uma alternativa terapêutica com bom resultado clínico, sem impacto na sobrevida livre da doença.
Palavras-chave: Linfoma de células B, Linfoma de zona marginal tipo células B, Linfoma não-Hodgkin, Oncologia cirúrgica.
ABSTRACT: Primary cutaneous B-cell lymphomas are non-Hodgkin lymphomas presenting only in the skin and represent 25% of all primary cutaneous lymphomas. Based on their clinical behavior, they are classified into indolent and intermediate forms. Treatment of indolent forms includes surgery, radiotherapy, and, in extensive disease, rituximab. We report a case of a 57-year-old woman with a single nodule in the left arm treated with surgical excision with 5-mm security margins, without relapse after 36 months. Surgery is a therapeutic option in these lymphomas without compromising disease-free survival.
Keywords: Lymphoma B-Cell, Lymphoma B-Cell marginal zone, Lymphoma non-Hodgkin, Surgical oncology.
INTRODUÇÃO
Os linfomas B primários cutâneos (LBPCs) são linfomas não Hodgkin de células B, de acometimento exclusivo da pele, sem evidências de envolvimento sistêmico na avaliação inicial. Representam aproximadamente 25% dos linfomas primários cutâneos, com uma incidência de quatro casos por milhão de pessoas, sendo mais frequentes em homens e após os 50 anos de idade.1 São divididos em dois grupos clínicos principais por meio de sua análise morfológica e imunofenotípica: LBPC da zona marginal e LBPC centrofolicular, considerados de comportamento clínico indolente, e linfoma primário cutâneo difuso de grandes células B, tipo perna, e linfoma primário cutâneo intravascular de grandes células B, considerados de comportamento clínico intermediário.2
Não existem estudos randomizados para o tratamento dos linfomas B cutâneos primários indolentes (LBCPIs): este é indicado com base em séries de casos e consensos da World Health Organization (WHO) e da European Organization for Research and Treatment of Cancer (EORTC). Quando localizados, opta-se por radioterapia em baixa dose, cirurgia ou infiltração intralesional de corticoide ou rituximabe. Seguimento clínico, radioterapia de múltiplos campos ou rituximabe podem ser indicados em pacientes com múltiplas lesões.1 O tratamento cirúrgico ainda não tem protocolos bem estabelecidos e não é possível saber qual a margem cirúrgica ideal ou se o tamanho da margem tem ou não influência sobre a recidiva das lesões.
Relata-se o caso de uma paciente com LBPC da zona marginal, tratado cirurgicamente com margens de 5mm, sem recidiva em 36 meses de seguimento.
RELATO DO CASO
Mulher caucasiana de 57 anos referia o aparecimento de lesão assintomática no membro superior esquerdo há três anos. Negava febre, emagrecimento ou sudorese noturna (Figuras 1).

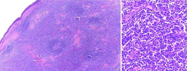
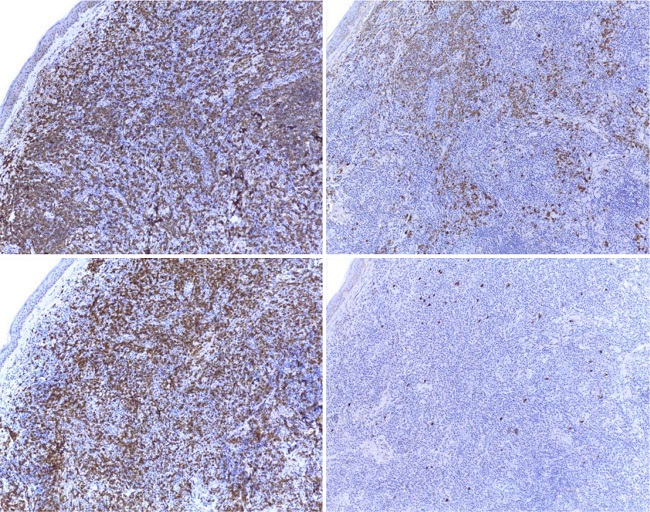
Ao exame, apresentava pápulas e nódulos túmidos agrupados, formando uma placa de 1,5 x 1,2cm no braço esquerdo. Não apresentava linfonodomegalias periféricas ou visceromegalias palpáveis. As hipóteses clínicas incluíam linfoma cutâneo, sarcoidose, pseudolinfoma, lúpus túmido e sífilis terciária. Ao exame histopatológico com ensaio imuno-histoquímico, apresentava infiltração linfocitária nodular e difusa na derme, com 60% deste infiltrado composto por linfócitos (CD20+, CD10- e BCL6-), frequentes linfócitos T reacionais (CD3+), índice de proliferação pelo Ki67 relativamente baixo (10-20%), frequentes plasmócitos e restrição de cadeias leves de imunoglobulina (índice kappa: lambda maior que 10:1), sugerindo o diagnóstico de linfoma B da zona marginal (Figuras 2 e 3).


Após este resultado, procedeu-se à investigação de doença sistêmica por meio de tomografias computadorizadas de região cervical, tórax, abdome e pelve, que não evidenciaram manifestações extracutâneas. Os exames laboratoriais, incluindo hemograma e LDH, estavam normais, e sorologias para HIV e sífilis não foram reagentes.
O diagnóstico de LBPC da zona marginal T1a foi feito. Como a paciente apresentava lesão única, optou-se por excisão cirúrgica com margens de segurança de 5mm. A paciente encontra-se em seguimento ambulatorial há 36 meses, sem recidiva local nem aparecimento de novas lesões.
DISCUSSÃO
O LBPC da zona marginal é um linfoma cutâneo indolente, com sobrevida em cinco anos próxima aos 100%. O caso relatado apresenta excelente resultado oncológico e cosmético em uma paciente de 57 anos, com longa sobrevida estimada.
Pouco se sabe sobre a possibilidade de recorrência com o tratamento cirúrgico do LBPC indolente. Em um estudo realizado por Servitje et al., 2013, em que pacientes somente com LBPC de zona marginal foram incluídos, não houve diferença na taxa de recidiva ou sobrevida livre de doença entre os grupos tratados com cirurgia, radioterapia ou cirurgia + radioterapia. Houve um aumento sem significância estatística de recorrência no local inicial em pacientes tratados somente com cirurgia.3
Já Parbhakar e Cin analisaram retrospectivamente o banco de dados de seu centro oncológico e identificaram 25 pacientes com LBPC indolente: 16 tratados com radioterapia em baixa dose (30-40Gy) e nove tratados com excisão cirúrgica com 5mm de margem de segurança. Somente um paciente tratado com radioterapia teve recidiva e foi tratado com excisão cirúrgica. A média de tempo de seguimento foi de quatro anos. Os autores referem também que não foram relatadas complicações locais nos pacientes tratados com cirurgia; já 14/16 pacientes tratados com radioterapia apresentaram radiodermite aguda e 2/16 apresentaram úlcera crônica no local irradiado com duração de até um ano e meio.4
Hamilton et al. realizaram uma análise retrospectiva, em que quatro de 12 pacientes tratados com cirurgia experimentaram recorrência no local tratado. Nesta mesma série, apenas dois dos 92 pacientes tratados com radioterapia tiveram recorrência no campo irradiado. Não houve, porém, diferença da sobrevida livre de doença em cinco anos, o que significa que a radioterapia como tratamento secundário pode ser postergada até a recidiva clínica do linfoma, sem alteração no prognóstico do paciente.5
Como conclusão, o tratamento cirúrgico é uma opção válida ao tratamento com radioterapia em pacientes com linfomas B cutâneos primários de comportamento clínico indolente com lesões únicas ou localizadas. Pela raridade da doença, faltam estudos clínicos randomizados entre as duas modalidades terapêuticas bem como a definição da margem cirúrgica ideal. Com base nos estudos anteriores descritos, os autores utilizaram a margem de segurança de 5mm. Recomenda-se o seguimento a longo prazo destes doentes.
REFERÊNCIAS:
Wilcox RA. Cutaneous B-cell lymphomas: 2018 update on diagnosis, risk stratification, and management. Am J Hematol. 2018;93(11):142730.
Willemze R, Cerroni L, Kempf W, et al. The 2018 update of the WHO-EORTC classification for primary cutaneous lymphomas. Blood. 2019;133(16):1703-14.
Servitje O, Muniesa C, Benavente Y, Monsálvez V, Garcia-Muret MP, Gallardo F, et al. Primary cutaneous marginal zone B-cell lymphoma: Response to treatment and disease-free survival in a series of 137 patients. J Am Acad Dermatol. 2013;69(3):357-65.
Parbhakar S, Cin AD. Primary cutaneous B-cell lymphoma: role of surgery. Can J Plast Surg. 2011;19(2):e12-4.
Hamilton SN, Wai ES, Tan K, Alexander C, Gascoyne RD, Connors JM. Treatment and outcomes in patients with primary cutaneous B-cell lymphoma: the BC Cancer Agency experience. Int J Radiat Oncol Biol Phys 2013;87(4):719- 25.
Notas
Autor notes
Elisa Nunes Secamilli 0000-0001-9036-4200
Aprovação da versão final do manuscrito; concepção e planejamento do estudo; elaboração e redação do manuscrito; obtenção, análise e interpretação dos dados; participação intelectual em conduta propedêutica e/ou terapêutica de casos estudados; revisão crítica da literatura.
Juliana Yumi Massuda-Serrano 0000-0002-5221-2385
Aprovação da versão final do manuscrito; concepção e planejamento do estudo; participação intelectual em conduta propedêutica e/ou terapêutica de casos estudados; revisão crítica da literatura; revisão crítica do manuscrito.
Rafael Fantelli Stelini 0000-0003-0618-1693
Concepção e planejamento do estudo; elaboração e redação do manuscrito; participação intelectual em conduta propedêutica e/ou terapêutica de casos estudados; revisão crítica da literatura; revisão crítica do manuscrito.
Thais Helena Buffo 0000-0002-6833-7596
Concepção e planejamento do estudo; participação intelectual em conduta propedêutica e/ou terapêutica de casos estudados; revisão crítica da literatura; revisão crítica do manuscrito.
Paulo Eduardo Neves Ferreira Velho 0000-0002-7504-8370
Aprovação da versão final do manuscrito; concepção e planejamento do estudo; participação efetiva na orientação da pesquisa; revisão crítica da literatura; revisão crítica do manuscrito
Correspondência: Elisa Nunes Secamilli, elisans42@gmail.com
Declaração de interesses