Relato de Caso
Dermoabrasão na ocronose exógena: uma opção terapêutica
Dermabrasion in exogenous ochronosis: a therapeutic option
Dermoabrasão na ocronose exógena: uma opção terapêutica
Surgical & Cosmetic Dermatology, vol. 15, e20230232, 2023
Sociedade Brasileira de Dermatologia
Recepção: 24 Fevereiro 2023
Aprovação: 10 Maio 2023
RESUMO: A ocronose exógena é uma dermatose estigmatizante, caracterizada por máculas assintomáticas, negro-azuladas ou acinzentadas, em áreas fotoexpostas. Associada ao uso prolongado da hidroquinona no tratamento das discromias, possui arsenal terapêutico amplo, porém de resultados tidos como insatisfatórios e/ou onerosos. Relatamos o caso de uma paciente feminina com ocronose exógena, comprovada histologicamente, e submetida à dermoabrasão associada ao uso de tretinoína e corticosteroide tópicos, com resultados surpreendentes após três meses de acompanhamento, ressaltando o sucesso terapêutico com técnica de baixo custo e de execução ambulatorial.
Palavras-chave: Ocronose, Terapêutica, Dermabrasão.
ABSTRACT: Exogenous ochronosis is a stigmatizing dermatosis characterized by asymptomatic, bluish-black, or grayish macules in photoexposed areas.Associated with the prolonged use of hydroquinone for the treatment of dyschromias, it has a broad therapeutic arsenal, but the results are unsatisfactory and/or costly. We report the case of a female patient with histologically proven exogenous ochronosis who underwent dermabrasion associated with the use of tretinoin and topical corticosteroids with surprising results after three months of follow-up to demonstrate the possibility of therapeutic success with a low-cost technique and an outpatient clinic procedure.
Keywords: Ochronosis, Therapeutics, Dermabrasion.
INTRODUÇÃO
A ocronose exógena é uma dermatose adquirida, rara, restrita à pele, de incidência desconhecida, cuja causa mais frequente é o uso indiscriminado da hidroquinona no tratamento do melasma.1-4 Caracteriza-se pela presença de máculas assintomáticas, de coloração negro-azulada ou acinzentada, em áreas fotoexpostas.2,3,5 Em sua base patogenética, proposta por Penneys, entende-se que a hidroquinona iniba a enzima oxidase do ácido homogentísico, levando ao depósito deste, na forma de pigmento ocronótico entre as fibras colágenas dérmicas.2-5
Denominada primariamente por Wirchow em 1866, e descrita posteriormente em 1906 por Pick, em 1912 por Berddard e Plumtre, e em 1975 por Findlay, a ocronose exógena predomina na população negra e acomete preferencialmente face, colo, dorso superior e face extensora dos membros.1-3,5 Deve ser diferenciada da ocronose endógena (alcaptonúria), uma desordem metabólica autossômica recessiva que, além da hiperpigmentação cutânea, apresenta manifestações articulares e cardiovasculares.1,4,5
Em 1979, foi classificada por Dogliotti e Leibowitz em três estágios clínicos: grau I - eritema e hiperpigmentação leve; grau II - mílio coloide pigmentado (lesões caviar-like) e certa atrofia; e grau III - lesões papulonodulares com ou sem inflamação.2,3,5
Seus principais fatores de risco são: fototipos elevados, ausência de fotoproteção e uso de hidroquinona em concentrações superiores a 3% por mais de seis meses.2,4 No entanto, há casos relatados com o uso de concentrações menores a 2% e em tempo inferior a seis meses.2-4 Ademais, o quadro pode ser causado por exposição a outras substâncias como antimaláricos, fenol, resorcina, mercúrio, entre outros.1,5
O arsenal terapêutico é amplo, porém com resultados tidos como insatisfatórios e/ou onerosos.3 Assim, o sucesso terapêutico obtido com técnica de baixo custo e execução ambulatorial motivaram este relato.
RELATO DO CASO
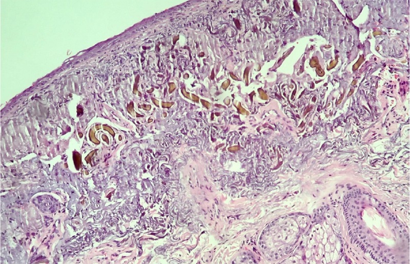
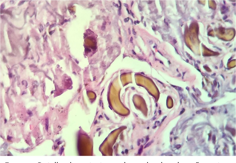
Mulher de 70 anos, fototipo IV, com queixa de “manchas na face há dez anos”. Ao exame dermatológico, apresentava na face (frontotemporal, malar e mandibular bilateral), cervical e colo, máculas hipercrômicas, bem delimitadas, de bordas irregulares, formadas pela confluência de pigmentação enegrecida-acinzentada com distribuição folicular, assintomáticas (Figura 1). Negava comorbidades e relatava uso prévio de formulação contendo tretinoína e hidroquinona para tratamento de melasma. Diante do quadro clínico, foram feitas as hipóteses diagnósticas de: líquen plano pigmentoso, ocronose exógena, dermatite de contato pigmentada e melanodermia tóxica. Foi realizada biópsia incisional em dois pontos e houve prescrição de dexametasona tópica associada à fotoproteção. O histopatológico mostrou epiderme retificada, derme com degeneração basofílica do colágeno, estruturas alongadas de coloração castanho-amarelada, derrame pigmentar e reação de corpo estranho focal em ambas as amostras (Figuras 2 e 3). Estes achados associados ao quadro cutâneo e à ausência de manifestações sistêmicas concluíram o diagnóstico de ocronose exógena. A paciente foi submetida à dermoabrasão com lixa d’água, por área facial acometida (Figura 4), associada ao uso de formulação tópica noturna contendo desonida 0,05%, tretinoína 0,01% e alfa bisabolol 2%, além de fotoproteção. Após três meses, houve clareamento expressivo (Figura 5). Paciente encontra-se em acompanhamento ambulatorial com resultado mantido.





MÉTODO
O método utilizado foi a dermoabrasão manual com lixa d’água. Utilizou-se anestesia com solução de lidocaína 2% com vasoconstritor, diluída em soro fisiológico (5 e 15ml, respectivamente), acrescida de bicarbonato de sódio 8,4% (0,5ml) objetivando minimizar a dor da aplicação e promover considerável hemostasia permitindo melhor visualização do grau de injúria ao tecido tratado. As lixas d’água utilizadas foram de número 120 e 280, iniciando-se com a 120 (mais grossa e áspera). As lixas eram imersas em soro fisiológico em uma cúpula antes do uso. Utilizou-se também seringa de 3ml, que apresenta diâmetro adequado para adaptação e preensão da lixa em relação ao operador. A dermoabrasão per se compreende movimentos de vai e vem em todos os sentidos até que se observe orvalho sangrante dérmico intenso e clareamento do pigmento ocronótico. Ao redor da área tratada, deve ser realizada uma dermoabrasão mais superficial para evitar marcada diferença em relação à pele normal.
DISCUSSÃO
Apesar de pouco frequente, a ocronose exógena é uma dermatose que impacta negativamente na qualidade de vida do indivíduo acometido, uma vez que suas características e localizações podem interferir na autoestima. No diagnóstico diferencial incluem-se: melasma, ocronose endógena, argiria, líquen plano pigmentado, nevo de Ota bilateral, melanose de Riehl e hiperpigmentação pós-inflamatória ou induzida por drogas, como amiodarona e minociclina.1,4,5
A confirmação histopatológica é mandatória, exibindo derrame pigmentar, elastose solar, fibras amarelo-acastanhadas em formato de banana na derme papilar e eventual presença de degeneração do colágeno, mílio coloide e granulomas.1-4 A dermatoscopia pode corroborar o diagnóstico, mostrando estruturas irregulares, globulares, anulares ou arciformes, castanho-acinzentadas, distribuídas ao longo da lesão e que obliteram as aberturas foliculares.4,5,6
O arsenal terapêutico é amplo, compreendendo fotoproteção associada a ácidos, despigmentantes, corticosteroides tópicos, dermoabrasão e lasers, porém com resultados tidos como insatisfatórios e/ou onerosos.3
A tretinoína, eficaz em alguns casos, produziu hiperpigmentação transitória em alguns pacientes.7 A associação da fotoproteção aos corticosteroides tópicos, bem como o uso da crioterapia, mostrou resultados variáveis.7,8 O uso oral da tetraciclina em lesões de aspecto sarcoídico levou à resolução completa após três meses.7Lasers como CO2, QS rubi 694nm, QS alexandrite 755nm e Nd:YAG 1064nm mostram-se tecnologias promissoras, com bons resultados na literatura.7-9
O ácido tricloroacético (ATA) é mencionado como ineficaz para o tratamento da ocronose; no entanto, França et al. empregaram peelings de ATA 20% como terapia adjuvante, obtendo regressão das lesões. Porém, neste caso, vários métodos/tecnologias (QS laser Nd:YAG, laser de CO2, microdermoabrasão, luz intensa pulsada (LIP) e peeling de ATA 20%) foram empregados e, com certeza, impactaram no resultado final.7 No relato de Ceglio et al., diferentes modalidades terapêuticas como QS laser Nd:YAG, laser de CO2 10.600nm fracionado, incluindo a LIP, também foram associadas com sucesso. Cabe a ressalva do uso cauteloso em pacientes com fototipos altos (acima de IV) pelo risco de discromias.8
A dermoabrasão é uma técnica que remove camadas superficiais da pele e tem como objetivo iniciar a reepitelização e cicatrização da mesma. Seu emprego clínico em diversas condições, como cicatrizes, manchas e para o rejuvenescimento facial, diminuiu substancialmente nos últimos anos com o desenvolvimento das novas tecnologias citadas anteriormente. Entretanto, uma ampla variedade de condições médicas já foi tratada com sucesso no passado por meio da dermoabrasão.10,11 Suas primeiras indicações foram descritas por Hanke et al., resumindo-se em: cicatrizes de acne, queratoses actínicas, adenoma sebáceo, queloides, líquen, nevos, queratoses seborreicas, tatuagens, cicatrizes traumáticas e rítides.10,11 Outros estudos também mostraram o sucesso de seu emprego na hipomelanose gutata idiopática, no vitiligo e após a cirurgia micrográfica de Mohs para melhores resultados estéticos e funcionais.12-15
Escassos relatos na literatura demonstram a dermoabrasão como uma opção no tratamento da ocronose exógena. Diven et al. utilizaram uma combinação de dermoabrasão e laser de CO2 ablativo com resultados satisfatórios nas regiões periorbital e nasal de uma mulher de fototipo alto.6 No presente relato, a dermoabrasão isolada com lixa d’água, técnica de baixo custo, de execução ambulatorial, mostrou melhora importante desta condição e, consequentemente, da qualidade de vida da paciente.
Concluímos ressaltando a necessidade de novos estudos que reproduzam este resultado e corroborem esta indicação/técnica. Alertamos também o médico dermatologista sobre a importância de reconsiderar o diagnóstico nos melasmas refratários.
REFERÊNCIAS:
Qorbani A, Mubasher A, Sarantopoulos GP, Nelson S, Fung MA. Exogenous Ochronosis (EO): skin lightening cream causing rare caviar-like lesion with banana like pigments; review of literature and histological comparison with endogenous counterpart. Autops Case Rep [Internet]. 2020;10(4):e2020197.
Martins VMR, Sousa ARD, Portela NC, Tigre CAF, Goncalves LMS, Castro Filho RJL. Ocronose exógena: relato de caso e revisão da literatura. An Bras Dermatol. 2012;87(4):633-6.
Ribas J, Schettini APM, Cavalcante MSM. Ocronose exógena induzida por hidroquinona: relato de quatro casos. An Bras Dermatol. 2010;85(5):699-703.
Ko WL, Wang KH. Exogenous ochronosis. Dermatol Sin. 2015;33(1):29-30.
Sánchez-Martínez EM, García-Briz MI, Moneva-Léniz LM, Gegúndez-Hernández H, Pose-Lapausa P, Mateu-Puchades A. Exogenous ochronosis: the failure of depigmenting creams. Dermatol Online J. 2019;25(4):13030/qt5vd7h6xc.
Carvalho CGS, Vilela VN, Rocha AEA, Carvalho GSM, França ER, Rodrigues AGA. Ocronose exógena tratada com laser de CO2. Surg Cosmet Dermatol. 2016:8(4):370-2.
França ER, Paiva V, Toscano LPN, Rodrigues TFA. Ocronose exógena: relato de caso. Surg Cosmet Dermatol. 2010;2(4)319-21.
Ceglio WW, Careta MF, Patriota R, Torezan LA. Exogenous ochronosis successfully treated with the combination of intense pulsed light and fractional CO2 laser. An Bras Dermatol. 2023;98(1):138-40.
Torraca PFS, Sandini EM, Freitas TCM. Uso de tecnologias a laser e luz intensa pulsada no tratamento da ocronose exógena: uma revisão da literatura. Surg Cosmet Dermatol. 2021;13:e20210002.
Hanke CW, O'Brian JJ, Solow EB. Laboratory evaluation of skin refrigerants used in dermabrasion. J Dermatol Surg Oncol. 1985;11(1):45-9.
El-Musa KA, Shehadi RS, Shehadi S. Extensive facial adenoma sebaceum: successful treatment with mechanical dermabrasion: case report. Br J Plast Surg. 2005;58(8):1143-7.
Dhotre AP, Singh SP, Madke B, Singh A, Jawade S. A comparison of the efficacy of 50% trichloroacetic acid (TCA) application and dermabrasion in patients with idiopathic guttate hypomelanosis (IGH): a pilot study. Iranian J Dermatol. 2020;23(4):142-49.
Campbell RM, Harmon CB. Dermabrasion in our practice. J Drugs Dermatol. 2008;7(2):124-8.
Tolkachjov SN, Harmon CB. How we do it: dermabrasion as a primary reconstruction option for nasal defects. Dermatol Surg. 2019;45(4):627-30.
Dev A, Vinay K, Kumaran MS, Bishnoi A, Srivastava N, Dogra S, et al. Electrofulguration-assisted dermabrasion is comparable to manual dermabrasion in patients undergoing autologous non-cultured epidermal cell suspension for treatment of stable vitiligo: a randomized controlled trial. J Cosmet Dermatol. 2022;21(4):1574-81.
Notas
Autor notes
Correspondência: Veridiana de Paula Santos Miranda Email: veridiana.santos@outlook. com
Declaração de interesses