Relato de Caso
Relato de caso: granuloma pós-injeção de sérum comercial à base de ácido hialurônico
Case report: Granuloma after infection of commercial hyaluronic acid serum
Relato de caso: granuloma pós-injeção de sérum comercial à base de ácido hialurônico
Surgical & Cosmetic Dermatology, vol. 15, e20230224, 2023
Sociedade Brasileira de Dermatologia
Recepção: 06 Fevereiro 2023
Aprovação: 20 Abril 2023
RESUMO: O granuloma de corpo estranho pode ocorrer após a injeção de substâncias preenchedoras na derme. Relatamos o caso de paciente do sexo feminino, 35 anos, que realizou autoaplicação injetável de um sérum comercial de uso exclusivamente tópico contendo ácido hialurônico, na região das olheiras, por motivos estéticos. Após procedimento, apresentou um nódulo na pálpebra inferior direita, que julgou tratar-se de um acúmulo de produto. Injetou, então, pomada de betametasona + hialuronidase (Postec®), evoluindo com granuloma de corpo estranho.
Palavras-chave: Granuloma, Preenchedores dérmicos, Ácido hialurônico.
ABSTRACT: Foreign body granuloma can occur after injection of filling substances into the dermis. We report a case of a 35-year-old woman who performed a self-injectable injection of a commercial serum for exclusively topical use containing hyaluronic acid in the region of the dark circles for aesthetic reasons. After the procedure, she presented a nodule in the lower right eyelid, which she judged to be an accumulation of product. Then she injected betamethasone + hyaluronidase ointment (Postec®), evolving into a foreign body granuloma.
Keywords: Granuloma, Dermal fillers, Hyaluronic acid.
INTRODUÇÃO
O granuloma de corpo estranho é uma reação inflamatória crônica, devido à existência de um material estranho ao organismo ou de um material do próprio organismo em localização ectópica, composta principalmente por macrófagos e células gigantes multinucleadas.1
Pode ocorrer após a injeção de substâncias preenchedoras na derme, apresentando várias características clínicas e histológicas, dependendo do tipo de material injetado. É uma reação não alérgica que ocorre entre 6 e 24 meses após as injeções.1
Clinicamente, granulomas de corpos estranhos consistem em pápulas, nódulos, tumores e/ou fístulas, localizados no local em que se encontra o corpo estranho, apresentando quadro clínico de evolução arrastada. A gravidade do granuloma de corpo estranho pode ser classificada em quatro graus de acordo com os tipos e número de células presentes, variando de 0, que corresponde à ausência de reação visível, a 4, que seria o granuloma encapsulado com reação de corpo estranho.2
De acordo com Lee JM e Kim J Y, após revisão sistemática, os fatores que afetam a formação de granulomas causados por preenchimentos dérmicos são: volume injetado, injeções repetidas, impurezas, tamanho das partículas, superfície e carga das partículas e hidrofilicidade. Dentre esses fatores, a superfície das partículas e a presença de impurezas se destacaram como particularmente relevantes.²
RELATO DO CASO
Paciente feminino, 35 anos, procedente de Belo Horizonte, relatou que em maio/21 realizou autoaplicação em domicílio de um sérum comercial de uso exclusivamente tópico, contendo ácido hialurônico, na região das olheiras, por meio de injeção intradérmica, por motivos estéticos. Após a injeção, notou um pequeno nódulo na pálpebra inferior direita em sua porção mais lateral, que julgou tratar-se de um acúmulo de produto. Injetou, então, pomada de betametasona + hialuronidase (Postec®), disponível no mercado para uso exclusivamente tópico. Cerca de uma semana após a inoculação do produto, a pálpebra direita inferior apresentou importante eritema e nodulações de consistência endurecida (Figura 1).

Após a manifestação cutânea, fez uso de diversos medicamentos tópicos, por conta própria, como: dexametasona, hidrocortisona, desoximetasona + sulfato de neomicina (Esperson® N), bacitracina zíncica + sulfato de neomicina (Nebacetin®), mupirocina, polissulfato de mucopolissacarídeo (Topcoid gel®) e mometasona. Também fez uso de medicamentos sistêmicos como sulfametoxazol + trimetoprima (400mg + 80mg/cp) duas vezes ao dia, por 10 dias, e prednisona 40mg por dia por 30 dias em julho/21.
Como comorbidade, a paciente apresentava leucemia mieloide crônica, em acompanhamento com a Hematologia do mesmo hospital. Fazia uso regular de nilotinibe 400mg duas vezes ao dia, fluoxetina 20mg por dia e clonazepam 1mg por dia. Não possuía história de alergias medicamentosas.
A principal hipótese diagnóstica foi de granuloma de corpo estranho, mas também foi levantada a hipótese de mico-bacteriose atípica, principalmente por se tratar de um produto não estéril.
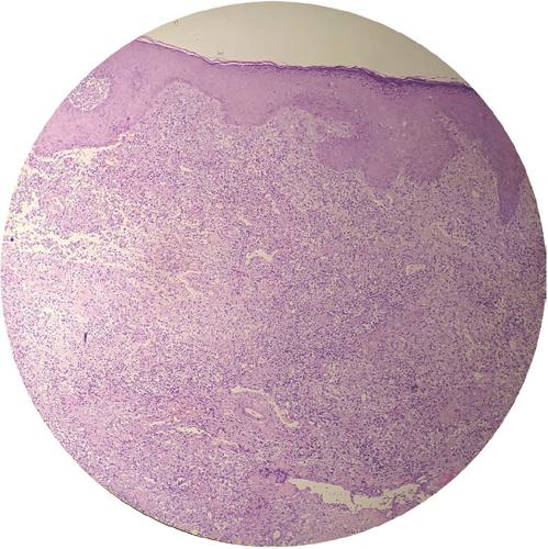
Foi realizada biópsia da lesão cutânea com exame anatomopatológico, que evidenciou um infiltrado inflamatório misto, com ectasia vascular, hemorragia e acúmulos de histiócitos, esboçando granulomas malformados (Figura 2). Parte do material também foi enviado para cultura, sem crescimento de micobactérias.

Foi iniciada infiltração de triancinolona 20mg/ml diluída 1:4 na região, em novembro/21. Foram realizadas, no total, quatro sessões (Figura 3). Realizaram-se também quatro cirurgias por fuso para exérese de alguns nódulos que a incomodavam esteticamente (Figura 4). Ainda em acompanhamento, apresentando boa resposta.


DISCUSSÃO
O tratamento de primeira linha para granulomas de corpo estranho causados por preenchimentos é a injeção intralesional de corticosteroides, o mais rapidamente possível.2 É preferível injetar uma alta dose de triancinolona (por exemplo, 40mg) misturada com lidocaína (diluição 1:1) para prevenir a recorrência. Pode ser usada também betametasona ou metilprednisolona, sem diluição prévia.3 A injeção local de corticosteroides interfere nas atividades de fibroblastos, macrófagos, células gigantes e na síntese de colágeno. Há muitos relatos de sucesso no tratamento de granulomas de corpo estranho causados por Artecoll, ácidos hialurônicos e Matridex, usando-se injeções intralesionais de esteroides.2 Deve ser injetado estritamente no nódulo, segurando-o entre dois dedos. Forte resistência à agulha deve ser sentida. Se essa terapia for iniciada precoce e agressivamente, excisão cirúrgica poderá não ser necessária.3
São sugeridas duas a cinco sessões de corticoide intralesional em intervalos de três semanas. Se não houver melhora após duas a quatro semanas, a dose deve ser dobrada. Recomenda-se uma seringa de insulina de 0,5mL ou 1mL com uma agulha de calibre 30 para injeções intralesionais. Uma seringa de diâmetro menor permite que a resistência do granuloma seja detectada, o que ajuda a prevenir a atrofia dérmica induzida por corticosteroides.3
O 5-fluorouracil intralesional, um agente antimitótico, pode funcionar com sucesso nesse tipo de granuloma, isoladamente ou associado aos corticoides. Associação entre 5-fluorouracil e betametasona parece ter um efeito anti-inflamatório mais potente3 e com menor risco de atrofia quando comparada ao uso de corticoide intralesional isolado.3,4
A bleomicina, pela experiência com queloides e cicatrizes hipertróficas, também pode funcionar em granulomas. Os corticoides sistêmicos devem ser usados para granulomas recorrentes. As doses devem ser maiores do que as usadas em injeções locais. O uso de prednisona oral (30 a 60mg/dia) é recomendado para prevenir a recorrência de granulomas.3
A minociclina isolada ou combinada com corticosteroides orais ou intralesionais é indicada para granulomas inflamatórios generalizados. Possui propriedade anti-inflamatória, imunomoduladora e antigranulomatosa. Além disso, o tratamento sistêmico de granulomas de corpo estranho com alopurinol, colchicina e ciclosporina foi relatado.2
Também há a opção do uso de lasers. Pequenos granulomas não inflamatórios responderam bem a lasers de 532nm de pulso longo. Granulomas inflamatórios maiores mostraram algumas respostas favoráveis a lasers de pulso longo de 1064nm.3
A coloração azulada de alguns granulomas de corpo estranho esclerosantes superficiais pode ser tratada efetivamente com luz intensa pulsada. Quatro a cinco sessões demonstraram não só bloquear a neovascularização, mas também amolecer e diminuir o volume do granuloma subjacente, provavelmente reduzindo seu suprimento de sangue.3
A excisão de granulomas de corpo estranho não é uma terapia de primeira escolha porque a remoção completa de um granuloma é impossível em muitos casos. Pode haver complicações como a formação de abscesso ou fístula após a cirurgia em granulomas que são induzidos por fluido de silicone ou gel de acrilamida. No caso de um abscesso estéril óbvio, a incisão e a drenagem do abscesso são tratamentos eficazes.2
O caso relatado representa apenas uma pequena demonstração da banalização da cosmiatria no atual cenário brasileiro, uma vez que até mesmo produtos tópicos estão sendo autoaplicados para fins estéticos.
Granulomas de corpo estranho podem ser tratados de forma eficaz com injeções intralesionais de corticoides. Porém, o diagnóstico precoce correto é muito importante, tendo em vista a introdução rápida de terapia adequada para uma melhor resposta e exclusão de diagnósticos diferenciais como micobacterioses atípicas.
Mesmo em casos em que a corticoterapia intralesional possa não ser completamente eficaz, o seu uso combinado a outras terapias pode diminuir cicatriz, eritema, edema e possibilitar, muitas vezes, uma abordagem cirúrgica com menor chance de complicações.
Em geral, nódulos e granulomas de corpo estranho com pouca formação de cápsula e pouco crescimento interno de tecido - como granulomas císticos, que podem ocorrer após a injeção de colágeno ou ácido hialurônico, ou nódulos compactados de hidroxiapatita de cálcio (Radiesse®), silicone e poliacrilamidas - não reagem a corticoides ou a drogas antimitóticas intralesionais.
Nesses casos, primeiro drenagem ou remoção cirúrgica, especialmente dos lábios, sejam provavelmente os métodos de escolha.3
REFERÊNCIAS
Belda W Jr, Chiacchio ND, Criado PR. Tratado de Dermatologia – volume 2. 3rd ed. São Paulo: Atheneu; 2018.
Lee JM, Kim YJ. Foreign body granulomas after the use of dermal fillers: pathophysiology, clinical appearance, histologic features and treatment. Arch Plast Surg. 2015;42(2):232-9.
Lemperle G, Gauthier-Hazan N. Foreign body granulomas after all injectable dermal fillers: part 2. Treatment options. Plast Reconstr Surg. 2009;123(6):1864-73.
Lemperle G, Rullan PP, Gauthier-Hazan N. Avoiding and treating dermal filler complications. Plast Reconstr Surg. 2006;118(3 Suppl):92S-107S.
Notas
Autor notes
Correspondência: Daniela de Cássia Sampaio Miranda Email: dani.sampaiomiranda@gmail.com
Declaração de interesses