Artigo de Revisão
Examine a lâmina e não apenas leia o laudo!
Examine a lâmina e não apenas leia o laudo!
Surgical & Cosmetic Dermatology, vol. 16, e20240282, 2024
Sociedade Brasileira de Dermatologia
Received: 25 July 2023
Accepted: 11 September 2023
RESUMO: Laudos histopatológicos são descrições, realizadas pelo patologista, de um quadro de morfologia microscópica, que podem ser compreendidos desde que os elementos básicos das estruturas histológicas sejam conhecidos. Porém, a visualização da imagem morfológica em si pode ser mais útil no sentido de entender o que realmente está sendo descrito, a exemplo do exame do quadro radiológico, que é diretamente realizado pelo ortopedista apesar de o laudo ser feito pelo radiologista. Este artigo discorre sobre esta realidade, tentando estimular o cirurgião a praticar essa visualização, a fim de melhorar a compreensão da situação clínico-cirúrgica, assim como da análise do estado das margens cirúrgicas ou do subtipo histológico.
Palavras-chave: Cirurgia de Mohs, Laboratório Oficial, Patologia, Reoperação, Neoplasias Cutâneas.
ABSTRACT: Histopathology reports are the pathologist’s description of a microscopic morphological image, which can be understood as long as the basic elements of the histological structures are known. However, actually viewing the morphological image can be more helpful in understanding what is really being described, similar to the examination of radiograms, which is directly performed by the orthopedist despite the report being made by the radiologist. This article discusses this scenario, with the aim of encouraging surgeons to view and inspect morphological images to improve their understanding of the clinical-surgical status and their analysis of the state of the surgical margins or the histological subtype.
Keywords: Mohs Surgery, Official laboratory, Pathology, Reoperation, Skin Neoplasms.
INTRODUÇÃO
Anos de convivência com cirurgiões das mais diferentes especialidades nos revelaram um fato: a minoria deles seria capaz de processar devidamente um espécime cirúrgico e interpretar os achados histopatológicos. Não que isso seja absolutamente necessário, mas a maioria dos cirurgiões apenas interpreta laudos e seria incapaz de argumentar com o patologista caso recebesse um laudo falso-positivo, pois raramente vivenciou a rotina da histotécnica. Apenas os cirurgiões micrográficos têm um pouco mais de vivência em examinar os cortes histológicos, de forma que o laudo do patologista, que raramente descreve possíveis artefatos de técnica ou outros vieses, torna-se uma verdade inexpugnável, apesar da observação contida rotineiramente no rodapé de que, em caso de dúvida, o patologista deverá ser comunicado e o caso, revisto.
Na revisão da literatura médica sobre o assunto, quase nada encontramos especificamente sobre este fato, sendo que, algumas vezes, de forma velada, possíveis erros na manipulação histotécnica são pobremente analisados1 ou logo afastados como “improváveis”.2
Esta pequena revisão procura incentivar os cirurgiões a se habituarem a examinar os cortes histológicos de suas próprias cirurgias e, com o tempo, perceberem que existe uma significante quantidade de fatores que podem interferir no laudo fornecido pelo patologista. Este, por sua vez, pode ser induzido a erros até por falta de informações adequadas do cirurgião que enviou o material. É bom lembrar que todo laboratório de Anatomia Patológica tem a sua rotina muitas vezes padronizada entre eles, mas a regra é o patologista, na sua rotina de trabalho, receber diariamente grande quantidade de lâminas prontas dos mais variados tecidos e casos, processadas pelos seus histotécnicos. Quanto maior o volume de casos de um Serviço, maior a chance de erros. Ninguém é infalível. Os cortes histopatológicos na lâmina, produto do processamento histológico, devem ser interpretados à luz de todos os fenômenos que podem tornar o laudo o mais apurado possível. Não é à toa que alguns laboratórios sempre colocam uma nota em seus laudos do tipo: “todo exame histopatológico deve ser correlacionado com o quadro clínico do paciente sem o que, a interpretação do resultado é apenas relativa”.
O PROCESSAMENTO HISTOPATOLÓGICO
Na rotina laboratorial, primeiramente o espécime cirúrgico deve ser fixado. O que se usa normalmente é a formalina (formaldeído 37%, diluído em proporção 9:1 ou 10%).3,4 O ideal é a formalina tamponada, pois no caso de se necessitar de imuno-histoquímica (IHQ), o formaldeído não tamponado pode ser prejudicial.5,6 O tempo de fixação também é importante. Ele deve ser de, no mínimo, seis horas e, no máximo, de 72 horas para que os antígenos se preservem. Após esse tempo, os resultados de coloração histoquímica ou imuno-histoquímica podem se alterar. Atenção especial deve ser dada ao volume necessário de formalina para adequada fixação, sendo que o parâmetro ideal é, no mínimo, 10 vezes o volume do tecido a ser fixado. Depois da ressecção do espécime, ele deve ser colocado no fixador (formalina) no máximo em 30 minutos.7,8,4 O processo de fixação em formalina vai iniciar o processo de enrijecimento para possibilitar o corte extremamente fino que sofrerá no micrótomo. O tempo de permanência na formalina depende do tamanho da peça. Quanto maior a peça, maior o tempo. A penetração da formalina no tecido é de cerca de 1mm/hora. Uma peça de 2cm leva, em média, 24 horas para a fixação inicial desejada, ao passo que uma de 10cm levaria de três a cinco dias.9 Tempo prolongado (maior que cinco dias), dentro do formol, pode levar a uma deformação da peça cirúrgica, por vezes sendo necessários artifícios para se manter o formato do espécime, como, por exemplo, colocando-se um peso sobre ele ou mesmo fixando-o a uma superfície rígida no sentido desejado, antes mesmo da sua introdução na formalina.10 O tamanho do recipiente que receberá a peça cirúrgica também é importante, visto que frascos pequenos para peças grandes podem conter quantidade insuficiente de formalina para uma boa fixação, assim como resultar em deformação da peça cirúrgica caso ela permaneça mais tempo que o necessário dentro do frasco. O ideal é que a peça cirúrgica não seja comprimida dentro do frasco e mantenha a sua forma original com quantidade suficiente de formalina. A fixação vai ser completada por um período de cerca de 10 a 12 horas, em que o espécime vai ser desidratado por imersão em álcool, clarificado e parafinizado até que a rigidez necessária para o corte seja atingida. Isto geralmente é realizado de maneira automática em um aparelho processador de tecidos, denominado histotécnico.3,4,7,9,10
Um dos passos mais importantes da histotécnica é a pintura das bordas cirúrgicas. Sem isso, pode haver fragmentação da borda durante o corte ou processamento, dificultando ao patologista a análise, pois ele pode não estar se referindo à borda cirúrgica verdadeira.4,9 O cirurgião pode, dependendo da situação, pintar a borda cirúrgica de acordo com o que ele quer, sendo isso bem melhor que apenas colocar um fio cirúrgico em determinada posição na tentativa de orientar o espécime. Fazer um desenho com as diferentes cores juntamente com o pedido do exame pode ser muito útil ao patologista. De preferência, a pintura da borda cirúrgica deve ser realizada antes da fixação ou antes que o espécime seja colocado no histotécnico para que não contamine áreas não relacionadas à borda cirúrgica, como superfície de clivagem, por exemplo.4,8,9,10
Depois de completamente fixada e com as bordas cirúrgicas pintadas, procede-se à clivagem (amostragem). Muitos técnicos executam a clivagem logo após pintar as bordas cirúrgicas, fixando a tinta imediatamente com ácido acético. A superfície de clivagem não deve ser pintada e se mostra retilínea durante o corte. Também é importante que a clivagem seja realizada com um corte só e com o espécime devidamente fixado; do contrário, uma superfície amolecida pode deformar o espécime, dificultando o reconhecimento da verdadeira borda cirúrgica.
O próximo passo é a inclusão do espécime na parafina líquida, de forma que, quando ela se solidificar, a superfície desejada para o corte se ajuste o mais perfeitamente possível à borda reta do bloco de parafina, para que, durante o corte, não haja necessidade de muito desgaste do bloco para se obter o corte desejado. Uma inclusão sem o cuidado necessário pode deixar o espécime mal posicionado no bloco de parafina, resultando em superfície de corte inadequada. Isso é extremamente importante em cortes paralelos à orientação da margem cirúrgica (cortes “in face”), muito utilizados em métodos periféricos de cirurgia micrográfica (Mohs e Torta de Tübingen).11
Em seguida, o bloco de parafina vai ser fixado ao micrótomo para realização dos cortes. Dependendo da situação, como nos cortes “in face”, o ajuste inicial da cabeça móvel do micrótomo deve ser feito de tal forma que possibilite cortar toda a superfície desejada nas primeiras tentativas. Caso contrário, um desgaste excessivo do bloco pode comprometer a correta avaliação da borda cirúrgica. A maioria dos técnicos é habilidosa e cuidadosa, mas quando o volume de trabalho aumenta, a rapidez de processamento pode gerar mais desgaste, pois é mais fácil apenas desbastar o bloco que ajustá-lo cuidadosamente, conferir o desgaste, ajustar novamente, até que o primeiro corte atinja toda a superfície a ser examinada. Um desgaste excessivo e lá se vai a nossa borda cirúrgica “in face”. Obtido o corte desejado, ele é então colhido e colocado nas lâminas, onde vai ser corado. Adiciona-se uma lamínula para proteger os cortes e o processo está terminado.
Todo este processamento foi aqui descrito porque é essencial que o médico assistente se atente a cada detalhe técnico para que possa, examinando a lâmina, perceber quando estes passos podem não ter sido devidamente seguidos. Laboratórios de anatomia patológica recebem diariamente uma grande quantidade de exames dos mais variados tipos e não é incomum algumas falhas técnicas que podem falsear o laudo do patologista em relação ao estado das margens cirúrgicas. O patologista não participou da cirurgia e, muitas vezes, também não recebeu informações do peroperatório que poderiam influenciar no seu julgamento. Não se trata aqui de “duvidar da capacidade técnica dos laboratórios”, pois enganos, quem não os comete? O dever do cirurgião zeloso seria apenas de averiguar melhor a situação e, quanto mais informação ele tiver ou puder colher do que já foi feito, melhor para o paciente. Todos sabemos que a peça cirúrgica nunca é examinada em sua totalidade (nem em cirurgia micrográfica!). Assim, o laudo histopatológico que avalia a margem cirúrgica, na realidade, representa uma abstração lógica do julgamento que o patologista faz do quadro histopatológico e da relação deste com as bordas cirúrgicas, que pode representar a realidade (laudo correto) ou conter um falso-negativo ou falso-positivo. A figura 1 resume as etapas do processamento laboratorial histológico da peça cirúrgica.

O FALSO-NEGATIVO
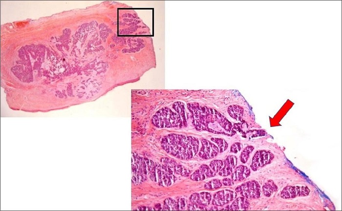
Pacientes operados de forma convencional, com base no conceito de margem de segurança e que, caracteristicamente, um a dois anos depois, desenvolvem um tumor com as mesmas características histopatológicas no mesmo local do tumor primário, são diagnosticados como portadores de um tumor recidivado. Como explicar isso se o laudo histopatológico da cirurgia anterior foi de “margens livres”? Esta situação é muito bem entendida pela maioria dos cirurgiões, pois a maioria sabe que a afirmação no laudo, de que a margem está livre, se refere a uma amostragem que não é total. O que muitos cirurgiões não sabem é que tal amostragem não chega nem a 1% da margem cirúrgica total, na maioria das vezes. Há com certeza laboratórios altamente criteriosos que realizam rotineiramente inclusão total com finas fatias, especialmente quando o próprio patologista realiza a macroscopia, dedicando-se à subárea específica como a Dermatopatologia. Porém, a rotina de grandes redes laboratoriais, cada vez mais frequentes no mercado, é de uso de técnicos de macroscopia, treinados de forma a padronizar o processo, sem o adequado conhecimento técnico (médico) para interpretar os dados do pedido e as hipóteses diagnósticas e assim decidir por uma forma mais “personalizada” de amostragem de acordo com cada situação.4,9 Outro ponto a ser destacado é que a inclusão total muitas vezes implica maior número de blocos, com gastos que se multiplicam e trariam prejuízo financeiro. Mas o fato é que muitos cirurgiões sabem que, não sendo a amostragem totalmente representativa, uma pequena parcela destes resultados pode representar um falso-negativo, isto é, foi deixada uma porção do tumor no paciente, embora o laudo tenha sido de “margens livres”. Isso justificaria a recidiva tumoral. Uma vez que existe sinal clínico compatível com um tumor no local anteriormente operado, a decisão de reoperar o paciente é fácil de ser tomada. Esta situação é mais frequente quanto mais infiltrativo é o tumor.
O laudo deve conter a informação, nem sempre observada pelo cirurgião, de ter sido o espécime totalmente incluído ou não. As siglas geralmente usadas são: TI (totalmente incluído) ou IT (inclusão total), PI (parcialmente incluído) ou IP (inclusão parcial); também podem ser utilizados CR (com reserva de material da macroscopia) ou SR (sem reserva de material da macroscopia e, portanto, totalmente incluído). O laboratório é obrigado a não desprezar o que restou das amostragens da macroscopia por seis meses, de forma que o patologista possa, desde que solicitado, completar a inclusão de todo o espécime.4 No entanto, a falta de familiaridade com o processamento histotécnico faz com que muitos cirurgiões sequer interpretem corretamente os itens da macroscopia do laudo.
A figura 2 exemplifica o falso-negativo.

O FALSO-POSITIVO
Enquanto o falso-negativo só é percebido quando o tumor recidiva, o falso-positivo se baseia apenas na afirmação do laudo histopatológico, uma vez que esta informação estará disponível depois de alguns dias de terminada a cirurgia. A princípio representa uma surpresa tanto para o paciente quanto para o cirurgião, pois o conceito de margem de segurança, inicialmente tido como “seguro”, não se mostrou, então, efetivo em remover totalmente o tumor. A clínica não ajuda mais e o que temos é uma cicatriz recentemente adquirida. A maioria dos cirurgiões não duvida deste laudo, pois não tem como argumentar com o patologista, porque não está acostumado a examinar lâminas com cortes histopatológicos. Restam ao cirurgião dois caminhos: observar ou reoperar.
Observar está errado ou é arriscado? Há muito tempo se diz que apenas um terço dos tumores com laudos de margens comprometidas resultam em recidiva clínica.12,13,14,15,16 Muitos cirurgiões optam por observar. Uns por desconfiarem do laudo sem, porém, o contestarem. Outros por acreditarem que cânceres de pele (principalmente carcinomas basocelulares) têm “comportamento benigno, pois não dão metástases” e que uma recidiva não seria nenhum problema.16 Assim, na ausência de sinais clínicos, aguardar a evolução não parece ser uma conduta que vá piorar o prognóstico do paciente a longo prazo. Porém, não podemos nos esquecer de que observação não é tratamento, principalmente se a situação requer realmente reintervenção.
Talvez a pergunta crucial que devesse ser respondida fosse: existe mesmo a possibilidade de o paciente ter tumor residual, ou este laudo pode representar um falso-positivo? Em nossa vivência, o falso-positivo pode ocorrer por três situações mais comuns:
Artefatos de técnica
Tipo de visão do patologista
Margem coincidente
Artefatos de técnica
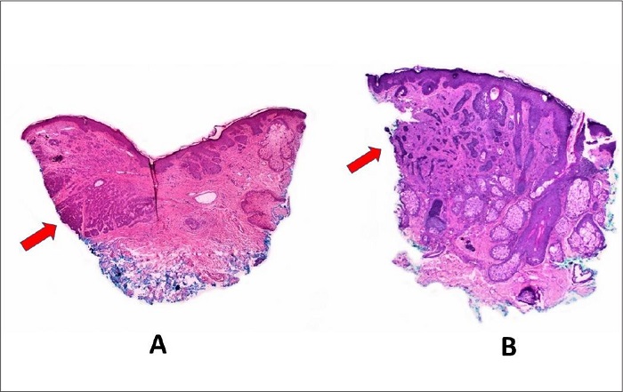
Um artefato de técnica muito comum é a falta de demarcação das bordas cirúrgicas com tinta ou mesmo a contaminação de superfícies com tinta, que não são bordas cirúrgicas (borda livre ou mesmo superfície de clivagem) (Figuras 3, 4, 5).



Tipo de visão (ou interpretação) do patologista
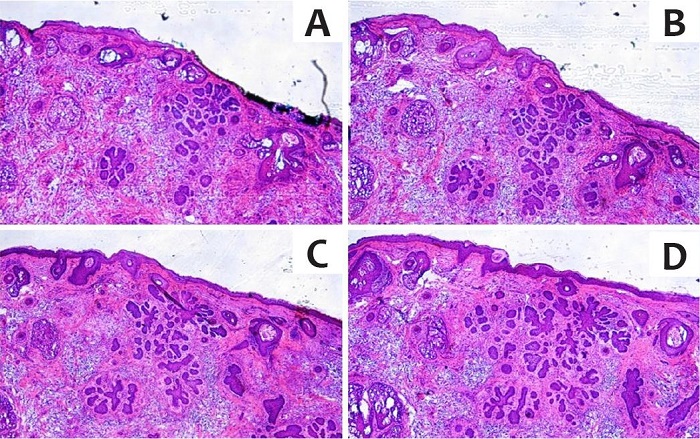
Muitos patologistas usam diferentes terminologias que podem significar “margens comprometidas” para os cirurgiões como, por exemplo, o termo “margens exíguas” ou margens menores que 1mm. Em cirurgia micrográfica, principalmente quando se usa o método de Munique, uma margem de 1mm pode ser mais do que suficiente, e patologistas não habituados à interpretação desta variação de cirurgia micrográfica poderiam ficar inseguros em afirmar que as margens estariam livres. Diversas vezes levei laudos de margens comprometidas para o patologista e, examinando juntamente com ele ao microscópio, ele me disse que “achou melhor julgar a margem comprometida porque o tumor estava muito próximo”, embora nos cortes histológicos a massa tumoral não tocasse a borda cirúrgica. Desta forma, é importante saber qual é a interpretação que o patologista costuma dar a essas situações, pois existem diferentes entendimentos entre os profissionais envolvidos (Figura 6).

Margem coincidente
Alguns patologistas usam o termo “margens coincidentes” quando o tumor aparenta apenas tocar focalmente a borda cirúrgica. Outros preferem julgar esta situação como margem comprometida ou focalmente comprometida. Sem dúvida, isso pode representar um dilema quando, na realidade, o tumor apenas tangencia a borda cirúrgica, mas não a ultrapassa. Quando se examinam casos como esses, sem dúvida a interpretação do patologista como margem comprometida está correta, mas nunca vi um patologista escrever em um laudo que pode tratar-se de um falso-positivo. Uma das características da borda tumoral nestas circunstâncias é seu aspecto arredondado ou curvo. Bordas tumorais retas coincidindo com borda cirúrgica devem ser interpretadas realmente como verdadeiras margens comprometidas (Figura 7). Em alguns casos, pela arquitetura da lesão, é mais fácil imaginar que esta borda seja apenas coincidente (ex: carcinoma basocelular nitidamente nodular). Porém, em casos micronodulares, infiltrativos ou com blocos pequenos, pode ser difícil afirmar que a margem é apenas coincidente, afastando-se a possibilidade de ter restado blocos residuais no leito cirúrgico no paciente. Por isso, o subtipo histológico e o padrão arquitetural do tumor devem ser muito valorizados na interpretação.

MARGENS COMPROMETIDAS
A margem está comprometida quando a borda cirúrgica, que deve estar pintada, coincide com a borda tumoral que se apresenta geralmente reta (isto é, dando a impressão de ter sido seccionada). Outras vezes, o tumor é bastante infiltrativo, de forma que projeções digitiformes dele aparecem seccionadas na borda cirúrgica. Muitos patologistas não mencionam a quantidade de tumor nos cortes que tocam as bordas cirúrgicas, desta forma não distinguindo até um possível caso de margem coincidente focal como acima descrito, de um caso no qual uma grande quantidade de tecido tumoral acomete a borda cirúrgica. O cirurgião atento para esta situação pode se sentir mais seguro com sua conduta de reoperar se perceber que grande quantidade de tecido tumoral tocava a borda cirúrgica (Figura 8).

DIVERGÊNCIAS DE INTERPRETAÇÕES HISTOPATOLÓGICAS
Uma imagem histopatológica nada mais é do que uma análise morfológica. A terminologia usada na linguagem histopatológica pode ser compreendida sendo o seu significado associado a uma patologia. Por exemplo, quando o patologista se refere a “células basaloides dispostas em blocos com periferia em paliçada, envoltos por retração do estroma”, todos interpretamos como sendo uma descrição de um carcinoma basocelular. Mas, realmente, não temos a mínima ideia do que realmente o patologista está descrevendo (a imagem em si). Gostamos de fazer esta brincadeira em palestras. Todos conhecem palmeiras, uma montanha, uma enseada de areias brancas, um céu azul... Imediatamente juntamos todos estes elementos num quadro e imaginamos o que está sendo descrito. Observem a figura 9. Ela contém todos estes elementos. Foi exatamente assim que você imaginou? Ou seja, uma figura vale por 5.000 palavras!

Todos nós sabemos que os tumores de crescimento irregular (infiltrativos) são mais imprevisíveis na sua forma de expansão, diferentemente dos tumores expansivos, que tendem a ser mais regulares. Isso tem importância no planejamento cirúrgico, isto é, se podemos ou não utilizar corretamente o conceito de margem de segurança.1 Da mesma forma do jogo com a imagem aqui apresentado, a descrição do patologista pode não se encaixar muito bem com o que o cirurgião pode perceber examinando a situação clínico-cirúrgica do paciente e vendo a imagem histopatológica diretamente. E isso ainda quando o patologista descreve o subtipo histológico do tumor! Muitos laudos não contêm essa descrição, que pode ser inclusive dificultada pelo tipo de material enviado ao patologista como, por exemplo, biópsias fragmentadas ou ínfimas.
COMENTÁRIOS FINAIS
É muito importante que se diga que este texto não tem absolutamente a intenção de instigar a desconfiança em laudos histopatológicos, mas de chamar a atenção dos cirurgiões para que se esforcem para entender as limitações que um patologista pode ter na sua interpretação ou descrição. Quase nunca patologistas se aborreceram por um médico ter solicitado as lâminas para examinar. Ao contrário, a maioria dos patologistas estimula esse entrosamento. Quantas vezes tivemos conversas produtivas em prol do bem-estar do paciente quando as dúvidas foram levantadas e dirimidas.
Uma analogia bem próxima é a interpretação das imagens radiológicas realizadas diretamente pelo ortopedista e o laudo emitido pelo radiologista. E, neste caso, estamos lidando com anatomia conhecida, ao contrário das imagens abstratas de um quadro histopatológico. O fato de o ortopedista examinar diretamente a imagem, e somente depois ler rapidamente o laudo, não pode ser interpretado como sinal de desconfiança do laudo do radiologista.
Escrever um texto sobre isso, sem ser mal interpretado, é muito mais difícil do que discorrer sobre o tema em uma palestra ou vivenciar durante anos a prática sobre isso. É difícil encontrar uma forma concisa e objetiva que contenha tudo que já observamos durante anos de prática. Porém, acreditamos que esta pequena revisão possa estimular o leitor a empreender essa jornada e a se acostumar a examinar a Histopatologia de seus próprios casos. Temos certeza de que verão muita coisa que não esperavam e irão se surpreender com o fato de que tais discordâncias de interpretação não são tão raras assim. Observar a realidade buscando o entendimento sempre foi o objetivo da ciência. Se existem perguntas mal respondidas, qual o problema em questionar?
Outro fato a ser discutido é a escassa bibliografia sobre o assunto específico aqui descrito. Talvez isso tenha a ver com o perigo de ser mal interpretado, como acima comentado. Desconhecemos qualquer publicação com este objetivo bem claro e talvez esse trabalho seja original neste sentido.
Todo este conhecimento foi acumulado pela nossa vivência em cirurgia micrográfica. Seria muito útil ao cirurgião maior conhecimento histotécnico e histopatológico, justamente o que faz o cirurgião micrográfico. Sempre incentivamos os cirurgiões micrográficos a fazerem os seus próprios cortes e isso está intimamente relacionado a todos estes questionamentos que fazemos nesta pequena revisão.
Por último, gostaríamos de introduzir o assunto para que uma melhor compreensão do significado do termo “margens cirúrgicas comprometidas” acontecesse. Para a maioria dos cirurgiões, isto significa nova intervenção, pois a maioria não consegue interpretar o falso-positivo. Esta revisão tem também esse objetivo: estimular o médico a ir um pouco além para entender melhor o fenômeno.
REFERÊNCIAS:
Kopke LFF, Bastos JCF, Andrade Filho JS, Gouvêa PS. Margem de segurança: um conceito antigo e relativo. An Bras Dermatol. 2005;80(3):279-86.
Goldwyn RM, Kasdon EJ. The “disappearance” of residual basal cell carcinoma of the skin. Ann Plast Surg. 1978;1(3):286-9.
Ministério da Saúde. Apoio ao diagnóstico e à terapia: anatomia patológica, hemoterapia e hematologia, medicina nuclear e patologia clínica. [Internet]. Brasília: Ministério da Saúde; 2014. Available from:http://bvsms.saude.gov.br/bvs/publicacoes/apoio_diagnostico_terapia_anatomia_patologica.pdf.
Assis E. Manual de boas práticas em patologia da Sociedade Brasileira de Patologia. São Paulo: Livromed Paulista;2020. p.23-46.
Compton CC, Robb JA, Anderson MW. Preanalytics and precision pathology: pathology practices to ensure molecular integrity of cancer patient biospecimens for precision medicine. Arch Pathol Lab Med. 2019;143(11):1346-1363.
Engel KB, Moore HM. Effects of preanalytical variables on the detection of proteins by immunohistochemistry in formalin-fixed, paraffin-embedded tissue. Arch Pathol Lab Med. 2011;135(5):537-543.
Krajian AA, Gradwohl RBH. Histopathological technic. New York: Mosby;1952. p .28-56.
Serapião CJ, Serapião MJ, Santana LL. Curso intensivo de histotecnologia da Div.Nac.Câncer. Manaus: Div.Nac.Câncer;1976. Curso intensivo de histotecnologia;p. 32-44.
Rosai J. Rosai and Ackerman’s surgical patology. 9th ed. New York: Mosby, 2004. p. 1304-1312.
Michalany J. Técnica histológica em anatomia patológica. São Paulo: E.P.U; 1980. p. 20-27.
Kopke LFF, Konz B. As diferenças fundamentais entre as variações da cirurgia micrográfica. An Bras Dermatol. 1994;69(6):505-10.
Gooding CA, White G, Yatsuhashi M. Significance of marginal extension in excised basal cell carcinoma. N Engl J Med. 1965;273(17):923-4.
Rosa IP. Posso falar? O caso é o seguinte. São Paulo: Lemar; 2013. p. 131.
Fidelis MC, Stelini RF, Staffa LP, Moraes AM, Magalhães RF. Carcinoma basocelular com margens comprometidas: estudo retrospectivo de condutas, evolução e prognóstico. An Bras Dermatol. 2021;96(1):17-26.
Richmond JD, Davie RM. The significance of incomplete excision in patients with basal cell carcinoma. Br J Plast Surg. 1987;40(1):63-7.
Kopke LFF, Schmidt SM. Carcinoma basocelular. An Bras Dermatol. 2002;77(3):249-85.
Notes
Author notes
Correspondência: Luís Fernando Figueiredo Kopke E-mail: luisfkopke@hotmail.com / airanovellovilar@hotmail.com
Conflict of interest declaration