Relato de Caso
Pseudoaneurisma de artérias supratrocleares: rara complicação após retalho cutâneo
Supratrochlear artery pseudoaneurysm: A rare complication of skin flap surgery
Pseudoaneurisma de artérias supratrocleares: rara complicação após retalho cutâneo
Surgical & Cosmetic Dermatology, vol. 16, e20230288, 2024
Sociedade Brasileira de Dermatologia
Received: 29 July 2023
Accepted: 07 August 2023
RESUMO: O pseudoaneurisma arterial é uma complicação rara causada por dano à parede arterial, resultando em um hematoma localmente confinado conectado ao lúmen da artéria. Relatamos o caso de um paciente em uso de anticoagulantes que desenvolveu nódulos no local da ferida cirúrgica após cirurgia micrográfica para carcinoma basocelular. A suspeita clínica inicial foi a formação de um hematoma simples. No entanto, o exame de ultrassom Doppler revelou a presença de pseudoaneurismas nas artérias supratrocleares bilaterais. Acreditamos que este seja o primeiro caso relatado de pseudoaneurisma da artéria supratroclear após cirurgia dermatológica.
Palavras-chave: Falso Aneurisma, Carcinoma Basocelular, Ultrassonografia Doppler em Cores.
ABSTRACT: Arterial pseudoaneurysm is a rare complication caused by damage to the arterial wall, resulting in a locally confined hematoma connected to the lumen of the artery. We report the case of a patient on anticoagulants who developed nodules at the surgical wound site after Mohs micrographic surgery for basal cell carcinoma. The initial clinical suspicion was the formation of a simple hematoma. However, Doppler ultrasound examination revealed the presence of pseudoaneurysms in the bilateral supratrochlear arteries. We believe this is the first reported case of supratrochlear artery pseudoaneurysm following dermatologic surgery.
Keywords: Aneurysm, False, Carcinoma, Basal Cell, Ultrasonography, Doppler, Color.
INTRODUÇÃO
Os pseudoaneurismas são complicações raras causadas por um dano à parede arterial, com hemostasia incompleta e formação de um hematoma localmente contido. Após atingir certo tamanho, o hematoma pode não regredir espontaneamente, levando à formação de uma pseudomembrana a partir dos produtos da cascata de coagulação, com fluxo sanguíneo turbulento no seu interior.1 A apresentação mais comum do pseudoaneurisma é na artéria femoral após procedimento vascular, porém existem apresentações mais raras, como o pseudoaneurisma visceral por pancreatite crônica e o pseudoaneurisma da artéria temporal superficial traumático.1,2 A ultrassonografia com Doppler é exame padrão-ouro para diagnóstico, que possibilita avaliar tamanho, localização e contato com estruturas adjacentes, auxiliando no tratamento.3
RELATO DO CASO
Paciente masculino, 84 anos, apresentou diagnóstico de carcinoma basocelular (CBC) infiltrativo em dorso nasal, próximo à região glabelar (Figura 1). Apresentava fibrilação atrial crônica e fazia uso regular de apixabana. Foi submetido à cirurgia micrográfica pelo método de Munique para tratamento de CBC, resultando em um defeito cirúrgico de 2,6cm após retirada do tumor, e um defeito cirúrgico final de 6,5cm, com posterior fechamento da ferida utilizando-se a técnica de retalho de avanço glabelar (Figura 2). Não houve intercorrências ou sangramento anormal no transoperatório e pós-operatório imediato.


Para evitar complicações hemorrágicas, o uso do anticoagulante foi suspenso cinco dias antes da cirurgia. Como não houve sangramento nas primeiras 48 horas de pós-operatório, em face à necessidade de o paciente retornar ao uso da apixabana, a medicação foi reiniciada 72 horas após a cirurgia. No quarto dia de pós-operatório, o paciente evoluiu com extensa equimose facial. O medicamento foi mantido e apenas observou-se a evolução. A equimose melhorou gradualmente, porém, no décimo dia de pós-operatório, surgiram dois nódulos eritêmato-violáceos, de 2,2cm na região glabelar direita e 2,4cm na região glabelar esquerda. Como a principal hipótese diagnóstica era a de formação de seroma ou hematoma, foram realizadas punção e aspiração bilateral do conteúdo dos nódulos, com uma seringa de 10ml e agulha com diâmetro de 21G, com drenagem total de 10ml de sangue. Houve redução do tamanho das lesões após o procedimento e, em seguida, foi realizado curativo compressivo.
Diante do ocorrido, foi suspenso novamente o anticoagulante. O paciente foi reavaliado após 14 dias do procedimento e as nodulações haviam aumentado de tamanho (Figura 3). Nesse momento, o paciente foi encaminhado para avaliação ultrassonográfica com o objetivo de elucidação diagnóstica. Foi realizado exame ultrassonográfico com Doppler colorido (Logiq E, GE Medical System CO. LTD.), utilizando-se transdutor multifrequencial linear de 12MHz, que demonstrou dois nódulos hipoecoicos na região frontal bilateral, sem fluxos compatíveis com hematomas (Figura 4).


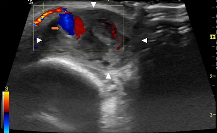
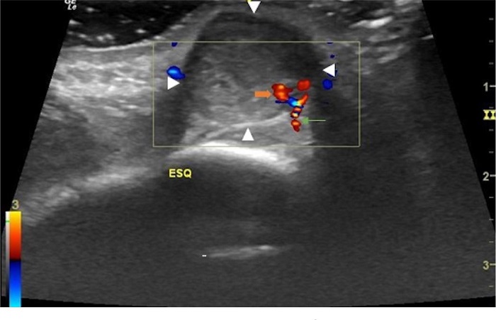
O hematoma à direita apresentava ecotextura heterogênea e media 2,9 x 1,4 x 2,2cm. No interior deste nódulo, destacava-se outro nódulo anecoico, de limites bem definidos, medindo 0,7 x 0,7cm, que apresentava fluxo bidirecional ao exame com Doppler colorido, fluxo alimentado pela artéria supratroclear direita que, por sua vez, localizava-se superficialmente na periferia do hematoma (distando 0,3cm da epiderme) (Figura 5). À esquerda, o hematoma apresentava ecotextura mais homogênea em relação ao lado contralateral, media 2,2 x 1,3 x 1,8cm, e a artéria supratroclear esquerda localizava-se profundamente (distando cerca de 1,0cm da epiderme) na periferia do hematoma.

Junto à artéria supratroclear esquerda, observou-se pequeno nódulo, medindo 0,2 x 0,2cm, com fluxo bidirecional ao exame com Doppler colorido (Figura 6). A visualização das imagens nodulares junto às artérias, associada à presença de fluxo colorido bidirecional ao Doppler (sinal do yin-yang), levou ao diagnóstico de pseudoaneurisma de artérias supratrocleares.

Diante do diagnóstico de pseudoaneurisma de artérias supratrocleares, o paciente foi encaminhado para cirurgia vascular e, sete dias após a realização do ultrassom, foi submetido à ligadura das artérias supratrocleares, com excelente evolução. Após 30 dias do procedimento, o paciente já apresenta involução total das lesões.
DISCUSSÃO
A formação de hematomas e seromas são complicações que podem ser esperadas após cirurgias dermatológicas. Devemos suspeitar dessas complicações quando os pacientes evoluem, após dias ou semanas, com abaulamento ou nodulação sobre a ferida operatória. Já o pseudoaneurisma nunca foi relatado como uma complicação de cirurgia dermatológica.
Os pseudoaneurismas são causados por uma ruptura localizada da parede arterial, que pode ocorrer como resultado de trauma vascular, e representa um hematoma contido que manteve uma conexão persistente com o lúmen arterial.1,2 Quanto à sua etiologia, podem ser classificados em iatrogênicos e não iatrogênicos. Os iatrogênicos são os mais comuns, geralmente ocorrem após acesso arterial em procedimentos endovasculares e após anastomoses vasculares cirúrgicas. Os de causa não iatrogênica podem acontecer após trauma, infecções e pancreatite crônica.1
Pseudoaneurismas de artérias na face são raros. Existem alguns relatos na literatura de pseudoaneurisma das artérias carótida interna, maxilar e temporal superficial após traumatismo cranioencefálico.4-9
O sangramento intraoperatório e a formação de hematomas são efeitos adversos bem descritos na literatura em pacientes em uso de anticoagulantes, incluindo os inibidores de fator Xa, como o apixabana.10,11 Existe um risco aumentado também de pseudoaneurisma em pacientes anticoagulados e em uso de dupla antiagregação plaquetária.2 Visto que o pseudoaneurisma se forma a partir de um dano à parede arterial, acreditamos que, na cirurgia dermatológica, defeitos cirúrgicos extensos, profundos e próximos a vasos mais calibrosos estariam mais propensos a complicar-se com pseudoaneurisma.
Acreditamos que o uso de anticoagulante, assim como o trauma gerado pela punção e aspiração do hematoma, possa ter contribuído para a formação do pseudoaneurisma no caso descrito. A possibilidade de formação de pseudoaneurisma deve ser levantada na presença de hematomas persistentes que, em alguns casos, podem ser pulsáteis e dolorosos.
A ultrassonografia com Doppler possui sensibilidade de 94-99% e especificidade de 94-97% para o diagnóstico de pseudoaneurisma, sendo o exame de escolha para o diagnóstico.12 O sinal típico do “yin-yang”, formado pela entrada e saída do sangue na sístole e diástole, é usado para diagnóstico diferencial com o hematoma e com o verdadeiro aneurisma.13 Além disso, o exame ultrassonográfico possibilita identificar o tamanho, a localização e o contato com estruturas subjacentes, auxiliando no planejamento terapêutico.12
Pseudoaneurismas de pequenas dimensões podem involuir espontaneamente após compressão com bandagens. No entanto, pseudoaneurismas maiores que 2cm, em crescimento ou com presença de grandes hematomas adjacentes, devem ser tratados. As opções terapêuticas incluem compressão guiada por ultrassom, injeção de trombina guiada por ultrassom e correção cirúrgica.14
CONCLUSÃO
O pseudoaneurisma é uma complicação vascular extremamente rara. Acreditamos ser este o primeiro relato de ocorrência na artéria supratroclear após cirurgia dermatológica. O uso de anticoagulantes é fator de risco para formação de hematoma e pseudoaneurisma e sua suspensão temporária deve ser avaliada individualmente. No caso relatado, mesmo após suspensão da medicação seguindo as guidelines vigentes, o paciente apresentou as complicações associadas. O exame ultrassonográfico com Doppler é o exame padrão-ouro, que possibilitou o diagnóstico e planejamento cirúrgico do caso descrito.
REFERÊNCIAS
Peters S, Braun-Dullaeus R, Herold J. Pseudoaneurysm. Hamostaseologie. 2018;38(3):166-172.
Stone PA, Martinez M, Thompson SN, Masinter D, Campbell JE, Campbell JRI, et al. Ten-year experience of vascular surgeon management of Iatrogenic pseudoaneurysms: do anticoagulant and/or antiplatelet medications matter? Ann Vasc Surg. 2016;30:45-51.
Sarioglu O, Capar AE, Belet U. Interventional treatment options in pseudoaneurysms: different techniques in different localizations. Pol J Radiol. 2019;84:e319-e327.
Pinto PS, Viana RS, Souza RRL, Monteiro JLGC, Carneiro SCAS. Pseudoaneurysm of the internal carotid artery after craniofacial traumatism: series of cases and integrative literature review. Craniomaxillofac Trauma Reconstr. 2021;14(4):330-336.
Saliba E, Goldberg LJ. Superficial temporal artery pseudoaneurysm: report of two cases and review. J Cutan Pathol. 2022;49(5):482-486.
Rubio-Palau J, Ferrer-Fuertes A, García-Díez E, Garcia-Linares J, Martí-Pagès C, Sieira-Gil R. Traumatic pseudoaneurysm of the superficial temporal artery: case report and review of the literature. Oral Surg Oral Med Oral Pathol Oral Radiol. 2014;117(2):e112-4.
Choo MJ, Yoo IS, Song HK. A traumatic pseudoaneurysm of the superficial temporal artery. Yonsei Med J. 1998;39(2):180-3.
Stapleton CJ, Fusco MR, Thomas AJ, Levy EI, Ogilvy CS. Traumatic pseudoaneurysms of the superficial temporal artery: case series, anatomy, and multidisciplinary treatment considerations. J Clin Neurosci. 2014;21(9):1529-32.
Al-Saadi NJ, Bakathir A, Al-Mashaikhi A, Al-Hashmi A, Al-Habsi A, Al-Azri F. Maxillary artery pseudoaneurysm as a complication of maxillofacial injuries: report of three cases and literature review. Sultan Qaboos Univ Med J. 2019;19(4):e364-e368.
Agnelli G, Buller HR, Cohen A, Curto M, Gallus AS, Johnson M, et al. Apixaban for extended treatment of venous thromboembolism. N Engl J Med. 2013;368(8):699-708.
Chai-Adisaksopha C, Crowther M, Isayama T, Lim W. The impact of bleeding complications in patients receiving target-specific oral anticoagulants: a systematic review and meta-analysis. Blood. 2014;124(15):2450-8.
Coughlin BF, Paushter DM. Peripheral pseudoaneurysms: evaluation with duplex US. Radiology. 1988;168(02):339-342.
Abu-Yousef MM, Wiese JA, Shamma AR. The “to-and-fro” sign: duplex Doppler evidence of femoral artery pseudoaneurysm. AJR Am J Roentgenol 1988;150(03):632-634.
Sarioglu O, Capar AE, Belet U. Interventional treatment options in pseudoaneurysms: different techniques in different localizations. Pol J Radiol. 2019;84:e319-e327.
Notes
Author notes
Correspondência: Ana Paula Bald, E-mail: abald.dermatologia@gmail.com
Conflict of interest declaration