Artículo de Investigación
Osteomielitis de calcáneo en niños. Observaciones de una serie de casos
Osteomielitis of calcáneus in children. Observations of a series of cases
Osteomielitis de calcáneo en niños. Observaciones de una serie de casos
Archivos de Medicina (Col), vol. 17, núm. 1, pp. 9-16, 2017
Universidad de Manizales

Recepción: 08 Marzo 2016
Corregido: 15 Abril 2017
Aprobación: 24 Abril 2017
Resumen: Objetivos: la osteomielitis de calcáneo es una infección osteoarticular poco frecuente en niños, con manifestaciones clínicas sutiles y ausencia de compromiso sistémico, requiriendo ayuda de imágenes diagnosticas para confirmarlo. El propósito del trabajo fue describir unas características clínicas de una serie de pacientes con osteomielitis de calcáneo. Materiales y métodos: es un estudio retrospectivo de pacientes con Osteomielitis del calcáneo, en un periodo de 5 años. Variables analizadas fueron: edad, sexo, lateralidad, enfermedades o traumas previos, tiempo trascurrido para el diagnóstico y tratamiento. Resultados: se analizaron nueve pacientes, en seis de ellos con cultivos de secreción se aislo S. aureus en 4 pacientes (tres casos meticilino resistente, un caso meticilinosensible) y Pseudomonas aeruginosa en dos casos. Se realizó resonancia en 6 pacientes todas sugestivas de osteomielitis. Conclusiones: es necesario un alto índice de sospecha para el diagnóstico, además de imágenes y laboratorios complementarios. Los valores de VSG (eritrosedimentación) y PCR (proteína C reactiva) iniciales fueron positivos en todos los pacientes y disminuyeron progresivamente durante el tratamiento. La PCR se correlaciono con mejoría clínica y fue parámetro importante para el cambio a vía oral del antibiótico. La Resonancia y la gammagrafía fueron contundentes para el diagnóstico. Staphylococcus aureus es la bacteria más aislada en este y en otros estudios. La P. aeruginosa se asocia a heridas en el talón. El tratamiento temprano con antibiótico es la elección. En algunos casos se requiere cirugía para drenaje y lavado.
Palabras clave: osteomielitis, calcáneo, talón, niño.
Abstract: Objectives: calcaneus osteomyelitis is an uncommon bone infection in children, with subtle clinical findings and no important immunologic response, requiring diagnostic imaging to make a diagnosis. This is a clinical study made with patients diagnosticated with calcaneus osteomielitis. Materials and methods: this is a retrospective study of patients with calcaneus ostomyelitis during a 5-year follow up. The variables analyzed were age, gender, affected side, previous trauma or disease, time to diagnosis and treatment period. Results: nine patients were recluted. Six of them with secretion cultures; which 4 were positive with S. aureus. (three with methicillin-resistant S. aureus and one case methicillin-sensitive) and Pseudomonas aeruginosa in two cases. Magnetic resonance imaging (MRI) was neccesary in 6 patients, with findings sugestive of osteomyelitis in all of them. Conclusion: a high-suspect index is essential to diagnosis, besides imaging studies and laboratory exams. Inicial VSG and PCR were positive in all patients and had a tendency to lowering during treatment. CRP correlated with clinical improvement and was an important marker to iniciate orally antymicrobial treatment. MRI and bone scan were an accurate resource in diagnosis. Staphylococcus aureus is the most common microorganism in this and other studies. P. aeruginosa was associated with accidental heel puncture.Early antimicrobial therapy is the main choice. Surgery is needed in some selected cases.
Keywords: osteomyelitis, calcaneus, heel, child.
Introducción
La osteomielitis de calcáneo es una infección osteoarticular de diagnóstico difícil y tardía, con una presentación clínica inespecífica, variable e insidiosa, que requiere de una alta sospecha y
La osteomielitis de calcáneo es una infección osteoarticular de diagnóstico difícil y tardía, con una presentación clínica inespecífica, variable e insidiosa, que requiere de una alta sospecha y complemento diagnostico por imaginologia, con una incidencia entre el 5 al 6% del total de las infecciones óseas en la edad pediátrica [1,2].
La osteomielitis del calcáneo en niños es una infección menos común que en los huesos largos. Ciertas características de este hueso predisponen a los niños a padecer esta infección con más frecuencia que los adultos. La presentación clínica es inespecífica y poco florida, lo que hace que el diagnóstico se retrase hasta llegar a demorarse varias semanas. Los síntomas son menos dramáticos que en la osteomielitis de huesos largos y la duración de los síntomas es mayor antes del diagnóstico. La fiebre y síntomas sistémicos son rara vez encontrados [3]. La cojera y signos de inflamación local acompañan frecuentemente a la clínica.
La confirmación de una infección en el calcáneo requiere estudios de imágenes y de laboratorio, y su interpretación debe ser cuidadosa [4]. La proteína C reactiva (PCR) es una buena herramienta para el diagnóstico ya que la velocidad de sedimentación globular (VSG) carece de especificidad [5].
Los hemocultivos pueden ser de ayuda, aunque tienen poca sensibilidad.
Los hallazgos en rayos x son inespecíficos al inicio de la infección, siendo más claros en la osteomielitis crónica. [5]
Hay un tiempo de 3 semanas para presentar hallazgos que sugirieran infección en la radiografía simple [5]. Debido a la poca especificidad con la radiografía simple, se recomienda la gammagrafía ósea que puede mostrar resultados desde 24-48 horas después del inicio de la infección [6].
La resonancia es de mucha ayuda para evaluar alteraciones en médula ósea y tejidos blandos [7]. Se reporta una sensibilidad de 94%, con una especificidad del 85,5% [6]
El manejo antibiótico temprano es el tratamiento más efectivo hasta el momento, reservando el manejo quirúrgico a casos particulares [8]. Las complicaciones son poco frecuentes, pero deben tenerse en cuenta para diagnosticarse a tiempo durante el seguimiento de los pacientes.
El propósito del trabajo es describir las características epidemiológicas de la osteomielitis de calcáneo en una muestra determinada de pacientes atendidos en un periodo de 5 años en un hospital pediátrico, analizar datos de etiología, respuesta al tratamiento y complicaciones.
Materiales y métodos
Se trata de un estudio retrospectivo de pacientes con diagnostico comprobado de Osteomielitis del calcáneo, en una búsqueda de un periodo de 5 años, desde Diciembre de 2010 hasta Diciembre de 2015, en la Fundación Hospital Pediátrico de la Misericordia.
Como criterios de inclusión fueron, edad entre 0 a 18 años, con diagnostico confirmado de Osteomielitis de calcáneo por imaginologia o por aislamiento microbiológico de muestra ósea realizada durante un abordaje quirúrgico.
Dentro de las variables analizadas fueron: edad, sexo, lateralidad, antecedente medico de alguna enfermedad previa, antecedente de trauma, tiempo trascurrido en días para hacer el diagnóstico, y tiempo de tratamiento antibiótico.
El trabajo fue aprobado por el Comité de Ética Médica del Hospital base del trabajo.
Resultados
Se encontraron 9 pacientes en el estudio, con un promedio de edad de 7,8 años, con un rango comprendido entre los 4 y los 15 años. 6 pacientes fueron de sexo femenino y 6 tenían compromiso del lado izquierdo. El 50% de los pacientes tenían historia de trauma previo. Tabla 1
El tiempo promedio hasta el diagnóstico después del ingreso hospitalario fue de 7,37 días, con una importante variación entre 1 hasta 45 días, caso en el cual la paciente se dio egreso y el diagnóstico se realizó en la consulta externa.
De los 9 pacientes, cinco fueron remitidos de otra institución pero solo uno con diagnóstico de osteomielitis de calcáneo confirmado por resonancia. El tiempo de hospitalización de los pacientes fue en promedio de 13,37 días, con una variación de 1 a 23 días.
Exámenes de laboratorio
En tres pacientes se realizó hemocultivo, que resultó positivo en dos de ellos. El microorganismo aislado resultó S. aureus meticilino resistente en los dos casos positivos.
Cultivos de secreción se realizaron en seis de los 9 pacientes, resultando positivos. Los microorganismos de mayor frecuencia fueron S. aureus en 4 pacientes (tres casos meticilino resistente, un caso meticilinosensible) y Pseudomonas aeruginosa en dos casos.
De los pacientes con hemocultivo y cultivo de secreción solo en un caso concordó el microorganismo aislado.
Los valores de VSG y PCR iniciales fueron positivos en todos los pacientes con un valor inicial de PCR en promedio 34,4 (6,4-96) y de VSG en promedio de 49,1 (31 a 75); y mostraron una disminución progresiva durante el tratamiento. Los valores de PCR se correlacionaron mejor con mejoría clínica. Los pacientes hospitalizados se les dieron egreso en el momento de disminución de la PCR sumado a la mejoría y en conjunto con el concepto del servicio de infectología.

SAMR= Staphylococcus aureus meticilino resistente.
SAMS= Staphylococcus aureus meticilino sensible. AMPC: B-lactamasa de clase AmpC.
Microbiología
En los dos pacientes en quienes se aisló P. aeruginosa tuvieron en común la presencia de trauma, uno de ellos secundario a osteosíntesis en calcáneo por una fractura y el otro paciente con herida en el talón por una cadena de bicicleta. El paciente con aislamiento polimicrobiano –correspondiente al paciente con fractura de calcáneo previa-, requirió más tiempo de hospitalización y diferente manejo antibiótico hasta obtener mejoría clínica.
Imágenes
La radiografía convencional fue examen de rutina en todos los pacientes del estudio. Evidenció hallazgos inespecíficos en 5 de 9 pacientes consistentes en edema de tejidos blandos. En uno de esos casos se apreciaron lesiones óseas en el calcáneo (Figura 1). La TC se utilizó como complemento en un caso para confirmar un defecto óseo cortical secundario a la infección (Figura 2).

La ecografía de tejidos blandos fue realizada en el 50% de los pacientes, en los cuales el 75% sugirió compromiso inflamatorio o infeccioso.
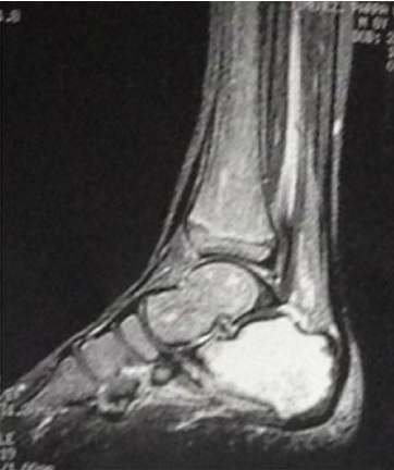
La RM se realizó en 6 pacientes con hallazgos sugestivos de osteomielitis en 5 de ellos (Figura 3).
La gammagrafía ósea fue realizada en 3 pacientes, con el 100% de positividad para infección (Figura 4).



Tratamiento
Todos los pacientes recibieron tratamiento antibiótico por un periodo de 6 semanas, siendo hospitalario en promedio de 12,6 días (0-22). El manejo antibiótico consistió en combinación de aminoglucosido y oxacilina; en caso de resistencia a penicilinas se cambió este último por clindamicina. En una paciente que no se hospitalizó y a la que se le hizo diagnostico en consulta posterior se dio manejo antibiótico ambulatorio por 30 días con una cefalosporina de primera generación.
Seis pacientes recibieron tratamiento quirúrgico consistente en lavados y desbridamientos. En una paciente solo se realizó punción ósea en el calcáneo y articulación subtalar. Los lavados se realizaron hasta que el calcáneo o la articulación subtalar no evidenciaran signos de infección.
Discusión
La osteomielitis de calcáneo tiene en general una presentación clínica insidiosa con síntomas generales como la incapacidad para el apoyo del pie y dolor en la extremidad afectada, que no permite un diagnóstico temprano y retardando el tratamiento. Rasool [2] estableció como síntomas principales el dolor, fiebre e incapacidad para el apoyo en extremidad afectada, datos clínicos comunes a otras infecciones del miembro inferior. Los diagnósticos alternativos más comunes fueron artritis séptica, celulitis y absceso subcutáneo en el pie.
Los pacientes se presentan tardíamente y en promedio tardan hasta 5 días de hospitalización hasta el diagnóstico final de osteomielitis del calcáneo [4,9]. Las causas de demora en llegar al diagnóstico certero fueron por diagnósticos errados al inicio y más comúnmente después de la hospitalización, lo que desembocaba en un enfoque distinto de la enfermedad y tratamiento inadecuado.
La presentación clínica en la serie del presente estudio fue fluctuante, encontrándose desde pacientes con manifestaciones sutiles hasta otros con signos claros y localizados de infección que contaban con antecedentes de trauma.
Se encontró un 50% de historia de trauma, mayor de lo reportado en otros estudios como el de Leigh y Rasool que reportaron un 40% y el 35% respectivamente, haciendo énfasis en que los casos comentados correspondían a trauma menor.
El 75% de los pacientes fueron diagnosticados el primer día de hospitalización. Un solo caso se salió del estándar, ya que se dio alta y solo 45 días después se hizo el diagnostico en la consulta externa.
En el 37,5% de los pacientes no se había hecho diagnóstico previo a la hospitalización a pesar de haber consultado antes a otros centros de atención primaria. El diagnostico errado o tardío es común a esta patología, por ejemplo Rasool y colaboradores reportan que 10 de 14 pacientes (71%) se diagnosticaron tardíamente, de los cuales en 8 de ellos se habían hecho diagnósticos diferentes en consulta previa.[2]
Respecto a la PCR y VSG fueron positivos en todos los pacientes para proceso inflamatorio o infeccioso. Unkila et al reportan la PCR elevada a los dos días del ingreso en el 98% de los pacientes [10]. Leigh mostro un 77% de los casos con PCR elevada. De otra parte Winiker y Scharli hallaron un 80% de pacientes con PCR normal. La PCR en los pacientes del estudio mostró una elevación progresiva y un descenso rápido relacionado con la mejoría clínica y con el inicio del tratamiento. Sin embargo no fue un examen utilizado para el seguimiento aunque su utilidad en este contexto ha sido demostrada [8]
Por otro lado, la VSG mostró elevación inicial notable en todos los casos de este estudio. Leigh mostró elevación en el 81% de los pacientes. Esta baja sensibilidad –elevación presente en enfermedad crónica o en otras enfermedades inflamatorias-, y la demora en su descenso es lo que la hace un marcador menos confiable para monitorear respuesta al tratamiento, pero a su vez la convierte en un marcador importante en el momento inicial.
El papel de las imágenes es importante como parte del diagnóstico de la enfermedad. Los hallazgos de radiografía son muy inespecíficos y se presentaron en el 50% de los pacientes del estudio y orientaban hacia un proceso infeccioso en el 50% de ellos de forma clara. La resonancia magnética y la gammagrafía aportan información valiosa acerca de procesos infecciosos osteoarticulares. En los 6 pacientes de este estudio en los que se realizó la RM, 5 reportaron cambios compatibles con una infección del calcáneo. La resonancia tiene una sensibilidad y especificidad altas para el diagnóstico de la lesión.
Staphylococcus aureus es la bacteria que se encuentra en mayor proporción en la osteomielitis de calcáneo cuando se obtienen cultivos positivos. En el estudio de Rasool et al, la mayoría de las infecciones fueron causadas por S. aureus, 12 de 14 casos, y Streptococcus pyogenes y Pseudomonas aeruginosa en los otros 2 casos [2]. La infección por P. aeruginosa se asocia a heridas en el talón con objetos punzantes a través del calzado [11].
Respecto a la tipificación del germen encontrado, los cultivos de secreción en esta serie de pacientes mostró mayor cantidad de resultados positivos (83%) comparados con la positividad de los hemocultivos (66%, 2 de 3 hemocultivos realizados). En ambos estudios el S. aureus fue el microorganismo más común y en dos pacientes se obtuvieron infecciones por Pseudomonas, uno de ellos polimicrobiana.
Se hace un aparte especial a las infecciones por S. aureus meticilino sensible, que fue responsable de infección en el 43% de los pacientes a los que se les realizo cultivo de secreción, ya que en otros trabajos (Leigh y cols) no se reporta una alta incidencia de la infección por este tipo de germen [3]. Aunque P. aeruginosa se ha reportado en otros estudios como microorganismo en trauma por punción accidental en el talón, en los pacientes de este estudio se encontró asociada a fractura e intervención quirúrgica en un caso y en el otro caso se aisló en una herida en el talón.
Respecto al tratamiento antibiótico, todos recibieron terapia antibiótica por un tiempo de seis semanas. El criterio en los pacientes para cambiar tratamiento a formulación oral fue la mejoría clínica y la disminución de los reactantes de fase aguda, que a su vez fueron los parámetros para decidir el egreso. Esta forma de tratamiento concuerda con lo reportado por diversos autores con tratamientos que van de 4 a 6 semanas y un cambio de vía de administración guiado por resultado de exámenes y mejoría clínica.
Es claro a pesar de lo anterior que no hay consenso respecto a cuándo cambiar de tratamiento venoso a oral en niños. En el estudio de Leigh el cambio a antibiótico oral se hizo cuando los marcadores inflamatorios se normalizaron [3]. Chou [12] observó que un descenso del 50% en la PCR asociado a mejoría clínica es un criterio válido para transición de tratamiento intravenoso a oral. Arnold [13] encontró un resultado clínico exitoso cuando asoció mejoría clínica a una PCR < 2 mg/dL como criterio para cambiar el tratamiento venoso a oral. Esto es un avance respecto a reportes previos donde el cambio se realizaba sin tomar en cuenta estos valores y el cambio se hacía sólo basado en variables clínicas [4]. Otros autores en cambio proponen que del tiempo de tratamiento antibiótico de 4-6 semanas, al menos dos sean con antibioticoterapia oral [6]
El tratamiento quirúrgico en los pacientes del estudio consistió en punción y drenaje del calcáneo, que se hizo en el 77% de los pacientes, en los cuales se tomó muestra y se tipificó el germen causante. Esto es variable en la literatura estudiada donde la cirugía fue en algunos casos pilar del tratamiento y en otros muy baja, oscilando del 20 a 100% de necesidad cirugía [2,3,9].
Fukuda [5] recomienda manejo quirúrgico en paciente con condiciones de base –diabetes mellitus, inmunodeficiencia-, aunque su estudio es limitado a pacientes adultos, en donde se considera incluso amputación como manejo quirúrgico.
Wang y Simpson [9] recomiendan el manejo quirúrgico para paciente sin resolución clínica después de 15 días de manejo médico.
En este momento no hay guías claras sobre tipos de manejo. En 2015, Pääkkönen [8] continúa con esta recomendación sobre el manejo quirúrgico. En un estudio prospectivo de 3 meses a quince años, trataron pacientes con osteomielitis de calcáneo –diagnóstico con muestra de sangre y ósea-, con antibiótico intravenoso por 4 días y luego oral por 20-30 días. El cambio de antibiótico venoso al oral se hizo apenas redujeron los reactantes de fase aguda. El tiempo promedio hasta la normalización de reactantes fue de 6 días. Concluyeron como propuesta el manejo corto con antibiótico por 4 días en promedio de forma intravenosa y continuar oral hasta completar un mes con manejo oral. Recomiendan el uso de clindamicina y cefalosporinas [8].
Todos los pacientes, excepto uno, curaron con los tratamientos realizados, sin presentar secuelas durante el seguimiento.
Conclusión: la osteomielitis de calcáneo en pacientes pediátricos es una enfermedad difícil de diagnosticar, debido a la presentación clínica poco fluida. Se debe tener la sospecha en un paciente que cojea y presenta dolor a la palpación del hueso aunque esté clínicamente estable. Los exámenes de laboratorio (cuadro hemático, PCR y VSG) son de ayuda al confirmar un proceso inflamatorio o infeccioso además de la radiografía inicial, que a pesar de su baja especificidad puede evaluar otras causas de dolor. La resonancia y la gammagrafía son confirmatorias, al igual que la punción ósea para cultivo de secreción. El tratamiento antibiótico biconjugado es la opción terapéutica más plausible, reservando el manejo quirúrgico en caso de evolución tórpida con el tratamiento médico.
Una de las limitaciones del estudio es el bajo número de pacientes incluidos en el estudio, pero es lo que se encontró en 5 años a pesar de ser un hospital pediátrico de referencia.
Conflictos de interés:
No hay conflicto de intereses de los autores.
Fuentes de financiación:
No hubo fuente de financiación para el presente trabajo.
Literatura citada
Antoniou D, Conner AN. Osteomyelitis of the calcaneus and talus. J Bone Joint Surg Am 1974; 56 (2):338–45.
Rasool MN. Hematogenous osteomyelitis of the calcaneus in children. J Pediatric Orthop 2001; 21(6):738–43.
Leigh W, Crawford H, Street M, Huang M, Manners S, Puna R. Pediatric Calcaneal Osteomyelitis. J Pediatr Orthop 2010; 30(8):888–92.
Winiker H, Schärli A F. Hematogenous calcaneal osteomyelitis inchildren. Eur J Pediatr Surg 1991; 1(4):216–20.
Fukuda T, Reddy V, Ptaszek AJ. The Infected Calcaneus. Foot Ankle Clin 2010; 15(3):477–86.
Chen K, Balloch R. Management of Calcaneal Osteomyelitis. Clin Podiatr Med Surg 2010; 27(3):417–29
Ng VY, Fisk EG, Scharschmidt TJ, Mayerson JL, Reader D. Diagnosis: Calcaneal osteomyelitis. Orthopedics 2013; 36(4):308-12.
Pääkkönen M, Kallio MJ, Peltola H, Kallio PE. Antibiotic Treatment and Surgery for Acute Hematogenous Calcaneal Osteomyelitis of Childhood. J Foot Ankle Surg 2015; 54(5):840-3.
Wang EHM, Simpson S, Bennet GC. Osteomyelitis of the calcaneum. J Bone Joint Surg Br 1992; 74:906–9.
Unkila-Kallio L, Kallio MJ, Eskola J, Peltola H. Serum C-reactive protein, erythrocyte sedimentation rate, and white blood cell count in acute hematogenous osteomyelitis of children. Pediatrics 1994; 93(1):59-62.
Abdulla M, Yazan S. Khaled YS, Kapoor H. Salmonella osteomyelitis of the calcaneum bone in an immunocompetent child. J Pediatr Orthop B 2014; 23:270–3
Chou AC, Mahadev A. The use of C-reactive protein as a guide for transitioning to oral antibiotics in pediatric osteoarticular infections. J Pediatr Orthop 2015; 36:173–177
Arnold JC, Cannavino CR, Ross MK, Westley B, Miller TC, Riffenburgh RH, Bradley J. Acute bacterial osteoarticular infections: Eight-year analysis of C-reactive protein for oral step-down therapy. Pediatrics 2012; 130:e821–e828