Artículos Reportes de Caso
Parámetros diagnósticos de la displasia cleidocraneal: una enfermedad poco frecuente
Parámetros diagnósticos de la displasia cleidocraneal: una enfermedad poco frecuente
Archivos de Medicina (Col), vol. 17, núm. 2, pp. 428-433, 2017
Universidad de Manizales

Recepción: 10 Agosto 2017
Corregido: 26 Octubre 2017
Aprobación: 30 Octubre 2017
Resumen: Introducción: la displasia cleidocraneal (DCC) es una afección esquelética poco frecuente, con un rasgo genético autosómico dominante, originada por mutaciones en el gen CBFA1/RUNX2, se caracteriza por retraso en el cierre de las suturas craneales, hipoplasia o aplasia clavicular, tórax estrecho y anomalías dentales. Caso Clínico: paciente masculino de 16 años, con estatura baja, hombros caídos, tórax estrecho, fosas claviculares poco desarrolladas, gran movilidad de los hombros al aproximarlos hacia la línea media anterior del tórax, afecciones bucales como retraso en la erupción de la dentición secundaria y apiñamiento dental, radiográficamente hipoplasia clavicular, tórax en forma de campana y presencia de múltiples dientes supernumerarios, características compatibles con la displasia cleidocraneal, se relata el caso. Conclusión: la DCC presenta unas características clínicas y radiográficas que sirven como parámetros significativos para realizar un acertado diagnóstico, el estudio de la familia es importante ya que la patología es de herencia autosómica dominante.
Palabras clave: displasia cleidocraneal, diente supernumerario, suturas craneales.
Abstract: Introduction: cleidocranial dysplasia is a rare skeletal condition with an autosomal dominant genetic trait, caused by mutations in the CBFA1 / RUNX2 gene, characterized by delayed cranial suture closure, clavicular hypoplasia or aplasia, narrow thorax and abnormalities Dental procedures. Clinical case: 16-year-old male patient, with short stature, sagging shoulders, narrow chest, poorly developed clavicular pits, great mobility of the shoulders when approaching the anterior midline of the thorax, oral conditions such as delayed eruption of the secondary dentition And dental crowding, radiographically clavicular hypoplasia, bell-shaped thorax and presence of multiple supernumerary teeth, characteristics compatible with cleidocranial dysplasia, the case is reported. Conclusion: the CDD presents clinical and radiographic characteristics that serve as significant parameters to make a correct diagnosis, the study of the family is important since the pathology is of autosomal dominant inheritance.
Keywords: cleidocranial dysplasia, supernumerary tooth, cranial sutures.
Introducción
La displasia cleidocraneal (DCC) es una afección displásica esquelética autosómica dominante, que afecta el desarrollo óseo con alteración de la osificación membranosa y endocondral, muestra alteraciones a nivel craneal, clavicular, pélvicos, dentales entre otros; es común la afección de varios miembros de una misma familia y presenta una prevalencia de 0,5 por cada 100.000 nacidos vivos [1].
La enfermedad es causada por mutaciones heterocigotas en el gen CBFA1/RUNX2, un factor de transcripción específico de osteoblastos ubicado en el cromosoma 6p21; el cual activa la diferenciación osteoblástica, la maduración de los condrocitos y morfogénesis del esqueleto, se presenta una microdeleción del gen y se prevé en la mayoría de las mutaciones abolición del ADN vinculante [2].
El desarrollo neuromadurativo y la expectativa de vida son normales, en el examen físico generalmente presentan baja estatura,son braquiocefálicos,con hueso frontal y parietal prominente, hipertelorismo, la base de la nariz es ancha, puente nasal bajo, pueden presentar hipoplasia malar, fontanela anterior abierta, retraso en el cierre de las suturas craneales, los hombros caídos son específicos, fosas claviculares poco desarrolladas, tórax en forma de campana, es común que el sujeto o paciente pueda aproximar los hombros hacia la línea media anterior del tórax y la longitud asimétrica de los dedos es otra de sus características, afecta con igual frecuencia hombres y mujeres, sin haber predilección racial [3].
Las manifestaciones bucales de la DCC incluyen paladar ojival, maloclusión dental, hipoplasia maxilar, prognatismo mandibular, dientes supernumerarios, retraso en la erupción de los dientes permanentes, apiñamiento dentario, mentón prominente, anormalidades en la forma de la corona dental y prolongada exfoliación de los dientes primarios [4].
Radiográficamente en la región del tórax es habitual que se observe la formación incompleta o ausencia de clavículas, el tórax es angosto con las costillas cortas y oblicuas, escápulas hipoplásicas. En la radiografía de cráneo, al nacer, se observan suturas y fontanelas amplias, cuerpo del esfenoides ensanchado, aplanado y presencia de huesos wormianos. En la zona de la pelvis se muestra retraso en la osificación del hueso pélvico, sínfisis del pubis amplia, hipoplasia de las alas ilíacas, articulaciones sacroilíacas amplias, el estudio radiográfico de la mano evidencia pseudoepifisis del metatarso (metacrpo), huesos metacarpianos y alargamiento de las falanges distales [5,6].
Para el estudio radiográfico bucal la elección de la radiografía, dependerá de las necesidades del clínico, en las cuales pueda observar las estructuras deseadas y realizar análisis cefalométricos, de tal manera que los estudios imagenlógicos son la radiografía panorámica, lateral de cráneo, periapical y tomografía computarizada, donde se pueden mostrar los múltiples dientes supernumerarios impactadosque son característicos del síndrome, ausencia del cemento radicular, hipoplasia maxilar, ausencia de neumatización de los senos paranasales, entre otros [7,8].
Para el diagnóstico de la DCC se deben tener en cuenta todas las características clínicas y radiográficas de la enfermedad antes mencionadas, destacando la importancia del estudio genético molecular para determinar por mutaciones en el gen CBFA1/RUNX2, entre los diagnósticos diferenciales se incluyen el síndrome decraneheise, displasia mandibuloacral, la picnodisostosis, entre otros. Las complicaciones que se presentan con mayor frecuencia son el pie plano, luxación de la cadera y del hombro, rodilla valga, dificultad respiratoria, escoliosis, infecciones recurrentes del oído, pérdida de la audición y osteomielitis de la mandíbula o el maxilar [9].
En cuanto al tratamiento bucal se realizan procedimientos que deben ser desarrollados por etapas, los cuales podrán incluir sustituciones protésicas, aparatología ortodóntica, la extracción de los dientes supernumerarios, cirugía ortognática, reubicación de los dientes permanentes, entre otros; en donde interactúen múltiples disciplinas como cirugía oral, ortodoncia y odontopediatría, para lograr una correcta planificación y tratamiento de las manifestaciones bucales del síndrome [10].
Es muy importante que el profesional en área de la odontología conozca la etiología, características clínicas y radiográficas, para poder realizar un correcto diagnóstico y plan tratamiento de esta patología.
Reporte de caso
Paciente de sexo masculino con 16 años de edad, que acude a la consulta del servicio de Estomatología y Cirugía Oral, por presentar retraso en la cronología de erupción de la dentición permanente, en la valoración por el servicio los antecedentes familiares y personales la madre manifestó no presentar alteraciones.
En la exploración física general presentó braquicefalia, hueso frontal prominente, hipertelorismo, base de la nariz ancha, hombros caídos, tórax estrecho, fosas claviculares poco desarrolladas, no se palpó la clavícula de manera bilateral, gran movilidad de los hombros al aproximarlos hacia la línea media anterior del tórax, estatura baja de 1.46 mts, no se observó longitud asimétrica de los dedos (Figura 1). Al examen intrabucal presentó paladar ojival, dentición mixta tardía, supernumerario en la zona anterior maxilar, pseudoanodoncia del diente número 11 y 21, cavidad en los dientes 16, 55, 54, 26, restauraciones

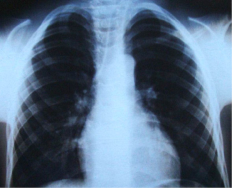
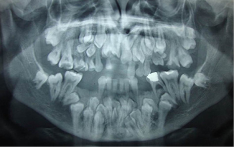
En el estudio imagenológico se observó en la radiografía de tórax, hipoplasia clavicular bilateral y tórax en forma de campana (Figura 2), en la radiografía panorámica se mostró la presencia de once dientes supernumerarios en el maxilar y nueve en la mandíbula (Figura 3), en la radiografía lateral cráneo se observó presencia de huesos wormianos landoideos (Figura 4); en la radiografía carpal se observó longitud simétrica de las falanges y sin alteraciones (Figura 5), de acuerdo con los hallazgos encontrados en el examen físico y la evaluación radiológica, se realizó la impresión diagnóstica de displasia cleidocraneal.




Se remitió al servicio de medicina interna el cual realizó exploración física, observó las ayudas radiográficas y ordenó exámenes de laboratorio que incluyeron hemograma completo, extendido de sangre periférica, creatinina, nitrógeno ureico, transaminasas como GOT y GPT los cuales se encontraron entre los valores normales, descartando trastornos hemáticos, renales y hepáticos. Realizando diagnóstico clínico de displasia cleidocraneal; posteriormente se realizó interconsulta con otorrinolaringología para descartar afecciones como hipoacusia y otitis media aguda, describiendo en el reporte ausencia de alteraciones.
Los hallazgos clínicos y radiográficos son concluyentes para el diagnóstico del síndrome, se espera la detección de la mutación del gen CBFA1/RUNX2 con pruebas moleculares, para su confirmación.
El plan de tratamiento se traza teniendo en cuenta las manifestaciones del síndrome, siendo importante el manejo multidisciplinario que incluye medicina interna, ortopedia, otorrino laringología, genética, odontología y psicología. El paciente solo presentó alteraciones que requirieron tratamiento a nivel bucal, se planteó terapéutica progresiva a largo plazo en tres fases, en la primera se realizó profiláxis, enseñanza en técnica de cepillado y restauraciones en resina, en el segunda fase las extracciones de los dientes supernumerarios localizados en el maxilar, luego los de la mandíbula y se colocó aparatología para mantener el espacio para la erupción de los dientes permanentes, en la tercera fase tracción dentaria y se inició tratamiento ortodóntico.
Se recomendó al departamento de genética estudio de la familia, ya que sus integrantes desconocen de la DCC y el actual caso fue el primero con impresión diagnóstica de la enfermedad, se ordenó control con medicina interna y otorrino laringología cada seis meses, ya que se le asocian al síndrome complicaciones como dificultad respiratoria, escoliosis, rodilla valga, luxación de hombro, otitis media aguda y pérdida de la audición.
Discusión
La DCC es una patología esquelética de carácter genético autosómico dominante, originada por mutaciones en el gen CBFA1/RUNX2. Chen et al, en el 2014 realizaron un estudio en donde determinaron las características clínicas, imagenológica y la detección de la mutación genética en dos familias con DCC y en los resultados describen que los pacientes presentaron, retraso en el cierre de las fontanelas, prominencia frontal, displasia clavicular, la erupción dental tardía, presencia de supernumerarios, hiperfuncionalidad de las articulaciones del hombro [11]; coincidiendo con hallazgos clínicos encontrados en el presente caso como braquicefalia, hipertelorismo, hombros caídos, tórax estrecho, fosas claviculares poco desarrolladas, gran movilidad de los hombros al aproximarlos hacia la línea media anterior,paladar alto, dentición mixta tardía, supernumerario en zona anterior maxilar y pseudoanodoncia del diente número once.
Autores como Paul et al, en 2015 y Forronato et al, en 2009, afirmaron que la radiografía periapical, panorámica, tomografía computarizada y la radiografía de cráneo son herramientas muy útiles para el diagnóstico bucal de la DCC, ya que permiten observar características consideradas patognomónicas para el diagnóstico del síndrome como los múltiples dientes supernumerarios, dientes retenidos y retraso en la osificación de las suturas craneales suturas [1,12]; coincidiendo con el presente caso en el cual el hallazgo radiográfico de alerta encontrado en la ortopantomografía fue la presencia de múltiples supernumerarios localizados en el maxilar y la mandíbula.
D’Alessandro et al, en el 2010 afirmaron que el tratamiento del sistema estomatognático en pacientes con DCC debe ser paulatino y secuencial, en el cual intervienen diversos campos disciplinares de la odontología como la odontopediatría, cirugía oral y ortodoncia, en las conclusiones reportan que el abordaje terapéutico recomendando es la cirugía oral, seguido por ortopedia y ortodoncia [8]; Suba et al, en el 2005 reportaron un caso clínico de paciente con DCC en donde el plan de tratamiento a largo plazo incluyó de varias etapas, incluyendo fase higiénica, procedimientos quirúrgicos para la extracción de los dientes supernumerarios, fase ortopédica para la expansión transversal del maxilar y la mandíbula, aplicación de una máscara de Delaire para compensar la falta de crecimiento sagital del maxilar y tratamiento protésico [13]; coincidiendo con el presente caso donde también se trazó un plan de tratamiento progresivo a largo plazo en tres etapas, en la primera se realizó fase higiénica, restauraciones en resina en los dientes afectados por caries, exodoncias de los dientes supernumerarios localizados en la zona anterosuperior, en la segunda etapa donde se colocó un arco lingual desde el diente 36 hasta el 46, posteriormente realizaron las exodoncias de los molares temporales y los supernumerarios localizados en la mandíbula y en la tercera etapa tratamiento de ortodoncia.
Conclusión
La DCC es un síndrome poco común, que presenta unas características clínicas y radiográficas específicas, siendo parámetros importantes para realizar un acertado diagnóstico, ante la impresión clínica del síndrome, es significativo detectar la mutación del gen CBFA1/RUNX2 y realizar estudio de la familia.
Conflictos de interés: los autores declaran no conflicto de intereses.
Fuentes de financiación: ninguno.
Literatura citada
Singhal P, Singhal A, Jayam C, Bandlapalli A. Cleidocranial dysplasia syndrome (CCD) with an unusual finding in a young patient. BMJ Case Rep 2015; 2015:bcr2015210514.
Bouyahia O, Ben-Rebeh R, Bel-Hadj I, Boukthir S, Sammoud A. Cleidocranial dysplasia: family cases. Tunis Med 2015; 93(7):478.
DasGupta R, Jebasingh FK, Asha HS, Thomas N. Cleidocranial dysostosis.BMJ Case Rep 2015 26; 2015:0-0.
Franceschi R, Maines E, Fedrizzi M, Piemontese MR, De Bonis P, Agarwal N, et al. Familial cleidocranial dysplasia misdiagnosed as rickets over three generations. PediatrInt 2015; 57(5):1003-6.
Bharti K, Goswami M. Cleidocranial dysplasia: A report of two cases with brief review. Intractable Rare Dis Res 2016; 5(2):117-20.
Paul SA, Simon SS, Karthik AK, Chacko RK, Savitha S. A review of clinical and radiological features of cleidocranial dysplasia with a report of two cases and a dental treatment protocol. J Pharm Bioallied Sci 2015; 7(Suppl 2):S428-32.
Mohan RP, Suma GN, Vashishth S, Goel S. Cleidocranial dysplasia: clinico-radiological illustration of a rare case. J Oral Sci 2010; 52(1):161-6.
D’Alessandro G, Tagariello T, Piana G. Cleidocranial dysplasia: etiology and stomatognathic and craniofacial abnormalities. Minerva Stomatol 2010; 59(3):117-27.
Zhang X, Liu Y, Wang X, Sun X, Zhang C, Zheng S. Analysis of novel RUNX2 mutations in Chinese patients with cleidocranial dysplasia. PLoS One 2017; 12(7):e0181653.
Lu H, Zeng B, Yu D, Jing X, Hu B, Zhao W, et al. Complex dental anomalies in a belatedly diagnosed cleidocranial dysplasia patient.Imaging Sci Dent 2015; 45(3):187-92.
Chen T, Hou J, Hu LL, Gao J, Wu BL. A novel small deletion mutation in RUNX2 gene in one Chinese family with cleidocranial dysplasia. Int J Clin Exp Pathol 2014; 7(5):2490-5
Farronato G, Maspero C, Farronato D, Gioventù S. Orthodontic treatment in a patient with cleidocranialdysostosis. Angle Orthod 2009; 79(1):178-85.
Suba Z, Balaton G, Gyulai-Gaál S, Balaton P, Barabás J, Tarján I. Cleidocranial dysplasia: diagnostic criteria and combined treatment. J Craniofac Surg 2005; 16(6):1122-6.
Enlace alternativo
http://revistasum.umanizales.edu.co/ojs/index.php/archivosmedicina/article/view/2064/3043 (pdf)