Artículos Reporftes de Caso
Porencefalia, reporte de caso
Porencephaly, report of a case
Porencefalia, reporte de caso
Archivos de Medicina (Col), vol. 18, núm. 1, pp. 208-214, 2018
Universidad de Manizales
Recepción: 12 Diciembre 2017
Corregido: 04 Mayo 2018
Aprobación: 07 Mayo 2018
Resumen: La porencefalia como lesión cerebral es una entidad que por el gran compromiso encefálico genera déficits motores y conductuales afectando el normal desarrollo de niños, siendo este el grupo poblacional principalmente afectado; quienes desde muy temprana edad presentan manifestaciones clínicas, sin embargo en algunos casos excepcionales tienden a cursan asintomáticos o con mínimas secuelas motoras que pueden retrasar su diagnóstico; campo en que las técnicas de imagen llegan a ser fundamentales. Se presenta aquí el primer caso de porencefalia reportado en Boyacá a la edad adulta sin antecedentes que sugieran su diagnóstico o algún manejo instaurado a la misma, la cual termina complicándose dejando varias secuelas.
Palabras clave: porencefalia, plasticidad neuronal, quistes del sistema nervioso central, hemiplejía, convulsiones, absceso.
Abstract: Porencephaly as a brain injury is an entity that due to the great encephalic engagement generates motor deficits and behavioral affections on the normal development of children, being this the population group mainly affected, who from a very early age present clinical manifestations, however some exceptional cases are asymptomatic or has minimal motor sequelae that may delay their diagnosis; a sphere in which imaging techniques become fundamental. Here we present the first case of porencephaly reported in Boyacá to adulthood without a history suggesting its diagnosis or some management established to it, which ends up complicating leaving several sequelae.
Keywords: porencephaly, neuronal plasticity, cysts of the central nervous system, hemiplegia, seizures, abscess.
Introducción
La porencefalia es una rara enfermedad, caracterizada por malformaciones en el sistema nervioso central determinadas por la formación de quistes o cavidades llenas de líquido cefalorraquídeo en el parénquima cerebral, causando alteraciones neurológicas graves a quienes lo padecen [1,2]. Dichos defectos son ocasionados por eventos isquémicos o hemorrágicos durante el desarrollo fetal o la vida posnatal que originan muerte del tejido cerebral con posterior necrosis de licuefacción y reabsorción del tejido cerebral muerto [2,3]. Otras causas de porencefalia incluyen infecciones del sistema nervioso central, defectos en la migración neuronal, la presentación de traumas hemorrágicos e incluso asociaciones con el consumo de cocaína durante la gestación, atribuido a la vasoconstricción que esta puede ocasionar [1,3,4]. Dentro de estas la causa más conocida y estudiada es la porencefalia congénita la cual se atribuye a mutaciones en el gen COL4A1 que codifica el colágeno tipo IV de la alfa-1, constituyente importante en la membrana basal vascular, favoreciendo su perturbación en momentos de estrés como el parto [1,3,5]. Entre el 16 y el 21 % de los casos de porencefalia son ocasionadas por mutaciones en este gen [3,6]. Por otro lado es importante mencionar que en embarazos gemelares la muerte fetal asincrónica predispone a una probabilidad mayor de presentar eventos vasculares que den como resultado la porencefalia sobre todo en casos en que estén presentes malformaciones arteriales, siendo esta la principal causa inicialmente reconocida [7,8,9].
En cuanto al cuadro clínico presentado, se ha descrito que va depender del área cerebral comprometida y de la extensión de la malformación; reportándose entre los síntomas más comunes la hemiplejia contralateral al lóbulo afectado [3,6]. Encontrando que el manejo según la literatura revisada no tiene una guía que determine como abordar este tipo de pacientes, sin embargo varios estudios hacen énfasis en un manejo de tipo sintomático, dirigida a la etapa del desarrollo en la que se diagnostique; campo en el que la fisioterapia general, asistencia logopédica y apoyo conductual positivo a largo plazo tienden a ser pilares principales [10,11]. Por otro lado en cuanto la prevalencia de la porencefalia reportada, en Estados Unidos, países europeos y Japón (Miyagi) se muestra similitud con una tasa de 5,2 por 100.000 nacidos vivos, tasa que es reportada según estudio realizado en asiáticos durante el periodo comprendido entre el 1 de Enero del 2007 a Diciembre 30 del 2011 [3] sin encontrarse estudios de esta condición en Latinoamérica o en Colombia que permita su comparación.
A continuación, se presenta un caso diagnosticado en el Hospital San Rafael de Tunja de porencefalia en Femenina de 31 años de edad; para lo cual sus familiares firmaron el consentimiento informado.
Caso clínico
Paciente femenina de 31 años de edad, acude a institución de salud de primer nivel en su municipio por presentar tres episodios tónico-clónicos. En el centro de salud se evidencia que la paciente presenta eclampsia, signos de dificultad respiratoria y una Saturación de oxigeno del 80%, por lo cual inician intubación orotraqueal, manejo con sulfato de magnesio y remiten a un centro de salud de segundo nivel donde realizan extubación programada y remiten posteriormente a un hospital de tercer nivel para manejo definitivo. Como antecedentes de importancia, los familiares refieren: poliomielitis adquirida al año de edad, a partir de la cual presenta déficit motor en miembros inferior y superior derecho, historia gineco-obstétrica G4. A1. P2. C1, con embarazo de 35,3 semanas de gestación por ecografía.
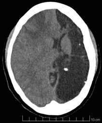
A la revisión por sistemas no se evidencian datos de interés; al examen físico paciente alerta, consciente, orientada, hidratada, sin signos de dificultad respiratoria, fuerza muscular de 3/5 en miembro superior derecho posiblemente por antecedente de polio en primer año de edad y de 5/5 en las demás extremidades, cifras tensionales de 106/63 mmHg, frecuencia cardiaca de 76 pulsaciones por minuto, frecuencia respiratoria de 18 respiraciones por minuto, ruidos cardiacos rítmicos sin soplos, ruidos respiratorios sin agregados pulmonares, abdomen blando no doloroso a la palpación, altura uterina de 31 cm, feto longitudinal cefálico derecho, con frecuencia cardiaca fetal de 155 latidos por minuto; la paciente es valorada por el servicio de ginecología quienes consideran que cursa con eclampsia pre-parto, alto riesgo obstétrico y actividad uterina pretérmino, por lo cual se continúa manejo neuroprotector con sulfato de magnesio, fenitoína y manejo antihipertensivo; además se realiza una Tomografía Axial computarizada (TC) y un electroencefalograma (EEG), este último sin alteraciones; pero de forma incidental en la tomografía axial computarizada se encuentra reemplazado casi la totalidad del hemisferio cerebral izquierdo por una gran zona de encefalomalacia quística antigua con calcificaciones puntiformes (Figura1) , asociada a desviación de las estructuras de la línea media hacia la izquierda y a importante dilatación del ventrículo ipsilateral; con preservación del tálamo y de las estructuras del tallo encefálico.

Se observa una extensa zona de hipodensidad próxima al LCR (8 uh= que se extiende por los territorios vasculares de la arteria cerebral anterior, media y posterior del lado izquierdo. Que no se asocia a efecto masa. Además de la cabeza del caudado que está delineando el contorno de asta frontal.
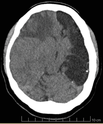
AutoresA nivel de la región frontal derecha se evidencia una zona focal de comportamiento heterogéneo predominantemente hipodensa con zonas centrales mal definidas de hiperdensidad, asociada a efecto de masa, con borramiento de los surcos corticales y pérdida de la diferenciación entre sustancia gris y sustancia blanca. La lesión descrita mide aproximadamente 36×34 mm en sus mayores ejes anteroposterior y transversal, considerándose un posible absceso cerebral versus un tumor cerebral (Figura 2).

Se aprecia zona de densidad heterogénea predominante hipodensa que ocupa el giro frontal medio derecho, condiciona a borramiento de surcos corticales, pérdica de diferenciación sustancia gris sustancia blanca y desviación de las estructuras de la línea media a la izquierda, con desplazamiento del tecer ventrículo
AutoresPosteriormente la paciente se torna estuporosa, con deterioro de su estado neurológico, Glasgow 11/15, tensión arterial de 116/59 mmHg, frecuencia cardiaca de 64 latidos por minuto, frecuencia respiratoria de 19 respiraciones por minuto; por lo cual es valorada por el servicio de neurología y neurocirugía quienes consideran que la lesión cerebral observada no es contraindicación para la cesárea, por lo cual la paciente es llevada a sala de cirugía para realizar dicho procedimiento, obteniendo feto femenino vivo con un estado de salud general normal. Consecutivamente la paciente es trasladada unidad de cuidados intensivos para continuar vigilancia de su estado de salud.
Después de la cesárea, la paciente recupera su estado de conciencia, con un Glasgow 14/15, presentando desorientación, logorrea, coprolalia y agitación psicomotora. Se solicita videotelemetria y TC cerebral contrastada para definir manejo quirúrgico de la lesión del lóbulo frontal derecho. Tiempo en el cual, la paciente presenta nuevo deterioro de su estado de conciencia, con Glasgow 6/15 y alcalosis respiratoria por lo cual es llevada a unidad de cuidados intensivos donde se realiza intubación orotraqueal y se decide realizar la resección de la lesión cerebral de emergencia enviándolo posteriormente una muestra de esta a patología para su estudio; donde según el reporte se obtienen 4 cortes de resección lóbulo cerebral frontal, en los que se evidencia un proceso inflamatorio con formación de diferentes abscesos, acompañado de estructuras basófilas filiformes compatibles con un proceso infeccioso severo del parénquima cerebral abscedado tipo piógeno. Por lo anterior se inicia manejo farmacológico con vancomicina 500 miligramos cada 6 horas y meropenem 2 gramos cada 8 horas durante 42 días. Posteriormente la paciente empieza a evolucionar progresivamente hacia la mejoría, aunque con secuelas dadas por la resección quirúrgica, indicando manejo por neurología y proporcionándole finalmente el egreso de la institución.
Discusión
El caso presentado pone en manifiesto a una paciente de 31 años sana, a excepción del déficit motor de los miembros superior e inferior derechos atribuido según sus familiares a la poliomielitis que adquirió a la edad de 1 año, antecedente que no pudo ser demostrado por la ausencia estudios que confirmaran la presencia del virus y en este caso podría ser manifestación de la porencefalia. En cuanto a su evolución, al cursar con episodios tónico-clónicos que se asociaron a una posible eclampsia por su estado de embarazo para lo cual es tratada, se decide solicitar TC que permitiera descartar otra etiología, evidenciándose una lesión porencefálica unilateral, que compromete el territorio vascularizado por la arteria cerebral anterior, media y posterior izquierda además de una masa en el lóbulo frontal derecho que ejerce un efecto de masa, confirmándose por patología como un absceso y el cual sería el causante del deterioro de conciencia, trastornos psicomotores y presentación de los episodios tónico-clónicos, cuya etiología puede deberse a la proximidad con la bóveda ósea del quiste porencefálico que puede predisponer a infección por contigüidad a la masa encefálica [12].Este reporte de caso tiene gran relevancia ya que por un lado es el primer caso reportado en Boyacá de quiste porencefálico diagnosticado de forma tardía y por otro lado debido a que contrario a otros reportes de caso expuestos por Tonni G. et al. y Low C. et al. [13,14] donde indican la manifestación de esta enfermedad en los primeros meses de vida e incluyen manifestaciones tempranas como hemiplejías, epilepsia, alteraciones en el crecimiento y retraso mental [1, 15,16]; manifestaciones que aparte de la hemiplejia no presentaba nuestra paciente, siendo un ejemplo del poder regenerativo y compensatorio que el cerebro humano puede llegar a tener si las lesiones ocurren en determinados periodos de la vida como lo demuestra Ledezma M et al [1].
En cuanto a la etiología que pudo ocasionar la porencefalia en esta paciente se debe mencionar que la ausencia de manejo clínico no permite confirmar o descartar alguna hipótesis sobre su origen, para lo cual sería necesario estudios más avanzados, teniendo presente además que la porencefalia es una entidad rara, que se diagnostica principalmente pre o postnatal, caracterizándose por medio de técnicas de imagen, una gran pérdida de masa encefálica que rara vez cursa sin una sintomatología clara; encontrando al revisar la literatura que casos como este fueron reportados por Douzenis et al. quien presenta una paciente de 25 años de edad con porencefalia fronto-temporal desde su nacimiento con ausencia de trastornos del habla o retraso mental grave, quien nunca recibió tratamiento antiepiléptico, no obstante cursaba con una ligera paresia espástica en su brazo derecho, una pobre vida laboral, y la cual es diagnosticada con un trastorno psicótico asociado a la localización de su lesión porencefálica. Un caso similar fue reportado por Noyan et al [15] en 2016 sobre una mujer con 43 años de edad, quien según describen tenían dificultades menores o nulas de su vida cotidiana y fueron intervenidas por presentar sintomatología psicótica asociada a la localización del quiste porencefálico. Lo cual demuestra que la porencefalia es un hallazgo relevante para tener en cuenta en pacientes que presenten episodios ocasionales tanto psiquiátricos como neurológicos sin ningún antecedente previo. En este contexto nuestra paciente fue tratada llevándola a una remisión total de sus episodios convulsivos con monoterapia farmacológica. Tal como lo resaltan Shimizu et al. [16] en una serie de casos de pacientes con porencefalia con convulsiones leves logran el control con monoterapia, manifestando que esto se debe a que la corteza migra normalmente y el área de destrucción se encuentra delimitada y bien diferenciada en pacientes con porencefalia. En cuanto al resultado normal del EEG en nuestra paciente, debe tenerse presente estudios que confirman anomalías en EEG en presencia de porencefalia, los cuales determinan una lesión focal en el parénquima cerebral, con discrepancia de los resultados, llevándolo a ser un estudio inespecífico para una correlación clínica [14]. Sin embargo sí se determinó una correlación entre la presencia de atrofia y la frecuencia de las descargas epilépticas, lo cual puede ser una característica importante a evaluar en pacientes con porencefalia y crisis epilépticas, buscando un manejo más adecuado en pacientes que pudieran progresar a epilepsia refractaria.
Por otro lado los diagnósticos diferenciales que se tuvieron en cuenta para un correcto diagnóstico de porencefalia están: la esquizencefalia, entidad refractaria a tratamiento farmacológico en crisis epilépticas, lo cual se explica porque la lesión quística ocurre antes de la migración neuronal durante el desarrollo embrionario, caracterizándose porque es una cavidad lisa con ventrículo adyacente, con hendidura cortical forrada en sustancia gris heterópica extendida entre el ventrículo [16,17]. Adicionalmente se debe tener en cuenta lesiones quísticas intracraneales, como los quistes aracnoideos los cuales están localizados en espacio intraaracnoideo, desplazando el parénquima cerebral, reportándose en caracterizaciones realizadas en animales que estos no suelen comunicarse con los ventrículos y están rodeados de tejido y aracnoides normal [18]. Platt et al describen quistes epidermoides caracterizados por un recubrimiento que logra realce de sus límites, además contiene en su interior desechos constituidos por queratinocitos y colesterol [19]. Así mismo por epidemiología e historia clínica deben tenerse en cuenta las lesiones tumorales o parasitarias [14,19].
En el diagnóstico se ha reportado la importancia del uso de criterios ecográficos para conocer el momento de la lesión si es antenatal, periparto o en periodo neonatal; así mismo el uso de Resonancia Magnética (RM) cerebral prenatal y postnatal buscando una determinación de la condición fetal subyacente [13]. De manera particular la RM fetal permite diferenciar el quiste porencefálico de quistes aracnoides, y de lesiones tumores, sobre todo si esta se realiza en el tercer trimestre de embarazo [17]. En adultos el diagnóstico se logra principalmente por la realización de TC [19].
Para finalizar cabe destacar que el desarrollo clínico de la paciente, consigue evidenciar como la toma de decisiones estuvo orientada a lograr mantener la vida tanto del feto como de su progenitora, realizando de forma secuencial acciones que permitieran mantener la estabilidad clínica de los dos implicados. También se debe mencionar que el diagnóstico de poliomielitis, guiado por la clínica y el pobre acceso a centros de salud con equipos especializados llevó a que no se realizarán pruebas de imagen que evidenciaran la lesión con la posterior correlación del déficit motor que presentaba con el quiste porencefálico. Demostrando la importancia de realizar estudios complementarios a los pacientes que presenten alteraciones motoras, psíquicas o sensoriales a temprana edad, para realizar un diagnóstico temprano y darle un manejo adecuado a quien padezca esta afección, siendo posible la optimización de la funcionalidad de los pacientes.
Conflictos de interés: sin conflictos de interés.
Fuentes de financiación: este artículo ha sido financiado por sus autores.
Agradecimientos
Al Departamento de Radiología y Patología del Hospital San Rafael de Tunja, Boyacá.
Literatura citada
Perdomo A, López EJ, Thiebaud M. Porencefalia y plasticidad cerebral: a propósito de un caso clínico. Acta Pediátrica Hondureña 2013; 4(1):267- 271.
Douzenis A, Rizos EN, Papadopoulou A, Papathana- siou M, Lykouras L. Porencephaly and psychosis: a case report and review of the literature. BMC Psychiatry 2010; 10:19. DOI: http://dx.doi. org/10.1186/1471-244X-10-19.
Hino-Fukuyo N, Togashi N, Takahashi R, Saito J, Inui T, Endo W, et al. Neuroepidemiology of Porencephaly, Schizencephaly, and Hydranencephaly in Miyagi Prefecture, Japan. Pediatr Neurol 2016; 54:39–42.e1. DOI: http://dx.doi.org/10.1016/j.pedia- trneurol.2015.08.016.
Chasnoff IJ, Bussey ME, Savich R, Stack CM. Perinatal cerebral infarction and maternal cocaine use. J Pediatr 1986; 108(3):456-9. DOI: https://doi. org/10.1016/S0022-3476(86)80896-4.
Meuwissen MEC, Halley DJJ, Smit LS, Lequin MH, Cobben JM, de Coo R, et al. The expanding pheno- type of COL4A1 and COL4A2 mutations: clinical data on 13 newly identified families and a review of the literature. Genet Med 2015; 17(11):843–53. DOI: http://dx.doi.org/10.1038/gim.2014.210.
Yoneda Y, Haginoya K, Kato M, Osaka H, Yokochi K, Arai H, et al. Phenotypic spectrum of COL4A1 mutations: porencephaly to schizencephaly. Ann Neurol 2013; 73(1):48–57. DOI: http://dx.doi. org/10.1002/ana.23736.
Schinzel AAGL, Smith DW, Miller JR. Monozygotic twinning and structural defects. J Pediatr 1979; 95(6):921-30. DOI: https://doi.org/10.1016/S0022- 3476 (79)80278-4.
Melnick M. BRAIN DAMAGE IN SURVIVOR AFTER IN-UTERO DEATH OF MONOZYGOUS CO-TWIN.The Lancet 1977; 310(8051):1287. DOI: https://doi. org/10.1016/S0140-6736 (77)92695-2
Naeye RL. Human Intrauterine Parabiotic Syndrome and Its Complications. N Engl J Med 1963; 268(15):804-9. DOI: http://dx.doi.org/10.1056/ NEJM196304112681502.
Sherlock RL, Synnes AR, Grunau RE, Holsti, L; Hubber-Richard P, Johannesen D, Whitfield MF. Long- term outcome after neonatal intraparenchymal echodensities with porencephaly.Arch Dis Child Fetal Neonatal Ed 2008; 93:F127-F131. DOI: http:// dx.doi.org/10.1136/adc.2006.110726.
Rigante D, Savastano MC, Leone A, Falsini B, Baldascino A, La Torraca I, et al. Occipital porencephaly in a child with gyrate atrophy of the choroid and retina. J AAPOS 2010; 14(5):462-4. DOI: http://dx.doi.org/10.1016/j.jaapos.2010.07.011.
Yang C, Ying L, Lian–jun L. Cerebrospinal fluid otorrhea caused by porencephalic cyst: A rare case report and literature review. J Otol. 2012; 7(1):1–3. DOI: http://dx.doi.org/10.1016/S1672-2930 (12)50001-2.
Tonni G, Ferrari B, Defelice C, Centini G. Neonatal porencephaly in very low birth weight infants: Ultrasound timing of asphyxial injury and neu- rodevelopmental outcome at two years of age. J Matern Fetal Neonatal Med 2005; 18(6):361–5. DOI: http://dx.doi.org/10.1080/14767050400029574.
Low C, Garzon E, Carrete Jr. H, Vilanova LC, Yacubian EMT, Sakamoto AC. Early destructive lesions in the developing brain: clinical and electrographic correlates. Arq Neuropsiquiatr 2007; 65(2B):416–22. DOI: http://dx.doi.org/10.1590/ S0004-282X2007000300010.
Noyan OC, Şalçini C, Talu BS, Eryilmaz G. Porencephalic cyst and late onset brief psychotic disorder.BMJ Case Reports 2016; 2016:bcr2016215098. DOI: http://dx.doi.org/10.1136/bcr-2016-215098
Shimizu M, Maeda T, Izumi T. The differences in epileptic characteristics in patients with poren- cephaly and schizencephaly. Brain Dev 2012; 34(7):546–52. DOI: http://dx.doi.org/10.1016/j.brain- dev.2011.10.001.
Abergel A, Lacalm A, Massoud M, Massardier J, des Portes V, Guibaud L. Expanding Porencephalic Cysts: Prenatal Imaging and Differential Diag- nosis. Fetal Diagn Ther 2017; 41(3):226-233. DOI: 10.1159/000447740.
García-Conde M, Martín-Viota L. Quistes aracnoideos: embriología y anatomía patológica.Neurocirugía 2015; 26(3):137–42. DOI: http://dx.doi. org/10.1016/j.neucir.2015.02.003.
Platt S, Hicks J, Matiasek L. Intracranial Intra-arachnoid Diverticula and Cyst-like Abnor- malities of the Brain. Veterinary Clinics of North America: Small Animal Practice 2016; 46(2):253–63. DOI: http://dx.doi.org/10.1016/j.cvsm.2015.10.004.
Enlace alternativo
http://revistasum.umanizales.edu.co/ojs/index.php/archivosmedicina/article/view/2497/3141 (pdf)