Artículos de Investigación
Immunolocalización de s100a4 y α-sma en tejidos gingivales de pacientes con hipertrofia gingival por tratamiento ortodóntico: estudio preliminar
Immunolocalization of s100a4 and α-sma in gingival tissues of patients with gingival hypertrophy due to orthodontic treatment: preliminary study
Immunolocalización de s100a4 y α-sma en tejidos gingivales de pacientes con hipertrofia gingival por tratamiento ortodóntico: estudio preliminar
Archivos de Medicina (Col), vol. 21, no. 1, pp. 24-34, 2021
Universidad de Manizales
Received: 02 February 2020
Corrected: 25 May 2020
Accepted: 18 July 2020
Resumen: Objetivo: determinar la presencia y distribución de marcadores de la transición epitelio-mesénquima (EMT) (S-100A4 y alfa actina del músculo liso-α-SMA) en tejidos gingivales de pacientes afectados por hipertrofia Gingival (HG) por ortodoncia. Materiales y Métodos: estudio descriptivo que comprendió el análisis de tejidos gingivales de individuos sanos (n=6) y pacientes con hipertrofia gingival por tratamiento ortodóntico (n=6). Previa cirugía gingival, los pacientes fueron sometidos a una fase higiénica periodontal. Las muestras de tejido gingival obtenidas se procesaron e incluyeron en parafina. Los cortes fueron realizados con un micrótomo y depositados en portaobjetos de adhesión con polisina. La tinción histológica hematoxilina eosina fue realizada. La identificación y localización de los marcadores S-100A4 y α-SMA fue determinada mediante inmunohistoquímica con anticuerpos monoclonales. La lectura de los hallazgos fue realizada por patólogos orales. Resultados: en los individuos sanos fue observado un marcaje de S100A4 en las células de Langerhans mientras que α-SMA fue identificada en el endotelio vascular de todas las muestras analizadas. No obstante, en los pacientes con HG por ortodoncia, registraron una tinción intensa de S100A4 en fibroblastos gingivales, células de Langerhans, endotelio vascular y zona adyacentes a la ruptura de vasos sanguíneos. La expresión de α-SMA en pacientes con HG se detectó en el endotelio vascular y fibroblastos gingivales. Conclusión: el inmunomarcaje diferencial de marcadores de EMT en los tejidos gingivales de pacientes con HG por ortodoncia, sugiere un eventual papel de la EMT en la patogénesis de esta patología.
Palabras clave: sobrecrecimiento gingival, transición epitelial-Mesenquimal, proteína de unión al calcio S100A4, endotelio vascular.
Abstract: Objective: to determine the presence and distribution of markers of the epithelial-mesenchymal transition (EMT) (S-100A4 and alpha-smooth muscle actin-α-SMA) in gingival tissues of patients affected by Gingival hypertrophy (GH) due to orthodontics. GH is an exaggerated increase in gingival tissue whose pathogenesis is unknown. However, it has been reported that the epithelial-mesenchymal transition as a process involved in other types of GH. Materials and methods: descriptive study that included the analysis of gingival tissues of healthy individuals (n = 6) and patients with GH by orthodontic treatment (n = 6). Before gingival surgery, the patients underwent a periodontal hygiene phase. The gingival tissue samples obtained were processed and embedded in paraffin. The cuts were made with a microtome and deposited on polysine adhesion slides. Histological hematoxylin-eosin staining was performed. The identification and location of S-100A4 and α-SMA markers was determined by immunohistochemistry with monoclonal antibodies. The reading of the findings was carried out by oral pathologists. Results: in healthy individuals, an S100A4 label was observed in Langerhans cells, while α-SMA was identified in the vascular endothelium of all samples analysed. However, in patients with GH due to orthodontics, they registered an intense staining of S100A4 in gingival fibroblasts, Langerhans cells, vascular endothelium, and areas adjacent to the rupture of blood vessel. α-SMA expression in GO was detected in the vascular endothelium and gingival fibroblasts. Conclusion: the differential immunostaining of EMT markers in gingival tissues of patients with orthodontic GH suggests an eventual role of EMT in the pathogenesis of this pathology.
Keywords: gingival hypertrophy, epithelial-mesenchymal transition, S100 calcium-binding protein A4, vascular endothelium.
Introducción
Con el aumento de la demanda estética, los tratamientos de ortodoncia son cada vez más comunes en la población general. En respuesta a objetivos terapéuticos, el posicionamiento dental obtenido mediante el tratamiento ortodóntico corresponde a criterios oclusales, funcionales, radiológicos y estéticos [1]. Más allá de limitarse al desplazamiento dental por medio de fuerzas mecánicas aplicadas con aditamentos posicionados sobre los dientes, el tratamiento ortodóntico también permite el desarrollo de condiciones que inciden favorablemente en la salud gingival. Una de ellas es el tratamiento de las papilas interdentales, debido a las alteraciones de posición de los dientes y su área de contacto [2].
Se ha reportado que durante el tratamiento ortodóntico pueden aparecer eventos patológicos en el tejido gingival de los pacientes [3]. Con mayor incidencia, se ha señalado la presencia de recesiones gingivales, invaginaciones gingivales [4] e hipertrofia gingival (HG) [5]. La HG se describe como una lesión localizada o generalizada, de crecimiento lento, progresivo, no neoplásica con o sin pérdida de inserción que afecta el tejido gingival, se estima que su prevalencia supera el 50% en la población con tratamiento de ortodoncia [6,7]. La HG es causado por una variedad de factores, entre ellos, medicamentos inmunosupresores, anticonvulsivantes y los bloqueadores de calcio [8]. Igualmente, se han descrito casos de HG por factores hormonales, idiopáticos y asociado a enfermedades sistémicas [9]. Histológicamente, los pacientes con HG suelen presentar una hiperplasia del tejido gingival, acantosis y cambios citoplasmático en las células epiteliales. El tejido epitelial suele hallarse hiperqueratinizado con crestas epiteliales de gran tamaño y en ocasiones fusionadas entre sí [6].
La patogenia de la HG por ortodoncia no se conoce con certeza. Se hipotetiza que este trastorno puede deberse a la acumulación de biofilm bacteriano e irritaciones químicas por los aditamentos utilizados [10,11]. También se ha estimado que el estrés mecánico, ejercido mediante las fuerzas de compresión / retracción contribuya al agrandamiento gingival por ortodoncia [5]. Sin embargo, es probable que la HG obedezca a un desequilibrio en la síntesis y degradación de elementos de la matriz extracelular (MEC), entre ellos, las fibras de colágeno [12]. En el tejido epitelial engrosado y alargado de estos pacientes se ha reportado un incremento en la expresión de CCN2, también conocida como factor de crecimiento del tejido conectivo (CTGF), un marcador relacionado con el proceso de transición epitelio-mesénquima (EMT) [13]. La EMT es un proceso biológico donde las células epiteliales adquieren propiedades mesenquimales, alterando su morfología, capacidad migratoria y la arquitectura celular [14]. La activación de EMT es responsable de células epiteliales más alargadas, con pérdida de polaridad y alteraciones en su adherencia célula-célula [15]. En este orden, S-100, una proteína de unión al calcio, se considera un marcador en procesos de EMT [16]. Por su parte, los fibroblastos positivos al marcador alfa actina del músculo liso (α-SMA), considerados miofibroblastos, han sido reportados en procesos de EMT [17].
Con el propósito de investigar si el proceso de EMT contribuye a la HG debido al tratamiento ortodóntico, induciendo cambios en la expresión de marcadores en células epiteliales y marcadores fibroblásticos, el objetivo de la presente investigación fue determinar la presencia y distribución de marcadores de la EMT como S-100 y α-SMA en muestras de tejidos gingivales de pacientes afectados por hipertrofia gingival inducida por el tratamiento ortodóntico.
Materiales y métodos
Para el presente estudio, fueron seleccionados un total de 12 pacientes clasificados en dos grupos de estudio, el primero, formado por individuos periodontalmente sanos (encía rosada en ausencia de sangrado) no portadores de aparatología ortodóntica (control; n=6) y el segundo grupo, pacientes diagnosticado con hipertrofia gingival portadores de ortodoncia (pacientes: n=6), atendidos en el Centro de Referencia de Hipertrofia Gingival de la Facultad de Odontología de la Universidad de Cartagena (Cartagena, Colombia). Se seleccionaron pacientes mayores de 18 años, sistémicamente sanos, que no se encontraron bajo tratamiento farmacológico, con diagnóstico de hipertrofia gingival generalizada asociada a tratamientos de ortodoncia en curso (≥1 año), localizada en la encía marginal e interdental sin exceder 1/3 de la corona clínica e índice de placa O’Leary ≤ 15%. Se excluyeron pacientes fumadores. Los participantes diligenciaron, aprobaron y firmaron el consentimiento informado. Esta investigación se acogió a los principios éticos y aspectos contenidos en la última revisión de la Declaración de Helsinki y la resolución 008430 de 1993 del Ministerio de Salud de Colombia [18]. Además, fue aprobado por el comité de ética en investigaciones de la Universidad de Cartagena.
Preparación de muestras
Las muestras de tejido gingival fueron obtenidas en los individuos sanos luego de procedimientos de alargamiento coronal por razones estéticas o protésicas y en pacientes con hipertrofia gingival, posterior a la realización de una gingivectomía. Ambas intervenciones quirúrgicas fueron realizadas por un periodoncista (ADC) bajo anestesia infiltrativa con Lidocaína 2% y epinefrina 1:80000 en el área quirúrgica, se realizó una incisión a bisel externo e intrasulcular con bisturí Bard Parker hoja N°15. A los 7 días, una evaluación post-quirúrgica permitió constatar una adecuada cicatrización tisular en todos los pacientes, sin complicaciones. Una vez recuperados los tejidos, estos fueron depositados en tubos Eppendorf, lavados en solución salina tamponada con fosfato (PBS 1X, Gibco™), cortadas en segmentos de 4-6 mm3 y sumergidas en 4% de paraformaldehído tamponado durante 48 horas. Estos procedimientos fueron realizados en la unidad de Investigación de Ciencias Básicas Odontológicas de la Universidad de Cartagena.
Posteriormente, los tejidos fueron sumergidos en etanol (30%, 60%, 80%, 95%,100%) durante 5 minutos cada uno, seguidos de baños de xileno (Leica Biosystems) por el mismo tiempo e incluidos en parafina. Una vez obtenido cada bloque, se llevaron a cabo cortes seriados de 6 µm en un micrótomo Leica RM2125 RST. Los cortes resultantes fueron depositados en portaobjetos de adhesión con polisina (Thermo Scientific™). Finalmente, fueron seleccionadas tres laminas consecutivas de un mismo bloque por cada paciente, con el propósito de realizar la coloración hematoxilina-eosina (HE) y la detención inmunohistoquímica de anti- S100A4 y α-SMA.
Coloración hematoxilina-eosina
Para la tinción HE, los cortes de tejido gingival fueron sumergidos en dos baños de xileno (Leica Biosystems) y rehidratados en concentraciones decrecientes de alcohol (100%, 95%, 80%, 60%, 30%). Posteriormente, fueron coloreados con hematoxilina de Mayer durante 5 minutos, lavados en agua y luego se procedió a una diferenciación acido-alcohol durante 30 segundos. A continuación, se llevó a cabo una coloración en eosina durante 3 minutos. Finalmente, los cortes fueron deshidratados, lavados en xileno y montados en un medio de montaje anhidro (DPX, Sigma-Aldrich). Las observaciones de la forma y células del tejido epitelial y conjuntivo se realizaron en un microscopio óptico Leica DM 500 con una cámara fotográfica incorporada.
Inmunohistoquímica
Las secciones en serie de tejido gingival de todos los grupos se desparafinaron en xileno y rehidrataron mediante baños de alcohol. La recuperación de antígeno se realizó mediante la incubación de las secciones en tampón de citrato pH 6, durante 20 minutos a 97°C. La actividad de la peroxidasa endógena fue bloqueada mediante una solución de peróxido de hidrogeno al 3% a lo largo de 15 minutos. A continuación, los cortes se trataron durante 20 minutos con suero normal de caballo (Vector Laboratories) y luego fueron incubados durante toda la noche a 4°C con los anticuerpos primarios anti-S100A4 (Mouse monoclonal antibody, dilución 1:200, clone CL0239, Sigma-Aldrich) y anti-α-SMA (Mouse monoclonal antibody, clone 1A4, dilución 1:200, Sigma-Aldrich). Después, los cortes se enjuagaron tres veces durante 5 minutos con solución de lavado (solución salina tamponada con Tris (TBS 1X, Gibco™) + monolaurato de polioxietilen (20 sorbitano o Tween®20 a 0.05%)). Luego, fueron incubados con el anticuerpo secundario anti-ratón biotinilizado (Goat Anti-Mouse IgG Antibody (H+L), Biotinylated, R.T.U. BP-9200, dilución 1:200 - Vector Laboratories) a temperatura ambiente durante 30 minutos, seguido de 3 enjuagues de 5 minutos cada uno con solución de lavado. Para visualizar el marcaje, los cortes de tejido se incubaron con VECTATASTAIL® ABC (Vector Laboratories) durante 30 minutos. Finalmente, se revelaron los marcadores estudiados presentes en los cortes a través de una solución de peroxidasa durante 4 minutos, contra-coloreados con hematoxilina de Mayer durante 30 segundos, deshidratados en etanol, xileno y montados con DPX. Todas las observaciones fueron llevadas a cabo en un microscopio óptico Leica DM 500.
La identificación de los hallazgos fue realizada por dos patólogos orales externos a la investigación, quienes desconocían la identidad de las muestras y su diagnóstico clínico; cuando se presentaron inconsistencias en las observaciones, se resolvieron mediante una nueva medición por un tercer patólogo. Los resultados fueron registrados en una hoja de cálculo de Excel y comparados. Se realizó un análisis cualitativo para clasificar los resultados inmunohistoquímicos de las muestras teniendo en cuenta la ausencia de marcaje de α-SMA y S100A4 o su presencia e intensidad. Cuando el marcaje fue positivo se subdividió en positivo (+), fuertemente positivo (++) y muy fuertemente positivo (+++) de acuerdo a la intensidad observada en la señal. Aquellos con marcaje negativo fueron indicados así: (-). Los datos experimentales se obtuvieron entre junio de 2019 a noviembre de 2019.
Resultados
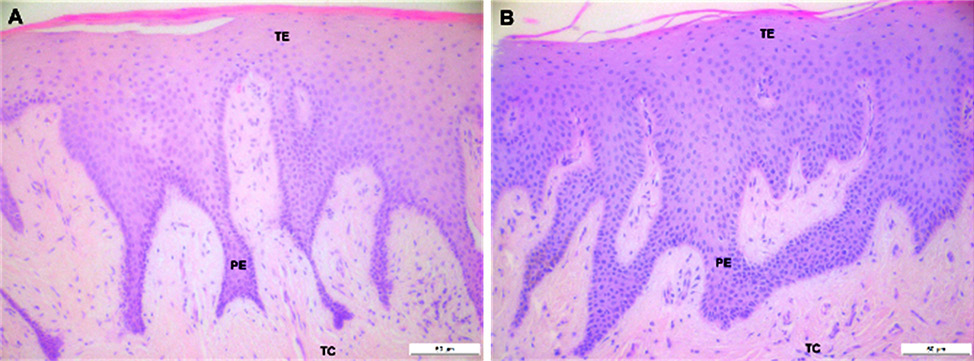
De los 12 pacientes el 50% (6) corresponden al sexo femenino. El promedio de edad fue de 20,8 años en los pacientes con HG y de 22,8 años en el grupo control. La tinción con hematoxilina-eosina indicó en los individuos sanos un epitelio de aspecto normal con una capa delgada de queratina y en el tejido conjuntivo fue notoria la integridad de fibras de colágeno, vasos sanguíneos con células linfocitarias distribuidas de manera difusa (Figura 1A). En los pacientes con HG por ortodoncia, fue observado un tejido epitelial hiperplásico, con acantosis y prolongaciones epiteliales alargadas, muchas de ellas, fusionadas entre sí, que se extendían hacia el tejido conjuntivo. Este último se caracterizó por presentar abundantes fibras de colágeno y vasos sanguíneos ectásicos (Figura 1B)

En pacientes con hipertrofia gingival por ortodoncia se observa hiperplasia del tejido epitelial. Coloración hematoxilina-eosina. TE: tejido epitelial; PE: prolongaciones epiteliales; TC: tejido conjuntivo. Objetivo 20X. Barra negra: 50 µm (A,B).
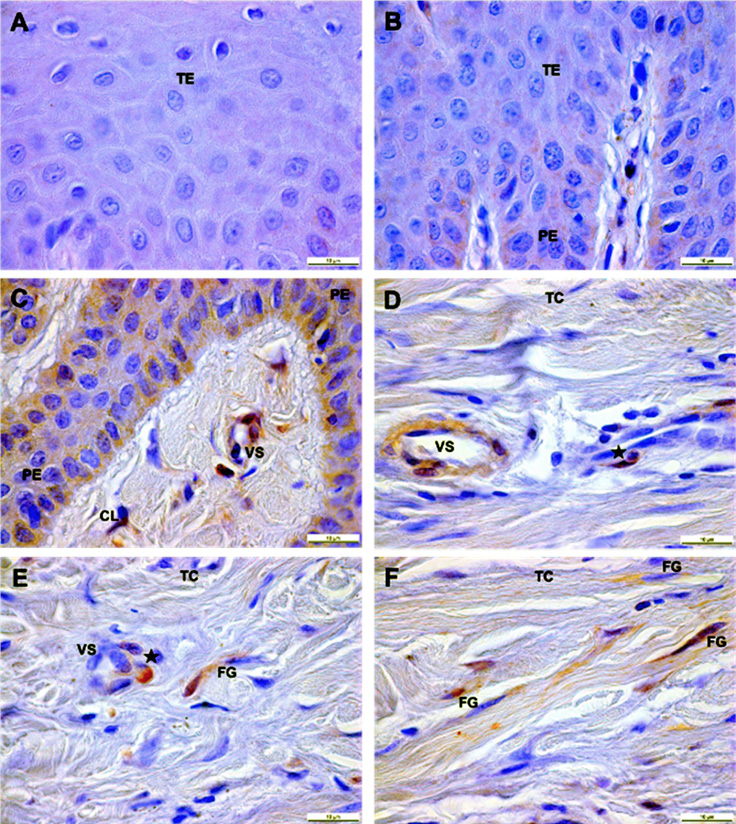
elaboración propiaLa expresión de S100A4 en los tejidos gingivales de individuos sanos y pacientes con hipertrofia gingival se resumen en la Tabla 1. Todas las muestras de los individuos sanos (100%) mostraron una tinción positiva de S100A4 en las células de Langerhans del epitelio, fibroblastos y endotelio del tejido conjuntivo (Figura 2A). En las 6 muestras de pacientes con HG por ortodoncia, se identificó un porcentaje del 100% positivas a S100A4. Este inmunomarcaje fue observado a nivel de la capa basal del tejido epitelial, células de Langerhans y vasos sanguíneos (Figura 2B,C,D,E,F). Fue evidente la presencia de S100A4 en áreas focales que mostraron ruptura en la continuidad del revestimiento endotelial de los vasos sanguíneos. En las zonas adyacentes a estas estructuras vasculares con perdida en la integridad de sus capas, se visualizaron células con aspecto de fibroblastos gingivales marcados positivamente con S100A4 (Figura 2D,E).


(A, B) Inmunodetención débil de S100A4 en células del epitelio de encía humana sana. (C, D, E, F) Secciones de pacientes con hipertrofia gingival mostrando una expresión intensa de S100A4 en fibroblastos gingivales, células de Langerhans, endotelio vascular y zona adyacentes a la ruptura de vasos sanguíneos (estrella negra). En marrón: marcaje de S100A4. TE: tejido epitelial; PE: prolongaciones epiteliales; TC: tejido conjuntivo; VS: vasos sanguíneos. Núcleos en violeta. Barra negra: 10 µm.
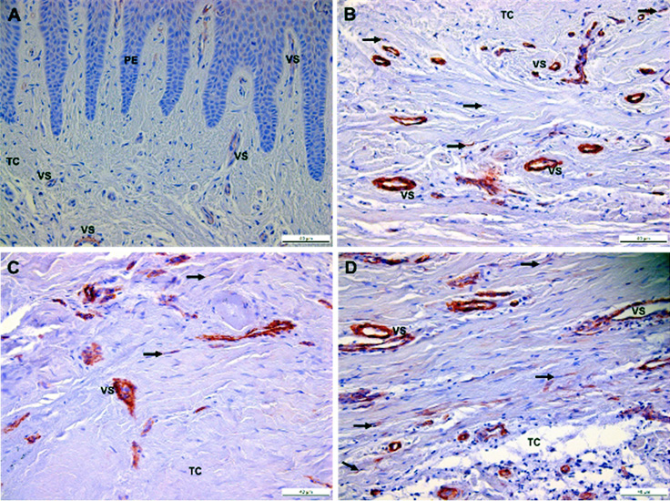
elaboración propiaEl inmunomarcaje de α-SMA en secciones de tejidos sanos y con hipertrofia gingival se indican en la Tabla 2 y 3, respectivamente. En los tejidos de individuos sanos se observaron inmunotinciones de α-SMA únicamente en el revestimiento endotelial de vasos sanguíneos (100%) (Tabla 2/Figura 3A). En pacientes con HG, se identificó un intenso marcaje de α-SMA en todas las muestras analizadas (Tabla 2,3/Figura 3B, C, D). Particularmente, en el endotelio vascular y fibroblastos gingivales, así como en células situadas a la proximidad de vasos sanguíneos con rupturas de sus membranas.



(A) Expresión de α-SMA en vasos sanguíneos de la encía humana sana. (B, C, D) Tejido conjuntivo de pacientes con hipertrofia gingival por ortodoncia donde se identifican una expresión intensa de α-SMA en el endotelio vascular y fibroblastos gingivales (flecha negra). En marrón: marcaje de α-SMA. Núcleos en violeta. PE: prolongaciones epiteliales; TC: tejido conjuntivo; VS: vasos sanguíneos. Barra negra: 40 µm
Discusión
La patogénesis del HG por ortodoncia no se conoce con certeza, aunque estudios la han relacionado con la acumulación de biopelícula, el aumento del estrés mecánico o reacciones químicas [5]. La presente investigación buscó determinar si EMT interviene en la evolución de la hipertrofia gingival por ortodoncia. En virtud de ello, se investigó mediante la inmunodetención de dos marcadores específicos para EMT, entre ellos, S100A4 y α-SMA, reportados como participes en el mecanismo fisiopatológico de la HG [19]. Un reciente estudio in vitro pone en evidencia que los fibroblastos gingivales sometidos a fuerzas mecánicas aumentaron significativamente la proliferación y cuando fueron tratados con un inhibidor de TGF- β1, una citocina pro-fibrogénica mediadora en la regulación y diferenciación celular, hubo una disminución de los efectos de la fuerza mecánica sobre la proliferación, expresión de colágeno tipo I y metaloproteinasa 1 (MMP-1) [20]. Estos resultados sugieren que la proliferación de fibroblastos gingivales inducida por fuerzas mecánicas y la síntesis de MEC, podría explicar por qué algunos pacientes sometidos al tratamiento ortodóntico experimentan, como efecto secundario, el sobrecrecimiento gingival. Dado que el tejido gingival de pacientes con HG por ortodoncia es fibrótico [12,21], los fibroblastos gingivales pueden experimentar una alteración en la regulación inflamatoria, proteica y ser capaces de sufrir cambios fenotípicos [22]. El concepto de EMT en el desarrollo del HG por ortodoncia, ha sido escasamente reportado en la literatura científica, por consiguiente, se plantea la hipótesis de que alteraciones en la membrana basal, acompañada de un aumento en la presencia de colágeno podría sugerir el rol del proceso EMT en la patogénesis del HG por ortodoncia.
El presente estudio utilizó S100A4 por ser un marcador celular positivo en el proceso de EMT. Las proteínas S100, integran una familia cuyos miembros son responsables de la regulación de múltiples procesos celulares, incluyendo la proliferación, transducción de señalización, migración y diferenciación celular [23]. S100A4, es también conocida como proteína específica de fibroblastos (FSP1), una molécula que se expresa en una variedad de tejidos, principalmente en células de origen mesenquimatoso [24]. La identificación de FSP1 fue reportada en células epiteliales en cultivo estimuladas con TGF-β1 y el factor de crecimiento epidérmico (EGF), demostrando que esta proteína es importante en los eventos de EMT [25]. FSP1 se expresa en procesos de fibrosis miocárdica particularmente en la miocardiopatía dilatada [26]. También ha sido reportado FSP1 en la progresión de la nefritis intersticial, principalmente en áreas que muestran una fibrosis intersticial severa y en las células epiteliales tubulares de áreas fibróticas que experimentan una EMT [27]. En esta investigación se constató el marcaje de S100A4 en células fibroblásticas, células de Langerhans y en el endotelio de vasos sanguíneos en los tejidos gingivales de individuos sanos. No obstante, se encontró un inmunomarcaje más intenso de S100A4 en los pacientes con HG por ortodoncia, principalmente, en fibroblastos gingivales y células endoteliales, en comparación con los tejidos evaluados del grupo de individuos sanos. Probablemente, este aumento en la tinción de S100A4 en los fibroblastos gingivales de los tejidos de pacientes con HG por ortodoncia, obedeció a la activación del proceso EMT condicionado por los movimientos ortodónticos persistentes y la incapacidad de los fibroblastos gingivales para resolver las lesiones generadas. En consecuencia, pudo ocurrir una activación descontrolada de los fibroblastos que incrementó el depósito de elementos de la MEC en el tejido gingival y por otro lado, la probable afectación de la proteólisis de elementos de la MEC. Los resultados del marcaje de S100A4 del presente estudio coinciden con hallazgos de otros reportes sobre pacientes con HG por ortodoncia [21] y por medicamentos [16,19].
La identificación inmunohistoquímica de S100A4 en el endotelio de células vasculares fue un hallazgo evidenciado en los pacientes con HG gingival por ortodoncia, principalmente en zonas de ruptura del endotelio vascular. Esto evoca un proceso patológico de transdiferenciación celular, recientemente reconocido como transición endotelial-mesenquimal (EndMT), donde las células endoteliales adoptan un fenotipo mesenquimatoso adquiriendo propiedades contráctiles y de motilidad celular [28]. Se cree que luego de la ruptura de la integridad de vasos sanguíneos, observado en el tejido gingival de pacientes con HG por ortodoncia, estas células migran hacia el tejido conjuntivo adyacente para convertirse en fibroblastos. Sin embargo, futuros trabajos deberán encaminarse a identificar otros marcadores de EndMT y a la identificación de genes específicos de células mesenquimatosas y sus proteínas codificadas. Se estima que las células endoteliales inactivas en condiciones fisiológicas, ante la presencia de estímulos como los ejercidos durante los movimientos ortodónticos, convierten a estas células en proliferativas y angiogénicas [29].
Los resultados del presente estudio mostraron un número importante de fibroblastos gingivales positivos para el inmunomarcaje de α-SMA en los pacientes con HG por tratamiento ortodóntico, en comparación con los individuos sanos, donde el marcaje fue exclusivamente identificado en el endotelio de los vasos sanguíneos. Estos resultados coinciden con reportes previos en pacientes con HG gingival por ortodoncia [21] y pacientes con HG por medicamentos [19] que demostraron una expresión intensa de α-SMA en el endotelio vascular y fibroblastos gingivales alrededor de áreas fibróticas. α-SMA es un marcador específico para miofibroblastos, una célula fibroblástica en un estado activo considerada pro-fibrótica y marcador del proceso EMT [30]. Se ha señalado la presencia de células positivas para α-SMA en la fibrosis cardiaca y renal [30,31]. La presencia de miofibroblastos en los pacientes con HG por ortodoncia podría sugerir el rol de estas células en el desarrollo de la fibrosis del tejido gingival ocasionado probablemente por el estrés mecánico a lo largo del tratamiento ortodóntico. En futuros estudios, sería interesante identificar la presencia de marcadores de EMT mediante técnicas de co-immunolocalización en tejidos gingivales e implementar modelos de cultivo 3D con fibroblastos gingivales procedentes de pacientes con hipertrofia gingival por ortodoncia. La mejora sustancial de la comprensión fisiopatológica que involucra este padecimiento, contribuiría al desarrollo de fármacos en la prevención del sobrecrecimiento gingival.
Limitaciones del estudio
Este estudio al ser preliminar requiere ser ejecutado en un número mayor de pacientes con hipertrofia gingival portadores de tratamiento ortodóntico.
Conclusiones
De acuerdo a la identificación de los marcadores analizados, la EMT eventualmente podría estar involucrada en la patogenia de la hipertrofia gingival inducida por el tratamiento de ortodoncia. Futuros estudios en modelos celulares serán útiles para continuar con la comprensión fisiopatológica de este padecimiento.
Agradecimiento
Al programa Bolívar Gana con Ciencia de la Gobernación de Bolívar, Colombia y la Fundación Ceiba por el acompañamiento.
Conflictos de interés: los autores declaran no tener conflictos de intereses.
Fuentes de financiación: la investigación fue financiada con recursos propios de los autores.
Literatura citada
1. Gameiro GH, Magalhães IB, Szymanski MM, Andrade AS. Is the main goal of mastication achieved after orthodontic treatment? A prospective longitudinal study. Dental Press J Orthod. 2017; 22:72–8. DOI: 10.1590/2177-6709.22.3.072-078.oar
2. Seixas MR, Costa-Pinto RA, Martins T. Gingival esthetics: an orthodontic and periodontal approach. Dental Press J. Orthod. 2012; 17:190–201. DOI: 10.1590/S2176-94512012000500025
3. Perkowski K, Baltaza W, Conn DB, Marczyńska-Stolarek M, Chomicz L. Examination of oral biofilm microbiota in patients using fixed orthodontic appliances in order to prevent risk factors for health complications. Ann Agric Environ Med. 2019; 26(2):231–5. DOI: 10.26444/aaem/105797
4. Reichert C, Kutschera E, Plötz C, Scharf S, Gölz L, Fimmers R, et al. Incidence and severity of gingival invaginations associated with early versus late initiation of orthodontic space closure after tooth extraction: A multicenter pilot and randomized controlled trial. J Orofac Orthop. 2017; 78(5):415–25. DOI: 10.1007/s00056-017-0098-9
5. Pinto AS, Alves LS, Zenkner JE do A, Zanatta FB, Maltz M. Gingival enlargement in orthodontic patients: Effect of treatment duration. Am J Orthod Dentofacial Orthop. 2017; 152(4):477–82. DOI: 10.1016/j.ajodo.2016.10.042
6. Drăghici EC, CrăiŢoiu Ş, MercuŢ V, Scrieciu M, Popescu SM, Diaconu OA, et al. Local cause of gingival overgrowth. Clinical and histological study. Rom J Morphol Embryol. 2016; 57(2):427–35.
7. Rodríguez Vásquez A, Fernández García L, Valladares Trochez E. Prevalencia de agrandamiento y retracción gingival en pacientes con tratamiento de ortodoncia. PC. 2018; 13:21-31. https://doi.org/10.5377/pc.v13i0.5918
8. Manzur-Villalobos I, Díaz-Rengifo IA, Manzur-Villalobos D, Díaz-Caballero AJ. Agrandamiento gingival farmacoinducido: Serie de casos. Univ. Salud. 2018; 20(1):89-96. https://dx.doi.org/10.22267/rus.182001.113
9. Rahul M, Gauba K, Gorwade N, Kumar A. Rare case report of idiopathic gingival fibromatosis in childhood and its management. BMJ Case Rep. 2019; 12(1):e227942. DOI: 10.1136/bcr-2018-227942
10. Zanatta FB, Ardenghi TM, Antoniazzi RP, Pinto TMP, Rösing CK. Association between gingivitis and anterior gingival enlargement in subjects undergoing fixed orthodontic treatment. Dental Press J Orthod. 2014; 19(3):59–66. DOI: 10.1590/2176-9451.19.3.059-066.oar
11. Gursoy UK, Sokucu O, Uitto V-J, Aydin A, Demirer S, Toker H, et al. The role of nickel accumulation and epithelial cell proliferation in orthodontic treatment-induced gingival overgrowth.Eur J Orthod. 2007; 29(6):555–8. DOI: 10.1093/ejo/cjm074
12. Şurlin P, Rauten AM, Pirici D, Oprea B, Mogoantă L, Camen A. Collagen IV and MMP-9 expression in hypertrophic gingiva during orthodontic treatment.Rom J Morphol Embryol. 2012; 53(1):161–5
13. Niţulescu EA, Crăiţoiu MM, Baniţă MI, Drăghici E, Crăiţoiu Ş. The involvement of TGF-β1 and CTGF in regional gingival overgrowth. Rom J Morphol Embryol. 2012; 53(1):143–50
14. Gonzalez DM, Medici D. Signaling mechanisms of the epithelial-mesenchymal transition. Sci Signal. 2014; 7(344):re8–re8. DOI: 10.1126/scisignal.2005189
15. Lamouille S, Xu J, Derynck R. Molecular mechanisms of epithelial–mesenchymal transition. Nat Rev Mol Cell Biol. 2014; 15(3):178–96. DOI: 10.1038/nrm3758
16. Sume SS, Kantarci A, Lee A, Hasturk H, Trackman PC. Epithelial to Mesenchymal Transition in Gingival Overgrowth.Am J Pathol. 2010; 177(1):208–18. DOI: 10.2353/ajpath.2010.090952
17. Fu MM, Chin Y-T, Fu E, Chiu H-C, Wang L-Y, Chiang C-Y, et al. Role of Transforming Growth Factor-beta1 in Cyclosporine-Induced Epithelial-to-Mesenchymal Transition in Gingival Epithelium. J Periodontol. 2015; 86(1):120–8. DOI: 10.1902/jop.2014.130285
18. Carlson RV, Boyd KM, Webb DJ. The revision of the Declaration of Helsinki: past, present and future.Br J Clin Pharmacol. 2004; 57(6):695–713. DOI: 10.1111/j.1365-2125.2004.02103.x
19. Arora H, Madapusi BT, Ramamurti A, Narasimhan M, Periasamy S, Rao SR. Immunohistochemical Localization of Epithelial Mesenchymal Transition Markers in Cyclosporine A Induced Gingival Overgrowth. J Clin Diagn Res. 2016; 10(8):ZC48-52. DOI: 10.7860/JCDR/2016/20808.8271
20. Nan L, Zheng Y, Liao N, Li S, Wang Y, Chen Z, et al. Mechanical force promotes the proliferation and extracellular matrix synthesis of human gingival fibroblasts cultured on 3D PLGA scaffolds via TGF-β expression. Mol Med Rep. 2019; 19(3):2107-2114. DOI: 10.3892/mmr.2019.9882
21. Pascu EI, Pisoschi CG, Andrei AM, Munteanu MC, Rauten AM, Scrieciu M, et al. Heterogeneity of collagen secreting cells in gingival fibrosis--an immunohistochemical assessment and a review of the literature. Rom J Morphol Embryol. 2015; 56(1):49–61
22. Simancas-Escorcia V, Díaz-Caballero A. Fisiología y usos terapéuticos de los fibroblastos gingivales. Odous Científica. 2019; 20(1):41-57
23. Bresnick AR. S100 proteins as therapeutic targets. Biophys Rev. 2018; 10(6):1617–29. DOI: 10.1007/s12551-018-0471-y
24. Strutz F, Okada H, Lo CW, Danoff T, Carone RL, Tomaszewski JE, et al. Identification and characterization of a fibroblast marker: FSP1. J Cell Biol. 1995; 130(2):393–405. DOI:10.1083/jcb.130.2.393
25. Okada H, Danoff TM, Kalluri R, Neilson EG. Early role of Fsp1 in epithelial-mesenchymal transformation. Am J Physiol. 1997; 273(4):F563-74. DOI: 10.1152/ajprenal.1997.273.4.F563
26. Xie Y, Liao J, Yu Y, Guo Q, Yang Y, Ge J, et al. Endothelial-to-mesenchymal transition in human idiopathic dilated cardiomyopathy. Mol Med Rep. 2018; 17(1):961-969. DOI: 10.3892/mmr.2017.8013
27. Nishitani Y, Iwano M, Yamaguchi Y, Harada K, Nakatani K, Akai Y, et al. Fibroblast-specific protein 1 is a specific prognostic marker for renal survival in patients with IgAN. Kidney Int. 2005; 68(3):1078-85. DOI: 10.1111/j.1523-1755.2005.00500.x
28. Piera-Velazquez S, Jimenez SA. Endothelial to Mesenchymal Transition: Role in Physiology and in the Pathogenesis of Human Diseases. Physiol Rev. 2019; 99(2):1281-1324. DOI: 10.1152/physrev.00021.2018
29. Moccia F, Negri S, Shekha M, Faris P, Guerra G. Endothelial Ca2+ Signaling, Angiogenesis and Vasculogenesis: just What It Takes to Make a Blood Vessel.Int J Mol Sci. 2019; 20(16):E3962. DOI: 10.3390/ijms20163962
30. Stempien-Otero A, Kim D-H, Davis J. Molecular networks underlying myofibroblast fate and fibrosis. J Mol Cell Cardiol. 2016; 97:153–61. DOI: 10.1016/j.yjmcc.2016.05.002
31. Yuan Q, Tan RJ, Liu Y. Myofibroblast in Kidney Fibrosis: Origin, Activation, and Regulation. Adv Exp Med Biol. 2019; 1165:253-283. DOI: 10.1007/978-981-13-8871-2_12
Alternative link
https://revistasum.umanizales.edu.co/ojs/index.php/archivosmedicina/article/view/3693 (html)