Artículos Reporte de Caso
Manejo Conservador de Retención de Productos de la Concepción con Anticonceptivos Orales Combinados. Presentación de Caso
Conservative Management of Retained Products of Conception with Combined Oral Contraceptives. Case Report
Manejo Conservador de Retención de Productos de la Concepción con Anticonceptivos Orales Combinados. Presentación de Caso
Archivos de Medicina (Col), vol. 21, núm. 1, pp. 215-224, 2021
Universidad de Manizales
Recepción: 13 Octubre 2019
Corregido: 05 Agosto 2020
Aprobación: 19 Agosto 2020
Resumen: Objetivo: presentar el caso de una paciente con retención de productos de la concepción (RPC) después de aborto médico, tratada con anticonceptivos orales combinados (ACOC), y efectuar revisión de la literatura. Caso Clínico: paciente de 37 años, con sangrado genital escaso y leve dolor pélvico, quien tuvo aborto provocado con misoprostol cuatro días antes, acude sin signos de infección, con endometrio mixto de 18,5 mm. Durante seis semanas de seguimiento persiste sangrado y endometrio mixto engrosado, con disminución lenta de la gonadotrofina corionica humana (GCH); se sospecha RPC, se suministra ciclo de ACOC y al terminarlos expulsa completamente el tejido retenido. Metodología: búsqueda bibliográfica en bases de datos Google Scholar, Science Direct, RIMA, PubMed. Revisión de literatura: la RPC se presenta después de parto o aborto (más frecuente). Criterios diagnósticos: sangrado persistente, hallazgos ecográficos y medición de GCH. Diagnóstico diferencial: enfermedad trofoblastica gestacional y malformaciones arteriovenosas uterinas. Es factible el manejo conservador, con bajas tasas de infección o procedimientos quirúrgicos. Ante la evolución prolongada, presencia de signos de infección o hemorragia importante, se impone la evacuación quirúrgica, tradicionalmente con dilatación y legrado, y más recientemente resección histeroscópica. La bibliografía reciente sugiere el uso de ACOC como manejo médico. En nuestro caso, la paciente tomó un ciclo de ACOC y al terminarlos presentó expulsión de los restos retenidos. Conclusiones: el manejo conservador de la RPC con ACOC surge como una opción en casos seleccionados; son necesarios estudios controlados para definir su utilidad.
Palabras clave: misoprostol, aborto incompleto, anticonceptivos orales, anticonceptivos orales combinados.
Abstract: Objective: to report the case of a patient with retained products of conception (RPC) after a medical abortion, successfully treated with combined oral contraceptives (COCs), and to review the literature. Clinical case: a 37-year-old patient, with little genital bleeding and slight pelvic pain, who had had a misoprostol-induced abortion four days before consulting, she attended without signs of infection, with a thikened 18.5 mm mixed endometrium. After six weeks follow-up genital bleeding and thickened mixed endometrium persist, with a slow decrease in human chorionic gonadotropin (HCG), RPC is suspected, and a COC cycle is administered, when finished, she completely expelled the retained tissue. Methodology: Google Scholar, Science Direct, RIMA and PubMed databases were searched. Literature review: RPC occurs after delivery or abortion (more frequent), diagnostic criteria: persistent bleeding, ultrasound findings and HCG measurement; the differential diagnosis includes gestational trophoblastic disease and uterine arteriovenous malformations. Conservative management is feasible, with low rates of infection or surgical procedures, however, in case of prolonged evolution, evident signs of infection or significant bleeding, surgical evacuation is required, traditionally with dilation and curettage, and more recently hysteroscopic resection. Novel bibliography suggests the use of ACOC as medical management. In our case, the patient took a cycle of COC and at the end she expelled the retained remains. Conclusions: conservative management of RPC with COC arises as an option in selected cases, controlled trails are needed to define its usefulness.
Keywords: misoprostol, incomplete abortion, combined oral contraceptives.
Introducción
La retención de productos de la concepción (RPC) es una de las complicaciones de los abortos espontáneos o provocados [1, 2, 3], a su vez, la persistencia del tejido trofoblástico en el interior del útero facilita la posibilidad de infección localizada y las consecuencias que de ella se derivan, como sepsis generalizada, endomiometritis, entre otros, y también las inherentes a los procedimientos invasivos que se efectúan con la intención de evacuar los restos de la cavidad uterina [1].
Como en la mayoría de las situaciones patológicas que enfrenta el profesional de la medicina, en el manejo de la RPC se intenta evitar intervenciones invasivas y cruentas, tales como el legrado uterino, máxime teniendo en cuenta la posibilidad de complicaciones a corto y largo plazo, incluyendo perforación uterina, formación de sinequias e infertilidad, producto de estas bien intencionadas alternativas [2,3].
Se presenta un caso de RPC posterior a un aborto médico, con persistencia de sangrado genital, niveles mensurables de gonadotrofina coriónica humana (GCH) y engrosamiento endometrial a la ecografía, seis semanas después de la expulsión del producto, por lo cual se utilizó como manejo médico un ciclo de anticonceptivos orales combinados, de acuerdo al protocolo utilizado en una publicación reciente [4], obteniendo la expulsión de los restos retenidos, con verificación histeroscópica de cavidad limpia, sin adherencias, después de dos ciclos menstruales espontáneos.
Caso clínico
Paciente de 37 años, G:2 A:2, profesional de la salud (médica), a quien, en su segundo embarazo, cuando cursaba 14,3 semanas gestación, le fue confirmado diagnóstico de síndrome de Down, lo que motivó su decisión de interrumpir la gestación; al cumplir las 15 semanas había utilizado misoprostol 800 mcg vía vaginal dosis única, con expulsión aparentemente completa de producto y placenta en casa al día siguiente.
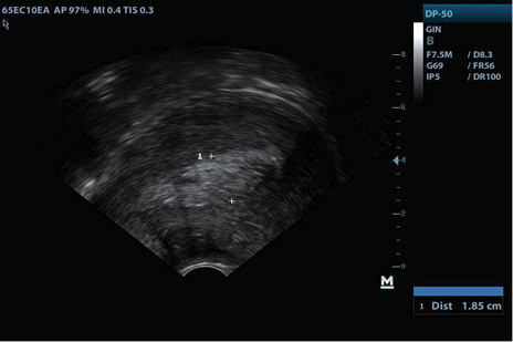
Consultó al médico ginecólogo en consulta privada, cuatro días después de la expulsión del producto, manifestando escaso sangrado y leve dolor pélvico; a su ingreso se encontró paciente tranquila, afebril, sin taquicardia ni taquipnea, abdomen blando, al examen con espéculo cérvix cerrado, escaso material sanguinolento en vagina, sin mal olor; en la ecografía se observó, como hallazgo positivo, endometrio irregular de predominio homogéneo con algunas zonas hipoecoicas, de 18,5 mm en corte longitudinal (Figura 1). Se ordenó cuadro hemático, GCH cuantitativa, evitar coitos y tactos vaginales, y se instruyó en signos de alarma.
La evolución en controles subsiguientes evidenció persistencia del sangrado genital y dolor pélvico, sin signos de infección, endometrio ecográficamente mixto sin disminución de grosor (Figuras 2-3), y niveles de GCH en descenso lento, por lo que a los 28 días después de la expulsión se decidió prueba terapéutica con misoprostol dosis única vaginal, sin éxito.



Se estableció diagnóstico de Retención de Productos de la Concepción (RPC) y, teniendo en cuenta los niveles de GCH en descenso, la ausencia de signos de infección y la solicitud de la paciente, se acordó un periodo de observación sin medicamentos ni otra medida terapéutica.
Acudió a consulta dos semanas más tarde por sangrado genital y dolor pélvico, con niveles de GCH aún mensurable, sin signos clínicos de infección, se le explicó la posibilidad de practicar evacuación quirúrgica mediante legrado y/o histeroscopia, a lo cual se opuso, solicitando alguna alternativa de tipo médico, por lo que se sugirió administrar un ciclo de anticonceptivos hormonales combinados (ACOC), tomando como base la reciente publicación de Klement AH et al., en la que se utilizó con éxito esta forma de tratamiento, para evitar procedimientos invasivos [4]; se aclaró a la paciente que se trata una estrategia experimental, no confirmada por la medicina basada en la evidencia, ante lo cual ella manifestó su aceptación y consentimiento. Se formuló un ciclo de ACOC con etinil estradiol (EE) 30 mcg + levonorgestrel (LNG) 150 mcg por 21 días, y al terminarlo presentó sangrado y expulsión de material carnoso; la ecografía reportó endometrio homogéneo de 9 mm. Se recomendó observación sin medicamentos, continuar planificación familiar (PF) con preservativo.
En la Tabla 1 se describe la evolución de acuerdo a sintomatología, niveles de GCH, hallazgos ecográficos y conducta correspondiente.

* tiempo transcurrido desde la expulsión del producto
tabla elaborada por el autor, con datos de la historia clínicaDos meses después, la paciente consultó con ciclos regulares normales, manifestando interés en un nuevo embarazo y preocupación por la posibilidad de adherencias u otra alteración endometrial residual, producto de su cuadro clínico reciente, además de su antecedente de aborto espontáneo en el primer embarazo, que también ameritó legrado cuando cursaba 23 semanas; por todo lo anterior, se propuso realizar histeroscopia, la cual se practicó sin complicaciones, en fase folicular del ciclo, con técnica oficinal, encontrando cavidad de aspecto normal, ambos ostium vistos (figura 4a,4b,4c).



Metodología
Se realizó una búsqueda bibliográfica en las bases de datos Google Scholar, Science Direct, RIMA, PubMed, en idioma inglés, se incluyeron reportes de caso, investigaciones originales, revisiones sistemáticas y metaanálisis, utilizando como palabras clave: “residual trophoblastic tissue”, “retained products of conception”, “incomplete miscarriage”, “conservative management”, “ultrasound”, “oral combined contraceptives”. En la búsqueda bibliográfica, si bien se obtuvo un importante número de artículos relacionados al tema de la RPC, solo se encontró un estudio similar a la publicación de Klement AH et al [4];.
Revisión de literatura
La RPC, caracterizada por la presencia de tejido placentario o fetal que permanece en el interior de la cavidad uterina después de un aborto médico, quirúrgico o espontáneo, y en el post parto a término o pre término [1,3,5], complica aproximadamente el 1-5 % de todas las gestaciones [1,6] y se presenta con mayor frecuencia cuando termina el embarazo en el segundo trimestre [7].
La historia típica es la de una paciente que presenta terminación del embarazo, más frecuentemente aborto espontáneo o provocado con medicamentos, y luego consulta por sangrado genital y dolor pélvico persistente de intensidad variable, síntomas y signos que son usuales en la evolución natural del periodo post aborto y pueden confundir el diagnóstico [3].
Usualmente el sangrado genital, en los abortos espontáneos no complicados por RPC, cede en un lapso de una a dos semanas [8], aunque ocasionalmente puede haber mayor duración, mientras en casos de evacuación quirúrgica se esperan lapsos menores de sangrado [9]. La mayoría de los estudios sugiere medidas de intervención por sospecha de RPC, si el sangrado transcurre por más de dos semanas [4,8,9].
Las complicaciones a corto plazo de la RPC, se centran fundamentalmente en la infección y el sangrado profuso, los cuales, si bien son más bien infrecuentes [8], pueden poner en peligro la vida, además, existen riesgos adicionales, como la perforación uterina con lesión intestinal y/o sangrado, en caso que la paciente deba ser sometida a evacuación quirúrgica de los restos retenidos (usualmente mediante un legrado uterino); a largo plazo, pueden presentarse adherencias intrauterinas e infertilidad [9].
El diagnóstico se basa en la persistencia del sangrado y el dolor pélvico, la medición de la GCH y los hallazgos imagenológicos.
La post evacuación, espontánea, médica o quirúrgica, es común la desaparición del sangrado en la primera y máximo segunda semana [8], por lo tanto su persistencia es un indicio de la RPC.
Después de la evacuación uterina suele esperarse un descenso de la GCH, el cual se ha descrito, para gestaciones que terminan en aborto espontáneo de primer trimestre, en una declinación de 21 a 35% a los dos días y de 60 a 84% a los 7 días [10]; también se ha publicado el comportamiento de la GCH en abortos médicos completos (provocados con mifepristona o misoprostol) reportando tasas de descenso de 57,6% en día 3º, 78,9% en día 4º, y 86,2 en día 5º [11]. En casos de RPC, la declinación es menos pronunciada y en algunas ocasiones en “meseta”, superando los tiempos y valores mencionados [12]; por el contrario, la disminución notoria o desaparición de la GCH no descarta la RPC y debe evaluarse de acuerdo con los hallazgos clínicos y ecográficos, dado que ocasionalmente el tejido necrótico persistente deja de producirla.
La evaluación ecográfica es un pilar fundamental para confirmar la presencia de restos ovulares en la cavidad, tomando como base el grosor y aspecto del endometrio, sobre todo si se observa material hiper ecogénico en la cavidad [13].
El grosor endometrial, usualmente el primer parámetro a evaluar con la metodología ecográfica de “escala de grises” (sin incluir de uso de doppler), es controversial y se ha utilizado para evaluar la cavidad endometrial inmediatamente post evacuación uterina, con puntos de corte sugeridos de 5, 8 y 12 mm [1,14], también se ha evaluado el endometrio el dia 7 post aborto, con punto de corte de 10 mm [13], e incluso se ha efectuado la comparación de grosores endometriales de 10 y 15 mm como predictores de hallazgo de restos ovulares en paciente sometidas a dilatación y curetaje [15] sin resultados concluyentes.
Posterior a un aborto médico, se recomienda la medición del máximo grosor del endometrio en un plano longitudinal, entre los días 7 y 14 post evacuación, ya que en los primeros 7 días es poco probable encontrar la cavidad uterina vacía, por la presencia de coágulos y decidua [16]. En la actualidad, en la evaluación endometrial post aborto, no existe un punto de corte único para el concepto de “endometrio grueso”, ya que los reportes de grosor endometrial normal post aborto fluctúan entre 8 y 15 mm [7,8], además, los autores coinciden en la importancia de evaluar el contexto clínico y la evolución de la paciente, puesto que en algunos casos de pacientes asintomáticas, el grosor y aspecto del endometrio arrojan información sugestiva de restos presentes en cavidad, y el resultado final es una evolución satisfactoria sin realizar intervenciones quirúrgicas [4,8,13,15]. Otro hallazgo a la ecografía con escala de grises, que incrementa la posibilidad de RPC, es la presencia de masa endometrial, definida como: estructura separada del endometrio que es distinguible en tres dimensiones en dos planos ortogonales [7]. En nuestro caso, el grosor endometrial fue persistentemente ≥18 mm, sin embargo no fue el único criterio a tener cuenta, dado que la paciente presentó también sangrado genital y dolor pélvico, con lento descenso de los niveles de GCH.
Con la adición de la tecnología doppler color, los hallazgos ecográficos incrementan el acercamiento diagnóstico, ya que permite reconocer la presencia de coágulos (avasculares) y evitar la confusión con otras imágenes vascularizadas constitutivas de masa, incluyendo pólipos y engrosamientos endometriales [7]; también con doppler color es factible estimar el pronóstico del manejo expectante, en función de la vascularidad del tejido retenido [17]. De hecho, la RPC se acompaña del hallazgo de aumento de la vascularidad miometrial, con incremento de los picos sistólicos al doppler color, lo cual cede con la evacuación uterina; se han propuesto puntos de corte para el pico sistólico, sugestivos de la necesidad de embolización de arterias uterinas en casos seleccionados [18].
Si bien los hallazgos ecográficos permiten una gran aproximación diagnóstica a la RPC, siempre se debe tener en cuenta la posibilidad de enfermedad trofoblastica gestacional (ETG), cuya historia clínica puede ser similar (antecedente de aborto, sangrado persistente y GCH mensurable) y, aunque se han descrito criterios diferenciales de diagnóstico ecográfico [19], en algunos casos éste no es concluyente. Otra posibilidad de confusión diagnóstica es la malformación arteriovenosa del útero (MAV) adquirida, la cual comparte, en la mayoría de los casos, características ecográficas similares en escala de grises y al doppler color a las de la ETG y RPC [20], y puede tener como antecedente un aborto, parto o ETG. Si bien la MAV es un diagnóstico sumamente infrecuente, con poco más de 100 casos reportados [21], es mandatorio considerarlo por los riesgos que implica, entre ellos sangrado masivo durante un curetaje; el manejo más utilizado, cuando se confirma la MAV, es la embolización de arterias uterinas, y en caso de falla, la histerectomía [22].
Una vez confirmada la RPC, el manejo se basa en la sintomatología de la paciente. Aunque es ideal un manejo expectante [8], la evidencia de sangrado profuso, alteraciones hemodinámicas o signos de infección, pueden orientar a la evacuación inmediata de la cavidad uterina [3], mientras que las pacientes asintomáticas pueden ser sometidas a observación con vigilancia de signos de alarma [9].
El manejo conservador o expectante se fundamenta en la posibilidad de esperar la expulsión de los restos retenidos en forma espontánea, sin intervención médica ni quirúrgica, opción que es aceptada por algunas pacientes [8], por otra parte, el tratamiento médico se realiza con misoprostol a las mismas dosis que son utilizadas para la expulsión del producto en casos de aborto retenido; se ha demostrado que no hay diferencias en los resultados y complicaciones de ambos procedimientos [23,24], lo que implica que la selección de una u otra queda a opción de la paciente, previa explicación sobre cada una. Un factor que influye en la decisión tanto de la paciente como del profesional de la salud, es el temor a la infección intrauterina en el manejo expectante, sin embargo, los estudios coinciden en que existen bajas tasas de infección, aproximadamente 2% [8,9].
Una forma de tratamiento médico, recientemente descrita en casos de RPC confirmada sin expulsión del contenido endometrial en el período de manejo conservador, ha sido la administración de ACOC; en el estudio de Kaviani M et al. [25], en una población de 111 mujeres con aborto incompleto de primer trimestre, se comparó el uso de metilergonovina + ACOC de baja dosis, con el uso de cada uno de ellos por separado (tres grupos), obteniendo en todos los grupos expulsión de los restos retenidos, con la conclusión que los ACOC de baja dosis pueden ser utilizados en el manejo de la RPC, en pacientes sin hemorragia y sin factores de riesgo para uso de ACOC. En la publicación de Klement AH et al. [4] se estudiaron pacientes con aborto de primer trimestre, con al menos dos semanas de observación post aborto sin expulsión de contenido endometrial, o falla en el uso de misoprostol; de las 12 pacientes seleccionadas, 9 presentaron expulsión de los productos retenidos de la concepción.
La estrategia de suministrar ACOC para el manejo de la RPC se basa en el efecto de la asociación de estrógeno y progestina sobre el endometrio, que induce la atrofia glandular y estromal, así como la involución de las arteriolas espirales, con la potencial reducción de la viabilidad del tejido trofoblástico retenido, el cual es expulsado con el sangrado menstrual [4,25]. Si bien el papel de los anticonceptivos hormonales para el manejo de los sangrados genitales anormales (disfuncionales) es ampliamente conocido [26], pocos trabajos habían descrito previamente su uso en el manejo del sangrado post aborto, espontáneo o inducido [27].
La remoción quirúrgica de los restos retenidos se ha indicado para detener sangrados persistentes, evacuar tejidos infectados y prevenir complicaciones a largo plazo, tales como adherencias intrauterinas e infertilidad; el procedimiento más utilizado ha sido tradicionalmente el legrado uterino, sin embargo, en los últimos años ha surgido la opción de la resección histeroscópica [3,28]. Nuestra paciente enfáticamente solicitó que no se le practicaran procedimientos quirúrgicos, conocedora, en su condición de médica, de las posibles complicaciones de las alternativas quirúrgicas (legrado, histeroscopia) en casos de RPC.
El caso que se presenta fue manejado exitosamente en forma conservadora, con la novedosa propuesta de suministrar ACOC después de la falla del manejo expectante, obteniendo un resultado similar al que se publica en la literatura [4,25]. En el presente caso, se observó la paciente durante seis semanas con controles de GCH y ecografía, y por la persistencia del sangrado y los niveles aun detectables de GCH, se administró una dosis adicional de misoprostol como intento de expulsar los restos retenidos, sin éxito; finalmente, se decidió el manejo con un ciclo de ACOC, logrando la expulsión completa del tejido, el retorno a los ciclos menstruales normales y la posterior confirmación histeroscópica (solicitada por la paciente) de ausencia de tejido residual o adherencias. Es de anotar que ambos estudios citados, Klement AH et al. y Kaviani M et al. [4,25] el periodo máximo de observación con manejo expectante fue de dos semanas antes de suministrar el ciclo de ACOC, mientras que en este caso se procedió a los 46 días de haber expulsado el producto.
En la actualidad Klement AH et al. [4] adelantan un estudio prospectivo aleatorio titulado “Oral Contraceptive Pills Versus Expectant Management for Retained Pregnancy Products After a First Trimester Miscarriage: a Randomized Clinical Trial“ (consultar https://ichgcp.net/clinical-trials-registry/NCT03230825), cuyos resultados podrían establecer el papel de esta estrategia en el armamentario terapéutico de la RPC.
Conclusiones
El manejo conservador es una alternativa razonable para la RPC, en ausencia de infección intrauterina o sangrado de magnitud importante; en cualquier caso, la paciente debe ser informada de los resultados esperados, posibles complicaciones inmediatas y secuelas a largo plazo.
El uso de ACOC, en caso de falla del manejo conservador y el tratamiento médico con misoprostol, surge como una alternativa terapéutica, con buenos resultados en los pocos casos hasta ahora reportados. Son necesarios estudios controlados con suficiente número de casos para definir el papel de los ACOC en el manejo de la RPC.
Los aspectos bioéticos de esta publicación se ciñen a lo dispuesto por la declaración de Helsinki de La Asociación Médica Mundial y la Resolución 8430 de 1993 del Ministerio de Salud de Colombia. La paciente ha sido informada del interés científico que reviste su caso personal y está de acuerdo en la publicación del mismo, previa lectura del manuscrito; también se le ha garantizado la confidencialidad del manejo de la información.
Conflictos de interés: el autor no declara ningún conflicto de interés.
Fuentes de financiación: recursos propios del autor.
Literatura citada
1. Debby A, Malinger E, Harow E, Golan A, Glezerman M. Transvaginal ultrasound after first-trimester uterine evacuation reduces the incidence of retained products of conception. Ultrasound Obstet Gynecol. 2006; 27(1):61-64. DOI: 10.1002/uog.2654
2, Ben-Ami I, Melcer Y, Smorgick N, Schneider D, Pansky M, Halperin R. A comparison of reproductive outcomes following hysteroscopic management versus dilatation and curettage of retained products of conception, Int J Gynecol Obstet. 2014; 127(1):86-89. http://dx.doi.org/10.1016/j.ijgo.2014.05.003
3. Hooker AB, Aydin H, Brôlmann HA, Huirne JA. Long term complications and reproductive outcome after the management of retained products of conception: a systematic review. Fertility and Sterility. 2016; 105(1):156-164. https://doi.org/10.1016/j.fertnstert.2015.09.021
4. Klement AH, Frederic M, Bentov Y, Chang P, Nayot D, Haas J, et al. Oral contraceptive pills as an option for non-surgic al management of retained products of conception-a preliminary study. Gynecol Endocrinol. 2018; 34(7):609-611. DOI: 10.1080/09513590.2018.1427714
5. Jimenez JS, Gonzalez C, Alvarez C, Muñoz L, Perez C, Muñoz J. Conservative management of retained trophoblastic tissue and placental polyp with diagnostic ambulatory hysteroscopy. Eur J Obstet Gynecol Reprod Biol. 2009; 145(1): 89–92. https://doi.org/10.1016/j.ejogrb.2009.04.001
6. Harish KM, Shwetha N, Dipankar D. Comparative análisis of hysteroscopy versus suction evacuation in the management of retained products of conception. Int J Reprod Contracept Obstet Gynecol. 2018; 7(6):2155-2159. http://dx.doi.org/10.18203/2320-1770.ijrcog20182009
7. Sellmyer MA, Desser TS, Maturen KE, Jeffrey RB, Kamaya A. Physiologic, Histologic, and Imaging Features of Retained Products of Conception. Radiographics. 2013; 33(3):781-796. DOI: 10.1148/rg.333125177
8. Casikar I, Bignardi T, Riemke J, Alhamdan D, Condous G. Expectant management of spontaneous first-trimester miscarriage: pospective validation of the “2 weeks rule”.Ultrasound Obstet Gynecol. 2010; 35(2): 223–227. DOI: 10.1002/uog.7486
9. Trinder J, Brocklehurst P, Porter R, Read M, Vyas S, Smith L. Management of miscarriage: expectant, medical, or surgical? Results of randomised controlled trial (miscarriage treatment (MIST) trial).BMJ. 2006; 332(7552):1235-1240. DOI: 10.1136/bmj.38828.593125.55
10. Barnhart K, Sammel MD, Chung K, Zhou L, Hummel AC, Guo W. Decline of Serum Human Chorionic Gonadotropin and Spontaneous Complete Abortion: defining the Normal Curve. Obstet Gynecol. 2004; 104(5) 975-981. DOI: 10.1097/01.AOG.0000142712.80407.fd
11. Pocius KD, Maurer R, Fortin J, Goldberg AB, Bartz D. Early serum human chorionic gonadotropin (hCG) trends after medication abortion. Contraception. 2015; 91(6): 503–506. DOI: 10.1016/j.contraception.2015.03.004
12. Pourali L, Ayati S, Layegh P, Vatanchi A, Rastin Z, Shourvi A. Persistent low levels of Beta-hCG: a pitfall in diagnosis of Retained products of Conception. Acta Med Iran. 2018; 56(7):478-481.
13. Tohma YA, Dilbaz B, Evliyaoğlu O, Çoşkun B, Çolak E, Dilbaz S. Is ultrasonographic evaluation essential for diagnosis of retained products of conception after surgical abortion? J Obstet Gynaecol Res. 2016; 42(5):489-495. https://doi.org/10.1111/jog.12944
14. Reeves MF, Fox MC, Lohr PA, M. D. Creinin MD. Endometrial thickness following medical abortion is not predictive of subsequent surgical intervention. Ultrasound Obstet Gynecol. 2009; 34(1):104–109. DOI: 10.1002/uog.6404
15. Sawyer E, Ofuasia E, Ofili-Yebovi D, Helmy S, Gonzalez J, Jurkovic D. The value of measuring endometrial thickness and volumen on transvaginal ultrasound scan for the diagnosis of incomplete miscarriage. Ultrasound Obstet Gynecol. 2007; 29(2):205–209. DOI: 10.1002/uog.3914
16. Chopra N, Kaur M, Kaur-Mohi M. Correlation of ultrasound with histopathology for retained products of conception in medically managed abortions. Int J Reprod Contracept Obstet Gynecol. 2017; 6(8):3372-3375. http://dx.doi.org/10.18203/2320-1770.ijrcog20173373
17. Hameed BH. Incomplete miscarriage, expectant versus medical management and the use of Doppler sonography for patient selection. Iraqi J Comm Med. 2016; 2:10-15.
18. Van den Bosch T, Van Schoubroeck D, Timmerman D. Maximum Peak Systolic Velocity and Management of Highly Vascularized Retained Products of Conception. J Ultrasound Med. 2015; 34(9):1577–1582. DOI: 10.7863/ultra.15.14.10050
19. Betel C, Atri M, Arenson AM, Khalifa M, Osborne R, Tomlinson G. Sonographic Diagnosis of Gestational Trophoblastic Disease and Comparison With Retained Products of Conception.J Ultrasound Med. 2006; 25(8):985–993. DOI: 10.7863/jum.2006.25.8.985
20. Jain K, Fogata M. Retained Products of Conception Mimicking a Large Endometrial AVM: Complete Resolution Following Spontaneous Abortion. J Ultrasound Med. 2007; 35(1):42-47. DOI: 10.1002/jcu.20250
21. Vilos AG, Vilos GA, Hollett-Caines J, Rajakumar C, Garvin G, Kozack R. Uterine artery embolization for uterine arteriovenous malformation in five women desiring fertility: pregnancy outcomes. Hum Reprod. 2015; 30(7):1599–1605. DOI: 10.1093/humrep/dev097
22. Hashim H, Nawawi O. Uterine arteriovenous malformation. Malays J Med Sci. 2013; 20(2):76-80.
23. Kim C, Barnard S, Neilson JP, Hickey M, Vazquez JC, Dou L. Medical treatments for incomplete miscarriage. Cochrane Database Syst Rev. 2017; 1:1-2. DOI: 10.1002/14651858.CD007223.pub4
24. Lemmers M, Verschoor MA, Regenrink KO, Naaktgeboren C, Opmeer BC, Bossuyt PM, et al. MisoREST: surgical versus expectant management in women with an incomplete evacuation of the uterus after misoprostol treatment for miscarriage: a randomized controlled trial. Hum Reprod. 2016; 31(11):2421-2427. DOI:10.1093/humrep/dew221
25. Kaviani M, Tehrani TA, Azima S, Abdali K, Asadi N. Comparison of the Effects of Simultaneous Use of Methylergonovine and Combined Low-dose (LD) Contraceptive Pills on Hemorrhage Due to Retained Pregnancy Products after Abortion.Int J Curr Microbiol App Sci. 2016; 5(11):499-507. http://dx.doi.org/10.20546/ijcmas.2016.511.058
26. Lethaby A, Wise MR, Weterings MA, Bofill-Rodriguez M, Brown J. Combined hormonal contraceptives for heavy menstrual bleeding. Cochrane Database Syst Rev. 2019;2:1-3. DOI: 10.1002/14651858.CD000154.pub3
27. Martin CW, Brown AH, Baird DT. A pilot study of the effect of methotrexate or combined oral contraceptive on bleeding patterns after induction of abortion with mifepristone and a prostaglandin pessary. Contraception. 1998; 58(2):99-103. DOI: 10.1016/s0010-7824(98)00072-9
28. Smorgick N, Barel O, Fuchs N, Ben-Ami I, Pansky M, Vaknin Z. Hysteroscopic management of retained products of conception: meta-analysis and literature review.Eur J Obstet Gynecol Reprod Biol. 2014; 173:19–22. https://doi.org/10.1016/j.ejogrb.2013.11.020
Enlace alternativo
https://revistasum.umanizales.edu.co/ojs/index.php/archivosmedicina/article/view/3530 (html)