Artículos sobre COVID-19
Recepción: 13 Agosto 2020
Corregido: 21 Noviembre 2020
Aprobación: 24 Noviembre 2020
DOI: https://doi.org/10.30554/archmed.21.1.3959.2021
Resumen: Objetivo: el objetivo de este estudio fue describir los casos de pacientes con dolor abdominal y diagnóstico confirmado de COVID-19. En países de Latinoamérica la pandemia ha tenido un gran impacto por el alto índice de mortalidad. Ecuador es el quinto país más afectado en la región en número de casos confirmados con una tasa de 223 fallecidos por cada millón de habitantes, ubicándose en el primer lugar de letalidad. En la población pediátrica el comportamiento del COVID-19 sigue siendo inespecífico. Materiales y métodos: se realizó un estudio observacional, descriptivo y retrospectivo en el cual se incluyó a todos los pacientes menores de 18 años exceptuando neonatos, que ingresaron por dolor abdominal a un hospital pediátrico de la ciudad de Guayaquil entre los meses de abril y mayo de 2020 y obtuvieron diagnóstico confirmado COVID-19. Resultados: fueron incluidos 30 pacientes con diagnóstico confirmado de COVID-19 y dolor abdominal. La edad promedio fue 8,46 años a predomino del sexo masculino (70%). En la valoración del dolor 19 (63%) tuvieron un EVA moderado-severo y 11 (37%) EVA leve. 7 pacientes (23.33%) requirieron intervención quirúrgica, 21 (70%) necesitaron de unidad de cuidados críticos, y 1 (3.33%) falleció. Conclusiones: el dolor abdominal constituye un desafío diagnóstico en este tiempo de pandemia y debería ser considerado dentro de las posibles manifestaciones clínicas de COVID-19 en la población pediátrica.
Palabras clave: virus del SARS, Infecciones por coronavirus, pandemias, dolor abdominal, hospitales pediátricos, estudio observacional.
Abstract: Objective: the objective of this study was to describe the cases of paediatric patients with abdominal pain and confirmed diagnosis of COVID-19. In Latin American countries the pandemic has had a major impact from the high mortality rate. Ecuador is the fifth most affected country with a rate of 223 deaths per million inhabitants, ranking at the top of the fatality. In the paediatric population, the behavior of COVID-19 remains nonspecific. Materials and methods: an observational, descriptive and retrospective study was conducted, in which patients under the age of 18 were included except for newborns, admitted by abdominal pain and who obtained a confirmed diagnosis COVID-19. Results: 30 patients with confirmed diagnosis of COVID-19 and abdominal pain were included. The average age was 8.46 years at the predomin of the male sex (70%). In the pain assessment 19 (63%) had a moderate-severe EVA and 11 (37%) Mild EVA. 7 (23.33%) required surgery, 21 (70%) needed a critical care unit, and 1 (3.33%) Died. Conclusions: abdominal pain is a diagnostic challenge in this time of pandemic and should be considered within the possible clinical manifestations of COVID-19 in the paediatric population.
Keywords: SARS virus, coronavirus infections, pandemics, abdominal pain, hospitals, pediatric, observational study.
Introducción
El 31 de diciembre del 2019 la comisión municipal de Wuhan (Hubei, China), informó sobre un grupo de 27 casos de neumonía de etiología desconocida. El 7 de enero del 2020 el Centro Chino para el Control y Prevención de Enfermedades, aisló un nuevo coronavirus de la muestra de hisopado faríngeo de un paciente afectado por neumonía. El 11 de febrero recibe la denominación de síndrome respiratorio agudo severo 2 (SARS-CoV-2), agente causal de la enfermedad denominada COVID-19 (Coronavirus disease 2019).
Desde entonces, el brote se ha extendido a los 5 continentes. En Ecuador el número de casos confirmados asciende a 47.322 y 3.929 muertes por COVID-19. En Latinoamérica, se ubica entre los países más afectados ocupando el quinto lugar de casos reportados hasta junio 2020, pero en primera posición por una tasa de 223 muertos por millón de habitantes, sin incluir otras 2.603 posibles muertes asociadas a COVID-19 [1] y un exceso de mortalidad superior a los 10.000 habitantes entre marzo y abril solo en Guayas (provincia de la cual Guayaquil es su capital) [2].
Inicialmente se pensaba que la infección en la edad pediátrica era infrecuente y menos grave en comparación a la infección en los adultos [3]; sin embargo, los datos recopilados a través del tiempo mostraron que la afección podría ser incluso catastrófica en los menores de 16 años por la respuesta inflamatoria multisistémica [4]. El primer caso pediátrico reportado fue en Xiaogan, en la provincia de Hubei, un lactante de 3 meses con fiebre durante un día, sin otros síntomas asociados [5].
Hasta el momento se han descrito múltiples manifestaciones clínicas con sintomatología respiratoria en adultos que se han considerado patognomónicas como la anosmia y ageusia [6]. En la población pediátrica, la sintomatología puede presentar desde fiebre hasta síntomas inespecíficos como eritema faríngeo, diarrea, fatiga, rinorrea, vómitos y congestión nasal, todos en menos del 10% de los pacientes [7], aunque se han reportado casos de dolor abdominal como manifestación frecuente, sospechando incluso un abdomen agudo [8].
El objetivo del presente artículo fue describir las características del dolor abdominal en pacientes con diagnóstico confirmado de COVID-19, atendidos en el Hospital de niños Dr. Roberto Gilbert Elizalde de Guayaquil.
Materiales y métodos
Se realizó un estudio transversal, observacional, retrospectivo en el que se revisaron datos de los pacientes atendidos con dolor abdominal, que ingresaron al servicio de emergencia del Hospital de niños Dr. Roberto Gilbert Elizalde (Guayaquil, Ecuador) entre el período del 19 de abril al 19 de mayo de 2020, incluyéndose un total de 30 pacientes. Se admitieron al estudio pacientes con una edad menor de 18 años a excepción de neonatos, que presentaron dolor abdominal. Fue definido como caso probable de infección por SARS-CoV-2 aquellos pacientes que, por su evolución clínica, analítica, e imagen tomográfica pulmonar, presentaron alta sospecha de COVID-19 [7,9]. Se estableció diagnóstico confirmado de COVID-19 con resultado positivo para SARS-CoV-2 durante el ingreso hospitalario mediante técnica de tiempo real de reacción en cadena de polimerasa con transcriptasa inversa (RT-PCR) o presencia de IgM cuantitativa en la prueba de serología [10].
Se consideraron las siguientes variables: demográficas (edad, sexo, antecedentes patológicos personales); características clínicas (días de inicio de los síntomas hasta el ingreso hospitalario, días de estancia hospitalaria, manifestaciones gastrointestinales como extraintestinales, y las características del dolor abdominal); analíticas (hemograma, proteína C reactiva (PCR), procalcitonina (PCT), lactato deshidrogenasa (LDH), D-dímero y ferritina); imágenes complementarias (hallazgos en tomografía axial computarizada (TAC) de tórax, TAC de abdomen y ecografía de abdomen); y microbiológicas (exudado nasofaríngeo, serología para SARS-CoV-2 y dengue). Finalmente analizar la evolución, presentación o no de abdomen agudo quirúrgico, desarrollo de sepsis, choque séptico, CID, requerimiento de área crítica, necesidad de ventilación mecánica invasiva (VMI), y muerte.
Los datos fueron recogidos en una hoja de datos de Microsoft Excel, y se exportaron al paquete estadístico IBM-SPSS v25 para su análisis. Se utilizaron la media y el intervalo de confianza (IC 95%). Las variables cualitativas se expresan como porcentajes. La comparación de medias fue realizada mediante el test T de Student y la asociación de mediante Chi Cuadrado de Pearson. La probabilidad de corte de este estudio fue fijada en (p < 0,05).
Aspectos éticos
El estudio de investigación presentado fue sometido a la comisión de Docencia del Hospital Roberto Gilbert Elizalde, el cual determinó que por sus características no requería la realización de un consentimiento informado. Se otorgó el acceso a la información recogida en las historias clínicas digitales del sistema informático SERVINTE, utilizadas única y exclusivamente para los fines del estudio. El acceso y extracción de datos se obtuvieron a través de una base de datos anonimizada que no permitía la trazabilidad de la información obtenida. El estudio además se desarrolló siguiendo las normas de buena práctica clínica, la convención de Oviedo y los tratados de Helsinki.
Resultados
En el tiempo de estudio existió un total de 59 pacientes con diagnóstico confirmado de COVID-19, 46 mediante técnica PCR y 13 mediante serología cuantitativa IgM para COVID-19. De este grupo de pacientes el 49% (n=30) acudieron por dolor abdominal. De los cuales 20 (67%) resultaron positivos mediante técnica de RT-PCR y 10 (33%) por serología IgM.
En la tabla 1 se presentan las características clínicas de los 30 pacientes con dolor abdominal y COVID-19 positivo. La edad promedio fue de 8,46 años (IC 7,07 - 9,87), predominando el sexo masculino con 21 casos (70%). Se encontró que un 90,30 % de los pacientes incluidos eran previamente sanos, con un reporte de 3 casos (9,67%) con enfermedades neurológicas previas.
En relación a las características del dolor abdominal, fue predominantemente de localización difusa, 20 pacientes (67%), y en relación a la intensidad se valoró con la escala de EVA (escala visual analógica) siendo moderada en 15 pacientes (50%). Al dolor abdominal se asociaron manifestaciones gastrointestinales en 26 (86,67%) casos, predominando los vómitos 22 (73,3%). Las manifestaciones respiratorias en el transcurso de la evolución se presentaron en 12 (40%) pacientes, desarrollando dificultad para respirar con requerimiento de oxígeno suplementario en 23 (76%) casos.

En la tabla 2. Se observan los hallazgos de imágenes encontrados en la TAC de tórax realizada a 27 pacientes en el que el patrón de consolidación pulmonar se presentó en un 62,96% de los casos.

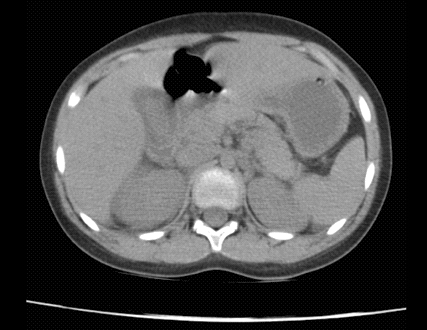
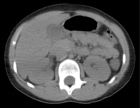
Mientras que dentro del estudio de TAC de abdomen realizado a 13 pacientes el principal hallazgo fue la presencia de líquido perivesicular en 4 (30,76%) de ellos (figura 1 y 2).


En la ecografía de abdomen realizada a 24 pacientes se encontró el mismo hallazgo en 5 casos (figura 3).

La media de las variables analíticas que predominaron en los pacientes incluidos en el estudio durante la primera consulta de emergencia fueron las siguientes: hemoglobina 15,00 mg/dl (IC 1,48 - 21,48), linfocitos 1,835 mg/dl (IC 1282,36 - 2388,30), procalcitonina 60,16 ng/ml (IC 12,38 - 107,48), PCR 20,64 mg/dl (IC 16,15 - 25,14) y TGO 242,10 u/l (IC 56,45 - 427,75). En la Tabla 3 se recogen variables analíticas comparadas entre EVA leve y EVA moderado o severo. De estos valores destaca la hemoglobina inferior en el grupo de EVA moderado o severo con un valor p <0,05.

El promedio de días desde el inicio de los síntomas hasta el día de ingreso hospitalario fue de 4,6 días (IC 3,63 - 5,57), siendo la estancia promedio hospitalaria de 14,2 días (IC 11,1 - 17,4). Durante el periodo de estudio fue reportado un fallecimiento debido a una comorbilidad oncológica asociada diagnosticada durante la hospitalización.
Un total de 21 (70%) pacientes necesitaron manejo en unidad de cuidados críticos, con requerimiento de VMI en 9 (30%) de ellos y estancia promedio hospitalaria de 17,10 (IC 13,37 - 20,82) días. En este grupo de pacientes fueron observadas las siguientes complicaciones, sepsis en 2 casos (9,50%), choque séptico 16 casos (76%), CID en 2 casos (9,50%) e insuficiencia renal aguda en 1 caso (4,70%). El ingreso a cuidados críticos se relacionó con los siguientes parámetros clínicos y analíticos: PCR >10 ng/L (p=0,008), procalcitonina >0.4 ng/ml (p<0.05), TGO 3N el valor de referencia (p=0,002) y un puntaje de qSOFA ≥1 (p <0,05). Los pacientes con diagnóstico de shock séptico (sepsis más disfunción cardiovascular aguda) se presentaron 16 casos (53%) que se relacionó con una elevación marcada de la PCR >10 ng/L (p=0,002), procalcitonina >0.4 ng/ml (p<0,05) y TGO 3N el valor de referencia (p <0,05).
Dentro del abordaje diferencial en este grupo de pacientes con síntomas inespecíficos y dolor abdominal fue establecido el diagnóstico de abdomen agudo en 8 (26,66%) pacientes de los cuales 7 requirieron intervención quirúrgica; obteniendo hallazgos inconclusos en 3 de ellos y 4 de estos pacientes con apendicitis.
Discusión
En este estudio llevado a cabo en un hospital pediátrico de la ciudad de Guayaquil, el dolor abdominal se identificó como la manifestación clínica presente en 1 de cada 2 pacientes que ingresaron al servicio de urgencias con diagnóstico confirmado de COVID-19.
El dolor abdominal es uno de los motivos de consulta más frecuentes en el servicio de urgencias de pediatría, el cual puede ser secundario a múltiples causas, tanto relacionadas con patologías intraabdominales, como extraabdominales [11]. El abdomen agudo se aplica a aquellos pacientes que presentan dolor abdominal de comienzo gradual o súbito sin una causa conocida al momento de su evaluación inicial. La mayoría de los expertos coinciden en que no es fácil establecer un diagnóstico etiológico certero, estudios revelan que solo el 60% de los casos que ingresan son diagnosticados correctamente [12].
La mayoría de los pacientes pediátricos son niños sin comorbilidades previas, al igual que la revisión realizada por Patel [13]. Al momento de la consulta médica presentan dolor abdominal de localización difusa e intensidad moderada pudiendo acompañarse con síntomas gastrointestinales como vómito principalmente. La dificultad respiratoria se presentó en el transcurso de la evolución clínica del paciente hospitalizado y en aquellos pacientes que desarrollaron sepsis, choque o insuficiencia respiratoria.
La inmunopatogenia por la cual el COVID-19 produce clínica gastrointestinal aún no es clara, se conoce que el SARS-CoV-2 tiene la posibilidad de infectar al ser humano a través de la unión de su glucoproteína espicular S (spike), con el receptor de la enzima convertidora de angiotensina 2 (ACE2), el cual se encuentra en los neumocitos tipo I - II, así como en los monocitos - macrófagos del pulmón y las células T. Existiendo un tropismo hacia el tracto gastrointestinal donde está altamente expresado en células epiteliales gastrointestinales, principalmente intestino delgado [14,15]. Esto sugiere que el SARS-CoV-2 puede infectar activamente y replicarse en el aparato digestivo, lo que indicaría síntomas como diarrea, vómitos y dolor abdominal [16].
El retraso en el diagnóstico a causa de la preocupación ante la exposición de los casos ya confirmados de COVID-19 dentro de las unidades hospitalarias y la atención médica no presencial ambulatoria durante la pandemia, generó no solo confusión diagnóstica de abdomen agudo quirúrgico por la sintomatología digestiva acompañante como ocurrió en el estudio de Toubiana et al. en el que se encontraron resultados inconclusos posterior a la intervención quirúrgica [17], sino que además en muchos de los casos el diagnóstico tardío originó mayor incidencia de complicaciones como sepsis y choque séptico en este grupo de pacientes, aumentando los días de estancia hospitalaria y el requerimiento de manejo en unidades críticas. Así como se demostró en el estudio de Velayos et al., en donde las apendicectomías realizadas tras la declaración del estado de alarma en España mostraron un grado de evolución más avanzado (peritonitis), que aquellas que se realizaron previamente, por lo tanto, la pandemia por SARS- CoV 2 influye en el momento de diagnóstico de apendicitis [8].
Cabe mencionar que ante la duda diagnóstica tanto del pediatra en primera línea como del cirujano pediatra, se realizó estudios de imágenes complementarios tales como ecografía o tomografía de abdomen en determinados pacientes. El principal hallazgo de estas ayudas diagnósticas fueron las alteraciones perivesiculares en el 30% de los casos. Razón por la que sugerimos que ante pacientes con sospecha clínica de apendicitis que presenten clínica o nexo epidemiológico de COVID-19 se considere realizar TAC de abdomen previo al procedimiento. Una revisión sistemática previamente ha reportado que hasta un 34% de los pacientes pediátricos no presentaron ningún hallazgo en tomografía de tórax [18], mientras que en este estudio todos los pacientes mostraron diferentes alteraciones en la imagen pulmonar como se mencionó en los resultados, lo cual podría estar relacionado a las complicaciones que desarrollaron estos pacientes ya sea desde el momento de su ingreso hospitalario o durante la estancia en el mismo.
En relación a la analítica se han obtenido datos similares a los de Ma et al. [19] con hallazgos predominantes en el abordaje inicial de los pacientes, en donde se observó: anemia 15 casos (50%), linfopenia 12 casos (40%), PCR >10ng/L 17 casos (58,62%), procalcitonina con una elevación marcada >10 ng/ml en 10 casos (33%), ferritina elevada > 400mg/ml en 22 casos (73%), dímero-D >1 ng/ml o elevación severa en 17 casos (58.62%) y TGO >50 U/L elevada en 17 casos (57%). En otro estudio previo en pacientes pediátricos con COVID 19 se reportó linfopenia con neutrofilia, anemia moderada y trombocitopenia, así como reactantes de fase aguda elevados (PCR, PCT, VSG, LDH, Dímero D, fibrinógeno y ferritina e IL6) [20].
El presente estudio tiene algunas limitaciones. En primer lugar, al ser un estudio descriptivo con pocos pacientes incluidos se deben de conducir análisis más extensos con una casuística mayor. Segundo, el diseño del estudio no tiene como objetivo establecer diferencias entre grupos etarios por lo que los resultados deben de ser interpretados con cautela. Tercero, a pesar de que este estudio no incluye varios centros hospitalarios pediátricos de la ciudad, se realizó en uno de los hospitales más grande de la ciudad con 385 camas de hospitalización.
Conclusiones
El dolor abdominal constituye un verdadero desafío clínico en esta época de alarma sanitaria, siendo necesario considerar el nexo epidemiológico y la sospecha clínica por lo que se recomienda realizar un interrogatorio exhaustivo durante el desarrollo de la historia clínica ya que existen muchos potenciales diagnósticos diferenciales. Como se puede observar en el estudio los signos y síntomas a menudo no son específicos y pueden enmascarar condiciones que amenazan la vida. Por cuanto dentro del diagnóstico diferencial de dolor abdominal se deberá considerar la infección por COVID-19 en donde la sospecha temprana y el diagnóstico oportuno son esenciales para contener la propagación global de la infección por SARS-CoV-2 y sus complicaciones potencialmente fatales.
Conflictos de interés: los autores declaran no tener ningún conflicto de intereses.
Fuentes de financiación: ninguna.
Literatura citada
1. John Hopkins University. Coronavirus Resource Center [Internet]. 2020 [citado 2020 Jun 15]. Disponible en: https://coronavirus.jhu.edu/map.html
2. Dirección General de Registro Civ, Identificación y Cedulación de Ecuador. Reporte Especial Cifra Defunciones – Provincias del 1 de abril al 15 de junio de 2020. Quito: Dirección General de Registro Civ, Identificación y Cedulación de Ecuador; 2020.
3. Lu X, Zhang L, Du H, Zhang J, Li Y, Qu K, et al. SARS-CoV-2 Infection in Children. N Engl J Med. 382(17):1663-1665. http://dx.doi:10.1056/NEJMc2005073
4. Riphagen S, Gomez X, Gonzalez-Martinez C, Wilkinson N, Theocharis P. Hyperinflammatory shock in children during COVID-19 pandemic. Lancet. 2020; 395(10237):1607-1608. http://doi:10.1016/S0140-6736(20)31094-1
5. Chen N, Zhou M, Dong X, Qu J, Gong F, Han Y, et al. Epidemiological and clinical characteristics of 99 cases of 2019 novel coronavirus pneumonia in Wuhan, China: a descriptive study. Lancet. 2020; 395(10223):507-513. http://dx.doi:10.1016/S0140-6736(20)30211-7
6. Pan L, Mu M, Yang P, Sun Y, Wang R, Yan J, et al. Clinical Characteristics of COVID-19 Patients With Digestive Symptoms in Hubei, China: A Descriptive, Cross-Sectional, Multicenter Study.Am J Gastroenterol. 2020; 115(5):766-773. http://dx.doi:10.14309/ajg.0000000000000620
7. Guan W, Ni Z, Hu Y, Liang W, Ou C, He J, et al. Clinical Characteristics of Coronavirus Disease 2019 in China. N Engl J Med. 2020; 382:1708-1720. DOI: 10.1056/NEJMoa2002032
8. Velayos M, Muñoz-Serrano AJ, Fernandez KE, Sarmiento-Caldas MC, Moratilla-Lapeña L, Lopez-Santamaría M et al. Influencia de la pandemia por coronavirus 2 (SARS-Cov-2) en la apendcitis aguda. An Pediatr (Barc). 2020; 93(2):118-122. https://doi.org/10.1016/j.anpedi.2020.04.022
9. Zhou F, Yu T, Du R, Fan G, Liu Y, Liu Z, et al. Clinical course and risk factors for mortality of adult inpatients with COVID-19 in Wuhan, China: a retrospective cohort study. Lancet. 2020; 395(10229):1054–1062. http://dx.doi.org/10.1016/S0140-6736(20)30566-3
10. World Health Organization 2020. Laboratory testing for 2019 novel coronavirus (2019-nCoV) in suspected human cases.Interim guidance. 19 March 2020. https://www.who.int/publications-detail/laboratorytesting-for-2019-novel-coronavirus-in-suspected-human-cases-20200117. Consultado 31 marzo 2020
11. Lora-Gómez, RE. Dolor abdominal agudo en la infancia. Ped. Integral. 2014. 18(4):219-228.
12. Montoro MA. Dolor abdominal agudo. En: Montoro M, García Pagán JC, eds. Manual de Emergencias en Gastroenterología y Hepatología. Madrid: Jarpyo Editores S.A.; 2010. P.79-91
13. Patel NA. Pediatric COVID-19: Systematic review of the literature. Am J Otolaryngol. 2020; 41(5):1-9. https://doi.org/10.1016/j.amjoto.2020.102573
14. Coria-Lorenzo JJ, Calva-Rodríguez RG, Unda-Gómez JJ, Martínez-Núñez JG, García-Carrillo LE, Neme-Díaz GA, et al. Consenso sobre la infección por COVID-19 (SARS-CoV-2).Rev Enferm Infecc Pediatr. 2020; 32(132):1656-91.
15. Merad MT, Martin JC. Pathological inflammation in patients with COVID-19: a key role for monocytes and macrophages. Nat Rev Immunol. 2020, 2020:355–362. https://doi.org/10.1038/s41577-020-0331-4
16. Tay MZ, Poh CM, Rénia L, MacAry PA, Ng L. The trinity of COVID-19: immunity, inflammation and intervention. Nat Rev Immunol. 2020; 20(6):363-374. DOI: 10.1038/s41577-020-0311-8
17. Toubiana J, Poirault C, Corsia A, Bajolle F, Fourgeaud J,Angoulvant F, et al. Kawasaki-like multisystem inflammatory syndrome in children during the covid-19 pandemic in Paris, France: prospective observational study. BMJ. 2020; 369:1-7. https://doi.org/10.1136/bmj.m2094
18. Shelmerdine SC, Lovrenski J, Caro-Domínguez P, Toso S. Coronavirus disease 2019 (COVID-19) in children: a systematic review of imaging findings. Pediatr Radiol. 2020; 50:1217-1230. https://doi.org/10.1007/s00247-020-04726-w
19. Ma X, Liu S, Chen L, Zhuang L, Zhang J, Xin Y. The clinical characteristics of pediatric inpatients with SARS-CoV2 infection: a metaanalysis and systematic review.J Med Virol. 2020; 2020:1-19. DOI: 10.1002/jmv.26208
20. Poggiali E, Ramos PM, Bastoni D, Vercelli A, Magnacavallo A. Abdominal Pain: A Real Challenge in Novel COVID-19 Infection. Eur J Case Rep Intern Med. 2020; 7(4):1-4. DOI: 10.12890/2020_001632
Enlace alternativo
https://revistasum.umanizales.edu.co/ojs/index.php/archivosmedicina/article/view/3959 (html)