El dolor como imagen de lo real. Resignificación del CG-art mediante el uso de técnicas médicas de diagnóstico
Pain as an image of reality. Resignification of CG-art through the use of medical diagnostic techniques
La douleur comme image de la réalité. Resignification du CG-art grâce à l’utilisation de techniques de diagnostic médical
A dor como imagem da realidade. Ressignificação da CG-arte através do uso de técnicas de diagnóstico médico
El dolor como imagen de lo real. Resignificación del CG-art mediante el uso de técnicas médicas de diagnóstico
Calle14: revista de investigación en el campo del arte, vol. 18, núm. 33, pp. 122-138, 2023
Universidad Distrital Francisco José de Caldas

Recepción: 06 Abril 2022
Aprobación: 17 Junio 2022
Resumen: Un gran número de artistas incursionan en la producción de arte generativo mediante el uso del ordenador, pero las obras de arte, tanto en exposiciones como en imágenes en internet, son similares entre sí, originando un estancamiento creativo. El objetivo de este artículo es implementar una posible solución al problema planteado. Se retomó el concepto de CG-art de Margaret Boden y Ernest Edmonds, como un proceso de creación de imágenes con la mínima intervención del ser humano. Se usó el rizoma de Deleuze y Guattari como metodología de apertura semántica para resignificar el concepto de CG-art. Cada integrante de la investigación se sometió a una técnica de diagnóstico, como tomografía, rayos X y resonancia magnética. Los resultados son imágenes que se consideran, dentro del espectro de lo real y del dolor, como estética generativa en CG-art.
Palabras clave: arte generativo, CG-art, interdisciplinariedad, rizoma.
Abstract: A large number of artists have made forays in the production of generative art through the use of computers, but the resulting works of art, both in exhibitions and web pages, are similar to each other, causing creative stagnation. The objective of this article is to implement a possible solution to this issue. We take up the definition of CG-art of Margaret Boden and Ernest Edmonds asa process of creating images with minimal human intervention. The rhizome of Deleuze and Guattari was used as a semantic opening methodology to resignify the concept of CG-art. Each member of the research team underwent a diagnostic technique, such as tomography, X-rays and magnetic resonance imaging. The results are images that we consider, within the spectrum of reality and pain, as a generative aesthetics in CG-art.
Keywords: generative art, CG-art, interdisciplinarity, rhizome.
Résumé: Un grand nombre d’artistes ont fait des incursions dans la production d’art génératif grâce à l’utilisation d’ordinateurs, mais les œuvres d’art qui en résultent, à la fois dans les expositions et les images sur Internet, sont similaires les unes aux autres, provoquant une stagnation créative. L’objectif de cet article est de mettre en œuvre une solution possible à ce problème. Nous reprenons la définition du CG-art de Margaret Boden et Ernest Edmonds comme un processus de création d’images avec une intervention humaine minimale. Le rhizome de Deleuze et Guattari a été utilisé comme méthodologie d’ouverture sémantique pour resignifier le concept deCG-art. Chaque membre de l’équipe de recherche a subi une technique de diagnostic, comme la tomographie, les rayons X et l’imagerie par résonance magnétique. Les résultats sont des images que nous considérons, dans le spectre de la réalité et de la douleur, comme une esthétique générative en CG-art.
Mots clés: art génératif, CG-art, interdisciplinarité, rhizome.
Resumo: Muitos artistas fizeram incursões na produção de arte generativa por meio do uso de computadores, mas as obras resultantes, tanto em exposições, páginas da web quanto em imagens na Internet, são semelhantes entre si, causando estagnação criativa. O objetivo deste artigo é implementar uma possível solução para este problema. Usamos a definição de arte CG de Margaret Boden e Ernest Edmonds como um processo de criação de imagens com mínima intervenção humana. O rizoma de Deleuze e Guattari foi utilizado como metodologia de abertura semântica para ressignificar o conceito de arte-CG. Cada membro da equipe de pesquisa foi submetido a uma técnica diagnóstica, como tomografia, raios-x e ressonância magnética. Os resultados são imagens que consideramos, dentro do espectro da realidade e da dor, como uma estética generativa na arte-CG .
Palavras-chave: arte generativa, CG-arte, interdisciplinaridade, rizoma.
Introducción
A manera de antecedentes, en 1960 Frieder Nake, Michael Noll, Georg Nees, Masao Komura, Vera Molnar, entre otros, incursionaron en la exploración de gráfi- cos generados por computadora. Derivado de estas investigaciones, el 5 de enero de 1965 se inauguró la primera exposición de arte algorítmico “Computergrafik” en la escuela técnica de Stuttgart, Alemania (Aune, Peña, García y Rueda, 2020, p. 266). En 1982, Benoît Mandelbrot recopiló las evidencias de sus investigaciones en su libro: La geometría fractal de la naturaleza (1997).
Mandelbrot aplicó las ecuaciones diseñadas para generar fractales usando el ordenador. El resultado fue el conjunto de Mandelbrot, el cual se define como “un catálogo infinito de fractales de la misma familia” (Rodríguez. 2006, p. 11).
El conjunto de Mandelbrot parte de la ecuación: Z Z 2+ C, que está compuesta por números complejos (parte real y parte imaginaria), por lo que se requiere desglosar en un diagrama de Argand, plano cartesiano modificado para “la representación de los números complejos como puntos en un plano” (Clapham.1998, p. 19). En la actualidad el arte generativo se asocia con la escritura de algoritmos en un software de programación para instruir al ordenador en procedimientos y reglas a ejecutar. Las reglas o restricciones son solucionadas o interpretadas por el computador, ya que:
Cuando un programador escribe reglas (restriccio- nes), le dice al equipo que (por ejemplo) “Z siempre debe ser más grande que Y”, “X nunca debe ser igual a W”, y así sucesivamente, pero dejan que el sistema informático decida cómo aplicar esas reglas.(Boden y Edmond, 2009, p. 4).
La imagen resultante, proveniente de esta lógica, deriva en una estética computacional, dando paso al arte generativo. La definición propuesta por Margaret Boden y Ernest Edmonds en su texto ¿Qué es el arte generativo? lo expresan de la siguiente manera: “el artista deja a la computadora hacer su propia cosa sin saber exactamente qué es lo que la computadora estará haciendo” (Boden y Edmond. 2009, p. 4).Phillip Galanter lo delimita así:
Cualquier práctica artística en la que el artista utiliza un sistema, como un conjunto de reglas de lenguaje natural, un programa informático, una máquina u otra invención procedimental, que se pone en marcha con cierto grado de autonomía y que contri- buye o que da lugar a una obra de arte terminada (Galanter. 2003, p. 4)
Umberto Roncoroni lo describe como “un proceso orgánico o inorgánico capaz de producir o crear, de modo autónomo y espontaneo, una forma o estructura coherente y ordenada” (Roncoroni. 2016, p. 27). Sin embargo, se ha identificado que el arte generativo pre- senta cuatro problemas fundamentales: 1). Que todas las imágenes u obras son símiles entre sí originando un estancamiento creativo. 2). Existe una transcodificación de patrones formales de la naturaleza a formas geométricas digitales. 3). El arte generativo está condicionado por el lenguaje de programación 4). La propia definición del arte generativo invita a su fragmentación, exploración y estudio, para proponer otros métodos de pro- ducción de imágenes.
A través de una investigación básica cualitativa denominada El arte generativo o coding art como decolonizador de la mirada. Estudio sobre la creación artística digital y el conjunto de Mandelbrot, desarrollada en la Universidad Autónoma del Estado de México en el departamento de investigación de la Facultad de Artes, se intentó innovar en la estética computacional para proponer imágenes como solución a las problemáticas planteadas mediante el uso de software como Processing, Open Frameworks y p5.js. Al analizar los resultados, estos no fueron favorables, ya que se detectó que las reglas o restricciones, si bien son infini- tas, la autonomía del ordenador sigue construyendo una imagen símil entre sí.
Por lo tanto, se eliminaron las variables ya implementadas con la finalidad de crear imágenes basadas en la categoría CG-art (Computer - Generative Art) donde el “CG-art se produce dejando un programa de ordenador para funcionar por sí mismo, con mínimo o cero interferencia de un ser humano.” (Boden y Edmond, 2009, p.19).Por lo anterior, la relevancia y el objetivo de esta investigación radica en la resignificación del CG-art mediante la aplicación de métodos médicos de diagnóstico como sistemas no diseñados para la creación artística que emiten imágenes computacionales retomadas como arte generativo.
Desarrollo o discusión del artículo Preguntas de investigación:
a).Las obras de arte generativo diseñadas en Processing, Open Frameworks y p5.js, si bien no son iguales, mantienen un gran parecido entre ellas originando así un estancamiento creativo en la imagen. ¿Cómo salir de este estancamiento?
b).Algunas obras de arte generativo imitan, trans- codifican o emulan los patrones estructurales de la materia. Por ejemplo, las texturas en el pelaje de un animal, los dibujos en las rocas por sedimento o los patrones aleatorios en el agua, etc. Por lo anterior, ¿qué sentido tiene la transcodificación de patrones ya existentes en la naturaleza a un soporte digital sin un objetivo más que la simulación de los mismos?
c). La mayoría del arte generativo está condicionado por el lenguaje de programación ya existente en repositorios de códigos. De hecho, existen páginas en internet como weavesilk.com y neon https://neon.muffinman.io. Estos sitios web ofrecen la posibilidad de crear arte generativo con el simple cambio de valores predeterminados de la imagen y el movimiento del mouse del ordenador.
Ahora bien, se podría refutar esta idea con la argumentación basada en el uso de software libre como Processing para crear imágenes, innovando en las variables, reglas y restricciones, pero el resultado sigue siendo el mismo: la similitud estética en la imagen. Entonces, ¿cómo salir del condicionamiento cultural y epistémico del sujeto reflejado en el lenguaje de programación para proponer otras imágenes?
d). ¿Se puede establecer otro método de producción de imágenes generativas con la intervención parcial o mínima del artista según la definición del CG-art?
Metodología
La búsqueda de una metodología parte, en este caso, de procesos artísticos que no solo tratan de cuestiones matéricas o discursivas, sino que incluyen el proceso mismo de producción y reflexión. Es decir, una obra que aborda también conexiones y recorridos. Por lo tanto, se requiere un modelo que permita la convivencia de planteamientos diversos e incluso contradictorios. Se debe considerar también que el discurso alrededor de la obra se conforma por supuestos y no por juicios totalizantes, pero, sobre todo, resulta necesario que la propia estructura metodológica sea similar a la estructura del objeto artístico. En este sentido, se toma como apoyo el concepto de rizoma planteado por Gilles Deleuze y Félix Guattari.
El rizoma no es visto como medio, sino como finalidad en sí mismo; no es válido como promesa de algo, ni se constituye para buscar algo, sino que es una realidad por sí misma. Así, adentrarse en una lógica rizomática de construcción de conocimiento implica que se está en constante búsqueda/encuentro/cuestionamiento, independiente de si eso sirve para realizar una tesis, plantear una teoría, hacer libro objeto, etc. Lo que produce el rizoma son conexiones, y aun cuando se trate de multi- plicidades el ejercicio se estabiliza en algunos puntos.
Deleuze y Guattari hablan de un libro-rizoma como una máquina, en el cual la pregunta se dirige no tanto hacia lo que este quiera decir, sino hacia las conexiones que realice, en que otras lecturas convergen, centrando la atención en su función maquínica. Para Guattari, las máquinas son sistemas en relación con otro sistemas: “Las máquinas, en un amplio sentido, es decir, no solo las máquinas técnicas, sino también las máquinas teóricas, sociales, estéticas, etc., no funcionan jamás de manera aislada sino por agregados o por agenciamientos” (Guattari, 1995, p. 205).
De tal forma, se plantean algunas funciones del rizoma como máquina, por ejemplo, la conexión y la heterogeneidad: “(…) cualquier punto del rizoma puede ser conectado con cualquier otro (…) Eso no sucede en el árbol ni en la raíz, que siempre fijan un punto, un orden” (Deleuze y Guattari, 2000, p. 13). Lo anterior permite que en la construcción de conocimiento no se remita únicamente a rasgos de su propia naturaleza, sino a eslabones semióticos de cualquier tipo. Aun cuando se hable de botánica, por ejemplo, podrían existir referencias cinematográficas, económicas, religiosas, etc. Los eslabones semióticos, son planteados como tubérculos aglutinantes de diversidades. Abordar la lógica rizomática, como modelo de investigación, involucra que el acento se coloque en las conexiones que se puedan establecer entre diversas lógicas, pensamientos, etc.
En el rizoma un cambio de naturaleza no es invalidar lo planteado y seguir por otro camino, puesto que las multiplicidades tienen todas un valor similar. En este sentido, aunque se cambie de naturaleza y se aborde algo completamente distinto, habrá conexiones que permitan leer tanto una como otra y regresar sobre lo leído. Si el rizoma tiene un punto de partida, este será, en todo caso, la intención de conectar, de crearrelaciones, tantas como sea posible. Por ello, el rizoma contiene multiplicidades: cada conexión genera un planteamiento distinto y así sucesivamente, hasta tener toda una red de relaciones uniendo multiplicidades.
En el rizoma desaparece la idea de separar u oponer conceptos que podrían verse como opuestos. Una investigación, bajo la lógica rizomática, podría estar formada por mesetas, concepto que Deleuze y Guattari retoman de Gregory Bateson. Este pensador plantea las mesetas como regiones de intensidades continuas, que están constituidas de tal manera que no se dejan interrumpir por un final exterior, ni tampoco tienden hacia un punto culminante.
En ese sentido, no hay cúspide o aspiración última que determine el proyecto, sino únicamente una inquietud motora que se hace de informaciones. La investigación se constituye por un sistema de postulados (mesetas)-válidos solo al interior de cada trabajo-, que podrían ser vistos como partes de un planteamiento más completo o como totalidades en sí mismos, y cada uno de ellos gozaría de la misma vigencia.
No habría tendencia hacia cerrar, concluir o agotar, sino hacia la fuga, hacia la mera resignificación de maquinarias conceptuales que nos mantengan abiertos a nuevas lecturas.
Metodología aplicada para la producción de CG-art
Se usaron técnicas médicas de diagnóstico como tomografías en video, la resonancia magnética (RM) y el escaneo corporal con rayos x como procesos artís- ticos interdisciplinares. Todo esto para una búsqueda/ encuentro y cuestionamiento del término CG-art, para que no concluya, no se agote y no cierre su propia defi- nición y, más bien, tienda hacia la fuga.
Si el CG-art se produce mediante “algún programa de computadora que se deja para funcionar por sí mismo, con interferencia mínima o cero de un ser humano” (Boden y Edmond, 2009, p. 13), entonces, un escáner como el que se usó para la resonancia magnética funciona como un sistema que contiene sus propias reglas y lenguaje. Es una máquina que encuentra su autonomía en procedimientos basados en la aplicación de ondas electromagnéticas y su interacción en los núcleos de hidrógeno y la grasa en el cuerpo (Costay Soria, 2021, p. 4), mientras que los rayos X emiten una radiación ionizante que registra la absorción de la misma de acuerdo con la superficie en la que se refleja. A causa de lo anterior, estos dos procesos pueden definirse como CG-art.
La investigación se conforma de tres integrantes quienes se sometieron a un proceso de escaneo corporal por RM y rayos X. De esta manera se estableció otro método para la creación de imágenes generativas donde el resultado propone un rizoma en la imagen, una meseta que no se cierra, no concluye y no se agota, sino que resignifica el concepto de CG-art para nuevas lecturas.
Metodología aplicada para la producción de CG-art
Se usaron técnicas médicas de diagnóstico como tomografías en video, la resonancia magnética (RM) y el escaneo corporal con rayos x como procesos artís- ticos interdisciplinares. Todo esto para una búsqueda/ encuentro y cuestionamiento del término CG-art, para que no concluya, no se agote y no cierre su propia defi- nición y, más bien, tienda hacia la fuga.
Si el CG-art se produce mediante “algún programa de computadora que se deja para funcionar por sí mismo, con interferencia mínima o cero de un ser humano” (Boden y Edmond, 2009, p. 13), entonces, un escáner como el que se usó para la resonancia magnética funciona como un sistema que contiene sus propias reglas y lenguaje. Es una máquina que encuentra su autonomía en procedimientos basados en la aplicación de ondas electromagnéticas y su interacción en los núcleos de hidrógeno y la grasa en el cuerpo (Costay Soria, 2021, p. 4), mientras que los rayos X emiten una radiación ionizante que registra la absorción de la misma de acuerdo con la superficie en la que se refleja. A causa de lo anterior, estos dos procesos pueden definirse como CG-art.
La investigación se conforma de tres integrantes quienes se sometieron a un proceso de escaneo corporal por RM y rayos X. De esta manera se estableció otro método para la creación de imágenes generativas donde el resultado propone un rizoma en la imagen, una meseta que no se cierra, no concluye y no se agota, sino que resignifica el concepto de CG-art para nuevas lecturas.
A continuación, se desglosan los métodos y las metodologías aplicadas en cada integrante de esta investigación.
Resultados.
Autora
En la teoría lacaniana hay elementos que nos pueden ayudar a entender las implicaciones de la identificación, el denominado esquema L (Figura 1). Por ejemplo, este plantea la importancia del ámbito imaginario para que un sujeto pueda construir la noción de sí. Al respecto, en el psicoanálisis lacaniano se sostiene que la idea del yo, la imagen de sí, e incluso la propia noción de sujeto es algo que se construye. La constitución del sujeto en el esquema involucra que la noción de cuerpo se estructura mediante la identificación con un otro semejante (relación de S a a1). Tal relación devuelve una imagen de sí (a) que también es determinada por un orden simbólico (A).
Estos elementos se pueden tomar como variables similares a las fórmulas matemáticas, es decir, sus valores son móviles. Así, el otro semejante (a1) puede ser el reflejo que nos devuelve un espejo o cualquier superficie reflejante, o bien, puede tratarse de una persona, un objeto, o cualquier elemento con el que se establezca una relación de semejanza.
En este sentido, la producción de objetos en el ámbito artístico puede tomarse como identificativa, en tanto que la obra refleja algo de quien la crea, como men- ciona Wajcman:

Gráfico 1. Esquema L., 1966. Fuente: El seminario sobre la carta robada. (Lacan 2005, 47)
Gráfico 1. Esquema L., 1966. Fuente: El seminario sobre la carta robada. (Lacan 2005, 47)
Las obras de arte (…) hacen preguntas. Lo que no les impide ser también respuestas. Es decir que ellas mismas son respuestas a preguntas… Cuando se contempla un cuadro, lo que hay que hallar es la pregunta que forma su horizonte (…) En una obra de arte, el enigma está en ella como respuesta y es la respuesta la que a menudo nos interroga. (Wajcman, 2001, pp. 33-34)
Partiendo de lo anterior, la obra puede tomarse como reflejo del tiempo de su creador, quien tal vez tenga una noción clara de su producción. Sin embargo, en este caso, el interés recae en aquellas piezas que producen más interrogantes que certezas.
Volviendo al esquema L, la obra puede ocupar el lugar del otro semejante (a1) sin importar su carácter maté- rico, pues en algún punto estará sirviendo de espejo para el sujeto. Además de la flexibilidad formal, la pieza en cuestión puede ser elaborada por el propio artista, o bien, puede ser ‘encontrada’ en la lógica del objet trouvé. Tal es el caso de algunas piezas del artista Humberto Chávez Mayol, quien ‘encuentra’ la huella de sus familiares en tiendas de antigüedades o panteones, sin que ello implique que tales objetos estuvieran relacionados en realidad con su familia: el rastro familiar se produce de manera ficticia, tomando ‘ficticio’ no como falso, sino desde su acepción de invención dela realidad. Cabe mencionar que esta dinámica no es exclusiva del arte, es común encontrar objetos que nos recuerdan a alguien conocido o a uno mismo.
Otra dinámica utilizada por Humberto Chávez implica retomar estudios médicos (panendoscopías, etc.) en su producción artística, tal es el caso de las imágenes de sus cuerdas vocales que utiliza en las diversas instalaciones sobre Tiempo Muerto. Al respecto, el autor menciona: “Saber que esas formas y colores pertenecen a mi interior me produce una suerte de ingenuo orgullo. Sin embargo, no puedo dejar de ver el orificio con cierta preocupación, tal vez fascinación” (Chávez. 2005, p. 22).
Tal vez el objeto que más nos interroga es la imagen del propio cuerpo, sobre todo si pertenece al orden del organismo que esencialmente desconocemos y tal desconocimiento se hace extensivo a la posibilidad de descifrar la imagen. Cada vez que uno recibe el resultado de un estudio médico, sea en datos o en imágenes, es necesario buscar un traductor, pues a menos que uno sea médico especialista en la lectura de dichos documentos, esa imagen de sí resultará incomprensible.
La paradoja de estar ante una imagen propia, pero completamente desconocida, nos devuelve un reflejo incierto. Por ejemplo, cuando uno recibe resultados que mencionan ‘principios de falla renal’ el entendimiento que nos permite el lenguaje señala algo trágico, incluso cuando el médico indique que eso no es grave. La resonancia que tiene la combinación de palabras ‘falla renal’ difícilmente será disipada.
Así, las imágenes de este tipo podrían pertenecer al orden de lo Heimliche freudiano, de algo que alguna vez fue cercano, íntimo, familiar, pero que adquirió un carácter de extrañeza tal que devino ominoso, como menciona Freud:

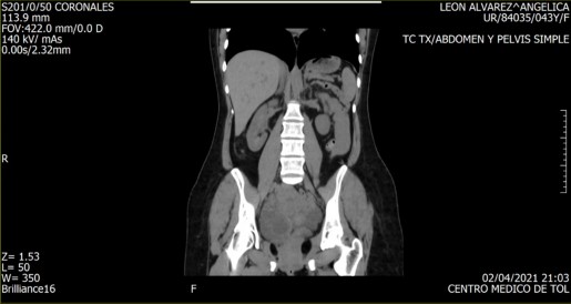
Imagen 1. TC TX. Abdomen y pelvis simple. Captura de video. (Autora, 2021).

Imagen 2. TC TX. Abdomen y pelvis simple. Captura de video. (Autora, 2021).

Imagen 3. TC TX. Abdomen y pelvis simple. Captura de video. (Autora, 2021)
Si esta es de hecho la naturaleza secreta de lo ominoso, comprendemos que los usos de la len- gua hagan pasar lo ‘Heimliche‘ (lo ‘familiar‘] a su opuesto, lo ‘Unheimliche‘ (…) pues esto ominoso no es efectivamente algo nuevo o ajeno, sino algo familiar de antiguo a la vida anímica, sólo enajenado de ella por el proceso de la represión. Ese nexo con la represión nos ilumina ahora también la definición de Schelling, según la cual lo ominoso es algo que, destinado a permanecer en lo oculto, ha salido a la luz. (Freud, 1988, p. 241)
Es difícil determinar si las imágenes de las cuerdas vocales de Humberto Chávez le resultan ominosas, pero hay algo del orden de la contradicción en la manera en que las describe: preocupación-fascinación, podríamos hablar de una preocupación fascinante ante un objeto propio, familiar, en tanto que viene de uno, pero a la vez ajeno, preocupante. A la luz de Freud, Eugenio Trías menciona:
...] es siniestro aquello [...] que ”habiendo de permanecer secreto, se ha revelado”. Se trata, pues, de algo que acaso fue familiar y ha llegado a resultar extraño e inhóspito. Algo que, al revelarse, se muestra en su faz siniestra, pese a ser, o precisamente por ser, en realidad, en profundidad muy familiar, lo más propiamente familiar, íntimo, reconocible. (Trías. 1999, p. 42)
En este sentido, cuando algo del propio cuerpo se vuelve ajeno e inhóspito y la imagen reflejo que nos devuelve es irreconocible, es el orden simbólico el que puede establecer la relación identificadora. Es así que la palabra reanuda la identificación mediante significantes. Ante un estudio médico, son las palabras del especialista las que señalan, “esta es su tráquea, su estómago, su corazón, etc”.
Por supuesto, la producción artística no está exenta de un orden simbólico, mismo que determinará la relación de identificación imaginaria con la obra. Es a partir de esta lógica que se retomó una tomografía de tórax realizada ante un dolor inexplicable en el abdomen, inexplicable, porque le sucedieron diversos estudios que devolvían la interrogante sobre el origen del dolor en cuestión.
La tomografía señaló, entre otras cosas, la existencia de una “morfología ovoidea de bordes tenues y mal definidos, de densidad heterogénea, ya que presenta porciones sólidas y líquidas, mide en su conjunto 116x75mm en sus ejes mayores”. Cabe mencionar que, al revisar una y otra vez los videos que conforman el estudio, es imposible determinar dónde se encuentra la morfología ovoidea. Hay elementos que permiten una relación identificatoria, una pelvis, algún órgano, pero nada que pueda dar cuenta de la morfología en cuestión; fue necesario recurrir al orden simbólico de la medicina alópata para darle un nombre al elemento anómalo.
Adicionalmente, desde el ámbito imaginario se le nombró ‘Benedicto’, haciendo alusión a su carácter significante asociado a lo benigno, pero también al nombre del penúltimo papa, cuya imagen es asociada a un personaje nada benigno e incluso malvado. Bajo este nombre, fue posible establecer una identificación imaginaria con algo ominoso producido por el propio cuerpo y que, a partir de la tomografía, tenía una ambivalencia propia de Schrödinger: era al mismo tiempo benigno y maligno, y solo una intervención quirúrgica podría determinar su estado final.
Autor
El dolor de la existencia como imagen de lo real
El filósofo Alexandre Koyré, en su libro Estudios gali- leanos, analiza un acontecimiento epistémico que establece la diferencia entre dos conceptos paralelos: la realidad y lo real. La realidad entendida como todo aquello que se puede experimentar en lo cotidiano y, lo real, como todos los fenómenos más complejos que no pueden presenciarse en lo habitual.
Por ejemplo, el comportamiento de una partícula en el tiempo no puede ser evidente: se requiere de herramientas de cálculo como la ecuación del físico Erwin Schrödinger para demostrar su conducta.
Koyré lo expone de la siguiente manera:
Se trata (…) de explicar lo que es a partir de lo que no es, de lo que no es nunca. E incluso a partir de lo que no puede nunca ser. Explicación de lo reala partir de lo imposible. ¡Curiosa andadura del pensamiento! Andadura paradójica donde las haya; andadura que nosotros denominaremos arquimediana o, mejor dicho, platónica: explicación o, más bien, reconstrucción de la realidad empírica a partir de una realidad ideal. (Koyré, 1980, p. 195)
La realidad empírica, afirma Koyré, puede sustituirse por un mundo matemático, una realidad ideal que se encarga de explicar los acontecimientos de lo real. Bajo esta tesitura, no solo los fenómenos de la física son susceptibles a estudiarse a través de un mundo ideal. En la medicina, las técnicas de escaneo como la resonancia magnética o los rayos gamma reconstruyen el cuerpo en una imagen de lo posible: el organismo humano se convierte en una realidad ideal o en una imagen de lo real.


Una radiografía tiene como función mostrar cualquier elemento anormal que pueda ser causante de enfer- medad. Así, expone al dolor como lo real, no como una estructura matemática, pero “explica lo que es a partir de lo que no es (…) explica lo real a partir de lo impo- sible” (Koyré, 1980, p. 195). Lo imposible se interpreta como la limitación perceptual del ser humano, por tal motivo, se requiere de la tecnología u otra herramienta como complemento epistémico para acceder a lo real.
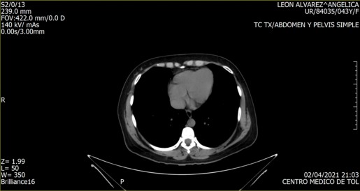
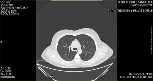
El vacío existencial es un término que, bajo la lógica precedente, se considera dentro de la dimensión de lo real. El objetivo de esta propuesta es identificar el vacío existencial en el cuerpo a través de un escaneo por rayos X del tórax (imagen 4). El vacío se define como un sin sentido de la vida, una insatisfacción persistente y una realidad insoportable.
Es prioritario reafirmar que se parte de una percepción subjetiva del término, experimentada por el autor del presente escrito, y que la intención no es generalizar este estado, ni incomodar al lector. Se recomienda entonces que lo anterior se perciba como el objeto de estudio que se desarrolla a continuación.
Al parecer, las exigencias sociales que comúnmente se confunden como éxitos de vida, y por lo tanto el sentido de la vida, no son más que espejismos de la existencia. Es decir, el reconocimiento social y las posesiones materiales, si bien son necesarias, no son el objetivo primordial. Los apegos emocionales o las dependencias a personas tampoco lo son. El hedonismo no es la respuesta, ya que es un concepto que comúnmente suele malinterpretarse y origina dependencias más fuertes a todo aquello que causa placer.
Entonces ¿cuál es el sentido de la vida? Ante la impotencia de no responder este cuestionamiento se produce una crisis y la única forma de disiparla es mediante la producción artística.
La imagen cuatro fue generada mediante una técnica de diagnóstico médico de rayos x. Se sometió a un proceso de escaneo en alta resolución y se editó para acentuar sus elementos mediante una corrección de color en un editor de imagen digital. Se usó este método porque la radiografía en película necesita de una fuente de luz para identificar sus elementos; al escanearla, es más fácil visualizar los detalles.

Se aplicaron diez filtros de color, aumentando el brillo y el contraste. Las imágenes 4, 5 y 6 fueron las que reconocieron más elementos. La imagen en azul muestra la matriz impregnada por los rayos gamma que atraviesan los tejidos de los pulmones y el corazón, registrando el vacío: lo único que se percibe son las vértebras dorsales, las costillas y parte de lo que (se supone) son las escápulas. En la imagen 5 se observa un enmarañado tejido en la parte central baja que acompaña a las vértebras cerca del estómago. Esta región se acerca demasiado a la estética computacional de arte generativo y se reafirma la trascodicficación de patrones provenientes de la naturaleza, en este caso del cuerpo humano.
Por último, la imagen número 6 muestra el vacío existente en el tórax y explica lo real a partir de una construcción ideal imposible, ya que la caja toráxica no muestra órganos ni tejidos, registra algunas texturas de color blanco pegadas a las vertebras. En la mayor parte del centro del pecho se registró el color negro como ausencia.
Las imágenes resultantes tienen como finalidad ser un proceso alterno de creación de imágenes en CG-art que no representan, presentan el fenómeno de estudio. Existe el dolor como síntoma en la dimensión de lo real. Estas imágenes podrían mostrarnos un atisbo del vacío existencial ocultado en la realidad, es evidente antenuestros ojos y oculto al mismo tiempo: ceguera episté- mica de la condición humana.
Autor Anomalía
La presente propuesta es una metodología para la construcción de una pieza visual que implicó la relación entre una experiencia cercana a lo real, episodios de dolor intenso y procesos de representación mediante procesos de imagenología clínica.
El detonante es una experiencia de dolor lumbar padecida durante casi diez años que no parecía tener una causa más allá de periodos de estrés sostenidos. Después de dos crisis seguidas que provocaron periodos de dolor incapacitante, en los que la movilidad del productor se vio comprometida, se realizaron estudios en los que se incluyó la realización de una resonancia magnética. Con los resultados de esta, un especialista en traumatología diagnosticó dos hernias de disco, una protusión y una extrusión que eran las causantes del dolor.
Antes del diagnóstico el dolor incapacitante era una experiencia cercana a lo real, debido a que la dolencia no correspondía con los síntomas, las sensaciones más intensas no podían ser significadas del todo, y los tratamientos prescritos no daban una solución efectiva. La causa de las lesiones no ha podido ser determinada (parece que eso no es posible ya); sin embargo, el conocer de dónde provienen los episodios de dolor permitió al productor comenzar a negociar con las sensaciones y su posible paliación. Conocer el origen del dolor permitió probar con terapia y el uso de tratamiento que no fue del todo efectivo. Posteriormente, con actividad física implementada en el día a día, ha sido posible lidiar con el dolor, si no eliminarlo, gracias a la simbolización, a darle una explicación que proviene directamente de la imagen provista por una técnica de representación visual.
Cuando se refiere a lo real se hace desde la perspectiva del psicoanalista francés Jacques Lacan y su propuesta de los tres registros de la clínica (Lacan, 1987). Lo reales aquello que excede a las capacidades y experiencias del sujeto, lo que se sale de su control y comprensión, aquello que es inconmensurable, inaprehensible, incontrolable, lo que va más allá del lenguaje. Son las experiencias que exceden al sujeto y sus capacidades de percepción, comprensión y acción, las que no pueden ser simbolizadas.
La propuesta de metodología consiste en el trabajo y manipulación de las imágenes generadas mediante resonancia magnética y la representación gráfica de diferentes signos vitales y procesos de actividad física registrados durante siete meses, a partir de un reloj electrónico colocado permanentemente en la muñeca del productor y que proporciona información relacionada con el ritmo cardiaco, los ciclos del sueño, la calidad de la actividad física, entre otros, todo lo cual es representado de forma gráfica.
Una vez obtenidas ambas imágenes, fueron manipula- das a través de software de edición de mapa de bits, y posteriormente procesadas mediante la técnica de data bending o alteración de bits. Este es un proceso de manipulación de archivos digitales que tienen un formato nativo y que son reproducidos y modificados a tra- vés de otro software diseñado para formatos diferentes.
Un ejemplo de esto sería manipular un archivo de imagen a través de un software de edición de audio. Para lograrlo, es necesario convertir la información digital en bits, y después, por medio de un software de edición de audio, manipular el archivo a través de efectos y procesos sonoros, para después reconstruir los archivos resultantes en imágenes (Betancourt, 2014, p. 18).
Esta segunda etapa de manipulación de archivos se desarrolla en un estado cercano a lo real, pero desde un punto de partida simbólico, en el que se sabe qué tipo de información se está manipulando, pero no se tiene ninguna certeza o parámetro de aquello que resultará. Las imágenes presentadas son producto del automatón, concepto propuesto por Aristóteles en el segundo libro de la Física (Aristóteles, s.f./2015), y que se establece como una forma de azar en la que es posible tener un parámetro de cuáles pueden ser los resultados posibles: un cierto nivel de predictibilidad de lo aleatorio, una forma de azar en el que se tiene un somero control de aquello que resultará de un proceso azaroso.
En el proceso de lo real a lo simbólico y de lo simbólico a lo real, la imagen es el elemento que permite los desplazamientos.








Conclusiones
Se llegó a un resultado paradójico, pues las imágenes propuestas en esta investigación como CG-art tampoco son innovadoras en su esteticidad formal. Más bien, se desplazan de un contexto a otro, ya que las definiciones de arte generativo y CG-art permiten una interpretación rizomática y, por ello, es posible denominar arte generativo o CG-art a otros procesos de creación de imágenes.
El esquema de investigación planteado aporta que el uso de software y hardware no deben ser el soporte sustancial o los únicos protagonistas de la obra artística. Debe existir una dimensión de ruptura e innovación en la imagen, tanto en su contenido discursivo, como en el uso de nuevas tecnologías. Sin aporte de conocimiento que promueva la apertura epistémica, la obra se convierte en arte muerto.
Las imágenes resultantes de esta investigación deben salir de este artículo y ser procesadas para su exposición a manera de objetos artísticos, mediante la instalación y la realidad virtual para una experiencia inmersiva. Así, el dolor como imagen de lo real podría experimentarse virtualmente, es decir, el objetivo de la exposición sería el producir un recorrido de la dimensión de lo real en su representación virtual.
Lo anterior se deja como una conclusión abierta para desarrollar esta nueva etapa del proyecto.
Referencias
Aune, K., Peña, C., García, A., y Rueda, S. (2020). Espacios tecnoestéticos de ficción, Ediciones Uniandes-Universidad de los Andes.
Aristóteles. (1995). Física, Libro II (G. De Echandía, trad.). Gredos.
Betancourt, M. (2014). An Easy 7-Step Protocol for Databending, En Tammy McGovern. (comp.) Signal Culture, Cook Book. https://www.michaelbetancourt.com/pdf/Cookbook_Databending.pdf
Boden, M. A., Edmond, E. A. (2009). What is generative art? Digital Creativity, 20 (1-2), 21-46. DOI: https://doi.org/10.1080/14626260902867915
Chávez, M. H. (2005). Tiempo Muerto. UAEMEX/UDLA. Clapham, C. (1998). Diccionario de Matemáticas.Oxford-complutense.
Costa, J., Soria, J.A. (2021). Resonancia magnética, dirigida a técnicos superiores en imagen para el diagnóstico. Elsevier.
Deleuze, G., y Félix G. (2000). Mil mesetas. Capitalismo y esquizofrenia. Pre-textos.
Freud, S. (1988). Obras completas. Vol. XVII, Segunda edición. Amorrotu.Galanter, P. (2003). What is Generative Art? Complexity theory as a context for art theory. Interactive Telecommunications Program, New York University. https://www.philipgalanter.com/downloads/ga2003_ paper.pdf
Guattari, F. (1995). Cartografías del deseo. La Marca. Koyre, A. (1980). Estudios Galileanos. Siglo Veintiuno. Lacan, J. (1987). El Seminario de Jacques Lacan.Libro 11 Los cuatro conceptos fundamentales delpsicoanálisis. Paidós.
. (2005). Escritos. Volumen 1. Vigésimocuarta edición. Siglo XXI.
Lapoujade, D. (2016). Deleuze: los movimientos aberrantes. Cactus.
Lévy, P. (1999). ¿Qué es lo virtual? Paidós
Lieser, W. (2010). Arte digital: nuevos caminos en el arte. Tandem Verlag GmBH / H. F. Ullmann.
Maotik. (2022, 4 de enero). http://www.maotik.com/
Mandelbrot, B. (1997). La geometría fractal de la naturaleza. Tusquets.
Morin, E. (1997). El Método 1. La Naturaleza de la Naturaleza. Cátedra.
Organización Mundial de la Salud. (2022, 4 de enero). Radiaciones ionizantes: efectos en la salud y medidas de protección. https://www.who.int/es/newroom/factsheets/detail/ionizing-radiation-health-effects-and- protective-measures
Ouchhh. (2022, 4 de enero). https://ouchhh.tv/
Peirce, C.S. (1988). El hombre un signo. Crítica.
Rodríguez, J. M. (2006). La dinámica de la innovación tecnológica. Modelo Hiper 666. Universidad Nacional de Colombia.
Roncoroni, O. (2016). Manual de diseño generativo. Fondo Editorial de la Universidad de Lima
Trías, E. (1999). Lo bello y lo siniestro. Ariel.
Tundra. (2022, 4 enero). https://wearetundra.org/?fbclid=IwAR1oCtzcALepjyQ4jzmJBf0-m5TTgnv9kzvrBdhW7WGsw2YW7rjlX_MPLKI
Vishnevsky, Y. (2022, 16 de enero). Weavesilk. http://weavesilk.com/
Wajcman, G. (2001). El objeto del siglo. Amorrortu.
Zavala, L. (2006). La precisión de la incertidumbre: posmodernidad, vida cotidiana y escritura. Universidad Autónoma del Estado de México.
Žižek, S. (2006). Arriesgar lo imposible: conversaciones con Glyn Daly. Trotta.