PRESENTACIONES DE CASOS
Quiste celómico del pericardio
Pericardial celomic cyst
Quiste celómico del pericardio
Revista Cubana de Cirugía, vol. XXI, núm. 4, pp. 366-369, 2015
Editorial Ciencias Médicas
RESUMEN: Con el descubrimiento y el desarrollo de la cirugía de mínimo acceso, la videotoracoscopia no solo se emplea para la confirmación diagnóstica de esta entidad como lo hiciera Otto Pickhardt, en el año 1931, sino que resulta de gran utilidad para su tratamiento con resultados satisfactorios. Se presenta un paciente masculino, de 28 años de edad, con un quiste celómico del pericardio, asintomático, encontrado en una radiografía de tórax de rutina, localizado en el ángulo cardiofrénico derecho. Se interviene quirúrgicamente por vía videotoracoscópica sin complicaciones.
Palabras clave: quiste celómico del pericardio, videotoracoscopia.
ABSTRACT: With the discovery and development of minimal access surgery, videothoracoscopy is not only used to confirm the diagnosis of this entity as did Otto Pickhardt, in 1931, it is useful for treatment with satisfactory results. A male patient, 28-yearold with a pericardial coelomic cyst asymptomatic, found in a routine chest X-ray, located in the right cardiophrenic angle is presented. It is surgically intervenes via videothoracoscopy without complications.
Keywords: Pericardial celomic cyst, videothoracoscopy.
INTRODUCCIÓN
El quiste celómico del pericardio, también denominado como Spring water cyst, constituye una lesión benigna, de origen congénito, infrecuente, generalmente asintomático. Se descubre de forma incidental al realizar una radiografía de tórax123 describe como una masa homogénea, bien delimitada que se ubica con mayor frecuencia en el seno cardiofrénico (70 %) a la derecha del corazón. En el lado izquierdo solo aparece en un 22 % y el otro 8 % es para localizaciones atípicas en mediastino superior o adyacente al diafragma. Su tamaño puede oscilar desde 1 hasta 15 cm.4 Las primeras descripciones de la enfermedad, fueron hechas por los patólogos que las diagnosticaban posmortem. La primera descripción de un quiste pericárdico la realizó T. Hart del Park Street School of Medicine en Dublin, en 1837, quien servía como conservador de cadáveres en el museo de la escuela y encontró una lesión, hasta ese momento nunca reportada, en una anciana. Cito: "El mediastino anterior fue ocupado por un membranosa, saco piriforme de considerable tamaño, acostado en la superposición y el pericardio" (Traducido del inglés: "The anterior mediastinum was occupied by a membranous, pyriform sac of considerable size, lying on and overlapping the pericardium." ...)1 y solo los avances en la radiología a principios del siglo XIX, abrieron el camino del diagnóstico de la enfermedad; sobre todo, los avances en radiografía de tórax y la realización de un neumotórax artificial, que permitía separar el pulmón de la imagen tumoral.
La primera cirugía de un quiste pericárdico, la realizó Otto Pickhardt en el Lenox Hill Hospital de New York, en 1931, quien ante la evidencia de una sombra circular en la radiografía de tórax, realiza una toracoscopía con anestesia local para confirmar la presencia de una lesión de aspecto quístico, del tamaño de una naranja en la cavidad pleural izquierda.1 Posteriormente, realizó la resección del quiste por vía de una toracotomía.
En 1943, en el Mount Sinaí de Nueva York, el grupo del Doctor Greenfield introduce el término de Spring water cyst, teniendo en cuenta la apariencia de la lesión, caracterizada por tener paredes finas, transparentes y un líquido muy fluido en su interior similar al agua.13
Con el descubrimiento y el desarrollo de la cirugía de mínimo acceso, la videotoracoscopia no solo se emplea para la confirmación diagnóstica de esta entidad como lo hiciera Otto Pickhardt, en el año 1931, sino que resulta de gran utilidad para su tratamiento con resultados satisfactorios.
PRESENTACIÓN DEL CASO
Paciente masculino, de 28 años de edad, que en un chequeo de rutina, en la radiografía de tórax, se observa imagen radiopaca paracardiaca derecha (Fig. 1).

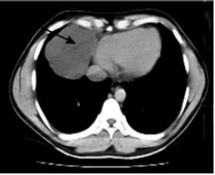
Se realiza tomografía axial computarizada (TAC) simple de tórax, donde se observa la presencia de una masa en el ángulo cardiofrénico derecho, con densidad de 3 UH, que mide 8 cm y provoca ligero desplazamiento del mediastino, compatible con un quiste celómico del pericardio (Fig. 2).

El paciente es intervenido por videotoracoscopia el 09/04/2014 y se encuentralesión quística multilobulada de aproximadamente 12 cm, adherida al pericardio. La videotoracoscopia se realizó por tres puertos, el primero a nivel del 4to espacio intercostal derecho y línea media clavicular, para la óptica; el segundo, a nivel del 5to espacio intercostal derecho y línea axilar anterior, para la mano izquierda del cirujano y en el 6to espacio intercostal derecho y línea axilar posterior, para la mano derecha del cirujano. Se realiza la exéresis y vaciamiento del quiste y con la ayuda de una endobolsa se extrae sin complicaciones a través del puerto anterior en una resección totalmente endoscópica. La evolución posoperatoria fue satisfactoria.
DISCUSIÓN
El quiste celómico del pericardio tiene una frecuencia muy baja, ocupa el 6 % de toda las masas mediastinales y el 33 % de las lesiones quísticas en dicho espacio.4 La presentación de la enfermedad es casi siempre asintomática, hace que su diagnóstico sea casi siempre un hallazgo radiológico.34 Debemos destacar que con el desarrollo de la imaginología, hoy se dispone de medios que brindan una mejor resolución de imagen, como es el ultrasonido, la tomografía axial computarizada y la resonancia magnética que permiten precisar el diagnóstico, de forma tal que el procedimiento toracoscópico que se ha convertido hoy en el gold standard de esta cirugía se pueda realizar con seguridad y las posibilidades de errores en el diagnóstico sean casi nulas. Existen descripciones de tratamientos exitosos por punción evacuadora del quiste,345 pero la cirugía sigue siendo el tratamiento de elección.
REFERENCIAS BIBLIOGRÁFICAS
1. Schweigert M, Dubecz A, Beron M, Ofner D, Stein HJ. The Tale of Spring Water Cysts. A Historical Outline of Surgery for Congenital Pericardial Diverticula and Cysts. Tex Heart Inst J. 2012;39(3):330-4.
2. Albizzatti JE, Vaccarezza DR, Dellatorre A. Quiste pericárdico. Rev Argentina Cardiol. 2006;74(4):239.
3. Mederos Curbelo ON, Menchaca Díaz JL, Barreras Ortega JC, Cantero Ronquillo A, Valdés Jiménez J. Quiste pericárdico gigante en el adulto. Reporte de 1 caso. Rev Cubana Cir. 2001;40(4):312-4.
4. Olaya P, Contreras Zúñiga E. Quiste pericárdico en un paciente con trasplante cardíaco: Descripción de un caso clínico.. Rev Argentina Cardiol [online]. 2010[citado 2015-04-12];78(1):69-70. Disponible en: http://www.scielo.org.ar/scielo.php?script=sci_arttext&pid=S1850-37482010000100015&lng=es&nrm=iso ISSN 1850-3748
5. Kei J. Image Diagnosis: Pericardial Cyst. The Permanente Journal. 2013;17(4):e149. doi:10.7812/TPP/13-039.
6. Benito-Conejero S, Camacho-Vázquez C, Maroto-Monserrat F. Quiste pericárdico postraumático de localización atípica. AN. MED. INTERNA (Madrid).2005;22(12):594-6.
7. Islas Fabian. Giant Pericardial Cyst Compressing the Heart. Journal of the American College of Cardiology. 2013;62(10):19. http://dx.doi.org/10.1016/j.jacc.2013.02.102
Notas de autor