Article
Pigmented Eccrine Poroma in abdominal region, a rare presentation
Poroma Ecrino Pigmentado en región abdominal, una rara presentación
Pigmented Eccrine Poroma in abdominal region, a rare presentation
Colombia Médica, vol. 44, no. 2, pp. 115-117, 2013
Universidad del Valle Cali, Colombia
Received: 07 September 2011
Revised document received: 12 October 2011
Accepted: 02 February 2012
Abstract: The eccrine poroma or Hidracanthoma Simplex is a rare benign adnexal tumor of ephitelial cells, with an incidence of 0.001 to 0.008%1. In two-thirds of the patients it appears on the soles and lateral borders of the feet. We report the case of a patient with pigmented eccrine poroma in abdominal skin, of a rare entity presentation with a single report in the literature in that location.
Keywords: Poroma, abdomen, sweat gland neoplasms.
Resumen: El poroma ecrino o hidroacantoma simple, es una tumoración anexial benigna de células epiteliales, de rara presentación, con una incidencia de 0.001 a 0.008%1. En dos tercios partes de los pacientes se presenta en la planta y bordes laterales de los pies. Reportamos el caso de una paciente con Poroma ecrino pigmentado en piel abdominal, entidad de rara presentación con un sólo reporte en la literatura en esa ubicación.
Palabras clave: Poroma, abdomen, neoplasias de las glándulas.
Clinical case
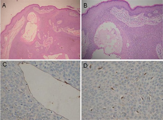
Herein, we present a case of a 56-year-old female with a pigmented and painful nodule with progressive growth in the abdominal region with 15-year evolution, which presented easy bleeding in the last months prior to consultation. Upon physical exam, a hyperpigmented and angiomatous pedunculated nodule was found with hyperkeratotic surface (Fig 1). The following were considered as presumptive diagnoses: irritated seborrheic keratosis, epithelialized pyogenic granuloma, inflamed intradermal nevus, and nodular melanoma. A skin excision biopsy was carried out, whose report was a dermal tumor mass from the lower portion of the epidermis, well defined, formed by small cuboidal cells without atypia, arranged in well-defined bands that anastomose without barricade, with pigmented areas and few dilated ducts, which are in contact with the resection margins, compatible with eccrine poroma (Fig 2.) Immunohistochemistry was also performed, highlighting Carcinoembryonic Antigen (CEA) with elongated cells that line the cavities that support glandular differentiation. S100 staining was observed in the dendritic cells and melanocytes in the thickness of the cell proliferation (Fig 2).


The patient attended clinical controls post intervention, without lesion recurrence found until now.
Discussion
Eccrine poroma is a benign adnexal tumor, of rare occurrence, with an incidence of 0.001 to 0.008%, first reported by Pinkus in 19561. It originates as of the epithelium of the intra-epidermal portion of the eccrine duct. It typically appears as a papule or solitary nodule, euchromatic or red in the soles or lateral borders of the feet, corresponding to two-thirds of the cases; as with other eccrine gland tumors, a pigmented variant of rare presentation exists2,3; other sites affected are: the distal extremities, palms, and fingers, and less likely in the forearms, eyelids, thorax, scalp, external auditory canal, hip, gluteus, and abdomen4-9.
Melanocytes and melanin are rare in eccrine poroma and two hypotheses are posed regarding its presence originating the pigmentation: the first is that it comes from melanocytes present in cell primordia of eccrine ducts during the 14th week of gestation that were not eliminated during the maturity process; the other hypothesis is that it comes from epidermal melanocytes10.
This benign tumor has a favorable prognosis, without recurrence after complete resection and low risk of malignancy1.
Conclusion
A case is presented of a patient diagnosed with pigmented eccrine poroma on abdominal skin, of unusual presentation and location, with only one case reported in the literature10.
References
Poroma of the eyelid
Pigmented classic poromaa tumor with predilection for nonacral sites?
Pigmented Eccrine poroma
A case of an unusual eccrine poroma on the left forearm area
Nodule on the chest. Eccrine poroma
Pigmented eccrine poroma occurring on the scalpDerivation of melanocytes in the tumor
Eccrine poroma in the external auditory canal
Poroma of the hip and buttock
Pigmented eccrine poroma
Pigmented eccrine poromasexpression of melanocyte stimulating cytokines by tumour cells does not always result in melanocyte colonization
Author notes
Monica Lorena Cárdenas E-mail: monilorena@hotmail.com
Conflict of interest declaration