Case report
Unusual radiological finding in foreign bodies ingestion: three esophageal coins
Hallazgo radiológico inusual en ingesta de cuerpos extraños: tres monedas esofágicas
Unusual radiological finding in foreign bodies ingestion: three esophageal coins
Colombia Médica, vol. 52, no. 4, e5005016, 2021
Universidad del Valle
Received: 28 August 2021
Revised document received: 09 November 2021
Accepted: 26 December 2021
Abstract
Case description: A 5-year-old girl presented to the emergency department with a history of foreign body ingestion. A cervico-thoracoabdominal radiograph demonstrate a foreign body in the esophagus, which seemed to show a double rim sign suspecting a button battery. After an emetic episode and expelling a coin, the child became asymptomatic. Close inspection of the X-ray demonstrated that the image was formed by superimposition of 3 circumferential objects of different sizes. Another X-ray observed the persistence of two superimposed objects.
Clinical findings: The girl presented with sialorrhea, odynophagia, and nausea. Vital signs and physical examination were normal. There was no significant medical history.
Treatment and Outcome: With the suspicion of multiple impacted esophageal objects, the patient was then taken to the operating room. During the flexible esophagoscopy 2 coins were found in the esophagus, both were removed without difficulty. The patient had an uneventful postoperative recovery and there have been no long-term complications.
Clinical relevance: Unusual radiographic findings regarding esophageal foreign bodies have been reported, however, we describe the first case of a child with 3 coins impacted in the esophagus and a new radiological finding in foreign bodies ingestions that allow to avoid misdiagnosis and improve outcomes.
Keywords: Radiography+ foreign bodies+ impaction+ esophagus+ coin.
Resumen
Descripción del caso: Una niña de 5 años es llevada a urgencias tras la ingesta de un cuerpo extraño. La radiografía cérvico-toraco-abdominal evidenció un cuerpo extraño esofágico con signo de doble halo, lo que hizo sospechar una pila de botón. Tras un vómito con expulsión de una moneda los síntomas desaparecieron. Una inspección minuciosa de la radiografía demostró que la imagen estaba formada por la superposición de 3 objetos circunferenciales de diferentes tamaños. Una nueva radiografía mostró persistencia de dos objetos superpuestos.
Hallazgos clínicos: La niña refería odinofagia, náuseas y tenía sialorrea. Los signos vitales y el examen físico eran normales. No tenía antecedentes médicos relevantes.
Tratamiento y desenlace: Con la sospecha de impactación esofágica múltiple, la paciente fue llevada al quirófano. Durante la esofagoscopia se encontraron 2 monedas en el esófago que fueron extraídas sin dificultad. La evolución postoperatoria fue favorable y no hubo complicaciones a largo plazo.
Relevancia clínica: Aunque se han reportado hallazgos radiográficos inusuales en cuerpos extraños esofágicos, describimos el primer caso de un niño con 3 monedas impactadas en el esófago y un nuevo hallazgo radiológico en la ingesta de cuerpos extraños que permite evitar diagnósticos erróneos y mejorar los desenlaces.
Palabras clave: Radiografía, cuerpos extraños, impactación, esófago, moneda.
Introduction
Accidental ingestion of foreign bodies is a common problem in pediatrics. Coins are the most frequently ingested object and cause 60% of esophageal impactions. Conventional plain radiography is the imaging modality of choice to locate most foreign bodies and guide treatment options 1-3. Various radiological findings that allow identifying the ingested object have been described, including the double rim or halo sign of the button battery (BB), a pathognomonic image that indicates the need for immediate removal 4. Treatment delay is associated with complications such as ulcers, perforation, stenosis, or fistulas 5. We report the first case of a child with three coins stacked and impacted in the esophagus and describe a new radiological finding associated with the superimposition of several foreign bodies that can help to improve diagnosis, treatment and outcomes.
Case description
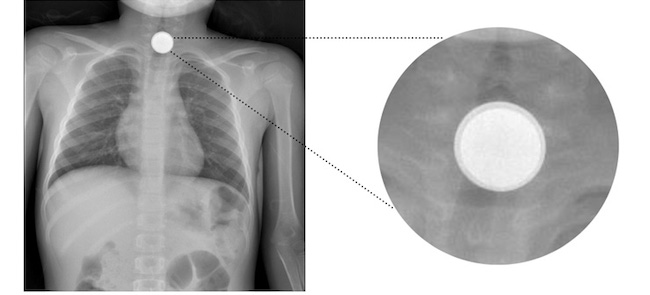
A previously well 5-year-old girl presented to the emergency department with an acute onset of sialorrhea, odynophagia, and nausea. Vital signs were normal and no other abnormalities on physical examination were found. There was no significant medical, social, or family history. Given the child’s age group and symptoms, ingestion of a foreign body was suspected. An anteroposterior cervico-thoraco-abdominal radiograph (CTA X-ray) was obtained revealing a foreign body in the upper third of the esophagus which seemed to show a double rim sign, although an irregular layout was noted (Fig. 1a). Suspecting a button battery sign, immediate endoscopic removal was indicated. During the preoperative nasopharyngeal swab testing for SARS-CoV-2, the patient experienced an acute episode of emesis, expelling a 1-euro cent coin (cent €). After this, the child became asymptomatic. Despite the initial suspicion of a button battery sign and the patient is asymptomatic, a close inspection of the CTA X-ray with digital magnification demonstrated that the image of the foreign body was formed by the superimposition of three circumferential objects of different sizes (Fig. 1b).

To discard multiple impacted objects, another anteroposterior CTA X-ray was obtained observing the persistence of the foreign body, but this time, only two superimposed objects were seen (Fig. 2). The patient was then taken to the operating room. During the flexible esophagoscopy, 2 coins (2 and 5 cents €) were found stacked at the level of the upper esophageal sphincter, both were removed without difficulty. The patient had an uneventful postoperative recovery and was discharged 12 hours after the procedure. There have been no long-term complications.

Discussion
The esophageal impaction of multiple coins is rare, accounting for 5-7% of all impactions and occurs most often in children under the age of 3, males, and patients with underlying esophageal abnormalities or other co-morbidities 2,6. X-ray imaging plays an important role in the workup and treatment of pediatric patients with suspected foreign-body ingestion. In the case of a radiopaque foreign body, X-ray imaging not only determines the anatomical location of the object, but the morphological features allow to suspect its nature and composition 6. The initial standard imaging protocol includes frontal and lateral radiographs of the neck, chest, and abdomen 7. Huyett et al. (8, state that a lateral X-ray has at least two purposes: to confirm that the foreign body is posterior to the airway and to differentiate multiple stacked coins from a button battery. In our case, no lateral X-ray was performed since a button battery was already suspected on the frontal radiograph thus, minimizing radiation dose following the ALARA radiation safety principle (As Low As Reasonably Achievable) and not delaying battery removal because of damage to the esophageal wall can occur within hours 4.
Unusual radiographic findings have been documented regarding esophageal foreign bodies, such as ingested coins with a sagittal orientation as if they were in the trachea 9-11. Ormeño et al. (9, reported a case of two coins impacted in the esophagus also simulating the double rim image of a button battery. In our case, the radiological finding was not a defined double ring but rather the superimposed silhouettes of three round objects of different sizes, arranged in the same way as celestial bodies do during a lunar eclipse (Fig. 3a). This finding (Fig. 1b*) created by the radiological arrangement of the coins in the patient's esophagus is a novel radiological finding that may alert the physician to the presence of multiple coins and distinguish them from a button battery, enabling the best therapeutic choice.

Informed consent and patient details
The authors declare that this report does not contain any personal information that could lead to the identification of the patient, however, written informed parental consent was obtained for publication of this case report and accompanying images. A copy of the written consent is available for review by the Editor-in-Chief of this journal.
References
1. Heinzerling NP, Christensen MA, Swedler R, Cassidy LD, Calkins CM, Sato TT. Safe and effective management of esophageal coins in children with bougienage. Surg (United States). 2015; 158: 1065-72. doi: 10.1016/j.surg.2015.06.025.
2. McNeill MB, Sperry SLW, Crockett SD, Miller CB, Shaheen NJ, Dellon ES. Epidemiology and management of oesophageal coin impaction in children. Dig Liver Dis. 2012; 44: 482-6. doi: 10.1016/j.dld.2012.01.001.
3. Dedhia K, Chang YF, Leonardis R, Chi DH. Is there a need for repeat radiologic examination of children with esophageal coin foreign body? Otolaryngol - Head Neck Surg (United States). 2017; 156(1): 173-9. doi: 10.1177/2F0194599816667039.
4. Pérez A, Molina AY, Goñi C. Impaction of button batteries in the esophagus: a potentially fatal surgical emergency in infancy. An Sist Sanit Navar. 2020; 43: 255-60. doi: 10.23938/ASSN.0874.
5. Nafousi O, Pertwee R, Roland D, Acheson J. Management of oesophageal coins in children. Emerg Med J. 2013; 30(2): 157-8. doi: 10.1136/emermed-2011-200958.
6. Ormeño A. Inusual hallazgo de dos monedas juntas en esófago de pacientes pediátricos. Reporte de dos casos. Rev Gastroenterol Peru. 2016; 36(4): 373-5.
7. Shatani N, Alshaibani S, Potts J, Phillips B, Bray H. Chest radiograph alone is sufficient as the foreign body survey for children presenting with coin ingestion. Pediatr Emerg Care. 2021; 37(9): e524-e527. doi: 10.1097/PEC.0000000000001688.
8. Huyett P, Shaffer A, Flom L, Simons JP, Jabbour N. Accuracy of chest X-Ray measurements of pediatric esophageal coins. Int J Pediatr Otorhinolaryngol. 2018; 113: 1-3. doi: 10.1016/j.ijporl.2018.07.011.
9. Raney LH, Losek JD. Child with esophageal coin and atypical radiograph. J Emerg Med. 2008; 34: 63-6. doi: 10.1016/j.jemermed.2007.03.004
10. Schlesinger AE, Crowe JE. Sagittal orientation of ingested coins in the esophagus in children. Am J Roentgenol. 2011; 196(3): 670-2. doi: 10.2214/ajr.10.5386.
11. Ángel ALA, León SLP, Martínez GDC, Jurado GM. Cuerpo extraño incidental en tracto gastrointestinal. Reporte de tres casos y revisión de la literatura. Rev Colomb Gastroenterol. 2011; 26(4): 316-27.
Author notes
Autor de correspondencia: Julio César Moreno Alfonso. Email: juliomoreno.md@gmail.com
Conflict of interest declaration