Case report
Autoimmune/inflammatory syndrome induced by adjuvants (ASIA), medical treatment of severe systemic compromise: case report
Síndrome autoinmune / inflamatorio inducido por adyuvantes (ASIA), tratamiento médico de compromiso sistémico severo: reporte de caso
Autoimmune/inflammatory syndrome induced by adjuvants (ASIA), medical treatment of severe systemic compromise: case report
Colombia Médica, vol. 54, no. 1, pp. 1-10, 2023
Universidad del Valle
Received: 16 November 2020
Revised document received: 18 January 2022
Accepted: 27 December 2022
Published: 30 March 2023
Abstract
Case description: A 42-year-old woman with severe pulmonary and mediastinal inflammatory involvement, secondary to infiltration of a silicone-related allogenic material with systemic migration.
Clinical findings: The patient developed esophageal and bronchial stenosis, recurrent infections, malnutrition, and respiratory deterioration, making surgical removal of the allogenic material impossible.
Treatment and outcome: Clinical and radiological improvement was achieved after treatment with multiple intravenous and oral immunomodulators.
Clinical relevance: Autoimmune/inflammatory syndrome induced by adjuvants (ASIA) is a heterogeneous disease resulting from exposure to allogenic substances in a susceptible subject. These substances cause autoimmune or autoinflammatory phenomena. Since ASIA was described ten years ago, its diagnostic criteria are still under discussion, with an uncertain prognosis. The ideal therapy is based on eliminating the causative substance, but this is not always possible. Therefore, it is necessary to start an immunomodulatory treatment, using it in this patient, a scheme that had not been previously reported in the literature.
Keywords: ASIA+ autoimmunity+ silicone+ biocompatible materials+ methacrylates+ polymers+ siloxanes+ biopolymers+ foreign bodies.
Resumen
Descripción del caso: Mujer de 42 años con compromiso inflamatorio pulmonar y mediastinal severo, secundario a infiltración de un material alogénico relacionado con la silicona con migración sistémica.
Hallazgos clínicos: La paciente desarrolló estenosis esofágica y bronquial, infecciones recurrentes, desnutrición y deterioro respiratorio, imposibilitando la extracción quirúrgica del material alogénico.
Tratamiento y resultado: Mejoría clínica y radiológica lograda tras un tratamiento con múltiples inmunomoduladores intravenosos y orales.
Relevancia clínica: El síndrome autoinmune / inflamatorio inducido por adyuvantes (ASIA) es una enfermedad heterogénea que resulta de la exposición a sustancias alógenas en un sujeto con susceptibilidad genética. Estas sustancias inducen fenómenos autoinmunitarios o autoinflamatorios. Desde que ASIA fue descrito hace 10 años, sus criterios diagnósticos continúan en discusión, con un pronóstico incierto. El tratamiento idóneo se basa en eliminar la sustancia causante, pero no siempre es posible, por lo cual se hace necesario iniciar un tratamiento inmunomodulador, empleándose en esta paciente un esquema que no había sido reportado previamente en la literatura.
Palabras clave: ASIA, autoinmunidad, silicona, materiales biocompatibles, metacrilatos, polímeros, siloxanos, biopolímeros, cuerpos extraños.
Introduction
For several decades, adjuvants, such as silicone or some vaccine components, have been recognized as inducing factors of a broad spectrum of local or systemic autoimmune and autoinflammatory reactions in genetically susceptible patients 1. Adjuvants can bind to pattern recognition receptors, promote changes in the tertiary structure of proteins and induce inflammatory responses in autoreactive lymphocytes by molecular mimicry or by accumulating foreign substances within the cytoplasm of macrophages 2,3. The tissue reaction produced by the inoculation of these materials was classically described as a foreign body granulomatous reaction. However, from the histological and pathophysiological points of view, they behave also with the infiltration of macrophages, mastocytes, and fibroblasts. Other cell population include plasma cells, dendritic cells, and reactive lymphocytes could be involved in addition to pro-inflammatory cytokines, such as IL-1, IL-12 and TNF-α, showing systemic reactions up to 15 years after inoculation 4,5.
A wide variety of manifestations related to allogenic substances can occur, from mild conditions such as skin hyperpigmentation to severe disorders such as rheumatoid arthritis (RA), systemic lupus erythematosus (SLE) and, 'Sjögren's syndrome (SS). All these reactions fall within the Autoimmune/inflammatory syndrome induced by adjuvants (ASIA). The term ASIA was proposed by Shoenfeld et al. (2010) and has been associated with human leukocyte antigen (HLA)-DRB1*01, DQA1*0102, DQ2 and DRW53, among others. Multiple clinical expressions repeatedly fit within the classification criteria of different autoimmune or autoinflammatory diseases; however, they are often nonspecific or local, so Shoenfeld and Agmon-Levin (2011) proposed a set of diagnostic criteria 1,2,6, which were modified by Alijotas-Reig 7) to make them more objective, but they have not yet been validated (Table 1).

Silicone is one of the most widely used a polymer related to organic silicon that can be found in liquid or solid form. The component most closely associated with silicone is polydimethylsiloxane, widely used in medical implants, breast, or direct injection. Liquid silicone can also be used to increase the volume of soft tissue other than the breast and for esthetic purposes, to fill wrinkles or scars, such as acne scars. Although silicone is considered biologically inert, associated tissue destruction has been documented adverse effects of inflammatory and autoimmune origin.
Although there is still no consensus on the causal relationship between using this type of material 8,9, the presence of allogeneic material is associated with a higher prevalence of autoimmune/autoinflammatory diseases, with an odds ratio (OR) of 1.22 (1.18-1.26). Local or distant migration of this material has also been described, which seems to increase the risk of complications 10 . The permanent search for low-cost aesthetic treatments, with limited access to quality health services, coupled with injection by unqualified personnel, has led to the indiscriminate handling of filling materials not authorized for use, with effects that are still poorly documented, which makes it difficult to predict its progression over time as well as its severity 5.
The ASIA treatment suggests the elimination of the stimulating substance; however, in many cases, a lack of improvement is observed despite this management, or the material is widely spread by the tissues becoming unresectable, obligating to start pharmacological immunomodulation 4,11. Considering that ASIA is difficult to diagnose and classify disease with an uncertain prognosis and treatment poorly defined, especially in cases of spread of the allogeneic material with severe systemic compromise, reporting this type of case is especially important.
Case description
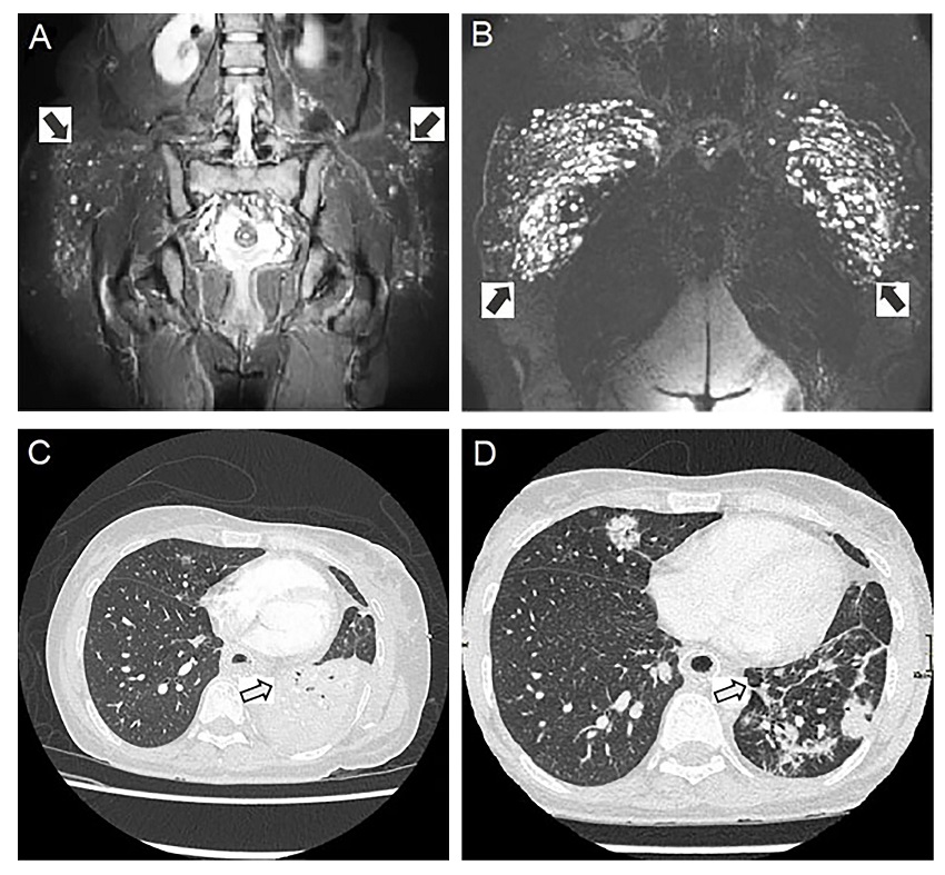
A 42-year-old female patient with a history of moderate smoking consumption, without comorbidities or significant family history, abdominal liposuction, buttock augmentation with biopolymer implants when she was 30 years old and augmentation mammoplasty with silicone implants on two occasions, the last one when she was 36-year-old. The current illness began at she was 37-year-old when she presented moderate dyspnea, dry eye, dry mouth, cough, arthralgia in the hands and relapsing fever. At that time, the previous clinical record described was 165 cm tall and weighed 64 Kg with vital signs of; Body temperature of 38.8 °C, pulse rate of 102 beats per minute, the respiration rate of 22 breaths per minute, and blood pressure of 110 / 78 mmHg, in the physical examination the clinical record described tenderness in metacarpophalangeal and proximal interphalangeal joints without swollen, and normal vesicular murmur in the upper third of both hemithorax, also fine crackles in two lower thirds in both hemithorax. Chest computed tomography (CT) showed reticulonodular infiltrates and bilateral pulmonary fibrous tracts, ruling out pulmonary fibrosis by biopsy. Immunohematological examinations indicate positive antinuclear antibodies (ANA) (1: 1280, speckled pattern) and negativity of anti-Scl-70 antibodies, anti-DNA antibodies, extractable nuclear antigen (ENA) and anti-neutrophil cytoplasmic antibody (ANCA), with normal C3 and C4 complement levels. Because of the positive ANA titers and the clinical picture, a presumptive diagnosis of undifferentiated connective tissue disease with lung involvement was suspected. So, it is decided to start treatment with prednisolone 25 mg/day and azathioprine 50 mg/day, with partial control of symptoms. When the patient was 40 years old, progressed with dysphagia for solids, with endoscopic evidence of severe oesophageal stenosis treated with pneumatic dilations and a self-expanding stent. She had persistent precordial pain after the procedure, and given the intolerance, treatment was started with prednisone 50 mg/day for one month, and unsuccessful oesophageal stent removal was attempted. Pelvic magnetic resonance imaging (MRI) shows infiltration of material in the subcutaneous cellular tissue bilaterally, with inflammation and reaction to a foreign body, mainly in the right gluteal region, with the participation of fat and ischial muscle fibers and gluteus maximus (Figure 1 A, B).

When the patient was 42-year-old, she weighed 48 Kg, she was hospitalized with signs of malnutrition, tachycardia, cough with mucopurulent expectoration, worsened dyspnea and chest pain, abolished vesicular murmur in left hemithorax and thick rales in the right lung, with limitation in the performance of basic activities of daily living. The patient's vital signs were 37.2 °C, 128 beats per minute, 24 breaths per minute, and 90/60 mmHg. In physical examination, she had induration of the skin of the buttocks with palpable lumps in the upper zone of buttocks, and redness, swelling, and heat without pain on the skin. No signs of lumps migration were detected in the physical examination. In addition, she presented elevation of acute phase reactants (erythrocyte sedimentation rate 120mm/h and C-reactive protein 96.4 g/L), reactive thrombocytosis (593,000/μL), without alterations in renal or hepatic function.
Chest tomography showed consolidation in the lower left lobe, mediastinum with the oesophageal stent, severe partial oesophageal obstruction by a hypodense material in the upper portion, and compressed left main bronchus (Figure 1C). For which the diagnosis of pneumonia was concluded, and vancomycin 1gm/ 12 hours and meropenem 1 g/8 hours were administered for 14 days. Bronchoscopy revealed complete occlusion of the left main bronchus and 70% occlusion of the right main bronchus, the latter occupied by a material not identified then (Figure 2 A, B). Biopsies obtained by bronchoscopy showed abundant reactive vessels and mixed inflammatory infiltrate, predominantly neutrophilic, granulation tissue without evidence of tumor cells, and a single macrophage with scarce amorphous and refractive material inside. In addition, a histopathology exam confirmed the presence of foreign material at the bronchial level and granulomatous reaction (Figure 2 C, D, E, F). Therefore, we considered the patient to have extensive infiltrative inflammatory involvement at the mediastinal and pulmonary levels related to the migration of a biopolymer silicone-related material. Differential diagnoses such as Eosinophilic esophagitis, Crohn's disease, and systemic sclerosis were ruled out with complementary studies, also had elevated levels of IgG, including elevated IgG1, IgG2, and IgG3 subclasses but normal IgG4.

We determined that the patient presented ASIA since she did not meet the criteria for other autoimmune or autoinflammatory diseases and had exposure to an external stimulus derived from silicone (biopolymer), besides having both local and systemic compromise. This is due to induration of the skin of the buttocks, distant inflammatory nodules in the mediastinum, muscle weakness, xerostomia, xerophthalmia, arthralgia in the hands, hypergammaglobulinemia, and findings in the lung biopsy of migration of allogeneic material with a granulomatous reaction (Table 1). Every time that is possible, the allogenic material should be removed. Contrary, at that time, the patient was not a candidate for endoscopic airway management at the level of the left lung or lobectomy without an inadmissible rate of complications. The treatment focused on maintaining the patency of the right bronchial tree. The possibility of esophagectomy with gastric ascent was also considered, probably with interposition of the colon, after nutritional recovery and pulmonary rehabilitation to reduce surgical risks. The excision of the gluteal biopolymers was proposed to avoid continuing migration. Taking into consideration all those mentioned above, given the severity of the systemic inflammatory process secondary to the presence of the filler, a pulse of methylprednisolone was started at a dose of 500 mg/day for three days, with long-term maintenance immunomodulatory therapy conformed for prednisolone 15 mg/day, cyclosporine 50 mg/day, chloroquine 250 mg/day and colchicine 0.5 mg/day.
After two weeks of treatment described above, the patient reports less intensity of chest pain, and supplemental oxygen suspension was achieved. A new chest CT (Figure 1D) Allowed to view improvement in the obstruction of the left main bronchus and changes in the ipsilateral lower lobe lung parenchyma and decreased oesophageal obstruction at this level. In upper digestive endoscopic control and fiberoptic bronchoscopy, there is a partial recovery of oesophageal and left main bronchus patency. Given the good response to treatment with multiple immunomodulators, the cyclosporine dose was increased to 50 mg every 12 hours. During her progression, the patient developed a new pneumonia that improved with piperacillin/tazobactam 3.375 g/6 hours for ten days. Unfortunately, there was no possibility of surgically treating the oesophageal and pulmonary involvement or the multiple foci of biopolymers in the buttocks. In view of the immunosuppression with a high risk of infections, complications, and death was impossible to perform surgical procedures, but she survived and his condition improved thanks to the treatment received.
A therapeutic follow-up was carried out three months after hospital discharge, finding that the patient weighed 51 kg; in this follow-up, the patient expressed her impression of this complex case and spoke about the need for public education campaigns where the danger of cosmetic surgery in unauthorized places is exposed. Likewise, she has assisted groups of patients in presenting their cases and helped to prevent other people from ending up in similar situations. Her general impression is gratitude to the medical staff and hopes for recovery with physical therapy and continuing the prescribed medications. During clinical follow-up, dyspnea and dysphagia persist, but the patient reports less intensity of symptoms compared to the start of hospitalization; she continues with prednisolone 15 mg/day, cyclosporine 50 mg/day, chloroquine 250 mg/day, and colchicine 0.5 mg/day, and it is intended to decrease prednisolone 10mg/day according to patient tolerance.
Consent
Written informed consent was obtained from the patient to publish this case report and accompanying images.
Discussion
ASIA is an expression of the influence of external elements on the pathogenesis and prognosis of autoimmune and autoinflammatory diseases 1. In silicone implant cases, the relationship with the development of autoimmune and autoinflammatory diseases is reported but not all clear 11. An increasing number of reports describe an association between events leading to the pathophysiology of ASIA with histopathological changes, as described in this case report 2,3.
We report a case of severe pulmonary and mediastinal inflammatory compromise secondary to the migration of a biopolymer-type allogeneic material from its implant in the gluteal region. The patient was classified as ASIA diagnosis since she met three major and one minor criteria (Table 1), and she does not fully meet the classification criteria for another systemic autoimmune disease due to the patient did not have kidney dysfunction, serositis, vascular compromise, leukopenia, autoimmune hemolysis, or oesophageal dysmotility. The patient had high ANA titer without another autoantibody suggestive of another autoimmune disease. All findings could explain by the allogenic material, such as the oesophageal and left main bronchus obstruction that was the main problem in the patient 1,3,7. This same pattern has been described in other reviews, in which 11% of patients only described nonspecific symptoms, a finding that does not rule out the possibility of disease occurrence up to 15 years after exposure to the adjuvant 4.
The relevance of this case is based on several facts: inadequate response to management with systemic steroids, inability to the eliminate adjuvants with high surgical risk given the nutritional deficit, deterioration in lung function and extrinsic mediastinal involvement, situations related to ASIA, limiting the therapeutic options. There is relatively little quality information available for diagnosing and screening patients with ASIA, and there is even more limited knowledge about severe cases with systemic compromise and risk of death 11,12. Although the diagnostic criteria for the suspicion of ASIA are documented, they have high sensitivity and low specificity, thus limiting the specific characterization of patients, making it difficult to establish treatment protocols according to their presentation.
In Latin American countries, especially in Colombia, Brazil, and Venezuela, there may be a high prevalence of silicone-related ASIA. An example is a study conducted in Venezuela. A reevaluation of 82 patients with previous complications associated with injectable dermal fillers showed that six years after a "successful" treatment of their signs and symptoms, more than a third showed reactivation of symptoms, and 29% had systemic manifestations compatible with ASIA 13.
Biopolymers are recommended to fill small areas such as wrinkles or scars. However, some Latin American countries use those materials in quantities much higher for buttocks and breast enlargement in illegal establishments, which can generate severe complications rarely documented on other continents 14. However, with the increase in the number of esthetic procedures worldwide, cases of severe ASIA may become more common everywhere, and cases with severe compromise and migration of allogeneic would be more probable. Therefore, it is so essential the report representative cases like this.
There is no adequate information regarding the treatment of severe cases, and the removal of the allogenic material is always suggested. However, this is the first reported case of ASIA with severe compromise and migration to the esophagus and left main bronchus with obstructive effects and the impossibility of surgical treatment.
There is no treatment guideline indicating the process to follow once a patient is considered to meet the criteria for ASIA or a treatment guideline that can be applied to patients with severe compromise due to mechanical complications produced by the migration of the allogenic material 11,12. It is speculated that the migration pathways of the allogeneic material in this patient are two main pathways; the first may be the hematogenous pathway, which may be due to angiogenesis in the area of injection of allogeneic material stimulated by chronic inflammation. In addition, the local immune response and mechanical events typical of the mass effect in the buttocks can destroy the integrity of the blood vessel wall in the area and cause allogeneic material to escape into the lumen of the blood vessel. Once in the bloodstream, it can migrate to different sites, such as the pulmonary capillaries, producing microemboli and a local inflammatory reaction that could result in fibrosis. All these changes of hematogenous dissemination would be like those in fatty emboli in a hip fracture, for example, or how the dissemination and embolism of amniotic fluid occur in pregnant women. On the other hand, it is speculated that the other significant form of distant migration of allogeneic material is migration via the lymphatic vessels, which could occur through the process of antigenic presentation in which cells such as macrophages or plasmacytoid dendritic cells take part of the strange material through phagocytosis and process it to present it and activate lymphocytes to establish an increased and more specific cellular response in order to control the invader or encapsulate it as is done with tuberculosis for example, however it is considered that the mechanical stimulus and the constant degradation of the allogeneic material causes this process to occur over and over again, causing enormous amounts of cells loaded with foreign material to migrate repeatedly through the lymphatic vessels, causing it to accumulate progressively over the years in areas with high lymphatic concentration such as the right lymphatic duct, and more importantly the thoracic duct, this last theory would fully explain the development of systemic autoimmunity in this patient and mechanical compromise in the left main bronchus and the adjacent area. Furthermore, the hematogenous spread may explain the pulmonary interstitial findings in the patient's CT chest study.
This case report not only highlights the complications that may be associated with the irresponsible use of biopolymers but also because it raises an ethical question, as there is no strong evidence or prospective studies that indicate that once there is a severe manifestation of ASIA, remotion of the allogenic material is truly useful and justifies taking on the associated surgical risk 11. Some publications successfully report treatments with different immunomodulatory medications, such as high prednisone doses, hydroxychloroquine, colchicine, cyclosporine, and cyclophosphamide. Although standard treatment does not exist, there is consensus in the evidence that in severe cases, systematic treatment should be given 2,4,11.
The medication administered in this case represent a novel alternative to severe ASIA presentation with mechanical compromise and impossibility to remove the allogenic material, and medical treatment with multi-objective therapy is proposed based on the literature review and our own experience that could be useful in patients with severe systemic involvement. However, long-term immunomodulatory treatment complications should be considered, balancing risk/benefit and individualizing each patient.
Conclusion
ASIA is a recently documented entity with few specific criteria. It has a few publications describing the epidemiological characteristics of susceptible patients, and no published information acknowledges standard treatment. Population studies are needed to identify the best treatment options. Cases like this can raise awareness among health personnel and patients about the indiscriminate use of allogenic materials for esthetic purposes.
References
Shoenfeld Y, Agmon-Levin N. “ASIA” - Autoimmune/inflammatory syndrome induced by adjuvants. J Autoimmun. 2011; 36(1): 4.8, doi: 10.1016/j.jaut.2010.07.003.
Vera-Lastra O, Medina G, Cruz-Dominguez MDP, Jara LJ, Shoenfeld Y. Autoimmune/inflammatory syndrome induced by adjuvants (Shoenfeld´s syndrome): Clinical and immunological spectrum. Expert Rev Clin Immunol. 2013; 9(4): 361-73. Doi: 10.1586/eci.13.2.
Perricone C, Colafrancesco S, Mazor RD, Soriano A, Agmon-Levin N, Shoenfeld Y. Autoimmune/inflammatory syndrome induced by adjuvants (ASIA) 2013: Unveiling the pathogenic, clinical and diagnostic aspects. J Autoimmun. 2013; 47: 1-16. Doi: 10.1016/j.jaut.2013.10.004.
Gutierrez-Gonzalez LA, Párraga deZB, Pérez-Alfonzo R. Psoriatic arthritis post biopolymer injection. Rev Latinoam Psoriasis Artritis Psoriásica. 2012; 6: 41-8.
Watad A, Rosenberg V, Tiosano S, Tervaert JWC, Yavne Y, Shoenfeld Y, et al. Silicone breast implants and the risk of autoimmune/rheumatic disorders: A real-world analysis. Int J Epidemiol. 2018; 47(6): 1846-54. Doi: 10.1093/ije/dyy217.
Watad A, Bragazzi NL, McGonagle D, Adawi M, Bridgewood C, Damiani G, et al. Autoimmune/inflammatory syndrome induced by adjuvants (ASIA) demonstrates distinct autoimmune and autoinflammatory disease associations according to the adjuvant subtype: Insights from an analysis of 500 cases. Clin Immunol. 2019; 203: 1-8. Doi: 10.1016/j.clim.2019.03.007.
Alijotas-Reig J. Human adjuvant-related syndrome or autoimmune/inflammatory syndrome induced by adjuvants. Where have we come from? Where are we going? A proposal for new diagnostic criteria. Lupus. 2015; 24(10): 1012-8. Doi: 10.1177/0961203315579092.
Soriano A, Butnaru D, Shoenfeld Y. Long-term inflammatory conditions following silicone exposure: The expanding spectrum of the autoimmune/inflammatory syndrome induced by adjuvants (ASIA). Clin Exp Rheumatol. 2014; 32(2): 151-4.
Janowsky E, Kupper L, Hulka B. Meta-analyses of the relation between silicone breast implants and the risk of connective-tissue diseases. N Engl J Med. 2000; 342(11): 781-90. Doi: 10.1056/nejm200003163421105.
Brown SL, Pennello G, Berg WA, Soo MS, Middleton MS. Silicone gel breast implant rupture, extracapsular silicone, and health status in a population of women. J Rheumatol. 2001; 28(5): 996-1003.
Pavlov-Dolijanovic S, Vujasinovic Stupar N. Women with silicone breast implants and autoimmune inflammatory syndrome induced by adjuvants: description of three patients and a critical review of the literature. Rheumatol Int. 2017; 37(8): 1405-11. Doi: 10.1007/s00296-017-3731-4.
Maijers MC, de Blok CJM, Niessen FB, van der Veldt AAM, Ritt MJPF, Winters HAH, et al. Women with silicone breast implants and unexplained systemic symptoms: A descriptive cohort study. Neth J Med. 2014; 71(10): 534-40.
González-Rendón MG, Larrazábal A, Suárez Á, Gutiérrez C, Ortiz-Cáceres W, de Waard JH, Pérez-Alfonzo Rl. Síndrome autoinmune/autoinflamatorio inducido por adyuvantes (ASIA) en pacientes dermatológicas a los cinco años posteriores a la colocación de material de relleno con fines cosméticos. Med Cutan Iber Lat Am. 2019; 47(1): 34-38.
Ricaurte AI, Castaño DA, Castro JA, De Paz DA, Echeverry DA. Alogenosis Iatrogénica vs Alogenosis Secundaria en Cali. A propósito de 12 casos. Colombia Forense. 2016; 3(2): 63-74. Doi: 10.16925/cf.v3i2.1778.
Conflict of interest declaration