Resumo: Neste artigo, escolhi o método autoetnográfico para narrar um processo pós-operatório que mudou minha vida. Compilei uma série de emoções, impressões, poemas e documentos coletados durante cerca de dois anos de recuperação. Ao fazer isso, tentei expandir a discussão e desafiar a noção do modelo médico acerca de um corpo “curado/fixo”, e até a ideia capacitista sobre o que seria um corpo “normal/ativo”. Este artigo almejou responder a questões como ‘o que significa ser um corpo deficiente em recuperação?’;‘Como o corpo deficiente deveria ser representado?’; e, antes que alguém possa perguntar, ‘o que aconteceu com você?’, eu busquei uma possível narrativa sobre mim, uma perspectiva centrada no paciente. O artigo está dividido em quatro partes, a saber: 1) ‘Aperto de mãos com Dr. Q’ - introdução; 2) ‘O que está acontecendo?’ - diagnóstico médico e suas especificidades; 3) Cura por meio de palavras - processo pós-operatório; e, na sequência, os meus 4) Pensamentos finais. Escrever como pesquisador na interseção entre o pessoal e o acadêmico foi uma decisão combinada da mente e um movimento do coração. Esse modo de escrever é sempre uma linha tênue a ser cruzada, mas com implicações frutíferas tanto para o campo dos estudos da deficiência quanto para a comunidade dos ‘não-deficientes’.
Palavras-chave: autoetnografiaautoetnografia,poesiapoesia,deficiênciadeficiência,estudos da deficiênciaestudos da deficiência,pensamento críticopensamento crítico.
Abstract: In this paper, I have chosen the auto-ethnographic method to narrate a life-changing post-surgery process, compiling a range of emotions, impressions, poems, and documents collected over the last two years of a significant recovery. In doing so, I attempt to expand the discussion and challenge the medical model notion of a ‘cured/fixed’ body, even the ableist idea of a ‘normal/active’ body. This paper aims to answer questions like ‘what does it mean to be a disabled body in recovery?’ ‘How should the disabled body be represented?’ And before someone can ask, ‘What happened to you?’ I will answer, controlling the narrative about me by giving a patient-process perspective. The paper is divided into four parts 1) ‘Our handshake’ - the introduction; 2) ‘What is going on?’ - The illness and medical technicalities; 3) Recovering through words - The after-surgery process, and; 4) Final thoughts - always an ongoing process. It was a concerted decision of the mind and a move from the heart to write as a researcher at the intersection between the personal and academic; it is always a blurred line to cross, but one with fruitful implications for the ‘not-disabled’ and Disability Studies community.
Keywords: autoethnography, poetry, disability, disability studies, critical thinking.
Resumen: En este artículo, elegí el método autoetnográfico para narrar un proceso posoperatorio que cambió mi vida, recopilé una serie de emociones, impresiones, poemas y documentos recopilados durante aproximadamente dos años de recuperación. Al hacerlo, traté de expandir la discusión y desafiar la noción del modelo médico de un cuerpo “curado / fijo”, e incluso la idea capacitiva de lo que sería un cuerpo “normal / activo”. Este artículo tenía como objetivo responder preguntas como ‘¿qué significa ser un cuerpo discapacitado en recuperación? “¿Cómo debería representarse el cuerpo discapacitado? Y antes de que alguien pueda preguntar: ‘¿Qué me pasó?’, Busqué una posible narrativa sobre mí, una perspectiva centrada en el paciente. El artículo se divide en cuatro partes, a saber: 1) “Apretón de manos con el Dr. Q”: introducción; 2) “¿Qué está pasando?”: Diagnóstico médico y sus especificidades; 3) Curación a través de palabras - proceso postoperatorio; y luego mis 4) Pensamientos finales. Escribir como investigador en la intersección de lo personal y lo académico fue una decisión combinada de la mente y un movimiento del corazón; Esta forma de escribir es siempre una línea muy fina que cruzar, pero con implicaciones fructíferas tanto para el campo de los estudios de la discapacidad como para la comunidad “no discapacitada”.
Palabras clave: autoetnografía, poesía, discapacidad, estudios de la discapacidad, pensamiento crítico.
DOSSIÊ
Permita-me falar mais alto do que minhas cicatrizes
Allow me to speak louder than my scars
Déjame hablar más fuerte que mis cicatrices
Recepção: 05 Fevereiro 2021
Aprovação: 23 Junho 2021
É uma tarefa longa, árdua e cansativa escrever porque, no dia 27 de novembro de 2018, a transposição do nervo ulnar de meu braço direito foi feita, e ainda não sinto meu cotovelo direito, acho que nunca mais sentirei1. Enquanto escrevia o rascunho deste texto, estava reaprendendo a digitar e, até mesmo, ditando enquanto os meus dedos não respondiam como eu esperava. No entanto, não há outra saída, pois, escrever é meu melhor remédio, combinar letras e emoções é minha terapia.
Como muitas pessoas com deficiência que tentam escrever a sua própria história, comecei de uma posição marginal e atrasada. Não conhecia o meu papel no cenário da deficiência antes de entrar como pesquisador nesse campo. Eu aprendo fazendo.
O acesso ao sistema de saúde norte-americano se deu por acaso, ou, melhor dizendo, por necessidade. Com poucos recursos financeiros, recorri à emergência do hospital Bellevue, um dos equipamentos da cidade de Nova Iorque indicado para imigrantes. Consegui assistência médica após comprovar minha situação específica, qual seja, estava desempregado, possuía visto permanente (green card) e cadastro no seguro social (social security). Aos poucos, fui aprendendo na prática sobre o Medicaid, que atende cerca de 74,2 milhões de norte-americanos de baixa renda, dentre crianças, mulheres grávidas, idosos e pessoas com deficiência (Gov. EUA, 2021).
Tal qual Fabiene Gama (2020), em A autoetnografia como método criativo, eu me via em um lugar de estranhamento, já que me recuperava em terras estrangeiras e escrevia a primeira versão deste artigo em língua estrangeira. Eu tentava, ao mesmo tempo, me entender e me explicar. Eu vivia um universo estranho e familiar.
E como eu me representaria? Como eu me mostraria? Michael Bérubé, em seu trabalho Representation (2015), declara que o interesse central dos Estudos da Deficiência não é apenas a análise de imagens específicas de deficiência, mas também a investigação mais ampla de quais limitações particulares foram simbolizadas e consideradas. As críticas à representação dentro dos Estudos da Deficiência, seja no espectro político, seja no estético, fornecem uma base convincente para reinterpretar formas de enxergar, mesmo para aqueles que não sabem ler ou não podem ver.
Observando o trabalho de Martin Norden e Rosemarie Garland-Thomson, os padrões de longa data na representação da deficiência são entendidos como a criação coletiva de um cinema de isolamento (Norden, 1994) ou de modos visuais tais como o assombroso, o sentimental, o exótico e o realista - não somente por ser o mais mimeticamente preciso, mas por ser o modo de representação menos estigmatizante (Garland-Thomson, 2002).
Como Thomas Couser (2005) em Disability, Life Narrative, and Representation observa, a autobiografia da deficiência deve ser vista, então, não como uma ‘auto-expressão’ natural, mas como reconhecimento - na verdade, uma resposta - à geralmente inadequada representação da deficiência no ocidente. Um dos fardos sociais da deficiência é que ela expõe corpos a interrogatórios, inspeções interpretações e violação da privacidade.
Em Signifying Bodies (2009), Thomas Courser aponta que a responsabilidade da escrita da vida é desfazer e/ou substituir representações anteriores: oferecer contra-representações convincentes. O desafio é fazer isso sem usar as retóricas em circulação que reforcem o estigma ou a condescendência. As narrativas autobiográficas são essenciais na história das pessoas com deficiência, mas estão longe de ser uma situação descomplicada. Infelizmente, ele aponta que alguns livros de memórias parecem, em vez disso, oferecer uma (falsa) segurança aos não-deficientes, reforçando seu bom senso sobre questões de deficiência. Algumas retóricas mais comuns nos livros de memórias ‘da deficiência’ seriam a retórica do triunfo, a retórica da ficção gótica, a narrativa da restituição, a retórica da compensação espiritual, a estória do debutar e a narrativa da emancipação.
A retórica do triunfo ocorre quando a protagonista escapa da deficiência. O evento parece ser bom para a pessoa, mas o estigma da doença continua imune. A ficção gótica (‘terror’, na cultura popular) joga abertamente com o medo da deficiência. Assim como as narrativas de superação, as narrativas góticas têm enredos cômicos: o narrador pode imbuir uma deficiência adquirida de horror precisamente porque se escapou dela. A narrativa da restituição acontece quando uma doença é curada ou uma deficiência, corrigida. Em tais cenários, o narrador pode se dar ao luxo de se orgulhar de sua libertação da terrível condição. A retórica da compensação espiritual, ao mesmo tempo, reverte a aplicabilidade comum da deficiência e torna o corpo defeituoso como o sinal da graça, e não do pecado. Contudo, não dissocia a deficiência da moralidade, o corpo da alma, removendo o estigma do indivíduo e deixando-o no lugar reservado à condição da deficiência. A estória do debutar, com efeito, expõe a arbitrariedade do estigma ao afirmar a circunstância a que o corpo deficiente está vinculado. Outro padrão contra-discursivo é a narrativa da emancipação. Aqui, sair da condição é literal, ao invés de figurativo, como em (des)institucionalizar.
A noção de que as palavras falham para muitos grupos de pessoas, decepcionam até os estudiosos, encontram-se nas obras de Stacy Jones (2005); Craig Gingrich-Philbrook (2005); Ana Banks e Stephen Banks (2000); Sandra Ragan (2000); e Ronald Pelias (1997). Relacionam-se com o poder de nomear, e essa linguagem é, de fato, fundamental. Existe um certo imaginário nas supracitadas Autoetnografias e análises de Autoetnografias de que a palavra que o etnógrafo possui é insuficiente para expressar seus sentimentos, seus pensamentos e suas ideias.
Autoetnografia, para Haynes, é um gênero autobiográfico de escrita e pesquisa que incorpora várias camadas de consciência ao conectar o pessoal ao social, ao cultural, e, “como tal, este método oferece uma janela única por meio da qual o mundo externo é compreendido” (Morella, p.29).
Nesta autoinvestigação, concentro-me especificamente nas formas analíticas e evocativas da Autoetnografia para reconstruir minhas experiências. Tal como Gustavo Raimondi (2017), lutei para que meu caminho acadêmico fosse “como trilhos, e não como trilhas, aprendi a seguir caminhos “seguros” para assim não deixar os vagões de minha existência descarrilharem na trilha da vida acadêmica” (p.66). O caminho autoetnográfico, para Raimondi, não é um caminhar solitário e egoísta, mas relacional, visto que problematiza as representações da cultura ao localizar a experiência individual em diálogo. Aqui adiciono sobre o meu caminho, que se iniciou de um convite, de uma provocação.
É uma abordagem metodológica para a pesquisa e um gênero de escrita no qual o investigador é o foco da pesquisa reflexiva. No entanto, o self do pesquisador é inevitavelmente vivenciado e posicionado dentro de um contexto social; portanto, essa perspectiva também aborda, em graus variáveis, os ambientes sociais, culturais e políticos mais amplos com os quais o pesquisador interage. A Autoetnografia para Kathryn Haynes (2018) permite ao próprio pesquisador formar um sujeito de investigação vivido dentro de um contexto social particular.
A experiência de ser ‘deficiente’, como aponta Dana Morella, “carece de palavras próprias para descrevê-la” (2008, p.33). Palavras como frustração, complicado, inconsistente, desamparado, abnegação, legitimidade, regular e normal têm significados e alcances extensos. O conceito do que é normal varia significativamente de um indivíduo para outro, mas, quando o equilíbrio é afetado, fica claro que houve uma ruptura com o que é considerado normal para o indivíduo, o que pode causar dor e sofrimento.
Esses momentos de desequilíbrio foram cruciais para o meu crescimento pessoal. A partir desses momentos, percebi que, embora tenha lutado contra o meu normal/natural para ser o seu normal/natural, eu sou uma pessoa única. Ao enfrentar essa batalha da escrita, aqui, na frente da tela desse computador, congelo. As palavras também me faltam com frequência. Então, aqui eu me atenho ao meu direito de escrever sobre minha vida antes que alguém pergunte, “o que aconteceu com você”? Pergunta que escuto desde a infância.
Uma questão acerca do meu direito de fala: falar sobre a recuperação de uma cirurgia traumática, enquanto tento superar o senso comum de que os corpos deficientes podem ter sucesso como os não-deficientes se tiverem coragem suficiente. Muito pelo contrário, é muito mais complicado do que apenas ter vontade.
Estou ciente da representação tradicional da deficiência e de suas implicações. O assunto do corpo deficiente ainda é limitado às suas dificuldades, e não às suas possibilidades. Tal ideia reforça respostas comuns em relação às pessoas com deficiência: aversão e pena, em que a existência e a subjetividade humana são restritas à qualidade de ser capaz e, a partir de então, ser e fazer - a meu ver, o marco teórico principal do capacitismo.
Isso é algo que vem sendo descontruído pela aliança Crip Theory e Queer Theory (Mcruer, 2002, 2006; Kafer, 2003, 2013). Nesse sentido, o foco e a análise da normalidade (normalcy) indicam um movimento crítico análogo entre teoria queer, ativismo deficiente e Estudos da Deficiência (Mello e Gavério, 2017).
O que estou propondo neste texto também é uma contra-narrativa. Uma forma que poderia ser identificada no ideário de ‘memórias de corpos concomitantemente anormais e comuns’, ou, nas palavras de Thomas Couser,em Signifying Bodies:
In2 a culture such as ours, which is at once fixated on and dismissive of bodies, narratives of anomalous somatic conditions offer an important, if not unique, point of entry for inquiry into the responsibilities of contemporary citizenship. (2009, p. 15).
Embora eu corrobore para essa ideia, vou mais longe, na medida em que as palavras me compelem ao exercer poético de minha liberdade de expressão.
Descrevi minha história recente em um estilo emotivo, mas, ao mesmo tempo, academicamente aceitável, após navegar entre duzentas e dezoito páginas de registros médicos, sendo elas as palavras de um cirurgião ortopédico, de dois anestesistas e de meu clínico geral (primare care provider). Em outras palavras, tentei decifrar o vocabulário e a gramática contidos nos testes pré-operatórios, nas avaliações cardíacas, nos resultados dos exames, enfim, em toda aquela “papelada” do hospital. Eu decidi concentrar-me nos detalhes técnicos da cirurgia em meu pescoço e no revelar de meus mecanismos de enfrentamento. Utilizei-me de minha gramática e de meus jargões nos meus relatos poéticos.

Esta viagem de volta a um passado recente começa com um ritual simbólico e memorável para mim: o aperto de mão. Como antropólogo, gosto muito de rituais, e esse específico funciona quase que como a máquina do tempo DeLorean, o carro em De volta para o futuro. A partir de então, é uma corrida contra o tempo para consertar as coisas. Ao contrário do filme, não quero mudar de rumo, embora gostaria. O ponto principal dessa metáfora é mostrar como essa estória começa mostrando o final dela.
Dr. Q mencionou, em consulta no dia 9 de outubro de 2018, que “senti as suas mãos, mas não apertamos nossas mãos de fato.” Ele estava me lembrando do nosso primeiro encontro em 14 de setembro de 2017. Sua voz calorosa e amigável tentou me acalmar enquanto me apresentava a um mundo de extremo medo e incertezas. “Quando você apertou minha mão no ano passado, tive a sensação de que você estava muito mal, você pode não ter percebido, mas não apertou minha mão de verdade”. Como isso poderia ser possível? Eu apertei a mão dele!
Afinal, o que é um aperto de mão? Geralmente um aperto de mão é dado por duas pessoas em uma saudação ou despedida. Na comunicação por telefone, handshaking é a troca de informações entre dois modems e também é o protocolo resultante que precede cada conexão telefônica. É possível ouvir o aperto de mão naqueles sons de trituração quando fazíamos uma chamada telefônica do nosso computador. Para haver um aperto de mão, duas premissas são necessárias: 1) mais de uma pessoa se comunicando; e 2) comunicação retroativa para estabelecer o processo de comunicação.
Então, em 14 de setembro de 2017, conheci o Dr. Q e, aparentemente, apertamos as nossas mãos. Naquela época, eu estava sofrendo de uma dor incrível nas costas, dormência de meu braço direito e minha perna esquerda não respondia bem aos meus comandos, isso desde o último semestre do meu doutorado em Ciências Sociais na PUC-SP. Já no último semestre, no final de 2017, após mais de seis meses, percebi o quão grave era a minha situação de saúde.
As regras para dizer ‘oi’, ou outras formas de saudação ou chamamento, variam muito em lugares diferentes, especialmente quando se viaja para longe de casa, e tais convenções podem ser bastante complexas. A saudação mais conhecida no planeta é o aperto de mão - o que também pode ser um pouco confuso, pois o aperto de mão tem significado diferente de lugar para lugar. Um aperto de mão rápido e firme é a norma em algumas partes do norte da Europa. No entanto, em partes da América Central, da América do Sul e do Sul da Europa, os apertos de mão parecem ser menos firmes e mais longos, com a mão esquerda geralmente tocando as mãos entrelaçadas ou o cotovelo. Normalmente, ao fazer negócios, é recomendável ter um aperto firme e constante ao se apertar as mãos - o que nem sempre é sábio, dependendo de onde os negócios são feitos.
Por exemplo, em alguns países, apertos de mão firmes são vistos como rudes e um sinal de agressão. Em lugares como África Ocidental; China; Oriente Médio; Norte, Sul e Oeste da África e América do Sul, os apertos de mão são geralmente mais leves e duram muito mais do que nos outros países ocidentais. Quanto tempo seria o ideal para manter-se em um aperto de mão? É preciso sentir a dica do outro lado: siga a pista que seu interlocutor está dando e tente não liberar a pressão primeiro, pois isso pode ser considerado falta de educação.
Em países como o Brasil, os apertos de mão geralmente são seguidos de beijo na bochecha, mesmo ao selar acordos e negócios. “O aperto de mão é uma saudação antiga, que começou no século 5 a.C. na Grécia antiga. É o que mostra o rei assírio Salmanasar III ao pressionar a sua própria carne em um governante babilônico ao selar uma aliança (Andrews, 2016). Apertos de mão são explicados várias vezes na Ilíada e na Odisséia, na maioria das vezes, em relação a promessas e demonstrações de confiança. A intenção original de apertar as mãos era mostrar amizade. Na época medieval, os homens que estavam continuamente cobertos por armaduras usavam apertos de mão também para mostrar amizade, bem como para selar a paz.
Voltando ao dia 14 de setembro, você acreditaria que eu senti a mão dele, mas ele não sentiu a minha? Um ano depois, ele mencionava o momento em que pressionou meus dedos, e que ele havia se preocupado; mas decidiu não me dizer nada. É inusitado, já que uma das coisas que mais me incomoda é um aperto de mão fraco, sem vontade. Inúmeras vezes pedi um aperto firme em minha mão. Enquanto o médico me dizia isso, eu via em seu rosto sorridente uma postura alegre em relação a mim. Enquanto ele me explicava, fui teletransportado para aquela cena: o momento do apertar de mãos. ‘Eu senti, eu senti’, minha mente continuava gritando dentro da minha cabeça, como um letreiro em néon: ‘eu senti’.
Em uma conferência comemorativa dos 25 anos do American Disability Rights (ADA), fui convidado a escrever sobre minha história como uma pessoa com deficiência. Eu estava relutante quanto a isso, pois não queria me expor. Após uma semana de reflexão, abracei esta empreitada. Decidi que, depois de ser exposto a histórias fascinantes de pessoas que usavam cadeiras de rodas para visitar lugares distantes, suas experiências me inspiraram a começar a pensar que minha autoetnografia poderia fazer o mesmo por outras pessoas - Looking Back over My Shoulder: Through Disability’s Mirror (Oliveira, 2017). O motivo pelo qual não aceitei prontamente o convite foi muito pessoal. Em minha vida, nunca quis usar minha doença como desculpa para nada. Realmente não gosto do discurso da piedade, nem da narrativa de triunfo.
Depois de todos os desafios que enfrentei, decidi me expor novamente e mostrar como estou superando as adversidades mais uma vez. Mudo meu tom, tentando não cair na retórica do triunfo. Neste ponto, tenho esta página em branco e um cursor piscando; e a pergunta em minha mente me faz pensar o que eu gostaria, ou, melhor dizendo: o quanto eu gostaria de descrever minha experiência para você? Devo dar-lhe os detalhes técnicos? Esse é um dos muitos problemas quando se trabalha com Autoetnografia. Aqui, trago Edgar Morin (2005) para esta conversa. Como ele apontou em seu livro Amor Sabedoria e Poesia:
Se o homo se define apenas como sapiens, é a afetividade que dele se esconde, dissociando-o do que se considera a razão inteligente. Quando voltamos à humanidade, ficamos impressionados com o fato de que o desenvolvimento da inteligência entre os mamíferos (capacidade estratégica de conhecimento e ação) está intimamente relacionado com o desenvolvimento da afetividade. (2005, p.45).
Como pessoa afetuosa que sou, com medo de perder amigos, demorei muito para aceitar, e, mais ainda, para revelar-me pessoa com deficiência. Sempre quero construir vínculos, então, procuro conexões com as pessoas, e só então me sinto capaz de falar sobre minhas cicatrizes. Estou além e acima da minha doença, e ‘ela’ é a única possuída por mim, o que me torna a melhor pessoa para contar como é ser alguém - homem, branco, brasileiro, 38 anos - com Síndrome de Larsen.
Também sou o único a descrever especificamente a minha cura, desde os desafios mais significativos de minha vida até agora. Aqui, o objetivo é demonstrar como comecei a me ver como paciente em um processo de cicatrização que se estende há mais de 39 meses, após duas cirurgias e um procedimento cardíaco - um curso de vida que não desejo para ninguém. A negação e a aceitação de uma deficiência são processos em constante movimento, reflexões incessantes, e, depois dessa cirurgia no pescoço, foi então que enfrentei todas as minhas angústias, medos, muita raiva e a frustração de ser dependente de alguém, novamente. Finalmente, entendi como um ser humano cheio de sonhos deve decidir mudar de curso e tomar para si a sua vida. Essa passagem da minha vida é semelhante à que li no livro do antropólogo Robert Murdoch, The Body Silent, quando ele descreve seu fracasso em continuar ensinando Antropologia e como suas lutas o paralisaram fisicamente, mas não mentalmente. Nesse estágio de imobilidade, procurei amigos e escrever era meu remédio mais amargo e favorito.
Segundo Mitra, a síndrome de Larsen (LS) é uma doença congênita descoberta em 1950 por Larsen e seus associados quando observaram luxações das grandes articulações e anomalias faciais em seis de seus pacientes. LS é uma doença genética rara associada a uma ampla variedade de sintomas diferentes. As características do distúrbio incluem luxações das grandes articulações, malformações esqueléticas e características da face e dos membros distintas da ‘normalidade corporal’ esperada. Tais distinções podem incluir curvatura anormal da coluna, pé torto, baixa estatura e respiração anormal. Mutações no gene FLNB causam a forma clássica da síndrome de Larsen com uma frequência de uma em 100.000 pessoas. A mutação pode ocorrer espontaneamente ou ser herdada como um traço autossômico dominante. Os distúrbios relacionados ao FLNB são um grupo de distúrbios (incluindo a síndrome de Larsen autossômica dominante) que ocorrem devido a mutações no gene Filamin B (FLNB). Este grupo inclui atelosteogênese tipos I e III, displasia bumerangue e síndrome espondilocarpotarsal.
Esses distúrbios são caracterizados por anormalidades esqueléticas que afetam ossos dos braços e dos pés, ossos da coluna (vértebras), luxações articulares e características faciais específicas. Por ser muito complicado descrever, como mencionado acima, o ortopedista que me tratou por 18 anos no Brasil costumava definir minha doença como displasia múltipla generalizada, o que é uma forma suave e direta de dizer que a doença se espalha por todo o meu esqueleto e tecidos esqueléticos. Cada junta do meu corpo tem alguma anomalia ou não funciona ‘normalmente’.
Em 2017, após terminar meu doutorado no Brasil, decidi voltar para os Estados Unidos, pois havia recebido meu visto permanente. E, por dois meses, busquei meu sonho americano, nada mais que uma vida ‘normal’ trabalhando, estudando e curtindo a cidade, que já não era mais acessível. No final de agosto, na terceira semana, justamente em uma tarde de segunda-feira, fui derrubado, o pesadelo americano começara - assim que caí no corredor de entrada de meu apartamento.
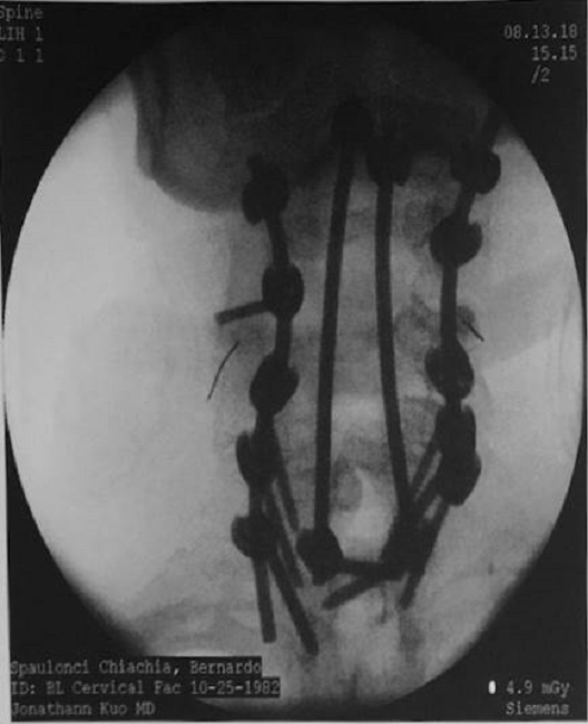
Senti o baque e, com tristeza, percebi que minha perna esquerda não estava se movendo, e isso me deixou perplexo. Frustrado e assustado, procurei socorro, e, após uma semana de ligações, encontrei o Dr. Q, e sua sugestão foi, antes do aperto de mão, que a única forma de sair dessa situação seria uma intervenção cirúrgica. De acordo com os prontuários emitidos em 14 de setembro de 2017, após a obtenção tanto de uma radiografia, de EOS, quanto de tomografia e ressonância magnética, eu apresentava espondiloloptose de C6 com uma quantidade significativa de displasia de ambos C6 com anterolistese até o toque Anterioridade de C7 e T1, com um C7 displásico e uma parte displásica de T1. Era a medula espinhal colidindo significativamente sobre a parte póstero-superior de C7, onde apresenta-se estenose medular significativa neste segmento, tornando-me mielopático.
Eu também tinha o bloco de fusão automática de C1, C2 a C3, conforme registros médicos a seguir:
O paciente tem história de síndrome de Larsen com várias cirurgias anteriores nos membros inferiores. A dor tem sido refratária ao manejo não operatório. Após uma discussão aprofundada dos riscos, benefícios e alternativas, o paciente decidiu prosseguir com a correção cirúrgica. Os riscos foram amplamente discutidos com o paciente, incluindo, mas não se limitando à persistência da dor, agravamento da dor, paresia, paralisia, morte, pseudoartrose, ruptura dural e a necessidade de cirurgia futura. O paciente entendeu os riscos e benefícios e decidiu prosseguir. (Registros médicos # 12274061, p.2).
Então, depois que o Dr Q discutiu meu caso com Dr. T,- o chefe do departamento de cirurgia ortopédica, bem como com vários outros cirurgiões de coluna, ele decidiu fazer o procedimento com uma laminectomia posterior em C5, C6 e C7, permitindo que o cordão fosse coberto posteriormente, possibilitando a descompressão desta área e, então, fundando-o com C2 possivelmente até T3. Como essa operação médica era perigosa e difícil, o diretor de Cirurgia de Deformidade Espinhal do Hospital NYU Langone também foi designado para acompanhar o meu caso. Em outras palavras, a coluna cervical foi unida e fusionada até os ossos do peito, e o procedimento foi feito após uma incisão na nuca. Eles me mantiveram sob sedação por 11 horas. Fiquei no Hospital Ortopédico Langone da NYU por seis dias. Em 10 de outubro, usando um colar cervical, tive alta hospitalar e, em casa, o meu caminho de cura estava prestes a começar.

Após seis dias no hospital, fui andando para casa. Um ‘Eu’ diferente estava em construção. Desde o momento em que o problema na coluna cervical foi diagnosticado pela primeira vez até a minha entrada no hospital, tive uma preocupação crescente em perder mais do que o uso total do pescoço. Perdi uma parte de mim mesmo, não todo o meu ‘Eu’, como pensava. Não era apenas porque as pessoas agiam de maneira diferente comigo. Eu havia mudado em minha mente, minha autoimagem e as condições subjacentes de minha existência se modificaram. Sentia-me sozinho e isolado, apesar do afetuoso apoio da família e de amigos. Algo que entendi após meses de reflexão, meditação e, claro, escrevendo sobre isso. O que o budismo e o espiritualismo sempre me aconselharam fazia sentido agora, minha paz e verdade internas iam se revelando.
Foi uma mudança complexa e drástica. Um ajuste extremo do que eu costumava ser. Aqui me sinto novamente em companhia de Robert Murphy - The Body Silent - quando ele descreve o seu “Eu danificado” após o diagnóstico de um tumor em sua coluna vertebral. No meu caso, vontade e medo eram parcerias constantes. Com o passar do tempo, eu me sentir melhor. Menos dor é igual a mais felicidade e momentos alegres.

Sentimentos que me acompanham desde pequeno, a sensação de ser cuidado, dependente, de não ser livre e de ser impotente voltavam à tona, bem como questões internas, quando serei ‘produtivo’ novamente? Tanto que só parei para desconstruir o meu capacitismo internalizado depois de ler o artigo de Sunaura Taylor - The Right Not to Work: Power and Disability. Sua força e bravura intelectual me deram uma sensação de liberdade e me acalmam até hoje quando o releio. Não posso negar que, hoje em dia, me questiono sobre trabalhar e sobre ser um cidadão ativo. No entanto, não estou desesperado. Aprendo constantemente com a minha dor e a minha mente nunca mais me enganará, assim espero. Agora entendo que existem muitas maneiras de ser ativo, de se capaz. Maneiras estas não restritas pela perspectiva da falta e da limitação.
Desde pequeno gostei de escrever poesias. Com o desenrolar da minha carreira acadêmica, e, mais precisamente, durante o processo de recuperação, percebi que palavras são os meus recursos mais valiosos. As minhas frases compõem o meu caminho e os meus textos traduzem quem e o que ‘Eu’ sou. Agora, tenho poucas dúvidas acerca de minha capacidade. Porém, quando a angústia e o temor voltam, preciso encontrar-me e lembrar-me de alguma forma do sentimento de pertencimento. A poesia, assim como o rap, me convocou para uma nova forma de lidar com as dores. Shawn A. Robinson, em seu artigo ’Me Against the World’: Autoethnographic poetry, mostrou-me uma possibilidade, qual seja, usar minha poesia e minhas técnicas profissionais para contar uma história, uma narrativa, de alguma maneira, acadêmica e emocional. A linguagem não deveria ser uma barreira, pelo menos não agora. E não seria mais.
A seguir, um fragmento textual em comemoração de um ano de cirurgia do pescoço. Neste trecho, expresso minhas emoções em palavras, e, pela primeira vez, meus sentimentos mais profundos sobre as conquistas que, enquanto paciente, ultrapassavam as fronteiras mais íntimas das confidências familiares. Publiquei tal relato em minha conta do Instagram e as respostas me fizeram sentir um ser inteiro, cyborg? Talvez. Definitivamente pertencer além das paredes de meu quarto.
“A vida é engraçada. Em menos de uma semana, você pode subir e descer tão rápido que quase se vomita todo. Imagine um ano disso. Imagine um ano recebendo muitos golpes, tantos golpes que seu estômago dói ao ponto de você não ter mais prazer em comer.
Doendo tanto que você implora para não acordar daquele pesadelo porque tem medo de ficar pior. Então você se acostuma a estar na cama vendo a vida passar por você no teto. Até a próxima visita ao médico, até a próxima medicação, oh, meu Deus. Como eu odeio as injeções no meu pescoço.
Eu tenho um pescoço mecânico, eu poderia ser uma espécie de herói? Eu sou capaz de fazer planos? Devo procurar reduzir a dor? Ou devo procurar a felicidade?
Sim, meu mentor me disse uma vez: ‘tudo em que você acredita com os dentes cerrados, com o coração e os olhos abertos chegará até você. No entanto, você deve confiar e esperar’.
Como eu posso esperar? A vida continua, o relógio está correndo ...
Apenas espere. Como? Sim, você aprende no amor ou na necessidade.
Então, com dor, eu aprendi a ter paciência.
Espero que o meu processo de despertar renove o seu sorriso e lhe dêum pouco de esperança. Cheguei aqui por causa de um poder maior, por uma bênção, uma oração, muitas orações ou por causa de uma probabilidade matemática precisa.
Não importa se você não acredita em Deus, deuses, na força da Natureza ou na Ciência.
É importante você acreditar em algo, também importa se você busca seu desejo, sua verdade interior a qual faz você andar, o brilho nos olhos quando você tem a paixão de viver.
O amor me trouxe de volta à vida.
O amor é a resposta, não importa a pergunta.
O amor é a veracidade da qual somos feitos. O amor não tem cor, sexo, religião, nem pode ser pesado ou comparado a nada menos que o amor. Amor é amor.
E eu te amo, meu amigo, que está lendo isso até agora. Acabo de completar um ano de recuperação. Hoje eu celebro a vida novamente, hoje sou mais forte, obrigado por ter me seguido até aqui.
Vamos andar um pouco mais juntos? Vamos encarar a vida com uma atitude melhor um com o outro? Vamos tentar nos colocar no lugar de outra pessoa? Vamos dar uma chance para a humanidade, para nossa humanidade. Você pode. Eu sei que sim.”
Afogar-me em comprimidos foi uma constante durante os últimos 14 meses de recuperação; o incessante estado mental de ‘sono desperto’ era um modo de espírito estável e acudiu-me nos dias mais sombrios e dolorosos. Embora eu tenha tomado muitas pílulas, foram as palavras, os meus sentimentos em papel ou telas que mantiveram a minha sanidade, trazendo-me um pouco de paz. Simon Brisenden, um filósofo e poeta com deficiência, explica que o modelo médico é o culpado por retratar as pessoas com deficiência como fracas, patéticas e que requerem constante simpatia de indivíduos ‘normais’. Esse modelo apresenta os indivíduos com deficiência como disfunções físicas e intelectuais.
Debora Diniz (2003) comenta que a natureza e a individualidade do corpo deficiente, como um dos pressupostos dos estudos da deficiência, começaram a ser questionados somente após os anos 1990. Até então, o corpo na teoria da deficiência era tomado pelo imperativo da lesão/impedimento - modelo médico. O impedimento (impairment) como a componente biológica e a deficiência (disability) como a consequência social, ou socializada. O modelo social retira radicalmente a causa da deficiência do âmbito corporal de determinados indivíduos (lesionados) e a coloca como resultado de uma organização social opressiva sobre os corpos lesionados, configurando-os e totalizando-os como deficientes. Sem supervisão médica contínua, ultrapassei o modelo médico ao perceber que não era apenas um nome em uma pulseira de identificação hospitalar. Mesmo fraco fisicamente, minha mente ecoava em minha cabeça, e a tela do meu dispositivo celular era minha audiência: “voltarei à minha ‘vida normal’”.
Uma crítica que o modelo social recebe refere-se ao significado que a doença pode receber nos termos de suas consequências, ou o impacto que a doença tem na vida cotidiana e nos relacionamentos de um indivíduo (Bury, 1988). Por exemplo, a deficiência na forma de doença crônica ou dor pode restringir a atividade e a participação na medida em que “a restrição do mundo exterior se torna irrelevante” (Crow,1996, p.209), e a deficiência permanecerá, ou seja, muito pouco teria a ver com as barreiras externas. As pessoas podem estar fisicamente debilitadas e simultaneamente doentes. Mas eu não me sentia nem doente e nem debilitado, já que a dor sempre foi uma constante em minha vida.
Não há vitória sem sofrimento?
Quem disse que não há ganho algum sem dor?
Devem ser os mesmos com bolsos cheios e sem preocupação.
Devo gritar de novo?
E de novo ... Novamente?
Choramingando por todo o chão solenemente.
Eu não vejo saídas.
Eu estou a rastejar na escuridão entre enxurradas de cerveja.
Por favor, leve-me à igreja!
Como eu queria que fosse só uma garoa.
Mas a vida é tempestade após tempestade.
Devo me declarar culpado a quem quer que esteja mandando nesse jogo?
Só então me tornaria humano?
Socorro!
Estou farto de reclamar.
A dor está me sacudindo sem cessar.
Eu não tenho mais coragem para isso.
Não sofro mais.
Eu não choro mais.
Por que não me deixas partir?
O que mais tenho a fazer aqui?
Meu prato está cheio, e eu estou faminto!
Odeio ser um tolo.
Minha vida é uma piscina vazia.
Não!
É uma poça d’água!
Eu estou cansado desse caminhar solitário.
Ai!
Outra dor.
Não termina esse calvário!
Orar?
Outro dia?
Novamente?
Talvez, eu encontre contentamento, talvez eu me acabe em sofrimento… Eu quero me lançar em um trem em movimento.
Nelson Filice de Barros (2016), em As Ciências Sociais na educação médica, ressalta que, no modelo de cuidado biomédico, o fim cedeu lugar ao meio, pois a perspectiva de comparar cada parte para compor a totalidade reduziu-se apenas ao infinito labirinto da decomposição das partes. Para Fernando Ortega (2010), a anatomia e o modelo de corpo-máquina, proposto por Descartes, contribuíram para a compreensão do corpo em terceira pessoa, um corpo-objeto, fragmentado, “algo que se tem”, privando-o de sua dimensão subjetiva. Ivan Illich, em 1985, afirmava, em Nêmesis da medicina, que “a medicina institucionalizada se transformou em uma grande ameaça à saúde. E, ainda pelo autor, “ouvindo isto hoje, eu responderia: e daí? O maior agente patógeno de hoje, acho eu, é a busca de um corpo sadio” (Illich, 1992, p. 24).
Em contraposicão, Simon Brisenden (1986, p.173-174) ressalta que, “para entender a deficiência como uma experiência, como uma coisa viva, precisamos mais do que fatos médicos”. A visão médica é importante, mas muito menos importante do que se pensa atualmente. Nossas experiências devem ser expressas em nossas palavras e integradas na consciência da sociedade dominante, o que os antropólogos chamariam de cultural imprinting.
Muitas vezes fui escravo da vergonha e do medo. O que pensariam ao ler meus fragmentos? Como eles vão me perceber? Estar sozinho me empurrou para minhas memórias mais queridas e mais profundas; minha mente afiada me ajudou durante toda a recuperação. Isso me salvou da insanidade. Mas, e se ser ‘Louco’ for o ‘verdadeiro normal’ neste mundo contemporâneo, e não o contrário?
Memórias
Reescrever estórias. Lembranças.
Reviver esperanças.
Arquivos e papéis; vívidos papéis vivos.
Saudades (...)
Arquivos mortos, lembranças desesperadas; histórias incompletas, memórias vivas.
Amar-te é um; matar é...um… Mate!
Até que bebo…a lembrança, a memória e o arquivo.
Amar-te é um mar de arte.
Fazedora de alarde.
Um reviver memórias.
Um ressuscitar arquivos.
Amor de saudade é um ar de maldade... um esbaforir de crueldade.
Como sugere Goffman (1985), o comportamento é uma performance moldada pelo ambiente e pelo público e construída para fornecer aos outros as impressões que estão em consonância com os objetivos desejados pelo ator. A compreensão ‘d’Eles’ sobre os ‘outros’ - tais como enfermos, disformes, subordinados e desprivilegiados - permite as consequências negativas que se seguem do convívio em uma sociedade, a que me refiro como medicalizada e extremamente ‘capacitista’, que refuta corpos e temporalidades diversas.
Sunaura Taylor (2004) afirma que grande parte do estigma associado às pessoas com deficiência se deve à dependência da pessoa com deficiência, pela qual elas são consideradas fardos (porque não podem ‘funcionar’ como uma pessoa capaz, empreendedoras de si e úteis para o sistema econômico neoliberal normatizado). A pessoa considerada deficiente, quanto mais reprimida, mais fardo se torna. O fato de que muitas pessoas se consideram um fardo para a família e os amigos é real. Isso se deve às poucas e limitadas opções. Quem tenta viver de forma independente, ainda que com a ajuda de entes queridos, muitas vezes acha tal empreendimento quase impossível, porque o Estado não garante os seus direitos e, portanto, o fardo é grande demais para assumir individualmente.
¡¡¡¡¡¡¡¡¡¡¡¡¡¡¡¡¡
Eu sobrevivo a Dor
¡¡¡¡¡¡¡¡¡¡¡¡¡¡¡¡¡ ¡¡¡¡¡¡¡¡¡¡¡¡¡¡¡¡¡
Chuva!!!!!!!!!!!!!!!!!!!Pranto!!!!!!!!!! ¡¡¡¡¡¡¡¡¡¡¡¡¡¡¡¡¡ ¡¡¡¡¡¡¡¡¡¡¡¡¡¡¡¡¡
Nenhum ganho?
¡¡¡¡¡¡¡¡¡¡¡¡¡¡¡¡¡
Reclamo!!!!!
¡¡¡¡¡¡¡¡¡
¡¡¡¡¡¡¡¡¡¡¡¡¡¡Conclamo¡¡¡¡¡¡¡¡¡¡¡¡¡
¡¡¡¡¡¡¡¡¡¡¡¡¡¡¡¡¡¡¡¡¡¡¡¡¡¡¡¡¡¡¡¡¡¡¡¡¡¡¡¡¡¡
¡¡¡¡¡¡¡¡¡¡¡¡¡¡¡¡¡ ¡¡¡¡¡¡¡¡¡¡¡¡¡¡¡¡¡
¡¡¡¡¡¡¡¡¡¡¡¡¡¡¡¡¡
Contente
Eu não tenho correntes Eu sou (d)EFICIENTE
No dia 20 de março de 2018, dia em que retirei o colar cervical, fiquei sem palavras. Lembro-me de ter passado pelo Museu Guggenheim, um dia chuvoso, um vento frio gelando meu rosto e trazendo consigo um pensamento: “o primeiro dia de primavera e estou livre de meu colar cervical.” Eu celebrei sozinho mentalmente. Aquilo me aquecia, estava pensando em voltar a nadar, mas o osso da coluna cervical ainda estava se fundindo e, como um bloco, recriava todo o meu pescoço: “12 meses para terminar a fusão” - dizia Dr. Q. na minha mente. A dor e a insônia seriam as minhas próximas amigas. Felizmente, meus braços estariam melhores quando eu tirasse o colar cervical definitivamente. O próximo compromisso médico seria no dia 19 de junho de 2019, dois anos após minha mudança para Nova Iorque.
Um Toyota Sienna virou rapidamente à nossa direita, quase nos atingindo em cheio no caminho de volta da clínica para minha casa. Dentro do carro, minha cabeça moveu-se tão rapidamente e, mesmo assim, não me arrependi de ter tirado o colar.
Uma súplica de vida
Acabo de pedir para não morrer.
Eu queria sentir-me vivo. Eu pedi para não chorar.
Mas quando eu morri, foi quando me senti vivo.
Eu pedi para não viver uma mentira.
Morrer.
Estremecer.
Chorar.
Eu roguei para ter paz.
E para...não ficar para trás ...
Eu não quis dizer: até mais!
Eu ainda não tinha vivido um desatino.
Eu já lucrei nesse destino?
Quando eu renasci em minha vida.
Desafiei.
Prosperei.
Altivez.
Eu não quis ser mentira em vida...
Orei.
Preso.
Decaído.
Eu almejo vida. Vital… Certo?
Eu pedi para me sentir mortal.
E não para cruzar o portal.
Eu ainda não quero morrer.
Eu não procurei por descansar em paz, quando enunciei minha fala.
É a minha verve que supera e me cala.
Que rufem os tambores!
Envolver-se nesta Autoetnografia foi uma decisão combinada da mente com um movimento corajoso do coração. Como pesquisador que atua na intersecção entre o interesse pessoal e o acadêmico, cruzei uma linha tênue. De um lado, o indivíduo que luta com uma deficiência física ao longo da vida, e, do outro lado, o pesquisador que tenta unir conceitos das ciências sociais e humanas às experiências encarnadas no corpo. Está sempre imaginando um mundo de relações pessoais e econômicas mais inclusivas, equitativas e fortalecedoras.
Você pode dizer que sou um sonhador tal qual John Lenon -‘I’m a dreamer’. Se considerarmos os dados mais recentes do Public Health England Report, de 2021, pessoas com deficiência apresentam chances de 3 a 3,5 vezes maiores de morrer de COVID-19. Somos os que mais morrem e não somos prioridade na imunidade de rebanho, nem rebanho somos. Sim, eu sou mesmo um sonhador.
Diante do crescente acesso aos testes pré-natais e genéticos, bem como do aumento do debate internacional pela legalização do suicídio assistido por médicos e familiares - nota-se que ambos os fatores ameaçam a existência de pessoas com deficiência. Ao meu ver, há uma necessidade urgente de escrever sobre a vida das pessoas com deficiências. Um testemunho enfatizando os seres vivos com deficiência, tão valiosos e excassos.
As estrofes compartilhadas neste artigo ilustram minha tenacidade para caminhar em vida, apesar de minha ‘incapacidade médica’, quase que paralisado fisicamente, mas não mentalmente. É com força que minha história ressoa e motiva as pessoas que lutam por um corpo que ocupa sem culpa, independentemente do desafio, seja ele acadêmico, seja social. A consciência do capacitismo sistêmico e seu constante questionamento é a condição sine qua non para uma mudança cultural que repercuta na vida cotidiana das pessoas com e sem deficiência.
Tentei me expor de uma maneira distinta, mostrando o meu ser ativo e prolífico. Sendo a poesia apenas uma dentre as tantas possibilidades de exposição, conclamo educadores a usá-la como estratégia de envolvimento acadêmico na arte do pesquisar. Os professores poderiam fornecer uma plataforma para que pessoas estigmatizadas como incapazes, deficientes e anormais escrevam seus relatos poéticos, seus diários pessoais e suas ‘vivências’ a fim de prover autodescobertas e lugares de pertencimento. Além disso, esse espaço poético autoetnográfico pode permitir às pessoas com deficiência uma oportunidade para que suas vozes e vidas sejam ouvidas e celebradas - permitindo-lhes falar mais alto do que suas cicatrizes.
Pé torto com orgulho
Eu não fui convidado para o seu clube.
Eu não fui ao seu clube.
Ah. Eu te pego, clube! Tortuosamente,
Pés tortos diariamente, Falanges retorcidas.
A forma enrolada e torcida de meus dedos.
Squirm!
Movimentos contorcidos de meus ossos.
Andar cotoco!
Sim! Aqui nas alturas.
Como você move suas cinturas!
Passos esfarrapados. Rostos estupefatos.
Trajetória desviante.
Essa não é minha pena.
Essa é minha história!
Essa é a minha vitória!
Squirm!
Andador cotoco.
Venha, apenas venha!
Contorcendo e movendo seus ossos.
Contorcendo e movendo seus ossos.
Venha agitando porcas e parafusos. O melhor que pode ser!
Lendo além das falas,
Estou andando sem bengalas.
Andando com dor.
Esse é o meu domínio.
Felicidade e fascínio.
Squirm!
Movimento contorcido de meus ossos.
Andar cotoco.
Esse é o meu reino.
Isso é tão mundano, e tão humano.
Eu não posso reclamar.
E eu só posso conclamar!
Esse é o meu clube. Esse é o meu clube!
Vem!
oliveira.bernardo@gmail.com


