Original article
Masculinization of South American catfish ( Rhamdia quelen ) through dietary administration of 17α-methyltestosterone
Masculinización del pez Liso (Rhamdia quelen) mediante suministro dietario de 17α-metiltestosterona
Masculinização do Jundiá (Rhamdia quelen) através da administração dietética de 17α-metiltestosterona
Masculinization of South American catfish ( Rhamdia quelen ) through dietary administration of 17α-methyltestosterone
Revista Colombiana de Ciencias Pecuarias, vol. 31, no. 4, 2018
Facultad de Ciencias Agrarias, Universidad de Antioquia
Received: 01 September 2016
Accepted: 12 December 2017
Abstract
Background: Production of monosex cultures of females is desirable in commercial aquaculture of certain species due to their higher growth rate. Ideally, females should be free of exogenous hormones. The initial step to produce hormone-free all-female offspring is masculinization of normal females to create sex reversed animals, called neomales, which are then be bred with normal females obtaining all-female offspring.
Objective: To masculinize Rhamdia quelen fry by adding 17α-methyltestosterone (MT) hormone to the feed.
Methods: Larvae of R. quelen were fed diets supplemented with 60, 80, or 100 mg MT/kg feed for 21 days. A control group was fed the same diet free of MT. At 150 days post-hatching, 30 fish of each treatment group were euthanized to evaluate gonadal changes using histological techniques.
Results: MT significantly affected the differentiation of female gonads in the 60 and 80 mg MT/kg feed groups. Sex reversal was observed in all MT treatment groups, with 50, 40, and 20% neomales produced with 60, 80, and 100 mg MT/kg feed, respectively. Intersex gonads were observed only in the masculinization treatment groups. Inhibitory effects on gonadal development of females and males were observed at the highest MT doses. Conclusion: Dietary administration of MT effectively masculinizes R. quelen fry; however, the lowest dose of 60 mg/kg feed is recommended, since higher doses have inhibitory effects on gonadal development in both sexes.
Keywords: histology+ fish gonads+ monosex culture+ neomales+ sex reversal.
Resumen
Antecedentes: Debido a su mayor tasa de crecimiento, la producción de peces femeninos monosexo es deseable en acuicultura comercial de determinadas especies. Idealmente, las hembras deben estar libres de hormonas exógenas. El paso inicial para generar descendencia femenina libre de hormonas es la masculinización de hembras genéticas para producir animales sexualmente revertidos, llamados neomachos, los cuales se aparean luego con hembras genéticas para producir descendencia femenina.
Objetivo: Masculinizar larvas de Rhamdia quelen con 17α-metiltestosterona (MT) incorporada en el alimento.
Métodos: Larvas de R. quelen fueron alimentadas con dietas suplementadas con 60, 80 y 100 mg de MT/kg de alimento durante 21 días. Un grupo control recibió la misma dieta, sin MT. A los 150 días pos-eclosión, 30 peces de cada tratamiento fueron eutanasiados para evaluación gonadal mediante técnicas histológicas.
Resultados: La MT afectó significativamente la diferenciación de las gónadas femeninas en las dosis de 60 y 80 mg MT/kg de alimento. El cambio de sexo se observó en los tratamientos con las dosis de 60, 80 y 100 mg MT/kg alimento, con 50, 40 y 20% de neomachos, respectivamente. En los tratamientos de masculinización se observaron gónadas intersexuales. En las dosis más altas de MT se observó inhibición del desarrollo gonadal de hembras y machos.
Conclusiones: El suministro dietario de MT masculinizó las larvas de R. quelen. Se recomienda usar 60 mg/kg, ya que dosis mayores tienen efectos inhibidores en el desarrollo gonadal para ambos sexos.
Palabras clave: cultivo monosexo, gónadas de peces, histología, neomachos, reversión sexual.
Resumo
Antecedentes: O cultivo monossexo feminino é desejável na aquicultura comercial de determinadas espécies devido à maior taxa de crescimento. Idealmente, as fêmeas devem ser livres de hormônios exógenos. O passo inicial para gerar descendências femininas livres destes hormônios é a masculinização de fêmeas normais para produzir animais revertidos sexualmente, os chamados neomachos. Os neomachos podem então ser cruzados com fêmeas normais para a produção de descendências femininas.
Objetivo: Masculinizar larvas de R. quelen utilizando o hormônio 17α-metiltestosterona (MT) incorporado no alimento.
Métodos: Larvas de R. quelen foram alimentadas com dietas suplementadas com MT nas doses de 60, 80 ou 100 mg/kg de alimento durante 21 dias. Um grupo controle foi alimentado com dieta similar livre de MT. Aos 150 dias pós-eclosão, 30 peixes de cada grupo de tratamento foram eutanasiados para avaliação gonadal através de técnicas histológicas.
Resultados: O uso de MT afetou significativamente a diferenciação das gônadas femininas nas doses 60 e 80 mg/kg de alimento. A reversão sexual foi observada em todos os grupos tratados com MT, gerando 50, 40 e 20% de neomachos nas doses 60, 80 e 100 mg MT/kg de alimento, respectivamente. Gônadas intersexuais foram observadas somente nos tratamentos masculinizantes. Nas maiores doses de MT, efeitos inibitórios de desenvolvimento gonadal foram observados em fêmeas e machos.
Conclusão: A administração dietética de MT efetivamente masculinizou larvas de R. quelen. No entanto, a dose mais baixa de 60 mg/kg de alimento é recomendada devido aos efeitos inibitórios das doses mais elevadas de MT no desenvolvimento gonadal de ambos os sexos.
Palavras-chave: cultivo monossexo, gônadas de peixe, histologia, neomachos, reversão sexual.
Introduction
Production of monosex fish is highly desirable for many species of commercial interest, such as Oreochromis and some salmonids, mainly due to size differences between sexes at maturity or to undesired reproduction during the production cycle (Dunhan, 2004). Monosex fish populations are typically obtained by sex reversal, which can be induced by temperature (Baroiller et al., 1999) or by hormonal administration. Hormones can be applied via the diet, by bath immersion, and injections or implants (Pandian, 2013). Dietary supplementation with hormones is a low-cost method for sex reversal, and is widely used in species with a labile period (period in which sex cells are totipotential) after the first feeding (Pandian, 2013).
However, the use of hormones, such as steroids, is controversial for human and environmental health, and many European countries have banned it for farmed fish (Desprez et al., 2003; El-Sayed, 2006). Consequently, monosex populations may also be induced indirectly by the combined use of hormones and mating strategies. This two-stage method of sex reversal has been implemented for the commercial culture of fish, such as salmonids (Hunter et al., 1983; Feist et al., 1995), to avoid direct application of hormones to species raised for human consumption.
The stages to produce hormone-free female offspring involve using hormones to directly masculinize females, followed by performance tests to identify masculinized females, known as neomales.
Subsequent crosses between neomales and normal females produce offspring that are theoretically 100% female (Donaldson and Devlin, 1996).
Fish farming of Rhamdia quelen, a gonochoristic fish species, has shown steady increases in the South of Brazil during recent years (Silveira et al., 2014), encouraging the development of new technologies to improve productivity (Poli et al., 2015; Garcia et al., 2017). In this species, both sexes present similar growth rates in the early stages from larval-fry to juvenile. However, at the time of harvest, females are larger than males (Fracalossi et al., 2004; Ghiraldelli et al., 2007), thus commercial productivity could be increased by using monosex cultivation of females.
As R. quelen larvae are capable of digesting artificial diets before yolk consumption (Silveira et al., 2013), dietary administration of hormones is a viable method to reverse sex in this species. Here we report on the masculinization of R. quelen adding 17α-methyltestosterone hormone to the diet as a first step toward production of neomales that can be used to produce all-female offspring free of exogenous hormones.
Materials and Methods
Ethical considerations
The study was conducted at the Laboratory of Biology and Cultivation of Freshwater Fish (Departamento de Aquicultura, Universidade Federal de Santa Catarina, Brasil), using experimental procedures approved by the Animal Ethics Committee (Protocol PP00788 - Development of Farming Technology to Native Fish) for the period of October, 2013 to January, 2017. The fish were kept in appropriate conditions throughout the trial period and euthanized with 100 mg/L of eugenol (Iodontosul® Eugenol, Porto Alegre, RS, Brazil) during 5 minutes prior to gonads removal.
Fish
R. quelen larvae were obtained by artificial breeding of wild fish captured in the Uruguay River Basin. A voucher specimen of the species was deposited in the museum at the State University of Londrina (MZUEL 10549), Brazil.
Spawning was induced according to Woynarovich and Horvath (1980), using a pool containing equal volumes of semen from two males and equal volumes of eggs from two females. Fertilized eggs were incubated in a conical cylinder incubator connected to a controlled water recirculation system that supplied water at 24.8 (± 0.35) °C.
Masculinizing test
R. quelen larvae at 2 days post-hatching (DPH), i.e., at the beginning of exogenous feeding, were randomly distributed in circular tanks (60 L) at a density of 6 larvae/L. The tanks were connected to a controlled water recirculation system with 800% replacement rate per day, and the following characteristics (mean ± SD): temperature: 24.80 ± 0.85 °C; pH: 7.77 ± 0.15; electrical conductivity: 242.63 ± 27.69 mS/ cm; dissolved oxygen: 7.54 ± 0.52 mg/L; un-ionized ammonia: 0.17 ± 0.09 mg/L; nitrite: 0.11 ± 0.09 mg/L; total alkalinity: 31.50 ± 5.08 mg/L CaCO3; and total hardness: 152.50 ± 23.95 mg/L CaCO3.
For 21 days, R. quelen larvae were fed to satiation five times per day with artificial diet supplemented with 17α-methyltestosterone (MT) (Sigma, St Louis, MO, USA) at 0 (control), 60, 80, or 100 mg/kg of feed, with three replicates per treatment group.
The MT was incorporated into commercial feed (Guabi® Pirá alevinos 55, Campinas, SP, Brazil) using ethanol evaporation (Shelton et al., 1981). Feed was sieved (0-250, 250-650, and 650-850 µm), individually packed, and refrigerated in preparation to be offered in the first (0-250 µm), second (250-650 µm), and third weeks (650-850 µm) of the masculinizing period. Feed remnants and feces were removed from the experimental units through bottom siphoning prior to the first feeding of each day.
Following the masculinizing period, the water volume of each tank was increased by 40 L to begin the growth phase, during which all fish received a commercial diet free of hormones (Guabi® Pirá 40, Campinas, SP, Brazil) until 150 DPH.
Histological procedures
The effects of the hormone on gonadal differentiation in R. quelen were assessed using histological techniques. Thirty fish from each masculinizing treatment were assessed at 150 DPH. After gonadal removal, the middle third of each gonad was fixed in Karnovsky solution (paraformaldehyde 2.0%, 2.0% glutaraldehyde, and phosphate buffer 0.1 M, pH 7.4) for histological preparation: paraffin embedding, microtome (serial sections 5.0 µm), staining, and slide mounting. Sections of 5.0 µm were stained with hematoxylin/eosin (HE) or Schiff’s periodic acid + iron hematoxylin + Metanil Yellow (MY) (Quintero-Hunter et al., 1991), and observed with a light microscope (LED Leica® DM 3000, Bannockburn, IL, USA).
For those fish with gonads that were too small to separate, the tissue around the most probable location of the gonads was removed and fixed for histological analysis. Ovaries and testes were classified according to Brown-Peterson et al. (2011) and Quagio- Grassiotto et al. (2013).
Statistical analysis
Sex frequencies in the masculinizing test were analyzed by the Fisher exact test at 5.0% significance (Zar, 2010), testing the ratio between males and genotypic females (female with normal gonads + intersex females + females with masculinized gonads) for each masculinizing dose and the control. This test detects whether there is a difference from the balanced 1:1 ratio and the ratio of normal females and neomales (females with masculinized gonads) in each masculinizing treatment.
To assess the effect of the hormone, a one-tailed test was used to check whether the proportion of masculinized females, the intersex fish, and females with female gonads was higher in the masculinizing treatments than in the control. Fish with undifferentiated gonads were excluded from all statistical analyses.
Results
At 150 DPH, fish presented similar growth in all treatments (p>0.05), with mean (± SD) body weight of 10.09 (± 1.70) g and total length of 8.47 (± 4.39) cm.
After histological analysis, gonads were classified as undifferentiated (the presence of the primordial cells did not allow sex identification), female gonads, male gonads, intersex gonads (female and male gonadal tissues were present simultaneously) and masculinized gonads (ovarian lamellae containing exclusively male germ cells characterized the female masculinized gonads of R. quelen neomales).
Histological analysis of gonads
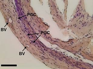
In the undifferentiated gonads, primordial germ cells (PGC) were observed, distributed separately between cells of connective tissue and somatic cells. The primordial germ cells (PGC) presented an elliptical-rounded shape, with less basophils and a bulky nucleus, with some blood vessels (BV) observed nearby (Figure 1).

The gonads of males presented four stages of testicular development: I - immature, II - development, III - able to release semen, and IV - regression (Table 1). Males that showed inhibitory effects on gonadal development were not classified.

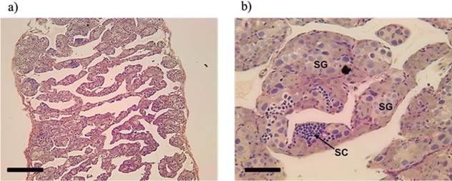
In immature testes, only spermatogonia cords (SC) were observed. However, in some testes the cellular organization of the spermatic duct (COSD) was noted (Figure 2a).
In the development phase, groups of spermatogonia (SG), spermatocytes (SC), and spermatids (ST) were observed in the spermatocysts, which indicated the beginning of spermatogenesis. Some males presented spermatozoa in the lumen of the seminiferous tubules and in the spermatic ducts. The maturation of germ cells occurred from the finger-like projections into the spermatic duct, with the presence of a continuous epithelium along the testicles (Figure 2b).

In males able to release semen, all stages of spermatogenesis were present in spermatocysts (SG, SC, and ST), and the germinal epithelium was continuous on the periphery an discontinuous near the spermatic duct (SD). Sperm was present in the lumen of the seminiferous tubules and in the sperm ducts in large quantities (Figure 2c).
Males in regression were characterized by depleted testes with residual spermatozoa in the lumen of seminiferous tubules and/or spermatic ducts. A simultaneous regeneration of the germinal epithelium was noted, with proliferation of spermatogonia and spermatocysts without spermatozoa release (Figure 2d).
Histological analysis of females showed fish in only two stages of gonadal development: I - immature and II - development (Table 2).

The immature phase was characterized by the presence of oogonia (OO) and oocytes in primary growth (OPG) (pre-vitellogenic oocytes), and by the proximity to the ovarian lamellae (Figure 3a). In the development phase oocytes at several stages of primary growth were present, and also oocytes at the final stage of secondary growth (OSG) and some atretic oocytes (AO) were observed (Figure 3b). This phase was characterized by early vitellogenesis, in which oocytes at various stages (alveolar cortical) and oogonia of secondary growth were present, mainly on the lamellae base.

Histomorphological effects of 17α-methyltestosterone in gonads
The MT hormone produced important histomorphological effects in both sexes, resulting in genotypic females with masculinized gonads (neomales) or with intersex gonads. Higher doses inhibited development of both sexes. None of the fish in the control group presented such changes.
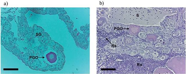
Intersex fish were observed in all groups treated with MT. Intersexual gonads presented ovigerous lamellae containing the male line germ cells together with primary growth oocytes and areas with cellular reabsorption and reorganization (Figures 4a and 4b).


In neomales, gonads with ovarian lamellae containing only the male lineage cells were observed (Figures 5a and 5b).
One female that received 100 mg MT/kg feed treatment showed areas with greater presence of atretic oocytes, areas of reabsorption and cell reorganization similar to ovarian regression, and cytoplasmic breakdown. This suggested an inhibitory effect on gonadal development of this dose (Figure 6a). Two males that received 80 mg MT/kg feed and four that received 100 mg MT/kg feed showed anomalous development of gonads, presenting areas with cells at the very early stages of development and areas where the lumen of the seminiferous tubules and sperm ducts were filled with sperm (Figure 6b).

Masculinizing test
Significant deviation (p<0.05) was observed in the sex ratio in favor of males, both in the control and in groups treated with MT (Table 3). Irrespective of the masculinizing treatment, genotypic females (gonads female + intersex gonads + gonads masculinized) occurred at low frequency (≤ 20%), limiting the number of fish susceptible to sex reversal. However, MT significantly influenced (p<0.05) gonadal differentiation of genotypic females at 60 and 80 mg MT/kg diet (Table 3) compared to the control, with sex reversal occurring at all tested doses.
The percentage of neomales produced from genotypic females (gonads female + intersex gonads + gonads masculinized) that could be masculinized was 50, 40, and 20% from the lowest to the highest MT doses, respectively. However, no significant differences were observed between doses (Table 3).
Discussion
Wild populations of R. quelen present a balanced (1:1) sex ratio (Baldisserotto et al., 2010), however, a higher frequency of males (72% of the analyzed gonads) were found, a condition also recorded by Sulis-Costa et al. (2013) with the same lineage. As the offspring used in this masculinizing trial presented a lower frequency of females, fewer animals were available for the sex reversal process.

Nevertheless, masculinization occurred at all MT doses; with 60 and 80 mg MT/kg feed causing greater influence on gonadal differentiation and producing a larger number of intersex and neomale gonads.
In Oreochromis niloticus, oral administration of 17α-methyltestosterone stimulates sexual maturation from 45 days after hatching (Zanardi et al., 2011). The different stages of gonadal development for R. quelen males (immature to regression) and females (immature and developing) during the same growth period showed that sexual maturation occurred earlier in males, a characteristic condition of species in captivity (Fracalossi et al., 2004; Ghiraldelli et al., 2007).
In undifferentiated R. quelen gonads, which represented 15% of total analyzed gonads, presence of primordial germ cells characterized the germinal epithelium that gives rise to ovarian lamellae or to the seminiferous tubules, delimited ovarian and testicular lumen (Grier and Lo Nostro, 2000; Mazzoni et al., 2010). The presence of fish with undifferentiated gonads at 150 DPH suggests that a longer period would be necessary to express the phenotypic sex of all fish. As fish with undifferentiated gonads also resulted in the control group; no relationship with MT doses was observed.
Genetic sex in fish is defined at the time of fertilization by the combination of the oocyte and sperm genes involved in the sexual determination, but sex phenotypical differentiation occurs later (Piferrer, 2001). At a particular developmental time, specific to each species, a chemical signal originating from a gene or set of genes is sent to the primordial germ cells, the embryological precursors of the ovary and testis, informing the direction in which they must develop (Martínez et al., 2014). In the timeframe prior to the signal, physiological sex can be altered if the animal ingest or absorb anabolic steroids, such as the 17α-methyltestosterone, that directs the expression of primordial germ cells towards a male or female phenotypic expression (Pandian, 2013).
Davis et al. (1990) showed that the effective time for sex reversal was 21 days after the first feeding for channel catfish Ictalurus punctatus. For Tachysurus fulvidraco, the period of sexual differentiation, knownas the labile period in which undifferentiated gonads respond to steroid action (Piferrer, 2001), occurs between 8 and 30 DPH, and is longer in females (Park et al., 2004). In Salvelinus fontinalis, the labile period occurs earlier and is longer compared to most salmonids, which typically exhibit this period between 18 and 28 DPH (Haffray et al., 2009).
As the labile period for R. quelen is unknown, a lower frequency of sex reversed fish could be expected, if among other factors, the period of diet supplemented with MT did not cover the crucial period. However, Amaral Junior et al. (2008) applied the direct sex reversal test at the same time as in this study and reported a 79% ratio of females.
The presence of fish with intersex gonads at all masculinizing doses may be an indication that administration of the hormone did not completely cover the labile period for R. quelen. Conversely, gonads could have been in the process of reversal, so a period longer than 150 DPH would be necessary to complete sex reversal. Intersex gonads can also result from suboptimal or very high MT doses. However, the presence of sterile individuals is usually observed at very high doses (Pandian and Sheela, 1995). Although gonadal intersex has been also observed in males exposed to MT (Kang et al., 2008), in this trial, R. quelen gonads showed that the intersexual tissue derived from female gonads was due to the presence of ovarian lamellae, a condition similar to that reported for Morone saxatilis (Schutz and Harrell, 1999).
Oral administration of MT induced masculinization in R. quelen with reversed fish presenting sizes and condition similar to normal fish at the time of gonad removal. Masculinized gonads showed ovarian lamellae filled with spermatogonia and spermatocytes, or presented exclusively male germline cells. The effectiveness of the tested doses, however, was lower than that found for other species of commercial interest, such as Oreochromis niloticus (Shelton et al., 1981). As fish were 150 DPH at the time of gonad removal, the final morphology of masculinized gonads could be different at the maturation stage, resembling gonads of true males able to release semen.Inhibitory effects on gonadal development may indicate that the MT doses used were very high for R. quelen; however, such changes were also recorded for other species (Ankley et al., 2001; Kang et al., 2008). Rivero-Wendt et al. (2013), using feed supplemented with 60 mg MT/kg feed for 28 days, recorded a marked decrease in spermatogenesis of Astyanax bimaculatus and an abnormal ovarian degeneration of Oreochromis niloticus.
Considering the effectiveness of the MT doses tested and the inhibitory effects on gonadal development caused by higher doses, 60 mg MT/ kg feed is recommended as optimal to masculinize female R. quelen. However, the feeding period of MT should be adjusted to increase the rates of sex reversal. Fish should also be analyzed over a period longer than 150 DPH to ensure that all offspring have completed sexual differentiation and can be properly identified.
References
Amaral Junior H, Nunes MFS, Garcia S. Análise de diferentes dosagens de hormônio na ração, para definição de um protocolo de feminilização do jundiá Rhamdia quelen. Rev Electrón Vet 2008; 25:1-7.
Ankley GT, Jensen KM, Kahl MD, Korte JJ, Makynen EA. Description and evaluation of a short-term reproduction test with the fathead minnow (Pimephales promelas). Environ Toxicol Chem 2001; 20:1276-1290.
Baldisserotto B, Radünz Neto J, Barcellos LG. Jundiá (Rhamdia sp.). In: Baldisseroto B, Gomes LC, editors. Espécies nativas para piscicultura no Brasil. Santa Maria: UFSM; 2010. p.301-333.
Baroiller JF, Guiguen Y, Fostier A. Endocrine and environmental aspects of sex differentiation in fish. Cell Mol Life 1999; 55:910-931.
Brown-Peterson NJ, Wyanski DM, Saborido-Rey F, Macewicz BJ, Lowerre-Barbieri SK. A standardized terminology for describing reproductive development in fishes. Mar Coast Fish Dynam Manag Ecosys Sci 2011; 3:52-70.
Davis KB, Simco BA, Goudie CA, Parker NC, Cauldwell W, Snellgrove R. Hormonal sex manipulation and evidence for female homogamety in channel catfish. Gen Comp Endocrinol 1990; 78:218-223.
Desprez D, Géraz E, Hoareau MC, Mélard C, Bosc P, Baroiller JF. Production of a high percentage of male offspring with a natural androgen, 11h-hydroxyandrostenedione (11hOHA4), in Florida red tilapia. Aquaculture 2003; 216:55-65.
Donaldson EM, Devlin RH. Uses of biotechnology to enhance production. In: Pennell W, Barton BA, editors. Developments in Aquaculture and Fisheries Science: Principles of Salmonid Culture. Amsterdam: Elsevier; 1996. p. 969-1020.
Dunhan RA. Aquaculture and Fisheries Biotechnology: Genetic Approaches. Wallingford: CABI; 2004.
El-sayed AFM. Tilapia culture. Cambridge: CABI Publishing; 2006.
Feist G, Yeoh C, Fitzpatrick MS, Schreck CB. The production of functional sex-reversed male rainbow trout with 17α-methyltestosterone and 11 β-hydroxyandrostenedione. Aquaculture 1995; 13:145-152.
Fracalossi DM, Meyer G, Santamaria FM, Weingartner M, Zaniboni-Filho E. Desempenho do jundiá, Rhamdia quelen, e do dourado, Salminus brasiliensis, em viveiros de terra na região sul do Brasil. Acta Sci Anim Sci 2004; 26:345-352.
Garcia S, Amaral Júnior H, Yasuy GS, Liebl F, Souto LIM, Zaniboni-Filho E. Tetraploidia em Rhamdia quelen (Quoy e Gaimard, 1824) por choque térmico duplo (quente e frio). B Inst Pesca 2017; 43:257-265.
Ghiraldelli L, Machado C, Fracalossi DM, Zaniboni-Filho E. Desenvolvimento gonadal do jundiá, Rhamdia quelen (Teleostei, Siluriformes), em viveiros de terra, na região Sul do Brasil. Acta Sci Biol Sci 2007; 29:349-356.
Grier H, Lo Nostro F. The germinal epithelium in fish gonads: the unifying concept. In: Norberg B, Kjesbu OS, Taranger GL, Andersson E, Stefansson SO, editors. Proceedings of the sixth international symposium on the reproductive physiology of fish. The University of Bergen (Bergen, Norway); 2000. p. 233-236.
Haffray P, Petit V, Guiguen Y, Quillet E, Rault P, Fostier A. Successful production of monosex female brook trout Salvelinus fontinalis using gynogenetic sex reversed males by a combination of methyltestosterone immersion and oral treatments. Aquaculture 2009; 290:47-52.
Hunter GA, Donaldson EM, Stoss J, Baker I. Production of monosex female groups of chinook salmon, Oncorhynchus tshawytscha, by the fertilization of normal ova with sperm from sex reversed females. Aquaculture 1983; 33:335-364.
Kang IJ, Yokota H, Oshima Y, Tsuruda Y, Shimasaki Y, Honjo T. The effects of methyltestosterone on the sexual development and reproduction of adult medaka (Oryzias latipes). Aquat Toxicol 2008; 87:37-46.
Martínez P, Viñas AM, Sánchez L, Díaz N, Ribas L, Piferrer F. Genetic architecture of sex determination in fish: applications to sex ratio control in aquaculture. Front Genet 2014;5:340.
Mazzoni TS, Grier HJ, Quagio-Grassiotto I. Germline cysts and the formation of the germinal epithelium during the female gonadal morphogenesis in Cyprinus carpio (Teleostei: Ostariophysi: Cypriniformes). Anat Rec 2010; 293:1581-1606.
Poli MA, Schveitzer R, Nuñer APO. The use of biofloc technology in a South American catfish (Rhamdia quelen) hatchery: Effect of suspended solids in the performance of larvae. Aquacult Eng 2015; 66:17-21.
Pandian TJ, Sheela SG. Hormonal induction of sex reversal in fish. Aquaculture 1995; 138: 1-22.
Pandian TJ. Sex Reversal. In: Pandian TJ, editor. Endocrine sex differentiation in fish. Florida: CRC Press; 2013. p. 175-212.
Park IS, Kim JH, Cho SH, Kim DS. Sex differentiation and hormonal sex reversal in the bagrid catfish Pseudobagrus fulvidraco (Richardson). Aquaculture 2004; 232:183-193.
Piferrer F. Endocrine sex control strategies for the feminilization of teleost fish. Aquaculture 2001; 197:229-281.
Quagio-Grassiotto I, Wildner DD, Ishiba R. Gametogênese de peixes: aspectos relevantes para o manejo reprodutivo. Rev Bras Reprod Anim 2013; 37:181-191.
Quintero-Hunter I, Grier H, Muscato M. Enhancement of histological detail using metanil yellow as a counterstain in periodic acid/Schiff’s hematoxylin staining of glycol methacrylate tissue sections. Biotech Histochem 1991; 66:169-172.
Rivero-Wendt CLG, Miranda-Vilela AL, Ferreira MFN, Borges AM, Grisolia CK. Cytogenetic toxicity and gonadal effects of 17 α-methyltestosterone in Astyanax bimaculatus (Characidae) and Oreochromis niloticus (Cichlidae). Genet Mol Res 2013; 12:3862-3870.
Schutz JR, Harrell RM. Use of sex reversal in striped bass to create an all-male population. N Am J Aquac 1999; 61:97-106.
Shelton WL, Rodrigues-Guerrero D, Lopes-Macias J. Factors affecting androgen sex reversal of Tilapia aurea. Aquaculture 1981; 25:59-65.
Silveira FS, Silva FM, Casaca JM. Desempenho catarinense na piscicultura de água doce 2014. Florianópolis: EPAGRI/CEDAP; 2014.
Silveira J, Silva CP, Cargnin-Ferreira E, Alexandre D, Elias MA, Fracalossi DM. Freshwater catfish jundiá (Rhamdia quelen) larvae are prepared to digest inert feed at the exogenous feeding onset: physiological and histological assessments. Fish Physiol Biochem 2013; 39:1581-1590.
Sulis-Costa R, Jimenez JE, Weingartner M, Nuñer APO. Efeito da temperatura da água na fase inicial de vida e na proporção sexual do jundiá. Bol Inst Pesca 2013; 39:379-388.
Woynarovich E, Horváth L. The artificial propagation of warm- water finfishes: a manual for extension. FAO Fisheries Technical Paper, n.201; 1980.
Zanardi MF, Koberstein TCRD, Urbinati EC, Fagundes M, Santos MA, Mataqueiro MI. Concentrações de hormônio na carcaça de tilápias-do-nilo e maturação precoce após reversão sexual. R Bras Zootec 2011; 40:7-11.
Zar JH. Biostatistical analysis. New Jersey: Prentice Hall; 2010
Author notes
* Corresponding author: Luciano Augusto Weiss. Laboratório de Biologia e Cultivo de Peixes de Água Doce, Departamento de Aquicultura, Centro de Ciências Agrárias, Universidade Federal de Santa Catarina. Rodovia Francisco Thomaz dos Santos, nº 3532. CEP: 88066-260. Florianópolis, SC, Brasil. E-mail: luciano@lapad.ufsc.br
Conflict of interest declaration