ABSTRACT.: This study aimed to evaluate the structural changes and reserve deposition of malagueta and biquinho pepper seeds and to determine their chemical composition during ontogeny. The fruits were collected 25, 40, 55, 70, 85, and 100 days after anthesis (DAA). After collection, the seeds were extracted and fixed in FAA 50 and then stored in 70% ethanol. Subsequently, the seeds were embedded in methacrylate (Historesin) and sectioned with a microtome. The sections were stained with Toluidine blue O for anatomical analysis and Xylidine Ponceau, Periodic acid Schiff (PAS) and Lugol’s iodine solution for histochemical analysis. Sections were made using a cryomicrotome for acid phloroglucinol staining and Sudan III tests. Progressive lignification of the seed coat cells was observed. Proteins and lipids were the main reserve compounds of malagueta and biquinho pepper seeds stored in the embryo and endosperm. Starch served as a transient reserve during embryo development. The lipid reserves were observed in embryo and endosperm cells from 25 until 100 DAA. At 100 DAA, the protein contents of the malagueta and biquinho pepper seeds were 0.33 and 0.62 g g-1 DM and the lipid contents were 0.30 and 0.25 g g-1 DM, respectively.
Keywords: Capsicum frutescensCapsicum frutescens,C. chinenseC. chinense,chemical compositionchemical composition,histochemistryhistochemistry,reserves.reserves..
RESUMO.: Objetivou-se acompanhar as alterações estruturais, a deposição de reservas e determinar a composição química de sementes de pimenta malagueta e biquinho durante a sua ontogênese. Frutos foram coletados aos 25, 40, 55, 70, 85 e 100 dias após a antese (DAA). Após a coleta, as sementes foram extraídas e fixadas em FAA 50 e, armazenadas em álcool 70%. Posteriormente, foram incluídas em Historesina Metacrilato e seccionadas em micrótomo. Os cortes foram submetidos à coloração com Azul de Toluidina, para análise anatômica e a análise histoquímica realizada com XylidinePonceau, Periodic acid Schiff (PAS) e Lugol. Para reação com Floroglucina Ácida e Sudam III, foram realizados cortes em criomicrótomo. Verificou-se que houve lignificação progressiva das células do tegumento. As proteínas e os lipídeos constituem os principais compostos de reserva das sementes de pimenta malagueta e biquinho, estocados no embrião e endosperma. O amido constitui uma fonte transitória de reserva para o desenvolvimento do embrião. As reservas lipídicas são observadas nas células do embrião e do endosperma dos 25 aos 100 DAA. Aos 100 DAA, as sementes de pimenta malagueta e biquinho apresentam concentração de proteínas de 0,33 e 0,62 g g-1 M.S. e lipídeos de 0,30 e 0,25 g g-1 M.S. respectivamente.
Palavras chave: Capsicum frutescens, C. chinense, composição química, histoquímica, reservas..
PRODUÇÃO VEGETAL
Histochemical changes during the ontogeny of malagueta and biquinho pepper seeds
Alterações histoquímicas durante a ontogenia de sementes de pimenta malagueta e biquinho
Received: 12 August 2016
Accepted: 07 December 2016
In angiosperms, seed development begins with double fertilization, during which both the zygote and the endosperm are formed. These events also trigger other processes associated with seed development (Berger, Hamamura, Ingouff, Higashiyama, & 2008; Hehenbergeret, Kradolfer, & Köhler, 2012). From fertilization to harvest, morphological, biochemical and physiological changes influence seed formation. Angiosperm seed maturation is a complex process resulting from the coordinated and concomitant growth and development of distinct structures: tegument, endosperm, and embryo (Ingram, 2010; Kesavan, Song, & Seo, 2013). The ovule is the ontogenetic precursor of the seed. The ovule reaches physiological maturity when the flow of photoassimilates from the plant to the seed ceases (Bewley, Bradford, Hilhorst, & Nonogaki, 2013).
When seed formation begins, there is intense cellular division followed by cell expansion and progressive increases in dry matter mass due to the synthesis and deposition of reserves, such as carbohydrates, lipids and proteins (Suda & Giorgini, 2000; Lima et al., 2008; Bewley et al., 2013). These processes occur in specific organelles that may be present in the embryo and/or reserve tissues, such as the endosperm. Some species may also have structural cell wall components, such as hemicellulose, as reserves (Hoch, 2007; Lee et al., 2012). During the intermediate development phase, seeds maintain a high water content and have high germination potential. The end of this process is determined by physiological maturity, defined here as the stage of seed development that presents the maximum germination potential. Later, orthodox seeds dry or dehydrate (Angelovici, Galili, Fernie, & Fait, 2010; Weber, Sreenivasulu, & Weschke, 2010). The orthodox seeds present a spontaneous decline in water content at the end of the developmental program (Bewley et al., 2013).
Knowing the chemical composition and the mechanisms of reserve deposition and mobilization is crucial for seed production technology, as the compounds present in the seeds influence their germination, vigor and storage potential (Bewley et al., 2013). These reserves are commonly found in the form of proteins, lipids and starches stored in specific organelles in plant cells.
The lipids are synthesized in organelles present in the cytoplasm and accumulate in lipid bodies where triacylglycerides predominate and provide energy for initial germination and embryo growth (Murphy, 1990; Graham, 2008). Starch is synthesized and accumulated in amyloplasts, a polymer formed by the association of two polysaccharides: amylose (approximately 25% of the total content) and amylopectin (the remaining 75%), the main component of starch granules (Zeeman, Kossmann, & Smith, 2010). Protein reserves in seeds mainly belong to one of two protein classes, i.e., globulins and prolamins, which are synthesized in the Golgi apparatus and the endoplasmic reticulum and accumulate as protein bodies (Marty, 1999).
During seed germination and seedling development, carbohydrates and lipids are mobilized and used as sources of energy and carbon (Graham, 2008; Bewley et al., 2013). Proteins store mainly nitrogen and sulfur, which are essential for the synthesis of new proteins, nucleic acids, and secondary compounds in the growing seedling (Lima et al., 2008; Bewley et al., 2013).
Previous studies have focused on seed germination and reserve mobilization, in addition to the morphological characterization. Paula et al. (2016) found that lipids and protein bodies inside the endosperm cells of Morinda citrifolia served as the main reserve components. In Cereus jamacaru, Alencar et al. (2012) discovered that lipids were the main reserve in seeds that were stored in cotyledons while soluble sugar and starch were the minor reserves. In Jatropha curcas seeds, it was determined that the endosperm lipids represent the most abundant reserve and proteins were the second-most important reserve (Alencar et al., 2015).
Little is known of the biochemical and physiological aspects of the chemical composition and reserve deposition in pepper seeds. Plant anatomy and histochemistry have helped to clarify the ontogeny and reserve deposition in different plant organs. The present study aimed to determine the seed composition and cytoplasmatic reserve deposition during the seed ontogeny of the malagueta (Capsicum frutescens L.) and biquinho peppers (Capsicum chinense Jacq.) at different maturation stages.
Seeds from two pepper species, malagueta (C. frutescens L.) and biquinho (C. chinense Jacq.), were used in this study. The seeds were produced according to methods described by Abud, Araujo, Araujo, Araujo, and Pinto (2013). Pepper fruits from 70 plants were collected randomly 25, 40, 55, 70, 85, and 100 days after anthesis (DAA) for histochemical analyses. For both species, the seeds were manually extracted and washed in running water. Afterwards, the developing seeds were dried at ambient temperature for approximately 24h.
The histochemical analyses were carried out at the Anatomy and Plant Morphogenesis Laboratory of the Department of Plant Biology and Bioagro at the Federal University of Viçosa (UFV). Ten seeds from each maturation period were fixed in FAA 50 [formaldehyde (5): acetic acid (5): ethanol 50% (90)] for 48h and stored in 70% ethanol (Johansen, 1940). Next, the samples were embedded in methacrylate historesin (LEICA) for approximately two months.
The seeds were sliced into 6-µm-thick slices using a semi-automated Leica RM 2065 microtome (Heidelberg, Germany) for slide preparation. Toluidine blue O (TB) 0.025%, pH 4.0 (O’Brien, Feder, & McCully, 1964), was used to stain the sample sections. To determine the location and chemical properties of the reserve substances found in the pepper seeds, the hand-cut slices of the fixed material were examined using the following histochemical tests: periodic acid-Schiff (PAS) reaction for 1,2-glycol groups present in the total polysaccharides (McManus, 1948); 0,1% Xylidine Ponceau (pH 2.5) for the total proteins (Vidal, 1970); and Lugol’s iodine solution for the starch (Jensen, 1962).
Forty-micrometer cross-sectional cuts of the seeds were made using a cryomicrotome. To obtain the cross sections, the plant material was fixed in FAA 50 and then stored in 70% ethanol until sectioning. To prevent tissue damage during freezing, the samples were transferred and stored overnight in sucrose solution to increase the osmotic potential of the cells. The cuts from each developmental stage were stored in 50% ethanol until the acid phloroglucinol (Jensen, 1962) and Sudan III (Johansen, 1940) reactions.
The plant materials were observed using an optical microscope (AX70RF, Olympus Optical, Tokyo, Japan) equipped with a U-Photo photographic system and a digital camera (AxioCam, Carl Zeiss, Gena, Germany). The images were acquired using Axio Vision LE software.
The chemical analyses were performed at the Laboratory of Post-Harvest Physiology of the Department of Phytotechny at the Federal University of Viçosa.
The proteins were extracted using Tris-HCl buffer 0.1 M pH 7.5 (Alfenas, Peters-Robinson, & Brune, 1991). Four replications were quantified using bovine serum albumin (BSA) as the standard according to methods described by Bradford (1976).
The lipids were chemically extracted using cold hexane (Triebold, 1946). After the plant material was ground and dried, four replications were exposed to hexane for 24h and then centrifuged. The supernatant was removed and placed in test tubes with known weights. The samples were again exposed to hexane for 20 min. and centrifuged. The supernatant was added to the supernatant obtained from the first centrifugation. The determination was carried out using the mass difference after complete hexane evaporation at room temperature (Triebold, 1946).
Statistical analyses were performed using SAS, version 9.3 (SAS Institute, Cary, NC, USA).
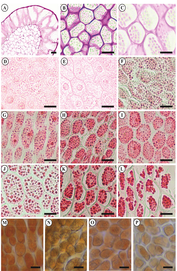
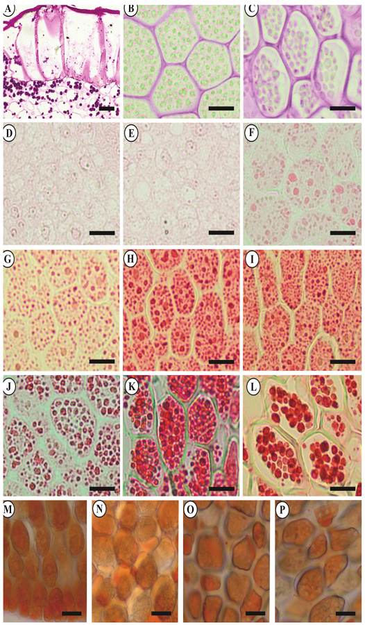
Figure 1 shows the morphological aspects of a completely mature malagueta seed. The malagueta and biquinho seeds presented similar morphologies; therefore, only one is shown. The pepper seed coat was yellow and homogeneous and had an obovate shape. The seeds of the two species were endospermic. The endosperm was fleshy and consistent and was also yellow. The embryo was peripheral, curved, cylindrical and white. The embryo was easy to identify due to its color difference when compared to the endosperm. Because of the curvature of the embryo, it is possible to visualize the different regions of the embryo, such as the cotyledon and root tissues, in a transverse section (Figure 1C).
The wall lignification of the integument cells occurred gradually during the development of themalagueta and biquinho pepper seeds. This process can be identified by the thickening of the cell wall at the periclinal and anticlinal divisions of the epidermal cells stained light-blue through the reaction with Toluidine blue O (Figures 1A-F and 2A-F). Positive reaction to acid phloroglucinol confirmed the lignification (Figures 1G-I and 2G-I).
At 25 DAA, there was little lignification of the seed tegument in both species (Figures 2A and 3A). A cross-sectional cut showed the uneven and progressive thickening of the periclinal and anticlinal cell wall divisions towards the inner portion. This led to the formation of a pyramid-shaped lumen in the tegument cells (Figures 2 and 3), visible during early seed formation at 40 DAA (Figures 2B and 3B). As the seeds developed and the cell walls were progressively lignified, the cell lumen became smaller and closer to the outer wall, occupying an increasingly smaller area of the tegument.

The seed tissues can already be characterized as embryo, endosperm, and tegument during the earliest stage analyzed (25 DAA). According to the histochemical analyses, the protein and lipid reserves are deposited during seed ontogeny, and the tissue in which storage occurs can be visualized (shown in Figures 4 and 5).


Regarding the presence of starch, the PAS reaction indicated the presence of a small number of granules in the seed tegument of both species at 25 DAA (Figures 4A and 5A). After 25 DAA, i.e., as early as 40 DAA, starch granules were no longer observed as seed reserve components via histochemical analysis, PAS reaction (Figures 4B-C and 5B-C), or Lugol’s iodine solution (data not shown). This reserve component was not present until the end of seed development in the seeds of either pepper species, indicating that it is a transitory reserve source. This is particularly important, considering that substances commonly used as reserves, such as lipids and proteins, were detected, as were increases in embryo and endosperm cell walls, suggesting that it may contribute to the total reserves available in the seeds during initial seedling development and germination.
Protein (Figures 4D-L and 5D-L) and lipid (Figures 4M-P and 5M-P) deposition was evident in both species, while starch reserves gradually disappeared in both the endosperm and embryo.


Histochemical tests using XylidinePonceau indicated that the proteins are deposited in the embryo and endosperm during seed formation and that they are an important reserve component of malagueta and biquinho pepper seeds (Figures 4D-L and 5D-L).
At 25 and 40 DAA (Figures 4D-E and 5D-E), negative reaction to Xylidine Ponceau indicated that the seeds were at a maturation stage in which protein reserves were still absent in the embryo. The accumulation of protein bodies in this seed region began at 55 DAA (Figures 4F and 5F). The amount of stored protein began to increase at this maturation stage (Figures 4G-I and 5G-I). Xylidine Ponceau reaction showed a large amount of protein in seed embryos at 85 and 100 DAA; the cell cytoplasm was completely filled (Figures 4H-I and 5H-I).
The Xylidine Ponceau test verified the presence of a large accumulation of protein globules in the endosperm of both species during all maturation stages, except at 25 DAA. Figure 3 shows the malagueta pepper seed endosperm at 40, 70, and 100 DAA (Figure 4J-L); Figure 4 shows the biquinho pepper seed endosperm at 40, 55, and 85 DAA (Figure 5L-J).
In the malagueta pepper, the amount of reserve protein deposited in the seed endosperm at 85 and 100 DAA was lower than at previous maturation stages, as evidenced by the empty spaces in the cell cytoplasm. However, this might have been due to cell plasmolysis. Nevertheless, this characteristic was not observed in the embryo.
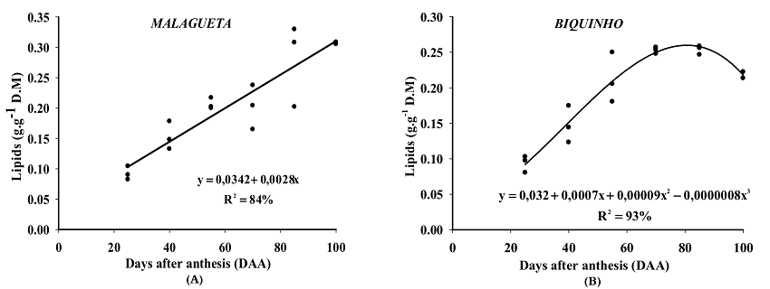
The protein chemical determination for the malagueta pepper using methods described by Bradford (1976) showed that the soluble protein stored in the seeds decreased starting at 63 DAA (Figure 6A). The protein content in the malagueta pepper seeds during development had a quadratic variation, with a peak value of 0.48 g.g-1 dry matter (DM) 55 DDA (Figure 6A). At 25 DDA, the seeds had a protein concentration of 0.28 gg-1 DM, while at 100 DDA, it was 0.33 gg-1 DM (Figure 6A).
However, from 40 to 100 DAA, the amount of soluble protein bodies in the biquinho pepper endosperm followed the same pattern (Figure 5J-L). Figure 6B shows that the accumulation of soluble protein during the development of the biquinho pepper follows a quadratic behavior. At 25 DAA, the seeds had 0.28 g.g-1 DM with increases in protein content, while at 100 DAA, the protein content reached a maximum of 0.62 gg-1 DM.
The lipid content in the malagueta and biquinho peppers during seed development is shown in Figure 6. The amount of this compound increased at a rate of 0.0028 g day-1 in the malagueta pepper. At 25 DAA, the seeds had 0.092 g g-1 DM; at 100 DAA, 0.30 gg-1 DM (Figure 6A).
The curve representing the lipid accumulation during biquinho pepper development exhibited cubic behavior. At 25 DAA, the seeds had 0.093 gg-1 DM. The lipid accumulation increased until 74 DAA (0.252 gg-1 DM peak value). After this maturation stage, the values decreased. At 100 DAA, the seeds had a lipid content of 0.202 gg-1 DM (Figure 6B).


During malagueta pepper seed development, the protein content initially increased and then decreased after 63 DAA. The lipid reserves increased (Figures 6A and 7A). However, in the biquinho pepper, protein storage increased up until 100 DDA and lipid accumulation decreased after 74 DAA (Figures 6B and 7B).
The seed development of the malagueta and biquinho peppers featured similar structural changes and reserve depositions. During each stage of development, peculiarities could be observed in the structural changes of the embryo, endosperm, and tegument cells, and the type and location of the reserve deposition.
The main structural changes in the seed tegument of both species occurred 25 to 40 DAA. At 40 DAA, a pyramid-shaped lumen was observed in the epidermal cells. Several studies on epidermis development in Solanaceae seeds have aimed to investigate changes deriving from the maturity process, such as those conducted by Edmonds (1983) and Karihaloo and Malik (1996).
In addition to other functions, the tegument plays a major role in endosperm and embryo nutrition during seed development. Phloem discharge occurs in the tegument. The assimilates are then translocated to the embryo and/or endosperm (Weber, Heim, Golombek, Borisjuk, & Wobus, 1998; Bewley et al., 2013).
In a similar study, Karihaloo and Malik (1996) described the tegument structure and development in Solanum melongena and S. violaceum seeds, which had a development pattern similar to the species in the present study. The authors stated that the development of the epidermis in the seeds involved a complex sequence of events, beginning with the thickening of the outer periclinal cell wall face. This characteristic may protect the inner structures of the seeds from the lignified sclerenchyma cells. The results reported by Karihaloo and Malik (1996) and Corner (1976), and the present study in the malagueta and biquinho peppers demonstrate the structural uniformity of seed tegument epidermis development among some members of the Solanaceae family.
Each seed reserve material is deposited at different rates during maturation. Temporary reserve deposition may occur, which will be used during seed development, or the seeds will be stored and used during germination (Weber, Borisjuk, & Wobus, 1997). Overall, embryo and endosperm storage reserve compositions are similar, except for the polysaccharides stored in the cell wall, which are less abundant in the embryo.
In the malagueta and biquinho pepper, starch was found only at 25 DAA. The absence of starch at later maturation stages indicates that these granules are converted into other components, likely soluble sugars, during the maturation process. Starch may temporarily accumulate in some cells at specific developmental stages (Zeeman et al., 2010). Jordy (2004) mentioned that transitory starch is located near the meristematic tissues and is used as a source of carbon during cell division, expansion, and differentiation. Chen and Lott (1992) reported the absence of starch in mature Capsicum annuum seeds in both the embryo and endosperm.
In both Capsicum seeds analyzed, the proteins were deposited both in the embryo and the endosperm. According to Herman and Larkins (1999), reserve protein synthesis and deposition in seeds are subjected to spatial and temporal regulation, which may vary among species and developmental stages.
Chen and Lott (1992) stated that proteins represented one of the main reserve components in Capsicum annuum seeds. The authors reported that, in mature seeds, the reserves are deposited inboth the embryo and the endosperm. It can be inferred that the species of this genus must follow the same developmental pattern in terms of protein reserve accumulation. Proteins were also detected as reserve materials in tomato seed embryos and endosperm (Spitzer & Lott, 1980).
Reserve proteins are synthesized in the endoplasmic reticulum and are then transported to their accumulation sites (Herman & Larkins, 1999), i.e., protein bodies or protein vacuoles (Stone & Gifford, 1997). This form of deposition prevents the cleavage of these proteins by proteases present in the cell cytoplasm (Shutov, Baumlein, Blattner, & Muntz, 2003) and enables their storage and later mobilization during seed germination and seedling development (Weber et al., 2010).
Malagueta and biquinho pepper seeds had lipids as reserve components since the early development stages analyzed. Similar to proteins, this reserve is deposited during the seed maturation process in both the embryo and the endosperm. The presence of lipids as reserve material was also observed in seeds of other Solanaceae species, such as C. annuum (Marion & Dempsey 1964; Chen & Lott, 1992; Pérez-Gálvezet, Garrido-Fernández, & Mínguez-Mosquera, 1999; Embaby & Mokhtar, 2011; Silva, Azevedo, Pereira, Valentão, & Andrade, 2013), Lycopersicum esculentum (Spitzer & Lott, 1980), C. annuum, C. baccatum, C. chinense, C. frutescens, and C. pubescens (Jarret, Levy, Potter, & Cermak, 2013).
It is important to note that, in the present study, the chemical determination of the reserve components, proteins and lipids were carried out in whole seeds due to the difficulty of separating the storage regions, embryo and endosperm. Therefore, the percentage of accumulated reserves in each tissue during the maturation process could not be determined.
The data on the physiological quality of the malagueta and biquinho pepper during all of the maturation stages in the present study can be found in Abud et al. (2013).
In conclusion, this study confirmed that proteins and lipids are the main reserve compounds of malagueta and biquinho pepper seeds. These reserve components are stored during seed development. The accumulation of protein reserves begins during the earliest developmental stages in the cytoplasm of endosperm cells. In embryo cells, the reserves accumulate during the later developmental stages. Starch was only observed as a transient reserve source during initial seed development.
The Federal University of Viçosa, the Federal University of Ceará, and the Agricultural Research Corporation Minas Gerais. The Laboratory of Anatomy and Plant Morphogenesis of the Federal University of Viçosa. The Coordination for the Improvement of Higher Education Personnel (CAPES) and the Foundation of Research Support of the State of Minas Gerais (Fapemig) supported this research.
*Author for correspondence. E-mail: hfabud@gmail.com






