GENETICS AND PLANT BREEDING
Accelerated ageing test and behaviour investigation of isoenzymes in sesame seeds
Teste de envelhecimento acelerado e comportamento das isoenzimas em sementes de gergelim
Accelerated ageing test and behaviour investigation of isoenzymes in sesame seeds
Acta Scientiarum. Agronomy, vol. 40, e39449, 2018
Editora da Universidade Estadual de Maringá - EDUEM
Received: 12 September 2017
Accepted: 05 January 2018
ABSTRACT. : The seeds of a sesame crop contain approximately 50% oil content, one of the main reasons for their cultivation. However, information regarding methodologies for the assessment of quality seeds of this culture are scarce. Therefore, the objective of this study was to adapt the methods of accelerated ageing tests for sesame seeds and investigate changes in the behaviour of isoenzymes. The physiological characterization of the seeds and electrophoretic analysis of the isoenzymes superoxide dismutase, esterase, catalase, alcohol dehydrogenase, malate dehydrogenase and isocitrate lyase were also performed. For the accelerated ageing test, the seeds were subjected to the traditional method, with a saturated NaCl solution, at ageing times of 0, 24, 48, 72, and 96 hours. It was found that it is possible to evaluate the effect of accelerated ageing tests on sesame seeds by using the traditional method for 72 hours and saturated NaCl solution at 45°C for 48 hours. When associated with the activity of isozymes EST, CAT, ADH, and ICL, it was possible to observe that there was a significant variation in the intensity of expression of the bands as the seed deterioration process progressed.
Keywords: enzymes, oilseed, vigour, quality, Sesamum indicum.
RESUMO. : As sementes da cultura do gergelim contém cerca de 50% de teor de óleo, sendo uma das principais razões que estimulam o seu cultivo. No entanto, informações sobre metodologias para avaliação da qualidade de sementes dessa cultura são escassas. Dessa forma, objetivou-se adequar as metodologias dos testes de envelhecimento acelerado para sementes de gergelim e investigar alterações no comportamento de isoenzimas das sementes submetidas ao teste. Foram utilizados quatro cultivares de sementes de gergelim da safra 2014/2015. Foi feita a caracterização fisiológica das sementes e a análise eletroforética das isoenzimas superóxido dismutase, esterase, catalase, álcool desidrogenase, malato desidrogenase e isocitrato liase. Para o teste de envelhecimento acelerado, as sementes foram submetidas ao método tradicional e com solução saturada de NaCl, pelos períodos de envelhecimento de 0, 24, 48, 72 e 96 horas. Concluiu-se que é possível avaliar o vigor de sementes de gergelim pelo teste de envelhecimento acelerado, pelo método tradicional por 72 horas e com solução saturada de NaCl a 45ºC por 48 horas. Quando associado à atividade das isoenzimas EST, CAT, ADH e ICL foi possível visualizar que houve variação significativa na intensidade da expressão das bandas conforme avança o processo deterioração das sementes.
Palavras-chave: enzimas, oleaginosa, vigor, qualidade, Sesamum indicum.
Introduction
Sesamum indicum L. is a species of high value, as its commercial product is a seed, of approximately 50% to 60% oil content. This oil has several uses, including in the production of biodiesel, as a cooking oil, and in paints, margarines, varnishes, soaps, cosmetics and medicines (Borchani, Besbes, Blecker, & Attia, 2010). Despite the great economic potential of sesame to yield seeds with oil of superior quality in relation to other oilseeds, research related to seed physiological quality is still limited. High quality seeds are obtained by a combination of genetic, physical, physiological and sanitary attributes, directly influencing agronomic performance and are fundamental to the success of the crop.
Seed physiological quality has been most commonly determined through a germination test conducted under favourable conditions that allows seeds to express maximum capacity (Bertolin, Sá, & Moreira, 2011). Seed vigour complements the information obtained by the germination test, influencing crop establishment, as well as its performance in terms of plant cycle and yield. Among the existing vigour tests, one of the most important and recognized is the accelerated ageing test (Marcos Filho, 2015).
In the traditional accelerated ageing test (using water), the differences in water absorption by the seeds, exposed to an atmosphere of 100% relative humidity, can lead to marked variations in seed moisture content (Torres, 2004). To minimize variations in seed hydration and results, Jianhua and McDonald (1996) proposed replacing distilled water with saturated KCl and NaCl solutions, which provide 87% and 76% relative humidity, respectively. The use of saline solutions provides a lower seed hydration rate during accelerated ageing and a lower moisture content at the end of the test, with greater efficiency in vigour evaluation (Torres, 2005).
The use of saturated solutions in the accelerated ageing test is efficient in classifying vigour for several species. According to Torres (2004), the best method for Foeniculum vulgarewas is the use of saturated NaCl solution at 41ºC for 72 hours.
One of the consequences of the deterioration process is the formation of free radicals, which are a group of atoms with unpaired electrons and are, therefore, quite reactive and capable of destroying large polymers, such as membrane lipids. The main oxidizing agents generated are hydroxyls (OH-), superoxides (O2) and hydrogen peroxides (H2O2). Once present in the cell, they may initiate highly damaging chain oxidative reactions, especially with polyunsaturated fatty acids, resulting in lipid hydroperoxides (Desai, Kotecha, & Salunkhe, 1997).
Given this, the objective of this study was to adapt methodologies of accelerated ageing tests to sesame seeds and correlate them with changes in the behaviour of isoenzymes.
Material and methods
Four sesame cultivars were used, provided by Embrapa Algodão and produced in Pernambuco State, Brazil, under the same conditions and time (2014/2015 crop year), as follows: BRS G2 (Cultivar 1), BRS G3 (Cultivar 2), BRS G4 (Cultivar 3), and BRA SEDA (Cultivar 4).
The characterization of cultivars and evaluation of physiological quality were defined by the following determinations and tests:
The moisture content was determined using the oven method at 105°C for 24 hours (Brasil, 2009), with two replicates of 0.5 g seeds for each cultivar.
For the germination test, sowing was carried out on blotting paper, moistened with an amount of water equivalent to 2.5 times the dry weight of the paper, in boxes (gerbox), placed in a B.O.D. germination chamber, and regulated at 25°C, with a 12-hour photoperiod. Four replicates of 50 seeds were used and the results were expressed as a percentage of normal seedlings on day 3 (first count); the test was terminated on day 6 (Brasil, 2009). Counts were conducted daily to determine the germination speed index (IVG) which was, calculated according to the formula proposed by Maguire (1962), computing the number of seeds emerged from the emission of 1 mm radicle.
The emergence test was conducted with four replicates of 50 seeds per cultivar in trays with substrate sand and earth at a ratio 2:1, under controlled conditions at 25°C. Seedling emergence was computed on day 9 (Initial stand) and on day 15 (Final stand) after sowing, and the number of emerged seedlings was evaluated. The results were expressed in percentage. For the emergence speed index (IVE), the number of seedlings emerging from the onset of emergence was calculated daily, according to Maguire (1962).
For the accelerated ageing test, seeds were arranged in a single layer on a metal screen coupled to a box (gerbox) containing 40 mL of distilled water or saturated sodium chloride (NaCl) solution, at a ratio of 40 g NaCl to 100 mL water, providing a relative humidity of 76% (Jianhua & McDonald, 1996). The boxes were kept in B.O.D. germination chambers, at 45°C, for 0 (control), 24, 48, 72, and 96 hours. After each period, the water content was determined and the germination test was conducted as previously described, evaluating the number of normal seedlings after the seventh day of sowing (Brasil, 2009).
The enzymatic analysis was performed using electrophoresis. For this analysis, 3 g of seeds of each sesame cultivar were subjected to traditional accelerated ageing with saturated NaCl solution for 0, 48, and 96 hours. Time was determined to cover undamaged seeds (0 hours) and, seeds at a medium deterioration stage (48 hours) and at an advanced deterioration stage (96 hours), which were ground in a crucible, in the presence of liquid nitrogen and PVP, and stored at -86°C.
The buffer used to extract the enzymes superoxide dismutase, catalase, esterase, alcohol dehydrogenase, malate dehydrogenase and isocitrate lyase was 0.2 M Tris HCl (pH 8), with 0.1% mercaptoethanol added at a ratio of 250 μL per 100 mg of seeds. The material was homogenized using a vortex and kept in a refrigerator overnight, followed by centrifugation at 14,000 rpm for 60 minutes at 4ºC.
Polyacrylamide gel was created at 7.5% (separation gel) and 4.5% (concentration gel) for the electrophoretic run. The gel/electrode system used was tris-glycine (pH 8.9). 50 μL of supernatant were applied to the gel and the electrophoretic run was carried out at 150 V for 5 hours.
Gels were developed for the enzymes superoxide dismutase, catalase, esterase, malate dehydrogenase, alcohol dehydrogenase, according to protocols of Alfenas (2006). Isocitrate lyase was developed with dl-isocitric acid, 20 mg NADP, 20 mg MTT, 2 mg PMS, 20 mg magnesium chloride, 100 mL Tris 0.2 M pH 8.0 and 0.1 μL of phenylhydrazine (Cruz et al., 2013).
The experimental design was completely randomized. For the accelerated ageing test, data were analysed in a 4 x 5 factorial scheme (4 cultivars and 5 ageing periods). Data were submitted to analysis of variance and the means were compared suing the Scott-Knott test at 5% probability and, for the quantitative factor (aging period), regression was analysed. Statistical analyses were performed using the SISVAR® statistical program (Ferreira, 2000).
For the analysis of isoenzyme systems, visual interpretation of electrophoresis gels was performed, taking into account the presence/absence, as well as the intensity, of each of the electrophoretic bands.
Result and discussion
The data obtained in the characterization of the profile of the sesame seed cultivars is presented in Table 1. Seed moisture content did not differentiate among the cultivars, and maintained values within the optimum storage range for sesame seeds, that is, lower than or near 6%.
Similar moisture content among cultivars is paramount, so that the tests are not affected by differences in metabolic activity, wetting and seed deterioration rates (Krzyzanowski, Vieira, & França Neto, 1999). Seeds with different water contents may generate erroneous interpretations, as seeds with higher water contents tend to degrade more rapidly under accelerated ageing conditions (Marcos Filho, 2015).
The first count test was less sensitive to differences between the sesame cultivars, and there was no significant difference among cultivars (Table 1).
| Cultivars | Tests | ||||||
| U (%) | PC | G (%) | IVG | EI (%) | E (%) | IVE | |
| 1 | 6.14A | 44A | 98A | 14.07A | 88A | 88A | 11.52A |
| 2 | 5.69A | 32A | 93A | 12.93A | 88A | 89A | 11.58A |
| 3 | 5.39A | 40A | 75B | 9.77B | 62B | 63 B | 5.95 B |
| 4 | 5.29A | 51A | 89A | 13.40A | 88A | 88 A | 11.44 A |
| CV (%) | 6.81 | 31.63 | 7.27 | 8.84 | 12.06 | 12.45 | 11.78 |
The germination of sesame cultivars had higher values than the standard for seed commercialization through Normative Instruction No. 45 of September 13, 2013, which establishes a minimum germination of 70% for sesame seeds (Brasil, 2013).
Through the germination test, germination speed index, initial stand, emergence and the results of the emergence speed index (IVE), it was observed that cultivars 1, 2, and 4 were of higher quality as compared to cultivar 3, which was of inferior quality (Table 1).
Using the traditional method, it was observed that the seed moisture content only differed among cultivars with 96 hours of seed exposure to the test conditions (Table 2). Using the method with a saturated solution, smaller and more uniform moisture contents were verified, although it was more sensitive in detecting differences between cultivars and ageing periods, with differences after 72 hours of seed exposure to the test conditions. In general, using the traditional method, moisture content was higher than that observed using the NaCl solution method. This increase in seed moisture content can be explained by the disorganization of cell membranes during seed ageing (Jain, Koopar, & Saxena, 2006). However, some authors have reported that, even with a lower moisture content, there is sufficient stress to reduce germination (Ávila, Vilella, & Ávila, 2006).
The use of the saturated solution caused less drastic effects than those of the traditional method, as there was a decrease in seed deterioration rate when reaching lower water contents, as observed in Foeniculum vulgarewas (Torres, 2004) and Guizotia abyssinica (Gordin, Scalon, & Masetto, 2015).
| Cultivars | Treatment / Ageing periods (hours) | |||||||||
| Traditional | NaCl | |||||||||
| 0 h | 24 h | 48 h | 72 h | 96 h | 0 h | 24 h | 48 h | 72 h | 96 h | |
| 1 | 6.03Ac | 16.03Ab | 18.29Aa | 18.67Aa | 18.67Ba | 6.10Aa | 7.13Aa | 6.77Aa | 5.11Ba | 6.87Aa |
| 2 | 5.73Ad | 15.24Ac | 17.13Ab | 18.43Ab | 21.45Aa | 5.69Ab | 8.90Aa | 7.79Aa | 6.32Bb | 6.54Ab |
| 3 | 5.47Ac | 16.07Ab | 16.84Ab | 17.53Ab | 21.91Aa | 5.38Ab | 7.29Aa | 8.86Aa | 5.98Bb | 5.90Ab |
| 4 | 5.25Ac | 14.39Ab | 18.34Aa | 18.16Aa | 18.74Ba | 5.30Ab | 7.01Ab | 6.56Ab | 9.49Aa | 5.45Ab |
| CV (%) | 6.07 | 14.30 | ||||||||
The reduction in seed moisture content restricted fungal attack, verified by a higher incidence observed under the traditional ageing treatments. This is caused by the water restriction of the environmental relative humidity, which does not favour the proliferation of microorganisms. Cruz et al. (2013) reported the incidence of fungi as a problem found in the accelerated ageing of Crambe abyssinica and Myracrodruon urundeuva seeds.
The percentage of normal seedlings obtained after the traditional accelerated ageing (Table 3) shows that all treatments were sensitive to the detection of higher and lower vigour cultivars, corroborating the germination results where batch 3 was considered inferior to the others (Figure 1). It can be observed that, using the traditional method, the periods of 72 and 96 hours allowed for the differentiation of batch 3 from the others, similar to the results obtained in germination tests, germination speed indices, seedling emergence, initial stand and emergence speed indices (Table 1).
| Cultivars | Treatment x Ageing periods | |||||||||
| Traditional | NaCl | |||||||||
| 0 h | 24 h | 48 h | 72 h | 96 h | 0 h | 24 h | 48 h | 72 h | 96 h | |
| 1 | 99Aa | 93Aa | 95Aa | 84Ab | 92Aa | 98Aa | 92Aa | 89Aa | 90Aa | 95Aa |
| 2 | 93Aa | 95Aa | 97Aa | 92Aa | 97Aa | 94Aa | 92Aa | 91Aa | 99Aa | 97Aa |
| 3 | 77Bb | 67Bb | 87Ba | 46Bc | 75Bb | 75Bb | 56Bd | 24Ce | 70Bc | 88Aa |
| 4 | 90Aa | 67Bb | 83Ba | 90Aa | 89Aa | 89Aa | 49Bd | 48Bd | 64Bc | 75Bb |
| CV (%) | 6.76 | 8.66 | ||||||||
In seeds aged using the traditional method, it was possible to observe that, at the 72-hour mark, there was a reduction in the percentage of normal seedlings of sesame seeds for all cultivars (Figure 1). According to Tunes, Badinelli, Olivo, & Barros (2009), this decrease in germination after 72 hours is probably due to the high water content reached by the seeds after ageing.

However, the results obtained in the accelerated ageing test using NaCl solution for 48 hours, demonstrated better cultivar separation at different vigour levels because, besides indicating cultivars 1 and 2 as those with the best quality and cultivar 3 as that of inferior quality, it also detected a difference between cultivar 4 and cultivars 1 and 2. This separation was not verified in the statistical analysis of data obtained during germination, seedling emergence and other procedures used to conduct the accelerated ageing test. The results of the ageing tests with saturated NaCl solution after the 72-hour period were not consistent, showing divergent results for cultivar characterization (Table 3).

Silva, Pivetta, Oliveira, Rodrigues, & Vieira (2010) studied Cynodon dactylon seeds and reported that accelerated ageing with the use of saturated NaCl solution, among the studied procedures, is the most appropriate method to evaluate the physiological potential of bermudagrass seeds, and the combination of 45ºC and 48 hours is efficient for seed lot classification at different vigour levels.
The conditions of the accelerated ageing test with saline solution for a period of up to 96 hours positively interfered in cultivar germination; only cultivar 4 suffered sufficient stress to statistically differ from the others.
The consolidation of cultivars 1, 3, and 4 was observed at 96 and 48 hours using the traditional method and, for cultivars 3 and 4, at 72 hours using the NaCl method (Figures 1 and 2). It is important to observe the values of seed moisture content after ageing (Table 2), as there may be a relation to the increase in seed vigour, called priming. Nery, Carvalho, and Guimarães (2009), in a study with Brassica rapa, also observed the consolidation of seeds subjected to accelerated ageing.
As for the enzymatic activity analysis, the times chosen for evaluating the behaviour of isoenzymes sought to cover seeds at increasing deterioration stages, considering time zero as that in which sesame seeds were undamaged, 48 hours for seeds at medium deterioration stages, and 96 hours for seeds at an advanced deterioration stage.
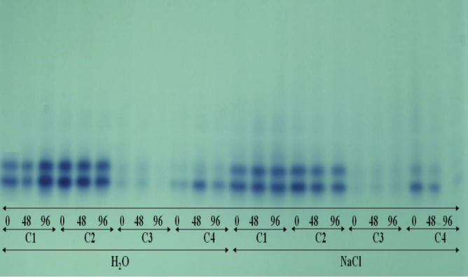
In relation to the activity of isoenzymes, it was observed for esterase (Figure 3) that seeds submitted to the traditional accelerated ageing underwent a reduction in band intensity with the increase in the period until their extinction, with emphasis on cultivars 1 and 2, which obtained a higher intensity in their bands.
The decrease in band intensity indicates that the lipid peroxidation in the cell membrane was more intense, causing an increase in permeability and, consequently, an advanced deterioration process. For seeds aged with NaCl, the bands of cultivars 1 and 2 maintained a greater intensity, cultivar 4 had an intermediate intensity, and cultivar 3 showed low intensity. Corroborating this are the results presented in Table 3, which define cultivars 1 and 2 as those of greater vigour, cultivar 4 of intermediate quality and cultivar 3 of inferior quality.
It is also possible to observe that the behaviour of each cultivar at different exposure times to accelerated ageing with saturated NaCl solution had a greater band uniformity within cultivars, at all periods (0, 48, and 96 hours), indicating less deterioration within the cultivar, compared to traditional ageing, where the bands have more heterogeneous intensities.

The activity patterns of esterase are in agreement with the reports of Aung and McDonald (1995), in a study of Arachis hypogaea seeds, where they observed a decrease in band intensity with an increase in ageing period, both in seeds that were imbibed and not imbibed. Esterases are the most important group of enzymes in peanut germination. This variation of results is probably due to the double role that this enzyme plays, depending on the deterioration level of seeds in the seed lot. The enzyme accumulated before the process to prevent the action of free radicals at the beginning of deterioration, but presented high levels when it no longer had this preventive role, and it is present in the beginning, as well as at more advanced deterioration stages.
Saath et al. (2014) and Moraes, Barbosa, Unêda-trevisoli, Vieira, and Vieira (2016) observed a decrease in the number and intensity of bands, together with a loss of viability of coffee, copaiba and peanut seeds.
It was also possible to observe the expression of a single band (isoform) only in cultivar 1, when subjected to traditional accelerated ageing for 48 hours (Figure 3, black arrow). This result provides an alternative to distinguish these sesame cultivars from the others, while it was not identified in other cultivars or treatments, with the possibility of making it a tool in cultivar identification.
In relation to superoxide dismutase (SOD), bands of the same intensity are present in all cultivars (Figure 4). The maintenance of SOD activity is important, as it acts in the removal and reduction of reactive oxygen species (ROS), which can cause cell damage (Deuner, Maia, Deuner, Almeida, & Meneghello, 2011).

The isoenzyme malate dehydrogenase (MDH) is an important enzyme in cellular respiration, and an increase in its activity may be due to an increase in respiration in seeds at advanced deterioration stages, as the enzymes involved in respiration can be activated in seeds of reduced quality (Shatters, Abdelghany, Elbagoury, & West, 1994). Carvalho, Mavaieie, Oliveira, Carvalho, and Vieira (2014) observed an increase in MDH expression in soybean seeds stored for six and eight months of cold storage due to the high stress level under uncontrolled storage conditions.
Based on this information, the 96-hour period of traditional and NaCl ageing used in this study may not have been sufficient to induce metabolic changes that could change the electrophoretic profiles of this enzyme, as there was no change between bands in the treatments.
Studies relate SOD activity to MDH activity, as SOD can be found in mitochondria, and it is possible that the regulation of its activity may involve MDH regulation (Allen, 1995). Based on this information, SOD activity is expected to be similar to MDH. The results of this study support this hypothesis, as no change was observed in the activities of both enzymes during traditional accelerated ageing or with NaCl (Figures 4 and 5).
In Figure 6, it is possible to observe an increase in the intensity of isocitrate lyase bands during the ageing periods 0, 48, and 96 hours for all cultivars. The expression profile of isocitrate lyase (ICL) has been suggested as an important seed vigor indicator, as it provides necessary carbon sources for germination and seedling development. Changes in transcription and expression levels may reflect seed quality (Ventura et al., 2012).

Sesame seeds submitted to the traditional accelerated ageing had a higher band intensity than those submitted to the saline solution, which presented a greater band uniformity within the cultivars, related to seed moisture content, after the ageing period (Table 2). According to Floriano (2004), with water absorption, tissue rehydration occurs and, consequently, intensification in respiration and all other metabolic activities, which may have contributed to the increase in ICL activity.
Observing the behaviour of ICL among cultivars, there are differences among the intensity and number of bands. Cultivars 1 and 2 had higher intensity and cultivar 3 and, subsequently, cultivar 4, had lower intensities. These results corroborate those seen in Table 3 of seeds subjected to accelerated ageing with NaCl for a 48-hour period.

With the absence of oxygen, the onset of fermentation metabolism by induction of ADH is favoured, in which acetaldehyde is reduced to ethanol by adenine nicotinamide dinucleotide (NAD). According to Veiga et al. (2010), this enzyme is important, once it converts acetaldehyde into ethanol, a compound with less toxicity, and slows down the deterioration process. Thus, seeds are less sensitive to the deleterious effects of acetaldehyde with higher ADH activity (Carvalho et al., 2014). Therefore, it is possible to state that the seeds of cultivars 1 and 2 are more protected, as the expression of the ADH enzyme in those cultivars, both in seeds submitted to traditional ageing and with NaCl (Figure 7), presented higher band expression. This result is in accordance with that of Carvalho et al. (2014), who found higher ADH expression in seeds of cultivars with better physiological quality.
From ADH expression (Figure 7), it was possible to observe the low enzymatic activity of ADH in the seeds of cultivars 3 and 4, corroborating the adequacy results of the accelerated ageing methodology.

Because catalase is an enzyme involved in hydrogen peroxide reduction, it controls these endogenous peroxides through the oxidation cycle. Thus, a reduction in the activity of this enzyme may result in a reduction in the prevention of oxidative damage, as with sunflower seeds, where a decrease in the activity of catalase was observed, associated with a loss of viability (Bailly, Benamar, Cobineau, & Côme, 1996). In Figure 8 it can be seen that in the traditional accelerated ageing, the seeds suffered a greater deterioration, confirmed by the smaller amount and intensity of bands, compared to ageing using the saturated solution.

These results corroborate those of Demirkaya, Dietz, and Silvritepe (2010), who stated that a general decrease in seed CAT activity decreases the respiratory capacity, reducing the energy supply (ATP, adenosine triphosphate), for seed germination.
Considering the aforementioned, when comparing the results of isoenzyme expression and those observed in the physiological tests with seeds submitted to traditional accelerated ageing and saturated NaCl solution, it was possible to observe that there was a significant variation in the intensity of isoenzyme expression, as seed deterioration progressed.
Conclusion
The accelerated ageing test using saturated NaCl solution at 45ºC for a period of 48 hours is effective in evaluating the quality of sesame seeds.
There are variations in the expression pattern of the enzymes EST, CAT, ADH, and ICL during accelerated ageing processes for sesame seeds.
The esterase pattern for sesame seeds submitted to traditional accelerated ageing for 48 hours was able to distinguish cultivar 1 from the other cultivars.
References
Alfenas, A. C. (2006). Eletroforese e marcadores bioquimicos em plantas e microrganismos. Viçosa, MG: UFV.
Allen, R. D. (1995). Dissection of oxidative stress tolerance using transgenic plants. Plant Physiology, 107(4), 1049-1054. doi: 10.1104/pp.107.4.1049
Aung, U. T., & McDonald, M. B. (1995). Changes in esterase activity associated with peanut (Arachis hipogaea L.) seed deterioration. Seed Science and Technology, 23(1), 101-111.
Ávila, P. F. V.; Vilella, F. M., & Ávila, M. S. V. (2006). Teste de envelhecimento acelerado para avaliação do potencial fisiológico de sementes de rabanete. Revista Brasileira de Sementes, 28(3), 52-58. doi: 10.1590/S0101-31222006000300008
Bailly, C., Benamar, A., Cobineau, F., & Côme, D. (1996). Changes in malondialdehyde contend and in superoxide dismutase, catalase and glutathione reductase activities in sunflower seeds as related to deterioration during accelerated aging. Physiologia Plantarum, 97(1), 104-110. doi: 10.1111/j.1399-3054.1996.tb00485.x
Bertolin, D. C., Sá, M. E., & Moreira, E. R. (2011). Parâmetros do teste de envelhecimento acelerado para determinação do vigor de sementes de feijão. Revista Brasileira de Sementes, 33(1), 104-112. doi: 10.1590/S0101-31222011000100012.
Bewley, J. D., & Black, M. (1994). Seeds: physiology of development and germination. New York, US: Plenum Press.
Borchani, C., Besbes, S., Blecker, C. H., & Attia, H. (2010). Chemical Characteristics and Oxidative Stability of Sesame Seed, Sesame Paste, and Olive Oils. Journal of Agriculture, Science and Technology, 12(20), 585-596.
Brasil. Ministério da Agricultura, Pecuária e Abastecimento. (2009). Regras para análise de sementes. Brasília, DF: MAPA/ACS.
Brasil. Congresso Nacional. (2013). Instrução Normativa nº 45, de 17 de setembro de 2013. Dispõe sobre os padrões para a produção e a comercialização de sementes. Diário Oficial da União, Brasília, DF, Seção 1, p. 16.
Carvalho, E. R., Mavaieie, D. P. R., Oliveira, J. A., Carvalho, M. V., & Vieira, A. R. (2014). Alterações isoenzimáticas em sementes de cultivares de soja em diferentes condições de armazenamento. Pesquisa Agropecuária Brasileira, 49(12) 967-976. doi: 10.1590/S0100-204X2014001200007
Cruz, S. M., Nery, M. C., Rocha, A. S., Pinho, E. V. R. V., Andrade, P. C. R., & Dias, D. C. F. S. (2013). Testes de vigor para avaliação de crambe (Crambe abyssinica Hochst). Jornal of Seed Science, 35(4), 485-494. doi: 10.1590/S2317-15372013000400010
Demirkaya, M.; Dietz, K. J., & Silvritepe, H. O. (2010). Changes in antioxidant enzymes during aging of onion seeds. Notulae Botanicae Horti Agrobotanici, 38(1) 49-52. doi: 10.15835/nbha3814575
Desai, B. B., Kotecha, P. M., & Salunkhe, D. K. (1997). Seeds handbook: biology, production, processing and storage. New York, US: Marcel Dekker.
Deuner, C., Maia, M. S., Deuner, S., Almeida, A., & Meneghello, G. E. (2011) Viabilidade e atividade antioxidante de sementes de genótipos de feijão-miúdo submetidos ao estresse salino. Revista Brasileira de Sementes , 3(4) 711-720. doi: 10.1590/S0101-31222011000400013.
Ferreira, D. F. (2000). SISVAR - Sistema de análise de variância para dados balanceados: programa de análises estatísticas e planejamento de experimentos, versão 4.1. Lavras, MG: UFLA.
Floriano, E. P. (2004). Germinação e dormência de sementes Florestais (Caderno Didatico nº 2, 1. ed.). Santa Rosa, RS: ANORGS.
Gordin, C. R. B., Scalon, S. P. Q., & Masetto, T. E. (2015). Teste de envelhecimento acelerado em sementes de niger. Journal of Seed Science, 37(3), 234-240. doi: 10.1590/2317-1545v37n315
Jain, N., Koopar, R., & Saxena, S. (2006). Effect of accelerated ageing on seeds of radish (Raphanus sativus L.). Asian Journal of Plant Sciences, 5(3), 461-464. doi: 10.3923/ajps.2006.461.464
Jianhua, Z., & McDonald, M. B. (1996). The saturated salt accelerated aging test for small-seeded crops. Seed Science and Technology , 25(1), 123-131.
Krzyzanowski, F. C.; Vieira, R. D., & França Neto, J. B. (1999). Vigor de sementes: conceitos e testes. Londrina, PR: Abrates.
Maguire, J. D. (1962). Speed of germination: aid in selection and evaluation for seedling emergence and vigor. Crop Science, 2(2), 176-177.
Marcos Filho, J. (2015) Fisiologia de sementes de plantas cultivadas. Piracicaba, SP: FEALQ.
Moraes, A. C. P.; Barbosa, R. M.; Unêda-trevisoli, S. H.; Vieira, B. G. T. L., & Vieira, R. D. (2016). Enzymatic activity pattern in peanut seeds at different periods of artificial aging. Journal of Food, Agriculture & Environment, 14(2), 54-58.
Nery, M. C., Carvalho, M. L. M., & Guimarães, R. M. (2009). Testes de vigor para avaliação da qualidade de sementes de nabo forrageiro. Informativo ABRATES, 19(1), 9-20.
Saath, R., Broetto, F., Biaggioni, M. A. M., Borém, F. M., Rosa, S. D. V. F., & Taveira, J. H. S. (2014). Activity of some isoenzymatic systems in stored coffee grains. Ciências Agrotécnicas, 38(1), 15-24. doi: 10.1590/S1413-70542014000100002
Silva, C. B., Pivetta, K. F. L., Oliveira, C. A. V. M., Rodrigues, M. A., Vieira, R. D. (2010). Teste de envelhecimento acelerado para avaliação do potencial fisiológico de sementes de grama-bermuda. Revista Bbrasileira de Sementes, 32(2), 102-107. doi: 10.1590/S0101-31222010000200012
Shatters, R. G. Jr., Abdelghany, A., Elbagoury, O., & West, S. H. (1994). Soybean seed deterioration and response to priming: Changes in specific enzyme activities in extracts from dry and germinating seeds. Seed Science Research, 4(1) 33-41. doi: 10.1017 /S0960258500001975
Torres, S. B. (2005). Envelhecimento acelerado em sementes de pimenta malagueta (Capsicum frutescens L.) Revista Ciência Agronômica, 36(1), 98-104.
Torres, S. B. (2004). Teste de envelhecimento acelerado em sementes de erva-doce. Revista Brasileira de Sementes , 26(2), 20-24. doi: 10.1590/S0101-31222004000200004
Tunes, L. M., Badinelli, P. G., Olivo, F., & Barros, A. C. S. A. (2009). Teste de envelhecimento acelerado em cevada. Magistra, 21(2), 111-119.
Veiga, A. D., Von Pinho, E. V. R. V., Veiga, A. D., Pereira, P. H. A. R., Oliveira, K. C., & Von Pinho, R. G. (2010). Influência do potássio e da calagem na composição química, qualidade fisiológica e na atividade enzimática de sementes de soja. Ciência e Agrotecnologia, 34(4), 953-960. doi: 10.1590/S1413-70542010000400022
Ventura, L., Donà, M., Macovei, A., Carbonera, D., Buttafava, A., Mondoni, A., … Balestrazzi, A. (2012). Understanding the molecular pathways associated with seed vigor. Plant Physiology and Biochemistry, 60(1), 196-206. doi: 10.1016/j.plaphy.2012.07.031
Author notes
*Author for correspondence. E-mail: cintiamtfialho@yahoo.com.br