NUTRIÇÃO DE NÃO RUMIANTES
Effect of feeding Thymolina® powder on the carcass characteristics and morphology of small intestine in ross 308 broiler chickens
Efeito de Thymolina® em pó na dieta sobre as características de carcaça e morfologia do intestino delgado em Frangos de Corte Ross 308
Effect of feeding Thymolina® powder on the carcass characteristics and morphology of small intestine in ross 308 broiler chickens
Acta Scientiarum. Animal Sciences, vol. 39, no. 1, pp. 45-50, 2017
Editora da Universidade Estadual de Maringá - EDUEM
Received: 27 May 2016
Accepted: 23 August 2016
ABSTRACT.: In the present experiment, 320 one day old Ross 308 broiler chickens were used completely randomized design with 4 treatments, 4 replicates, and each replicate contained 20 broiler chickens. Experimental treatments include control, 0.5, 1, and 2% of Thymolina powder in chickens’ diet. Thymolina® is an anti-bacterial powder drug which is made by composing 4 medicinal plants. A significant difference observed between treatments in each parameter of the Intestinal morphology (villus height, villus width, crypt depth and epithelial thickness). Goblet cells number was not affected. Our findings indicated that using Thymolina® in the diet of broiler chickens causes improvements in carcass characteristics. Therefore, it may improve the carcass characteristics and morphology of small intestine in broiler chickens.
Keywords: broiler, morphology, Ross 308, small intestine, Thymolina®.
RESUMO.: Neste experimento, 320 frangos de corte da linhagem Ross 308 com um dia de idade foram distribuídos num delineamento inteiramente randomizado com 4 tratamentos, 4 repetições, com cada repetição contendo 20 animais. Os tratamentos consistiram de controle; 0,5; 1 e 2% Thymolina® em pó na dieta dos frangos. Thymolina® é um medicamento anti-bacteriano em pó composto por 4 plantas medicinais. A diferença significativa observada entre os tratamentos em cada parâmetro da morfologia intestinal (altura e largura das vilosidades, profundidade das criptas e espessura epitelial). O número de células caliciformes não foi afetado. Os resultados indicaram que o uso de Thymolina® na dieta de frangos de corte promove melhorias nas características de carcaça. Dessa forma, esse medicamento pode melhorar as características de carcaça e morfologia do intestino delgado de frangos de corte.
Palavras-chave: frango de corte, morfologia, ross 308, intestino delgado;Thymolina®.
Introduction
Medicinal plants, due to having suitable effects on intestinal morphology and performances (Jugl-Chizzola et al., 2006), antibacterial effects (Ozer et al., 2007), wide antioxidant activities (Wei & Shibamoto, 2007), stimulation of the immune system (Roth-Maier, Bohmer, Maass, Damme, & Pau-Licks, 2005) and improvement in nutrient absorption (Windisch, Schedle, Plitzner, & Kroismayr, 2008) are added to diets of broiler chickens.
Several studies indicate that phytogenic result in improving growth and weight gain (Jamroz et al., 2003; Hernández, Madrid, García, Orengo, & Megías, 2004; Cross, McDevitt, Hillman, & Acamovic, 2007), improving feed efficiency ratio (Ciftci et al., 2005), reducing Escherichia Coli bacteria and population growth of Lactobacillus (Jamroz et al., 2005), preventing fat oxidative (Stoni, Zitterl-Egelseer, Kroismayr, Wetscherek, & Windisch, 2006), intestinal morphological characteristics (Garcia, Catala-Gregori, Hernandez, Megias, & Madrid, 2007), and antimicrobial activity (Farag, Badei, Hewedi, & El-Baroty, 1989). Therefore, in the present study, an antibacterial medicinal plant feed additive called Thymolina® in powder form was used to find the effects on carcass characteristics and small intestin morphology. In making this drug, 4 medicinal plants Salvia officinalis, Matricaria chamomilla, Teucrium polium and Origanum majorana were composed.
Material and methods
Animals, experimental design and procedure
In the present experiment, 320 one day old Ross 308 broiler chickens were used a completely randomized design with 4 treatments, 4 replicates, each replicate contained 20 broiler chickens. Experimental treatments include basal diet (control), basal diet supplemented with 5 g kg-1 Thymolina®, basal diet supplemented with 10 g kg-1 Thymolina® and basal diet supplemented with 20 g kg-1 Thymolina® in chickens’ diet. Thymolina® (Sinafaravar Spadana Co., Iran) is an anti-bacterial powder drug which is made by composing 4 medicinal plants (Salvia officinalis, Matricaria chamomilla, Teucrium polium and Origanum majorana). This composition contains 1% active ingredient Thymol (Table 1).
In the present experimental study, the corn- wheat-soybean meal based diet was used to supply chickens’ nutritional needs in different periods [Starter (0-15 days), Grower (16-28 days), Finisher (29-42 days)], experimental diets were prepared and regulated based by the UFFDA software, and diets were formulized based on Ross 308 broiler chickens nutritional requirements (Table 2).
Carcasses traits, measured as the amount of abdominal fat and pectoral muscle, at the age 42 days old, from each replicate, 2 chickens with the lowest mean difference in weight were selected, and then they were slaughtered and dry feather picking methods (Valizadeh, Sadeghi, Chamani, Shawrang, & Feizi, 2014). Animal handling and experimental procedures were performed according to the Guide for the Care and Use of Laboratory animals by the National Institutes of Health (USA) and the current laws of the Iranian government for animal care.
Assessment of intestinal morphology
At age 42 days old, from each replicate, 1 chicken having the nearest weight to the average weight of the herd was selected and after 12 hours they were slaughtered, and as 2 cm samples from the three parts of the intestine, i.e. the duodenum (the middle part of the duodenum), jejunum (the middle part of the jejunum) and ileum (5 cm after Meckel's diverticulum) was taken.
After being washed by soluble phosphate buffered saline (PBS), samples were transmitted into plastic containers containing 6-7 ml 10% formalin. For the preparation of thin tissue slides, the paraffin wax treatment was used. Morphological experiments were conducted by Iji, Saki, and Tivey (2001) method. Cutting form the paraffin mold was conducted using device microtome (Leitz 1512, Germany). The conducted cuttings had thickness of 6 μm and after staining, optical microscope equipped with CCD Camera (Olympus, CX31-P, USA) was used for measuring parameters.
Statistical analysis
The experimental data were analyzed using MSTATC software in a completely randomized design and means were compared using Duncan's multiple range test at the significance level 5%.
Results and discussion
Carcass characteristics
The results related to adding different levels of Thymolina® on the characteristics of carcasses of broiler are indicated in Table 3.
Intestinal morphology
The results obtained from measuring intestinal morphological characteristics are represented in Table 4. Significant difference was observed among treatments in different parts of the intestine including villi length, villi width, crypt depth, and thickness of the epithelium (p < 0.05). The maximum height of villi was related to the 5 g kg-1 Thymolina® treatment and the minimum one was related to the 20 g kg-1 Thymolina® treatment. The maximum width of villi was related to the control treatment and the least was related to the 5 g kg-1 Thymolina® treatment. The maximum depth of crypt was related to the 20 g kg-1 Thymolina® treatment and the minimum one was related to the 10 g kg-1 Thymolina® treatment. The number of goblet cells was not affected and no significant difference was observed among treatments (p > 0.05). The most number of these cells was related to the 5 g kg-1 Thymolina® treatment and the lowest number was related to the 20 g kg-1 Thymolina® treatment. In addition, there was no significant difference among treatments (p < 0.05). The highest villus height to width ratio was related to the 10 g kg-1 Thymolina® treatment and the lowest one was related to the 20 g kg-1 Thymolina® treatment. In addition, there was significant difference among treatments in this regard (p < 0.05).
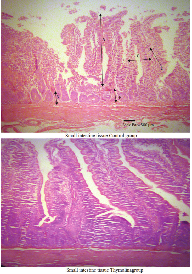
Prepared sections of the small intestine tissue were stained by Hematoxylin-Eosin are illustrated as follows (Figure 1).
Carcass characteristics
The percentage of carcass yield and pectoral muscle were significantly affected (p < 0.05). Experiment groups receivers of medicinal plant of Thymolina® enjoy numerically higher percentage of carcass than the control group. The relative increase in the percentage of carcass can be related to the antibacterial effects of the medicinal plant because according to t Lee, Everts, and Beyen (2003), among the deficits of the existence of harmful bacteria in digestive systems, the increase in the breakdown of protein and amino acids by the deamination activity of digestive microbes on consumed proteins and amino acids as well as the increase in their breakdown due to the secretion of substances such as urease enzymes by microbes can be referred to. Therefore, regarding the fact that the use of medicinal plants reduce the intestinal microbial population; therefore, the speed of the breakdown of protein and amino acids in digestive juices reduces and more amount of them are absorbed and stored in the body; as a result, by improving the percentage of organs of carcasses, it causes the reduction in the conversion of protein to fat and lower amounts of fat can be accumulated in the body.
According to different researchers, the efficiency of the weight of pectoral muscle and carcass in treatments which used Thymolina® reduced. The reason can be due to the composition of the basic diet (diets with low digestibility), the feed consumption ratio as well as hygiene and environmental standards.
In addition, the use of medicinal plants mainly due to antibacterial effects and effective materials available in them cause the improvement in digestion and absorption efficiency of different nutritional materials such as amino acids and consequently, they causes the improvement in carcass characteristics of broiler chickens.
The results obtained from this experiment is consistent with the results of Alcicek, Bozkurt, and Cabuk (2003); Bassett, (2000); Jayaprakasha, Rao, and Sakariah (2000); but inconsistent with those of Sarica, Corduk, and Kilinc (2005); Mandal, Biswas, and Sarkar (2000). The difference available between the results each be due to the difference in the ratio of using medicinal plants, the type of medicinal plants, the studied chickens, and management conditions.

Intestine morphology
A significant difference can be observed among groups in villus height, villus width, crypt depth and epithelial thickness of the intestine (p < 0.05). The highest villi height was related to the 5 g kg-1 Thymolina® treatment and the lowest one is related to the 20 g kg-1 Thymolina® treatment. The highest degree of villi width was related to the control treatment and the lowest one was related to the 5 g kg-1 Thymolina® treatment. The highest crypt depth was related to the 20 g kg-1 Thymolina® treatment and the least one was related to the 10 g kg-1 Thymolina® treatment. The results obtained from this experiment are consistent with the results of Garcia, Catala-Gregori, Hernandez, Megias, and Madrid (2007). The number of goblet cells was not affected and no significant difference was observed among treatments (p > 0.05). The most number of these cells was related to the 5 g kg-1 Thymolina® treatment and the lowest number was related to the 20 g kg-1 Thymolina® treatment. The results obtained from this experiment are consistent with the results of Haghighikhoshkhoo, Akbariazad, Moayer, and Pajouhandeh (2010).
It seems that Thymolina®, with the reduction of harmful bacteria, the decrease in the production of toxic compounds and harmful intestinal bowel wall, and creating a favorable environment of intestinal villi growth, causes the growth of intestinal villi.
Longer villi cause the prevention of more rapid passage, the lower feces moisture content and lower feed conversion ratio. Therefore, the longer the villi are, the more absorption capacity the small intestine has. Villi height in chickens fed with medicinal plants causes that these compounds reduce the accumulation of pathogenic bacteria in the walls of the small intestine and causes the reduction in the production of toxic compounds by bacteria and causes the conversion in the morphology of the wall of intestines of broiler chickens. As a result, they prevent the destruction and damages to epithelial cells of the intestinal wall. Crypt depth contains specialized cells including absorption and goblet cells. Goblet cells secrete glycoprotein compounds that are known as mucous membranes which protect the intestine from the damages of bacteria and environmental toxins (Forstner, 1978). Therefore, mucous membranes have important roles in protecting the intestine against pathogenic bacteria. The essence of medicinal plants stimulates the activity of intestinal mucosa and pancreatic digestive enzymes (Platel & Srinivasan, 2000). It is likely that the reduction in the depth of crypt in the experiment group was related to the reduction of volatile fatty acids in the intestinal lumen and antibacterial effects. Medicinal plants, by reducing the activity of harmful microorganisms and the reduction in intestine inflammation and causes the reduction in the degree of reconstruction (Walton, 1988). In case of the reduction of goblet cells, it seems that the reduction of the number of these cells probably causes the reduction in the production of mucin, and at last it causes the reduction of wasting indigenous protein.
Due to a more stabilized intestinal health, animals are less exposed to microbial toxins and other undesired microbial metabolites, such as ammonia and biogenic amines. Consequently, growth promoting feed additives relieve the host animal from immune defense stress during critical situations, raise the intestinal availability of essential nutrients for absorption, and thus, assist the animal to grow better within the framework of its genetic potential. Thymolina enhanced activities of trypsin, amylase in tissue homogenates of pancreas, small intestine, and jejunal chime content. Thymolina decreased microbial activity in terminal ileum, caecum, and colon, as was obvious from reduced bacterial colony counts and reduced chyme contents of volatile fatty acids as well as of biogenic amines. The antimicrobial mode of action is considered to arise mainly from the potential of the hydrophobic essential oils to intrude into the bacterial cell membrane, to disintegrate membrane structures and cause ion leakage.
In general, it seems that effects of medicinal plants on the intestine morphology depend on the equivalence between stimulating tissues and the useful effects on the intestine health. However, some part of the conversion in the activity of digestive enzymes created at the time of using medicinal plants may be due to the increase in the amount of enzyme secretion which is affected by some of the parts of these feed additives during intestinal stress (Steiner, 2009).
Conclusion
Results indicated that using Thymolina® in the diet of broiler chickens causes improvements in carcass characteristics and Morphology of Small Intestine. Therefore, it can be effective on the carcass characteristics and morphology of small intestine of broiler chickens and so may cause the improvement in performance. In general, the results of experiments of the present study indicated the use of 20 g kg-1 Thymolina® as herbal additives which may replace the growth promoting antibiotics without side effects.
Acknowledgements
The authors would like to extend their appreciation to the Islamic Azad University, Science and Research Branch, Tehran, Iran for their financial support
References
Alcicek, A., Bozkurt, M., & Cabuk, M. (2003). The effect of an essential oil combination derived from selected herbs growing wild in Turkey on broiler performance. South African Journal Animal Science, 33(2), 89-94.
Bassett, R. (2000). Oregano's positive impact on poultry production. World Poultry-Elsevier, 16, 31-34.
Ciftci, M., Güler, T., Dalkiliç, B., & Ertas, О. N. (2005). The effect of anise oil (Pimpinella an¡ sum L.) on broiler performance. International Journal of Poultry Science, 4(11), 851-855.
Cross, D. E., McDevitt, R. M., Hillman, K., & Acamovic, T. (2007). The effect of herbs and their associated essential oils on performance, dietary digestibility and gut microflora in chickens from 7 to 28 days of age. British Poultry Science, 48(4), 496-506.
Farag, R. S., Badei, Z. M. A., Hewedi, F. M., & El-Baroty, G. S. A. (1989). Antioxidant activity of some spice essential oils on linoleic acid oxidation in aqueous media. Journal of the American Oil Chemists' Society, 66(6), 792-799.
Forstner, J. F. (1978). Intestinal mucins in health and disease. Digestion, 17(3), 234-263.
Garcia, V., Catala-Gregori, P., Hernandez, F., Megias, M. D., & Madrid, J. (2007). Effect of formic acid and plant extracts on growth, nutrient digestibility, intestine mucosa morphology, and meat yield of broilers. The Journal of Applied Poultry Research, 16(4), 555-562.
Haghighikhoshkhoo, P., Akbariazad, G., Moayer, F., & Pajouhandeh, I. (2010) .Effect of dietary Butyrate on performance & small intestinal morphology of broilers. Jornal of Veterinary Clincal Research, 1(4), 235-232.
Hernández, F., Madrid, J., García, V., Orengo, J., & Megías, M. D. (2004). Influence of two plant extracts on broilers performance, digestibility, and digestive organ size. Poultry Science, 83(2), 169-174.
Iji, P. A., Saki, A. A., & Tivey, D. R. (2001). Intestinal development and body growth of broiler chicks on diets supplemented with non-starch polysac-charides. Animal Feed Science and Technology, 89(3-4), 175-188.
Jamroz, D., Kamel, C., Wiliczkiewicz, A., Wertelecki, T., Orda, J., & Skorupinsk, J. (2005). Use of active substances of plant origin in chicken diets based on maize and locally grown cereals. British Poultry Science, 46(4), 485-493.
Jamroz, D., Orda, I., Kamel, C., Wiliczkiewicz, A., Wertelecki, T., & Skorupinska, I. (2003). The influence of phytogenic extracts on performance, nutrient digestibility, carcass characteristics, and gut microbial status in broiler chickens. Journal of Animal and Feed Sciences, 12(3), 583-596
Jayaprakasha, G. K., Rao, L. J. M., & Sakariah, K. K. (2002). Improved HPLC method for the determination of curcumin, demehoxycurcumin and bisdemethoxy curcumin. Journal of Agricultural and Food Chemistry, 50(13), 3668-3672.
Jugl-Chizzola, M., Ungerhofer, E., Gabler, C., Hagmüller, W., Chizzola, R., Zitterl-Eglseer, K., & Franz, C. (2006). Testing of the palatability of Thymus vulgaris L. and Origanum vulgare L. as flavouring feed additive for weaner pigs on the basis of a choice experiment. Berliner Und Munchener Tierarztliche Wochenschrift, 119(5-6), 238-243.
Lee, K. W., Everts, H., & Beyen, A. C. (2003). Dietary carvacrol lowers body gain but improves feed conversion in female broiler chickens. The Journal of Applied Poultry Research, 12(4), 394-399.
Mandal, L., Biswas, T., & Sarkar, S. K. (2000). Broilers perform well on herbs or enzymes in maize diet. World Poultry, 16(5), 19-23.
Ozer, H., Sokme, M., Gulluce, M., Adiguzel, A., Sahin, F., Sokmen, A., Kilic, H., and Baris, O. (2007). Chemical composition and antimicrobial and antioxidant activities of the essential oil and methanol extract of Hippomarathum microcarpum (Bieb.) from Turkey. Journal of Agricultural and Food Chemistry, 55(3), 937-942.
Platel, K., & Srinivasan, K. (2000). Influence of dietary spices and their active principles on pancreatic digestive enzymes in albino rats. Nahrung, 44(1), 42-46.
Roth-Maier, D. A., Bohmer, B. M., Maass, N., Damme, K., & Pau-Licks, B. R. (2005). Efficiency of Echinacea purpurea on performance of broiler and layers. Archiv für Geflügelkunde, 69(3), 123-127.
Sarica, S., Corduk, M., & Kilinc, K. (2005). The effect of dietary L-carnitine supplementation on growth performance, carcass traits and composition of edible meat in Japanese quail Coturnix coturnix japonica. The Journal of Applied Poultry Research, 14(4), 709-715.
Steiner, T. (2009). Phytogenics in animal nutrition, natural concepts to optimize gut health and performance. Nottingham, UK: Nottingham University Press.
Stoni, A., Zitterl-Egelseer, K., Kroismayr, A., Wetscherek, W., & Windisch, W. (2006). Tissue recovery of essential oils used as feed additive in piglet feeding and impact on nutrient digestibility. Proceedings of the Society of Nutrition Physiology, 15, 60.
Valizadeh, M. R., Sadeghi, A. A., Chamani, M., Shawrang, P., & Feizi, F. (2014). The Effect of increasing dietary threonine to lysine ratio on carcass characteristics, mucin gene expression and morphological analysis of ileum of male broiler chickens challenged with Salmonella. International Journal of Biosciences, 5(10), 138-146.
Walton, J. (1988). Antibiotic resistance: an overview. The Veterinary Record, 122(11), 249-251.
Wei, A., & Shibamoto, T. (2007). Antioxidant activities and volatile constituents of various essential oils. Journal of Agricultural and Food Chemistry, 55(5), 1737-1742.
Windisch, W., Schedle, K., Plitzner, C., & Kroismayr, A. (2008). Use of phytogenic products as feed additives for swine and poultry. Journal of Animal Science, 86(14suppl), E140-E148.
Author notes
*Author for correspondence. E-mail: m.chamani@srbiau.ac.ir