ANIMAL PRODUCTION
Histomorphometric changes of testicular tissues by season and age of Algerian local donkeys (Equus asinus)
Histomorphometric changes of testicular tissues by season and age of Algerian local donkeys (Equus asinus)
Acta Scientiarum. Animal Sciences, vol. 44, e55775, 2022
Editora da Universidade Estadual de Maringá - EDUEM
Received: 13 September 2020
Accepted: 20 January 2021
ABSTRACT: The present investigation was undertaken to highlight the histomorphometric changes of testicular tissues according to season and age in donkeys (Equus asinus) under northern Algeria conditions. The experiment was conducted from February 2019 to January 2020. A total of 21 sexually mature donkeys were selected randomly. The testis were immediately collected after slaughter for the histological observation. The analysis of the correlation coefficients shows negative correlations between DL and other parameters such as DST, GCEH, TTA and ITSA, ranged between -0.24 and -0.79. Also, there were a high negative correlations between season and the histomorphometric parameters, except DL was revealed positive (r=0.65). On the other hand, there were positive correlations between age and testicular histomorphometrics parameters. The results indicated that DST, GCEH, TTA and ITSA values were significantly higher in winter and autumn seasons than in spring and summer seasons. It is also noteworthy that DST, GCEH, TTA and ITSA values were significantly higher in adult and aged donkeys than in young donkeys. Our comparative analysis of histological parameters, suggests that the sexual activity usually occurs during winter and autumn in local donkeys of Algeria. In addition, our results of histomorphometric of testicular tissues are correlated with age of donkeys.
Keywords: testis, histomorphometriy, tissues, season, age, donkeys (Equus asinus).
Introduction
Donkeys belong to the order Perissodactyls, family Equidae, present a wide diversity of species (Salimei & Francesco, 2012). According to statistical data, the donkey population is actually declining in Algeria (Norris, Little, Ryding, & Raw, 2021). To avoid the risk of extinction, it is important to establish a research program for a more detailed knowledge of reproductive activity in order to protect and maintain the asine species.
Horses specie present an atypical seasonal reproduction, which the spermatogenesis is continuous throughout the year, but with a reduction in spermatogenesis compared to that in the breeding season (Hafez & Hafez, 2000). In literature, the reproductive seasonality is not as well clear in donkeys, although the modifications in the sexual activity were correlated with the period of the year, geographical area, environmental conditions and food availability, but also affected by factors such as age and variations in climate (Tibary, Sghiri, Bakkoury, & Fite, 2006; Miragaya, Neild, & Alonso, 2018). Quantitative biometric study of the testis remains insufficient to determine the reproductive dynamics of donkeys (Aissanou & Ayad, 2020). The histological quantification of testicular parenchyma such as the tubule diameter, height of germ cells epithelium are important to study the male reproductive function (Helbig, Woodbury, Haigh, Collins, & Barth, 2007; Ibrahim, Al-sahaf, & Alwan, 2013; Shukla, Bhardwaj, & Virender, 2013). The volumetric proportion of seminiferous tubules and intertubular tissue such as the tubule diameter and the thickness of the seminiferous directly related to sexual activity (Paula, França, & Garcia, 1999).
The mammalian testis is the reproductive organ which contains many different compartments namely seminiferous tubules, interstitium, and cell types. The seminiferous tubules are the site of spermatogenesis, whereas the interstitium is responsible for androgen biosynthesis and paracrine secretion (Petersen, Seieroe, & Pakkenberg, 2015) which contain the Leydig cells, blood and lymph vessels as well as nerves of the testicular parenchyma (Diagone, Feliciano, Pacheco, & Vicente, 2012). The different stages of spermatogenesis process have been well documented in the literature (Chiarini-Garcia, Alves-Freitas, Barbosa, & Almeida, 2009; Moustafa, Sayed, Zayed, & El-Hafeez, 2015; Neves, Costa, & França., 2018), but the impact of seasonal variations on testicular compartments using histo-photometric measures is limited. The histological quantification of testicular parenchyma is constitute an important indicator of spermatogenic activity, providing information regarding the level of spermatogenesis(Altinsaat, Uner, Nesrin, & Ergun, 2009; Rua et al., 2017). The composition and morphometry of the testicular tissues can present inferences about valuable understanding of the reproductive physiology of Equidae species (Chiarini-Garcia et al., 2009; Han et al., 2016). Thus, numerous studies were performed based on qualitative and quantitative examination of the spermatogenic process in order to assess the parameters of reproductive biology (Azevedo et al., 2010; Costa et al., 2011).
Despite the economy value of donkeys by being the main source in transport and traction of donkeys in areas characterized with difficult reliefs, there are few published studies on their reproductive physiology. Also, to our knowledge, the influence of season and age on testicular tissues morphometry has never been reported in Algerian local donkey breed. Therefore, it is important to study the histological modifications of seminiferous tubules and interstitial tissues in donkeys, which may form a basis for understanding their reproduction. The present investigation was undertaken to highlight the histomorphometric changes of testicular tissues according to season and age in donkeys (Equus asinus) under northern Algeria conditions.
Materials and methods
This research was approved by the Scientific Council of the Faculty of Nature and Life Sciences (Report of Faculty Scientific Council #05 dated October 30, 2018), University of Bejaia, Algeria. Concerning the ethical aspects, the experimental procedure was performed according to good veterinary practice under farm conditions.
Study area
The experiment was conducted from February 2019 to January 2020 in the Jijel province of Algeria (36°47' N, 5°45' E). The province has four distinct seasons: winter (January to March), spring (April to June), summer (July to September) and autumn (October to December). The mean maximum summer and winter temperature is ranged from 31.3 to 36.3 °C (August) and from 6.6 to 7.7 °C (February). During the study period, the mean day length (minutes/day) is 610.6, 785.88, 851.03, and 677.16 for winter, spring, summer and autumn, respectively.
Animals
A total of 21 sexually mature donkeys (E. asinus) were selected randomly from of Taza Animal Park (Jijel province), distributed by seasons as follows: winter (n=5), spring (n=5), summer (n=4) and autumn (n=7). All donkeys were under condition of free stabling period. The age of the animals ranged between 3 and 18 years, determined from dentition analysis (Davézé &Raveneau, 2002). Linear measures as body length, thoracic circumference and withers height were performed using a specially graduated measuring tape. The body weight for each animal was calculated according to method of Pearson & Ouassat (1996). Animals were checked by a veterinarian and presented no signs of disease clinical especially in the testicular area.
Testicular measurements
The testis were immediately collected after slaughter, separated from the conjunctive and adherent tissues, and weighed with a digital balance. Three biometrics testicular vis. length (TL), width (TW) and height (TH) were selected and performed using sliding calipers. The testicular volume (TV) was calculated using according to validated formula TV= 4/3 π (TL/2 x TW/2 x TH/2), π = 3.14 (Love, Garcia, Riera, & Kenney, 1991).
Histological and histomorphoetric procedures
Testicular tissue processing was performed based on the previously described by Drury and Wallingtion (1980). The histological observation of testis tissues were obtained from the central testicular parenchyma.
The testes from all animals were fixed in buffered 10 % formalin of (pH 7.0) for 24h. Fixed testis portion were dehydrated with alcohol (70-95 %), cleared and embedded in paraffin wax. Step serial sections of 2-3 μm thick were obtained using a rotary microtome (Leica RM2125 RTS) and then stained with hematoxyline and eosin. The slides were examined under the light microscope (20 X) and the following measurements were taken: diameter of seminiferous tubules (DST), thickness of seminiferous tubules epithelium (GCEH), diameter of lumen (DL), thickness of tunica albuginea (TTA) and inter-tubular surface area (ITSA). All the morphometric measures were obtained using Image J software (Version 1.52, NIH, USA).
Statistical analysis
Data were analyzed using a mixed model for repeated measurements (Statview Software, Version 4.55) taking into account an autocorrelation between data obtained successively on the same animal. The data (± SD) were expressed as values of the testicular measurements and testicular tissue histomorphoetric (µm, cm3and g). The testes and epididymal measurements were analyzed using age (young: ≤5 years; adult: ≥5-≤10 years; aged: ≥11 years) and season (winter, spring, summer and autumn) and some testicular measurements (length, width, height, weight and volume) as factors of variation. The one-way variance analysis (ANOVA) was used to evaluate the obtained data. The values were statistically different when the p-value was <0.05.
Results
The overall mean (±SE) biometrics and histomorphometrics of testicular measurements in donkeys were shown in Table 1. Mean values of age and body weight body corporal score are 10.85 ±1.07 years and 195.66 ±6.45 kg, respectively. Mean values of biometrical testicular variables such as testis length, height, width, weight and volume are 6.71 ± 0.28 cm, 3.84 ± 0.17 cm, 5.01 ± 0.20 cm, 80.10 ± 8.43 g and 73.88 ± 7.85 cm3, respectively. Mean values of histomorphometric testicular variables such as DST, GCEH, DL, TTA and ITSA are 221.51 ± 2.32 µm , 68.71 ± 1.1 µm , 68.71 ± 0.77 µm , 991.3 ± 25.07 µm and 3704.75 ± 206 µm2, respectively.

The correlation coefficients between histomorphometric parameters in donkeys are presented in Table 2. The analysis of the correlation coefficients shows negative correlations between DL and other parameters such as DST, GCEH, TTA and ITSA, ranged between -0.24 and -0.79 (p <0.05). Whereas, the rest of correlation coefficients between the biometric values were positive ranged from 0.45 to 0.88 (p <0.05). Correlation coefficients (r) between testicular histomorphometrics, testicular biometrics and factor variation (age and season) in donkeys are summarized in Table 3. The analysis of the correlation coefficients between testicular biometrics, age and DL values shows negative correlations ranged between -0.24 and -0.79 (p <0.05). Also, There were a high negative correlations (p <0.001) between season and histomorphometric parameters, except DL was revealed positive (r=0.65). On the other hand, there were positive correlations between age, testicular biometrics and testicular histomorphometrics parameters (p <0.05).


The changes in diameter of seminiferous tubules, germ cells epithelium height, diameter of lumen, thickness of tunica albuginea and inter-tubular surface area expressed by seasons and age groups in donkeys (E. asinus) are shown in Figure 1 and 2, respectively. The results indicated that DST, GCEH, TTA and ITSA values were significantly (p <0.05) higher in winter and autumn seasons than in spring and summer seasons. However, DL values were significantly (p <0.05) lower in winter and autumn seasons than in spring and summer seasons. It is also noteworthy that DST, GCEH, TTA and ITSA values were significantly (p <0.05) higher in adult and aged donkeys than in young donkeys. Whereas, DL values were significantly (p <0.05) lower in adult and aged donkeys than in young donkeys.


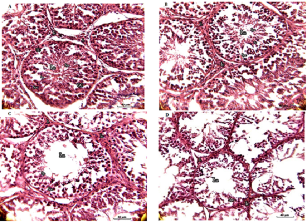
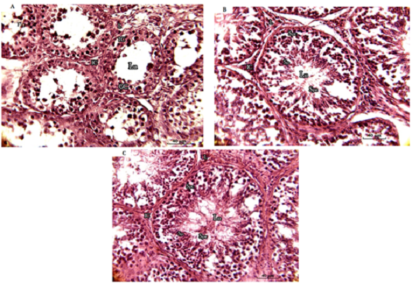
Observation of donkey testicular sections in winter and autumn season (Figure 3A and B) shows a larger diameter of the seminiferous tubules. The tubular lumen filled with spermatozoa and a thicker germinal epithelial layer composed of different types of spermatogenic cells. On the other hand, the observation of donkey testicular sections in spring and summer season (Figure 3C and D) shows a decrease in the size of donkey seminiferous tubules. The tubular lumen is more large and empty, and less interstitial tissue. Spermatocytes I and II are located at the seminiferous tubules periphery. Observation of testicular sections in young donkeys (Figure 4A) shows the seminiferous tubules containing a few germ cells in the tubular epithelium; the tubular lumen is empty and absence of spermatids and spermatozoa. The junction of the intertubular and the Leydig cells are proliferating. Figure 4B revealed that the seminiferous tubules of adult donkeys are characterized by a larger tubular diameter and a greater germinal thickness composed of different types of spermatogenic cells. The lumen is well charged with spermatozoa. The intertubular area is important and contains more Leydig cells. The same observation for the seminiferous tubules of aged donkeys compared to adult donkeys was noted, however with a high concentration of cell number (Figure 4C).
Discussion
Histological observations are useful in providing information on target cells and, to understand the organ physiology. The histomorphometric features of the testis have been described in several species such as bull, camel, goat, ram, rabbit, etc (Alkafafy, Ebada, Rashed, & Attia, 2012; Andreussi et al., 2014; Okpe &Ezeasor, 2016; Umar et al., 2017; Vaškas et al., 2018). The present study is the first histomorphometry investigation of the testis in Algerian local donkeys, showing the changes in testis compartments according to the season and the age of the animal. Data obtained of this present study are essential for a better understanding of the donkey’s reproductive biology in Algeria, and also to explain the correlation between the histomorphometric testis tissues and biometric measurements, which is one important aspect of conservation programs at risk of extinction.


The results of the semeniferous tubules diameter of Algerian donkey testis revealed that there were similar to those previously reported in wild donkeys (E. asinus africanus) (Nipken & Wrobel, 1997), Pega breed donkeys (Neves,Chiarini-Garcia, & França, 2002), Egyptian donkeys (Moustafa et al., 2015). Conversely, another survey (Han et al., 2016) has reported low values for semeniferous tubules diameter in Chinese donkeys compared to our findings. Also, Nipken & Wrobel (1997) and Moustafa et al. (2015) recorded values of germ cells epithelium height in donkeys similar to the results of the present study. However, the thickness of tunica albuginea values in Algerian donkeys was less than in the Chamurthi horse (Shukla et al., 2013). Likewise, average testis length, width and height in are lower than that described in Brazilian donkey (Gastal, Henry, Beker, & Gastal, 1997) and in Martina Franca donkeys (Carluccio, Villani, Contri, Tosi, & Battocchio, 2004). This is probably due to differences in the age and the larger size of the donkeys considered in the present study (140-250 vs. 400-450 kg). On the other hand, the mean value testis volume of donkeys obtained in this study is higher than that reported in the northeast Brazilian breed of donkeys (Rocha et al., 2018). The values of morphometric of the testicular parenchyma vary considerably among breeds, probably reflecting the spermatogenic activity for each breed. The differences between the average of testicular biometric and histomorphoetric measurements can be attributed to different factor such as breed, season, geographical site, and nutritional level.
Based on the histological measurements of testicular tissues, the current results describe the sexual activity of the Algerian donkey. Our founding revealed that DST, GCEH, TTA and ITSA were significantly (p <0.05) higher in winter (242.16±4.4, 67.04±1.2, 1256.13±26.35 and 5571.46±424.3, respectively) and autumn (241.14±4.53, 87.16±2.87, 1056.4±43.44 and 5488.14±399.08, respectively) (October to March) as compared with spring (196.62±3.13, 54.15±1.21, 755.05±31.97 and 1512.41±123.2, respectively) and summer (181.58±3.03, 57.96±1.45, 785.26±41.33 and 1577.6±185.2, respectively) (April to September). In contrast, DL values were significantly (p <0.05) higher during the spring and summer seasons (82.61±1.41 and 74.95±1.67). These data corroborate with the results obtained previously in other species (Dorostghoal, Erfani, & Gouraninezhad, 2009; Sudhakar, Bhardwaj, & Virender, 2010; Ibrahim et al., 2013), whose diameter of the seminiferous tubules were low decreased for long days and increased for short days. In the present work, the histological changes of donkeys testicular tissues in short day length (i.e. winter and autumn) were considerable compared to long day length (i.e. summer and spring), this corroborate with those reported by Aslam, Bansal, Uppal, and Gupta (2018) in Buffalo bulls. Also, Ovcharenko, Kudryashova, and Gribanova(2018) reported that the thickness of the tunica albuginea increases significantly in adult red deer during summer season. This could mean that the spermatogenic period starts in autumn season, which spermatocytes become larger in size, seminiferous tubules diameter also increased, testis weight, length and width increased and seminiferous lumen decreased and be more loaded with spermatozoa. Furthermore, the histomorphometric values of testis tissues were highly correlated (p <0.001) negatively with the season in this current investigation, except the lumen diameter. The increase in the diameter of the seminiferous tubules during the autumn and winter season is due to important proliferation of developing germ cells in their epithelium, causing the extend of seminiferous tubule.
It is known that the organization of interstitial tissue associated with the lymphatic system changes over the reproductive cycle, including the morphological of Leydig cell population (Abd-Elaziz, Kassem, Zaghloul, Der-Balah, & Bolefa, 2012). Our observations revealed that of Leydig cells during winter and autumn season are very abundant and well tightly packed occupying the intertubular area with few connective tissue. On the other hand, the observation of donkey’s testicular sections in spring and summer season shown that Leydig cells are dispersed in abundant connective tissue with extensive peritubular lymphatic sinusoids and very small interstitial lymphatics. Furthermore, several studies has been reported that a decrease in Leydig cells size in the seasonal species, such as rock hyrax, camel, viscacha and hamster, during the non-breeding season (Neaves, 1973; Sinha Hikim, Bartke, & Russell,1988; Muñoz et al., 1997; Alkafafy et al., 2012).
A significant negative correlation was recorded between the lumen diameterand donkeys age; this probably due to a decrease in the number of various cell types in the seminiferous epithelium. In parallel, there was a negative correlation between the diameter of lumen and the height of the germ cells and the diameter of seminiferous tubules. Our results are in agreement with reports by previously researchers. Hondo et al. (1998) reported that the area of the seminiferous epithelium and tunica albuginea weights are higher in older horses and the seminiferous epithelium area increased age-dependently, Also, Saber (1994) observed that the cells occupied about 4% of the intertubular area in 2-years old donkey, and became 8% at the age of 6 years, then declined to about 6% at the age of 9-years. However, In African wild donkey (E. asinus africanus), the diameter of seminiferous epithelial decreases from the age of 5 years by 3 µm per year and reaching 70 µm in the 10-year-old (Nipken & Wrobel, 1997). These differences could be explained by wild or domestic specie type, genetic diversity, nutriment quality and environmental factors.
Conclusion
The present study is the first to describe the histomorphometrical changes in testis tissues as well as correlations of testicular histomorphometric parameters according to season and age in Algerian donkey. Our comparative analysis of histological parameters, such as diameter of seminiferous tubules, germ cells epithelium height, diameter of lumen, thickness of tunica albuginea and inter-tubular surface area, suggests that the sexual activity usually occurs during winter and autumn in local donkeys of Northern Algeria. In addition, our results of all measured parameters are correlated with age of donkeys. These obtained data constitute one step to understand deeper the reproduction of donkeys in Algeria. However, further studies are needed to confirm our results undertaking sperm analysis and hormone measurements.
Acknowledgements
The authors gratefully acknowledge all person, especially Dr. Oulfa Nedjar for the help during the sampling of male reproductive organs and for their hospitality in Taza Animal Park (Jijel province). Also, our sincere thanks to Pr. Aicha Zebboudj and Pr. Mohamed Sahnoune (Laboratory of Ecology and Environment, University of Bejaia, Algeria), and Mrs. HakimaYahi for reception in their laboratory.
References
Abd-Elaziz, M. I., Kassem, A. M., Zaghloul, D. M., Der-Balah, A. E., & Bolefa, M. H. (2012). Ultrastructure of the interstitial tissue in the testis of Egyptian dromedary camel (Camelus dromedarius). Pakistan Veterinary Journal, 32(1), 65-69.
Aissanou, S., & Ayad, A. (2020). Influence of age, body weight and season on testicular and epididymis biometrics in donkeys (Equus asinus). International Journal of Morphology, 38(5), 1434-1443. DOI: http://dx.doi.org/10.4067/S0717-95022020000501434
Algérie. (2003). Rapport national sur les ressources génétiques animales: Algérie. Argel, DZ: Ministry of Agriculture and Rural Development; Food and Agriculture Organization. Retrieved from https://camed.cirad.fr/content/download/4232/31564/version/1/file/Commission+Nationale+AnGR+2003+Rapport+National+sur+les+Ressources+G%C3%A9n%C3%A9tiques+Animales+-+Alg%C3%A9rie.pdf
Alkafafy, M., Ebada, S., Rashed, R., & Attia, H. (2012). Comparative morphometric and glycohistochemical studies on the epididymal duct in the donkey (Equus asinus) and dromedary camel (Camelus dromedarius). Acta Histochemica, 114(5), 434-447. DOI: https://doi.org/10.1016/j.acthis.2011.08.005
Altinsaat, Ç., Üner, A. G., Nesrin, S. U. L. U., & Ergün, A. (2009). Seasonal variations in serum concentrations of melatonin, testosterone, and progesterone in Arabian horse. Ankara Üniversitesi Veteriner Fakültesi Dergisi, 56(1), 19-24.
Andreussi, P. A. T., Costa, D. S., Faria, F. J. C., Fernandes, C. A. C., Santos, M. D., & Silva, J. C. B. (2014). Testicular histomorphometric evaluation of Zebu bull breeds. Brazilian Archives of Biology and Technology, 57(6), 900-907. DOI: https://doi.org/10.1590/S1516-8913201402262
Aslam, B., Bansal, N., Uppal, V., & Gupta, A. (2018). Histochemical variations in buffalo testis during different seasons. Indian Journal of Veterinary Anatomy, 30(2), 113-115.
Azevedo, M. H. F., Paula, T. A. R., Matta, S. L. P., Fonseca, C. C., Costa, E. P., Costa, D. S., & Peixoto, J. V. (2010). Cell population indexes of spermatogenic yield and testicular sperm reserves in adult jaguars (Panthera onca). Animal Reproduction Science, 118(1), 83-88. DOI: https://doi.org/10.1016/j.anireprosci.2009.05.018
Carluccio, A., Villani, M., Contri, A., Tosi, U., & Battocchio, M. (2004). Studio preliminare su alcune caratteristiche seminali e morfometriche testicolari dello stallone asinino di Martina Franca. Ippologia,1(4), 23-26.
Chiarini-Garcia, H., Alves-Freitas, D., Barbosa, I. S., & Almeida, F. R. (2009). Evaluation of the seminiferous epithelial cycle, spermatogonial kinetics and niche in donkeys (Equus asinus). Animal Reproduction Science, 116(1-2), 139-154. DOI : https://doi.org/10.1016/j.anireprosci.2008.12.019
Costa, K. L. C., Matta, S. L. P., Gomes, M. D. L. M., Paula, T. A. R., Freitas, K. M., Carvalho, F. D. A. R., … Mendis-Handagama, S. C. (2011). Histomorphometric evaluation of the neotropical brown brocket deer Mazama gouazoubira testis, with an emphasis on cell population indexes of spermatogenic yield. Animal Reproduction Science, 127(3-4), 202-212. DOI: https://doi.org/10.1016/j.anireprosci.2011.07.016
Davézé, J., & Raveneau, A. (2002). Le livre de l'âne. Paris, F R: Rustica.
Diagone, K. V., Feliciano, M. A., Pacheco, M. R., & Vicente, W. R. (2012). Histology and morphometry of the testes of adult domestic cats (Felis catus). Journal of Feline Medicine and Surgery, 14(2), 124-130. DOI: https://doi.org/10.1177/1098612X11431531
Dorostghoal, M., Erfani, M. N., & Gouraninezhad, S. (2009). Stereological study of Arabian ram testis during different seasons. Iranian Journal of Veterinary Research, 10(4), 360-366.
Drury, R. A., & Wallington, E. A. (1980). Histological techniques. New York, NY: Oxford University Press.
Gastal, M. O., Henry, M., Beker, A. R., & Gastal, E. L. (1997). Effect of ejaculation frequency and season on donkey jack semen. Theriogenology, 47(3),627-638. DOI: https://doi.org/10.1016/S0093-691X(97)00021-6
Hafez, E. S. E., & Hafez, B. (2000). Semen evaluation in reproduction in farm animals. Philadelphia, PA: Lippincott Williams & Wilkins.
Han, H., Wang, A., Liu, L., Zhao, G., Su, J., Wang, B., & Hu, S. (2016). Testicular characteristics and the block to spermatogenesis in mature hinny. Asian-Australasian Journal of Animal Sciences, 29(6), 793. DOI: https://doi.org/10.5713/ajas.15.0670
Helbig, L., Woodbury, M. R., Haigh, J. C., Collins, J., & Barth, A. D. (2007). The seasonal fertility of North American bison (Bison bison) bulls. Animal Reproduction Science, 97(3-4), 265-277. DOI: https://doi.org/10.1016/j.anireprosci.2006.02.001
Hondo, E., Murabayashi, H., Hoshiba, H., Kitamura, N., Yamanouchi, K., Nambo, K., & Yamada, J. (1998). Morphological studies on testicular development in the horse. Journal of Reproduction and Development, 44(4), 377-383. DOI: https://doi.org/10.1262/jrd.44.377
Ibrahim, N. S., Al-Sahaf, M. M. H., & Alwan, A. F. (2013). Reproductive activity of mature Iraqi bull buffaloes: testes dimensions and histological picture. International Journal of Animal and Veterinary Advances, 5(1), 34-37. DOI: https://doi.org/10.19026/IJAVA.5.5573
Love, C., Garcia, M., Riera, F. R., & Kenney, R. M. (1991). Evaluation of measures taken by ultrasonography and calipers to estimate testicular volume and predict daily sperm output in the stallion. Journal of Reproduction and Fertility, 44(1), 99-105.
Miragaya, M. H., Neild, D. M., & Alonso, A. E. (2018). A review of reproductive biology and biotechnologies in donkeys. Journal of Equine Veterinary Science, 65(1), 55-61. DOI: https://doi.org/10.1016/j.jevs.2017.12.005
Moustafa, M. N. K., Sayed, R., Zayed, A., & El-Hafeez, A. H. (2015). Morphological and morphometric study of the development of seminiferous epithelium of donkey (Equus asinus) from birth to maturity. Journal of Cytology & Histology, 6(6), 1. DOI: https://doi.org/10.4172/2157-7099.1000370
Muñoz, E., Fogal, T., Dominguez, S., Scardapane, L., Guzmán, J., & Piezzi, R. S. (1997). Seasonal changes of the Leydig cells of viscacha (Lagostomus maximus maximus). A light and electron microscopy study. Tissue and Cell, 29(1), 119-128. DOI: https://doi.org/10.1016/S0040-8166(97)80078-X
Neaves, W. B. (1973). Changes in testicular Leydig cells and in plasma testosterone levels among seasonally breeding rock hyrax. Biology of Reproduction, 8(4), 451-466. DOI: https://doi.org/10.1093/biolreprod/8.4.451-X
Neves, E. S., Chiarini-Garcia, H., & França, L.R. (2002). Comparative testis morphometry and seminiferous epithelium cycle length in donkeys and mules. Biology of Reproduction, 67(1), 247-255. DOI: https://doi.org/10.1095/biolreprod67.1.247
Neves, E. M., Costa, G. M. J., & França, L. R. (2018). Sertoli cell and spermatogenic efficiencies in Pêga Donkey (Equus asinus). Animal Reproduction, 11(4), 517-525.
Nipken, C., & Wrobel, K. H. (1997). A quantitative morphological study of age-related changes in the donkey testis in the period between puberty and senium. Andrologia, 29(3), 149-161. DOI: https://doi.org/10.1111/j.1439-0272.1997.tb00310.x
Norris, S. L., Little, H. A., Ryding, J., & Raw, Z. (2021). Global donkey and mule populations: Figures and trends. PLoS ONE, 16(2), e0247830. https://doi.org/10.1371/journal.pone.0247830
Okpe, G. C., & Ezeasor, D. N. (2016). Influence of naturally unilateral cryptorchidism on the histomorphometry of the testes and daily sperm production in West African Dwarf goats. Iranian Journal of Veterinary Rsearch, 17(1), 13-19.
Ovcharenko, N. D., Kudryashova, I. V., & Gribanova, O. G. (2018). Influence of exogenous and endogenous factors on the histomorphology of the red deer interstitial compartment of testicle. Ukrainian Journal of Ecology, 8(4), 462-468.
Paula, T. A. R., França, L. R., & Garcia, H. C. (1999). Seminiferous epithelium cycle and its duration in capybaras (Hydrochoerus hydrochaeris). Tissue & Cell, 31(3), 327-334, DOI: https://doi.org/10.1054/tice.1999.0039
Pearson, R. A., & Ouassat, M. (1996). Estimation of the liveweight and body condition of working donkeys in Morocco. Veterinary Record, 138(10), 229-233. DOI: https://doi.org/10.1136/vr.138.10.229
Petersen, P. M., Seierøe, K., & Pakkenberg, B. (2015). The total number of Leydig and Sertoli cells in the testes of men across various age groups-a stereological study. Journal of Anatomy, 226(2), 175-179. DOI: https://doi.org/10.1111/joa.12261.
Rocha, J. M., Ferreira-Silva, J. C., Neto, H. H. F. V., Moura, M. T., Ferreira, H. N., Silva Júnior, V. A., & Oliveira, M. A. L. (2018). Immunocastration in donkeys: clinical and physiological aspects. Pferdeheilkunde-Equine Medicine, 34(1), 12-16. DOI: https://doi.org/10.21836/PEM20180102
Rua, M. A. S., Quirino, C. R., Veja, W. H. O., Bartholazzi Junior, A., Bastos, R., Matos, L. F., & David, C. M. G. (2017). Biometric testicular and serum testosterone concentration of Brazilian Ponies stallions. Revista Brasileira de Saúde e Produção Animal, 18(1), 204-210. DOI: https://doi.org/10.1590/S1519-99402017000100019
Saber, A. S. (1994). Intertubular topography of the testis of donkey. Assiut Veterinary Medicine Journal, 30(60), 39-50.
Salimei, E., & Fantuz, F. (2012). Equid milk for human consumption. International Dairy Journal, 24(2), 130-142. DOI: https://doi.org/10.1016/j.idairyj.2011.11.008
Shukla, P., Bhardwaj, R. L., & Rajput, R. (2013). Histomorphology and micrometry of testis of chamurthi horse. Indian Journal of Veterinary Anatomy, 25(1), 36-38.
Sinha Hikim, A. P., Bartke, A., & Russell, L. D. (1988). Morphometric studies on hamster testes in gonadally active and inactive states: light microscope findings. Biology of reproduction, 39(5), 1225-1237. DOI: https://doi.org/10.1095/biolreprod39.5.1225
Sudhakar, L. S., Bhardwaj, R. L., & Virender, P. (2010). Effect of the season on the histology and histochemistry of the male genital organs of Gaddi goat and Gaddi sheep. Indian Journal of Animal Sciences, 80(1), 27-30.
Tibary, A., Sghiri, A., Bakkoury, M., & Fite, C. L. (2006). Reproductive patterns in donkeys. In Proceedings of the 9th World Equine Veterinary Congress (p. 311-320). Marrakech.
Umar, Z., Qureshi, A. S., Rehan, S., Ijaz, M., Faisal, T., & Umar, S. (2017). Effects of oral administration of black seed (Nigella sativa) oil on histomorphometric dynamics of testes and testosterone profile in rabbits. Pakistan Journal of Pharmaceutical Sciences, 30(2), 531-536.
Vaškas, Ž., Razmaite, V., Juodžiukyniene, N., Pockevičius, A., Kerziene, S., Juozaitiene, V., & Aniuliene, A. (2018). Correlation of histomorphometrical parameters in ram testes. Veterinarija ir Zootechnika, 76(98), 96-102.
Author notes
* Author for correspondence. E-mail: abdelhanine.ayad@univ-bejaia.dz