IMÁGENES EN CARDIOLOGÍA
Amiloidosis senil cardíaca: patrón atípico de realce por resonancia magnética y utilidad de la gammagrafía/SPECT
Senile Cardiac Amyloidosis: Magnetic Resonance Enhancement Atypical Pattern and Usefulness of Scintigraphy/SPECT
Amiloidosis senil cardíaca: patrón atípico de realce por resonancia magnética y utilidad de la gammagrafía/SPECT
Revista argentina de cardiología, vol. 86, núm. 6, p. 55, 2018
Sociedad Argentina de Cardiología
Se presenta el caso de un paciente de 84 años de edad que ingresó por un episodio de fibrilación auricular e insuficiencia cardíaca de novo. En el ecocardiograma Doppler color se evidenció remodelado ventricular izquierdo, con función sistólica biventricular en el límite inferior normal.


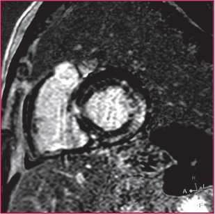
Se realizó una resonancia magnética cardíaca donde se observó moderada dilatación biauricular con función sistólica de ventrículos izquierdo y derecho global deprimida en grado leve (FEy: 50% y 46%, respectivamente), sin derrame pericárdico ni pleural, con realce tardío a los 10 minutos posteriores a la administración de material de contraste (gadolinio) en los niveles intramiocárdico y subepicárdico difuso, con predominio de los segmentos basales y a el nivel auricular (patrón no isquémico), compatible con amiloidosis cardíaca como diagnóstico presuntivo (Figura 1).
El patrón habitual consiste en un realce subendocárdico y general (que no compromete a un territorio coronario, como se observa en la cardiopatía isquémica). (1) Existen otros patrones que podrían relacionarse con la evolución de esta enfermedad, donde se observa de modo parcheado, localizado o transmural (2), como en el caso que se presenta.
Debido a los hallazgos de la resonancia magnética, se solicitó una gammagrafía miocárdica con 99 mtic-piro-fosfato/SPECT. Se adquirieron imágenes a los 60 y 180 minutos posinyección, de cuerpo entero en proyecciones anterior y posterior, y selectivas de la región cardíaca (anterior, oblicua anterior izquierda y lateral izquierda).
A los 180 minutos también se obtuvieron imágenes cardíacas en modo SPECT. En las imágenes de 60 y 180 minutos posinyección planares y SPECT, se observó una captación aumentada y difusa del trazador en el miocardio, compatible con amiloidosis TTR (hereditaria o senil) (Figura 2). (3)
BIBLIOGRAFÍA
1. Perugini E, Rapezzi C, Piva T, Leone O, Bacchi-Reggiani L, Riva L, et al. Non-invasive evaluation of the myocardial substrate of cardiac amyloidosis by gadolinium cardiac magnetic resonance. Heart 2006;92:343-9. http://doi.org/brzd9w
2. García-Pavía P, Tomé-Esteban M, Rapezzi C. Amiloidosis. También una enfermedad del corazón. Rev Esp Cardiol 2011;64:797-808. http:// doi.org/chkr8z
3. Rapezzi C, Quarta CC, Guidalotti PL, Longhi S, Pettinato C, Leone O, et al. Usefulness and limitations of (99m)tic-3,3-diphosphono-1,2 propanodicarboxylic acid scintigraphy in the aetiologial diagnosis of amyloidotic cardiomyopathy. Eur J Nucl Med Mol Imaging 2001:38:470-8. http://doi.org/bjjqgn