CARTAS CIENTÍFICAS
Procedimiento con dióxido de carbono para el tratamiento de una endofuga tipo II sin la utilización de contraste yodado
Carbon Dioxide Procedure for the Treatment of aType-II Endoleak Without Using Iodinated Contrast
Procedimiento con dióxido de carbono para el tratamiento de una endofuga tipo II sin la utilización de contraste yodado
Revista Argentina de Cardiología, vol. 86, núm. 5, pp. 370-371, 2018
Sociedad Argentina de Cardiología

El tratamiento endovascular se ha convertido en una de las modalidades de tratamiento del aneurisma aórtico abdominal (AAA), especialmente en presencia de una anatomía adecuada. Los beneficios del abordaje incluyen menor morbilidad y mortalidad a corto plazo. En esta presentación, puntualizamos dos aspectos importantes de dicho abordaje. Por un lado, la necesidad de utilizar medios de contraste para colocar el dispositivo, y por otro, la presencia de endofugas como complicación posoperatoria.
El uso de contraste yodado durante el abordaje endovascular puede conducir a eventos adversos en pacientes con alergia al material de contraste o que están en riesgo de nefropatía inducida por contraste.(1) El dióxido de carbono es un gas no nefrotóxico, no alergénico, y es un posible sustituto del yodo como medio de contraste.
El uso del dióxido de carbono (CO2-DSA) se ha estudiado ampliamente, sobre todo desde el advenimiento de un sistema de administración seguro y eficiente (como la bomba inyectora), sumado a la disponibilidad de un software de imágenes para la adquisición y el postprocesamiento. En este caso, mediante la angiografía con dióxido de carbono (CO2) se determinó la presencia de una endofuga tipo II proveniente de la arteria iliolumbar izquierda.
Por otro lado, en presencia de crecimiento del saco aneurismático, en general se recomienda tratar las endofugas tipo II. Lo que aún no se ha definido es cuál de los distintos métodos es el que se asocia con mejores resultados.
El objetivo de esta presentación es mostrar la primera experiencia nacional en un nuevo abordaje endovascular sin la necesidad de contraste yodado, con la infusión mecanizada de dióxido de carbono, para detectar y guiar el tratamiento de una endofuga tipo II.
Varón de 78 años que consulta por crecimiento progresivo de su saco aneurismático (con imagen por ecodoppler, tomografía no contrastada y radiografía simple de abdomen), secundario a endofuga tipo II. Presenta antecedente de insuficiencia renal crónica no dialítica, enfermedad pulmonar obstructiva crónica y colocación de endoprótesis por aneurisma de aorta abdominal en 2010.
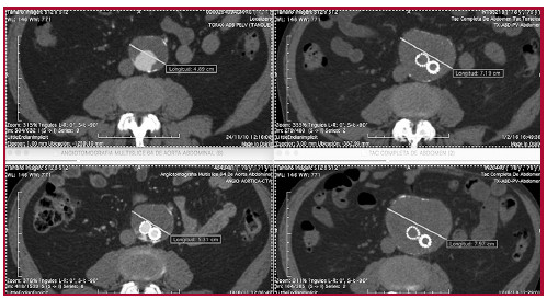
En seguimientos sucesivos se determinó la presencia de endofuga tipo II, la cual fue seguida por imágenes tomográficas hasta que alcanzó los 76 mm, momento en que se decidió su tratamiento. (Figura 1) En la imagen radiográfica se verificó, además, una pequeña migración de la rama contralateral a la altura de su inserción en el muñón contralateral.

Mediante la inyección de 100 ml de CO2 a 300 mm de Hg, a través de un introductor femoral e inyección automatizada (Angiodroid Srl., San Lazzaro, Bologna, Italia), se pudo evidenciar una endofuga tipo II a expensas de la arteria iliolumbar, rama de la arteria hipogástrica izquierda (Figuras 2a y 2b). Luego de su canulación selectiva, se evidenció un nido en el saco aneurismático, que tenía, además una rama eferente lumbar. Se decidió entonces la embolización con coils fibrados (Concerto 3D Detachable Coil System, Medtronic, Santa Rosa, EUA) de las ramas aferentes, eferentes y nido de la endofuga. Posteriormente se colocó una extensión ilíaca Cook de 13 mm de diámetro (Cook Inc., Bloomington, IN, EUA) para reparar la endofuga tipo III. (Figura 2c)

(AIL, arteria iliolumbar) alimentando la endofuga tipo II. Resultado final con la embolización con coils de la arteria aferente, eferente y nido de la endofuga con coils.
El uso de la arteriografía de CO2 fue desarrollado por primera vez por Hawkins en 1982. (2) Desde entonces, se ha reconocido que el CO2 tiene muchas propiedades que lo convierten en un agente de contraste eficaz para la angiografía. (3, 4) Dos de las características más atractivas del CO2 es el hecho de no ser nefrotóxico ni alergénico. Aprovechar estas propiedades del CO2 requiere una modalidad avanzada de adquisición de imágenes fluoroscópicas, además de un software específico para postprocesamiento de las mismas.
Hasta ahora, numerosos estudios han demostrado la seguridad y la viabilidad de la angiografía de CO2 en la reparación endovascular de aneurisma (EVAR). (5) Sin embargo, para la detección de las endofugas tipo II, la sensibilidad y el valor predictivo positivo fueron deficientes. (6) De acuerdo con informes previos, esto puede estar relacionado con el hecho de que el CO2 es un gas y las ramas lumbares son posteriores en su ubicación. Con el paciente en decúbito supino, es poco probable que el CO2 se distribuya hacia atrás; de ahí la importancia de la canulación selectiva y la posición de la camilla en Trendelemburg. Por otro lado, creemos que el volumen y la velocidad del flujo sanguíneo pueden contribuir a la visualización más que la ubicación de la arteria.
La mayoría de las endofugas de tipo II desaparecen durante el período de seguimiento. Solo las endofugas persistentes de tipo II pueden ser un problema clínico, asociado al crecimiento del saco aneurismático, el aumento en la tasa de reintervención, la necesidad de conversión a cirugía abierta y la ruptura. En pacientes con endofuga persistente tipo II (> 6 meses), se debe considerar un seguimiento o la reintervención más frecuentes. Este caso reveló que el abordaje con CO2 puede ser una opción para detectar y guiar el tratamiento de pacientes con endofugas tipo II, con reducción de la dosis de material de contraste y, por tanto, del riesgo de nefropatía inducida por contraste en pacientes con disfunción renal.
La inyección de CO2 no tóxico a través de un dispositivo automatizado permitió realizar este procedimiento de manera efectiva. Específicamente para estas endofugas, la utilización de CO2 permite una correcta visualización cuando se lo compara con el medio de contraste estándar, con un beneficio significativo para la función renal.
Referencias
1. Walker SR, Yusuf W, Wenham PW, Hopkinson BR. Renal complications following endovascular repair of abdominal aortic aneurysms. J Endovasc Surg 1998;5:318-22. http://doi.org/dj9jbd
2. Hawkins IF, Caridi JG. Carbon dioxide (CO2) digital subtraction angiography: 26-year experience at the University of Florida. Eur Radiol 1998;8:391-402. http://doi.org/dr5gdp
3. Patel BN, Kapoor BS, Borghei P, Shah NA, Lockhart ME. Carbon dioxide as an intravascular imaging agent: review. Curr Probl Diagn Radiol 2011;40:208-17. http://doi.org/cs77
4. Huang SG, Woo K, Moos JM, Han S, Lew WK, Chao A, et al. A prospective study of carbon dioxide digital subtraction versus standard contrast arteriography in the detection of endoleaks in endovascular abdominal aortic aneurysm repairs. Ann Vasc Surg 2013;27:38-44. http://doi.org/f4h4bq
5. Sueyoshi E, Nagayama H, Sakamoto I, Uetani M. Carbon dioxide digital subtraction angiography as an option for detection of endoleaks in endovascular abdominal aortic aneurysm repair procedure. J Vasc Surg 2015;61:298-303. http://doi.org/f6x56b
6. de Almeida Mendes C, de Arruda Martins A, Teivelis MP, Kuzniec S, Varella AY, Wolosker N. Carbon Dioxide as Contrast Medium to Guide Endovascular Aortic Aneurysm Repair. Ann Vasc Surg. 2017;39:67-73. http://doi.org/f9xk3k