CARTAS CIENTÍFICAS
Tratamiento de la disección aórtica crónica complicada mediante la embolización de la falsa luz distal
Treatment of a Complicated Chronic Aortic Dissection with Distal False Lumen Embolization
Tratamiento de la disección aórtica crónica complicada mediante la embolización de la falsa luz distal
Revista Argentina de Cardiología, vol. 86, núm. 4, pp. 298-299, 2018
Sociedad Argentina de Cardiología

El tratamiento endovascular para la disección aórtica tipo B complicada consiste, fundamentalmente, en cubrir el sitio de entrada primario, redireccionar el flujo sanguíneo hacia la luz verdadera y, por tanto, descomprimir la falsa luz. Sin embargo, el flujo retrógrado a través de sus reentradas distales, especialmente en el paciente crónico, dificulta la trombosis de dicha falsa luz. Esto constituye el talón de Aquiles en el caso de pacientes crónicos con dilatación aneurismática, de modo que la supervivencia de estos enfermos, asociada con la remodelación aórtica, está en directa relación con la persistencia del flujo en la falsa luz.
La técnica original del “Candy-plug” fue descripta en 2013 por el grupo de T. Kölbel y colaboradores de la Universidad de Hamburgo, quienes presentaron este procedimiento para conseguir la oclusión de la dilatación aneurismática de la falsa luz secundaria a una disección crónica tipo B. El dispositivo utilizado era un segmento corto de endoprótesis, que, modificado en el quirófano, adquiría la forma de un caramelo. (1) Dicho dispositivo era introducido en la falsa luz y se lograba así su trombosis.
Aquí presentamos un caso de disección aórtica crónica de tipo B complicada con dilatación aneurismática, que se trató con éxito utilizando la técnica del tapón oclusor mediante una extensión aórtica colocada en la falsa luz, como la segunda de las etapas de su tratamiento.
En 2015, se diagnosticó una disección aórtica aguda tipo B no complicada en un hombre de 74 años con antecedentes de hipertensión y tabaquismo. El paciente fue tratado médicamente mediante control de su presión arterial. Sin embargo, la disección aórtica evolucionó con una dilatación aneurismática, que al momento de la consulta presentaba 78 mm de diámetro máximo transverso. En septiembre de 2017, se realizó un by-pass carótido-subclavio y colocación de endoprótesis aórtica (Zenith TX2, Bloomington, IN, USA), cubriendo el origen de la arteria subclavia hasta el origen del tronco celíaco, seguido de la oclusión de la arteria subclavia proximal mediante “plug”.
Cuatro meses después del procedimiento, el flujo sanguíneo retrógrado persistía a través de reentradas distales en las aortas visceral, abdominal e ilíaca, y el aneurisma se expandió a 89 mm en su diámetro máximo transverso.
Con el propósito de excluir la falsa luz, sin comprometer el flujo visceral ni el intercostal o lumbar, se utilizó la técnica conocida como “tapón de caramelo” (o Candy plug) modificada. Mediante anestesia general, drenaje de LCR, control estricto de la presión arterial y guiado por angiografía y ultrasonido intravascular (Philips Volcano Intravascular Ultrasound, IVUS, Visions® PV .035 digital IVUS catheter, Volcano Corporation, San Diego, CA), el equipo quirúrgico procedió a canular la falsa luz.
Mientras tanto, un segmento aórtico abdominal corto de 36 × 50 mm (Zenith Graft Main Body Extension, Cook Medical, Bloomington, IN, USA) fue modificado en el quirófano. Para preparar el dispositivo con forma de copa, se desplegó parcialmente solo la primera fila de stents. Para restringir la apertura de esa primera hilera, se la cercó colocándole una doble sutura de hilo de PTFE 3-0, lo que limitó de esa manera su apertura a un diámetro máximo de 16 mm, produciendo una forma similar a una copa invertida. Por el interior de dicha zona angostada debía quedar un espacio suficiente para poder sacar el extremo distal del dispositivo que transporta la endoprótesis (cono), una vez que aquella estuviera desplegada. Luego, la endoprótesis vascular se recargó y se preparó de manera estándar.
Mediante control con IVUS se desplegó la extensión aórtica en la falsa luz, exactamente a la altura del extremo distal de la endoprótesis previa colocada en la luz verdadera (Fig. 1). Finalmente, se colocó un Amplatzer Vascular Plug II de 22 mm (AGA Medical Corp., North Plymouth, MN, EE. UU.) en el centro del tapón para completar la oclusión. La angiografía final no mostró flujo retrógrado residual en la luz aneurismática.
El paciente fue dado de alta al segundo día del posoperatorio, sin complicaciones.

Fig. 1. A. Imagen angiográfica intraoperatoria que muestra la endoprótesis torácica en la luz verdadera y el tapón (endoprótesis en forma de copa invertida) en la luz falsa. B. Imágenes de ecografía intravascular, tanto desde la luz verdadera como desde la falsa, mostrando la presencia de flujo, sitio de despliegue del tapón y origen del tronco celíaco
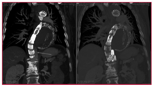
La angiotomografía efectuada al alta no mostró endofuga, con trombosis completa de la falsa luz por encima del dispositivo oclusor (Fig. 2).

Fig. 2. Tomografía preoperatoria (izquierda) y posoperatoria (derecha) con evidencia de flujo en la falsa luz distal (flecha roja), que desaparece luego de colocado el tapón.
El tratamiento de la dilatación aneurismática de la aorta descendente secundaria a una disección crónica es, sin duda, uno de los problemas más desafiantes de la cirugía vascular. La meta es la exclusión completa de la falsa luz, para lograr su despresurización y, por tanto, anular el riesgo de ruptura.
En estos casos, la cirugía abierta significa la resección del aneurisma mediante tóraco-freno-laparotomía, lo que va acompañado de un clampeo aórtico secuencial, en general, con algún complemento circulatorio (derivación parcial del corazón izquierdo, técnica de perfusión mediante catéteres ramificados o derivación axilo-femoral) y reimplante de las arterias intercostales, al igual que las ramas viscerales. Incluso en manos experimentadas, esta cirugía se acompaña de una alta tasa de morbimortalidad.
Por otro lado, el tratamiento endovascular mediante la colocación en la luz verdadera de endoprótesis fenestradas o ramificadas, aun en procedimientos secuenciales, no solo implica una alta inversión en capacitación, tecnología y dispositivos, sino que además se acompaña de una tasa de paraplejia cercana al 12% y una mortalidad superior al 10%. (2)
Es por dicha razón que surge este abordaje, combinando procedimientos en la luz verdadera (colocación de endoprótesis para oclusión del orificio de entrada, despresurización, redireccionamiento del flujo hacia la luz verdadera) con procedimientos en la luz falsa. Al ocluir la luz falsa se evita el flujo retrógrado hacia el interior del aneurisma, pero sin la necesidad de seguir cubriendo segmentos distales de la aorta, lo que implicaría un mayor riesgo de paraplejia.
La técnica del “Candy-plug” o “tapón de caramelo” es una opción de tratamiento útil para la oclusión de la falsa luz en la disección aórtica crónica tipo B. Kölbel y colaboradores describieron originalmente esta técnica usando una endoprótesis Zenith TX-2 ProForm (Cook Medical, Bloomington, IN, EE. UU.). (1) Años más tarde, Rholffs y colaboradores informaron los primeros resultados en 18 pacientes en los que se utilizó esta técnica. (3) En esa publicación demostraron la factibilidad del tratamiento, asociado con una baja tasa de morbilidad y mortalidad debido a su mínima invasividad. (3)
En nuestro caso, el resultado fue similar. Logramos trombosar completamente el aneurisma con un injerto aórtico de 36 mm para la falsa luz y un segundo de 32 mm en la aorta descendente, dejando ambos inmediatamente por arriba del tronco celíaco. No significó un mayor riesgo medular, aun con la ubicación distal de ambas endoprótesis.
Un detalle técnico de importancia fue, además, la utilización de la ecografía intravascular. Dicha técnica es beneficiosa, especialmente en pacientes con disecciones crónicas, con múltiples orificios de entrada y reentrada. Asimismo, la ecografía intravascular nos permitió verificar el nivel exacto al que debían abrirse las endoprótesis, para evitar ocluir ramos viscerales. Especialmente en este caso, seleccionamos también el orificio de reentrada apropiado para introducir el dispositivo oclusor.
Se realizó una reparación endovascular exitosa, secuencial, utilizando la técnica modificada de “Candyplug” para un aneurisma de la falsa luz residual en la aorta torácica descendente. Esta técnica tiene el potencial de ocluir eficazmente la falsa luz dilatada con un riesgo bajo de complicaciones neurológicas.
Declaración de conflicto de intereses
Los autores declaran que no poseen conflicto de intereses. (Véanse formularios de conflicto de intereses de los autores en la web/Material Suplementario)
BIBLIOGRAFÍA
1. Kölbel T, Lohrenz C, Kieback A, Diener H, Debus ES, Larena-Avellaneda A. Distal false lumen occlusion in aortic dissection with a homemade extra-large vascular plug: the candy-plug technique. J Endovasc Ther. 2013;20:484-9. http://doi.org/f46g68
2. Oikonomou K, Kopp R, Katsargyris A, Pfister K, Verhoeven EL, Kasprzak P. Outcomes of fenestrated/branched endografting in postdissection thoracoabdominal aortic aneurysms. Eur J Vasc Endovasc Surg. 2014;48:641-8. http://doi.org/f8k9g3
3. Rohlffs F, Tsilimparis N, Fiorucci B, Heidemann F, Debus ES, Kölbel T. The Candy-Plug Technique: Technical Aspects and Early Results of a New Endovascular Method for False Lumen Occlusion in Chronic Aortic Dissection. J Endovasc Ther. 2017;24:549-55. http://doi.org/f9575r
Notas de autor
Av. Del Libertador 5878 4a. CABA. C1428ARO. drferreira@yahoo.com