Comunicación Breve
Impresión tridimensional en doble vía de salida del ventrículo derecho para simplificar la reparación intraventricular
Three-Dimensional Printing Model in Double-Outlet Right Ventricle to Simplify Intraventricular Repair
Impresión tridimensional en doble vía de salida del ventrículo derecho para simplificar la reparación intraventricular
Revista Argentina de Cardiología, vol. 86, núm. 3, pp. 209-213, 2018
Sociedad Argentina de Cardiología

Recepción: 12 Febrero 2018
Aprobación: 15 Abril 2018
Resumen:
Introducción: La impresión tridimensional (3D) de estructuras anatómicas está ganando interés en cirugía de cardiopatías congénitas. Reportamos el caso de un niño de 6 años con doble vía de salida del ventrículo derecho, subtipo Fallot, que fue sometido a reparación quirúrgica con parche intracardíaco. Este procedimiento se realizó con asistencia de dos modelos impresos 3D: uno del corazón y otro del parche para el túnel.
Material y métodos: La evaluación preoperatoria se realizó mediante ecocardiograma Doppler color transtorácico, cateterismo cardíaco y angiotomografía computarizada multidetectores con reconstrucción 3D. Los modelos tridimensionales del corazón y el parche virtualmente diseñados para crear el túnel intracardíaco fueron impresos, para evaluar posibilidades y estrategias en la reparación. Ambos modelos 3D fueron esterilizados para uso intraoperatorio.
Resultados: El corazón 3D mostró en forma precisa la posición de la comunicación interventricular con respecto a las estructuras adyacentes, incluidas las válvulas pulmonar, tricúspide y aorta. La planificación virtual, simulación e impresión 3D del molde del parche fue útil para la confección del parche suturado para el túnel. El ecocardiograma Doppler color posoperatorio evidenció una reparación efectiva sin obstrucción residual.
Conclusiones: Los modelos cardíacos impresos 3D de la anatomía intracardíaca junto con la simulación e impresión de parches, usando angiotomografia computarizada multidetectores, podrían brindar valiosa información para la planificación preoperatoria en pacientes con doble vía de salida de ventrículo derecho tipo Fallot. Los modelos 3D impresos del parche también podrían ser útiles para simplificar e incrementar la eficacia de procedimientos complejos.
Palabras clave: Impresión Tridimensional, Procedimientos Quirúrgicos Cardíacos, Cardiopatías Congénitas, Ventrículo Derecho con Doble Salida.
Abstract:
Introduction: Three-dimensional (3D) printing of anatomical structures is gaining interest in congenital heart surgery. We report the case of a 6 year-old boy with double-outlet right ventricle, tetralogy of Fallot subtype, who underwent surgical repair with intracardiac patch. This procedure was performed with the support of two 3D printed models: one of the heart and another of the tunnel patch.
Materials and Methods: Transthoracic color Doppler echocardiography, cardiac catheterization, and multi-detector row computed tomography angiography with 3D reconstruction were performed as preoperative evaluation. The 3D models of the heart and the patch –virtually designed to create the intracardiac tunnel– were printed to evaluate possibilities and strategies during the repair. Both 3D models were sterilized for intraoperative use.
Results: The 3D heart accurately showed the position of the ventricular septal defect regarding adjacent structures, including the pulmonary, tricuspid, and aortic valves. The virtual planning, simulation, and 3D-printed patch model were useful for making the sutured patch for the tunnel. Postoperative color Doppler echocardiography revealed an effective repair with no residual obstruction.
Conclusions: Three-dimensional printing models of the intracardiac anatomy, together with simulation and patch printing, using multi-detector row computed tomography angiography, could provide valuable information for preoperative planning in patients with double-outlet right ventricle, tetralogy of Fallot subtype. The 3D-printed patch models could also be useful to simplify and increase the efficacy of complex procedures.
Keywords: Printing, Three-Dimensional, Cardiac Surgical Procedures, Heart Defects Congenital, Double Outlet Right Ventricle.
INTRODUCCIÓN
Las cardiopatías congénitas abarcan un extraordinario espectro de malformaciones morfológicas. La comprensión completa de la anatomía y fisiología es fundamental para el diagnóstico y tratamiento. Los estudios imagenológicos utilizados para el diagnóstico y tratamiento quirúrgico son la ecocardiografía, el cateterismo cardíaco, la angiotomografía computarizada e imagen por resonancia magnética nuclear. Si bien los procesos para la adquisición de las imágenes están generalmente estandarizados, la interpretación puede ser subjetiva, según la experiencia. (1, 2)
La impresión tridimensional (3D) es una innovadora tecnología emergente en Medicina en continua evolución y se ha descripto su uso en diferentes especialidades. El interés en cirugía cardíaca pediátrica ha aumentado y permite obtener modelos cardíacos que son capaces de reproducir anomalías complejas del corazón y de los grandes vasos. (3) Si bien se ha reportado el uso de modelos tridimensionales en diferentes cardiopatías congénitas, su utilidad en la doble vía de salida del ventrículo derecho (DVSVD) es importante, ya que permite comprender en forma más precisa la compleja anatomía, evaluar estrategias preoperatorias y determinar las posibilidades de cirugía correctiva, dado que mejora los resultados.(3, 4) La DVSVD es un tipo de defecto conotruncal en el que ambas, arteria pulmonar y aorta, se originan en el ventrículo derecho en forma completa o predominante. La nomenclatura internacional de la Society of Thoracic Surgery y la European Association of Cardiac and Thoracic Surgery clasifica cuatro subtipos de DVSVD basados en la relación de la comunicación interventricular (CIV) con los grandes vasos y la presencia de obstrucción a la vía de salida del ventrículo derecho: 1) DVSVD tipo CIV, 2) DVSVD tipo Fallot, 3) DVSVD tipo TGA (Taussig-Bing) y 4) DVSVD tipo no relacionada. (5, 6)
Se reporta el caso de un niño de 6 años con DVSVD, subtipo Fallot, que fue sometido a reparación quirúrgica con parche intracardíaco. Este procedimiento se realizó con asistencia de dos modelos impresos 3D: uno del corazón y otro del parche para el túnel.
MATERIAL Y MÉTODOS
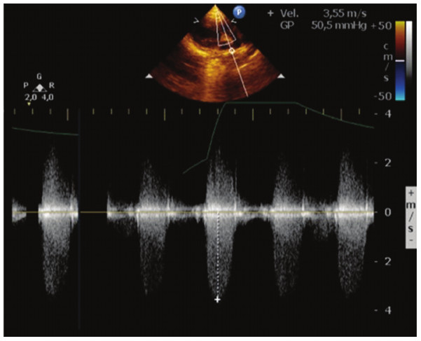
Un niño de 6 años de 15 kg fue derivado a nuestro hospital, debido a disnea. Al examen físico presentaba saturación del 92% aire ambiente, soplo sistólico 4/6 en el área pulmonar y componente pulmonar del segundo ruido disminuido. La presión arterial era de 90/60 mmHg y la frecuencia cardíaca, de 100 latidos por minuto. El ecocardiograma Doppler color y el cateterismo cardíaco revelaron DVSVD, subtipo Fallot, con estenosis valvular y subvalvular pulmonar moderada (Figura 1). Se realizó una angiotomografía computarizada (ATC) multidetectores (Toshiba Aquilion 64 detectores, Japón) con reconstrucción 3D mediante cortes de 0,5mm de espesor. Fue necesario disminuir la frecuencia cardíaca del paciente con una dosis de 1 mg/kg de propranolol oral 6 h antes del estudio para mejorar la adquisición de imágenes. Se evidenció una arteria subclavia derecha aberrante y una anomalía coronaria de arteria descendente anterior originada en la coronaria derecha, cruzando la vía de salida de ventrículo derecho (Figura 2 A). Las imágenes en formato DICOM (Standard Digital Imaging and Communications in Medicine) fueron enviadas a una work station independiente para la creación del modelo cardíaco 3D, habiendo utilizado para ello programas abiertos o libres para diseños asistido por computadora (CAD), como InVesalius 3.0 (Sao Paulo, Brasil), Blender 2.76 (Amsterdam, Holanda) y Meshmixer (California, EE. UU.). Estos programas permitieron limpiar, analizar y procesar las imágenes inicialmente y posteriormente convertirlas a un archivo STL (standard tessellation language) para la impresión 3D. EL modelo del corazón fue construido usando un método semiautomático donde un caparazón (1,5-2 mm de espesor) fue creado alrededor del pool de sangre, con la consiguiente substracción de esta. Se realizó sustracción de las estructuras óseas y de la anatomía no deseada por métodos tradicionales utilizando CAD software. El modelo del corazón fue impreso con la impresora Kikai Labs Maker T125 (Buenos Aires, Argentina), que utiliza extrusión de fibras de polímero termoplásticas (ABS: acrilonitrilo butadieno estireno) y el método de modelo de depósito por fusión (FDM) (Figura 2 B).


Las imágenes y el modelo 3D fueron evaluadas y discutidas por los miembros del equipo multidisciplinario de cardiopatías congénitas y profesionales en la unidad de biomodelos 3D. Con el modelo 3D impreso, se evaluó el diámetro de la CIV, la distancia a la aorta, la posibilidad de tunelización, la proximidad de la válvula tricúspide y el potencial tamaño y forma del parche. Además, se diseñó virtualmente el parche para el túnel, que posteriormente se imprimió para su uso como molde durante la cirugía (Figura 3 A).

Ambos modelos 3D fueron esterilizados para su uso intraoperatorio con gases fríos. Luego de la esternotomía mediana, se colocó al paciente en circulación extracorpórea mediante canulación aórtica y bicaval.
Se visualizó la arteria descendente anterior emergiendo de la arteria coronaria derecha y cruzando la VSVD, y la disposición lado a lado de los grandes vasos.
Se pinzó con clamps la aorta, se administró cardioplejía y se abrió la aurícula derecha. Luego de retraer la valva septal de válvula tricúspide, se visualizó la CIV. La aorta estaba cabalgando 90% en el septum interventricular. El diámetro de la CIV, distancia a la aorta y posibilidades de construcción fueron reevaluadas y comparadas a los modelos 3D impresos del corazón y el parche.
La distancia del margen inferior de la CIV al margen anterior del anillo aórtico fue medida y comparada con el parche impreso, el cual se utilizó como “molde” para cortar el parche de Dacron para la confección del túnel (Figura 3 A). Se colocaron puntos horizontales en U de prolene 5-0 en el margen de la CIV, en el margen muscular entre la CIV y la válvula tricúspide, y alrededor del anillo aórtico. Luego de colocar el parche a través de las suturas, este fue acomodado y anudado. No fue necesario realizar cortes adicionales al parche, ya que tenía el tamaño preciso como había sido calculado en forma preoperatoria (Figura 3 B) El tracto de salida de ventrículo derecho fue ampliado mediante un parche de pericardio junto a la comisurotomía de la válvula pulmonar, para poder dilatar y preservar el anillo a un diámetro de 15 mm (z score –0,17). Luego de quitar los clamps, el paciente fue desconectado de la circulación extracorpórea en ritmo sinusal.
RESULTADOS
El corazón 3D mostró en forma precisa la posición de la CIV con respecto a las estructuras adyacentes, incluidas las válvulas pulmonar, tricúspide y aorta. La planificación virtual, simulación e impresión 3D del molde del parche fue útil para la confección del parche suturado para el túnel. El ecocardiograma Doppler color posoperatorio evidenció una reparación efectiva sin obstrucción residual en el túnel. Se demostró un gradiente valvular pulmonar de 20 mmHg, sin insuficiencia ni shunt residual. Se extubó al paciente en el día 1 poscirugía, requirió antibióticos por un cuadro de infección de vía aérea y recibió el alta al día 14 posoperatorio. El paciente se encuentra asintomático luego de 16 meses de la cirugía. Un ecocardiograma Doppler color evidenció buena función biventricular, sin gradiente significativo en VSVD (13 mmHg), insuficiencia valvular pulmonar leve, sin obstrucción en el túnel.
DISCUSIÓN
La impresión tridimensional es una tecnología que permite la creación de objetos sólidos en tres dimensiones a partir de imágenes digitales. (7) La aplicación de esta tecnología se ha utilizado para la optimización diagnóstica y planificación quirúrgica de diferentes cardiopatías congénitas, como las CIV, los anillos vasculares, los corazones univentriculares, las anomalías del retorno venoso pulmonar, los síndromes de corazón izquierdo hipoplásico, la tetralogía de Fallot, las DVSVD y las variantes complejas de transposición de grandes arterias, como se ha reportado recientemente. (3, 4, 8, 9, 10, 11, 12, 13, 14, 15) Sin embargo, es en la planificación prequirúrgica de pacientes con DVSVD donde quizás mayor utilidad tengan los modelos cardíacos 3D, como publicaron los grupos de Farooki K y cols. (8) y Garekar y cols., (9) respectivamente, lo que permite comprender la relación de la CIV, grandes vasos y válvulas para determinar y diseñar la forma, el tamaño y la orientación del túnel intraventricular visualizando simultáneamente las relaciones intracardíacas anatómicas. (10, 16)
La morfología de DVSVD está afectada por una cuidadosa descripción de la CIV y su relación con las válvulas sigmoideas, los grandes vasos, la anatomía coronaria y la presencia de obstrucción del tracto de salida derecho, izquierdo, la distancia entre el anillo pulmonar y el anillo tricuspídeo y la presencia o ausencia de lesiones cardíacas asociadas. (6) El tratamiento de elección en pacientes con DVSVD tipo Fallot, como nuestro reporte, incluye reparación con túnel intraventricular y liberación de la obstrucción de VSVD como fue realizado. (12)
En nuestro caso, la planificación preoperatoria fue simplificada con la impresión 3D del corazón y parche. La visualización de la CIV y su relación con la aorta en el modelo impreso fue similar a la vista quirúrgica. Las dimensiones y estructuras en los modelos a escala 1:1 se asemejaban con las del paciente. Se pudo visualizar claramente una gran porción del septum ventricular, así como CIV, anillo aórtico, pulmonar y asimismo la anomalía coronaria cruzando la VSVD. Esta tecnología nos permitió planificar el trayecto y dimensión del túnel y planificar una infundibulotomía segura.
Coincidimos con Hibino N y cols., (12) que la simulación computarizada con CAD facilitaría la creación de implantes específicos para el paciente. La precisión de la confección del túnel intraventricular se optimizó con la técnica empleada. Creemos que es muy útil imprimir el parche 3D diseñado virtualmente y usarlo como molde. Al igual que Farooqi K y cols., (8) demostramos que la impresión 3D ofrece la posibilidad única de permitirle al cirujano visualizar posibles vías del túnel en tres dimensiones. Sodian R y cols. (13) publicaron que la posibilidad de tener los modelos del corazón y parche impreso en la mano y examinarlo de diferentes perspectivas, optimiza el análisis de los abordajes ideales y anticiparse a posibles problemas. Las dimensiones y distancias se pueden identificar, como se pudo comprobar en nuestro caso. No creemos que esta tecnología tridimensional sea necesaria en todos los casos pediátricos, pero es una herramienta que permite tener mayor comprensión de la anatomía tridimensional cardíaca del paciente en cardiopatías complejas como DVSVD tipo Fallot, lo que mejora la planificación preoperatoria y la orientación intraventricular del túnel, y contribuye así a mejorar los resultados. Es fundamental un enfoque multidisciplinario entre radiólogo, cirujano, cardiólogo y especialistas en computación y diseño cooperando para lograr una preciso modelo 3D. (13)
En conclusión, este innovador método descripto podría ser de utilidad para pacientes con cardiopatías congénitas complejas, como DVSVD, en la planificación y ejecución de la cirugía, ya que optimiza la comprensión de la anatomía tridimensional y permite anticiparse a los desafíos técnicos de la patología. Serán necesarios modelos tridimensionales de otras cardiopatías complejas para continuar evaluando la utilidad de esta tecnología.
Declaración de conflicto de intereses
Los autores declaran que no poseen conflicto de intereses. (Véanse formularios de conflicto de intereses de los autores en la web / Material suplementario).
Agradecimientos
Al Dr. Javier Courtis y al Dr. Sergio Lucino del Instituto Oulton. Agradecemos a Santiago Garlot por su colaboración para el diseño e impresión del modelo 3D.
BIBLIOGRAFÍA
1. Schmauss D, Haeberle S, Hagl C, Sodian R. Three-dimensional printing in cardiac surgery and interventional cardiology: a single-centre experience. Eur J Cardiothorac Surg 2015;47:1044-52. http://doi.org/f7ghjp
2. Kappanayil M, Koneti NR, Kannan RR, Kottayil BP, Kumar K. Three-dimensional-printed cardiac prototypes aid surgical decision-making and preoperative planning in selected cases of complex congenital heart diseases: Early experience and proof of concept in a resource-limited environment. Ann Pediatr Cardiol 2017;10:117-25. http://doi.org/f99fcb
3. Cantinotti M, Valverde I, Kutty S. Three-dimensional printed models in congenital heart disease. Int J Cardiovasc Imaging 2017;33:137-44. http://doi.org/cpxh
4. Hermsen JL, Burke TM, Seslar SP, Owens DS, Ripley BA, Mokadam NA, et al. Scan, plan, print, practice, perform: Development and use of a patient-specific 3-dimensional printed model in adult cardiac surgery. J Thorac Cardiovasc Surg 2017;153:132-40. http://doi.org/f9g7tm
5. Artrip JH, Sauer H, Campbell DN, Mitchell MB, Haun C, Almodovar MC, et al. Biventricular repair in double outlet right ventricle: surgical results based on the STS-EACTS International Nomenclature classification. Eur J Cardiothorac Surg. 2006;29:545-50. http://doi.org/bpcjvs
6. Walters HL 3rd, Mavroudis C, Tchervenkov CI, Jacobs JP, Lacour-Gayet F, Jacobs ML. Congenital Heart Surgery Nomenclature and Database Project: double outlet right ventricle. Ann Thorac Surg 2000;69:S249-63. http://doi.org/d72rvr
7. Costello JP, Olivieri LJ, Su L, Krieger A, Alfares F, Thabit O, et al. Incorporating three-dimensional printing into a simulation-based con-genital heart disease and critical care training curriculum for resident physicians. Congenit Heart Dis 2015;10:185-90. http://doi.org/cpxj
8. Farooqi KM, Gonzalez-Lengua C, Shenoy R, Sanz J, Nguyen K. Use of a Three Dimensional Printed Cardiac Model to Assess Suitability for Biventricular Repair. World J Pediatr Congenit Heart Surg 2016;7:414-6. http://doi.org/cpxm
9. Garekar S, Bharati A, Chokhandre M, Mali S, Trivedi B, Changela VP, et al. Clinical Application and Multidisciplinary Assessment of Three Dimensional Printing in Double Outlet Right Ventricle With Remote Ventricular Septal Defect. World J Pediatr Congenit Heart Surg 2016;7:344-50. http://doi.org/f9n94n
10. Farooqi KM, Uppu SC, Nguyen K, Srivastava S, Ko HH, Choueiter N, et al. Application of Virtual Three-Dimensional Models for Simultaneous Visualization of Intracardiac Anatomic Relationships in Double Outlet Right Ventricle. Pediatr Cardiol 2016;37:90-8. http://doi.org/f786db
11. , Kütting M, Steinseifer U, Vazquez-Jimenez JF, Sonntag SJ. Using 3D Physical Modeling to Plan Surgical Corrections of Complex Congenital Heart Defects.Vodiskar. J Thorac Cardiovasc Surg 2017;65:31-5. http://doi.org/f9nfm9
12. Li S, Ma K, Hu S, Hua Z, Yang K, Yan J, et al. Surgical outcomes of 380 patients with double outlet right ventricle who underwent biventricular repair. J Thorac Cardiovasc Surg 2014;148:817-24. http://doi.org/f6f43k
13. Sodian R, Weber S, Markert M, Rassoulian D, Kaczmarek I, Lueth TC, et al. Stereolithographic models for surgical planning in congenital heart surgery. Ann Thorac Surg 2007;83:1854-7. http://doi.org/csf4jn
14. Jacobs S, Grunert R, Mohr FW, Falk V. 3D-Imaging of cardiac structures using 3D heart models for planning in heart surgery: a preliminary study. Interact Cardiovasc Thorac Surg 2008;7:6-9. http://doi.org/cqchbb
15. Ma XJ, Tao L, Chen X, Li W, Peng ZY, Chen Y, et al. Clinical application of three-dimensional reconstruction and rapid prototyping technology of multislice spiral computed tomography angiography for the repair of ventricular septal defect of tetralogy of Fallot. Genet Mol Res 2015;14:1301-9. http://doi.org/f7h6z5
16. Hibino N. Three Dimensional Printing: Applications in Surgery for Congenital Heart Disease. World J Pediatr Congenit Heart Surg 2016;7:351-2. http://doi.org/cpxn
Abreviaturas
DVSVD: Doble vía de salida del ventrículo derecho
ATC: Angiotomografía computarizada
CIV: Comunicación interventricular