Cartas científicas

Se trata de una mujer de 48 años, sin antecedentes personales patológicos, según las referencias familiares. Como único antecedente positivo informan que había tenido episodios de síncopes reiterados, una semana previa al deceso.
Presentó súbitamente malestar general inespecífico e intenso dolor torácico por lo que fue trasladada a un nosocomio, pero falleció antes de ingresar; en consecuencia, se solicitó la realización de autopsia judicial para determinar la causa de muerte.
Se realizó una placa radiográfica de tórax que mostró infiltrado de aspecto algodonoso y micronodulillar en el parenquima pulmonar perihiliar. No se observaron adenomegalias.
No se observaron lesiones cutáneas al examen externo.
En el examen interno se documentó cardiomegalia de 476,93 gramos, pericardio liso, al corte se reconocieron en miocardio extensas áreas blanquecinas nacaradas con áreas hemorrágicas de hasta 1 cm de espesor que comprometía ambos ventrículos, el septo interventricular y los músculos papilares. La lesión se extiendía desde el septo aurículo ventricular hasta 2 cm pre ápex. Las coronarias aparecían permeables.
Los pulmones aparecían congestivos, edematosos. No se evidenciaron adenomegalias macroscópicas. La hepatomegalia era de 2.220 gramos. El resto de los órganos y los sistemas no presentaban alteraciones significativas.
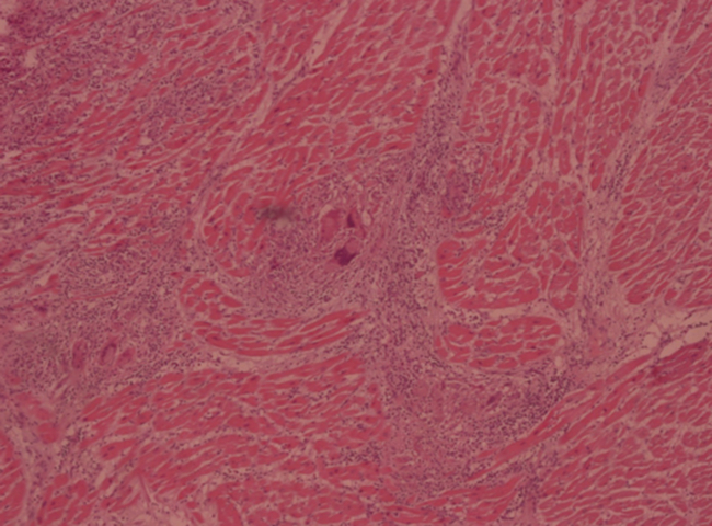
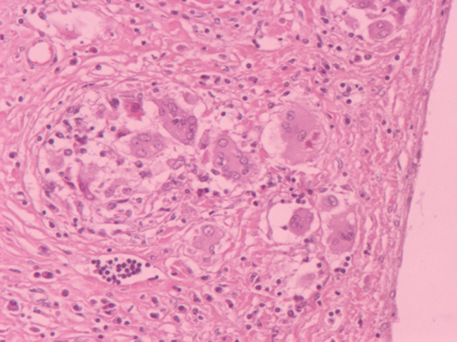
El estudio histológico del corazón mostró un infiltrado extenso de tipo linfoplasmocitario con eosinófilos, histiocitos y células gigantes multinucleadas con citoplasma de aspecto “apolillado”, otras células de citoplasma esmerilado (cuerpos de Schauman), otros de aspecto estrellado (cuerpos asteroides) que en sectores se encontraban circunscribiendo granulomas no caseificantes de tipo sarcoidal, que comprometía pericardio, miocardio ventricular, septal, músculos papilares y endocardio, que disecaba las fibras musculares con áreas de fibrosis . Se observó en sectores picnosis nuclear y homogenización de la fibra miocárdica. (Figuras 1 y 2)

Histología del tejido miocárdico.

Histología del tejido miocárdico.
El parénquima pulmonar y hepático presentaban granulomas de iguales características.
Se realizaron coloraciones especiales con técnicas de Ziehl Neelsen y PAS y no se observaron microorganismos específicos.
El diagnóstico del deceso fue de muerte súbita de origen cardíaco, secundaria a sarcoidosis sistémica con compromiso cardiovascular letal.
La afectación en orden de frecuencia en la (SC) es pared libre del ventrículo izquierdo seguido por el septo interventricular, el sistema cardionector, el ventrículo derecho y el pericardio. (2, 3, 6) En este caso la afectación fue extensa con compromiso de ambos ventrículos, el septo y los músculos papilares.
Clínicamente las arritmias son las manifestaciones más frecuentes; se debe sospechar esta enfermedad en pacientes jóvenes con bloqueo aurículo-ventricular completo, arritmias ventriculares, hipertrofia ventricular patológica, anomalías en la motilidad parietal o defecto de perfusión que comprometa la región anteroseptal y apical, que mejoran con el estrés. (1, 2, 6)
En una serie de autopsias analizadas por Silverman, 35% de los pacientes con SC fue clínicamente silente y 4 pacientes presentaron muerte súbita. (3) El caso que se presenta fue clínicamente asintómático hasta una semana previa al deceso cuando sufrió múltiples episodios de síncopes que culminaron con la muerte súbita.
Cuando existe afectación extrapulmonar y, especialmente compromiso cardíaco denotan un curso agresivo con mal pronóstico. (2)
El compromiso hepático se observa del 80 al 95% de los casos, y puede ser asintomático del 2 al 60%, como se observó en nuestro caso. (1, 4)
El tratamiento de elección es la terapia esteroidea e inmunosupresora, y en casos de afección cardíaca, se aconseja el uso precoz de dispositivos implantables intracardíacos ante la presencia de trastornos de la conducción. Los pacientes que evolucionan a la insuficiencia cardíaca terminal, la alternativa terapéutica es el trasplante cardíaco. (2, 3, 5, 6)
Consideramos de interés la presentación de este caso por tratarse de una enfermedad sistémica que tuvo curso silente y un desenlace letal.
Declaración de conflicto de intereses
Los autores declaran que no poseen conflicto de intereses. (Véanse formularios de conflicto de intereses de los autores en la web/ Material suplementario).
BIBLIOGRAFÍA
1. Gatti FC, Prahl P, Troielli P, Schroh R. Sarcoidosis. Un enfoque global. Med Cutan Iber Lat Am 2008; 36:165-82.
2. González EL, Vigliano C, Renedo F, Diez M, Cáneva J. Sarcoidosis cardíaca: descripción de tres casos. Rev Argent Cardiol 2010;78:361-3.
3. Velázquez Franco CJ, Ramírez Gómez LA. Sarcoidosis Cardíaca con compromiso pulmonar estadio IV. Rev Colomb Reumatol 2006;13:170-4.
4. Gómez Rubio J, Bárcena Atalaya AB, Macías-García L, de la Cueva Rubio J, García García A. Sarcoidosis hepática aislada, una forma de presentación inusual de una enfermedad sistémica. Semergen 2016;42:e44-e46. http://doi.org/f3hb9h
5. Altamar J, Tapias C, Rodríguez D, Sáenz L. Arritmias ventriculares como manifestación de Sarcoidosis cardíaca primaria. Rev Colomb Cardiol 2017;24:511.e1-511.e4. http://doi.org/cnt8
6. Belziti CA, Maldonado S, Vulcano N, Pérez De Arenaza D, Marenchino R, Domenech A y cols. Sarcoidosis cardíaca: trasplante cardíaco y recidiva de la enfermedad. Rev Argent Cardiol 2010;78:358-60.
Notas de autor
Santiago del Estero 1394-B° San Martin, Salta (BLB4400)