CARTAS CIENTÍFICAS
Tratamiento percutáneo de la disfunción valvular protésica en posición mitral: valve-in-valve mitral por vía transapical
Percutaneous Management of Prosthetic Valve Dysfunction in Mitral Position: Transapical Mitral Valve-In-Valve Implantation
Tratamiento percutáneo de la disfunción valvular protésica en posición mitral: valve-in-valve mitral por vía transapical
Revista argentina de cardiología, vol. 87, núm. 5, pp. 397-399, 2019
Sociedad Argentina de Cardiología
La afección de la válvula mitral y su resolución ocupa desde hace varios años a la cirugía cardíaca. La alteración del complejo mitral es generada por varias patologías que comprometen tanto las valvas, el anillo y los músculos papilares. El avance médico hizo que disminuyan las causas reumáticas y predominen las degenerativas, especialmente en los países desarrollados.
Desde la década de 1960 se cuenta con el desarrollo de prótesis valvulares tanto mecánicas como biológicas y diversas técnicas de reparación mitral. En la actualidad, con los grandes avances en el área cardiovascular, las indicaciones se extendieron y ampliaron el universo de pacientes tratados, con lo que la prolongación de la vida aumentó en forma considerable, 1 muy pocos pacientes con IM (insuficiencia mitral) grave sobreviven a largo plazo sin intervención. 2
La cardiología intervencionista desde el 2002 con Cribier con el implante transfemoral de una válvula aórtica y Cheung, en 2009, quien realizó el primer implante valve-in-valve, 3 son dos muestras del ingenio para resolver un problema cardíaco central evitando el uso de circulación extracorpórea y la apertura amplia del tórax.
Esta técnica se ha experimentado sobre todo con bioprótesis en posición aórtica, menos en la posición mitral y aun menos en la válvula tricúspide. 4
Las técnicas que requieren una intensa fase de aprendizaje pueden obtener mejores resultados en hospitales de alto volumen y más experiencia. 5
Los centros especializados en valvulopatías deben disponer de programas estructurados de entrenamiento. 4
El objetivo es presentar el primer implante valve-in-valve mitral por vía transapical en Argentina. Se trata de una mujer de 83 años, extabaquista con antecedente de infarto de miocardio previo en 2008. Fue sometida a cirugía combinada en 2009 con recambio valvular mitral biológico número 25 (válvula biológica porcina HVP) con bypass aorto-coronario venoso a la descendente anterior y bypass aorto-coronario venoso a lateroventricular de la arteria circunfleja. Presenta fibrilación auricular crónica anticoagulada e insuficiencia renal crónica con aclaramiento de creatinina de 32 mL/min.
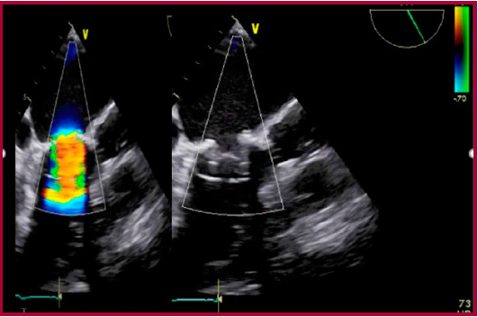
Se encontraba con disnea en clase funcional II, la cual progresa en los últimos meses a clase funcional III. En el ETT (ecocardiograma transtorácico), se observa insuficiencia mitral grave con jet excéntrico con efecto Coanda hasta el techo auricular, marcado colapso de ambas valvas. Insuficiencia tricúspidea grave con PSAP (presión sistólica de arteria pulmonar) de 75 mmHg. FSVI (Función sistólica ventricular izquierda) leve a moderada con FEY (Fracción de eyección) del 50%. Aquinesia inferior, inferolateral y septal posterior. Se realizó cinecoronariografía, en la que presentó una lesión moderada del tronco coronario izquierdo, lesión grave en la arteria descendente anterior, lesión grave en la arteria circunfleja, oclusión total de la arteria coronaria derecha; ambos bypass venosos se encontraban ocluidos. Se presentó el caso en el ateneo clínico-quirúrgico del servicio de cardiología, en el que se decidió realizar un implante valvular percutáneo en posición mitral (valve-in-valve) y el ingreso de la paciente al programa de cardiopatía estructural de la institución.
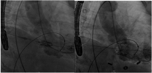
Se realizó bajo anestesia general y con apoyo de ecocardiografía transesofágica (ETE) con la cual se descartó la presencia de trombos. Con una minitoracotomía al nivel del quinto/sexto espacio intercostal anterior izquierdo y posterior apertura del pericardio, se aseguró con dos puntos de sutura concéntricas triangulares con prolene 3-0. Se realizó una punción directa del ápex y se avanzó una guía blanda que se intercambió por una guía ExtraStiff de 0,035” en la aurícula izquierda. Se corroboró bajo visión por ETE principalmente, ya que la válvula biológica implantada no nos proporcionaba bordes radiolúcidos como guía, de gran importancia para el posicionamiento; 6 esto se realizó en forma indirecta a través de un catéter cola de cerdo (pig tail) en el ventrículo izquierdo, la posición adecuada de la válvula Edwards balón-expandible SAPIENT XT número 26 (Figura 1), y, a través de marcapaseo rápido a 180 latidos por minuto, se expandió el balón y se desplegó la válvula, se controló por radioscopia, ventriculografía y ETE, su correcto funcionamiento, sin fugas paravalvulares, por lo que se dio por terminado el procedimiento en forma exitosa (Figura 2). La paciente pasó a unidad coronaria y a los 4 días fue dada de alta sin complicaciones.


En el ETT control, anterior al egreso y al mes posintervención, se observó la prótesis normofuncionante con gradientes adecuados.
El control clínico posterior a la intervención y al mes del procedimiento demostró una mejoría clínica evidente en clase funcional I. En el ETT realizado a los 5 meses de seguimiento, se observó el ventrículo izquierdo con función sistólica levemente deprimida, FEY del 48%. Aquinesia lateral e inferolateral, ventrículo derecho de tamaño conservado y función levemente deprimida TAPSE (excursión sistólica del plano del anillo tricúspideo) de 17, aurícula izquierda moderadamente dilatada, prótesis valvular mitral normofuncionante, insuficiencia tricúspidea moderada con PSAP 60 mmhg, en ritmo sinusal en todos los controles y clase funcional I.
El implante valve-in-valve en posición mitral por vía transapical es un procedimiento efectivo y seguro en pacientes de alto riesgo en quienes está contraindicada la cirugía.
El enfoque actual, casi sin restricciones en las indicaciones, nos enfrenta con un gran número de pacientes que, por edad, comorbilidades, disfunción ventricular y protésica, etc. representan un gran desafío para su tratamiento. Los scores de riesgo colaboran en gran forma con las indicaciones y restricciones de los procedimientos quirúrgicos. Esto puede determinar un límite extremo y desaconsejar un procedimiento quirúrgico convencional como lo representa el caso presentado.
El motivo de nuestra presentación es demostrar que este procedimiento es factible en nuestro medio y que el resultado obtenido es de alta calidad médica.
Es necesario el seguimiento a mediano y largo plazo de los pacientes sometidos a esta técnica, aunque la evidencia inicial nos muestra un panorama favorable y alentador en este tipo de pacientes.
La experiencia actual con las técnicas de reemplazo valvular mitral por vía percutánea es muy escasa, y las técnicas de reparación mitral quirúrgica han mostrado un beneficio superior frente al reemplazo valvular, en parte debido a la conservación de las cuerdas tendinosas y los músculos papilares. 6
Con el advenimiento de las nuevas bioprótesis, el reemplazo mitral percutáneo tendrá un crecimiento exponencial; luego de la fase inicial de las primeras experiencias, se deberá demostrar la factibilidad y la seguridad de estas válvulas, lo que tendrá que ser apoyado por estudios aleatorizados para establecer su valor pronóstico en el tratamiento de la valvulopatía mitral.
Este desarrollo de procedimientos mínimamente invasivos implica contar con tecnología de última generación, ya que es imposible llevar a cabo un programa de esta naturaleza sin contar con recursos de excelencia.
No dudamos que estos procedimientos serán utilizados en forma progresiva por todos los centros de salud de nuestro país.
BIBLIOGRAFÍA
1. Nkomo VT, Gardin JM, Skelton TN, Gottdiener JS, Scott CG, Enriquez-Sarano M. Burden of valvular heart diseases: a population-based study. Lancet. 2006;368:1005-11. http://doi.org/dhzdrf
2. Enríquez-Sarano M, Sundt 3rd TM. Early surgery is recommended for mitral regurgitation. Circulation. 2010;121:804-11. http://doi.org/fg2756
3. Cheung A, Webb JG, Wong D, Ye J, Masson JB, Lichtenstein SV. Transapical Transcatheter Mitral Valve-in-Valve in a Human. Ann Thorac Surg 2009;87:e18-e20. http://doi.org/b349bv
4. Dvir D, Webb JG, Bleiziffer S, Pasic M, Waksman R, Kodali S, et al. Valve-in-Valve International Data Registry Investigators. Transcatheter aortic valve implantation in failed bioprosthetic surgical valves. JAMA 2014;312:162-70. http://doi.org/c9zk
5. Chambers JB, Ray S, Prendergast B, Taggart D, Westaby S, Grothier L, et al. Specialist valve clinics: recommendations from the British Heart Valve Society working group on improving quality in the delivery of care for patients with heart valve disease. Heart 2013;99:1714-6. http://doi.org/c9zm
6. Las CJ, Caballero CG, Prieto PA, Ortiz IA, Perarnau AS, Pinto GA. Válvula Sapien transapical sobre anillo mitral previo. Rev Argent Cardiol 2017;85:48-9.
Declaración de intereses