IMÁGENES EN CARDIOLOGÍA
Rotura accidental de la válvula tricúspide
Accidental break of the tricuspid valve
Rotura accidental de la válvula tricúspide
Revista argentina de cardiología, vol. 87, núm. 3, p. 238, 2019
Sociedad Argentina de Cardiología
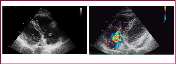
La rotura traumática de la válvula tricúspide es una entidad infrecuente y difícil de diagnosticar, ya que habitualmente cursa de forma asintomática, lo que hace fundamental la sospecha clínica para poder identificarla. Presentamos el caso de un varón de 48 años que ingresa por traumatismo torácico cerrado tras precipitarse desde 4 metros de altura. Se realizó ecocardioscopia en urgencias que fue normal. El paciente ingresó en la unidad de cuidados intensivos por contusión pulmonar y múltiples fracturas costales.
En la analítica presentó elevación de marcadores de necrosis miocárdica y en ECG BRDHH, por lo que a las 48 h se realizó un nuevo ecocardiograma para descartar complicaciones secundarias a la contusión miocárdica; en este se observó la válvula tricúspide con rotura del músculo papilar y eversión del velo anterior, lo que produce insuficiencia tricuspídea (IT) masiva (opacifica toda la aurícula derecha; el flujo Doppler triangular no permite estimar la presión pulmonar; inversión sistólica del flujo en las venas suprahepáticas, movimiento paradójico del septo en relación con sobrecarga de volumen), cavidades derechas ligeramente dilatadas con función sistólica VD conservada y derrame pericárdico ligero.
El paciente presentó una evolución tórpida con volet costal complicado con fracaso multiorgánico, por lo que, dada la ausencia de signos de insuficiencia cardíaca derecha, se decidió demorar la cirugía cardíaca. A los 6 meses, se realizó la reparación de la válvula tricúspide mediante anuloplastia, neocuerda a velo anterior y plicatura al nivel de la comisura entre el velo septal y el anterior. Posteriormente, el paciente presentó buena evolución clínica y ecocardiográfica con IT grado II/IV y normalización de la dilatación de cavidades derechas.

Notas de autor
Dirección para separatas: Hospital San Jorge, Huesca (España). Elena Rivero Fernández. Teléfono: 0034655434251 e-mail: elenariverofernandez@gmail.com
Declaración de intereses