CARTAS CIENTÍFICAS
Endocarditis por gonococo: Complicación infrecuente de una patología emergente
Gonococcal Endocarditis: A Rare Complication of an Emerging Disease
La gonorrea es una infección de transmisión sexual (ITS) causada por Neisseria gonorrhoeae, diplococo gram negativo de crecimiento fastidioso. Se manifiesta con cuadro de uretritis o cervicitis y su incidencia es de 600 000 casos anuales en EE. UU. 1 La infección diseminada se produce en el 1% al 3% de todas las infecciones gonocóccicas y se pueden presentar como: poliartritis, tenosinovitis, artritis séptica y endocarditis. Esta última se manifiesta en el 1%-2% de los pacientes con enfermedad diseminada. En 1933, se reportó el primer caso de afección valvular cardíaca por gonococo y entre 1939 y 2014 se documentaron 70 casos en la bibliografía mundial. 2
Tratamos el caso de un paciente varón, de 32 años, huésped inmunocompetente, heterosexual, con conductas sexuales de riesgo, sin valvulopatía previa ni otros antecedentes de relevancia. Presentó un episodio autolimitado de secreción uretral al que agregó, luego de tres semanas, un cuadro de poliartralgias, asimétricas, aditivas, de grandes y pequeñas articulaciones con compromiso de las manos. Se interpretó como tenosinovitis aguda inespecífica, por lo que recibió corticoides y AINE. Al cabo de dos semanas aproximadamente evolucionó con síndrome febril persistente, lesiones subungueales en astilla y petequias subconjuntivales asociadas a soplo sistólico en un foco mitral de intensidad 3/6. No presentó edemas ni otros signos de insuficiencia cardíaca. Ante la sospecha de endocarditis infecciosa, se inició un tratamiento empírico con ampicilina, gentamicina y ceftriaxona (CTX), luego de la toma de tres hemocultivos (HC) por método automatizado.
Los resultados de laboratorio son los siguientes: GB 16220/mm3; VSG 130 mm/1° h; PCR 15 mg/dL; sedimento urinario: microhematuria.
Ecocardiograma transtorácico (ETT): Tumoración heterogénea en la cara auricular de la valva mayor de la válvula mitral con una base amplia de implantación sobre la valva y gran motilidad tanto hacia la aurícula como al ventrículo en telediástole. Los diámetros son de 27 mm x 17 mm. Genera insuficiencia mitral de grado moderado, teniendo en cuenta la velocidad anterógrada y el jet que contacta con la pared posterior auricular por Doppler color. La función sistólica se mantiene conservada.
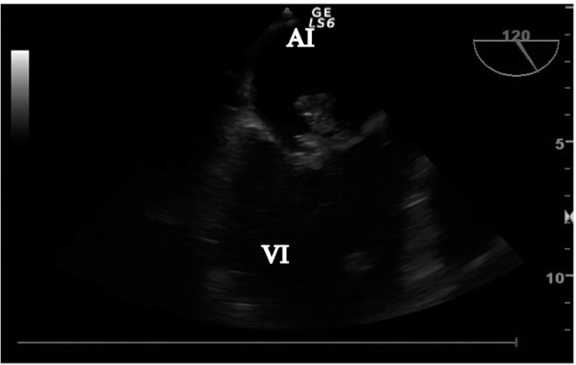
Ecocardiograma transesofágico (ETE): Válvula aórtica tricúspide. En la valva anterior de la válvula mitral, se visualiza una imagen adherida con una base amplia de implantación y ecogenicidad heterogénea de 2,67 cm x 1,47 cm de diámetro máximo, que prolapsa hacia el ventrículo izquierdo en telediástole. En la valva posterior se observa otra imagen de menor tamaño de 0,56 cm x 0,77 cm. Ambos hallazgos compatibles con vegetaciones. Por evaluación Doppler, presenta dos jets de regurgitación mitral (Figura 1).

Se tomaron tres muestras para hemocultivo en botellas BactecAerobic/F. A las 17 h se positivizaron 3/3. En la tinción de Gram se observaron diplococos negativos. Se identificó en cultivo Neisseria gonorrhoeae por métodos manuales, confirmado por biología molecular (PCR convencional). Continuó tratamiento endovenoso con CTX a una dosis de 2 g/día (EV). No presentó signos de insuficiencia cardíaca, pero en relación al tamaño de la vegetación, fue sometido a recambio valvular con colocación de válvula protésica mecánica. No se obtuvo desarrollo bacteriano ni en HC de control ni en cultivo de material quirúrgico remitido (vegetación), sin embargo se confirmó el germen por técnica de PCR en tejido valvular y se descartó la coexistencia de Chlamidia trachomatis. Cumplió seis semanas de tratamiento antibiótico con buena evolución clínica y no presentó complicaciones mecánicas posquirúrgicas. Inició anticoagulación oral en relación con el reemplazo valvular mecánico.
Según lo publicado hasta el momento solo el 1%-3% de todas las infecciones por gonococo pueden desarrollar enfermedad diseminada, con escasa sintomatología genital y mayor frecuencia en mujeres. 2 A diferencia de ello la endocarditis es más frecuente en varones. Está descrita la coexistencia de Chlamydia trachomatis en las formas diseminadas de la enfermedad. Las principales características de presentación de esta entidad según la bibliografía son una mediana de tiempo desde la aparición de los síntomas hasta el diagnóstico de 4 semanas; afectación en adultos jóvenes varones, compromiso de las válvulas cardíacas nativas y sanas, principalmente válvula aórtica y mitral en orden de frecuencia; y se manifiesta con insuficiencia cardíaca de evolución aguda. Su aparición puede estar precedida por manifestaciones osteoarticulares (artritis, miositis). En nuestro caso, el paciente presentó manifestaciones osteoarticulares que coinciden con lo reportado en la bibliografía y, a diferencia de esto, también tuvo síntomas de uretritis unas semanas previas al inicio del cuadro. Las manifestaciones clínicas de endocarditis infecciosas (EI) no difieren de las causadas por gérmenes habituales e incluyen: fiebre, soplo cardíaco, taquicardia, fenómenos embólicos y esplenomegalia. En pruebas de laboratorio, se puede identificar: anemia, leucocitosis e incremento en el nivel de reactantes en fase aguda. El ecocardiograma (ETT y ETE) demuestra la presencia de vegetaciones de gran tamaño, asociadas a engrosamiento y disfunción valvular. Los hemocultivos son positivos en más del 90% de los casos, a diferencia de otras formas diseminadas de infección por gonococo en las que varía entre un 10% y un 30%. El desarrollo de formas diseminadas se manifiesta en huéspedes susceptibles, que incluyen: déficits de complemento, lupus eritematoso sistémico (LES), infección por VIH, entre otras. Hay características de las cepas que se asocian con formas diseminadas: ausencia de proteína de superficie II, lo cual confiere resistencia a la destrucción por células natural killer; expresión de proteína IA, que confiere resistencia sérica y mayor facilidad para atravesar membranas. Nuestro paciente fue medicado con glucocorticoides y consideramos que ello podría haber contribuido al desarrollo de esta complicación. Entre los diagnósticos diferenciales, se debe considerar la endocarditis infecciosa por otras etiologías más frecuentes y enfermedades reumatológicas autoinmunitarias como LES y artritis reumatoidea (AR) entre otras.
En la era preantibiótica, la endocarditis por gonococo causaba del 11% al 26% del total de EI y se asociaba con elevada mortalidad. 3 Aún con el advenimiento de los antibióticos, la tasa de mortalidad continúa siendo elevada, cercana al 20%. Actualmente, es una complicación muy infrecuente, pero debe ser considerada a la luz de la emergencia de las ITS. 4 Debemos tener presente la endocarditis por gonococo como posibilidad diagnóstica en pacientes adultos jóvenes que se presenten con manifestaciones osteoarticulares y estigmas sugestivos de EI. Se presenta habitualmente con escasos síntomas genitourinarios y mayor repercusión osteoarticular. 5 Es fundamental un alto índice de sospecha debido al pronóstico fatal sin tratamiento adecuado. Además, se debe tener en cuenta la coexistencia de Chlamydia trachomatis. En cuanto al tratamiento antibiótico la CTX continúa siendo el antibiótico de elección de acuerdo a los perfiles de sensibilidad en nuestro país.
E-mail: romialessandrini@gmail.com
