CARTAS CIENTÍFICAS
Calcificación pericárdica grave: ¿aún existe esta entidad?
Severe Pericardial Calcification: Does it Still Exist?
Calcificación pericárdica grave: ¿aún existe esta entidad?
Revista argentina de cardiología, vol. 88, núm. 4, pp. 375-376, 2020
Sociedad Argentina de Cardiología
La pericarditis constrictiva es el resultado final de una pericarditis inflamatoria, que progresa a la cronicidad y causa constricción y disfunción diastólica grave. Solamente el 1,8% de las pericarditis inflamatorias evolucionan hacia la constricción; por orden de frecuencia, se ubica primero la pericarditis posquirúrgica, seguida de la provocada por exposición a radiación y, por último, la asociada a enfermedades autoinmunitarias e infecciosas.
La presencia de fibrosis y calcificación circunferencial grave son indicadores de mal pronóstico y conllevan gran dificultad para el diagnóstico etiológico.
Describimos los hallazgos clínicos y anatomopatológicos de un caso de constricción pericárdica y metaplasia ósea cardíaca en un paciente inmunocompetente.
Se trata de un paciente de sexo masculino de 58 años, con antecedentes de hipertensión arterial y diabetes mellitus no insulino-requiriente. Oriundo de la provincia del Chaco, noreste argentino, este enfermo habitaba en una vivienda precaria en condiciones de hacinamiento, con sus familiares.
El paciente consulta en forma ambulatoria por presentar edemas en miembros inferiores y disnea en clase funcional III de un mes de evolución, según refirió. Al examen físico, se comprueba regular estado general, con caquexia y signos evidentes de insuficiencia cardíaca avanzada.
El electrocardiograma mostró bloqueo completo de rama derecha, sin otros hallazgos patológicos, y el laboratorio reveló anemia, transaminasas elevadas e hipoalbuminemia, con serologías virales hepatitis B, C y HIV negativas, serología de Chagas positiva y una PPD < 5 mm.
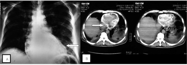
En la radiografía de tórax, se observó grave calcificación pericárdica circunferencial (Figura 1A). El ecocardiograma Doppler, además de evidenciar la calcificación del pericardio, detectó fisiología constrictiva. La tomografía de tórax confirmó la calcificación del pericardio en toda su circunferencia, con un patrón “de cascara de huevo” (Figura 1B), y la presencia de ganglios mediastinales, parahiliares, axilares y mesentéricos calcificados, en rango no adenomegálico.

Con el diagnóstico de pericarditis constrictiva, en ateneo interdisciplinario se decide realizar resolución quirúrgica por pericardiectomía, luego de mejorarle el estado general, tanto en lo nutricional como en relación con la insuficiencia cardiaca.
Transcurridos 10 días de hospitalización, con escasa mejoría clínica, el enfermo presenta parámetros de falla multiorgánica por sepsis de probable origen respiratorio y evoluciona desfavorablemente, con posterior óbito.
Se realiza autopsia, la que evidencia pericarditis constrictiva crónica, activa y supurada, con sectores pericárdicos con calcificación distrófica y metaplasia ósea (Figura 2).

La pericarditis constrictiva crónica es una entidad infrecuente y representa el 1,8% de las pericarditis inflamatorias. 1 En Argentina, la tuberculosis (TB) es la causa más frecuente de constricción pericárdica, aunque se trata de una forma infrecuente de TB extrapulmonar, con una mortalidad del 60%, aproximadamente, cuando no es tratada. 2
El compromiso pericárdico ocurre, generalmente, por la diseminación linfática de Mycobacterium tuberculosis; la diseminación hematógena o por extensión contigua de un foco pulmonar primario es infrecuente.
La presencia de fibrosis, calcificación pericárdica y metaplasia ósea reflejan el estado de constricción crónico e irreversible. 3 La ausencia de parámetros de inflamación activa (eritrosedimentación y proteína C reactiva normal, ausencia de leucocitosis) predicen la falta de respuesta al tratamiento médico.
Si bien estos pacientes son candidatos a tratamiento quirúrgico 4, el principal impedimento es la incapacidad de remoción del calcio en el pericardio parietal, lo que redunda en una mortalidad extremadamente elevada (40%) 5, asociada a varios factores: el regular estado general de estos pacientes a la hora de realizar la intervención quirúrgica, la edad avanzada, la clase funcional avanzada (III-IV), la presencia de derrame pericárdico moderado a grave y de ascitis; muchas de estas variables pronósticas estaban presentes en este individuo.
Debido a las condiciones de vida y el medio epidemiológico del paciente, la tuberculosis fue la entidad sospechada en este caso. En nuestro medio, dicha afección sigue siendo una causa frecuente de pericarditis constrictiva y calcificación pericárdica, pero son escasos los reportes con presencia de metaplasia ósea.
El tratamiento médico ofrece una alternativa en estadios tempranos, pero la única opción que permite la remisión de los signos y síntomas de la constricción continúa siendo la quirúrgica. Debe destacarse, sin embargo, la elevada mortalidad en casos como el de este paciente debido a las comorbilidades asociadas y el estadio avanzado de la enfermedad. Es así que, aún hoy, estos pacientes siguen siendo un desafío terapéutico.
BIBLIOGRAFÍA
1. Nishimura R. Constrictive pericarditis in the moderna era: a diagnostic dilemma. Heart 2001;86:619-23. https://doi.org/10.1136/heart.86.6.619
2. Porta Sánchez A, Sagristà-Sauleda J, Ferreira-González I, Torrents-Fernández A, Roca-Luque I, García-Dorado D, et al. Pericarditis constrictiva: espectro etiológico, presentaciones clínicas, factores pronósticos y seguimiento a largo plazo. Rev Esp Cardiol 2015; 68:1092-100. https://doi.org/10.1016/j.recesp.2014.12.019
3. Ling LH, Oh JK, Breen JF, Schaff HV, Danielson GK, Mahoney DW, et al. Calcific constrictive pericarditis: is it still with us? Ann Intern Med 2000;132:444-50. https://doi.org/10.7326/0003-4819-132-6-200003210-00004
4. Adler Y, Charron P, Imazio M, Badano L, Barón-Esquivias G, Bogaert J, et al. Guía ESC 2015 sobre el diagnóstico y tratamiento de las enfermedades del pericardio. Rev Esp Cardiol 2015; 68:1126. e1-e46 https://doi.org/10.1016/j.recesp.2015.10.011
5. Bertog SC, Thambidorai SK, Parakh K, Schoenhagen P, Ozduran V, Houghtaling PL, et al. Constrictive pericarditis: etiology and cause-specific survival after pericardiectomy. J Am Coll Cardiol 2004;43:1445-152. https://doi.org/10.1016/j.jacc.2003.11.048
Notas de autor
Dirección para separatas: E-mail: carolina.gr91@live.com
Declaración de intereses