CARTAS CIENTÍFICAS
Evaluación fenotípica integral de la miocardiopatía hipertrófica mediante tomografía computada espectral
Comprehensive Phenotypic Assessment of Hypertrophic Cardiomyopathy with Spectral Computed Tomography
Evaluación fenotípica integral de la miocardiopatía hipertrófica mediante tomografía computada espectral
Revista argentina de cardiología, vol. 89, núm. 1, pp. 54-56, 2021
Sociedad Argentina de Cardiología
En paralelo a su rol más establecido en la cardiopatía isquémica, la tomografía computada (TC) ha ganado terreno en la evaluación de la perfusión miocárdica y del realce tardío de contraste. 1 Por lo tanto, se ha posicionado como una alternativa a otros métodos de imagen como la resonancia magnética cardíaca (RMC), para la evaluación de miocardiopatías. 2
Además, la TC cardíaca permite la cuantificación de la fracción de volumen extracelular (VEC), con resultados comparables con las técnicas de T1 mapping de la RMC. 3 La TC espectral es una herramienta que permite mitigar o anular artefactos que pueden simular defectos de perfusión en la TC convencional, y mejorar significativamente la caracterización tisular. En efecto, si bien la TC convencional permite evaluar el realce tardío de contraste con gran precisión en el contexto del infarto agudo de miocardio (donde el incremento del VEC se vincula a la ruptura celular), su capacidad de evaluar el realce tardío en patologías crónicas -donde el incremento del VEC se vincula más a la fibrosis intersticial- es muy limitada.
Al respecto, la TC espectral de doble capa de detectores permite obtener imágenes multiparamétricas espectrales sin modificación del protocolo de adquisición convencional y sin perder la posibilidad de evaluar las imágenes de TC convencionales. 4 De esta manera, permite generar imágenes en distintos niveles monoenergéticos y evaluar parámetros vinculados a la composición de distintos tejidos.
Sin embargo, existen muy escasos reportes en la literatura acerca de la utilidad de la TC espectral en pacientes con miocardiopatía hipertrófica (MCH). 3 En esos pacientes es importante determinar los espesores parietales máximos y la presencia de fibrosis. Además, muchos de esos pacientes, en quienes puede existir isquemia asociada a la presencia de desequilibrio entre la oferta y la demanda o a displasia arteriolar, desarrollan síntomas vinculados al esfuerzo que requieren descartar, en primera instancia, la presencia de enfermedad coronaria obstructiva. Por lo tanto, reportamos según nuestro conocimiento, el primer caso de MCH estudiada en forma integral mediante TC espectral de doble capa de detectores. 5
Se trata de una paciente de 75 años, con antecedentes de diabetes no insulino requirente, hipertensión, dislipemia, y tabaquismo, con diagnóstico preexistente de MCH no obstructiva y disnea progresiva durante los últimos meses hasta clase funcional II-III, sin angor.
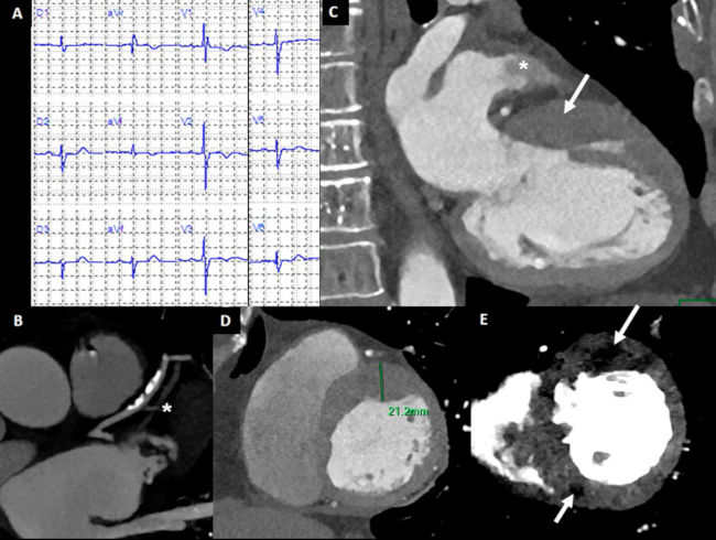
Presentó un examen físico normal y electrocardiograma sin cambios con respecto a los previos (Figura 1A). Se solicitó angioTC, que se realizó con un tomógrafo espectral (IQon Spectral CT, Philips Healthcare, Best, Holanda)® mediante una adquisición volumétrica con gatillado electrocardiográfico retrospectivo para la fase arterial (Figura 1), y con gatillado prospectivo para las imágenes de realce tardío (Figura 2) obtenidas a los 5 minutos y sin contraste adicional, utilizando técnicas de modulación de tubo para reducir la dosis de radiación. Se administró un total de 65 ml de contraste.


Las arterias coronarias principales presentaban lesiones leves calcificadas con predominio de la arteria descendente anterior, mientras que la primera rama diagonal, de muy fino calibre, se encontraba ocluida a nivel proximal (Figura 1B). Utilizando reconstrucciones en fin de diástole, se evidenció hipertrofia asimétrica del ventrículo izquierdo (VI) con predominio anterobasal y septal (Figura 1D) y discreta hipertrofia del ventrículo derecho (VD) a nivel apical (Figura 2C), e incremento de la trabeculación miocárdica del VI. La función sistólica global se encontraba conservada. Mediante la evaluación espectral, se evidenciaron áreas focales intramiocárdicas de hipoperfusión (Figura 1E).
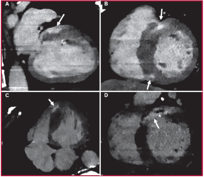
En las imágenes obtenidas 5 minutos luego de la administración de contraste, se evidenciaron múltiples áreas focales de realce tardío de patrón predominantemente intramiocárdico (Figura 2). Se destaca además, la identificación de núcleo hipodenso dentro del área de realce transmural anteroseptal basal (Figura 2D), compatible con obstrucción microvascular. También se observó mínimo realce subendocárdico en el nivel anterior, anterolateral medio y en nivel del músculo papilar anterolateral (Figura 2A), y del ápex del ventrículo derecho (Figura 2C). Utilizando mapas de iodo, se calculó un VEC de 36%.
El defecto de llenado en el nivel de la orejuela izquierda evidenciado durante la adquisición arterial (Figura 1C), resolvió completamente en la adquisición en tiempo tardío (Figura 2A), que confirmó la presencia de estasis sanguínea sin trombo en la orejuela.
En este caso, descartamos en primera instancia, la presencia de enfermedad coronaria obstructiva relevante. Asimismo, los hallazgos descriptos permitirían tal vez identificar los mecanismos subyacentes al realce tardío (fibrosis miocárdica), posiblemente vinculados con microinfartos en este caso, ante la presencia de hipertrofia significativa y ateromatosis coronaria que generarían una perfusión insuficiente para suplir el desequilibrio entre la oferta y la demanda de oxígeno.
La aplicación de la angioTC cardíaca espectral se presenta como alternativa a otros métodos para la caracterización de miocardiopatías, así como para evaluar de forma simultánea enfermedad coronaria y perfusión miocárdica, y descartar la fibrosis.
Además, la generación de imágenes monoenergéticas con bajos niveles de energía permite utilizar menor dosis de contraste, sin necesidad de administrar contraste adicional para evaluar el realce tardío de contraste como hubiera sido el caso en un TC convencional. El sustrato fisiopatológico del realce tardío por TC (iodo) es comparable al realce tardío detectado por RMC (gadolinio), con una farmacocinética muy similar, evaluando la expansión de VEC asociado a fibrosis intersticial y daño miocárdico.
Si bien la RMC permite la valoración de la MCH con imágenes de excelente calidad, presenta algunas limitaciones respecto a la selección de los pacientes, incluidas claustrofobia e intolerancia, insuficiencia renal, o implantes cardíacos no compatibles con resonancia magnética.
Este caso no mostró signos electrocardiográficos característicos de hipertrofia-isquemia como se detecta en las formas septales y apicales, si bien los hallazgos atípicos descriptos suelen coincidir con este tipo de miocardiopatía.
En conclusión, la angioTC espectral cardíaca se presenta como una alternativa válida y factible en la práctica clínica para la valoración de la MCH, particularmente ante la aparición de nueva sintomatología, en pacientes con contraindicaciones para la RMC, o en formas obstructivas en pacientes pasibles de ablación septal donde se desea evaluar la anatomía de las ramas septales. Además, este método podría emerger como una modalidad con el potencial de evaluar en forma simultánea tanto la anatomía coronaria, como la presencia de trastornos de la perfusión y de fibrosis miocárdica, caracterizando de forma integral el fenotipo de la MCH.
BIBLIOGRAFíA
Nakamura S, Kitagawa K, Goto Y et al. Prognostic Value of Stress Dynamic Computed Tomography Perfusion With Computed Tomography Delayed Enhancement. JACC Cardiovasc Imaging 2020;13:1721-34. https://doi.org/10.1016/j.jcmg.2019.12.017
Kalisz K, Rajiah P. Computed tomography of cardiomyopathies. Cardiovasc Diagn Therapy 2017;7:539-56. https://doi.org/10.21037/cdt.2017.09.07
Lee HJ, Im DJ, Youn JC et al. Myocardial Extracellular Volume Fraction with Dual-Energy Equilibrium Contrast-enhanced Cardiac CT in Nonischemic Cardiomyopathy: A Prospective Comparison with Cardiac MR Imaging. Radiology 2016;280:49-57. https://doi.org/10.1148/radiol.2016151289
Danad I, Fayad ZA, Willemink MJ, Min JK. New Applications of Cardiac Computed Tomography: Dual-Energy, Spectral, and Molecular CT Imaging. JACC Cardiovasc Imaging 2015;8:710-23. https://doi.org/10.1016/j.jcmg.2015.03.005
Rassouli N, Etesami M, Dhanantwari A, Rajiah P. Detector-based spectral CT with a novel dual-layer technology: principles and applications. Insights Imaging 2017;8:589-98. https://doi.org/10.1007/s13244-017-0571-4
Notas de autor
Dirección para separatas: E-mail: grodriguezgranillo@gmail.com - Teléfono: (011) 40147012
Declaración de intereses