CARTAS CIENTÍFICAS
Dos casos de muerte súbita. Primera manifestación por miocardiopatía arritmogénica del ventrículo derecho, tabique interventricular y ventrículo izquierdo
Two Cases of Sudden Cardiac Death. First Manifestation of Arrhythmogenic Cardiomyopathy of the Right Ventricle, Interventricular Septum and Left Ventricle
Dos casos de muerte súbita. Primera manifestación por miocardiopatía arritmogénica del ventrículo derecho, tabique interventricular y ventrículo izquierdo
Revista argentina de cardiología, vol. 89, núm. 4, pp. 363-365, 2021
Sociedad Argentina de Cardiología
Financiamiento
Fuente: Universidad de Buenos Aires
Nº de contrato: UBACYT 20020150100027BA
Descripción del financiamiento: Subsidios y Apoyo parcial por UBACYT 20020150100027BA de la Universidad de Buenos Aires
Se considera muerte súbita a la que ocurre de manera inesperada dentro de la primera hora desde el inicio de los síntomas o la que se produce en ausencia de testigos cuando el paciente fue visto en buenas condiciones menos de 24 horas antes. Algunos pacientes fallecen instantáneamente, pero la mayoría tiene algunos pródromos. 1 Este límite arbitrario trata de diferenciar la muerte resultado de la progresión de una enfermedad de base de la muerte verdaderamente inesperada. 1
Se presentan dos casos clínicos de pacientes jóvenes aparentemente sanos, sin antecedentes de enfermedad cardiovascular ni controles médicos previos, totalmente asintomáticos, que fallecieron súbitamente.
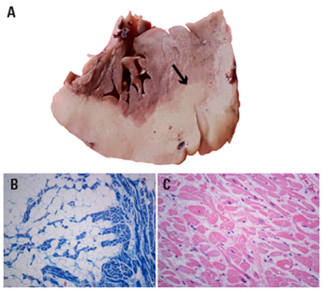
Caso 1. Paciente mujer de 32 años de edad, ama de casa y madre de 3 niños, quien, en aparente estado de salud, fue hallada muerta por su esposo en horas del mediodía en su lecho, tras el reposo nocturno. La familia niega antecedentes cardiológicos de la paciente y familiares directos, así como de muerte súbita. En la necropsia, los cortes transversales seriados, mostraron ventrículo derecho con reemplazo adiposo en más del 50-80% del espesor mural. Ambas cavidades ventriculares eran de tamaño normal, con reemplazo de la pared libre del ventrículo derecho por tejido graso con apariencia lardácea, que en zonas respetaba solo algunos milímetros de miocardio normal. (Figura 1 A). La lesión se extendía al tabique interventricular y la pared del ventrículo izquierdo. Histológicamente se observó reemplazo extenso del miocardio de la pared libre por tejido adiposo, señalando el “fenómeno de frente de onda” del reemplazo por adipocitos. (Figura 1 B y C). Los familiares directos, padres, 2 hermanos y sus 2 hijos realizaron eco Doppler cardíaco normal en todos los casos. El estudio genético fue positivo para la mutación KCNH2.

Caso 2. Paciente varón de 27 años, encontrado muerto por compañeros en el piso del vestuario de su lugar de trabajo. La familia niega antecedentes cardiológicos del paciente y familiares directos, así como de muerte súbita. Macroscópicamente se observó trombo intracavitario en el ventrículo derecho, cuya pared libre medía escasos milímetros en algunas áreas muy adelgazadas, con reemplazo por tejido lardáceo (Figura 2 A). La lesión se extendía al tabique interventricular y a la pared del ventrículo izquierdo. A diferentes aumentos se observó reemplazo muy extenso de las fibras miocárdicas por tejido adiposo, escasos haces atróficos y separación en pequeños fascículos de las fibras miocárdicas residuales. Asimismo, diferentes grados de necrosis, miocitólisis y atrofia de miocitos con alteraciones nucleares y citoplasmáticas (Figura 2 B y C). Los familiares directos realizaron eco Doppler, normal en todos ellos, pero se negaron a realizar estudios genéticos.

El diagnóstico final de ambas autopsias fue Miocardiopatía arritmogénica (Displasia arritmogénica del ventrículo derecho con compromiso parcial del tabique interventricular y ventrículo izquierdo, (forma segmentaria biventricular).
Los haces de miocardio residuales descriptos en ambos casos son origen de arritmias malignas. El reemplazo fibrolipídico dificulta y retrasa la transmisión del impulso eléctrico interventricular, facilitando así los fenómenos de reentrada. 1
Esta patología, conocida como miocardiopatía arritmogénica del ventrículo derecho (ACM) o más recientemente como “miocardiopatía arritmogénica”, se caracteriza por una disociación del miocardio por tejido adiposo y fibroso que involucra de manera predominante al ventrículo derecho, y finalmente adelgazamiento de la pared ventricular derecha con dilatación de las cámaras cardíacas. Las fibras miocárdicas residuales están embebidas en tejido fibroso, y este sustrato es propicio para arritmias por reentrada. Es la causa más frecuente de muerte súbita en pacientes jóvenes en Italia y la causante del 17% de los casos de muerte súbita en jóvenes de los Estados Unidos. 2
Para el diagnóstico se deben considerar causas genéticas y no genéticas. El tejido miocárdico es un sistema complejo en el que concurren factores estructurales y funcionales; la identificación de las alteraciones significativas de estos factores permite definir el diagnóstico de ACM, mediante un análisis electrofisiológico y morfológico adecuado. Asimismo se debe recurrir a la evaluación genética mediante la pesquisa familiar de casos de eventos cardíacos prematuros (muerte súbita, insuficiencia cardíaca) con afecciones asociadas cardíacas (arritmias, anomalías del sistema de conducción) y no cardíacas (anomalías musculo-esqueléticas, insuficiencia renal, anomalías visuales y auditivas) .2 Las anomalías en esta vía final común pueden determinar el desarrollo de un fenotipo complejo, como puede ser el de miocardiopatía dilatada con potencial arrítmico significativo. 2
En el caso de la ACM existen alteraciones ultraestructurales a nivel del disco intercalar, que combinan anomalías en el acoplamiento mecánico que estaría determinado por proteínas desmosómicas mutadas, como así también en las conductancias iónicas. Estas últimas se verían afectadas no solamente por alteraciones en la estructura intrínseca del canal iónico, sino también por las anomalías presentes en la estructura de acoplamiento intercelular. Si bien la patogenia de la ACM no es bien conocida, se barajan distintas teorías 2. En la teoría inflamatoria, el daño miocárdico es explicado por un proceso continuado de daño y reparación que simula una miocarditis crónica. En la teoría genética, mutaciones en genes que codifican proteínas específicas darían lugar a la ¨distrofia¨ miocárdica. La sustitución progresiva del miocardio por células de tejido adiposo y fibroso sucede tras un exagerado e inadecuado proceso de apoptosis. Los modelos animales apoyan el desequilibrio provocado por el estrés mecánico intercelular como un desencadenante de la apoptosis. 3
Las uniones intercelulares están constituídas por proteínas, entre ellas la placoglobina (jup) y la desmoplaquina (dsp) que desempeñan un papel clave en la transducción del estrés mecánico y la comunicación intercelular. La jup es una proteína citoplasmática que forma parte tanto de los desmosomas 3,4,5 como de las uniones adherentes. Participa en la unión de los filamentos intermedios y el citoesqueleto de la actina con los complejos transmembrana que conectan las células adyacentes. La forma mutada de jup favorece un sustrato intercelular inestable 3,5. La jup además regula la expresión de la proteína anti-apoptótica bcl-2. 4,5
La dsp es un componente de la placa desmosómica que ancla los filamentos intermedios a la membrana plasmática y constituye una plataforma esencial para el mantenimiento de la integridad celular.
En cuanto al Caso 1, se sabe que las mutaciones en KCNH2 (que codifica el miembro 2 de la subfamilia H del canal dependiente de voltaje de potasio) son responsables del síndrome del QT largo en muchos pacientes y que las mutaciones en jup se asociaron con miocardiopatía arritmogénica del ventrículo derecho. 5
La presentación clínica es muy variable e incluye palpitaciones, síncope, insuficiencia cardíaca derecha (o biventricular) o muerte súbita. Se manifiesta raramente antes de la pubertad; la edad de aparición más frecuente es entre los 12 y los 45 años, y la muerte súbita es con frecuencia el primer síntoma. Una característica distintiva es su presentación con arritmia sintomática y/o documentada. Las arritmias aparecen con mayor frecuencia durante el ejercicio, del 3% al 4% de las muertes súbitas en el deporte se deben a esta alteración. La ACM es muy difícil de diagnosticar; no hay signos patognomónicos y se han desarrollado criterios de consenso según sus manifestaciones estructurales y funcionales.
Recientemente, Cadrin-Tourigny y cols 6, propusieron predecir específicamente las arritmias ventriculares potencialmente mortales como un sustituto más cercano de la muerte súbita en una cohorte retrospectiva de 864 casos definitivos de ACM durante 5,75 años de seguimiento. Las variables consideradas incluyeron edad, sexo, arritmia ventricular sostenida previa (≥30 s, taquicardia ventricular hemodinámicamente inestable o tratada con desfibrilador implantable; o muerte súbita abortada), síncope, recuento de extrasístoles ventriculares de 24 horas, número de derivaciones con inversión de la onda T y fracción de eyección de ambos ventrículos. Noventa y tres (10,8%) pacientes experimentaron arritmias ventriculares potencialmente mortales, incluidos 15 con muerte súbita / muerte súbita abortada (1,7%). De los predictores clínicos preespecificados, solo 4 (edad más joven, sexo masculino, número de extrasístoles ventriculares y número de derivaciones con inversión de onda T) se asociaron con arritmias ventriculares potencialmente mortales posteriores, no así la arritmia ventricular sostenida previa y la extensión de la cardiopatía funcional. 6
Desafortunadamente, en los dos casos presentados, la ausencia de exámenes clínico-cardiológicos previos impidió la correcta caracterización de la potencialidad letal de la miocardiopatía arritmogénica.
BIBLIOGRAFÍA
1. Bayés de Luna A, Elosua R. Muerte súbita. Rev Esp Cardiol 2012;65:1039-52. https://doi.org/10.1016/j.recesp.2012.03.032
2. Towbin J, Mckenna W, Abrams D, Ackerman M, Calkins H, Darrieux F, et al. 2019 HRS. Heart Rhythm 2019;16:304-10. https://doi.org/10.1016/j.hrthm.2019.09.019
3. Nagata M, Hiroe M, Ishiyama S, Nishikawa T, Sakomura Y, Kasamuki H, et al. Apoptotic cell death in arrhythmogenic right ventricular cardiomyopathy: a comparative study with idiopathic sustained ventricular tachycardia. Jpn Heart J 2000;41:733-41. https://doi.org/10.1536/jhj.41.733
4. Dominguez J, De Castro MD, Franco D, Aránega A. Regulación de la expresión génica en el miocardio durante el desarrollo cardíaco. Rev Esp Cardiol 2002;55:167-84. https://doi.org/10.1016/S0300-8932(02)76576-7
5. Yafe Z , Jinxin M, Ying P, Guangming F , Chuchu W, Dong Z, Jianzeng D. Discovery of Digenic Mutation, KCNH2 c.1898A >C and JUP c.916dupA, in a Chinese Family with Long QT Syndrome via Whole-Exome Sequencing. Cardiovascular Innovations and Applications. 2020;4:257-67. https://doi.org/10.15212/CVIA.2019.0578
6. Cadrin-Tourigny J, Bosman LP, Wang W, Tadros R, Bhonsale A, Bourfiss M, et al. Sudden Cardiac Death Prediction in Arrhythmogenic Right Ventricular Cardiomyopathy (ARVC): A Multinational Collaboration Sudden death prediction in ARVC. Circ Arrhythm Electrophysiol 2021;14:e008509. https://doi.org/10.1161/CIR-CEP.120.008509
Notas
Notas de autor
Dirección para separatas: Dr. José Milei - M.T. de Alvear 2270 CABA
Declaración de intereses