ARTÍCULO BREVE
Utilidad de la TC espectral cardíaca para la evaluación de complicaciones trombóticas en pacientes con ataque cerebrovascular isquémico
Usefulness of Spectral Cardiac Computed Tomography for the Evaluation of Thrombotic Complications in Patients with Ischemic Stroke
Utilidad de la TC espectral cardíaca para la evaluación de complicaciones trombóticas en pacientes con ataque cerebrovascular isquémico
Revista argentina de cardiología, vol. 88, núm. 6, pp. 538-543, 2020
Sociedad Argentina de Cardiología
Recepción: 28 Agosto 2020
Aprobación: 14 Octubre 2020
RESUMEN
Objetivo: Evaluar la utilidad de la angiotomografía computada (TC) espectral cardíaca en pacientes con ataque cerebrovascular isquémico (ACVi).
Material y métodos: En el contexto de pandemia de COVID-19 incorporamos la utilización de la TC espectral cardíaca en pacientes con ACVi para descartar en una única sesión, tanto fuentes cardioembólicas (FCE) como la presencia de complicaciones trombóticas o daño miocárdico. A partir de julio de 2020 incorporamos una adquisición tardía a las TC cardíacas en contexto de ACVi. Se presentan cuatro casos representativos sobre su utilidad y hallazgos cardiovasculares.
Resultados: Se presentan cuatro casos registrados en un lapso de 40 días. Dos pacientes con FCE (aorta y orejuela izquierda) y dos con ACVi de origen indeterminado donde se evidenció miocardiopatía (isquémica y no isquémica).
Conclusiones: En el contexto del ACVi, la TC espectral cardíaca, que incluía adquisición tardía, permitiría, eventualmente, descartar la presencia de FCE e identificar la etiología subyacente.
Palabras clave: Angiografía por Tomografía Computarizada+ Accidente Cerebrovascular+ Trombosis+ Tomografía Computarizada Multidetector.
ABSTRACT
Objective: The aim of this study was to evaluate the usefulness of spectral cardiac computed tomography (CT) angiography in patients with ischemic stroke.
Methods: In the setting of COVID-19 pandemic, we incorporated the use of spectral cardiac CT in patients with ischemic stroke to rule out the presence of cardioembolic sources, thrombotic complications or myocardial damage in a single session. Since July 2020, a delayed-phase image acquisition was incorporated to cardiac CT scans in the context of ischemic stroke. We describe four representative cases of the usefulness of the method and the cardiovascular findings.
Results: We present four cases recorded recorded within a 40-day period. Two patients with patients with cardioembolic source (aorta and left atrial appendage) and two with ischemic stroke of undetermined source with evidence of cardiomyopathy (ischemic and non-ischemic).
Conclusions: In the setting of ischemic stroke, spectral cardiac CT with delayed acquisition could be useful to rule out the presence of cardioembolic sources and identify the underlying etiology.
Key words: Computed Tomography Angiography, Stroke, Thrombosis, Multidetector Computed Tomography.
INTRODUCCIÓN
La tomografía computada (TC) cardíaca presenta numerosas aplicaciones no coronarias, como la evaluación de la perfusión miocárdica y de miocardiopatías. 1 Entre otras aplicaciones, la TC cardíaca permite descartar la presencia de fuentes cardioembólicas (FCE) con una precisión equivalente al ecocardiograma transesofágico (ETE). 2 Considerando que hasta un 40% de los ataques cerebrovasculares agudos isquémicos (ACVi) son de etiología cardioembólica, muchos de esos pacientes precisan una búsqueda específica de FCE. Si bien el ETE es el estándar de referencia, su disponibilidad se encuentra limitada a la presencia física de operadores experimentados; se vincula a un mayor riesgo de aspiración en pacientes con deterioro del sensorio y, presenta algunas contraindicaciones que incluyen antecedentes de patología esofágica, sangrado digestivo, y coagulopatías. 3
Por otra parte, la TC cardíaca permite además, una mejor evaluación de la morfología de la orejuela izquierda, factor relacionado con el riesgo de ACVi, así como la detección de FCE de localizaciones menos prevalentes, si bien de valoración más dificultosa para el ETE, como el ápex del ventrículo izquierdo (VI) y algunos sectores de la aorta, entre otras. 4,5
Numerosos estudios demostraron la capacidad de la TC cardíaca para la evaluación del realce tardío (RT) de contraste en miocardio. 6,7 La reciente incorporación de un TC espectral de doble capa de detectores permite mejorar la discriminación entre tejidos de similar densidad, es decir, indistinguibles mediante el uso de TC convencional.
En el ACVi cardioembólico la adquisición de las imágenes en tiempo tardío, además de detectar RT de contraste, permite establecer una clara distinción entre trombos (característicamente “negros” en tiempo tardío, con concentración de iodo cercana al cero), miocardio viable/aorta (de densidad intermedia con leve concentración de iodo), y áreas con incremento focal del volumen extracelular (VEC) vinculado a fibrosis, necrosis, o de etiología infiltrativa (incremento de la concentración de iodo). 8 Esa cuantificación del VEC ha cobrado gran interés en los últimos años, particularmente su evaluación por resonancia magnética (RM) cardíaca con técnicas de mapeo T19,10.
Numerosos estudios han demostrado que la TC espectral cardíaca permite mejorar la evaluación de la perfusión miocárdica, del RT, y de los trombos endocavitarios. 11,12,13
Recientemente, a las TC cardíacas en contexto de ACVi les incorporamos una adquisición tardía. Se presentan cuatro casos representativos sobre su utilidad y hallazgos cardiovasculares.
Consideraciones eticas
Todos los procedimientos realizados se ajustaron a la declaración de Helsinki de 1975 y posteriores adendas, y se obtuvo consentimiento informado para la utilización de datos en todos los casos.
MATERIAL Y MÉTODOS
Para obtener una precisión comparable al ETE en cuanto a su capacidad de descartar FCE, la TC cardíaca requiere una adquisición tardía 3 minutos después de la administración de contraste. Con el propósito de poder evaluar en una única sesión y de forma simultánea la presencia de FCE, miocardiopatías, RT, y las arterias coronarias realizamos a partir de julio de 2020, siempre y cuando la situación del paciente lo permita y sin demorar el tratamiento indicado del ACVi, una adquisición de baja dosis (gatillado ECG prospectivo) 5 minutos después de la administración de contraste. Hemos incorporado este tipo de estrategia particularmente en el contexto de la pandemia, donde existe una disponibilidad limitada, tanto de equipos de protección como de operadores de ETE, y se intentó limitar su uso debido al riesgo de contagio. La utilización de este tipo de estrategia fue además, promovida sobre la base de la publicación de reportes que identificaron daño miocárdico en hasta un 40% de los pacientes con COVID-19. 14
Las imágenes fueron adquiridas con un TC espectral de doble capa de detectores Qon Spectral CT (Philips Health-care, Best, Holanda). Este tipo de tecnología, a través de la adquisición de imágenes en forma simultánea a dos niveles de energía, permite, además de proporcionar de forma simultánea imágenes de TC convencionales, discriminar entre los distintos mecanismos a partir de los cuales la materia interactua con los rayos X, relacionados con los coeficientes de atenuación de los materiales: la dispersión Compton y el efecto fotoeléctrico. De esta forma, se obtiene información multiparamétrica sobre densidad, reconstrucciones monoenergéticas virtuales (VMI), y número atómico, entre otros parámetros, que facilitan la separación entre tejidos de densidad similar a un único nivel de energía.
Luego de la administración endovenosa de entre 60 y 70 ml de contraste iodado (Ioversol, 350 mg/mL), se obtuvieron imágenes, mediante gatillado prospectivo en el caso de ritmo sinusal y paciente colaborador, en tiempo arterial desde el cayado hasta el diafragma. Cinco minutos más tarde se obtuvieron imágenes del corazón mediante gatillado prospectivo del ECG. Las imágenes fueron analizadas utilizando VMI a 40-50 kev y mapas de iodo mediante un software dedicado (IntelliSpace Portal versión 11, Philips Healthcare, Best, Holanda). El VEC fue calculado en el nivel septal; se utilizó el hematocrito del mismo día para su cálculo mediante la siguiente formula: VEC = (1-Hto)*(Concentración de iodo en miocardio / Concentración de iodo en la cavidad ventricular).
RESULTADOS
Presentamos cuatro casos que ingresaron en nuestra institución en un lapso de 40 días entre julio y agosto de 2020 por ACVi.
Caso1. Se trata de una paciente de 73 años, tabaquista, con enfermedad pulmonar obstructiva crónica. Ingresó con afasia (NIHSS: 6) de inicio incierto. En la RM de encéfalo se constataron lesiones isquémicas hiperagudas a nivel córtico/subcortical, frontotemporal y periventricular izquierdo. Se realizó una angiografía digital y se constató un trombo cabalgante en la bifurcación de la arteria cerebral media izquierda; se procedió a realizar una trombectomía mecánica con stent retriever y tromboaspiración, y se logró una reperfusión final de grado IIb en la escala TICI modificada.
Evolucionó en forma estable y sin intercurrencias. A los 7 días se le realizó una TC cardíaca para descartar FCE donde se detectó un trombo de 7 por 21 mm a nivel de la porción tubular de la aorta sin captación de iodo (Figura 1, A y B) con orejuela izquierda y ventrículo izquierdo (VI) libres y sin particularidades. Se calculó una fracción de VEC del miocardio del 29%, (Figura 1 C), dentro de los límites normales.

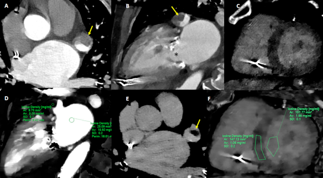
Caso 2. Se trata de un paciente de 57 años, con diabetes tipo 2 e hipertensión. Ingresó con diplopía y cefalea del despertar, con inestabilidad de la marcha de inicio incierto (NIHSS: 0). La presión arterial al ingreso fue de 170/100 mmHg, con valores de troponina normales. En la RM de encéfalo con angioRM se evidenció isquemia aguda de fosa posterior sin oclusión a nivel de los vasos explorados. Evolucionó con mejora completa de su sintomatología. Se realizó una TC espectral cardíaca (Figura 2) para evaluar la etiología del ACVi, y se observó hipertrofia asimétrica del VI a predominio septal, áreas de infiltración grasa intramiocárdica de patrón lineal a nivel inferolateralbasal, y RT de patrón predominantemente intramiocárdico a nivel inferolateral medio, y parches intramiocárdicos a nivel anterolateral basal, con función sistólica conservada. Además, se identificó ateromatosis multifocal a predominio de lesiones de pequeños vasos y engrosamiento valvular no acorde con la edad. Se calculó un VEC septal de 40%, y un VEC de 70% a nivel del área lateral con máximo realce. Esos hallazgos se interpretaron como miocardiopatía de etiología no isquémico-necrótica, que podían corresponder a miocardiopatía arritmogénica dominante izquierda con componente de hipertrofia. Sin embargo, si bien es poco probable, debido a que la función sistólica se encontraba conservada, no se descarta la posibilidad de cardiotoxicidad vinculada con con antecedente de quimioterapia debido a la presencia concomitante de lesiones coronarias, valvulares y miocárdicas en un paciente relativamente joven.

Caso 3. Se trata de una paciente de 74 años, con marcapasos definitivo y antecedente de ACVi hacía 5 años. Ingresó con hemiparesia izquierda y mareos (NI-HSS: 6) de 5 horas de evolución. La TC de cerebro con angio TC de vasos intra y extracraneanos y la perfusión evidenciaron oclusión a nivel de la arteria cerebral posterior derecha e hipoperfusión en territorio de la arteria cerebral posterior ipsilateral. La TC de tórax evidenció opacidades periféricas bilaterales en vidrio esmerilado (patrón indeterminado para COVID-19). Se realizó una angiografía cerebral, y se confirmó oclusión del segmento proximal de P1 derecha y, se procedió a realizar una trombectomía con stent retriever. Se obtuvo un TICI final modificado de grado 3. Evolucionó con edema agudo de pulmón hipertensivo (210/100 mmHg), con pro-BNP de 6700pg/ml y sin elevación de troponina, que requirió asistencia respiratoria mecánica por 24 horas. El ecocardiograma transtorácico reportó fracción de eyección del 55%, y no se identificaron trastornos regionales de la motilidad, y dilatación moderada de la aurícula izquierda. El Doppler de vasos de cuello no mostró lesiones significativas. El electrocardiograma mostró ritmo de marcapasos con sensado y captura adecuados que alternaba con ritmo de base de fibrilación auricular.. El hisopado para SARS-coronavirus 2019 fue negativo. Al cuarto día de internación se realizó una TC espectral cardíaca (Figura 3) para descartar FCE, y se identificó la presencia de un trombo en la orejuela izquierda y se procedió a realizar anticoagulación. Mediante un análisis espectral se descartó realce tardío de contraste y se calculó un VEC de 35%.

Caso 4. Se trata de un paciente de 68 años, diabético, tabaquista previo. Ingresó con hemiparesia izquierda de menos de 6 horas de evolución. Al ingreso se encontraba afebril, con una presión arterial de 184/112 mmHg, y una frecuencia cardíaca de 105 lpm. La RM de encéfalo evidenció una lesión cerebelosa y lentículo capsular del lado derecho de origen isquémico reciente e infiltración ateromatosa del tronco basilar, con estenosis moderada; y ateromatosis difusa no significativa de otros territorios. Se procedió a realizar una angiografía digital cerebral, y se observó ateromatosis difusa y estenosis de leve a moderada de la arteria basilar. Se decidió realizar tratamiento médico. El ECG demostró bloqueo completo de la rama derecha y hemibloqueo anterior, con alteraciones inespecíficas de repolarización. No presentó evidencia de trastornos de la motilidad en el ecocardiograma transtorácico. El laboratorio informó elevación de enzimas y curva; se decidió realizar una cinecoronariografía, donde se evidenció ateromatosis difusa, con múltiples lesiones graves de aspecto trombótico en las ramas secundarias; se decidió implantar un stent en el tercio distal de la coronaria derecha. Se realizó una TC cardíaca (Figura 4) para descartar FCE. Se observó ateromatosis difusa, que incluía lesiones oclusivas en las ramas descendente posterior, lateroventricular, y diagonal. En la arteria coronaria derecha se observó un aneurisma a nivel del tercio medio, con trombosis mural excéntrica no obstructiva. Además, en el análisis espectral, se identificó un grave defecto de perfusión inferior, con realce tardío de contraste de patrón transmural y con evidencia de obstrucción microvascular (“no reflow”, Figura 4 F-G). Se calculó un VEC septal de 38%, y un VEC de 68% a nivel del área lateral con máximo realce.

DISCUSIÓN
Esta serie de casos representa una posible nueva aplicación de la TC espectral cardíaca en el contexto del ACVi para descartar la presencia de FCE e identificar la etiología subyacente.
La TC espectral, al facilitar la cuantificación de la concentración de iodo en un tejido determinado, permitiría definir la presencia de un trombo (concentración menor de 1,3 mg/ml) sin la necesidad de adquisiciones en tiempo tardío, que suelen ser necesarias con TC de energía simple. 15 Además, este tipo de estrategia, al adquirir las imágenes a los 5 minutos, en lugar de 3 después del contraste, facilita la discriminación de trombos al incrementar el gradiente entre las áreas contrastadas (cavidad ventricular y miocardio) y áreas no contrastadas (trombo), e identificar de forma simultánea la presencia de RT de contraste. En el contexto del ACVi, donde el stroke cardioembólico de origen indeterminado (ESUS) es una entidad de relevancia cada vez mayor, los hallazgos generadores de hipótesis de este tipo de estrategia podrían, eventualmente, brindar algo de luz respecto de la etiología. 16 Finalmente, la TC espectral permite, sin la necesidad del agregado de adquisiciones sin contraste como en la TC convencional, la cuantificación del VEC, un novedoso marcador subrogante de fibrosis intersticial y de sutiles cambios preclínicos vinculados al daño celular y/o edema en diversas miocardiopatías y, de previamente validado contra la RM cardíaca. 10
Cabe destacar que los pacientes con ACVi generalmente presentan alteraciones del ritmo y con frecuencia cardíaca elevada además de deterioro del sensorio e incapacidad para tolerar apneas; por lo tanto, no representan el ideal para obtener estudios de calidad como en otras situaciones clínicas.
CONCLUSIONES
En el contexto del ACVi, la TC espectral cardíaca incluida la adquisición tardía, permitiría, eventualmente, descartar la presencia de FCE e identificar la etiología subyacente.
BIBLIOGRAFÍA
1. Goncalves P de A, Rodríguez-Granillo GA, Spitzer E, Suwannasom P, Loewe C, Nieman K, et al. Functional Evaluation of Coronary Disease by CT Angiography. JACC Cardiovasc Imaging 2015;8:1322-35. https://doi.org/10.1016/j.jcmg.2015.09.003
2. Pathan F, Hecht H, Narula J, Marwick TH. Roles of Transesophageal Echocardiography and Cardiac Computed Tomography for Evaluation of Left Atrial Thrombus and Associated Pathology: A Review and Critical Analysis. JACC Cardiovasc Imaging 2018;11:616-627. https://doi.org/10.1016/j.jcmg.2017.12.019.
3. Hilberath JN, Oakes DA, Shernan SK, Bulwer BE, D’Ambra MN, Eltzschig HK. Safety of transesophageal echocardiography. J Am Soc Echocardiogr 2010;23:1115-27. https://doi.org/10.1016/j.echo.2010.08.013.
4. Lupercio F, Carlos Ruiz J, Briceno DF, Romero J, Villablanca PA, Berardi C, et al. Left atrial appendage morphology assessment for risk stratification of embolic stroke in patients with atrial fibrillation: A meta-analysis. Heart Rhythm 2016;13:1402-9. https://doi.org/10.1016/j.hrthm.2016.03.042
5. Rodríguez-Granillo GA, Rosales MA, Renes P, Diez E, Pereyra J, Gómez E, et al. Chronic myocardial infarction detection and characterization during coronary artery calcium scoring acquisitions. J Cardiovasc Comput Tomogr 2010;4:99-107. https://doi.org/10.1016/j.jcct.2009.12.003.
6. Rodríguez-Granillo GA, Rosales MA, Baum S, Rennes P, Rodríguez-Pagani C, Curotto V, et al. Early assessment of myocardial viability by the use of delayed enhancement computed tomography after primary percutaneous coronary intervention. JACC Cardiovasc Imaging 2009;2:1072-81. https://doi.org/10.1016/j.jcmg.2009.03.023.
7. Gerber BL, Belge B, Legros GJ, Lim P, Poncelet A, Pasquet A, et al. Characterization of acute and chronic myocardial infarcts by multidetector computed tomography: comparison with contrast-enhanced magnetic resonance. Circulation 2006;113:823-33. https://doi.org/10.1161/CIRCULATIONAHA.104.529511.
8. Li W, Yu F, Zhu W, Zhang W, Jiang T. Detection of left atrial appendage thrombi by third-generation dual-source dual-energy CT: Iodine concentration versus conventional enhancement measurements. Int J Cardiol 2019;292:265-270. https://doi.org/10.1016/j.ijcard.2019.04.079.
9. Haaf P, Garg P, Messroghli DR, Broadbent DA, Greenwood JP, Plein S. Cardiac T1 Mapping and Extracellular Volume (ECV) in clinical practice: a comprehensive review. J Cardiovasc Magn Res 2016;18:89. https://doi.org/10.1186/s12968-016-0308-4.
10. Lee HJ, Im DJ, Youn JC, Chang S, Suh YJ, Hong YJ, Kim YJ, et al. Myocardial Extracellular Volume Fraction with Dual-Energy Equilibrium Contrast-enhanced Cardiac CT in Nonischemic Cardiomyopathy: A Prospective Comparison with Cardiac MR Imaging. Radiology 2016;280:49-57. https://doi.org/10.1148/radiol.2016151289.
11. Carrascosa PM, Deviggiano A, Capunay C, et al. Incremental value of myocardial perfusion over coronary angiography by spectral computed tomography in patients with intermediate to high likelihood of coronary artery disease. Eur J Radiol 2015;84:637-42. https://doi.org/10.1016/j.ejrad.2014.12.013
12. Rodríguez-Granillo GA, Campisi R, Deviggiano A, de Munain MNL, Zan M, Capunay C, Carrascosa P. Detection of Myocardial Infarction Using Delayed Enhancement Dual-Energy CT in Stable Patients. AJR Am JRoentgenol 2017;209:1023-32. https://doi.org/10.2214/AJR.17.18118.
13. Ohta Y, Kitao S, Yunaga H, Mukai N, Yamamoto K, Ogawa T. Myocardial Delayed Enhancement CT for the Evaluation of Heart Failure: Comparison to MRI. Radiology 2018;288:682-91. https://doi.org/10.1148/radiol.2018172523.
14. Lala A, Johnson KW, Januzzi JL, Russak AJ, Paranjpe I, Richter F, et al. Prevalence and Impact of Myocardial Injury in Patients Hospitalized With COVID-19 Infection. J Am Coll Cardiol 2020;76:533-46. https://doi.org/10.1016/j.jacc.2020.06.007.
15. Romero J, Husain SA, Kelesidis I, Sanz J, Medina HM, Garcia MJ. Detection of left atrial appendage thrombus by cardiac computed tomography in patients with atrial fibrillation: a meta-analysis. Circ Cardiovasc Imaging 2013;6:185-94. https://doi.org/10.1161/CIRCIM-AGING.112.000153.
16. Hart RG, Catanese L, Perera KS, Ntaios G, Connolly SJ. Embolic Stroke of Undetermined Source: A Systematic Review and Clinical Update. Stroke 2017;48:867-72. https://doi.org/10.1161/STROKEAHA.116.016414.
Notas de autor
Dirección para separatas: Instituto Médico ENERI, Clínica La Sagrada Familia - Avda. Libertador 6647 (C1428ARJ) Buenos Aires, Argentina - E-mail: grodriguezgranillo@gmail.com