CARTAS CIENTÍFICAS
Supradesnivelación persistente del Segmento ST por infiltración miocárdica
Persistent ST-Segment Elevation Due to Myocardial Infiltration
Supradesnivelación persistente del Segmento ST por infiltración miocárdica
Revista argentina de cardiología, vol. 88, núm. 6, pp. 582-584, 2020
Sociedad Argentina de Cardiología
La supradesnivelación del segmento ST se debe, en la mayoría de los casos, a la oclusión aguda de una arteria coronaria. Sin embargo, ante una presentación y evolución atípica, deberíamos considerar otras etiologías.
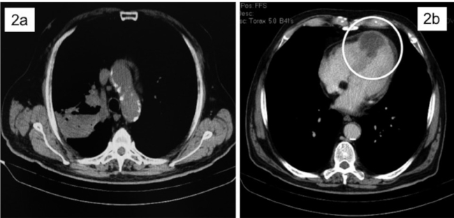
Presentamos el caso de un varón de 71 años con dolor precordial persistente y disnea. El electrocardiograma (ECG) mostró supradesnivelación del segmento ST en las derivaciones V2 a V4. Se detectó una lesión severa no oclusiva en el segmento distal de la arteria descendente anterior sobre la que se implantó un stent, pero el segmento ST no se normalizó. Días más tarde, los síntomas reaparecieron, por lo que se realizó una tomografía computarizada (TC) que reveló un cáncer de pulmón con múltiples metástasis, incluida la infiltración del miocardio. La elevación del segmento ST en el ECG puede ser una manifestación de la invasión tumoral del miocardio a nivel del ventrículo izquierdo.
Se trata de un varón de 71 años que acudió al servicio de urgencias con dolor precordial persistente y sensación de falta de aire. Su electrocardiograma mostró supradesnivelación del segmento ST en las derivaciones de V2 a V4 (Figura 1a). Tenía como antecedentes hipertensión arterial y tabaquismo. Con diagnóstico de SCACEST fue trasladado a nuestro centro para angioplastia primaria. En la coronariografía se evidenció una estenosis severa en el segmento distal de la arteria descendente anterior (LAD) que se trató con un stent farmacoactivo (Figuras 1c y 1d). La evolución posterior fue atípica, persistiendo la supradesnivelación del segmento ST pero sin aparición de ondas Q de necrosis (Figura 1b) y sin elevación de troponina. A los 7 días reaparecieron los síntomas (dolor precordial refractario, disnea y ortopnea). La TC detectó un cáncer primario de pulmón en el lóbulo superior derecho, infiltración miocárdica del tabique interventricular (Figura 2) y metástasis óseas y en glándulas suprarrenales. Durante esa hospitalización el patrón ECG fue similar al descrito en el ingreso previo (supradesnivelación segmento ST), probablemente debido a la invasión tumoral del miocardio. Aunque no se realizó biopsia de la masa pulmonar, los hallazgos de la TC indicaron que se trataba de un adenocarcinoma de pulmón. El paciente recibió tratamiento paliativo, falleciendo un mes después de la revascularización coronaria.


Aún siendo el infarto agudo de miocardio (IAM) la causa más frecuente de la supradesnivelación del segmento ST ésta podría ocurrir en otras circunstancias como, por ejemplo, en la infiltración miocárdica tumoral. 1
Entre los tumores malignos subyacentes más comunes con compromiso cardíaco secundario se encuentran el carcinoma de pulmón, mama, esófago, estómago y riñones, así como los melanomas, linfomas y leucemias. Los carcinomas primarios de pulmón representan alrededor de un tercio de las metástasis cardíacas. 2,3
Por lo general, la metástasis miocárdica de la enfermedad neoplásica es clínicamente asintomática y muy difícil de diagnosticar. En un estudio de 151 autopsias consecutivas a pacientes con cáncer de pulmón, se encontraron metástasis cardíacas en 67 pacientes (44,4%), siendo el 11,9% de ellas por infiltración miocárdica. El ECG de los pacientes con metástasis miocárdica reveló alteraciones del segmento ST y de la onda T, y varios tipos de arritmia. Dichas alteraciones se observaron en 4 pacientes con metástasis miocárdica y en 6 sin esa patología (únicamente metástasis pericárdica). 2 Existen casos publicados de supradesnivelación del segmento ST sin oclusión coronaria en diferentes derivaciones del ECG, según el área infiltrada del corazón. 2,4,5
Es improbable que los pacientes con cáncer y ECG normal presenten metástasis cardíaca. El hallazgo de una lesión o isquemia miocárdica en el ECG tiene una elevada especificidad (96%, p <0,000001) para la metástasis cardíaca. 4 Por otro lado, las alteraciones del segmento ST y de la onda T constituyen un hallazgo inespecífico de metástasis miocárdica. 2
El compromiso miocárdico por invasión directa de cáncer de pulmón es poco frecuente y, por lo general, es clínicamente silencioso, aunque puede causar un derrame pericárdico maligno con o sin síntomas de pericarditis, arritmias, insuficiencia cardíaca y, raramente, IAM. 2 El IAM puede ser causado por la embolización o la compresión directa del tumor en las arterias coronarias. 5
Inicialmente, nuestro paciente fue erróneamente diagnosticado como síndrome coronario agudo con elevación del segmento ST debido a la presencia de dolor cardíaco y supradesnivelación del segmento ST en el ECG. Sin embargo, tras la muerte del paciente en un mes, debemos llegar a la conclusión de que, en este caso, la supradesnivelación anormal del segmento ST no fue la manifestación de un IAM, sino que posiblemente se produjo por una alteración de las propiedades eléctricas del miocardio asociada con la invasión tumoral. Además, la presencia de enzimas cardíacas normales constituye también una evidencia importante de que las alteraciones electrocardiográficas no estaban asociadas con el IAM ni con miocarditis. 6
BIBLIOGRAFÍA
1. Mirvis DM, Goldberger AL. Electrocardiography. In Zipes DP et al, eds. Branwald’s Heart Disease E-Book: A Textbook of Cardiovascular Medicine. Elsevier Health Sciences. Philadelphia, 2018. Pp.117-151.
2. Abe S, Watanabe N, Ogura S, Kunikane H, Isobe H, Yamaguchi E, et al. Myocardial metastasis from primary lung cancer: myocardial infarction-like ECG changes and pathologic findings. Jpn J Med 1991;.3 https://doi.org/10.2169/internalmedicine1962.30.213.
3. Wassef N, Dorrington S, Pulikal G. Cardiac manifestation of the huge pulmonary mass simulating ST-elevation myocardial infarction. https://doi.org/10.5430/crim.v3n4p84
4. Cates CU, Virmani R, Vaughn WK, Robertson RM. Electrocardiographic markers of cardiac metastasis. Am Heart J. 1986;112:1297-303. https://doi.org/10.1016/0002-8703(86)90363-7
5. Uribarri A, Villa A, Loughlin G, Fernández-Avilés F. Acute myocardial infarction as presentation of an infiltrative lung neoplasia. J Cardiol Cases; 2013;e61-e63. https://doi.org/10.1016/j.jccase.2012.10.013.
6. Lu DY, Yu WC, Chen CK, Sung SH. Tumor invasion of myocardium presented with acute coronary syndrome. Acta Cardiol Sin 2015;31:257-60. https://doi.org/10.6515/ACS20140526C
Notas de autor
Dirección para separatas: Correo electrónico: mcferrer10@gmail.com
Declaración de intereses