CARTAS CIENTÍFICAS
Aneurisma de arteria renal con estenosis bilateral de arteria renal
Renal Artery Aneurysm with Bilateral Renal Artery Stenosis
Aneurisma de arteria renal con estenosis bilateral de arteria renal
Revista argentina de cardiología, vol. 88, núm. 6, pp. 587-589, 2020
Sociedad Argentina de Cardiología
Presentamos el caso de una paciente de sexo femenino, de 23 años, con antecedentes personales de hipotiroidismo, anemia crónica por talasemia, obesidad, sedentarismo y antecedentes heredofamiliares (padre diabético tipo 2). Refiere hipertensión arterial de 3 años de evolución, con registros fuera de objetivo de tensión arterial sistólica y diastólica de 180/120 mmhg a pesar de terapia combinada con 4 fármacos: hidroclorotiazida, valsartán, amlodipina y carvedilol. Refiere a la consulta disnea CFI, clasificación de NYHA. Al examen físico, la paciente se encuentra lúcida, orientada, tolera decúbito, registra presión arterial, en brazo derecho 190/120 mm Hg y en brazo izquierdo 192/120 mm Hg. Aparato cardiovascular: R1 y R2 normales, regulares, no R3, latido apexiano 5to. EII. Pulsos periféricos conservados.
Exámenes complementarios
Electrocardiograma: Ritmo sinusal, sobrecarga ventricular izquierda; Rx. Tórax: ICT <0.5; eco-Doppler cardíaco: DDVI: 49 mm, DSVI: 33 mm, SIV: 13 mm, PP: 13 mm, IMVI: 130 g/m2, raíz aorta: 29 mm, AI: 35 mm, DDVD: 15 mm, FEy: 60%, FAc: 40%, TAPSE: 23 mm, motilidad parietal normal, gradiente pico aórtico 8,8 mmhg. Laboratorio: glóbulos rojos (4,7), hemoglobina: 9,3 mg%, hematocrito: 32%, glucemia: 81 mg/dL, colesterol: 120 mg/dL, urea: 34 mg/dL, creatinina: 0,88 mg/dL, aclaramiento (clearance) de creatinina: 124,5 mL/min, hematuria (-), VIH (-), VDRL (-), microalbuminuria: 3,06 mg/L, proteinuria: 12,24 mg/24 h.
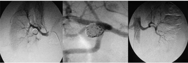
Con sospecha de hipertensión arterial secundaria, probablemente renovascular se realiza Rx. de abdomen y ecografía abdominal que resultaron normales. Por su parte, en la ecografía renal se observa una imagen anecoica en la pelvis renal derecha de 1,95 cm por 1,44 cm. El eco-Doppler de arterias renales presentó una velocidad flujo pico sistólico (VFPS) de la arteria renal derecha (ARD) principal de 210 cm/s (VN <180 cm/s), un índice de resistencia (IR) mayor de 0,7 (VN <0,70), tiempo de aceleración de 0,13 cm/s (VN <0,1). La arteria renal izquierda (ARI) principal tiene una VFPS de 173 cm/s y un IR igual a 0,65. Se realiza una angiografía por sustracción digital renal en la que se observa una lesión grave en el tercio medio de la ARI y otra lesión grave en el tercio medio y pos de la ARD; se objetiva un aneurisma sacular de cuello estrecho en la bifurcación de la AR principal derecha. Tras valorar las opciones terapéuticas, se optó por realizar un tratamiento endovascular que consiste en la exclusión endovascular del aneurisma y la embolización con 5 espirales (coils) (Barricade): 1 de 9 × 30, 2 de 8 × 27 y 2 de 7 × 19 mm, con lo que queda compactado el aneurisma. A continuación, se realiza una angioplastia de AR principal derecha con colocación de stent de 4,30 mm × 16 mm. Al mes siguiente, se practica una angioplastia con colocación de stent Corflex de 4,0 mm × 16 mm a la AR principal izquierda.
La evolución de la paciente fue satisfactoria luego de la intervención: Eco-Doppler color de arterias renales: ARD: VFPS: 170 cm/s, (IR) 0,63; ARI: VFPS: 165 cm/s, (IR) 0,60 y MAPA: HTA sistólica diurna/nocturna, grado I non dipper. Al año, una angiografía selectiva renal fue normal. La paciente continúa normotensa y en tratamiento con carvedilol, amlodipina, aspirina, estatinas y suspende clopidogrel.
En estudio por hipertensión arterial refractaria al tratamiento, sospechosa de ser secundaria, se optó por eco-Doppler de arterias renales con sensibilidad y especificidad del 85% y el 92%; en nuestro caso, se diagnosticó estenosis de ARD y se complementó con angiografía renal con sustracción digital, método de referencia (gold standard) que tiene sensibilidad y especificidad del 94% y el 93%. El eco-Doppler renal puede ser negativo en el 10%-20% de los casos, lo que explicaría la falta de diagnóstico de estenosis de ARI.
El aneurisma de la arteria renal (AAR) es una anomalía vascular poco común (0,09-0,3% de todos los aneurismas), generalmente saculares, en su mayoría extraparenquimatosos, afectan la bifurcación de la arteria renal, 1 con frecuencia presentan hipertensión arterial, por estenosis de la arteria renal o isquemia renal secundaria a tromboembolización distal al aneurisma; su media de presentación es 40-60 años, aunque en personas jóvenes, de sexo femenino y con hipertensión graves, en ausencia de obesidad, contraceptivos y enfermedad renal parenquimatosa la etiología suele atribuirse por mayor prevalencia a displasia fibromuscular (DFM, enfermedad vascular no inflamatoria) o arteriosclerosis, y, menos frecuentemente, son congénitos, micóticos, por arteritis nudosa, traumáticos, sífilis o tuberculosis. 2
Hay descriptas complicaciones asociadas, sea trombosis de AR, hematuria por rotura del aneurisma, infarto renal por disección aneurismática e hipertensión arterial. La rotura aneurismática es rara (3%) pero mortal. La rotura de dichos aneurismas durante el embarazo tiene mortalidad del 50% para la madre. 3
Hay 2 registros: uno es el del University of Michigan Hospital, donde los AAR fueron: 68% solitarios, 31,5% múltiples y 19% bilaterales; con tamaño medio de 1,5 cm, 4 en su presentación pueden producir dolor en el flanco, 15%; hematuria, el 30%; e hipertensión, el 55%; esta última favorece la rotura en el 90% de los casos. El otro es el registro ARCADIA (evaluación de displasia renal y arteria cervical), en el cual el 48% tenía DFM multisitio y patología bilateral, el 20% de los casos. En aquellos pacientes con presentación renal, la prevalencia de lesiones cervicales fue mayor en pacientes con lesiones bilaterales que en aquellos con lesiones unilaterales de arteria renal. 5
En nuestro caso, la paciente tenía eco-Doppler de vasos de cuello, aorta abdominal, ilíacas, subclavia, braquial, radial y cubital bilateral normales.
Existe controversia en cuanto al tamaño del aneurisma de arteria renal debe ser reparado en un paciente asintomático, los expertos recomiendan reparación con diámetros que van desde 15 mm a 30 mm, aunque en general se acepta tratarlos con diámetro mayor de 20 mm.
En cuanto a su tratamiento, es endovascular, sea embolización directa del aneurisma, espirales de liberación prolongada y stents con embolización del aneurisma; o cirugía, que se reserva para lesiones complejas si hay aneurismas de gran tamaño con riesgo de perforación elevado o signos radiológicos de expansión. La nefrectomía solo es necesaria si el aneurisma está roto.


En estenosis de la arteria renal por DFM, la angioplastia de la arteria renal es el tratamiento de primera elección. 6 Otras indicaciones de revascularización son lesiones hemodinámicamente significativas, lesiones bilaterales, hipertensión acelerada y en aquellos que no controlan la presión arterial con tratamiento farmacológico, como en este caso.
La DFM debería tenerse en cuenta ante la presencia combinada de aneurisma y la estenosis de la arteria renal, sexo femenino y edad joven. La angioplastia de la arteria renal y la exclusión endovascular del aneurisma mediante espirales sería de elección en estos casos.
BIBLIOGRAFÍA
1. Welsh PA. Aneurismas de la arteria renal. Rev Argent Cardiol 1982;50:350-5.
2. Martínez Riera L, Pacheco G, Moreyra E, Minuzzi G. Tratamiento endoluminal del aneurisma de arteria renal. Rev Fed Arg Cardiol 2017;46:208-12.
3. Goran A, Tomislav K, Nina K, Vanja I. Ruptured Renal Artery Aneurysm in Pregnancy and Puerperium: Literature Review of 53 cases. Arch Gynecol Obstet 2019;299:923-31. https://doi.org/10.1007/s00404-019-05087-y.
4. Henke PK, Cardneau JD, Welling TH 3rd, Upchurch GR Jr., Wakefield TW, Jacobs LA, et al. Renal Artery Aneurysms: A 35-year Clinical Experience With 252 Aneurysms in 168 Patients. Ann Surg 2001; 234:454-62; discussion 462-3. https://doi.org/10.1097/00000658-200110000-00005.
5. Plouin PF, Baguet JP, Thony F, Ormezzano O, Azarine A, Silhol F, et al. ARCADIA Investigators High Prevalence of Multiple Arterial Bed Lesions in Patients with Fibromuscular Dysplasia: The ARCADIA Registry (Assessment of Renal and Cervical Artery Dysplasia). Hypertension 2017;7:652-8. https://doi.org/10.1161/HIPERTENSION AHA.117.09539.
6. Chrysant SG, Chrysant GS. Treatment of Hypertension in Patients with Renal Artery Stenosis due to Fibromuscular Dysplasia of the Renal Arteries. Cardiovasc Diagn. Ther 2014;4:36-43. https://doi.org/10.3978/j.issn.2223-3652.2014.02.01.
Notas de autor
Dirección para separatas: E-mail: jgoral@intramed.net.
Declaración de intereses