ARTÍCULO DE REVISIÓN
Imágenes en la amiloidosis cardíaca
Imaging in Cardiac Amyloidosis
Imágenes en la amiloidosis cardíaca
Revista argentina de cardiología, vol. 89, núm. 3, pp. 253-261, 2021
Sociedad Argentina de Cardiología
Recepción: 27 Febrero 2020
Aprobación: 08 Mayo 2021
RESUMEN: La amiloidosis es un desorden sistémico producido por el depósito de fibrillas de proteínas insolubles que se pliegan y depositan en el miocardio. Los pacientes con amiloidosis y compromiso cardíaco tienen mayor mortalidad respecto a pacientes sin compromiso cardíaco. Las dos formas de amiloidosis más prevalentes que se asocian con compromiso cardíaco son la amiloidosis AL, por el depósito de las cadenas livianas de las inmunoglobulinas, y la amiloidosis ATTR, por el depósito de la proteína transtiretina (TTR) en forma mutada o senil. Este artículo tiene el objetivo de revisar las diferentes modalidades de imágenes cardíacas (ecocardiografía, resonancia magnética cardiaca, medicina nuclear y tomografía) que permiten determinar la severidad del compromiso cardíaco en pacientes con amiloidosis, el tipo de amiloidosis y su pronóstico. Finalmente, se sugiere un algoritmo diagnóstico para determinar el compromiso cardíaco en la amiloidosis adaptado a las herramientas diagnósticas disponibles localmente, con un enfoque práctico y clínico.
Palabras clave: Amiloidosis/diagnóstico por imágenes, Cardiomiopatías/diagnóstico por imágenes, Echocardiografía, Imagen por Resonancia Magnética.
ABSTRACT: Cardiac amyloidosis is a systemic disorder caused by the extracellular deposition of fibrils of insoluble proteins that misfold and deposit in the myocardium. Patients with amyloidosis and cardiac involvement have higher mortality rate than those without cardiac involvement. The two most prevalent types are amyloidosis with cardiac involvement are light-chain amyloidosis (AL) due to immunoglobulin light chain deposition and transthyretin amyloidosis (ATTR) due to deposition of mutated or senile forms of the transthyretin (TTR) protein. The aim of this paper is to review the different modalities of cardiac imaging tests (echocardiography, cardiac magnetic resonance imaging, nuclear medicine images and computed tomography scan) that can determine the severity of cardiac involvement in patients with amyloidosis, the type of amyloidosis and its prognosis. Finally, a diagnostic algorithm is proposed to determine cardiac involvement in amyloidosis, tailored to the diagnostic tools locally available with a practical and clinical approach.
Key words: Amyloidosis/diagnostic imaging, Cardiomyopathies/diagnostic imaging, Echocardiography, Magnetic Resonance Imaging.
INTRODUCCIÓN
La amiloidosis es un desorden sistémico producido por el depósito de fibrillas de proteínas insolubles que se pliegan y depositan en el miocardio. 1,2 Los pacientes con amiloidosis y compromiso cardíaco tienen mayor mortalidad respecto a pacientes sin dicho compromiso. 2,3 Existen más de 30 proteínas que pueden producir amiloidosis; las dos formas más prevalentes de amiloidosis son la amiloidosis AL, por el depósito de las cadenas livianas de las inmunoglobulinas, y la amiloidosis ATTR, por el depósito de la proteína transtiretina (TTR) en forma mutada o senil. Este artículo tiene el objetivo de revisar las diferentes modalidades de imágenes cardíacas (ecocardiografía, resonancia magnética cardíaca, medicina nuclear y tomografía) que permiten determinar la gravedad del compromiso cardíaco en pacientes con amiloidosis, el tipo de amiloidosis y su pronóstico.
Ecocardiografía
La ecocardiografía suele ser el estudio de preferencia para una evaluación inicial del compromiso cardíaco dada su amplia disponibilidad, su naturaleza no invasiva, la óptima resolución espacial y temporal y bajo costo. Diferentes signos nos orientan a pensar en amiloidosis cardíaca (AC), los cuales no son confirmatorios ni tampoco específicos, sobre todo en la etapa inicial de la enfermedad. 4,5,6,7 Un signo sugestivo es la presencia de engrosamiento de las paredes ventriculares en ausencia de alteración valvular o hipertensión arterial, o cuya magnitud resulta inapropiada respecto de los voltajes del ECG. 5 En la AC, es característico un engrosamiento parietal asociado con bajos voltajes. 8,9
Phelan y cols. compararon los parámetros ecocardiográficos en la ATTR y la AL (n: 172). En el estudio resultó evidente que los pacientes con ATTR wt (wild type, tipo salvaje) presentaban un mayor grosor de la pared del ventrículo izquierdo y similar compromiso del strain longitudinal sistólico, pero asociado a una mortalidad menor que aquellos con AL. 10 Esto sugiere la presencia de un mecanismo adicional a la infiltración amiloide que compromete el miocardio en la AL, como es la toxicidad directa de las cadenas ligeras.
La hipertrofia ventricular izquierda (HVI) es típicamente concéntrica y simétrica, pero hasta un 23% de los pacientes presentan un patrón de hipertrofia asimétrica en la ATTR wt. 11 La presencia de gradiente obstructivo es inhabitual y, en la experiencia de la Clínica Mayo, un 0,9% de los pacientes tratados con miectomía tuvieron diagnóstico de amiloidosis. 12
El compromiso cardíaco temprano se asocia con una disfunción diastólica tipo I que progresa a fisiopatología restrictiva típica en la enfermedad avanzada. 13 Habitualmente la amiloidosis cursa con fracción de eyección ventricular izquierda (FEVI) conservada, pero en estadios avanzados puede evolucionar con disfunción sistólica. El compromiso coronario por enfermedad macrovascular o de la microcirculación, puede generar trastornos de la motilidad regional. 14 La reducción de la FEVI se observa más frecuentemente en la ATTR h (hereditaria) con alteración Val122Ile comparado con ATTR wt, lo que refleja una etapa más avanzada de la enfermedad al momento del diagnóstico y la reducción de la supervivencia. 15
No solo la función de la cámara está afectada, sino también la función de la fibra miocárdica (Figura 1). 16,17,18 La prevalencia de alteración del strain longitudinal bidimensional en la AC oscila entre el 93% y 100%, aún con función sistólica conservada. 19 En cualquiera de las formas de AC, la deformación sistólica (por strain longitudinal) se encuentra conservada en los segmentos apicales y significativamente reducida en valores absolutos en los segmentos medios y basales. Este patrón de preservación apical mejora la especificidad en el diagnóstico. 10,20 Una relación del strain apical/ strain basal + strain medial >1 permitió diferenciarla de la miocardiopatía hipertrófica (sensibilidad del 93%, especificidad del 82% y área bajo la curva de 0,91) y de la estenosis aórtica (sensibilidad del 93%, especificidad del 82% y área bajo la curva de 0,97). 22 Este hallazgo fue confirmado también en la enfermedad de Fabry y la ataxia de Friedrich (Figura 1). En este sentido, un punto de corte >4,1 en la relación entre la FEVI y el strain longitudinal sistólico presentó mejor performance en el diagnóstico diferencial con otras formas de hipertrofia (sensibilidad 90%, especificidad 92% y área bajo la curva de 0,9). 23 Además, en pacientes AL, el strain ventricular promedio longitudinal es un potente predictor de la evolución clínica, superior a los elementos predictores del ecocardiograma Doppler 21.

Otros signos ecocardiográficos asociados a AC son la hipertrofia y la disfunción ventricular derecha, una excursión anular tricuspídea <14 mm o una reducción de la deformación del segmento basal del ventrículo derecho. 24,25,26,27 Un derrame pericárdico leve está presente en un 40%-60%. 28,29 En pacientes sometidos a implante valvular percutáneo (TAVR) por estenosis aórtica, la presencia de una velocidad sistólica tisular promedio <6 cm/seg en el anillo mitral tuvo una sensibilidad del 100% para predecir una gammagrafía positiva. 30
Hasta el 90% de los pacientes con amiloidosis AL presentan compromiso cardíaco y, de estos, el 50% aproximadamente presentan insuficiencia cardíaca diastólica con signos clínicos de falla cardíaca derecha al momento del diagnóstico. 31 La ausencia de un patrón restrictivo no descarta el compromiso infiltrativo y no todo patrón restrictivo es secundario a AC. 32,33,34,35 Asimismo es frecuente la infiltración amiloide de la pared auricular con dilatación biauricular 36,37 y aumento del espesor septal auricular en el 60% de los casos, 38 y la reducción del strain bidimensional auricular izquierdo indica compromiso avanzado auricular 39,40,41,42).
Recomendaciones de ecocardiografía
Ecocardiograma Doppler con evaluación del strain longitudinal en todo paciente con sospecha de AC.
Los diferentes parámetros ecocardiográficos que sugieren la presencia de AC, no son confirmatorios de la enfermedad ni subtipos de amiloide.
En presencia de amiloidosis sistémica con diagnóstico por biopsia de tejido no cardíaco, los hallazgos característicos ecocardiográficos o de la resonancia cardíaca combinados con parámetros clínicos y biomarcadores séricos podrían ser suficientes para definir el compromiso cardiovascular.
El análisis del strain longitudinal es útil en el seguimiento de los pacientes con AC. Se sugiere repetirlo con un intervalo no menor de 6 meses o ante la presencia de empeoramiento clínico.
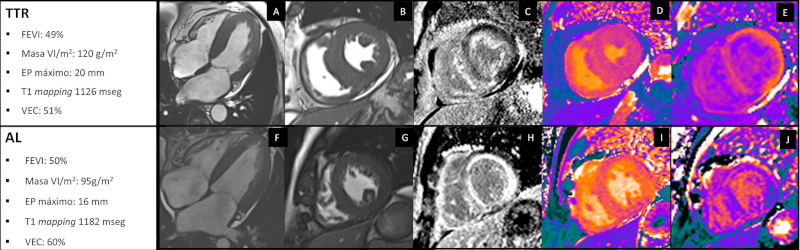
Resonancia magnética cardíaca
La resonancia magnética cardíaca (RMC) provee una imagen con alta definición para la evaluación estructural, con gran resolución y reproducibilidad, y, adicionalmente, puede realizar caracterización tisular (Figura 2).

Imágenes de cinerresonancia
Las imágenes de cinerresonancia pueden evaluar los volúmenes de fin de diástole y sístole, el volumen sistólico, los espesores parietales y la FEVI, por lo que constituye la técnica patrón para la determinación de estos parámetros. 43 En pacientes con mala ventana ultrasónica la RMC es una alternativa para la evaluación de la amiloidosis. La RMC se usa frecuentemente en la amiloidosis AL cuando existen dudas sobre la FEVI, que es un parámetro pronóstico importante.
Imágenes de realce tardío de gadolinio
El realce tardío de gadolinio (RTG) es la imagen más relevante para el diagnóstico de AC. El patrón característico es de realce subendocárdico o transmural difuso que compromete al ventrículo izquierdo asociado con anulación del pool de sangre. Este patrón de realce es muy preciso para el diagnóstico de amiloidosis (sensibilidad 86% y especificidad 92%). 44 Existen formas atípicas de presentación con realce focal intramiocárdico que pueden indicar formas incipientes. 45 El compromiso muy extenso de miocardio con RTG transmural y espesores muy aumentados puede sugerir amiloidosis por TTR. 46 Sin embargo, la distinción de ATTR y AL no es precisa. El tiempo correcto para las imágenes de RTG es más precoz, a los 4 o 5 min de inyectado el gadolinio; y la anulación simultanea o precoz del miocardio respecto del pool de sangre indica una marcada retención del gadolinio en el miocardio. 47 La obtención de imágenes de RTG en fase sensible (PSIR) permite acceder a imágenes adecuadas de anulación automáticamente 48,49.
La cuantificación del RTG no está estandarizada 49 y, en pacientes con compromiso renal, la administración del gadolinio puede estar contraindicada. Estas dos limitaciones pueden abordarse con imágenes de T1 mapping.
Imágenes T1 mapping y volumen de espacio extracelular
Las técnicas de mapeo de T1 o T1 mapping evalúan el tiempo de relajación, píxel por píxel, para caracterizar el miocardio sin contraste. 50 La señal nativa (sin contraste) se prolonga en el miocardio con depósito de material amiloide y es específica para el diagnóstico de AC. 49 Los valores de T1 mapping en equipos de 1,5 tesla (>1060 mseg) permitieron identificar a los pacientes con AC. 48,49,50,51,52,53,54 Sin embargo, valores o puntos de corte diagnósticos de T1 mapping en equipos de 1,5 o 3,0 tesla y diferentes marcas de resonadores requieren mayor estandarización.
Si se mide la relajación del T1, antes y después del gadolinio, se puede estimar el volumen del espacio extracelular (VEC) del miocardio. En condiciones normales, el VEC es menor del 25% de la masa del miocardio. 49 El VEC es una medida estandarizada independiente de la potencia del equipo (p. ej. 1,5 o 3,0 tesla), su marca y dosis de gadolinio administrada. El VEC aumentado se asocia con peor pronóstico en los pacientes con AC y sería un mejor predictor de eventos que el T1 mapping nativo. 50,51,52 Por último, la determinación del VEC, al cuantificar de forma precisa el grado de infiltración amiloide, puede ser de utilidad para evaluar la respuesta al tratamiento. 51
Recomendaciones de RMC
Alternativa en pacientes con mala ventana ultrasonográfica y sospecha de amiloidosis.
Confirma AC en pacientes con engrosamiento parietal, realce subendocárdico y anulación del pool de sangre.
Los hallazgos de RMC no diferencian el tipo de amiloidosis, AL o ATTR.
EL VEC evaluado por RMC podría ser útil para evaluar respuesta al tratamiento.
Centellografía cardíaca con fosfonatos
Diversos estudios demostraron que la centellografía con fosfonatos marcados con 99mTc presenta una elevada sensibilidad y especificidad para el diagnóstico de ATTR. 55,56 Diferenciar el subtipo de amiloidosis es crucial para orientar el diagnostico, el pronóstico y guiar el tratamiento. 57 La centellografía con fosfonatos permite diagnosticar en forma precisa la miocardiopatía por TTR en pacientes sin un proceso monoclonal, lo que evita en la mayoría de los casos la biopsia endomiocárdica (sensibilidad 92,2 % y especificidad 95,4%). 58,59
Los fosfonatos marcados con 99mTc recomendados por las guías internacionales son el pirofosfato (99mTcPYP), el hidroximetileno difosfonato (99m Tc-HMDP) y el ácido 3,3-difosfono-1,2-propanodicarboxílico (99mTc-DPD); los dos primeros son los que se utilizan en nuestro medio. 60,61,62 El 99mTc-metilendifosfonato (99mTc-MDP) no está recomendado debido a su menor sensibilidad diagnóstica. 55,56 Las biopsias endomiocárdicas de pacientes con ATTR mostraron mayor densidad de microcalcificaciones que las de los pacientes con formas AL, lo que sustentaría la hipótesis de un mecanismo de unión de estos trazadores mediado por calcio en la ATTR. 63,64
Los protocolos de centellografía comprenden la adquisición de imágenes cardíacas planares seguidas por imágenes de tomografía por emisión de fotón único (SPECT) para objetivar la captación del miocardio. 55,60,61 El tiempo recomendado entre la inyección del radiofármaco y la adquisición de las imágenes cardíacas es de 1 h o 3 h. 65,66 El centellograma con fosfonatos es un estudio relativamente sencillo, y puede usarse en pacientes con fibrilación auricular, dispositivos implantables, insuficiencia renal y alergia a contrastes. 56
Interpretación de las imágenes
Cuantificación de la captación miocárdica del radiotrazador. 67,68,69
Un puntaje por el método visual ≥2 en las imágenes planares o de SPECT se considera positivo para ATTR y <2 como negativo.



La captación de los fosfonatos por el miocardio no siempre obedece a ATTR: la AL, el infarto de miocardio (agudo/subagudo), la toxicidad por hidroxicloroquina y formas raras de amiloidosis pueden provocar falsos positivos. En estudios equívocos por captación del pool sanguíneo, por fracturas costales o patologías osteodegenerativas, una tomografía computarizada de baja dosis fusionada con las imágenes de SPECT puede identificar estos factores. La interpretación del centellograma debe realizarse en el contexto de una evaluación global del paciente. 65,66
Recomendaciones e indicaciones más frecuentes del centellograma con fosfonatos para amiloidosis cardíaca
Insuficiencia cardíaca de causa no explicada y aumento del grosor de la pared del ventrículo izquierdo (>12 mm).
Insuficiencia cardíaca de causa desconocida en >60 años con función sistólica ventricular izquierda preservada.
Pacientes (especialmente hombres mayores) con neuropatía, síndrome del túnel carpiano bilateral, estenosis aórtica de bajo flujo y bajo gradiente o arritmias auriculares de causa no explicada con signos/síntomas de insuficiencia cardíaca.
Diagnóstico de ATTR en personas con RMC o ecocardiograma compatible con AC.
Evaluación cardíaca en pacientes con amiloidosis hereditaria conocida.
El centellograma no está indicado en el seguimiento postratamiento de la ATTR cardíaca.
Tomografía cardíaca multidetector
La tomografía cardíaca multidetector (TCMD) permite evaluar los volúmenes, función sistólica, espesores y masa ventricular con gran exactitud. En los pacientes ancianos evaluados para TAVR hay una alta prevalencia, de ATTRwt, (del 14% al 16%,) y se puede sospechar un incremento de la masa ventricular desproporcionado en las imágenes de TCMD. 70,71,72,73,74,75 Existen nuevos desarrollos de las TCMD que aprovechan la cinética del contraste iodado de modo similar al observado en la RMC con la cinética del gadolinio y pueden utilizarse para medir el volumen VEC. 76,77,78,79 El valor normal del VEC por TC es del 27%. Un valor superior al 31% ha demostrado una sensibilidad del 94 % y una especificidad del 48% para diagnosticar AC. 76,77,78,79,80,81
Integración de imágenes y conclusiones
En este artículo, se han revisado las diferentes modalidades de imágenes cardíacas que permiten determinar el grado de afección del corazón en pacientes con amiloidosis. El desafío del médico que sospecha o evalúa a un paciente con amiloidosis es integrar racionalmente las diferentes imágenes para determinar el compromiso cardíaco y su etiología. Se propone un algoritmo diagnóstico tentativo donde se resalta el papel primordial del ecocardiograma en la sospecha y evaluación inicial de pacientes con amiloidosis (Figura 5). La presencia de los siguientes hallazgos en la ecocardiografía sugiere amiloidosis:
Aumento del espesor parietal ventricular sin causa clara con reducción del strain longitudinal sistólico (preservación apical).
Discordancia entre el espesor de la pared ventricular y el voltaje ECG.
Insuficiencia cardíaca con FEVI conservada con signos de congestión derecha y fenotipo restrictivo.
Aumento del grosor parietal biventricular.
Estenosis aórtica bajo flujo/ bajo gradiente.

En cualquiera de los contextos clínicos, aporta información la presencia del péptido natriurético con niveles desproporcionadamente elevados respecto a los hallazgos clínicos, la presencia de troponina positiva persistente en ausencia de un síndrome coronario agudo, los antecedentes de síndrome del túnel carpiano, canal lumbar estrecho o rotura espontánea del tendón del bíceps, el diagnóstico de mieloma o una gammapatía monoclonal y los antecedentes familiares de miocardiopatía. 43
En muchos casos, se sospecha el diagnostico de amiloidosis a partir de una RMC solicitada en la caracterización inicial de miocardiopatías. El RTG con patrón subendocárdico difuso y espesores difusamente aumentados sugieren fuertemente amiloidosis. El centellograma es central para determinar si se trata de una amiloidosis AL o ATTR. El diagnóstico de formas familiares de ATTR requiere del análisis genético. Si la ecocardiografía o la RMC son altamente sugestivas de amiloidosis y el centellograma es negativo o equívoco, debemos considerar otras evaluaciones, como la biopsia endomiocárdica. Los criterios diagnósticos de la combinación de las imágenes en diferentes escenarios clínicos se resumen en la Figura 5.
La sospecha clínica, la evaluación e integración racional de otros parámetros como los biomarcadores, las cadenas livianas libres, el proteinograma electroforético y las imágenes, son las llaves para el diagnóstico y para definir la extensión del compromiso cardíaco y el tipo de amiloidosis. Una vez caracterizada la enfermedad, se podrá establecer el pronóstico y las diferentes modalidades terapéuticas.
BIBLIOGRAFÍA
1. Kittleson MM, Maurer MS, Ambardekar AV, Bullock-Palmer RP, Chang PP, Eisen HJ, et al. Cardiac Amyloidosis: Evolving Diagnosis and Management: A Scientific Statement From the American Heart Association. American Heart Association Heart Failure and Transplantation Committee of the Council on Clinical Cardiology. Circulation 2020;142:e7-e22. http://doi.org/10.1161/CIR.0000000000000792
2. Palladini G, Barassi A, Klersy C, Pacciolla R, Milani P, Sarais G, et al. The combination of high-sensitivity cardiac troponin T (hscTnT) at presentation and changes in N-terminal natriuretic peptide type B (NT-proBNP) after chemotherapy best predicts survival in AL amyloidosis. Blood 2010;116:3426-30. http://doi.org/10.1182/blood-2010-05-286567
3. Maurer M, Elliott P, Comenzo R, Semigran M, Rapezzi C. Addressing Common Questions Encountered in the Diagnosis and Management of Cardiac Amyloidosis. Circulation 2017;135:1357-77. http://doi.org/10.1161/CIRCULATIONAHA.116.024438
4. Jurcut R, Onciul S, Adam R, Stan C, Coriu D, Rapezzi C, et al. ¸ Multimodality imaging in cardiac amyloidosis: a primer for cardiologists. Eur Heart J Cardiovasc Imaging 2020;21:833-44. http://doi.org/10.1093/ehjci/jeaa063
5. García-Pavía P, Tomé-Esteban MT, Rapezzi C. Amyloidosis. Also a heart disease. Rev Esp Cardiol 2011; 64:797-808. http://doi.org/10.1016/j.recesp.2011.05.003
6. Dorbala S, Cuddy S, Falk RH. How to Image Cardiac Amyloidosis: A Practical Approach. JACC Cardiovasc Imaging 2020;13:136883. doi:10.1016/j.jcmg.2019.07.015. http://doi.org/10.1016/j.jcmg.2019.07.015
7. González-López E, López-Sáinz Á, García-Pavia P. Diagnosis and treatment of transthyretin cardiac amyloidosis. progress and hope. Rev Esp Cardiol 2017;70: 991-1004. http://doi.org/10.1016/j.recesp.2017.05.018
8. Carroll J, Gaasch W, McAdam K. Amyloid cardiomyopathy: characterization by a distinctive voltage/mass relation. Am J Cardiol 1982;49:9-13. http://doi.org/10.1016/0002-9149(82)90270-3
9. González-López E, Gagliardi C, Domínguez F, Quarta CC, de HaroDel Moral FJ, Milandri A, et al. Clinical characteristics of wild-type transthyretin cardiac amyloidosis:disproving myths. Eur Heart J 2017;38:1895-904. http://doi.org/10.1093/eurheartj/ehx043
10. Phelan D, Thavendiranathan P, Popovic Z, Collier P, Griffin B, Thomas JD, et al. Application of a parametric display of twodimensional speckle-tracking longitudinal strain to improve the etiologic diagnosis of mild to moderate left ventricular hypertrophy. J Am Soc Echocardiogr 2014; 27:888-95. http://doi.org/10.1016/j.echo.2014.04.015
11. González-López E, Gagliardi C, Domínguez F, Quarta CC, de Haro-Del Moral FJ, et al. Clinical characteristics of wild-type transthyretin cardiac amyloidosis: disproving myths. Eur Heart J 2017; 38:1895-904. http://doi.org/10.1093/eurheartj/ehx043
12. Helder MR, Schaff HV, Nishimura RA, Gersh BJ, Dearani JA, Ommen SR, et al. Impact of incidental amyloidosis on the prognosis of patients with hypertrophic cardiomyopathy undergoing septal myectomy for left ventricular outflow tract obstruction. Am J Cardiol 2014;114:1396-9. http://doi.org/10.1016/j.amjcard.2014.07.058
13. Grogan M, Scott CG, Kyle RA, Zeldenrust SR, Gertz MA, Lin G, et al. Natural History of Wild-Type Transthyretin cardiac amyloidosis and risk stratification using a novel staging system. J Am Coll Cardiol 2016;68:1014-20.http://doi.org/10.1016/j.jacc.2016.06.033
14. Dubrey SW, Cha K, Skinner M, LaValley M, Falk RH. Familial and primary (AL) cardiac amyloidosis: echocardiographically similar diseases with distinctly different clinical outcomes. Heart 1997;78:7482. http://doi.org/10.1136/hrt.78.1.74
15. Ruberg FL, Grogan M, Hanna M, Kelly JW, Maurer MS. Transthyretin amyloid cardiomyopathy: JACC State-of-the-Art Review. J Am Coll Cardiol 2019; 73:2872-91. http://doi.org/10.1016/j.jacc.2019.04.00
16. Cueto-García L, Reeder GS, Kyle RA, Wood DL, Seward JB, Naessens J, et al. Echocardiographic findings in systemic amyloidosis: spectrum of cardiac involvement and relation to survival. J Am Coll Cardiol 1985;6:1737-743. http://doi.org/10.1016/S0735-1097(85)80475-7
17. Habib G, Bucciarelli-Ducci C, Caforio ALP, Cardim N, Charron P, Cosyns B, et al.; EACVI Scientific Documents Committee. Multimodality imaging in restrictive cardiomyopathies: an EACVI expert consensus document in collaboration with the”Working Group on myocardial and pericardial diseases”of the European Society of Cardiology Endorsed by The Indian Academy of Echocardiography. Eur Heart J Cardiovasc Imaging 2017;18:1090-121. http://doi.org/10.1093/ehjci/jex034
18. Koyama J, Ray-Sequin PA, Davidoff R, Falk RH. Usefulness of pulsed tissue Doppler imaging for evaluating systolic and diastolic left ventricular function in patients with AL (primary) amyloidosis. Am J Cardiol 2002;89:1067-71. http://doi.org/10.1016/S0002-9149(02)02277-4
19. Quarta CC, Solomon SD, Uraizee I, Kruger J, Longhi S, Ferlito M, et al. Left ventricular structure and function in transthyretin related versus light-chain cardiac amyloidosis. Circulation 2014;129:1840-9. http://doi.org/10.1161/CIRCULATIONAHA.113.006242
20. Liu D, Hu K, Nordbeck P, Ertl G, Störk S, Weidemann F. Longitudinal strain bull’s eye plot patterns in patients with cardiomyopathy and concentric left ventricular hypertrophy. Eur J Med Res 2016;21:21. http://doi.org/10.1186/s40001-016-0216-y
21. Koyam J, Falk RH. Prognostic Significance of Strain Doppler Imaging in Light-Chain Amyloidosis. J Am Coll Cardiol Img, 2010; 3:333-42. http://doi.org/10.1016/j.jcmg.2009.11.013
22. Liu D, Hu K, Niemann M, Herrmann S, Cikes M, Stork S, et al. Effect of combined systolic and diastolic functional parameter assessment for differentiation of cardiac amyloidosis from other causes of concentric left ventricular hypertrophy. Circ Cardiovasc Imaging 2013;6:1066-72. http://doi.org/10.1161/CIRCIMAGING.113.000683
23. Pagourelias ED, Mirea O, Duchenne J, Van Cleemput J, Delforge M, Bogaert J, et al. Echo parameters for differential diagnosis in cardiac amyloidosis: a head-tohead comparison of deformation and nondeformation parameters. Circ Cardiovasc Imaging 2017;10:e005588. http://doi.org/10.1161/CIRCIMAGING.116.005588
24. Bodez DT, Guellich A, Galat A, Lim P, Radu C, Guendouz Bergoend E, et al. Prognostic value of right ventricular systolic function in cardiac amyloidosis. Amyloid 2016;23:158-67. http://doi.org/10.1080/13506129.2016.1194264
25. Bellavia D, Pellikka PA, Dispenzieri A, Scott CG, Al-Zahrani GB, Grogan M, et al. Comparison of right ventricular longitudinal strain imaging, tricuspid annular plane systolic excursion, and cardiac biomarkers for early diagnosis of cardiac involvement and risk stratification in primary systematic (AL) amyloidosis: a 5-year cohort study. Eur Heart J Cardiovasc Imaging . 2012;13:680-69. http://doi.org/10.1093/ehjci/jes009
26. Fikrle M, Paleček T, Kuchynka P, Němeček E, Bauerová L, Straub J, et al Cardiac amyloidosis: A comprehensive review. Cor et Vasa 2013; 55: e60-e75. http://doi.org/10.1016/j.crvasa.2012.11.018
27. Mohty D, Pradel S, Magne J, Fadel B, Boulogne C, Petitalot V et al. Prevalence and prognostic impact of left-sided valve thickening in systemic light-chain amyloidosis. Clin Res Cardiol 2017; 106:331-40. http://doi.org/10.1007/s00392-016-1058-x
28. González-López E, López-Sáinz Á, García-Pavia P. Diagnosis and Treatment of Transthyretin Cardiac Amyloidosis. Progress and Hope. Rev Esp Cardiol 2017;70: 991-1004. http://doi.org/10.1016/j.recesp.2017.05.018
29. Grogan M, Scott CG, Kyle RA, Zeldenrust SR, Gertz MA, Lin G, Klarich KW et al. Natural History of Wild-Type Transthyretin Cardiac Amyloidosis and Risk Stratification Using a Novel Staging System. J Am Coll Cardiol 2016 6;68:1014-20. http://doi.org/10.1016/j.jacc.2016.06.033
30. Castaño A, Narotsky DL, Hamid N, Khalique OK, Morgenstern R, DeLuca A, et al. Unveiling transthyretin cardiac amyloidosis and its predictors among elderly patients with severe aortic stenosis undergoing transcatheter aortic valve replacement. Eur Heart J 2017;38:2879-87. http://doi.org/10.1093/eurheartj/ehx350
31. Falk RH, Alexander KM, Liao R, Dorbala S. AL (Light-Chain) Cardiac Amyloidosis: A Review of Diagnosis and Therapy J Am Coll Cardiol . 2016;68:1323-41. http://doi.org/10.1016/j.jacc.2016.06.053
32. Nagueh SF, Smiseth OA, Appleton CP, Byrd BF 3rd, Dokainish H, Edvardsen T, et al. Recommendations for the evaluation of left ventricular diastolic function by echocardiography: an update from the American Society of Echocardiography and the European Association of Cardiovascular Imaging. Eur Heart J Cardiovasc Imaging 2016;17:1321-60. http://doi.org/10.1093/ehjci/jew082
33. Klein AL, Hatle LK, Taliercio CP, Oh JK, Kyle RA, Gertz MA, et al. Prognostic significance of Doppler measures of diastolic function in cardiac amyloidosis. A Doppler echocardiography study. Circulation 1991;83:808-16. http://doi.org/10.1161/01.CIR.83.3.808
34. Schiano-Lomoriello V, Galderisi M, Mele D, Esposito R, Cerciello G, Buonauro A, et al. Longitudinal strain of left ventricular basal segments and E/e0 ratio differentiate primary cardiac amyloidosis at presentation from hypertensive hypertrophy: an automated function imaging study. Echocardiography 2016;33:1335-43. http://doi.org/10.1111/echo.13278
35. Liu D, Hu K, Niemann M, Herrmann S, Cikes M, Stork S, et al. Effect of combined systolic and diastolic functional parameter assessment for differentiation of cardiac amyloidosis from other causes of concentric left ventricular hypertrophy. Circ Cardiovasc Imaging 2013;6:1066-72. http://doi.org/10.1161/CIRCIMAGING.113.000683
36. Zhao L, Tian Z, Fang Q. Risk factors and prognostic role of left atrial enlargement in patients with cardiac light-chain amyloidosis. Am J Med Sci 2016;351: 271-8. http://doi.org/10.1016/j.amjms.2015.12.015
37. Mohty D, Pibarot P, Dumesnil JG, Darodes N, Lavergne D, Echahidi N, et al. Left atrial size is an independent predictor of overall survival in patients with primary systemic amyloidosis. Arch Cardiovasc Dis 2011;104:611-8. http://doi.org/10.1016/j.acvd.2011.10.004
38. Falk RH, Plehn JF, Deering T, Schick EC Jr, Boinay P, Rubinow A. et al. Sensitivity and specificity of the echocardiographic features of cardiac amyloidosis. Am J Cardiol 1987;59:418-22. http://doi.org/10.1016/0002-9149(87)90948-9
39. Santarone M, Corrado G, Tagliagambe LM, Manzillo GF, Tadeo G, Spata M, et al. Atrial thrombosis in cardiac amyloidosis: diagnostic contribution of transesophageal echocardiography. J Am Soc Echocardiogr 1999;12:533-6. http://doi.org/10.1016/S0894-7317(99)70091-X
40. Feng D, Edwards WD, Oh JK, Chandrasekaran K, Grogan M, Martinez MW, et al. Intracardiac thrombosis and embolism in patients with cardiac amyloidosis.Circulation 2007;116:2420-6. http://doi.org/10.1161/CIRCULATIONAHA.107.697763
41. Baccouche H, Maunz M, Beck T, Gaa E, Banzhaf M, Knayer U, et al. Differentiating cardiac amyloidosis and hypertrophic cardiomyopathy by use of three-dimensional speckle tracking echocardiography. Echocardiography 2012;29:668-77. http://doi.org/10.1111/j.1540-8175.2012.01680.x
42. Mohty D, Petitalot V, Magne J, Fadel BM, Boulogne C, Rouabhia D, et al. Left atrial function in patients with light chain amyloidosis: a transthoracic 3D speckle tracking imaging study. J Cardiol 2018;71:419-27. http://doi.org/10.1016/j.jjcc.2017.10.007
43. Fine NM, Davis MK, Anderson K, Delgado DH, Giraldeau G, Kitchlu A, et al. Canadian Cardiovascular Society/Canadian Heart Failure Society Joint Position Statement on the Evaluation and Management of Patients With Cardiac Amyloidosis. Can J Cardiol 2020;36:322-34. http://doi.org/10.1016/j.cjca.2019.12.034
44. Zhao L, Tian Z, Fang Q. Diagnostic accuracy of cardiovascular magnetic resonance for patients with suspected cardiac amyloidosis: a systematic review and meta-analysis. BMC Cardiovasc Disord 2016;16:129.http://doi.org/10.1186/s12872-016-0311-6
45. Baroni M, Nava S, Quattrocchi G, Milazzo A, Giannattasio C, Roghi A, et al. Role of cardiovascular magnetic resonance in suspected cardiac amyloidosis: late gadolinium enhancement pattern as mortality predictor. Neth Heart J 2018;26:34-40. http://doi.org/10.1007/s12471-017-1046-4
46. Dungu JN,Valencia O, Pinney JH, Gibbs S, Rowczenio D, Gilbertson JA, et al. CMR-Based Differentiation of AL and ATTR Cardiac Amyloidosis. JACC Cardiovasc Imaging 2014; 7: 132-42. http://doi.org/10.1016/j.jcmg.2013.08.015
47. White J, Kim H, Shah D, Fine N, Kim K, Wendell D, et al. CMR Imaging With Rapid Visual T1 Assessment Predicts Mortality in Patients Suspected of Cardiac Amyloidosis. JACC Cardiovasc Imaging 2014; 7: 143-56.http://doi.org/10.1016/j.jcmg.2013.09.019
48. Fontana M, Banypersad SM, Treibel TA, Maestrini V, Sado DM, White SK et al. Native T1 Mapping in Transthyretin Amyloidosis. JACC Cardiovasc Imaging 2014; 7: 157-65. http://doi.org/10.1016/j.jcmg.2013.10.008
49. Messroghli DR, Moon JC, Ferreira VM, Grosse-Wortmann L, He T, Kellman P, et al. Clinical recommendations for cardiovascular magnetic resonance mapping of T1, T2, T2* and extracellular volume: A consensus statement by the Society for Cardiovascular Magnetic Resonance (SCMR) endorsed by the European Association for Cardiovascular Imaging (EACVI). J Cardiovasc Magn Reson 2017; 19: 75. http://doi.org/10.1186/s12968-017-0389-8
50. Fontana M, Banypersad SM, Treibel TA, Abdel-Gadir A, Maestrini V, Lane T, et al. Differential myocyte responses in patients with cardiac transthyretin amyloidosis and light-chain amyloidosis: a cardiac MR imaging study. Radiology 2015; 277:388-97. http://doi.org/10.1148/radiol.2015141744
51. Martínez-Naharro A, Abdel-Gadir A, Treibel TA, Zumbo G, Knight DS, Rosmini S, et al. CMR-verified regression of cardiac AL amyloid after chemotherapy. JACC Cardiovasc Imaging 2018;11:152-4. http://doi.org/10.1016/j.jcmg.2017.02.012
52. Ridouani F, Damy T, Tacher V, Derbel H, François Legou F, Isifaoui I, et al. Myocardial native T2 measurement to differentiate light chain and transthyretin cardiac amyloidosis and assess prognosis. J Cardiovasc Magn Reson 2018; 20:58. http://doi.org/10.1186/s12968-018-0478-3
53. Hundley WG, Bluemke DA, Finn JP, Flamm SD, Fogel MA, Friedrich MG, et al. ACCF/ ACR/AHA/NASCI/SCMR 2010 expert consensus document on cardiovascular magnetic resonance: a report of the american college of cardiology foundation task force on expert consensus documents. Circulation 2010;121:2462-508. http://doi.org/10.1161/CIR.0b013e3181d44a8f
54. Baggiano A, Boldrini M, Martínez-Naharro A, Kotecha T, Petrie A, Rezk T, et al. Noncontrast Magnetic Resonance for the Diagnosis of Cardiac Amyloidosis. JACC Cardiovasc Imaging 2020; 13:69-80. http://doi.org/10.1016/j.jcmg.2019.03.026
55. Singh V FR, Di Carli MF, Kijewski M, Rapezzi, Dorbala S. State-ofthe-art radionuclide imaging in cardiac transthyretin amyloidosis. J Nucl Cardiol. 2019;26:158-73. http://doi.org/10.1007/s12350-018-01552-4
56. Masri A, Bukhari S, Eisele Y, Soman P. Molecular imaging of cardiac amyloidosis. J Nucl Med 2020; 61:965-70. http://doi.org/10.2967/jnumed.120.245381
57. Siddiqi O, Ruberg F. Cardiac amyloidosis: An update on pathophysiology, diagnosis and treatment. Trends Cardiovasc Med 2018;28:10-21.http://doi.org/10.1016/j.tcm.2017.07.004
58. Guillmore JD, Maurer MS, Falk RH, Merlini G, Damy T, Dispenzieri A, et al. Nonbiopsy diagnosis of cardiac transthyretin amyloidosis. Circulation 2016;133:2404-12. http://doi.org/10.1161/CIRCULATIONAHA.116.021612
59. Treglia G, Glaudemans A, Bertagna F, Hazenberg BPC, Erba PA, Giubbini R, et al. Diagnostic accuracy of bone scintigraphy in the assessment of cardiac transthyretin-related amyloidosis: a bivariate meta-analysis. Eur J Nucl Med Mol Imaging 2018;45:1945-55. http://doi.org/10.1007/s00259-018-4013-4
60. Dorbala S, Ando Y, Bokhari S, Dispenzieri A, Falk RH, et al. ASNC/ AHA/ASE/EANM/HFSA/ISA/SCMR/SNMMI expert consensus recommendations for multimodality imaging in cardiac amyloidosis: Part 1 of 2-Diagnostic criteria and appropriate utilization. J Nucl Cardiol 2019;26:2065-123. http://doi.org/10.1007/s12350-019-01760-6
61. Dorbala S, Ando Y, Bokhari S, Dispenzieri A, Falk RH, et al. ASNC/AHA/ASE/EANM/HFSA/ISA/SCMR/SNMMI expert consensus recommendations for multimodality imaging in cardiac amyloidosis: Part 2 of 2-Diagnostic criteria and appropriate utilization. J Nucl Cardiol 2020;27:659-73. http://doi.org/10.1007/s12350-019-01761-5
62. Daquarti GJ, Meretta A, Corneli M, Costabel JP, Diez M, Masoli OH. Centellografía con fosfonatos para el diagnótico de la amiloidosis cardíaca por transtirretina. Medicina 2018;78:395-8.
63. Falk RH, Quarta CC, Dorbala S. How to image cardiac amyloidosis. Circ Cardiovasc Imaging 2014;7:553-62. http://doi.org/10.1161/CIRCIMAGING.113.001396
64. Stats MA, Stone JR. Varying levels of small microcalcifications and macrophages in ATTR and AL cardiac amyloidosis: implications for utilizing nuclear medicine studies to subtype amyloidosis. Cardiovasc Pathol 2016;25:413-7.http://doi.org/10.1016/j.carpath.2016.07.001
65. Dorbala S, Bokhari S, Miller E, Bullock-Palmer RP, Soman P, Thompson R. American Society of Nuclear Cardiology (ASNC) practice points on technetium-99m pyrophosphate imaging for transthyretin cardiac amyloidosis-1st edition in 2016, updated in 2019.
66. Dorbala S, Bokhari S, Glaudemans AW, Miller E, Bullock-Palmer R, Slart RH. et al. American Society of Nuclear Cardiology (ASNC) and European Association of Nuclear Medicine practice points on 99mTechnetium-3,3-diphosphono-1,2-propanodicarboxylic acid (DPD) and 99mTechnetium-hydroxymethylene diphosphonate (HMDP) imaging for transthyretin cardiac amyloidosis - 1st edition in 2019.
67. Perugini E, Guidalotti PL, Salvi F, Cooke RM, Pettinato C, Riva L, et al. Noninvasive etiologic diagnosis of cardiac amyloidosis using 99mTc-3,3-diphosphono-1,2- propanodicarboxylic acid scinitigraphy. J Am Coll Cardiol 2005;46:1076-84. http://doi.org/10.1016/j. jacc.2005.05.073
68. Bokhari S, Castaño A, Pozniakoff T, Deslisle S, Latif F, Maurer MS. (99m)Tcpyrophosphate scintigraphy for differentiating lightchain cardiac amyloidosis from the transthyretin-related familial and senile cardiac amyloidoses. Circ Cardiovasc Imaging 2013;6:195-201. http://doi.org/10.1161/CIRCIMAGING.112.000132
69. Campisi R, Traverso SS. Diagnosis of transthyretin cardiac amyloidosis with cadium zinc telluride cameras. Is it feasible? J Nucl Cardiol 2020;27:381-5 http://doi.org/10.1007/s12350-020-02071-x
70. De Graaf FR, Schuijf JD, Delgado V, Van Velzen JE, Kroft LJ, De Roos A, et al. Clinical application of CT coronary angiography: state of the art. Heart Lung Circ 2010 Mar;19:107-16. http://doi.org/10.1016/j.hlc.2009.11.004
71. Lin FY, Devereux RB, Roman MJ, Meng J, Jow VM, Jacobs A, et al. Cardiac Chamber Volumes, Function, and Mass as Determined by 64-Multidetector Row Computed Tomography: Mean Values Among Healthy Adults Free of Hypertension and Obesity. JACC Cardiovasc Imaging 2008;1;782-6. http://doi.org/10.1016/j.jcmg.2008.04.015
72. Henneman MM, Bax JJ, Schuijf JD, Jukema JW, Holman ER, Stokkel MP, et al. Global and regional left ventricular function: a comparison between gated SPECT, 2D echocardiography and multislice computed tomography. Eur J Nucl Med Mol Imaging 2006; 33:1452-60. http://doi.org/10.1007/s00259-006-0158-7
73. Treibel TA, Fontana M, Gilbertson JA, Castelletti S, White SK, Scully PR, et al. Occult transthyretin cardiac amyloid in severe calcific aortic stenosis: prevalence and prognosis in patients undergoing surgical aortic valve replacement. Circ Cardiovasc Imaging 2016;9: e005066. http://doi.org/10.1161/CIRCIMAGING.116.005066
74. Scully PR, Treibel TA, Fontana M, Lloyd G, Mullen M, Pugliese F, et al. Prevalence of cardiac amyloidosis in patients referred for transcatheter aortic valve replacement. J Am Coll Cardiol 2018; 71:463-4. http://doi.org/10.1016/j.jacc.2017.11.037
75. Castaño A, Narotsky DL, Hamid N, Khalique OK, Morgenstern R, DeLuca A, et al. Unveiling transthyretin cardiac amyloidosis and its predictors among elderly patients with severe aortic stenosis undergoing transcatheter aortic valve replacement. Eur Heart J 2017; 38:2879-87. http://doi.org/10.1093/eurheartj/ehx350
76. Scully PR, Bastarrika G, Moon JC, Treibel TA. Myocardial extracellular volume quantification by cardiovascular magnetic resonance and computed tomography. Curr Cardiol Rep 2018;20. http://doi.org/10.1007/s11886-018-0961-3
77. Sado DM, Flett AS, Banypersad SM, White SK, Maestrini V, Quarta G, et al. Cardiovascular magnetic resonance measurement of myocardial extracellular volume in health and disease. Heart 2012; 98:1436- 41. http://doi.org/10.1136/heartjnl-2012-302346
78. Treibel TA, Fontana M, Steeden JA, Nasis A, Yeung J, White SK, et al. Automatic quantification of the myocardial extracellular volume by cardiac computed tomography: synthetic ECV by CCT. J Cardiovasc Comput Tomogr 2017;11:221-6. http://doi.org/10.1016/j.jcct.2017.02.006
79. Bandula S, White SK, Flett AS, Lawrence D, Pugliese F, Ashworth MT, et al. Measurement of Myocardial Extracellular Volume Fraction by Using Equilibrium Contrast-enhanced CT: Validation against Histologic Findings. Radiology 2013;269:396-403. http://doi.org/10.1148/radiol.13130130
80. Rosmini S, Treibel TA, Bandula S, Stroud T, Fontana M, Hawkins PN, et al. Cardiac computed tomography for the detection of cardiac amyloidosis. J Cardiovasc Computed Tomograph 2017;11:155-6. http://doi.org/10.1016/j.jcct.2016.09.001
81. Bandula B, White SK, Flett AF, Lawrence D, Pugliese F, Ashworth MT, et al. Measurement of Myocardial extracellular Volume Fraction by Using equilibrium contrast-enhanced CT: Validation against Histologic Findings. Radiology 2003; 269: 396-403. http://doi.org/10.1148/radiol.13130130
Notas
Notas de autor
Dirección para separatas: Dr. Diego Pérez de Arenaza - Hospital Italiano de Buenos Aires, Argentina - Servicio de Cardiología E-mail: diego.perezdearenaza@hospitalitaliano.org.ar - Tte. Gral. Juan Domingo Perón 4190, CAB.A. - C1199ABB
Declaración de intereses