CARTAS CIENTÍFICAS
Cierre percutáneo de defecto complejo del septum interauricular: Implante inusual de dos dispositivos
Percutaneous Closure of Complex Atrial Septal Defect: Unusual Implantation of Two Devices
Cierre percutáneo de defecto complejo del septum interauricular: Implante inusual de dos dispositivos
Revista argentina de cardiología, vol. 89, núm. 5, pp. 471-473, 2021
Sociedad Argentina de Cardiología
La persistencia del foramen oval permeable (FOP) en adultos es un hallazgo frecuente con una prevalencia del 25% en la población general, y en la mayoría de los casos no presenta repercusiones clínicas. Entre el 15-35% de los pacientes que sufren un accidente cerebrovascular isquémico (ACV) son clasificados como criptogénicos a pesar de una búsqueda exhaustiva de potenciales etiologías. Asimismo, la mitad de los pacientes con ACV criptogénicos menores de 60 años tienen FOP. Existe evidencia que justifica el cierre percutáneo de FOP para prevenir recurrencias en este contexto clínico.
La fosa oval puede contener más de un defecto de diferentes tamaños y localizaciones y la presencia de una fuga residual posterior al cierre percutáneo, incrementa el riesgo de recurrencia de ACV o crisis isquémica transitoria.
Presentamos un paciente varón de 51 años de edad, que sufre comienzo agudo de hemiparesia izquierda asociado a afasia de expresión con duración menor a 24 horas. Una imagen cerebral de resonancia nuclear magnética mostró una lesión cortical parietal derecha postcentral con compromiso insular posterior. Esta lesión fue hiperintensa en T2 Flair con restricción a la difusión. Después de la admisión, sus signos vitales fueron normales. Tenía ritmo sinusal objetivado en el electrocardiograma y se inició tratamiento con aspirina y estatinas. La analítica sanguínea descartó la presencia de estado hipercoagulable. No se observó aleteo auricular o fibrilación auricular en un monitoreo Holter de 24 horas. Se descartaron placas ateroescleróticas en carótidas y en un ecocardiograma transesofágico (ETE) se descartó la presencia de placas aórticas o trombos en orejuela de aurícula izquierda. El septum interauricular era hipermóvil presentando criterios de aneurisma del septum interauricular.
El test de solución salina agitada demostró pasaje mayor de 20 burbujas desde la aurícula derecha hacia la aurícula izquierda. El score RoPE fue de 7 puntos y el cierre percutáneo del FOP fue indicado.
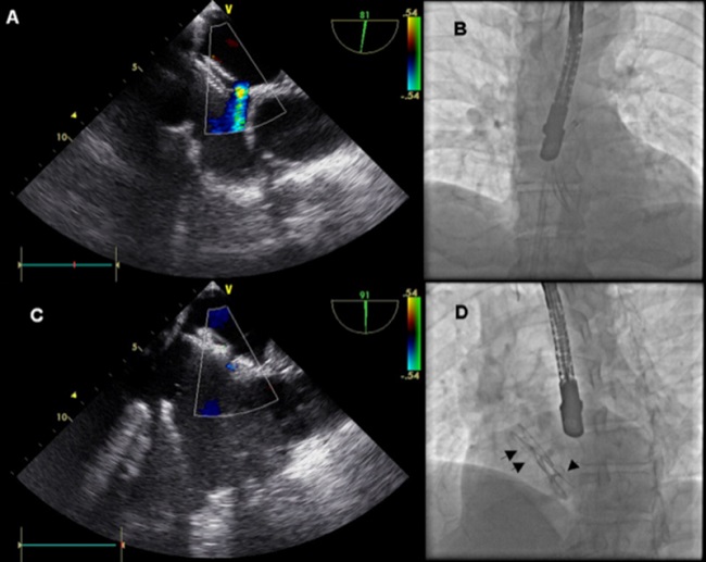
Durante la intervención percutánea bajo guía con ETE, se observó un gran aneurisma hipomóvil del septum interauricular con un FOP distendido de tamaño grande (3 mm) y un defecto adicional pequeño y cercano al FOP de 5 mm de diámetro. Se implantó un dispositivo Nit Occlud PFO (pfm Medical, Colonia, Alemania) de 30 mm de disco y previo a la liberación se observó que cubría el defecto adicional. Sin embargo, después de liberar el dispositivo, la comunicación interauricular (CIA) persistía, de localización anterosuperior y de tamaño moderado (12 mm de diámetro) (Figura 1a).

Debido a que no se podía tolerar la persistencia de cortocircuitos residuales, se avanzó un catéter a través del defecto residual (Figura 1b) y se implantó un dispositivo Nit Occlud ASD-R (pfm Medical, Colonia, Alemania) de 18 mm de diámetro. El segundo dispositivo fue posicionado abrazando el primer dispositivo logrando la oclusión completa de ambos defectos (Figura 1c). El paciente fue dado de alta al siguiente día sin complicaciones. A los 9 meses de seguimiento, no hubo recurrencia de eventos ni arritmias y ambos dispositivos se encuentran normo posicionados. (Figura 1d).
En pacientes con ocurrencia de más de un defecto, las técnicas utilizadas para su tratamiento percutáneo son variadas e incluyen el implante de un solo dispositivo sobredimensionado que cubra ambos defectos, la ruptura del septum interauricular con un balón unificando ambos defectos, el uso de dispositivos con cintura pequeña tipo FOP o CIA multifenestradas y por último el implante de dos dispositivos usando técnica de entrelazado o sándwich cuando la distancia entre los defectos es mayor a 7 mm 1.
Masseli et al. 2 postulan el uso de un solo dispositivo, el cual podría ocluir ambos defectos ya que, en su serie publicada, la frecuencia de oclusión completa de ambos defectos fue de 26% durante el primer mes y se incrementó a 78% a los 24 meses de seguimiento.
Una clasificación reciente de defectos multifenestrados, de acuerdo al tamaño, número y distancia entre ellos, indica que defectos tipo A pueden ser tratados con un dispositivo de CIA, en los tipo B se sugiere colocar un dispositivo tipo CIA y evaluar la necesidad de un segundo dispositivo y en los tipos C y D, se debe abordar con un dispositivo tipo FOP en el defecto más central (Figura 2) 3.

En situaciones en las que se requiere el implante de dos dispositivos, dos accesos femorales venosos son necesarios. Los dispositivos deben implantarse simultáneamente, primero el más pequeño y por último el más grande y liberados en el mismo orden. Cuando se usan múltiples dispositivos, el procedimiento es técnicamente desafiante y requiere mayor experiencia del operador. Además, el riesgo de embolización y erosión es mayor que en defectos simples 4.
Pacientes con cortocircuitos residuales después del cierre de FOP presentan cuatro veces mayor riesgo de eventos recurrentes comparados con pacientes sin fugas residuales 5, por lo tanto, se debería considerar implantar un segundo dispositivo en pacientes con cortocircuitos residuales significativos 6.
Este caso representa un abordaje infrecuente debido a la necesidad de implantar un dispositivo adicional de CIA después de haber ocluido satisfactoriamente un FOP con dispositivo dedicado a tal fin, con la intención de evitar cortocircuitos residuales en el contexto de prevención secundaria de FOP.
BIBLIOGRAFÍA
1. Mahmoud H, Nicolescu AM, Filip C, et al. Complex atrial septal defect closure in children. Rom J Morphol Embryol 2019;60:49-57.
2. Masseli J, Bertog S, Stanczak L, Blankenbach K, Majunke N, Reiffenstein I, et al. Transcatheter closure of multiple interatrial communications. Catheter Cardiovasc Interv 2013;81:825-36. https://doi.org/10.1002/ccd.24329
3. Farhaj Z, Hongxin L, Wenbin G, et al. Device closure of diverse layout of multi-hole secundum atrial septal defect: different techniques and long-term follow-up. J Cardiothorac Surg 2019;14:130-41. https://doi.org/10.1186/s13019-019-0952-5
4. Awad SM, Garay FF, Cao QL, Hijazi ZM. Multiple Amplatzer septal occlude devices for multiple atrial communications: immediate and long-term follow-up results. Catheter Cardiovasc Interv 2007;70:265-73. https://doi.org/10.1002/ccd.21145
5. Windecker S, Wahl A, Chatterjee T, et al. Percutaneous closure of patent foramen ovale in patients with paradoxical embolism: long-term risk of recurrent thromboembolic events. Circulation 2000;101:893-8.https://doi.org/10.1161/01.CIR.101.8.893
6. Schwerzmann M, Windecker S, Wahl A, et al. Implantation of a second closure device in patients with residual shunt after percutaneous closure of patent foramen ovale. Catheter Cardiovasc Interv 2004;63:490-5.https://doi.org/10.1002/ccd.20221
Notas
Notas de autor
E-mail: alepeirone@yahoo.com
Declaración de intereses