CARTAS CIENTÍFICAS
Pseudoaneurisma de válvula mitral secundario a endocarditis infecciosa por Escherichia Coli BLEE
Mitral valve pseudoaneurysm secondary to infective endocarditis due to Escherichia Coli ESBL
Pseudoaneurisma de válvula mitral secundario a endocarditis infecciosa por Escherichia Coli BLEE
Revista argentina de cardiología, vol. 90, núm. 1, pp. 70-71, 2022
Sociedad Argentina de Cardiología
La endocarditis por bacterias Gram negativas que no pertenecen al grupo HACEK es poco común. La Escherichia Coli (E. coli) es un agente etiológico muy poco frecuente, encontrándose solo 50 casos reportados, y de éstos unos pocos corresponden a E. Coli productoras de Beta lactamasa del espectro extendido (BLEE). 1 El tracto urinario es el principal origen de compromiso infeccioso, favorecido por factores de riesgo como la diabetes mellitus, la cardiopatía estructural, material protésico, inmunosupresión, uso de drogas intravenosas y edad avanzada. La E. Coli en el caso de las válvulas nativas, presenta afinidad por las del lado izquierdo del corazón, en especial por la válvula mitral. 2,3 El pseudoaneurisma es una complicación de la endocarditis infecciosa (EI)más frecuente en la válvula aórtica, particularmente en prótesis valvulares. 4 Los microorganismos causales de endocarditis habitualmente son estreptococos, enterococos y estafilococos, estos últimos fácilmente identificables en los hemocultivos y los agentes causales más comunes tanto en válvulas nativas como protésicas. 5,6
Presentamos el caso de una paciente con EI de válvula mitral por E. Coli BLEE complicada con pseudoaneurisma de la valva posterior mitral y múltiples embolias sépticas. Se trata de una paciente de sexo femenino, de 64 años de edad, tabaquista, hipertensa, diabética, con antecedentes de arteriopatía periférica, que consultó a un centro de salud por fiebre persistente de 15 días de evolución asociada a un episodio de inestabilidad postural en su domicilio. En dicho centro fueron realizados hemocultivos cuyo resultado fue positivo para E. Coli BLEE, por lo que se inició tratamiento antibiótico con meropenem.
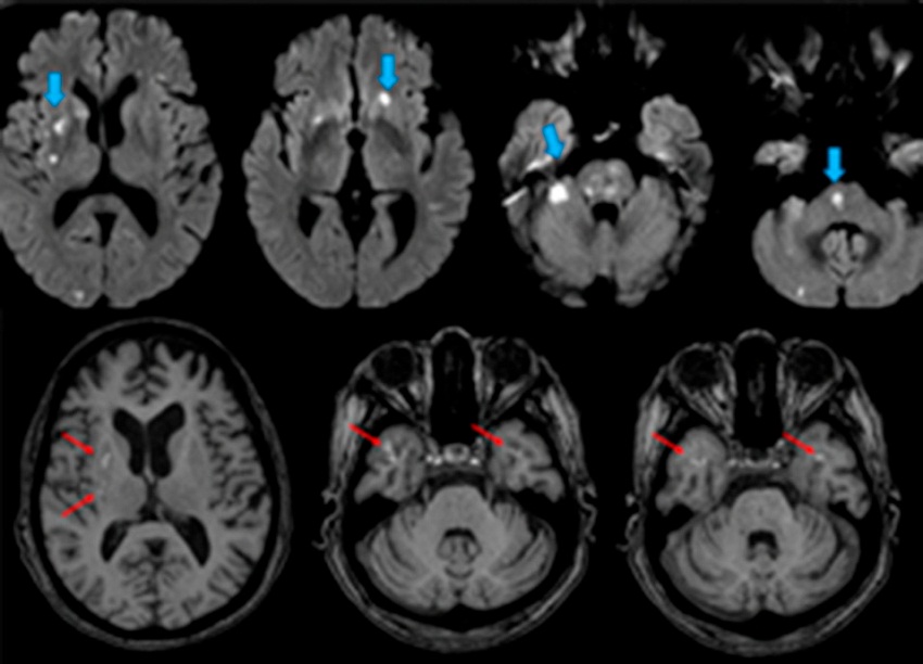
Su evolución fue desfavorable, presentó disnea progresiva y edema agudo de pulmón. En el ecocardiograma Doppler color transtorácico (ETT) se evidenció una imagen móvil en la valva anterior mitral, por lo que se interpretó el cuadro como EI. Se rotó el esquema antibiótico a imipenem y gentamicina, y en la evolución presentó foco neurológico facio-braquiocrural derecho. La resonancia magnética de encéfalo evidenció imágenes focales múltiples en el hemisferio cerebeloso derecho y la sustancia blanca subcortical bihemisférica, compatibles con focos embólicos (Figura 1 A). En la evolución presentó episodios febriles diarios sin nuevo rescate bacteriológico y falla renal aguda no oligúrica, sin requerimiento de diálisis. Fue derivada a nuestro centro para resolución quirúrgica de su EI complicada resistente al tratamiento médico. Ingresó afebril, sin signos de insuficiencia cardíaca, vigil, orientada en espacio y persona, desorientada en tiempo.

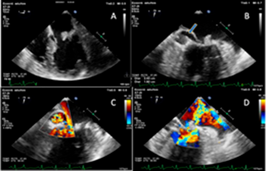
En el ETT se observaron imágenes móviles en ambas valvas de la válvula mitral, de 20 mm de longitud aproximadamente. En el eco transesofágico se evidenció una imagen cavitada en la valva posterior mitral de 2,53 cm × 1,92 cm de diámetro, con flujo en su interior compatible con pseudoaneurisma valvular e insuficiencia mitral moderada que se interpretó como secundaria a alteración de la estructura valvular. (Figura 2)

En la ecografía de abdomen se observaron en el bazo y ambos riñones imágenes ecogénicas milimétricas compatibles con embolias. El fondo de ojo reveló uveítis con gran compromiso vítreo bilateral de origen sistémico.
Se realizó nueva resonancia magnética de encéfalo donde se observaron imágenes hiperintensas en T1 en putámen y globo pálido derechos y el lóbulo temporal bilateral compatibles con sangrado subagudo. (Figura 1 B)
Ante el cuadro de EI de la válvula mitral nativa con rescate de E. coli, complicada con pseudoaneurisma de la valva posterior, insuficiencia mitral moderada e impactos sépticos en el sistema nervioso central, SNC, bazo, riñón y ojos se decidió tratamiento quirúrgico.
En la cirugía se confirmaron los hallazgos ecocardiográficos, con la visualización de vegetaciones de 3 cm de longitud en las valvas anterior y posterior de la mitral, una cavidad infectada de 3 cm de diámetro en el segmento P2 con contenido fibropurulento, y extensión a la pared ventricular.
Se realizó relleno de la cavidad con pericardio autólogo y recambio valvular mitral.
La paciente evolucionó de manera tórpida con shock refractario a altas dosis de vasopresores e insuficiencia renal con requerimiento de diálisis, y falleció al quinto día del postoperatorio.
La anatomía patológica mostró una válvula engrosada, con áreas friables, tejido valvular con presencia de vegetaciones formadas por elementos inflamatorios fibrohistiocitarios, tejido de granulación, depósitos cálcicos y material fibrinopioleucocitario.
La EI continúa siendo una enfermedad grave con alta morbimortalidad, más aún cuando se asocia a complicaciones como pseudoaneurisma, abscesos, o embolias sépticas, por lo que es necesario realizar un diagnóstico temprano mediante ecocardiografía, criterios clínicos y microbiológicos para tomar decisiones médico-quirúrgicas que prevengan su propagación.
BIBLIOGRAFÍA
1. Morpeth S, Murdoch D, Cabell CH, Karchmer AW, Pappas P, Levine D, et al. Non-HACEK gram-negative bacillus endocarditis. Ann Intern Med 2007;147:829-35. https://doi.org/10.7326/0003-4819-147-12-200712180-00002
2. Chen C, Lin Z, Yu W, Wu W. Escherichia coli endocarditis of native aortic valve and mitral valve. J Formos Med Assoc 2015;114:893-4. https://doi.org/10.1016/j.jfma.2015.05.012
3. Micol R, Lortholary O, Jaureguy F, Bonacorsi S, Bingen E, Lefort A, et al. Escherichia coli native valve endocarditis. Clin Microbiol infect 2006;12:401-3. https://doi.org/10.1111/j.1469-0691.2006.01375.x
4. Sudharkar S, Sewani A, Agrawal M, Uretsky BF. Pseudoaneurysm of the mitral-aortic intervalvular fibrosa (MAIVF): a comprehensive review. J Am Soc Echocardiogr 2010;2310:1009-18. https://doi.org/10.1016/j.echo.2010.07.015
5. Baddour L, Wilson W, Bayer A. infective Endocarditis in Adults: diagnosis, antimicrobial therapy, and management of complications. Circulation 2015;132:1435-86. https://doi.org/10.1161/CIR.0000000000000296
6. Sociedad Argentina de Cardiología. Área de Consensos y Normas. Consenso de endocarditis infecciosa. Rev Argent Cardiol 2016;84(Supl. 5):1-49.
Notas
Declaración de intereses