CARTAS CIENTÍFICAS
Pseudoaneurisma micótico femoral roto por Salmonella
Femoral Mycotic Pseudoaneurysm Rupture by Salmonella
Pseudoaneurisma micótico femoral roto por Salmonella
Revista argentina de cardiología, vol. 90, núm. 1, pp. 73-75, 2022
Sociedad Argentina de Cardiología
Los pseudoaneurismas micóticos son infrecuentes, pero constituyen una enfermedad grave por estar asociados a ruptura precoz y alta morbimortalidad según la localización. La salmonella es una causa frecuente de esta patología vascular en pacientes con factores predisponentes.
Se presenta un varón de 72 años con antecedentes de tabaquismo, hipertensión arterial, dislipidemia, angioplastia coronaria con stent, y angioplastia con colocación de wallstent en arteria femoral común izquierda hace más de 10 años por arteriopatía obstructiva crónica con claudicación intermitente Consultó a guardia por síndrome confusional, con fiebre (38,3 °C). Laboratorio: leucocitosis 19.700 GB/mm3, y PCR 229 mg/L. Urocultivo negativo, hemocultivo 2/2 desarrollo de Salmonella spp y tipificación de S. paratiphy A. Tomografía axial computada de cerebro sin hallazgos patológicos. Angiotomografía de abdomen y pelvis con evidencia de pequeña dilatación de 32 mm en la aorta infrarrenal. Inició tratamiento antibiótico empírico con ceftriaxona. Serología negativa para VIH, ecocardiograma con fracción de eyección ventricular izquierda 40%, sin vegetaciones intracardíacas. El paciente evoluciono afebril, con descenso de los glóbulos blancos, hemocultivos negativos al primer y quinto día del tratamiento antibiótico.
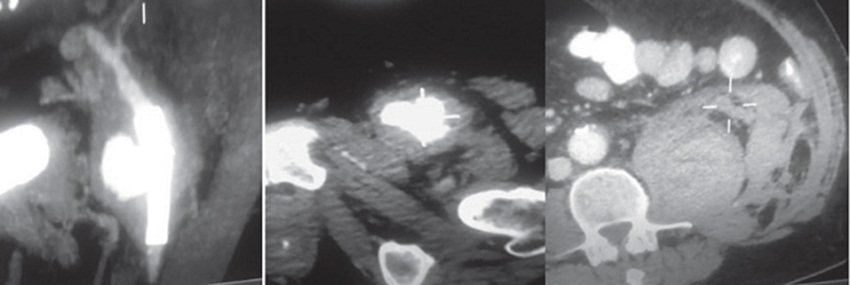
Al noveno día presentó súbitamente hipotensión arterial y dolor en fosa ilíaca izquierda, asociado a caída de 8 puntos del hematocrito. La angiotomografia evidenció ruptura contenida de pseudoaneurisma de arteria femoral común izquierda, a nivel del sitio de implantación del wallstent, con hematoma retroperitoneal de 15 × 7,5 cm. (Figura 1) De urgencia, por acceso percutáneo femoral contralateral, se procedió a implantar stent graft auto expandible (Viabahn®) de 7 × 50 mm, por dentro del wallstent que se encontraba permeable e indemne, con evidencia de extravasación de contraste por ruptura de la pared arterial. (Figura 2) El paciente evolucionó afebril, con hemocultivos negativos y eco Doppler cardíaco sin vegetaciones; cumplió 15 días de tratamiento antibiótico endovenoso y luego recibió ciprofloxacina 750 mg c/12 horas vía oral hasta completar 6 meses. Se encuentra asintomático en el seguimiento a 2 años.


El término ‘’aneurisma o pseudoaneurisma micótico” corresponde a una patología vascular infecciosa, independiente del tipo de germen y de su fisiopatología.
La bacteriología de los aneurismas micóticos ha experimentado un constante cambio. En la era preantibiótica, las causas más comunes fueron la sífilis y la tuberculosis, mientras que los enterococos, estreptococos y neumococos fueron responsables de la mayoría de los aneurismas micóticos secundarios a endocarditis infecciosa. En la actualidad, los gérmenes más frecuentes en los aneurismas micóticos son el Staphylococcus aureus, seguido de la Salmonella spp. 1,2
La Salmonella spp es una bacteria gramnegativa que tiene propensión a adherirse al tejido endotelial previamente lesionado. Sower y Whelan en 1962 encontraron que la Salmonella era causa de aneurisma micótico en un paciente con aterosclerosis preexistente, y describieron el primer tratamiento exitoso. Wang et al en su serie, también sugirieron que las placas ateroscleróticas podrían predisponer a la infección vascular por Salmonella y en la consiguiente patogénesis de los pseudoaneurismas micóticos. 3 Además, esta bacteria puede colonizar y causar infección de aneurismas verdaderos preexistentes.
Se describe en la bibliografía que hasta un 25% de los adultos mayores de 50 años con bacteriemia por Salmonella desarrollan una infección vascular. 3 Los casos de aneurismas por Salmonella en la literatura generalmente fueron reportados en hombres mayores de 60 años, que padecen hipertensión, diabetes mellitus y aterosclerosis. 4 También se ha reportado pseudoaneurisma por Salmonella en pacientes en tratamiento con corticoides e inmunocomprometidos. 5
Factores traumáticos o iatrogénicos, podrían causar daño endotelial, facilitando la posibilidad de que las bacterias de la circulación invadan la pared arterial desarrollando un pseudoaneurisma micótico.
En una serie reciente de aneurisma por Salmonella, la mayoría de los pacientes presentó fiebre recurrente asociada a escalofríos y dolor en el sitio del aneurisma como manifestaciones más frecuentes. 4
El diagnóstico de pseudoaneurisma micótico se confirma por imágenes, sumadas en la mayoría de los casos al aislamiento del germen causante en cultivo de sangre y/o de la pared del aneurisma. Sin embargo, el diagnóstico no debe ser excluido en pacientes con cultivos negativos, ya que pudieron haber recibido empíricamente antibioticoterapia de amplio espectro. 1,2
La angiotomografía computada multicorte es el método por imágenes de elección pues posibilita localizar y caracterizar la lesión vascular, detectar complicaciones y planificar el tratamiento quirúrgico o endovascular.
La localización anatómica de los aneurismas micóticos por Salmonella se describió, en orden de frecuencia, en la aorta infrarrenal, aorta torácica y en vasos ilíacos o distales.
Las complicaciones del aneurisma micótico causado por este germen son graves, incluida la ruptura precoz que es la más frecuente, la embolia séptica, y el hematoma infectado del psoas en los de localización en le aorta infrarrenal o arteria iliaca. 1,4,6
En una revisión reciente Guo et al encontraron que la incidencia de rotura de aneurisma fue del 17,5%, inferior a los reportes previos de 53% de Kam et al, lo que se atribuye a una mejora de los procedimientos terapéuticos y aumento en la sospecha diagnóstica. 4,5
El manejo de un pseudoaneurisma micótico debe ser individualizado, considerando características como la localización, anatomía vascular y el riesgo quirúrgico del paciente.
Las opciones terapéuticas quirúrgicas incluyen cirugía convencional (desbridamiento local y revascularización in situ o extra-anatómica), y los tratamientos endovasculares (colocación de stent cubiertos). Cualquiera sea la terapéutica elegida siempre debe estar asociada a un tratamiento antibiótico adecuado (dosis y duración) para disminuir la recurrencia y mejorar la supervivencia. Los aneurismas micóticos no tratados o que reciben antibioticoterapia como único tratamiento tienen un pronóstico fatal en la mayoría de los casos. 1,4
El tratamiento endovascular ofrece una recuperación más rápida con menor morbimortalidad que la cirugía convencional, y es la primera opción en pacientes de alto riesgo quirúrgico.
Sin embargo, la cirugía abierta fue superior al tratamiento endovascular en la remoción de los focos infectados y la reducción de la recurrencia infecciosa en el postoperatorio alejado.
Las tasas de mortalidad, sin discriminar la localización, en aneurismas micóticos por Salmonella, reportadas por Guo et al. fueron 21,4 y 7,1% para cirugía abierta e intervención endovascular, con recurrencia de la infección de 0 y 17,8%, respectivamente. 4
Se sabe que la mortalidad de los aneurismas o pseudoaneurismas micóticos varía significativamente según su localización. Karl Sörelius et al. comunicaron una mortalidad del 40% a 5 años en aneurismas micóticos aórticos por Salmonella sometidos a tratamiento endovascular, y la mayoría de los eventos sucedieron en los primeros 90 días. No obstante, describieron una menor tasa de recurrencia infecciosa, respecto a los aneurismas micóticos causados por otros gérmenes. 1
En los aneurismas micóticos por Salmonella se recomienda tratamiento antibiótico por 6 semanas, endovenoso u oral, y se puede prolongar el mismo en caso de persistir los hemocultivos positivos, o elevados los reactantes de fase aguda. También habría que considerar en algunos casos la antibioticoterapia supresora de larga duración, como por ejemplo en el tratamiento endoprotésico del aneurisma micótico de localización aórtica. 1,4
Por último, se sugiere el estricto seguimiento de pacientes tratados por un aneurisma o pseudoaneurisma micótico, debido al riesgo de una recurrencia infecciosa potencialmente fatal.
En resumen, la Salmonella es una causa frecuente de aneurisma micótico en cualquier localización, que debe sospecharse en varones mayores de 60 años con factores predisponentes como hipertensión, diabetes o aterosclerosis, que presentan fiebre y/o dolor asociado a hemocultivos positivos. Debido a la su alta morbimortalidad está indicado el tratamiento quirúrgico precoz (convencional o endovascular) siempre acompañado de antibioticoterapia prolongada para prevenir su recurrencia.
BIBLIOGRAFÍA
1. Sörelius K, Mani K, Björck M, Sedivy P, Wahlgren CM, Taylor P et al. Endovascular Treatment of Mycotic Aortic Aneurysms. A European Multicenter Study. Circulation 2014;130:2136-42
2. Sörelius K, di Summa PG. On the Diagnosis of Mycotic Aortic Aneurysms. Clin Med Insights Cardiol. 2018;12:1-8. https://doi.org/10.1177/1179546818759678.
3. Wang JH, Liu YC, Yen MY et al. Mycotic aneurysm due to nontyphi salmonella: report of 16 cases. Clin Infect Dis. 1996;23:743-7
4. Guo Y, Bai Y, Yang C, Wang P, Gu L. Mycotic aneurysm due to Salmonella species: clinical experiences and review of the literature. Braz J Med Biol Res 2018;51:1-9. https://doi.org/1590/1414-431X20186864.
5. Kam MH, Toh LK, Tan SG, Wong D, Chia KH. A case report of endovascular stenting in Salmonella mycotic aneurysm: a successful procedure in an immunocompromised patient. Ann Acad Med Singapore 2007;36:1028-31
6. Cheung KO, Lui TH, Tam CW, Tam KF. Ruptured mycotic iliac artery aneurysm presenting as infected psoas haematoma and mimicking psoas abscess, Radiol Case Rep 2021;16:3776-82. https://doi.org/10.1016/j.radcr.2021.09.014.
Notas de autor
Correspondencia: E-mail: marianonorese@hotmail.com