CARTAS CIENTÍFICAS
Enfermedad carcinoide del corazón
Carcinoid Heart Disease
Enfermedad carcinoide del corazón
Revista argentina de cardiología, vol. 90, núm. 2, pp. 158-160, 2022
Sociedad Argentina de Cardiología
Presentamos una paciente con un cuadro clínico de 8 meses de evolución, caracterizado por astenia, adinamia, anorexia, pérdida de peso (35 kg) asociada a deposiciones diarreicas no disentéricas (5-6 /día), eritema en rostro, tórax y miembros inferiores. Presenta aumento del perímetro abdominal a expensas de una masa en el hipocondrio derecho (ecografía abdominal que evidencia en el hígado una imagen nodular sólida en el lóbulo superior izquierdo). En lo relacionado con lo cardiológico presenta signos de sobrecarga hídrica sistémica, ascitis, edema en miembros inferiores. Se realiza dosaje de ácido 5 hidroxi-indolacético en orina para confirmar el diagnóstico, que resulta positivo (44,2 mg en 24 horas, con un valor de corte normal de 1-10 mg en 24 horas). Se realizan estudios de imágenes.
En la ecografía abdominal presenta un hígado aumentado de tamaño a expensas de imagen de 109 × 76 mm, heterogénea. (Figura 1). En la tomografía axial computada (TAC) de Tórax, abdomen y pelvis con contraste se evidencia cardiomegalia, una imagen nodular en hígado de 125 × 120 × 80mm en segmento V que realza con contraste, engrosamiento difuso de suprarrenales, ascitis moderada, y aisladas adenomegalias mesentéricas.

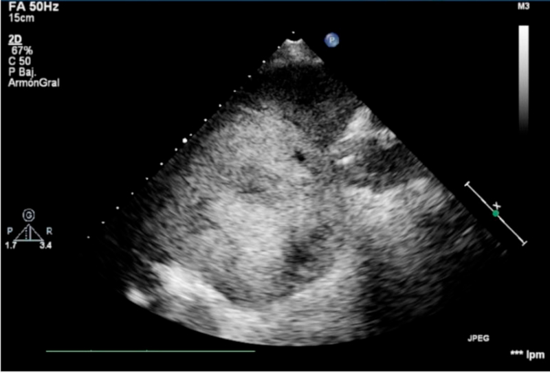
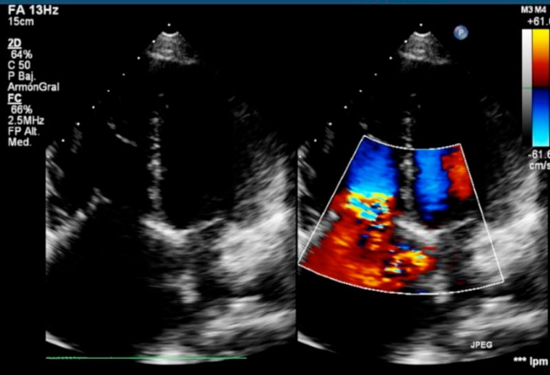
En el ecocardiograma transtorácico: ventrículo izquierdo de dimensiones conservadas, con fracción de eyección 76%, movimiento paradojal del septum interventricular, septum interauricular intacto con relación QP/QS normal; aurícula izquierda de dimensiones conservadas, aurícula derecha dilatada, con presión de 20 mm Hg, ventrículo derecho dilatado con diámetro diastólico de 44 mm y función sistólica normal. Se verifica insuficiencia mitral leve, aparato valvular tricuspídeo hiperecogénico y apertura valvular fija en todo ciclo cardíaco, insuficiencia tricuspídea grave, aumento de la velocidad anterógrada y presión sistólica de la arteria pulmonar estimada de 28 mm Hg.Tronco y ramas pulmonares conservados, insuficiencia pulmonar grave con flujo reverso en ramos pulmonares. Ausencia de masas intracavitarias (Figura 2).

La paciente del presente caso es evaluada conjuntamente con el servicio de oncología que, dado el estadío de la enfermedad, propone realizar tratamiento paliativo, ante lo cual la paciente solicita el alta voluntaria de nuestro hospital para retornar a su ciudad de origen en la provincia de Formosa, donde posteriormente fallece.
Los tumores neuroendocrinos (NET) son tumores malignos poco frecuentes; ocurren en 2,5 a 5 por cada 100 000 personas por año, de las cuales el 30-40% desarrollan síndrome carcinoide y el 20-50% de aquellos presentan enfermedad carcinoide del corazón. 1 El diagnóstico de síndrome carcinoide se basa en la detección en orina del metabolito ácido 5 hidroxi-indolacético, que es producto de la degradación de la serotonina. Dicho metabolito es además predictor del desarrollo de enfermedad carcinoide del corazón. 2
La mayoría de los NET se desarrollan en el intestino delgado, particularmente en el íleon y en el sistema broncopulmonar. Con menos frecuencia, los NET surgen de otros sitios dentro del tracto gastrointestinal, incluidos el colon, el recto y el estómago, Algunos de estos tumores, en particular los NET del intestino delgado, secretan sustancias vasoactivas, incluida la serotonina, taquiquininas, prostaglandinas, histamina y calicreína.3 El hígado inactiva estas sustancias cuando se liberan en la circulación portal, pero cuando un NET que produce serotonina metastatiza en el hígado, el acceso directo a la circulación sistémica provoca síndrome carcinoide y enfermedad carcinoide del corazón. 3
El compromiso cardíaco esta mediado por la actividad secretora del tumor y la liberación a la circulación sistémica de las sustancias citadas, que producen placas de tejido fibrótico en el endocardio, principalmente en el lado derecho del corazón, válvula tricúspide y pulmonar causando doble lesión. 4 En la mayoría de los casos la lesión está limitada al lado derecho debido a que los metabolitos se inactivan en la circulación pulmonar, con afección de la válvula tricúspide en el 90% de los casos.
El diagnóstico y manejo de enfermedad carcinoide del corazón se realiza por medio de biomarcadores y ecocardiografía. En cuanto a los biomarcadores se debe realizar el seguimiento clínico y cada 6 meses con dosaje de NT-proBNP, cuya sensibilidad y especificidad a un nivel de corte de 260 pg./mL para la detección de cardiopatía carcinoide son 92% y 91% respectivamente,5 con valor predictivo negativo y positivo de 98% y 71%. Un valor mayor de 260 pg./mL es indicativo de realizar ecocardiografía.
La ecocardiografía es el estándar de oro para la detección de enfermedad carcinoide del corazón; aunque la repercusión cardiológica de los tumores neuroendocrinos es tardía, tienen un impacto importante en el pronóstico. Por lo tanto, el diagnóstico y el tratamiento tempranos son imperativos en cada paciente con síndrome carcinoide. 4
Una vez establecido el diagnostico de enfermedad carcinoide del corazón se debe discriminar entre un estadio leve, en el cual se debe realizar seguimiento clínico y ecocardiográfico cada 6 meses, y los casos moderados o graves, en que se debe realizar seguimiento clínico y ecográfico cada 3 meses. En caso de desarrollo de síntomas de enfermedad cardiaca grave, se debe considerar la resolución quirúrgica (reemplazo valvular), ya que la enfermedad cardíaca en CF III o IV (NYHA) en pacientes con enfermedad carcinoide del corazón tiene una supervivencia a los 2 años de solo el 10%. El reemplazo valvular es la única opción de tratamiento eficaz para pacientes con enfermedad carcinoide del corazón sintomáticos y está asociado con mejora de síntomas y mayor supervivencia. 6
Aunque en todos los casos se debe usar los análogos de la somatostatina, que inhiben la hipersecreción de hormonas al unirse a los receptores presentes en la mayoría de las células de los tumores neuroendocrinos, tanto el octeotride como el laneotride han demostrado mejorar los síntomas, pero no de la supervivencia. Se ha evidenciado que tanto los síntomas como la supervivencia mejoran cuando el paciente es manejado por un equipo multidisciplinario.
BIBLIOGRAFÍA
Davar J, Connolly HM, Caplin ME, Pavel M, Zacks J, Bhattacharyya S, et al. Diagnosing and Managing Carcinoid Heart Disease in Patients With Neuroendocrine Tumors. J Am Coll Cardiol 2017;69:1288-304. https://doi.org/10.1016/j.jacc.2016.12.030.
Bhattacharyya S, Toumpanakis C, Chilkunda D, Caplin ME, Davar J. Risk Factors for the Development and Progression of Carcinoid Heart Disease. Am J Cardiol 2011;107:1221-6. https://doi.org/10.1016/j.amjcard.2010.12.025.
Rubin de Celis Ferrari AC, Glasberg J, Riechelmann RP. Carcinoid syndrome: update on the pathophysiology and treatment. Carcinoid syndrome: update on the pathophysiology and treatment. Clinics (Sao Paulo) 2018;73(suppl)e490s. https://doi.org/10.6061/clinics/2018/e490s
Plöckinger U, Gustafsson B, Ivan D, Szpak W, Davar J; Mallorca Consensus Conference participants ENETS Consensus Guidelines for the Standards of Care in Neuroendocrine Tumors: Echocardiography. Neuroendocrinology 2009;90:190-3. https://doi.org/10.1159/000225947.
Hart EA, Meijs TA, Meijer RCA, Dreijerink KM, Tesselaar ME, de Groot CA, et al. Carcinoid heart disease: a guide for screening and timing of surgical. Neth Heart J 2017;25:471-8 . https://doi.org/10.1007/s12471-017-1011-2.
Connolly HM, Schaff HV, Abel MD, Rubin J, Askew JW, Li Z, et al. Early and Late Outcomes of Surgical Treatment in Carcinoid Heart Disease. J Am Coll Cardiol . 2015 ;66 :2189-2196. https://doi.org/10.1016/j.jacc.2015.09.014.
Notas
Notas de autor
Correspondencia: Dr. Andrés David Pozo Márquez - Av. Presidente Arturo U. Illia s/n y Marconi Morón 386, B1684 El Palomar, Provincia de Buenos Aires - E-mail: andrespozocardio@gmail.com
Declaración de intereses