CARTAS CIENTÍFICAS
Infarto, tromboembolismo pulmonar y embolia paradojal inminente
Myocardial Infarction, Pulmonary Thromboembolism and Impending Paradoxical Embolism
Infarto, tromboembolismo pulmonar y embolia paradojal inminente
Revista argentina de cardiología, vol. 88, núm. 5, pp. 481-482, 2020
Sociedad Argentina de Cardiología
La coexistencia de infarto agudo de miocardio, embolia pulmonar y trombo cabalgando en un foramen oval permeable con riesgo de nueva embolia pulmonar o sistémica (embolia paradojal), constituye un cuadro extremadamente raro, con alta morbi mortalidad, donde instaurar el tratamiento se convierte en un desafío clínico.
Presentamos el caso de un varón de 57 años, hipertenso, obeso y dislipémico que ingresó a nuestra institución por un síndrome coronario agudo de cara anterior que presentó fibrilación ventricular (FV) en el servicio de guardia, por lo que requirió desfibrilación, reanimación cardiopulmonar y asistencia respiratoria mecánica. Se le realizó angioplastia con stent farmacológico a la arteria descendente anterior y fue extubado en las primeras 24 horas.
Se le realizó un ecocardiograma Doppler que informó el ventrículo izquierdo (VI) de diámetro conservado, hipertrofia del VI, grosor del septo interventricular (SIV) 11 mm), hipokinesia septal anterior con fracción de eyección ventricular izquierda del 40%, ventrículo derecho (VD) conservado y aurículas de tamaño normal.
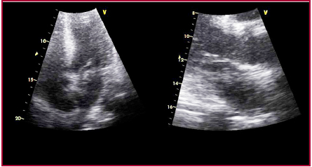
Evolucionó sin complicaciones durante las primeras 72 horas; al cuarto día posterior a la maniobra de valsalva, tuvo unrecurrenciaa recurrencia con un paro cardiorrespiratorio con disociación electromecánica. Se le realizaron maniobras de reanimación cardiopulmonar exitosas, intubación orotraqueal y conexión a asistencia respiratoria mecánica. No presentó shock. Se le realizó un ecocardiograma de urgencia que evidenció una imagen móvil, de aspecto trombótico, que se encontraba cabalgando entre ambas aurículas a través de un foramen oval permeable, en contacto tanto con el tracto de entrada del VD como del ventrículo derecho (VI).
Se inició un tratamiento con heparina no fraccionada y se realizó una angiotomografia pulmonar, que informó el diagnóstico de tromboembolia pulmonar (TEP) segmentario y subsegmentario bilateral, y un ecocardiograma Doppler venoso de ambos miembros inferiores que fue negativo para trombosis venosa profunda.
Durante las primeras 24 horas estuvo estable hemodinámicamente, recuperó la lucidez sin secuelas neurológicas y fue extubado. Solo requería oxígeno suplementario por cánula a 3 litros/minuto. Por el elevado riesgo de embolización, tanto derecha como izquierda, se realizó interconsulta con cirugía cardiovascular y se procedió a realizar resección quirúrgica del trombo y tromboectomía mecánica de la arteria pulmonar.
Presentó buena evolución posoperatoria y fue dado de alta cinco días después, continuando el tratamiento médico, controles periódicos y sesiones de rehabilitación cardiológica.
La profilaxis con heparina de bajo peso molecular ha disminuido considerablemente la incidencia de TEP en el infarto, y es actualmente una complicación muy poco frecuente (<2%). 1 Una vez producida la embolia de pulmón, también es poco frecuente encontrar en el ecocardiograma Doppler un trombo en tránsito por las cavidades derechas (<4%) 2 y, más raro y grave aún, es encontrar un trombo cabalgando sobre un foramen oval permeable (FOP), como es el caso de nuestro paciente. 3,4
Las posibilidades terapéuticas ante estos casos son la anticoagulación, los trombolíticos y la cirugía (embolectomía y cierre del FOP). Como se trata de casos excepcionales, la bibliografía se limita a reportes de casos o series de casos y, por supuesto, no hay ningún estudio randomizado ni guía de recomendaciones de las sociedades científicas con respecto al tratamiento a seguir.
En la última revisión sistemática publicada en 2017 5 (con 194 casos de trombos atrapados en un FOP desde 1995 al 2015) se reporta que la mayoría de los pacientes (57,7%) han sido tratados con cirugía, el 14,4% con trombolíticos y el 27,8% solo con anticoagulación. La incidencia de embolias postratamiento fue del 8,3% (ACV 5,7%) y la mortalidad global fue del 13,9% mayormente por shock cardiogénico, seguido por ACV y complicaciones del tratamiento.


En esta serie de pacientes solo tres se asociaron a infarto y, en esos casos, el infarto se dio como complicación de la embolia paradójica en las arterias coronarias y, no 4 días después, como es el caso de nuestro paciente. La menor mortalidad a 60 días la tuvieron los pacientes que fueron operados (6,3%) comparada con la de los que fueron tratados con trombolíticos (35,7%) o solo con anticoagulación (18,5%) y también fue significativamente menor la incidencia de embolias en los operados (4,5%) comparados con los que recibieron trombolíticos (14,3%) y anticoagulación (13%). Si bien los números favorecen al tratamiento quirúrgico, hay que tener en cuenta que solo son reportes de casos y que los pacientes con inestabilidad hemodinámica pueden no llegar al momento quirúrgico.
En nuestro paciente se realizó embolectomía quirúrgica, cierre del FOP y trombectomía arterial pulmonar, dado que también presentaba un trombo cabalgando en ella y no presentó complicaciones posoperatorias, pese a que por su cuadro coronario agudo se le había realizado angioplastia con stent con drogas y doble antiagregación con aspirina y clopidogrel.
BIBLIOGRAFÍA
Collins R, MacMahon S, Flater M, Baigent C, Remving L, Mortensen TK, et al. Clinical effects of anticoagulant therapy in suspected acute myocardial infarction: systematic overview of randomised trials. BMJ 1996;313:652. https://doi.org/10.1136/bmj.313.7058.652
Hidalgo-Torrico I, Fletcher-Sanfeliu D, Enríquez F, Padro D, Tarrío-Fernández R, Sáez de Ibarra JI. Embolia paradójica inminente tras tromboembolismo pulmonar masivo. Cirugía Cardiovascular 2019;26: 175-8
Aboyans V, Lacroix P, Ostyn E, Cornu E, Laskar M. Diagnosis and management of entrapped embolus through a patent foramen ovale. Eur J CardioThorac Surg 1998; 14: 624-8
Eva Otoupalova, Bhavinkumar Dalal y Brian Renard. Right heart thrombus in transit: a series of two cases. Crit Ultrasound J (2017) 9:14
Won-Woo S, Systematic review of treatment for trapped thrombus in patent foramen ovale. Korean Circ J 2017;47:776. http://dx.doi.org/10.4070/kcj.2016.0295
Notas de autor
Dirección para separatas: e-mail: nico.aquino@gmail.com
Declaración de intereses