CARTAS CIENTÍFICAS
Hamartoma de miocitos cardiacos maduros ventricular derecho
Right Ventricular Hamartoma of Mature Cardiac Myocytes
Hamartoma de miocitos cardiacos maduros ventricular derecho
Revista argentina de cardiología, vol. 89, núm. 6, pp. 550-552, 2021
Sociedad Argentina de Cardiología
El hamartoma cardíaco es un tumor raro y de morfología heterogénea, que consiste en una proliferación benigna de miocitos maduros e inmaduros, tejido fibroso y elementos vasculares que se disponen de manera desorganizada y resultan de una anomalía del desarrollo de células embrionarias. Existen tres variantes histológicas según las células que proliferan: el rabdomioma cardíaco, que está predominantemente compuesto por miocitos inmaduros y células estrelladas que se asocia a esclerosis tuberosa; el fibroma, que predominantemente consiste en tejido fibroso con algunos miocitos en su periferia y que es pobremente vascularizado; y el hamartoma de células de Purkinje, el menos frecuente de todos y que consiste en miocitos con citoplasma de aspecto granulado eosinofílico 1 Las primeras descripciones de hamartoma de miocardiocitos maduros datan de 1998 2. En este tumor existen miocitos hipertrofiados, dispuestos en forma desordenada y que se entremezclan con tejido fibroso, vascular y adipocitos en proporciones variables. En general son únicos y se desarrollan de preferencia en la pared ventricular, aunque también existen reportes de localización valvular 3 Existen pocos casos reportados en aurícula derecha 4,5,6 y no hemos encontrado casos registrados en el ventrículo derecho (VD).
Presentamos un paciente masculino de 32 años de edad, sin antecedentes ni factores de riesgo conocidos, con disnea de larga evolución, pérdida de peso de 5 kg. en el mes previo a su internación y edema (+++) en miembro inferior derecho. Estaba siendo estudiado en otro centro por su cuadro clínico, catalogado como secundario a hipertensión pulmonar tromboembólica crónica, con base en una arteriografía pulmonar realizada al paciente que informó “trombosis pulmonar bilateral con manometría de 50/30 mmHg, trombosis oclusiva de arteria del lóbulo inferior derecho y segmentaria del lóbulo inferior izquierdo”.
La Ecocardiografía Transesofágica (ETE) previa a su derivación informó imagen heterogénea en ápex del VD compatible con trombo organizado. La Tomografía computada de tórax evidenció derrame pleural y pericárdico, presencia de ganglios mediastinales, tractos de fibrosis densos de aspecto secuelar pleurointersticial, imágenes bibasales en vidrio esmerilado y ascitis.
Los anticuerpos para estudio de colagenopatías: antimieloperoxidasa, antiproteinasa 3, anticitoplasma, anticitrulinados, anti RO, anti Ia/ssb y factor anti nuclear, fueron negativos; así como también los marcadores tumorales: Ca 19-9, Ca 21-cifra, Ca 72.4.
Con este cuadro se derivó a nuestro hospital para tratamiento mediante tromboendarterectomía.
Ingresó estable, con disnea CFII y sin requerimiento de oxígeno.
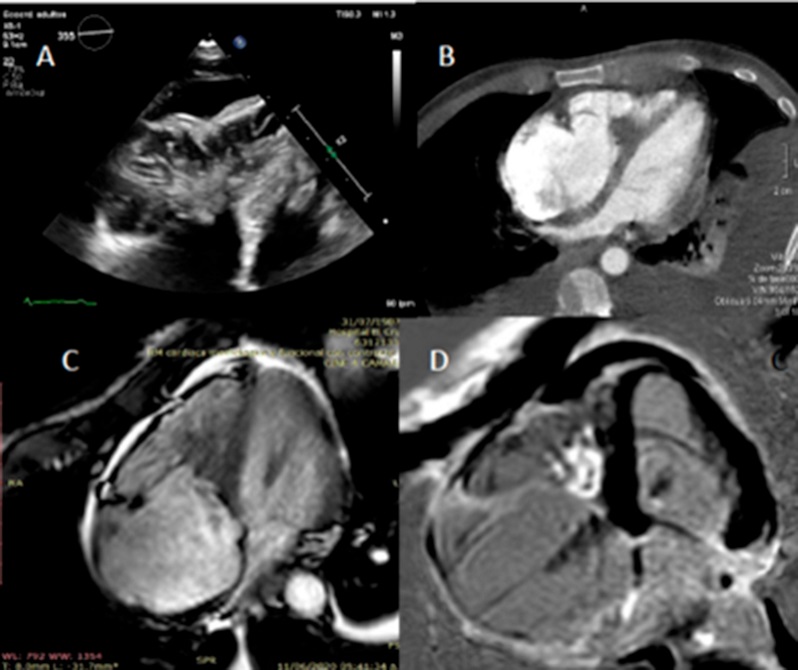
En el ecocardiograma transtorácico (ETT) se visualizó una masa ocupante medioventricular derecha con bordes irregulares y de ecogenicidad heterogénea, que comprometía el aparato subvalvular tricuspídeo y provocaba retracción focal miocárdica de la pared libre del VD y de la valva septal de la tricúspide, con insuficiencia valvular moderada excéntrica secundaria. No presentaba signos indirectos de hipertensión pulmonar. (Fig. 1)

La tomografía cardíaca (TC) descartó la presencia de trombos asociados a esa estructura y la resonancia cardíaca (RC) confirmó los hallazgos antes descriptos, descartó la vascularización de la misma y evidenció la presencia de realce tardío en su interior.
En la ecografía venosa de miembros inferiores se visualizó imagen compatible con trombosis obstructiva de la vena iliaca proximal.
Se realizó biopsia endomiocárdica. El diagnóstico anátomopatológico fue el Hamartoma de miocitos maduros. Se decidió conducta quirúrgica. En el acto quirúrgico se visualizó macroscópicamente retracción de la pared anterior del VD, masa fibrosa intraventricular con retracción de cuerdas tendinosas y compromiso de la valva septal de la tricúspide. (Fig 2) El paciente evolucionó en forma tórpida en el post operatorio inmediato, con falla ventricular refractaria que requirió asistencia mecánica con ECMO. Obitó a las 48 hs. post cirugía.

Las neoplasias cardíacas son infrecuentes y la gran mayoría son hallazgos incidentales en las autopsias o bien en estudios de imágenes del corazón. La ETT es la técnica de elección en la aproximación diagnóstica en el estudio de las masas cardíacas. Por su accesibilidad, bajo costo e inocuidad, permite, en manos expertas, hacer una aproximación a la naturaleza sólida o quística de las mismas, así como también definir su homogeneidad o heterogeneidad, movilidad y sitio de anclaje. Sin embargo, esta técnica no permite caracterizar el tejido anómalo, definir su invasión o vascularización. La TC es una modalidad de diagnóstico de segunda línea, utilizada para caracterizar las masas cardíacas en cuanto a localización, tamaño y relaciones anatómicas, seguida por la tomografía por emisión de positrones (PET) que permite detectar tumores primarios de origen incierto en forma precoz, así como también su estadificación inicial. La RM aporta información estructural y hemodinámica ya que ofrece secuencias estáticas y dinámicas y permite planos y proyecciones ilimitados. La caracterización tisular mediante imágenes potenciadas en T1 y T2, complementa esta información. Las secuencias de realce tardío permiten delimitar más claramente el tumor y son esenciales para detectar y caracterizar los trombos 1. En nuestro paciente, mediante estos métodos fue descartada la presencia de trombos intracavitarios y la sospecha diagnóstica fue de tumor cardiaco; si bien sus características y rara localización en VD no permitieron aseverar que se tratara de un fibroma o de un sarcoma (angiosarcoma, rabdomiosarcoma). Sin embargo, estos métodos definieron la necesidad de biopsia, con la seguridad de que la masa no estaba vascularizada.
Creemos que la publicación de nuestro caso, sumamente infrecuente, colabora para tener en cuenta, dentro de los diagnósticos diferenciales, el hamartoma de miocitos maduros en la presentación de tumores en cavidades derechas. Si bien este tumor es de estirpe benigna, produce importante deterioro del estado general y mala evolución sin un tratamiento quirúrgico precoz.
BIBLIOGRAFÍA
Mantilla-Hernández JC, Amaya-Mujica J, Alvarez-Ojeda OM. An unusual tumor: Hamartoma of mature cardiac myocytes. Rev Esp Patol 2019;52:50-3. https://doi.org/10.1016/j.patol.2018.07.004
Cely A, Jiménez López-Guarch CS, Charterin SA. Masas cardíacas: multimodalidad-resonancia magnética cardiaca. Rev Colomb Cardiol 2019;26(Supl. 1):111-22. https://doi.org/10.1016/j.rccar.2018.09.003
Martínez Quesada M, Trujillo Berraquero F, Almendro Delia M, Hidalgo Urbano R, Cruz Fernández JM. Hamartoma intracardíaco. Caso clínico y revisión de la bibliografía. Rev Esp Cardiol. 2005;58::450-2. https://doi.org/10.1157/13073901
Abreu A, Galrinho A, Sá EP, Ramos S, Martins AP, Fragata J, et al. Hamartoma of the mitral valve with blood cysts: a rare tumor detected by echocardiography. J Am Soc Echocardiogr. 1998;11:832-6. https://doi.org/10.1016/S0894-7317(98)70060-4
Raffa GM, Tarelli G, Balzarini L, Torta D, Monti L. Hamartoma of mature cardiac myocytes: a cardiac tumour with preserved contractility. Eur Heart J Cardiovasc Imaging. 2013;14(12):1216. https://doi.org/10.1093/ehjci/jet107
Zhou X, Zhou Y, Zhaoshun Y, Zeng M, Zhou X, Liao X, Zhang Z, Zhou Xinqi et al. “Hamartoma of mature cardiomyocytes in right atrium: A case report and literature review.” Medicine 2019;vol. 98,31 (2019): e16640. https://doi.org/10.1097/MD.0000000000016640
Notas de autor
Autor de correspondencia: Graciela Reyes . Hospital de Alta Complejidad en red El Cruce - Av. Calchaquí 5401 - CP: 6PHH+6Q - Florencio Varela, Provincia de Buenos Aires, Argentina. - E-mail: grareyes@gmail.com/ grareyes@hotmail.com
Declaración de intereses