ARTÍCULO DE REVISIÓN
Miocardiopatía arritmogénica. Genes y proteínas desmosómicas
Arrhythmogenic Cardiomyopathy. Genes and Desmosomal Proteins
Miocardiopatía arritmogénica. Genes y proteínas desmosómicas
Revista argentina de cardiología, vol. 90, núm. 5, pp. 370-374, 2022
Sociedad Argentina de Cardiología
Financiamiento
Fuente: Universidad de Buenos Aires
Nº de contrato: UBACYT 20020150100027BA
Descripción del financiamiento: Subsidios. Apoyo parcial por UBACYT 20020150100027BA de la Universidad de Buenos Aires
RESUMEN: Desde 1996 esta enfermedad figura en la clasificación de las miocardiopatías de la OMS con el nombre de “miocardiopatía arritmogénica”. A fines de la década del 70 se estableció que el ventrículo derecho (VD) puede ser el sustrato para el desarrollo de arritmias. En la década del 80 se describió el reemplazo del miocardio por tejido fibroadiposo y su naturaleza hereditaria. Posteriores descubrimientos permitieron la identificación de varios genes implicados en la producción de proteínas desmosómicas que participan en el acoplamiento intercelular lo cual llevó a definir a la miocardiopatía arritmogénica como una enfermedad desmosómica. El electrocardiograma y el ecocardiograma resultaron fundamentales y la angiocardiografía invasiva se utilizó para detectar disquinesia-aquinesia y aneurismas del VD. La biopsia endomiocárdica se perfiló como el gold standard para el diagnóstico, debido a su capacidad para detectar el reemplazo transmural por tejido fibroadiposo. El advenimiento de la resonancia magnética cardíaca (RMC) con realce tardío de gadolinio ha permitido revelar no solamente anomalías morfológico-funcionales sino también daño tisular. El conocimiento de la estructura del disco intercalar, involucrado en el acoplamiento intercelular ha permitido determinar que no solamente los desmosomas estarían comprometidos, sino que habría varias proteínas constituyentes tanto de los desmosomas, como de las uniones adherentes, las uniones gap, y los canales iónicos, integradas en una unidad conocida como “área composita”. Ésta constituye una amalgama entre elementos de sostén y canales iónicos que participan en la propagación del potencial de acción, lo que ha permitido desarrollar el concepto de disco intercalar compuesto por los llamados “nodos excitoadhesivos”. Las implicancias clínicas en el desarrollo de arritmias malignas son obvias.
Palabras clave: Displasia Ventricular Derecha Arritmogénica, Desmosomas, Fibrilación ventricular.
ABSTRACT: In 1996 this disease was introduced into the WHO classification of cardiomyopathies with the term “arrhythmogenic cardiomyopathy”. By the end of the 70s the right ventricle (RV) was identified as a substrate for the development of arrhythmias. The replacement of the myocardium by fibrofatty tissue and the hereditary nature of this condition were described in the 1980s. Later findings led to the identification of several genes involved in the production of desmosomal proteins participating in intercellular coupling, which led to defining arrhythmogenic cardiomyopathy as a desmosomal disease. Electrocardiography and echocardiography are fundamental tools, and invasive angiocardiography was used to detect dyskinesia-akinesia and right ventricular aneurysms. Endomyocardial biopsy was established as the gold standard for the diagnosis due to its ability to detect transmural replacement by fibrofatty tissue. The advent of cardiac magnetic resonance imaging (CMRI) with late gadolinium enhancement reveals morphological and functional abnormalities and tissue damage. The understanding of intercalated disc structure involved in intercellular coupling has made it possible to determine that, apart from desmosomes, several desmosomal proteins, as adherens junctions, gap junctions and ion channels are integrated into a unit known as the “ area composita”. The area composita constitutes an amalgam between supporting elements and ion channels that participate in action potential propagation, which has led to develop the concept that intercalated discs are constituted by “adhesion/ excitability nodes”. The clinical implications in the development of malignant arrhythmias are obvious.
Key words: Arrhythmogenic Right Ventricular Dysplasia, Desmosomes, Ventricular Fibrillation.
En 1996 se introdujo en la clasificación de miocardiopatías de la OMS una nueva enfermedad, 1 descartando el concepto de esta entidad como malformación congénita; con el descubrimiento de la variante que afecta al ventrículo izquierdo, se acuñó el término “miocardiopatía arritmogénica” (MA). 2 El adjetivo arritmogénica define la característica patognomónica de esta enfermedad no isquémica del músculo cardíaco.
Ya a fines de la década del 70 del siglo pasado, Fontaine y cols. advirtieron que el ventrículo derecho (VD) podía constituir el sustrato para el desarrollo de arritmias con morfología de bloqueo de rama izquierda. 3) (4
En 1982 Frank Marcus y col. publicaron una serie de pacientes con un nuevo síndrome, caracterizado por un remodelado del VD con aneurismas topográficamente localizados en el tracto de entrada, ápex y tracto de salida (triángulo de la displasia) (Figura1) debido al reemplazo del miocardio por tejido fibroadiposo. 5 Nava y col. describieron la naturaleza hereditaria de la MA. 6 Una forma hereditaria dominante fue descripta por Nava en Italia, y fue llamada la “enfermedad del Véneto”, 7 consistente en una miocardiopatía genéticamente determinada, ya que sus manifestaciones clínicas estaban ausentes al momento del nacimiento y se hacían evidentes entre los 10 y los 12 años de edad.
La actividad deportiva incrementa cinco veces el riesgo de muerte súbita en los portadores. 8 En Italia la incidencia de muerte súbita por MA es de 27% entre los atletas, con una reducción significativa desde la implementación del ECG como método de pesquisa en la evaluación de candidatos para el deporte. 9
La MA implica una pérdida adquirida de tejido miocárdico seguida de reemplazo por tejido fibroadiposo en el contexto de un proceso de muerte celular y reparación miocárdicas 10 por apoptosis. 11 Si bien la inflamación miocárdica es un hallazgo habitual, su caracterización como una consecuencia de la necrosis o como un fenómeno inmunológico primario todavía es controversial. 12 Por otra parte se demostró que los adipocitos son de origen mesenquimático. 13
En la isla de Naxos, en Grecia, se descubrió una forma recesiva de la enfermedad con queratodermia palmoplantar y pelo lanudo. (14 En 1996 Ruiz y cols., estudiando la placoglobina de las uniones intercelulares (JUP) en ratones knock-out, demostraron que la ausencia de JUP afecta el desarrollo de los desmosomas en el corazón, con el gen humano ubicado en el cromosoma 17q21. (15
En Ecuador, el dermatólogo Carvajal-Huerta encontró una mutación recesiva en el gen de la desmoplaquina (DSP) en un síndrome familiar similar con miocardiopatía dilatada. (16 El gen de la DSP también se convirtió en un candidato para la forma dominante de la MA. Posteriormente se descubrieron otros genes mutados implicados en la forma dominante de MA: placofilina-2, desmogleína-2, desmocolina2 y placoglobina, confirmando que es una enfermedad desmosómica. (17 Múltiples mutaciones compuestas o heterocigotas implican un pronóstico más grave, pero la productividad de las pruebas genéticas no supera el 50%. (18
Así es que la MA fue definitivamente vinculada con genes que codifican proteínas desmosómicas. La microscopía electrónica demostró la disrupción de los discos intercalares como vía final común para la muerte celular. (19
Los criterios diagnósticos fueron definidos en 1994 y actualizados en 2010 (20) (21. El ECG y el ecocardiograma resultaron fundamentales. La angiocardiografía invasiva se empleó para detectar disquinesia-aquinesia y aneurismas del VD. (22
La biopsia endomiocárdica se perfiló como el gold standard para el diagnóstico gracias a su capacidad de detectar el reemplazo transmural por tejido fibroadiposo. (23 Este estudio juega un rol crítico en el diagnóstico diferencial con enfermedades que remedan la MA, como la miocarditis, la sarcoidosis y la taquicardia idiopática del VD. El advenimiento de la resonancia magnética cardíaca (RMC) con realce tardío de gadolinio ha permitido revelar no solamente anomalías morfológico-funcionales sino también daño tisular; también juega un rol fundamental en el diagnóstico del compromiso aislado del ventrículo izquierdo. (24) (25

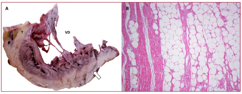
Fig. 1. Hombre aparentemente sano, sin antecedentes personales ni familiares, de 29 años, con muerte súbita no presenciada. A. Ventrículo derecho (VD) con pared libre de escasos milímetros de espesor, con reemplazo por tejido lardáceo (flecha) que se extiende al tabique interventricular (T) y al ventrículo izquierdo. B. Histológicamente extenso reemplazo de miocardio por tejido adiposo, escasos haces atróficos y separación en pequeños fascículos de las fibras miocárdicas residuales. H-E. X200.
La pesquisa genética es en la actualidad una herramienta diagnóstica rutinaria en familiares de probandos con MA que tienen al menos una mutación, para la búsqueda de parientes portadores de las mismas, y resulta un puente efectivo entre el laboratorio y el paciente. El secuenciamiento genético de última generación ha permitido una pesquisa rápida y precisa, y genera un gran número de casos indexados ya sea por identificación clínica o en investigación posmortem por autopsia molecular. (26
Existen varias conductas preventivas para la muerte súbita en la MA, contándose entre las más efectivas desaconsejar la actividad física. (27 El cardiodesfibrilador implantable (CDI) salva vidas también en pacientes con esta patología. La indicación para su implante depende del pronóstico, es imperativa en los pacientes portadores que presentan síncope, taquicardia ventricular sostenida o ataques cardíacos previos. (28) (29
La terapia farmacológica se emplea en forma rutinaria, tanto aislada como asociada al CDI. (30. También la ablación se encuentra dentro de las alternativas de tratamiento, aunque se considera un procedimiento paliativo debido a la recurrencia de las arritmias. (31 El transplante cardíaco es la última opción reservada para casos de insuficiencia cardíaca congestiva terminal o tormenta arrítmica intolerable.
MECANISMOS MOLECULARES
Dentro de las perspectivas de investigación debe considerarse que la terapia curativa tiene que estar enfocada al mecanismo molecular involucrado en la patogenia de la enfermedad. (32 El disco intercalar es una estructura compleja altamente organizada involucrada en la conexión entre cardiomiocitos, constituido por las uniones gap que conectan el citoplasma de las células, las uniones adherentes que interconectan los citoesqueletos celulares y los desmosomas que se conectan con los filamentos celulares intermedios. Por último, encontramos canales iónicos en los discos intercalares. Las anomalías genéticas que afectan a los componentes de los discos intercalares son las causantes del desarrollo de arritmias.
Las características del disco intercalar están determinadas fundamentalmente por las propiedades de las proteínas que se encuentran en él , las cuales son multifuncionales y a su vez constituyen una unidad integrada, denominada “área composita”. La misma es la unidad funcional que agrupa las uniones adherentes, las uniones gap, los desmosomas y los canales iónicos. Los canales iónicos y las uniones gap generan y propagan el potencial de acción en forma conjunta.
Las deficiencias en estas proteínas pueden provocar tanto alteraciones en la contractilidad como arritmias, demostrando la interdependencia que existe entre los componentes del disco intercalar. La cara lateral de la membrana plasmática tiene una composición diferente de la del disco intercalar; su unidad funcional es el costámero, e incluye adhesiones focales que unen los sarcómeros con la matriz extracelular. A pesar de las diferencias, el disco intercalar y la membrana lateral tienen proteínas comunes, tales como la vinculina, la alfa-actinina y los canales iónicos.
Las uniones adherentes conectan los filamentos de actina de las células adyacentes y están involucradas en la transducción de señales mecánicas. La proteína n-caderina es el constituyente principal de las uniones adherentes y se homodimeriza con la n-caderina de las células adyacentes constituyendo un cierre intercelular, mientras que los iones de calcio aseguran la estructura de cremallera de esta unión. La n-caderina también posee una función regulatoria y un rol mecanosensorial.
La beta-catenina interactúa directamente con el extremo c-terminal del dominio intracitoplasmático de la n-caderina; mediante la asociación con la alfacatenina y la vinculina, la beta-catenina conecta las uniones adherentes al citoesqueleto de actina. La beta-catenina también cumple un papel central en la señalización a través de la caderina y es capaz de activar la vía canónica de señalización Wnt. La vía canónica Wnt es crucial en el desarrollo cardíaco, pero también ha sido propuesta como clave en el mecanismo de ciertas miocardiopatías.
Si bien las uniones adherentes transmiten fuerzas mecánicas al citoesqueleto, los desmosomas constituyen uniones más firmes debido a su conexión con los filamentos intermedios que son más resistentes. La parte intercelular de los desmosomas cardíacos está compuesta por las caderinas desmogleína2 (DSG2) y desmocolina 2 (DSC2). Las proteínas de las placas, placoglobina (JUP), placofilina2 (PKP2) y la desmoplaquina (DSP) conectan la desmina al desmosoma. Cuando la DSC2 y DSG2 están unidas, el estado hiperadhesivo del desmosoma depende de los iones calcio.
La proteína principal es la PKP2, asociada a las uniones gap y necesaria tanto para la organización del disco intercalar como para la función desmosómica. Junto con la JUP la PKP2 media las uniones de los filamentos intermedios. La ausencia de PKP2 genera disminución en la velocidad de conducción y propensión a desarrollar arritmias por reentrada.
La mutación de PKP2 es común en la MA hereditaria. La placoglobina está presente tanto en los desmosomas como en las uniones adherentes. La desmoplaquina conecta los desmosomas a la desmina de los filamentos intermedios tipo III. Las principales mutaciones en genes desmosómicos en la MA incluyen PKP2 y DSP, junto con las caderinas DSG2 y DSC2 y JUP con menor frecuencia. El gen CDH2 codifica la n-caderina que es miembro de la superfamilia de las proteínas de adhesión de superficie dependientes de iones de calcio.
El concepto de que la n-caderina, tanto como su contraparte desmosómica, juega un papel fundamental en la estructura del disco intercalar, se basa en el modelo del ratón adulto CDH2 cardíaco específico, con deleción de n-caderina en el corazón, lo que provoca la disolución en la estructura del disco intercalar y la pérdida tanto de desmosomas como de uniones adherentes, lo cual demuestra que la integridad del desmosoma también es dependiente de la n-caderina o caderina2. Estos ratones presentan formas atípicas de miocardiopatía dilatada y también arritmia ventricular con muerte súbita.
Se estima que la propensión a desarrollar arritmias está determinada por la distribución reducida y heterogénea de la conexina 43 provocando pérdida de la función en las uniones gap y desacoplamiento parcial de los cardiomiocitos, lo cual destaca el rol fundamental de la caderina2 en el disco intercalar. Este remodelado junto con la reducción concomitante de las proteínas desmosómicas, conexinas 43 y caderinas fue demostrado en tejido ventricular de pacientes con MA.
La pérdida de la expresión de la PKP2 ha sido implicada en la alteración de la amplitud y la cinética de la corriente de sodio. Estas evidencias permiten plantear un modelo en el cual el disco intercalar estaría constituido por ¨nodos excito-adhesivos¨ compuestos por agregados de canales de sodio y n-caderinas (33.
Finalmente, ante las importantes investigaciones enumeradas en el presente trabajo, hemos señalado recientemente, que la ausencia de exámenes clínicocardiológicos previos rutinarios, impide la correcta caracterización de la potencialidad letal de la MA (34.
Mientras tanto, el estudio de la patología sigue adelante...
Declaración de conflicto de intereses
Los autores declaran que no tienen conflicto de intereses.
(Véanse formularios de conflicto de intereses de los autores en la web/Material suplementario).
Consideraciones éticas No aplican.
BIBLIOGRAFÍA
Richardson P, McKenna W, Bristow M, Maisch B, Mautner B, O’Connell J, et al. Report of the 1995 World Health Organization/ International Society and Federation of Cardiology Task Force on the Definition and Classification of cardiomyopathies. Circulation 1996;93:841-42. https://doi.org/10.1161/01.CIR.93.5.841
Basso C, Nava A, Thiene G. Cardiomiopatia aritmogena. Milano: Ed. Arti Grafiche Color Black, 2001.
Fontaine G, Frank R, Vedel J, Grosgogeat Y, Cabrol C, Facquet J. Stimulation studies and epicardial mapping in ventricular tachycardia: study of mechanisms and selection for surgery. In: Kulbertus HE (ed). Reentrant Arrhythmias, PA: MTP Publishing. 1977;334-50.
Fontaine G, Frank R, Gallais-Hamonno F, Allali I, Phan-Thuc H, Grosgogeat Y. Electrocardiographie des potentiels tardifs du syndrome de post-excitation [Electrocardiography of delayed potentials in post-excitation syndrome]. Arch Mal Coeur Vaiss 1978;71:854-64.
Marcus FI, Fontaine GH, Guiraudon G, Frank R, Laurenceau JL, Malergue C, et al. Right ventricular dysplasia: a report of 24 adult cases. Circulation 1982;65:384-98. https://doi.org/10.1161/01.CIR.65.2.384
Nava A, Thiene G, Canciani B, Scognamiglio R, Daliento L, Buja G, et al. Familial occurrence of right ventricular dysplasia: a study involving nine families. J Am Coll Cardiol 1988;12:1222-8. https://doi.org/10.1016/0735-1097(88)92603-4
Nava A, Bauce B, Basso C, Muriago M, Rampazzo A, Villanova C, et al. Clinical profile and long-term follow-up of 37 families with arrhythmogenic right ventricular cardiomyopathy. J Am Coll Cardiol 2000;36:2226-33. https://doi.org/10.1016/S0735-1097(00)00997-9
Corrado D, Basso C, Rizzoli G, Schiavon M, Thiene G. Does sports activity enhance the risk of sudden death in adolescents and young adults? J Am Coll Cardiol 2003;42:1959-63. https://doi.org/10.1016/j.jacc.2003.03.002
Corrado D, Basso C, Pavei A, Michieli P, Schiavon M, Thiene G. Trends in sudden cardiovascular death in young competitive athletes after implementation of a preparticipation screening program. JAMA 2006;296:1593-601. https://doi.org/10.1001/jama.296.13.1593
Basso C, Thiene G, Corrado D, Angelini A, Nava A, Valente M. Arrhythmogenic right ventricular cardiomyopathy. Dysplasia, dystrophy, or myocarditis? Circulation 1996;94:983-91. https://doi.org/10.1161/01.CIR.94.5.983
Valente M, Calabrese F, Thiene G, Angelini A, Basso C, Nava A, et al. In vivo evidence of apoptosis in arrhythmogenic right ventricular cardiomyopathy. Am J Pathol 1998;152:479-84. https://doi.org/10.1007/978-88-470-2288-1_40
Chelko SP, Asimaki A, Lowenthal J, Bueno-Beti C, Bedja D, Scalco A, et al. Therapeutic Modulation of the Immune Response in Arrhythmogenic Cardiomyopathy. Circulation 2019;140:1491-505. https://doi.org/10.1161/CIRCULATIONAHA.119.040676
Sommariva E, Brambilla S, Carbucicchio C, Gambini E, Meraviglia V, Dello Russo A, et al. Cardiac mesenchymal stromal cells are a source of adipocytes in arrhythmogenic cardiomyopathy. Eur Heart 2016;37:1835-46. https://doi.org/10.1093/eurheartj/ehv579
Protonotarios N, Tsatsopoulou A, Patsourakos P, Alexopoulos D, Gezerlis P, Simitsis S, et al. Cardiac abnormalities in familial palmoplantar keratosis. Br Heart J 1986;56:321-6. https://doi.org/10.1136/hrt.56.4.321
Ruiz P, Brinkmann V, Ledermann B, Behrend M, Grund C, Thalhammer C, et al. Targeted mutation of plakoglobin in mice reveals essential functions of desmosomes in the embryonic heart. J Cell Biol 1996;135:215-25. https://doi.org/10.1083/jcb.135.1.215
Kaplan SR, Gard JJ, Carvajal-Huerta L, Ruiz-Cabezas JC, Thiene G, Saffitz JE. Structural and molecular pathology of the heart in Carvajal syndrome. Cardiovasc Pathol 2004;13:26-32. https://doi.org/10.1016/S1054-8807(03)00107-8
Gerull B, Heuser A, Wichter T, Paul M, Basson CT, McDermott DA, et al. Mutations in the desmosomal protein plakophilin-2 are common in arrhythmogenic right ventricular cardiomyopathy. Nat Genet 2004;36:1162-4. https://doi.org/10.1038/ng1461
Rigato I, Bauce B, Rampazzo A, Zorzi A, Pilichou K, Mazzotti E, et al. Compound and digenic heterozygosity predicts lifetime arrhythmic outcome and sudden cardiac death in desmosomal generelated arrhythmogenic right ventricular cardiomyopathy. Circ Cardiovasc Genet 2013;6:533-42. https://doi.org/10.1161/CIRCGE-NETICS.113.000288
Basso C, Czarnowska E, Della Barbera M, Bauce B, Beffagna G, Wlodarska EK, et al. Ultrastructural evidence of intercalated disc remodelling in arrhythmogenic right ventricular cardiomyopathy: an electron microscopy investigation on endomyocardial biopsies. Eur Heart J 2006;27:1847-54. https://doi.org/10.1093/eurheartj/ehl095
McKenna WJ, Thiene G, Nava A, Fontaliran F, Blomstrom-Lundqvist C, Fontaine G, et al. Diagnosis of arrhythmogenic right ventricular dysplasia/cardiomyopathy. Task Force of the Working Group Myocardial and Pericardial Disease of the European Society of Cardiology and of the Scientific Council on Cardiomyopathies of the International Society and Federation of Cardiology. Br Heart J . 1994;71:215-8. https://doi.org/10.1136/hrt.71.3.215
Marcus FI, McKenna WJ, Sherrill D, Basso C, Bauce B, Bluemke DA, et al. Diagnosis of arrhythmogenic right ventricular cardiomyopathy/dysplasia: proposed modification of the task force criteria. Circulation 2010;121:1533-41. https://doi.org/10.1161/CIRCULATIONAHA.108.840827
Daliento L, Rizzoli G, Thiene G, Nava A, Rinuncini M, Chioin R, et al. Diagnostic accuracy of right ventriculography in arrhythmogenic right ventricular cardiomyopathy. Am J Cardiol 1990;66:741-5. https://doi.org/10.1016/0002-9149(90)91141-R
Basso C, Ronco F, Marcus F, Abudureheman A, Rizzo S, Frigo AC, et al. Quantitative assessment of endomyocardial biopsy in arrhythmogenic right ventricular cardiomyopathy/dysplasia: an in vitro validation of diagnostic criteria. Eur Heart J 2008;29:2760-71. https://doi.org/10.1093/eurheartj/ehn415
Norman M, Simpson M, Mogensen J, Shaw A, Hughes S, Syrris P, et al. Novel mutation in desmoplakin causes arrhythmogenic left ventricular cardiomyopathy. Circulation 2005;112:636-42. https://doi.org/10.1161/CIRCULATIONAHA.104.532234
Zorzi A, Perazzolo Marra M, Rigato I, De Lazzari M, Susana A, Niero A, et al. Nonischemic Left Ventricular Scar as a Substrate of Life-Threatening Ventricular Arrhythmias and Sudden Cardiac Death in Competitive Athletes. Circ Arrhythm Electrophysiol 2016;9:e004229. https://doi.org/10.1161/CIRCEP.116.004229
Marschall C, Moscu-Gregor A, Klein HG. Variant panorama in 1,385 index patients and sensitivity of expanded next-generation sequencing panels in arrhythmogenic disorders. Cardiovasc Diagn Ther 2019;9(Suppl 2):S292-S298 https://doi.org/10.21037/cdt.2019.06.06
Corrado D, Basso C, Pilichou K, Thiene G. Molecular biology and clinical management of arrhythmogenic right ventricular cardiomyopathy/dysplasia. Heart 2011;97:530-9. https://doi.org/10.1136/hrt.2010.193276
Mirowski M, Mower MM, Staewen WS, Denniston RH, Mendeloff AI. The development of the tranvenous automatic defibrillator. Arch Intern Med 1972;129:773-779. https://doi.org/10.1001/archinte.1972.00320050097010
Corrado D, Leoni L, Link MS, Della Bella P, Gaita F, Curnis A, et al. Implantable cardioverter-defibrillator therapy for prevention of sudden death in patients with arrhythmogenic right ventricular cardiomyopathy/dysplasia. Circulation . 2003;108:3084-91. https://doi. org/10.1161/01.CIR.0000103130.33451.D2
Wichter T, Paul TM, Eckardt L, Gerdes P, Kirchhof P, Böcker D, et al. Arrhythmogenic right ventricular cardiomyopathy. Antiarrhythmic drugs, catheter ablation, or ICD? Herz 2005;30:91-101. https://doi.org/10.1007/s00059-005-2677-6
Philips B, Madhavan S, James C, et al. Outcomes of catheter ablation of ventricular tachycardia in arrhythmogenic right ventricular dysplasia/cardiomyopathy. Circ Arrhythm Electrophysiol 2012;5:499505. https://doi.org/10.1161/CIRCEP.111.968677
Denegri M, Bongianino R, Lodola F, Boncompagni S, De Giusti VC, Avelino-Cruz JE, et al. Single delivery of an adeno-associated viral construct to transfer the CASQ2 gene to knock-in mice affected by catecholaminergic polymorphic ventricular tachycardia is able to cure the disease from birth to advanced age. Circulation 2014;129:2673-81. https://doi.org/10.1161/CIRCULATIONAHA.113.006901
Towbin J. et al. 2019 HRS Expert consensus statment on evaluation, risk stratification and managment or arrythmogenic cardiomyopathy. Heart Rhythm 2019;16:e334-e337. https://doi.org/10.1016/j.hrthm.2019.05.007
Pantere H, Azzato F, Milei J. Dos casos de muerte súbita. Primera manifestación por miocardiopatía arritmogénica del ventrículo derecho, tabique interventricular y ventrículo izquierdo. Rev Argent Cardiol 2021;89:363-5. https://doi.org/10.7775/rac.es.v89.i4.20422
Notas
Notas de autor
Dirección para separatas: Dr. José Milei - Universidad de Buenos Aires, CONICET, “Instituto Alberto C. Taquini de Investigaciones en Medicina Traslacional (IATIMET)”, Facultad de Medicina, Marcelo T. de Alvear 2270 CABA