ARTÍCULO DE REVISIÓN
Disyunción del anillo mitral: estado actual
Mitral Annulus Disjunction: Current Status
Disyunción del anillo mitral: estado actual
Revista argentina de cardiología, vol. 90, núm. 6, pp. 464-468, 2022
Sociedad Argentina de Cardiología
Se denomina disyunción del anillo mitral (DAM) a la inserción anormal de la valva posterior de la válvula mitral fuera de la zona de la unión auriculoventricular (AV)
La valva anterior es continua con la fibrosa mitroaórtica, donde no puede haber disyunción.
El anillo posterior es fibroso cercano a los trígonos; en el resto de los segmentos es discontinuo, con zonas de infiltración grasa. Es especialmente en esas zonas en las que la inserción de la valva posterior puede ser variable y no necesariamente en la zona de la unión AV (Figura 1)

¿Por qué no es fibroso en toda su circunferencia?
Porque se contrae y cambia de forma, con incremento de su altura en sístole, lo cual facilita la coaptación y reduce el stress sobre las valvas. Esto no ocurriría si todo el anillo fuera fibroso.
Hemle 1 en 1876 fue el primero en describir la DAM y esta particularidad del anillo. Con estupendos esquemas describió las zonas de disyunción del anillo en sujetos normales.
Angelini, 2 en un estudio de anatomía patológica describió en un grupo pequeño de sujetos normales y pacientes con prolapso mitral, zonas de disyunción del anillo en una extensión muy variable en todas las piezas examinadas, dejando entrever que la DAM podría ser una variante de lo normal (Figura 2). Hay descripciones similares en el atlas de anatomía cardíaca y coronaria de Mc Alpine. 3

Toh H y col. publicaron un estudio reciente con tomografía y cortes cada 30 grados del anillo mitral en 98 sujetos normales. Muestra que las zonas de disyunción son muy frecuentes, ocurren en un 98% de sujetos normales, con una altura de 1,5-7 mm (media de 3 mm) y en un porcentaje de la circunferencia del anillo de 39 ± 18%. 4 Curiosamente encuentran mayor disyunción en las zonas correspondientes a los segmentos P1 y P3. (Figura 3)

Desde el primer caso descrito por Bharati 5 en 1981, ha aparecido un sinnúmero de publicaciones que asocian la DAM con arritmias graves (especialmente en pacientes con válvulas con degeneración mixomatosa, pero también sin ella), y se describe asociado el concepto de prolapso arrítmico, 6) (7) (8 lo que es incongruente con los hallazgos de anatomía patológica y tomografía que lo describen como una variedad anatómica normal.
En 2019 se conoció una revisión de la literatura que recopila 19 publicaciones. Los revisores concluyeron que la DAM está frecuentemente asociada al prolapso mitral y válvulas floppy; que no se sabe qué lo causa, y que hay evidencia creciente que lo asocia a muerte súbita y arritmias; pero que falta mucho por conocer y estudios mejor diseñados. 8
Felizmente, y colocando paños fríos a la fiebre que se había desatado, Essayag y col publicaron en noviembre de 2021 10 un estudio de seguimiento a 10 años de 595 pacientes con prolapso mitral, con o sin DAM, que muestra que si bien el grupo de DAM tuvo más eventos arrítmicos, la sobrevida a 10 años fue similar (97% en pacientes con PVM y DAM, versus 93% en pacientes con PVM aislado sin DAM). Esto confirma que los eventos de muerte arrítmica son muy inusuales, incluso si la DAM se asocia a PVM
Si la DAM es tan común en sujetos normales, ¿cómo podemos asociarla a arritmias o a un prolapso arrítmico? ¿O hay error en los conceptos?
Hasta 2022 todos los autores coincidían que la DAM se podía ver solo en sístole. Veamos 3 descripciones de diferentes autores:
Enriquez Sarano comenta que “en diástole no es posible ver la disyunción”; considera que el anillo en diástole puede estar separado, pero como está relajado no se observa la disyunción, mientras que en sístole, al contraerse el miocardio posterior , la línea de inserción se desliza y es posible ver la disyunción. 11
Bennett y col dicen: “la DAM solo es detectable en la sístole ventricular cuando el anillo se desliza y separa del miocardio ventricular en una distancia variable, de pocos milímetros hasta 10 mm de distancia”. 9
Finalmente Wunderlich en una revisión de 2021 12 nos dice: “El diagnóstico de la DAM se hace en sístole y no puede ser hecho en diástole debido a que el miocardio está apropiadamente posicionado debajo del anillo mitral”
Ninguno de estos 3 conceptos explica por qué es posible ver la disyunción en la anatomía patológica donde no hay sístole. Es muy poco posible pensar que pueda haber 8 o 10 mm de tejido acortinado o encarrujado que solo se puede ver en sístole cuando el anillo va hacia el ápex
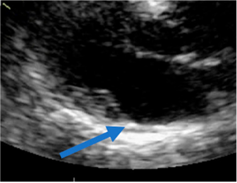
Veamos la siguiente imagen (Figura 4): es un ejemplo característico de la disyunción del anillo según la definición de que solo es posible verla en sístole. La flecha marca una zona amplia de separación entre la posible inserción de la válvula y la unión auriculoventricular.

Ahora, la imagen diastólica de este mismo paciente (Figura 5): se observa claramente que la inserción de la mitral esta separada de la unión auriculoventricular, lo que demuestra que sí es posible ver la disyunción del anillo en diástole

El Dr. Faletra, 13 al estudiar pacientes con prolapso mitral con resonancia magnética cardíaca describe 2 fenotipos:
La disyunción real, en la que es posible observar la inserción anormal en diástole como en el paciente de la figura 5 (esquemas C y D de la Figura 6)
La seudo disyunción, en que solo es posible ver el espacio de disyunción en sístole y que solo representaría prolapsos marcados con adherencia de la valva posterior sobre la pared atrial, creando el aspecto de disyunción importante (Figura 6, esquemas A y B)

Lamentablemente el Dr. Faletra no explicita cuán frecuente es cada tipo; solo nos dice que las disyunciones reales son minoría. Al momento es difícil estimar cuantas de las disyunciones son reales y cuantas son seudo disyunción.
Mantegazza y cols. publican en 2020 14 un estudio de evaluación multimodal de DAM en pacientes con prolapso mitral con eco transtorácico, transesofágico y resonancia magnética. Usan el mismo criterio de evaluación de la disyunción en sístole. De 131 pacientes, 55 presentan disyunción por resonancia; de estos, en 22 es posible observar la disyunción en diástole (40% de los casos), contradiciendo nuevamente el concepto de que a la disyunción solo es posible verla en sístole. No discuten la implicancia de observarlo en diástole
Los trabajos que se publican este año siguen utilizando este criterio de imagen en sístole para determinar la presencia de disyunción.
Essayag y cols han publicado este año otro estudio 15 en pacientes con prolapso e insuficiencia mitral grave que van a cirugía valvular, con eco transtorácico y transesofágico tridimensional. Utilizan el criterio de DAM sistólica. Encuentran DAM en 27/61 pacientes (44%); solo en 4 describen la disyunción en diástole (casi 15%); no discuten este hallazgo. Encuentran además prolapsos más profundos y anillos mitrales con mayor área y diámetro en este grupo. A diferencia de Faletra persisten con el concepto de deslizamiento del anillo en sístole como causa de la disyunción.
¿Por qué los pacientes descritos en series previas como disyunción tienen más eventos arrítmicos?
Primero, porque son prolapsos más graves; en segundo lugar, por la marcada alteración que se produce en la función del anillo valvular, con anillos más grandes, con menor cambio de su área y con menor altura, que crea gran tensión sobre el aparato subvalvular y fibrosis de los músculos papilares y la pared posterior. 16
Un resumen de lo conocido se presenta en la Tabla 1.

En conclusión, al momento actual:
Sabemos que la disyunción del anillo es muy común en pacientes normales, producto de la anatomía misma del anillo que es muy discontinuo en su segmento posterior.
Existen dos fenotipos: la disyunción real en que se observa en diástole y sístole la inserción anormal, y la seudo disyunción en que se observa solo en sístole y que se asocia a más arritmias, pero a similar mortalidad a 10 años.
Solo hay dos trabajos que describen la disyunción real con una incidencia de 15-40% de todas las disyunciones descritas con el criterio sistólico.
Se desconoce la implicancia clínica de la disyunción real.
La disyunción del anillo (usando el criterio sistólico) en pacientes con prolapso se asocia a anillos más grandes con mayores diámetros, con prolapsos más profundos que crean más tensión sobre el aparato valvular y subvalvular, lo que explicaría la mayor incidencia de ventos arrítmicos en este grupo.
Se necesitan nuevos estudios para determinar la implicancia clínica de la disyunción real en pacientes con o sin prolapso mitral. Lo publicado hasta hoy parece corresponder en la mayoría de los casos a seudodisyunción, que serían prolapsos muy graves y que han creado mucha confusión sobre la naturaleza mas bien benigna de la disyunción real.
BIBLIOGRAFIA
Hemle J. Handbuch der systematischen Anatomie des Menschen, Vieweg 1876 P: 14-20
Angelini A, Ho SY, Anderson RH, Davies MJ, Becker AE. A histological study of the atrioventricular junction in hearts with normal and prolapsed leaflets of the mitral valve. Br Heart J 1988;59:712-6. https://doi.org/10.1136/hrt.59.6.712
McAlpine WA. Heart and Coronary Arteries: Anatomical Atlas for Clinical Diagnosis, radiological investigation and Surgical treatment. Springer-Verlag, New York (1975)
Toh H, Mori S, Izawa Y, Fujita H, Miwa K, Suzuki M, et al The conduction system in mitral valve prolapse syndrome with sudden death. Am Heart J 1981;101:667-70. https://doi.org/10.1016/0002-8703(81)90235-0
Bharati S, Granston AS, Liebson PR, Loeb HS, Rosen KM, Lev M. The conduction system in mitral valve prolapse syndrome with sudden death. Am Heart J 1981;101:667-70. https://doi.org/10.1016/0002-8703(81)90235-0
Carmo P, Andrade MJ, Aguiar C, Rodrigues R, Gouveia R, Silva JA, Mitral annular disjunction in myxomatous mitral valve disease: a relevant abnormality recognizable by transthoracic echocardiography, Cardiovascular Ultrasound 2010;8:53. https://doi.org/10.1186/14767120-8-53
Perazzolo Marra M, Basso C, De Lazzari M, Rizzo S, Cipriani A, Giorgi B. Morphofuncional abnormalities of Mitral annulus and arrythmic mitral valve prolapse. Circ Cardiovasc Imaging 2016;9:e005030. https://doi.org/10.1161/CIRCIMAGING.116.005030
Dejgaard LA, Skjølsvik ET, Lie ØH, Ribe M, Stokke MK, Hegbom F, The Mitral Annular Disjunction Arrythmic Syndrome. J Am Coll Cardiol 2018;14:1600-9.Bennett S, Thamman R, Griffith T, et al. Mitral annular disjunction: A systematic review of the literature. Echocardiography. 2019;00:1-10. https://doi.org/10.1016/j.jacc.2018.07.070
Bennett S, Thamman R, Griffiths T, Oxley C, Khan JN, Phan T, et al. Mitral annular disjunction: A systematic review of the literature. Echocardiography. 2019;36:1549-58. https://doi.org/10.1111/echo.14437
Essayagh B, Sabbag A, Antoine C, Benfari G, Batista R, Yang LT, et al. The Mitral Annular Disjunction of Mitral Valve Prolapse: Presentation and Outcome. JACC Cardiovasc Imaging. 2021;14:2073-87. https://doi.org/10.1016/j.jcmg.2021.04.029.
Enriquez-Sarano M. Mitral Annular Disjunction: The Forgotten Component of Myxomatous Mitral Valve Disease. JACC Cardiovasc Imaging . 2017;10:1434-6. https://doi.org/10.1016/j.jcmg.2017.03.001.
Wunderlich N, Yen Ho S, Flint N, Siegel R. Mixomatous Mitral Valve Disease with Mitral Valve Prolapse and Mitral Annular Disjunction: Clinical and Functional Significance of the Coincidence. J Cardiovasc Dev Dis 2021;8:9. https://doi.org/10.3390/jcdd8020009
Faletra FF, Leo LA, Paiocchi VL, Schlossbauer SA, Pavon AG, Ho SY. Morphology of Mitral Annular Disjunction in Mitral Valve Prolapse- J Am Soc Echocardiogr 2022;35:176-86. https://doi.org/10.1016/j.echo.2021.09.002
Mantegazza V, Volpato V, Gripari P, Ghulam Ali S, Fusini L, Italiano G. Multimodality imaging assessment of mitral annular disjunction in mitral valve prolapse. Heart 2021;107:25-32. https://doi.org/10.1136/heartjnl-2020-317330
Essayagh B, Mantovani F, Benfari G, Maalouf JF, Mankad S, Thapa P. Mitral Annular Disjunction of degenerative Mitral Regurgitation: Three-Dimensional Evaluation and Implications for Mitral Repair. J Am Soc Echocardiogr 2022;35:165-75. https://doi.org/10.1016/j.echo.2021.09.004
Lee AP, Jin CN, Fan Y, Wong RHL, Underwood MJ, Wan S, y col. Functional Implication of Mitral Annular Disjunction in Mitral Valve Prolapse. A Quantitative Dynamic 3D Echocardiographic Study. J Am Coll Cardiol Imaging 2017;10:1424-33. https://doi.org/10.1016/j.jcmg.2016.11.022
Notas de autor
Dirección para separatas: Mario Vargas Gaglgani - Clínica San Felipe - Av. Gregorio Escobedo 650 -15072 - Lima Perú - E-mail: mariovar@hotmail.com
Declaración de intereses
(Véanse formularios de conflicto de intereses de los autores en la web/Material suplementario).